Validation of the International Medullary Thyroid Cancer Grading System and Identification of EZH2 as a Prognostic and Potential Therapeutic Marker in Medullary Thyroid Cancer
Simple Summary
Abstract
1. Introduction
2. Materials and Methods
2.1. Patients
2.2. Definitions
2.3. Histopathology and Construction of Tissue Microarray
2.4. Digital Images
2.5. Morphological Assessment
2.6. Immunohistochemistry
2.7. Digital Scoring of Ki-67
2.8. Scoring of Biomarkers
2.9. Statistical Analysis
2.10. Ethical Approval
3. Results
3.1. Patients
3.2. Morphological Features on Histopathology and IMTCGS
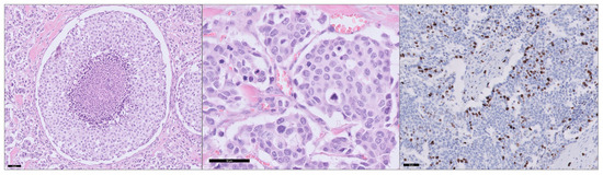
3.3. Biomarkers with a Potential Diagnostic and Therapeutic Consequence
3.4. Prognostic Factors
4. Discussion
5. Conclusions
Author Contributions
Funding
Institutional Review Board Statement
Informed Consent Statement
Data Availability Statement
Acknowledgments
Conflicts of Interest
References
- Hazard, J.B.; Hawk, W.A.; Crile, G. Medullary (Solid) Carcinoma of the Thyroid—A Clinicopathologic Entity. J. Clin. Endocrinol. Metab. 1959, 19, 152–161. [Google Scholar] [CrossRef] [PubMed]
- Modigliani, E.; Cohen, R.; Campos, J.M.; Conte-Devolx, B.; Maes, B.; Boneu, A.; Schlumberger, M.; Bigorgne, J.C.; Dumontier, P.; Leclerc, L.; et al. Prognostic Factors for Survival and for Biochemical Cure in Medullary Thyroid Carcinoma: Results in 899 Patients. Clin. Endocrinol. 1998, 48, 265–273. [Google Scholar] [CrossRef] [PubMed]
- Meijer, J.A.A.; Le Cessie, S.; Van Den Hout, W.B.; Kievit, J.; Schoones, J.W.; Romijn, J.A.; Smit, J.W.A. Calcitonin and Carcinoembryonic Antigen Doubling Times as Prognostic Factors in Medullary Thyroid Carcinoma: A Structured Meta-Analysis. Clin. Endocrinol. 2010, 72, 534–542. [Google Scholar] [CrossRef]
- Moura, M.M.; Cabrera, R.A.; Esteves, S.; Cavaco, B.M.; Soares, P.; Leite, V. Correlation of Molecular Data with Histopathological and Clinical Features in a Series of 66 Patients with Medullary Thyroid Carcinoma. J. Endocrinol. Investig. 2021, 44, 1837–1846. [Google Scholar] [CrossRef] [PubMed]
- Xu, B.; Fuchs, T.L.; Ahmadi, S.; Alghamdi, M.; Alzumaili, B.; Bani, M.-A.; Baudin, E.; Chou, A.; De Leo, A.; Fagin, J.A.; et al. International Medullary Thyroid Carcinoma Grading System: A Validated Grading System for Medullary Thyroid Carcinoma. J. Clin. Oncol. 2022, 40, 96–104. [Google Scholar] [CrossRef]
- Subbiah, V.; Cote, G.J. Advances in Targeting RET-Dependent Cancers. Cancer Discov. 2020, 10, 498–505. [Google Scholar] [CrossRef]
- Hansford, J.R.; Mulligan, L.M. Multiple Endocrine Neoplasia Type 2 and RET: From Neoplasia to Neurogenesis. J. Med. Genet. 2000, 37, 817–827. [Google Scholar] [CrossRef]
- Esteban-Villarrubia, J.; Soto-Castillo, J.J.; Pozas, J.; Román-Gil, M.S.; Orejana-Martín, I.; Torres-Jiménez, J.; Carrato, A.; Alonso-Gordoa, T.; Molina-Cerrillo, J. Tyrosine Kinase Receptors in Oncology. Int. J. Mol. Sci. 2020, 21, 8529. [Google Scholar] [CrossRef]
