Review of the Imaging Modalities in the Gynecological Neoplasms During Pregnancy
Simple Summary
Abstract
1. Introduction
2. Imaging the Oncologic Pregnant Patient—General Principles
3. Imaging of Specific Gynecologic Pregnancy-Related Tumors
3.1. Cervical Cancer
3.1.1. Epidemiology, Pathological Anatomy, and Clinical Management
3.1.2. Imaging
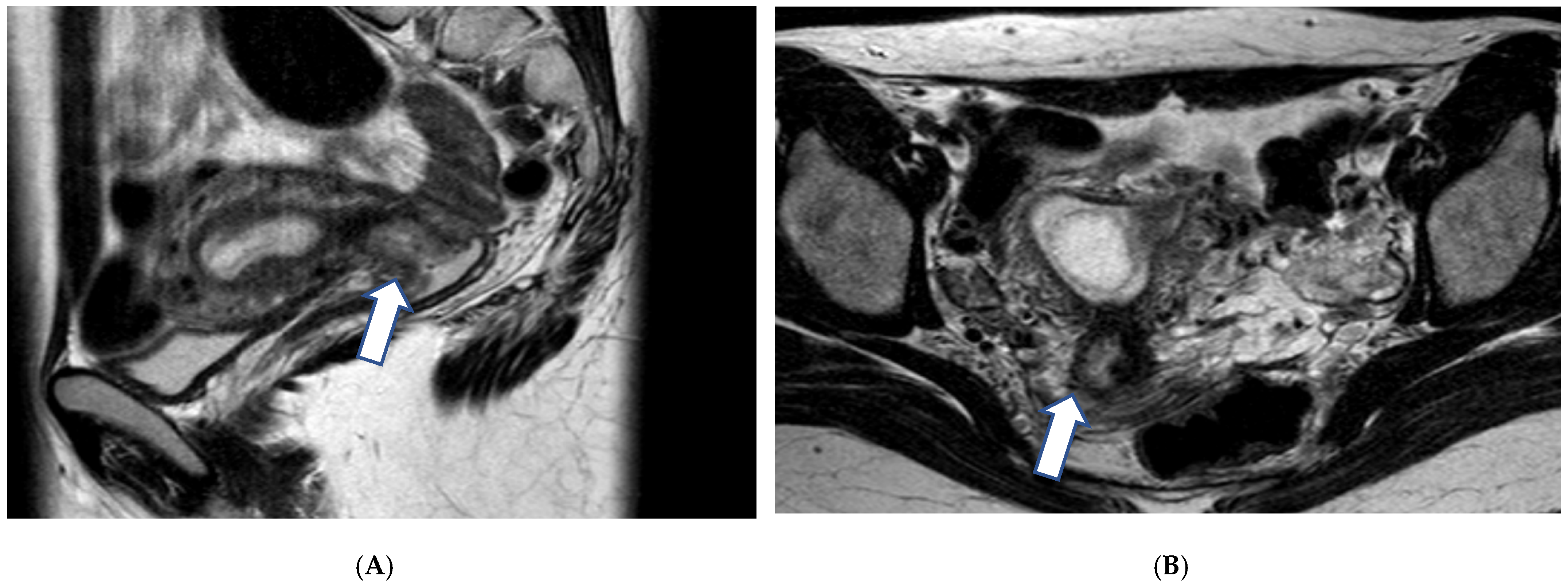
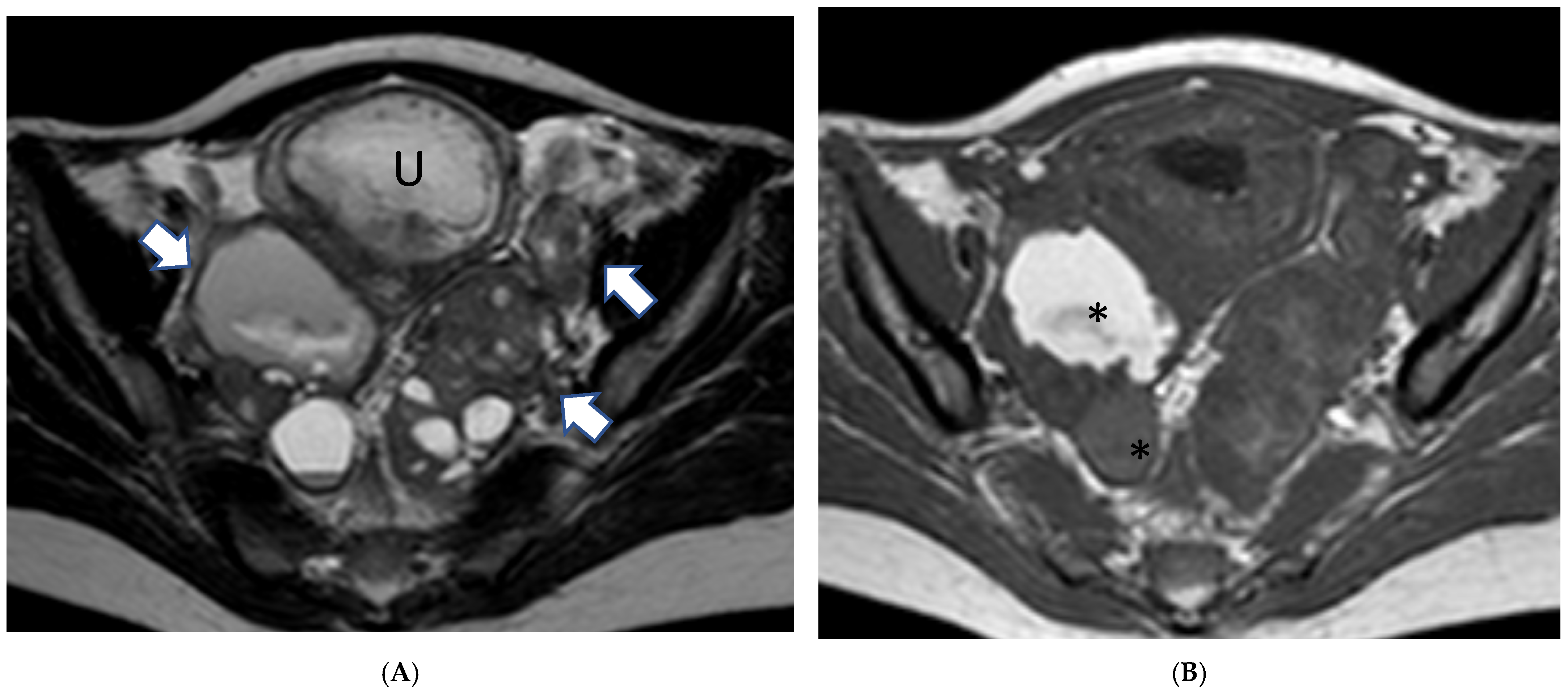
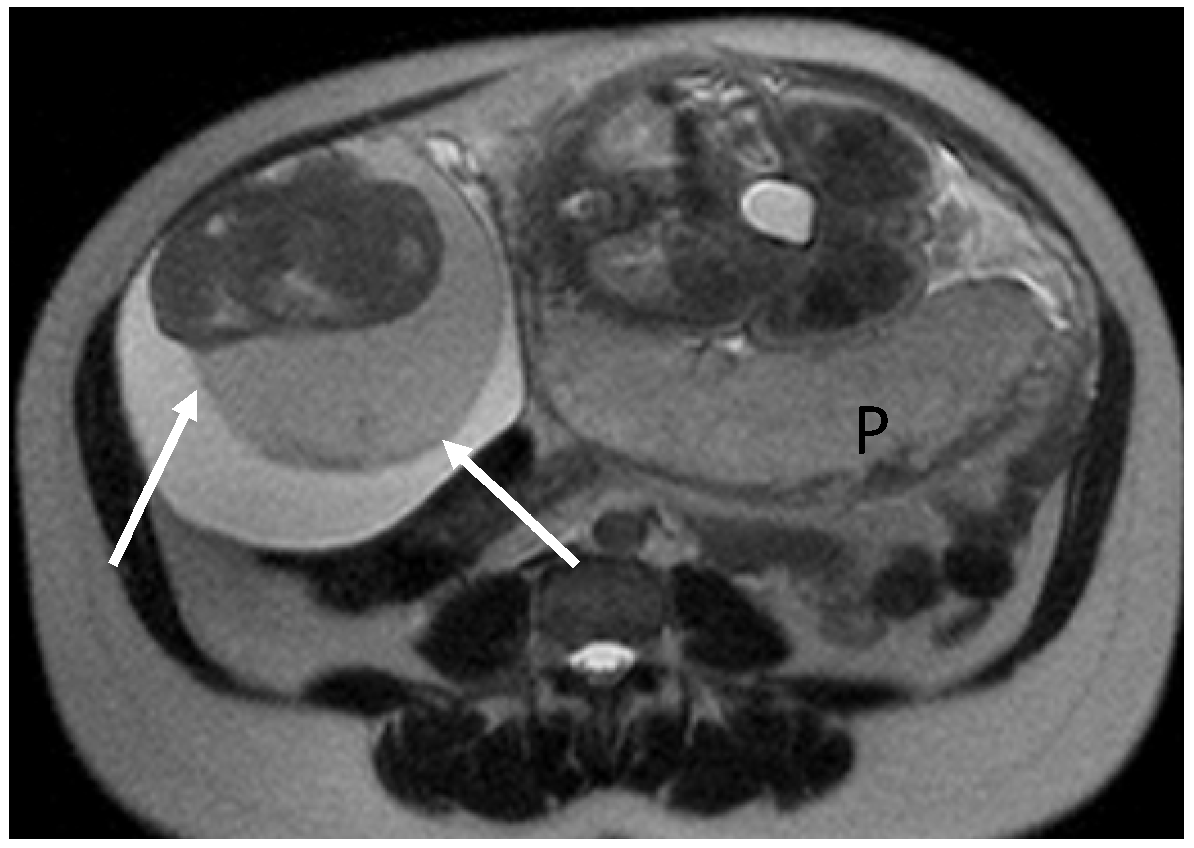
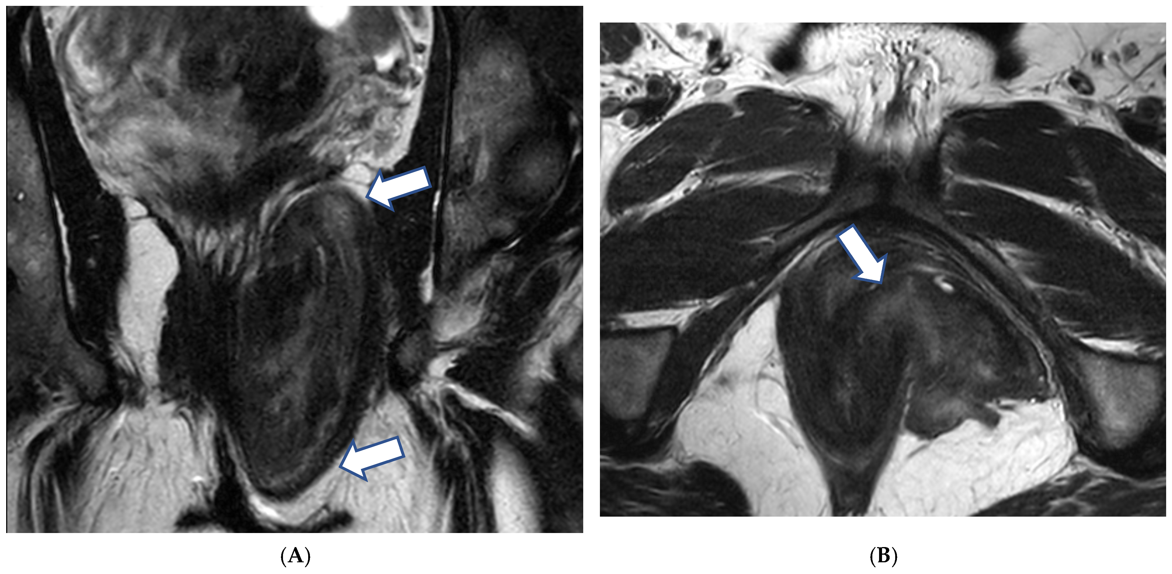
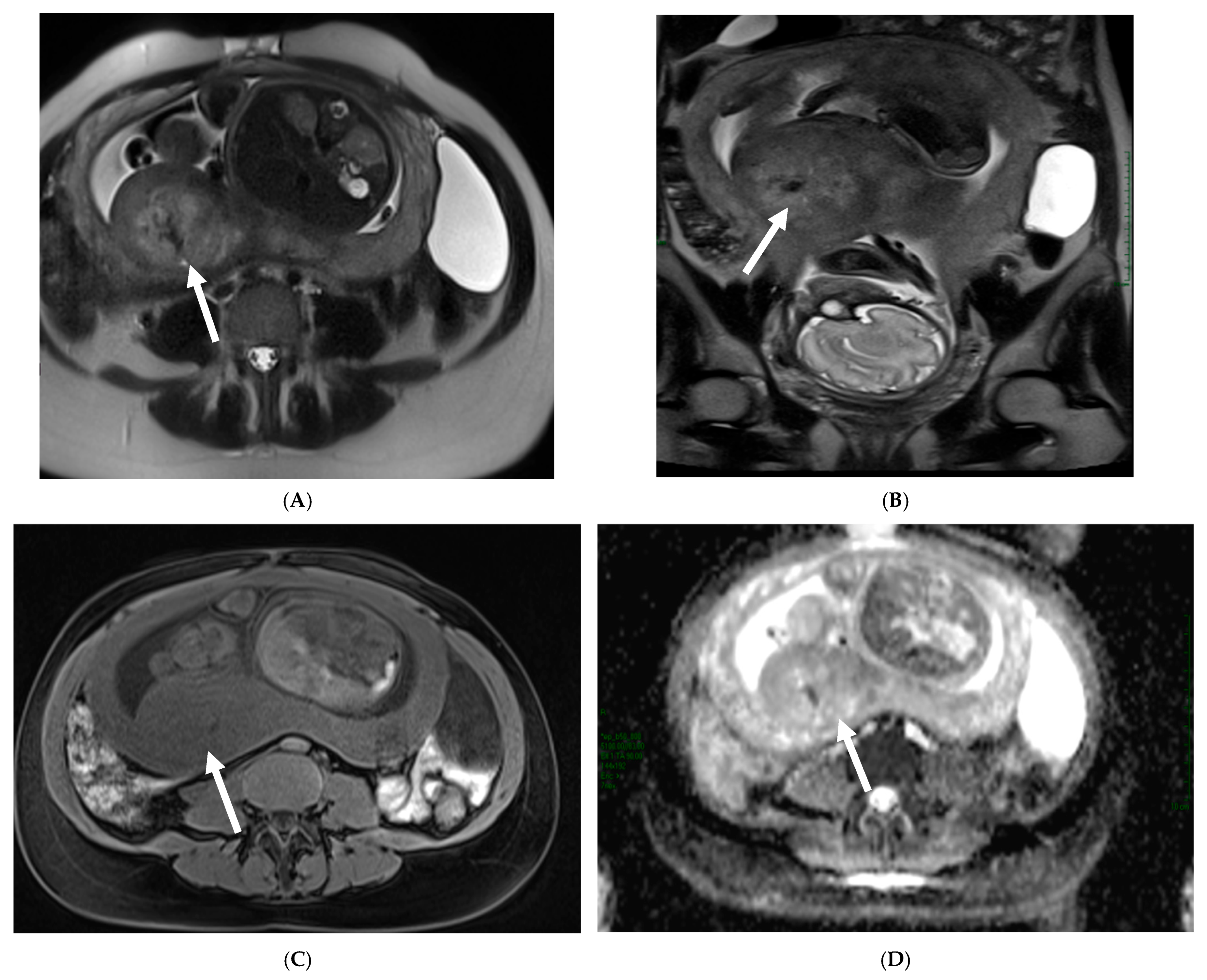
3.2. Ovarian Tumors
3.2.1. Epidemiology, Pathological Anatomy, and Clinical Management
3.2.2. Imaging
3.2.3. Mimickers of Malignancy
3.3. Vulvar and Vaginal Tumors
3.3.1. Epidemiology, Pathological Anatomy, and Clinical Management
3.3.2. Imaging
3.4. Uterine Tumors
3.4.1. Epidemiology, Pathological Anatomy, and Clinical Management
3.4.2. Imaging
3.5. Placenta Tumors
3.5.1. Epidemiology, Pathological Anatomy, and Clinical Management
3.5.2. Imaging
4. Conclusions
Author Contributions
Funding
Conflicts of Interest
References
- Harvey, S.A.; Burlingame, J.; Davis, J.; Terada, K.Y. Cancer-related maternal mortality. J. Clin. Oncol. 2010, 28 (Suppl. S15), e12013. [Google Scholar] [CrossRef]
- Korenaga, T.K.; Tewari, K.S. Gynecologic cancer in pregnancy. Gynecol. Oncol. 2020, 157, 799–809. [Google Scholar] [CrossRef]
- Ji, Y.I.; Kim, K.T. Gynecologic malignancy in pregnancy. Obstet. Gynecol. Sci. 2013, 56, 289–300. [Google Scholar] [CrossRef] [PubMed]
- Bourgioti, C.; Konidari, M.; Moulopoulos, L.A. Manifestations of Ovarian Cancer in Relation to Other Pelvic Diseases by MRI. Cancers 2023, 15, 2106. [Google Scholar] [CrossRef] [PubMed]
- Franciszek Dłuski, D.; Mierzyński, R.; Poniedziałek-Czajkowska, E.; Leszczyńska-Gorzelak, B. Ovarian Cancer and Pregnancy-A Current Problem in Perinatal Medicine: A Comprehensive Review. Cancers 2020, 12, 3795. [Google Scholar] [CrossRef] [PubMed]
- Boussios, S.; Moschetta, M.; Tatsi, K.; Tsiouris, A.K.; Pavlidis, N. A review on pregnancy complicated by ovarian epithelial and non-epithelial malignant tumors: Diagnostic and therapeutic perspectives. J. Adv. Res. 2018, 12, 1–9. [Google Scholar] [CrossRef] [PubMed]
- Cordeiro, C.N.; Gemignani, M.L. Gynecologic Malignancies in Pregnancy: Balancing Fetal Risks with Oncologic Safety. Obstet. Gynecol. Surv. 2017, 72, 184–193. [Google Scholar] [CrossRef]
- Antonelli, N.M.; Dotters, D.J.; Katz, V.L.; Kuller, J.A. Cancer in pregnancy: A review of the literature. Part I. Obstet. Gynecol. Surv. 1996, 51, 125–134. [Google Scholar] [CrossRef] [PubMed]
- Pavlidis, N. Cancer and pregnancy: What should we know about the management with systemic treatment of pregnant women with cancer? Eur. J. Cancer 2011, 47 (Suppl. S3), S348–S352. [Google Scholar] [CrossRef]
- Voulgaris, E.; Pentheroudakis, G.; Pavlidis, N. Cancer and pregnancy: A comprehensive review. Surg. Oncol. 2011, 20, e175–e185. [Google Scholar] [CrossRef]
- Pavlidis, N.A. Coexistence of pregnancy and malignancy. Oncologist 2002, 7, 279–287, Erratum in Oncologist 2002, 7, 585. [Google Scholar] [CrossRef] [PubMed]
- Peccatori, F.A.; Azim, H.A., Jr.; Orecchia, R.; Hoekstra, H.J.; Pavlidis, N.; Kesic, V.; Pentheroudakis, G. Cancer, pregnancy and fertility: ESMO Clinical Practice Guidelines for diagnosis, treatment and follow-up. Ann. Oncol. 2013, 24 (Suppl. S6), vi160–vi170. [Google Scholar] [CrossRef] [PubMed]
