Malignant Transformation of Proliferative Verrucous Leukoplakia: A Description of the Clinical Oral Characteristics of These Squamous Cell Carcinomas
Simple Summary
Abstract
1. Introduction
2. Materials and Methods
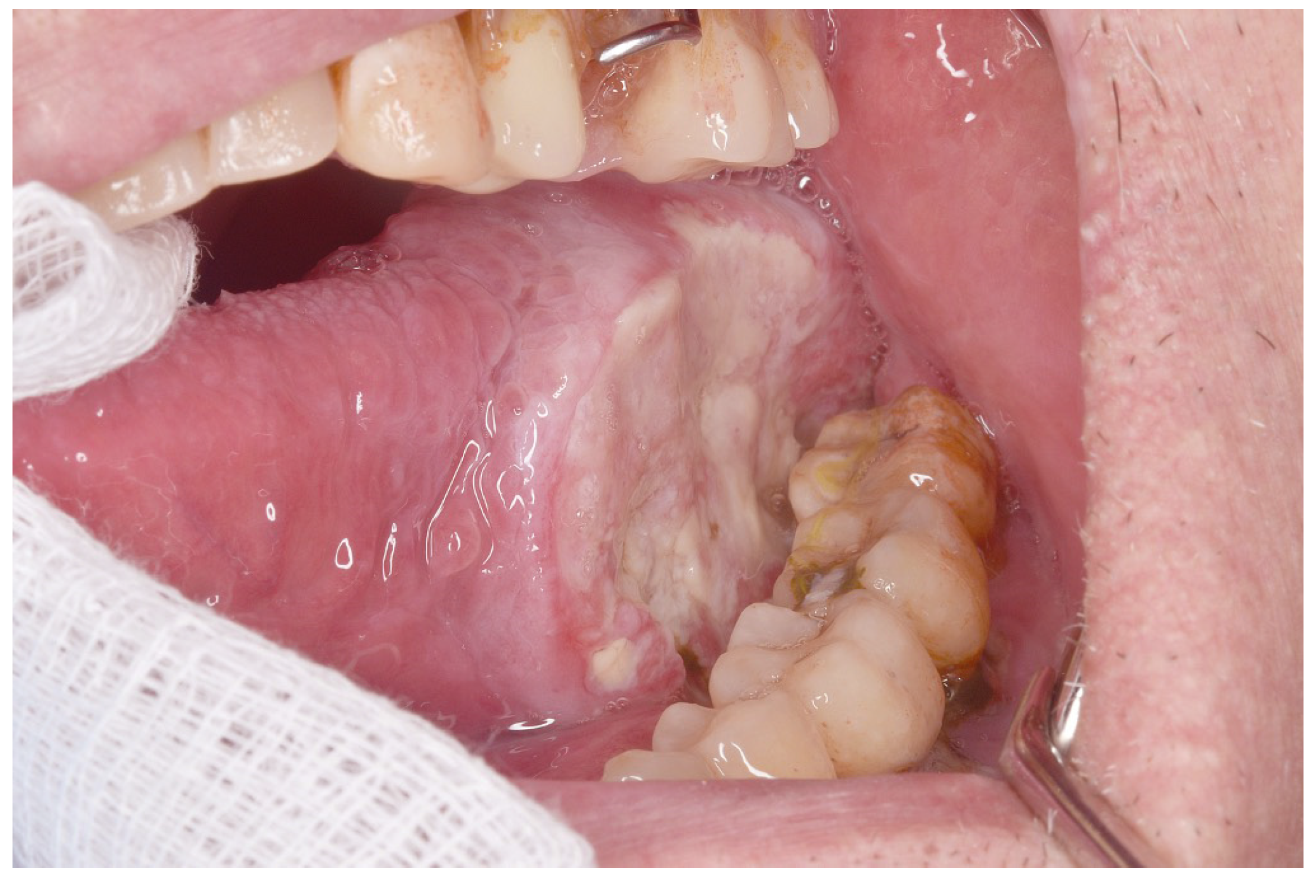
3. Results
4. Discussion
5. Limitations of This Study
6. Future Study Directions
7. Conclusions
Author Contributions
Funding
Institutional Review Board Statement
Informed Consent Statement
Data Availability Statement
Conflicts of Interest
References
- Hansen, L.S.; Olson, J.A.; Silverman, S., Jr. Proliferative verrucous leukoplakia: A long-term study of thirty patients. Oral Surg. Oral Med. Oral Pathol. 1985, 60, 285–298. [Google Scholar] [CrossRef] [PubMed]
- Torrejon-Moya, A.; Jané-Salas, E.; López-López, J. Clinical manifestations of oral proliferative verrucous leukoplakia: A systematic review. J. Oral Pathol. Med. 2020, 49, 404–408. [Google Scholar] [CrossRef] [PubMed]
- Warnakulasuriya, S.; Kujan, O.; Aguirre-Urizar, J.M.; Bagan, J.V.; González-Moles, M.Á.; Kerr, A.R.; Lodi, G.; Mello, F.W.; Monteiro, L.; Ogden, G.R.; et al. Oral potentially malignant disorders: A consensus report from an international seminar on nomenclature and classification, convened by the WHO Collaborating Centre for Oral Cancer. Oral Dis. 2021, 27, 1862–1880. [Google Scholar] [CrossRef] [PubMed]
- Brignardello-Petersen, R. Proliferative verrucous leukoplakia and erythroplakia are probably the disorders with the highest rate of malignant transformation. J. Am. Dent. Assoc. 2020, 151, e62. [Google Scholar] [CrossRef] [PubMed]
- Zhu, L.; Ou, L.; Yang, Y.; Zhao, D.; Liu, B.; Liu, R.; Liu, O.; Feng, H. A Bibliometric and Visualised Analysis of Proliferative Verrucous Leucoplakia From 2003 to 2023. Int. Dent. J. 2025, 75, 333–344. [Google Scholar] [CrossRef] [PubMed]
- Chainani-Wu, N.; Purnell, D.M.; Silverman, S., Jr. A case report of conservative management of extensive proliferative verrucous leukoplakia using a carbon dioxide laser. Photomed. Laser Surg. 2013, 31, 183–187. [Google Scholar] [CrossRef] [PubMed]
- Bombeccari, G.P.; Garagiola, U.; Candotto, V.; Pallotti, F.; Carinci, F.; Giannì, A.B.; Spadari, F. Diode laser surgery in the treatment of oral proliferative verrucous leukoplakia associated with HPV-16 infection. Maxillofac. Plast. Reconstr. Surg. 2018, 40, 16. [Google Scholar] [CrossRef] [PubMed] [PubMed Central]