- Han, S.N.; Kesic, V.I.; Van Calsteren, K.; Petkovic, S.; Amant, F.; ESGO ‘Cancer in Pregnancy’ Task Force. Cancer in pregnancy: A survey of current clinical practice. Eur. J. Obstet. Gynecol. Reprod. Biol. 2013, 167, 18–23. [Google Scholar] [CrossRef]
- International Commission on Radiological Protection. Pregnancy and medical radiation. Ann. ICRP 2000, 30, 1–43. [Google Scholar] [CrossRef]
- Benveniste, H.; Fowler, J.S.; Rooney, W.D.; Moller, D.H.; Backus, W.W.; Warner, D.A.; Carter, P.; King, P.; Scharf, B.; Alexoff, D.A.; et al. Maternal-fetal in vivo imaging: A combined PET and MRI study. J. Nucl. Med. 2003, 44, 1522–1530. [Google Scholar] [PubMed]
- Hicks, R.J.; Binns, D.; Stabin, M.G. Pattern of uptake and excretion of (18)F-FDG in the lactating breast. J. Nucl. Med. 2001, 42, 1238–1242. [Google Scholar] [PubMed]
- Kal, H.B.; Struikmans, H. Radiotherapy during pregnancy: Fact and fiction. Lancet Oncol. 2005, 6, 328–333. [Google Scholar] [CrossRef] [PubMed]
- Doll, R.; Wakeford, R. Risk of childhood cancer from fetal irradiation. Br. J. Radiol. 1997, 70, 130–139. [Google Scholar] [CrossRef] [PubMed]
- Colletti Patrick, M. PET-CT in the Pregnant Patient; Image Wisely: Reston, VA, USA, 2012; pp. 333–337. [Google Scholar]
- Garel, C.; Brisse, H.; Sebag, G.; Elmaleh, M.; Oury, J.F.; Hassan, M. Magnetic resonance imaging of the fetus. Pediatr. Radiol. 1998, 28, 201–211. [Google Scholar] [CrossRef] [PubMed]
- Ray Joel, G.; Vermeulen, M.J.; Bharatha, A.; Montanera, W.J.; Park, A.L. Association between MRI exposure during pregnancy and fetal and childhood outcomes. JAMA 2016, 316, 952–961. [Google Scholar]
- Han, S.N.; Amant, F.; Michielsen, K.; De Keyzer, F.; Fieuws, S.; Van Calsteren, K.; Dresen, R.C.; Gziri, M.M.; Vandecaveye, V. Feasibility of whole-body diffusion-weighted MRI for detection of primary tumour, nodal and distant metastases in women with cancer during pregnancy: A pilot study. Eur. Radiol. 2018, 28, 1862–1874. [Google Scholar] [CrossRef] [PubMed]
- Smith, L.H.; Dalrymple, J.L.; Leiserowitz, G.S.; Danielsen, B.; Gilbert, W.M. Obstetrical deliveries associated with maternal malignancy in California, 1992 through 1997. Am. J. Obstet. Gynecol. 2001, 184, 1504–1513. [Google Scholar] [CrossRef]
- Smith, L.H.; Danielsen, B.; Allen, M.E.; Cress, R. Cancer associated with obstetric delivery: Results of linkage with the California cancer registry. Am. J. Obstet. Gynecol. 2003, 189, 1128–1135. [Google Scholar] [CrossRef] [PubMed]
- Demeter, A.; Sziller, I.; Csapó, Z.; Szánthó, A.; Papp, Z. Outcome of pregnancies after cold-knife conization of the uterine cervix during pregnancy. Eur. J. Gynaecol. Oncol. 2002, 23, 207–210. [Google Scholar] [PubMed]
- Duggan, B.; Muderspach, L.I.; Roman, L.D.; Curtin, J.P.; d’Ablaing, G., 3rd; Morrow, C.P. Cervical cancer in pregnancy: Reporting on planned delay in therapy. Obstet. Gynecol. 1993, 82 Pt 1, 598–602. [Google Scholar] [PubMed]
- Beharee, N.; Shi, Z.; Wu, D.; Wang, J. Diagnosis and treatment of cervical cancer in pregnant women. Cancer Med. 2019, 8, 5425–5430. [Google Scholar] [CrossRef]
- Nguyen, C.; Montz, F.J.; Bristow, R.E. Management of stage I cervical cancer in pregnancy. Obstet. Gynecol. Surv. 2000, 55, 633–643. [Google Scholar] [CrossRef]
- Creasman, W.T. Cancer and pregnancy. Ann. N. Y. Acad. Sci. 2001, 943, 281–286. [Google Scholar] [CrossRef]
- Shiping, Z.; Lushan, Z.Q. Progress in diagnosis and treatment of pregnancy complicated with cervical cancer. J. Pract. Med. 2018, 25, 400–402. [Google Scholar]
- Meihao, O.G. The effect of pregnancy with cervical cancer on mother and child and the principle of diagnosis and treatment. Adv. Mod. Obstetr. Gynecol. 2008, 17, 64–66. [Google Scholar]
- Jain, A.G.; Higgins, R.V.; Boyle, M.J. Management of low-grade squamous intraepithelial lesions during pregnancy. Am. J. Obstet. Gynecol. 1997, 177, 298–302. [Google Scholar] [CrossRef] [PubMed]
- Schaefer, K.; Peters, D.; Aulmann, S.; Sohn, C.; Eichbaum, M.H. Value and feasibility of LLETZ procedures for pregnant women with suspected high-grade squamous intraepithelial lesions and microinvasive cervical cancer. Int. J. Gynaecol. Obstet. 2012, 118, 141–144. [Google Scholar] [CrossRef]
- Van Calsteren, K.; Vergote, I.; Amant, F. Cervical neoplasia during pregnancy: Diagnosis, management and prognosis. Best Pract. Res. Clin. Obstet. Gynaecol. 2005, 19, 611–630. [Google Scholar] [CrossRef] [PubMed]
- Ungár, L.; Smith, J.R.; Pálfalvi, L.; Del Priore, G. Abdominal radical trachelectomy during pregnancy to preserve pregnancy and fertility. Obstet. Gynecol. 2006, 108 Pt 2, 811–814. [Google Scholar] [CrossRef]
- Morice, P.; Uzan, C.; Gouy, S.; Verschraegen, C.; Haie-Meder, C. Gynaecological cancers in pregnancy. Lancet 2012, 379, 558–569. [Google Scholar] [CrossRef] [PubMed]
- Yoshihara, K.; Ishiguro, T.; Chihara, M.; Shima, E.; Adachi, S.; Isobe, M.; Yamaguchi, M.; Sekine, M.; Nishikawa, N.; Enomoto, T.; et al. The Safety and Effectiveness of Abdominal Radical Trachelectomy for Early-Stage Cervical Cancer During Pregnancy. Int. J. Gynecol. Cancer 2018, 28, 782–787. [Google Scholar] [CrossRef] [PubMed]
- Oehler, M.K.; Wain, G.V.; Brand, A. Gynaecological malignancies in pregnancy: A review. Aust. N. Z. J. Obstet. Gynaecol. 2003, 43, 414–420. [Google Scholar] [CrossRef]
- Balleyguier, C.; Fournet, C.; Ben Hassen, W.; Zareski, E.; Morice, P.; Haie-Meder, C.; Uzan, C.; Gouy, S.; Duvillard, P.; Lhommé, C. Management of cervical cancer detected during pregnancy: Role of magnetic resonance imaging. Clin. Imaging 2013, 37, 70–76. [Google Scholar] [CrossRef] [PubMed]
- Bourgioti, C.; Konidari, M.; Gourtsoyianni, S.; Moulopoulos, L.A. Imaging during pregnancy: What the radiologist needs to know. Diagn. Interv. Imaging 2021, 102, 593–603. [Google Scholar] [CrossRef] [PubMed]
- Behtash, N.; Karimi Zarchi, M.; Modares Gilani, M.; Ghaemmaghami, F.; Mousavi, A.; Ghotbizadeh, F. Ovarian carcinoma associated with pregnancy: A clinicopathologic analysis of 23 cases and review of the literature. BMC Pregnancy Childbirth 2008, 8, 3. [Google Scholar] [CrossRef] [PubMed]
- Yin, M.; Wang, T.; Li, S.; Zhang, X.; Yang, J. Decidualized ovarian endometrioma mimicking malignancy in pregnancy: A case report and literature review. J. Ovarian Res. 2022, 15, 33. [Google Scholar] [CrossRef]
- Blake, E.A.; De Zoysa, M.Y.; Morocco, E.B.; Kaiser, S.B.; Kodama, M.; Grubbs, B.H.; Matsuo, K. Teenage pregnancy complicated by primary invasive ovarian cancer: Association for oncologic outcome. J. Gynecol. Oncol. 2018, 29, e79. [Google Scholar] [CrossRef]