- Yan, Y.; Li, Z.; Tian, X.; Zeng, X.; Chen, Q.; Wang, J. Laser-assisted photodynamic therapy in proliferative verrucous oral leukoplakia. Photodiagn. Photodyn. Ther. 2022, 39, 103002. [Google Scholar] [CrossRef] [PubMed]
- Wang, F.; Shi, Y.; Dong, Y.; Liu, T.; Dan, H.; Wang, J.; Zeng, X. Photodynamic therapy combined with laser drilling successfully prevents the recurrence of refractory oral proliferative verrucous leukoplakia. Photodiagn. Photodyn. Ther. 2021, 36, 102564. [Google Scholar] [CrossRef] [PubMed]
- Cobb, C.M.; Beaini, N.E.; Scully, J.; Gibson, T.M. Proliferative verrucous leukoplakia: Case study of 24 years and outcome of treatment with CO2 laser. Clin. Adv. Periodontics, 2024; Epub ahead of print. [Google Scholar] [CrossRef] [PubMed]
- Vergier, V.; Porporatti, A.L.; Babajko, S.; Taihi, I. Gingival Proliferative Verrucous Leukoplakia and Cancer: A Systematic Review with Meta-Analysis. Oral Dis. 2024, 31, 50–58. [Google Scholar] [CrossRef] [PubMed]
- Pedroso, C.M.; do Santos, E.S.; Alves, F.A.; Martins, M.D.; Kowalski, L.P.; Lopes, M.A.; Warnakulasuriya, S.; Villa, A.; Santos-Silva, A.R. Surgical protocols for oral leukoplakia and precancerous lesions across three different anatomic sites. Oral Dis. 2025, 31, 89–98. [Google Scholar] [CrossRef] [PubMed]
- Proaño-Haro, A.; Bagan, L.; Bagan, J.V. Recurrences following treatment of proliferative verrucous leukoplakia: A systematic review and meta-analysis. J. Oral Pathol. Med. 2021, 50, 820–828. [Google Scholar] [CrossRef] [PubMed]
- Zhang, C.; Lan, Q.; Wei, P.; Gao, Y.; Zhang, J.; Hua, H. Clinical, histopathological characteristics and malignant transformation of proliferative verrucous leukoplakia with 36 patients: A retrospective longitudinal study. BMC Oral Health 2024, 24, 639. [Google Scholar] [CrossRef] [PubMed] [PubMed Central]
- Ramos-García, P.; González-Moles, M.Á.; Mello, F.W.; Bagan, J.V.; Warnakulasuriya, S. Malignant transformation of oral proliferative verrucous leukoplakia: A systematic review and meta-analysis. Oral Dis. 2021, 27, 1896–1907. [Google Scholar] [CrossRef] [PubMed]
- Silverman, S., Jr.; Gorsky, M. Proliferative verrucous leukoplakia: A follow-up study of 54 cases. Oral Surg. Oral Med. Oral Pathol. Oral Radiol. Endod. 1997, 84, 154–157. [Google Scholar] [CrossRef] [PubMed]
- Jacobson, J.; Van Dis, M.; Zakrzewska, J.M.; Lopes, V.; Speight, P.; Hopper, C. Proliferative verrucous leukoplakia: A report of ten cases. Oral Surg. Oral Med. Oral Pathol. Oral Radiol. Endod. 1996, 82, 396–401. [Google Scholar] [CrossRef] [PubMed]