- Zhang, N.; Thappa, S.; Navarro Sanchez, J.; Smith, A.; Liu, C.; Angel, C.; DuBeshter, B.; Morrison, J.; Pressman, E.; Moore, R. Luteoma of pregnancy masquerading as a granulosa cell tumor. Gynecol. Oncol. Rep. 2023, 46, 101163. [Google Scholar] [CrossRef]
- Mukhopadhyay, A.; Shinde, A.; Naik, R. Ovarian cysts and cancer in pregnancy. Best Pract. Res. Clin. Obstet. Gynaecol. 2016, 33, 58–72. [Google Scholar] [CrossRef]
- Leiserowitz, G.S.; Xing, G.; Cress, R.; Brahmbhatt, B.; Dalrymple, J.L.; Smith, L.H. Adnexal masses in pregnancy: How often are they malignant? Gynecol. Oncol. 2006, 101, 315–321. [Google Scholar] [CrossRef] [PubMed]
- Sayedur Rahman, M.; Al-Sibai, M.H.; Rahman, J.; Al-Suleiman, S.; El-Yahia, A.; Al-Mulhim, A.; Al-Jama, F. Ovarian carcinoma associated with pregnancy. A review of 9 cases. Acta Obstet. Gynecol. Scand. 2002, 81, 260–264. [Google Scholar] [CrossRef]
- Zhao, X.Y.; Huang, H.F.; Lian, L.J.; Lang, J.H. Ovarian cancer in pregnancy: A clinicopathologic analysis of 22 cases and review of the literature. Int. J. Gynecol. Cancer 2006, 16, 8–15. [Google Scholar] [CrossRef] [PubMed]
- Van Calsteren, K.; Heyns, L.; De Smet, F.; Van Eycken, L.; Gziri, M.M.; Van Gemert, W.; Halaska, M.; Vergote, I.; Ottevanger, N.; Amant, F. Cancer during pregnancy: An analysis of 215 patients emphasizing the obstetrical and the neonatal outcomes. J. Clin. Oncol. 2010, 28, 683–689. [Google Scholar] [CrossRef]
- Giuntoli, R.L., 2nd; Vang, R.S.; Bristow, R.E. Evaluation and management of adnexal masses during pregnancy. Clin. Obstet. Gynecol. 2006, 49, 492–505. [Google Scholar] [CrossRef] [PubMed]
- Grimm, D.; Woelber, L.; Trillsch, F.; Keller-v Amsberg, G.; Mahner, S. Clinical management of epithelial ovarian cancer during pregnancy. Eur. J. Cancer. 2014, 50, 963–971. [Google Scholar] [CrossRef] [PubMed]
- Webb, K.E.; Sakhel, K.; Chauhan, S.P.; Abuhamad, A.Z. Adnexal mass during pregnancy: A review. Am. J. Perinatol. 2015, 32, 1010–1016. [Google Scholar] [CrossRef]
- Botha, M.H.; Rajaram, S.; Karunaratne, K. Cancer in pregnancy. Int. J. Gynaecol. Obstet. 2018, 143 (Suppl. S2), 137–142. [Google Scholar] [CrossRef] [PubMed]
- Wang, L.; Huang, S.; Sheng, X.; Ren, C.; Wang, Q.; Yang, L.; Zhao, S.; Xu, T.; Ma, X.; Guo, R.; et al. Malignant Ovarian Tumors During Pregnancy: A Multicenter Retrospective Analysis. Cancer Manag. Res. 2020, 12, 10841–10848. [Google Scholar] [CrossRef]
- Ferrandina, G.; Distefano, M.; Testa, A.; De Vincenzo, R.; Scambia, G. Management of an advanced ovarian cancer at 15 weeks of gestation: Case report and literature review. Gynecol. Oncol. 2005, 97, 693–696. [Google Scholar] [CrossRef] [PubMed]
- Hoover, K.; Jenkins, T.R. Evaluation and management of adnexal mass in pregnancy. Am. J. Obstet. Gynecol. 2011, 205, 97–102. [Google Scholar] [CrossRef]
- Cosentino, F.; Turco, L.C.; Cianci, S.; Fanfani, F.; Fagotti, A.; Alletti, S.G.; Vizzielli, G.; Vitale, S.G.; Laganà, A.S.; Padula, F.; et al. Management, prognosis and reproductive outcomes of borderline ovarian tumor relapse during pregnancy: From diagnosis to potential treatment options. J. Prenat. Med. 2016, 10, 8–14. [Google Scholar] [CrossRef]
- Kodama, M.; Grubbs, B.H.; Blake, E.A.; Cahoon, S.S.; Murakami, R.; Kimura, T.; Matsuo, K. Feto-maternal outcomes of pregnancy complicated by ovarian malignant germ cell tumor: A systematic review of literature. Eur. J. Obstet. Gynecol. Reprod. Biol. 2014, 181, 145–156. [Google Scholar] [CrossRef] [PubMed]
- Tropé, C.; Kaern, J. Prognosis and management of borderline tumours of the ovary. Curr. Opin. Obstet. Gynecol. 1996, 8, 12–16. [Google Scholar] [CrossRef] [PubMed]
- Harris, R.; Whittemore, A.S.; Itnyre, J. Characteristics relating to ovarian cancer risk: Collaborative analysis of 12 US case-control studies. III. Epithelial tumors of low malignant potential in white women. Collaborative Ovarian Cancer Group. Am. J. Epidemiol. 1992, 136, 1204–1211. [Google Scholar] [CrossRef]
- Snider, D.D.; Stuart, G.C.; Nation, J.G.; Robertson, D.I. Evaluation of surgical staging in stage I low malignant potential ovarian tumors. Gynecol. Oncol. 1991, 40, 129–132. [Google Scholar] [CrossRef] [PubMed]
- Kaern, J.; Tropé, C.G.; Abeler, V.M. A retrospective study of 370 borderline tumors of the ovary treated at the Norwegian Radium Hospital from 1970 to 1982. A review of clinicopathologic features and treatment modalities. Cancer 1993, 71, 1810–1820. [Google Scholar] [CrossRef] [PubMed]
- Bell, D.A. Ovarian surface epithelial-stromal tumors. Hum. Pathol. 1991, 22, 750–762. [Google Scholar] [CrossRef] [PubMed]
- Tinelli, R.; Malzoni, M.; Cosentino, F.; Perone, C.; Tinelli, A.; Malvasi, A.; Cicinelli, E. Feasibility, safety, and efficacy of conservative laparoscopic treatment of borderline ovarian tumors. Fertil. Steril. 2009, 92, 736–741. [Google Scholar] [CrossRef] [PubMed]
- Fauvet, R.; Brzakowski, M.; Morice, P.; Resch, B.; Marret, H.; Graesslin, O.; Daraï, E. Borderline ovarian tumors diagnosed during pregnancy exhibit a high incidence of aggressive features: Results of a French multicenter study. Ann. Oncol. 2012, 23, 1481–1487. [Google Scholar] [CrossRef] [PubMed]
- Blake, E.A.; Kodama, M.; Yunokawa, M.; Ross, M.S.; Ueda, Y.; Grubbs, B.H.; Matsuo, K. Feto-maternal outcomes of pregnancy complicated by epithelial ovarian cancer: A systematic review of literature. Eur. J. Obstet. Gynecol. Reprod. Biol. 2015, 186, 97–105. [Google Scholar] [CrossRef] [PubMed]
- Timmerman, D.; Planchamp, F.; Bourne, T.; Landolfo, C.; du Bois, A.; Chiva, L.; Fotopoulou, C. ESGO/ISUOG/IOTA/ESGE Consensus Statement on pre-operative diagnosis of ovarian tumors. Int. J. Gynecol. Cancer 2021, 31, 961–982. [Google Scholar] [CrossRef] [PubMed]
- Schwartz, N.; Timor-Tritsch, I.E.; Wang, E. Adnexal masses in pregnancy. Clin. Obstet. Gynecol. 2009, 52, 570–585. [Google Scholar] [CrossRef] [PubMed]
- Timmerman, D.; Ameye, L.; Fischerova, D.; Epstein, E.; Melis, G.B.; Guerriero, S.; Van Holsbeke, C.; Savelli, L.; Fruscio, R.; Lissoni, A.A.; et al. Simple ultrasound rules to distinguish between benign and malignant adnexal masses before surgery: Prospective validation by IOTA group. BMJ 2010, 341, c6839. [Google Scholar] [CrossRef] [PubMed]
- Cathcart, A.M.; Nezhat, F.R.; Emerson, J.; Pejovic, T.; Nezhat, C.H.; Nezhat, C.R. Adnexal masses during pregnancy: Diagnosis, treatment, and prognosis. Am. J. Obstet. Gynecol. 2023, 228, 601–612. [Google Scholar] [CrossRef] [PubMed]
- Valentin, L.; Hagen, B.; Tingulstad, S.; Eik-Nes, S. Comparison of ‘pattern recognition’ and logistic regression models for discrimination between benign and malignant pelvic masses: A prospective cross validation. Ultrasound Obstet. Gynecol. 2001, 18, 357–365. [Google Scholar] [CrossRef]