- Pentenero, M.; Meleti, M.; Vescovi, P.; Gandolfo, S. Oral proliferative verrucous leucoplakia: Are there particular features for such an ambiguous entity? A systematic review. Br. J. Dermatol. 2014, 170, 1039–1047. [Google Scholar] [CrossRef] [PubMed]
- Zhang, Y.; Zhang, X.; Qin, Z.; Yan, J.; Li, B. Prognostic nomogram for proliferative verrucous leukoplakia. J. Dent. Sci. 2025, 20, 238–247. [Google Scholar] [CrossRef] [PubMed] [PubMed Central]
- Faustino, I.S.P.; de Pauli Paglioni, M.; de Almeida Mariz, B.A.L.; Normando, A.G.C.; Pérez-de-Oliveira, M.E.; Georgaki, M.; Nikitakis, N.G.; Vargas, P.A.; Santos-Silva, A.R.; Lopes, M.A. Prognostic outcomes of oral squamous cell carcinoma derived from proliferative verrucous leukoplakia: A systematic review. Oral Dis. 2023, 29, 1416–1431. [Google Scholar] [CrossRef] [PubMed]
- González-Moles, M.Á.; Warnakulasuriya, S.; Ramos-García, P. Prognosis Parameters of Oral Carcinomas Developed in Proliferative Verrucous Leukoplakia: A Systematic Review and Meta-Analysis. Cancers 2021, 13, 4843. [Google Scholar] [CrossRef]
- Herreros-Pomares, A.; Hervás, D.; Bagan-Debon, L.; Proaño, A.; Garcia, D.; Sandoval, J.; Bagan, J. Oral cancers preceded by proliferative verrucous leukoplakia exhibit distinctive molecular features. Oral Dis. 2024, 30, 1072–1083. [Google Scholar] [CrossRef] [PubMed]
- Cerero-Lapiedra, R.; Baladé-Martínez, D.; Moreno-Lopez, L.A.; Esparza-Gomez, G.; Bagan, J.V. Proliferative verrucous leukoplakia: A proposal for diagnostic criteria. Med. Oral Patol. Oral Cir. Bucal 2010, 15, e839–e845. [Google Scholar] [PubMed]
- Edge, S.B.; Compton, C.C. The American Joint Committee on Cancer: The 7th edition of the AJCC cancer staging manual and the future of TNM. Ann. Surg. Oncol. 2010, 17, 1471–1474. [Google Scholar] [CrossRef] [PubMed]
- Noggle, B.; Cheng, H.; Sarkar, M. Oral Cancer Incidence Among Adult Males With Current or Former Use of Cigarettes or Smokeless Tobacco: Population-Based Study. JMIR Cancer 2024, 10, e51936. [Google Scholar] [CrossRef] [PubMed] [PubMed Central]
- Amezaga-Fernandez, I.; Aguirre-Urizar, J.M.; Suárez-Peñaranda, J.M.; Chamorro-Petronacci, C.; de Mendoza, I.L.-I.; Marichalar-Mendia, X.; Blanco-Carrión, A.; Antúnez-López, J.; García-García, A. Epidemiological, clinical, and prognostic analysis of oral squamous cell carcinoma diagnosed and treated in a single hospital in Galicia (Spain): A retrospective study with 5-year follow-up. Med. Oral Patol. Oral Y Cir. Bucal 2024, 29, e36–e43. [Google Scholar] [CrossRef] [PubMed] [PubMed Central]