- Thomassin-Naggara, I.; Fedida, B.; Sadowski, E.; Chevrier, M.-C.; Chabbert-Buffet, N.; Ballester, M.; Tavolaro, S.; Darai, E. Complex US adnexal masses during pregnancy: Is pelvic MR imaging accurate for characterization? Eur. J. Radiol. 2017, 93, 200–208. [Google Scholar] [CrossRef] [PubMed]
- Yacobozzi, M.; Nguyen, D.; Rakita, D. Adnexal masses in pregnancy. Semin. Ultrasound CT MR 2012, 33, 55–64. [Google Scholar] [CrossRef] [PubMed]
- Telischak, N.A.; Yeh, B.M.; Joe, B.N.; Westphalen, A.C.; Poder, L.; Coakley, F.V. MRI of Adnexal Masses in Pregnancy. Am. J. Roentgenol. 2008, 191, 364–370. [Google Scholar] [CrossRef] [PubMed]
- Masselli, G.; Derchi, L.; McHugo, J.; Rockall, A.; Vock, P.; Weston, M.; Spencer, J. Acute abdominal and pelvic pain in pregnancy: ESUR recommendations. Eur. Radiol. 2013, 23, 3485–3500. [Google Scholar] [CrossRef] [PubMed]
- Thomassin-Naggara, I.; Poncelet, E.; Jalaguier-Coudray, A.; Guerra, A.; Fournier, L.S.; Stojanovic, S.; Millet, I.; Bharwani, N.; Juhan, V.; Cunha, T.M.; et al. Ovarian-Adnexal Reporting Data System Magnetic Resonance Imaging (O-RADS MRI) Score for Risk Stratification of Sonographically Indeterminate Adnexal Masses. JAMA Netw. Open 2020, 3, e1919896. [Google Scholar] [CrossRef]
- Frisch, A.; Walter, T.C.; Hamm, B.; Denecke, T. Efficacy of oral contrast agents for upper gastrointestinal signal suppression in MRCP: A systematic review of the literature. Acta Radiol. Open. 2017, 6, 2058460117727315. [Google Scholar] [CrossRef] [PubMed]
- Nougaret, S.; Lakhman, Y.; Bahadir, S.; Sadowski, E.; Thomassin-Naggara, I.; Reinhold, C. Ovarian-Adnexal Reporting and Data System for Magnetic Resonance Imaging (O-RADS MRI): Genesis and Future Directions. Can. Assoc. Radiol. J. 2023, 74, 370–381. [Google Scholar] [CrossRef] [PubMed]
- Panico, C.; Bottazzi, S.; Russo, L.; Avesani, G.; Celli, V.; D’erme, L.; Cipriani, A.; Mascilini, F.; Fagotti, A.; Scambia, G.; et al. Prediction of the Risk of Malignancy of Adnexal Masses during Pregnancy Comparing Subjective Assessment and Non-Contrast MRI Score (NCMS) in Radiologists with Different Expertise. Cancers 2023, 15, 5138. [Google Scholar] [CrossRef]
- Barbieri, M.; Somigliana, E.; Oneda, S.; Ossola, M.W.; Acaia, B.; Fedele, L. Decidualized ovarian endometriosis in pregnancy: A challenging diagnostic entity. Hum. Reprod. 2009, 24, 1818–1824. [Google Scholar] [CrossRef]
- Takeuchi, M.; Matsuzaki, K.; Nishitani, H. Magnetic resonance manifestations of decidualized endometriomas during pregnancy. J. Comput. Assist. Tomogr. 2008, 32, 353–355. [Google Scholar] [CrossRef] [PubMed]
- Van Holsbeke, C.; Amant, F.; Veldman, J.; De Boodt, A.; Moerman, P.; Timmerman, D. Hyperreactio luteinalis in a spontaneously conceived singleton pregnancy. Ultrasound Obstet. Gynecol. 2009, 33, 371–373. [Google Scholar] [CrossRef] [PubMed]
- Sammour, R.N.; Leibovitz, Z.; Shapiro, I.; Degani, S.; Levitan, Z.; Aharoni, A.; Tal, J.; Lurie, M.; Ohel, G. Decidualization of ovarian endometriosis during pregnancy mimicking malignancy. J. Ultrasound Med. 2005, 24, 1289–1294. [Google Scholar] [CrossRef] [PubMed]
- Morisawa, N.; Kido, A.; Kataoka, M.; Minamiguchi, S.; Konishi, I.; Togashi, K. Magnetic resonance imaging manifestations of decidualized endometriotic cysts: Comparative study with ovarian cancers associated with endometriotic cysts. J. Comput. Assist. Tomogr. 2014, 38, 879–884. [Google Scholar] [CrossRef] [PubMed]