- Saldivia-Siracusa, C.; Araújo, A.L.; Arboleda, L.P.; Abrantes, T.; Pinto, M.B.; Mendonça, N.; Cordero-Torres, K.; Gilligan, G.; Piemonte, E.; Panico, R.; et al. Insights into incipient oral squamous cell carcinoma: A comprehensive south-american study. Med. Oral Patol. Oral Y Cir. Bucal 2024, 29, e575–e583. [Google Scholar] [CrossRef] [PubMed] [PubMed Central]
- Daroit, N.B.; Martins, L.N.; Garcia, A.B.; Haas, A.N.; Maito, F.L.D.M.; Rados, P.V. Oral cancer over six decades: A multivariable analysis of a clinicopathologic retrospective study. Braz. Dent. J. 2023, 34, 115–124. [Google Scholar] [CrossRef] [PubMed] [PubMed Central]
- Kovalski, L.N.S.; Zanella, V.G.; Jardim, L.C.; Só, B.B.; Girardi, F.M.; Kroef, R.G.; Barra, M.B.; Carrard, V.C.; Martins, M.D.; Martins, M.A.T. Prognostic factors from squamous cell carcinoma of the hard palate, gingiva and upper alveolar ridge. Braz. Oral Res. 2022, 36, e058. [Google Scholar] [CrossRef] [PubMed]
- Upadhyaya, J.D.; Fitzpatrick, S.G.; Islam, M.N.; Bhattacharyya, I.; Cohen, D.M. A Retrospective 20-Year Analysis of Proliferative Verrucous Leukoplakia and Its Progression to Malignancy and Association with High-risk Human Papillomavirus. Head Neck Pathol. 2018, 12, 500–510. [Google Scholar] [CrossRef] [PubMed] [PubMed Central]
- Morandi, L.; Gissi, D.; Tarsitano, A.; Asioli, S.; Gabusi, A.; Marchetti, C.; Montebugnoli, L.; Foschini, M.P. CpG location and methylation level are crucial factors for the early detection of oral squamous cell carcinoma in brushing samples using bisulfite sequencing of a 13-gene panel. Clin. Epigenet. 2017, 9, 85. [Google Scholar] [CrossRef] [PubMed] [PubMed Central]
- Okoturo, E.; Green, D.; Clarke, K.; Liloglou, T.; Boyd, M.T.; Shaw, R.J.; Risk, J.M. Whole genome DNA methylation and mutational profiles identify novel changes in proliferative verrucous leukoplakia. Oral Surg. Oral Med. Oral Pathol. Oral Radiol. 2023, 135, 893–903. [Google Scholar] [CrossRef] [PubMed]
- Iocca, O.; Sollecito, T.P.; Alawi, F.; Weinstein, G.S.; Newman, J.G.; De Virgilio, A.; Di Maio, P.; Spriano, G.; López, S.P.; Shanti, R.M. Potentially malignant disorders of the oral cavity and oral dysplasia: A systematic review and meta-analysis of malignant transformation rate by subtype. Head Neck 2020, 42, 539–555. [Google Scholar] [CrossRef] [PubMed]