- Takeuchi, M.; Matsuzaki, K.; Harada, M. Computed diffusion-weighted imaging for differentiating decidualized endometrioma from ovarian cancer. Eur. J. Radiol. 2016, 85, 1016–1019. [Google Scholar] [CrossRef] [PubMed]
- Murase, E.; Siegelman, E.S.; Outwater, E.K.; Perez-Jaffe, L.A.; Tureck, R.W. Uterine leiomyomas: Histopathologic features, MR imaging findings, differential diagnosis, and treatment. Radiographics 1999, 19, 1179–1197. [Google Scholar] [CrossRef] [PubMed]
- Yen, C.F.; Lin, S.L.; Murk, W.; Wang, C.-J.; Lee, C.-L.; Soong, Y.-K.; Arici, A. Risk analysis of torsion and malignancy for adnexal masses during pregnancy. Fertil. Steril. 2009, 91, 1895–1902. [Google Scholar] [CrossRef] [PubMed]
- Gholson, R.; Pullen, J.; Miles, A.; Gardner, M.O.; Doyle, N.M. Adnexal masses in pregnancy: Does magnitude matter? Obstet. Gynecol. 2014, 123, 192S–193S. [Google Scholar] [CrossRef]
- Bourgioti, C.; Konidari, M.; Moulopoulos, L.A. Imaging of Gynecologic Malignancy in a Reproductive Age Female: Cancer During Pregnancy. Radiol. Clin. N. Am. 2020, 58, 413–430. [Google Scholar] [CrossRef]
- Harwin, J.; Jha, P.; Post, A.; Silverstein, J.; Van Loon, K.; Poder, L. The radiologist’s role in a multidisciplinary approach to cancer in pregnancy. Abdom. Radiol. 2023, 48, 1605–1611. [Google Scholar] [CrossRef]
- Magro, G.; Angelico, G.; Michal, M.; Broggi, G.; Zannoni, G.F.; Covello, R.; Marletta, S.; Salvatorelli, L.; Parenti, R. The Wide Morphological Spectrum of Deep (Aggressive) Angiomyxoma of the Vulvo-Vaginal Region: A Clinicopathologic Study of 36 Cases, including Recurrent Tumors. Diagnostics 2021, 11, 1360. [Google Scholar] [CrossRef] [PubMed]
- Cicogna, S.; Dellino, M.; Miano, S.T.; Magazzino, F.; Domenici, L.; Pignata, S.; Mangili, G.; Cormio, G. Aggressive Angiomyxoma of the Lower Female Genital Tract in Pregnancy: A Review of the MITO Rare Tumors Group. Cancers 2023, 15, 3403. [Google Scholar] [CrossRef] [PubMed]
- Ribaldone, R.; Piantanida, P.; Surico, D.; Boldorini, R.; Colombo, N.; Surico, N. Aggressive angiomyxoma of the vulva. Gynecol. Oncol. 2004, 95, 724–728. [Google Scholar] [CrossRef] [PubMed]
- Malukani, K.; Varma, A.V.; Choudhary, D.; Dosi, S. Aggressive angiomyxoma in pregnancy: A rare and commonly misdiagnosed entity. J. Lab. Physicians 2018, 10, 245–247. [Google Scholar] [CrossRef] [PubMed]
- Aye, C.; Jefferis, H.; Chung, D.Y.; Manek, S.; Kehoe, S. A case of multi-modal managed vulval aggressive angiomyxoma diagnosed before conception and monitored during pregnancy. Gynecol. Oncol. 2009, 115, 170–171. [Google Scholar] [CrossRef] [PubMed]
- Espejo-Reina, M.P.; Prieto-Moreno, M.; De-Miguel-Blanc, M.; Pérez-Martínez, D.M.; Jiménez-López, J.S.; Monís-Rodríguez, S. Genital Prolapse in Pregnant Woman as a Presentation of Aggressive Angiomyxoma: Case Report and Literature Review. Medicina 2022, 58, 107. [Google Scholar] [CrossRef] [PubMed]
- Kehoe, S. Cervical and endometrial cancer during pregnancy. Recent Results Cancer Res. 2008, 178, 69–74. [Google Scholar] [CrossRef]
- Laughlin, S.K.; Baird, D.D.; Savitz, D.A.; Herring, A.H.; Hartmann, K.E. Prevalence of uterine leiomyomas in the first trimester of pregnancy: An ultrasound-screening study. Obstet. Gynecol. 2009, 113, 630–635. [Google Scholar] [CrossRef]
- Van den Bosch, T.; Coosemans, A.; Morina, M.; Timmerman, D.; Amant, F. Screening for uterine tumours. Best Pract. Res. Clin. Obstet. Gynaecol. 2012, 26, 257–266. [Google Scholar] [CrossRef]
- Matsuo, K.; Eno, M.L.; Im, D.D.; Rosenshein, N.B. Pregnancy and genital sarcoma: A systematic review of the literature. Am. J. Perinatol. 2009, 26, 507–518. [Google Scholar] [CrossRef]
- Kawamotoa, S.; Ogawa, F.; Tanaka, J.; Ban, S.; Heshiki, A. Chorioangioma: Antenatal diagnosis with fast MR imaging. Magn. Reson. Imaging 2000, 18, 911–914. [Google Scholar] [CrossRef]
- Masselli, G.; Gualdi, G. MR imaging of the placenta: What a radiologist should know. Abdom. Imaging 2013, 38, 573–587. [Google Scholar] [CrossRef] [PubMed]








| Imaging Technique | Fetal Radiation Dose (mGy) |
|---|---|
| Chest X-ray | <0.01 |
| Mammography (two planes, bilateral) | <0.01 |
| CT of the head | <0.005 to 0.5 |
| CT of the chest | 0.001–0.66 |
| CT of the abdomen/pelvis | 8–25 |
| 18F-FDG PET/CT | 10–50 |
| Sequence | Plane | Value |
|---|---|---|
| T2-W SSFSE (mandatory) | Axial (up to the level of renal ileum) Sagittal and Coronal | Overall view of pelvic and abdominal organs and minimizes fetal motion artifacts |
| High-resolution T2-W (mandatory) | Axial oblique plane (perpendicular to the cervical long axis), when cervical tumors are evaluated. True coronal plane (parallel to the uterine cavity), when adnexal masses are evaluated | Achieves optimal contrast difference between tumor and normal tissue |
| T1-W 3D fat suppression TSE or Dixon (mandatory) | Axial | Provides information on pelvic anatomy, hemorrhagic lesions, lymph nodes, and bone marrow. Fat suppression allows the diagnosis of hemorrhage vs. fat |
| DWI (0, 800, 1400 s/mm2) (mandatory) | Axial | Discriminates cancerous from normal tissue and detects lymph nodes |
| T2-W with fat suppression (optional) | Axial | Detects fluid collection and bone marrow changes |
| Steady-state sequences (optional) | Axial | Detects lymph nodes and vessel infiltration |
Disclaimer/Publisher’s Note: The statements, opinions and data contained in all publications are solely those of the individual author(s) and contributor(s) and not of MDPI and/or the editor(s). MDPI and/or the editor(s) disclaim responsibility for any injury to people or property resulting from any ideas, methods, instructions or products referred to in the content. |
© 2025 by the authors. Licensee MDPI, Basel, Switzerland. This article is an open access article distributed under the terms and conditions of the Creative Commons Attribution (CC BY) license (https://creativecommons.org/licenses/by/4.0/).
Share and Cite
Masselli, G.; Bourgioti, C. Review of the Imaging Modalities in the Gynecological Neoplasms During Pregnancy. Cancers 2025, 17, 838. https://doi.org/10.3390/cancers17050838
Masselli G, Bourgioti C. Review of the Imaging Modalities in the Gynecological Neoplasms During Pregnancy. Cancers. 2025; 17(5):838. https://doi.org/10.3390/cancers17050838
Chicago/Turabian StyleMasselli, Gabriele, and Charis Bourgioti. 2025. "Review of the Imaging Modalities in the Gynecological Neoplasms During Pregnancy" Cancers 17, no. 5: 838. https://doi.org/10.3390/cancers17050838
APA StyleMasselli, G., & Bourgioti, C. (2025). Review of the Imaging Modalities in the Gynecological Neoplasms During Pregnancy. Cancers, 17(5), 838. https://doi.org/10.3390/cancers17050838