- Villa, A.; Menon, R.S.; Kerr, A.R.; De Abreu Alves, F.; Guollo, A.; Ojeda, D.; Woo, S.B. Proliferative leukoplakia: Proposed new clinical diagnostic criteria. Oral Dis. 2018, 24, 749–760. [Google Scholar] [CrossRef] [PubMed]
- Hirata, R.M.; Jaques, D.A.; Chambers, R.G.; Tuttle, J.R.; Mahoney, W.D. Carcinoma of the oral cavity. Ann. Surg. 1975, 182, 98–103. [Google Scholar] [CrossRef] [PubMed] [PubMed Central]
- Oliver, A.J.; Helfrick, J.F.; Gard, D. Primary oral squamous cell carcinoma: A review of 92 cases. J. Oral Maxillofac. Surg. 1996, 54, 949–954. [Google Scholar] [CrossRef] [PubMed]
- Mashberg, A.; Merletti, F.; Boffetta, P.; Gandolfo, S.; Ozzello, F.; Fracchia, F.; Terracini, B. Appearance, site of occurrence, and physical and clinical characteristics of oral carcinoma in Torino, Italy. Cancer 1989, 63, 2522–2527. [Google Scholar] [CrossRef] [PubMed]
- Tan, Y.; Wang, Z.; Xu, M.; Li, B.; Huang, Z.; Qin, S.; Nice, E.C.; Tang, J.; Huang, C. Oral squamous cell carcinomas: State of the field and emerging directions. Int. J. Oral Sci. 2023, 15, 44. [Google Scholar] [CrossRef] [PubMed] [PubMed Central]
- González-Ruiz, I.; Ramos-García, P.; Ruiz-Ávila, I.; González-Moles, M.Á. Early Diagnosis of Oral Cancer: A Complex Polyhedral Problem with a Difficult Solution. Cancers 2023, 15, 3270. [Google Scholar] [CrossRef] [PubMed] [PubMed Central]



| Variable | OSSC-noPVL (n = 90) | PVL-OSCC (n = 50) | Statistical Significance |
|---|---|---|---|
| Age | |||
| mean (sd) | 69.51 (11.27) | 66.62 (11.59) | p > 0.05 |
| median (q1, q3) | 70 (60.25, 77) | 66 (59, 73.75) | |
| Gender | p < 0.001 | ||
| Male | 59 (65.56%) | 15 (30%) | |
| Female | 31 (34.44%) | 35 (70%) | |
| Tobacco | 50 (56.2%) | 17 (34%) | p = 0.01 |
| Location OSCC | p < 0.001 | ||
| Gingiva | 26 (28.89%) | 25 (50%) | |
| Buccal mucosa | 8 (8.89%) | 8 (16%) | |
| Tongue | 37 (41.11%) | 9 (18%) | |
| Lips | 2 (2.22%) | 7 (14%) | |
| Floor of the mouth | 6 (6.67%) | 0 (0%) | |
| Palate | 11 (12.22%) | 1 (2%) | |
| Clinical.type | p = 0.003 | ||
| Erytrholeukoplakia | 7 (7.78%) | 15 (30%) | |
| Ulcerative | 57 (63.33%) | 21 (42%) | |
| Exophitic | 16 (17.78%) | 11 (22%) | |
| Mixed | 10 (11.11%) | 3 (6%) | |
| T size | p = 0.008 | ||
| T1 and T2 | 52 (57.78%) | 40 (80%) | |
| T4 and T4 | 38 (42.22%) | 10 (20%) |
| Variables | Estimate | Std. Error | OR | 95% CrI | Prob. Effect |
|---|---|---|---|---|---|
| Intercept | 0.432 | 0.757 | - | [−1.1, 1.9] | 0.711 |
| Location buccal mucosa | 0.865 | 0.712 | 2.376 | [0.58, 10.0] | 0.891 |
| Location tongue | −1.16 | 0.546 | 0.313 | [0.10, 10.0] | 0.988 |
| Location lips | 1.028 | 0.951 | 2.797 | [0.49, 21.7] | 0.867 |
| Location floor of the mouth | −3.496 | 1.799 | 0.03 | [0.001, 0.64] | 0.993 |
| Location palate | −2.017 | 1.128 | 0.133 | [0.01, 1.0] | 0.974 |
| T size advanced | −1.095 | 0.524 | 0.335 | [0.11, 0.91] | 0.985 |
| Gender F | 1.621 | 0.507 | 5.058 | [1.9, 14.0] | 1 |
| Clinical type Ulcerative | −1.578 | 0.656 | 0.206 | [0.06, 0.73] | 0.993 |
| Clinicaltype Exophitic | −1.047 | 0.733 | 0.351 | [0.08, 1.46] | 0.924 |
| Clinical type Mixed | −1.916 | 0.961 | 0.147 | [0.02, 0.90] | 0.98 |
Disclaimer/Publisher’s Note: The statements, opinions and data contained in all publications are solely those of the individual author(s) and contributor(s) and not of MDPI and/or the editor(s). MDPI and/or the editor(s) disclaim responsibility for any injury to people or property resulting from any ideas, methods, instructions or products referred to in the content. |
© 2025 by the authors. Licensee MDPI, Basel, Switzerland. This article is an open access article distributed under the terms and conditions of the Creative Commons Attribution (CC BY) license (https://creativecommons.org/licenses/by/4.0/).
Share and Cite
Bagan, J.; Murillo, J.; Sanchis, J.M.; Hervás, D.; Bagan, L. Malignant Transformation of Proliferative Verrucous Leukoplakia: A Description of the Clinical Oral Characteristics of These Squamous Cell Carcinomas. Cancers 2025, 17, 1199. https://doi.org/10.3390/cancers17071199
Bagan J, Murillo J, Sanchis JM, Hervás D, Bagan L. Malignant Transformation of Proliferative Verrucous Leukoplakia: A Description of the Clinical Oral Characteristics of These Squamous Cell Carcinomas. Cancers. 2025; 17(7):1199. https://doi.org/10.3390/cancers17071199
Chicago/Turabian StyleBagan, Jose, Judith Murillo, Jose M. Sanchis, David Hervás, and Leticia Bagan. 2025. "Malignant Transformation of Proliferative Verrucous Leukoplakia: A Description of the Clinical Oral Characteristics of These Squamous Cell Carcinomas" Cancers 17, no. 7: 1199. https://doi.org/10.3390/cancers17071199
APA StyleBagan, J., Murillo, J., Sanchis, J. M., Hervás, D., & Bagan, L. (2025). Malignant Transformation of Proliferative Verrucous Leukoplakia: A Description of the Clinical Oral Characteristics of These Squamous Cell Carcinomas. Cancers, 17(7), 1199. https://doi.org/10.3390/cancers17071199