- Sharma, S.; Kelly, T.K.; Jones, P.A. Epigenetics in Cancer. Carcinogenesis 2009, 31, 27–36. [Google Scholar] [CrossRef]
- Liu, Y.; Yang, Q. The Roles of EZH2 in Cancer and Its Inhibitors. Med. Oncol. 2023, 40, 167. [Google Scholar] [CrossRef]
- Duan, R.; Du, W.; Guo, W. EZH2: A Novel Target for Cancer Treatment. J. Hematol. Oncol. 2020, 13, 104. [Google Scholar] [CrossRef] [PubMed]
- Masudo, K.; Suganuma, N.; Nakayama, H.; Oshima, T.; Rino, Y.; Iwasaki, H.; Matsuzu, K.; Sugino, K.; Ito, K.; Kondo, T.; et al. EZH2 Overexpression as a Useful Prognostic Marker for Aggressive Behaviour in Thyroid Cancer. In Vivo 2018, 32, 25–31. [Google Scholar] [CrossRef] [PubMed]
- April-Monn, S.L.; Andreasi, V.; Lena, M.S.; Sadowski, M.C.; Kim-Fuchs, C.; Buri, M.C.; Ketkar, A.; Maire, R.; Di Domenico, A.; Schrader, J.; et al. Ezh2 Inhibition as New Epigenetic Treatment Option for Pancreatic Neuroendocrine Neoplasms (Pannens). Cancers 2021, 13, 5014. [Google Scholar] [CrossRef] [PubMed]
- Inari, H.; Suganuma, N.; Kawachi, K.; Yoshida, T.; Yamanaka, T.; Nakamura, Y.; Yoshihara, M.; Nakayama, H.; Yamanaka, A.; Masudo, K.; et al. Expression of Enhancer of Zeste Homolog 2 Correlates with Survival Outcome in Patients with Metastatic Breast Cancer: Exploratory Study Using Primary and Paired Metastatic Lesions. BMC Cancer 2017, 17, 160. [Google Scholar] [CrossRef] [PubMed][Green Version]
- Kleer, C.G.; Cao, Q.; Varambally, S.; Shen, R.; Ota, I.; Tomlins, S.A.; Ghosh, D.; Sewalt, R.G.A.B.; Otte, A.P.; Hayes, D.F.; et al. EZH2 Is a Marker of Aggressive Breast Cancer and Promotes Neoplastic Transformation of Breast Epithelial Cells. Proc. Natl. Acad. Sci. USA 2003, 100, 11606–11611. [Google Scholar] [CrossRef]
- Sponziello, M.; Durante, C.; Boichard, A.; Dima, M.; Puppin, C.; Verrienti, A.; Tamburrano, G.; Di Rocco, G.; Redler, A.; Lacroix, L.; et al. Epigenetic-Related Gene Expression Profile in Medullary Thyroid Cancer Revealed the Overexpression of the Histone Methyltransferases EZH2 and SMYD3 in Aggressive Tumours. Mol. Cell Endocrinol. 2014, 392, 8–13. [Google Scholar] [CrossRef]
- Koopman, T.; Buikema, H.J.; Hollema, H.; de Bock, G.H.; van der Vegt, B. Digital Image Analysis of Ki67 Proliferation Index in Breast Cancer Using Virtual Dual Staining on Whole Tissue Sections: Clinical Validation and Inter-Platform Agreement. Breast Cancer Res. Treat. 2018, 169, 33–42. [Google Scholar] [CrossRef]
- Vissio, E.; Maletta, F.; Fissore, J.; Osella Abate, S.; Retta, F.; Brizzi, M.P.; Piovesan, A.; Rossetto Giaccherino, R.; Volante, M.; Papotti, M. External Validation of Three Available Grading Systems for Medullary Thyroid Carcinoma in a Single Institution Cohort. Endocr. Pathol. 2022, 33, 359–370. [Google Scholar] [CrossRef]
- Lubin, D.J.; Behrman, D.B.; Goyal, S.; Magliocca, K.; Shi, Q.; Chen, A.Y.; Viswanathan, K. Independent Validation of the International Grading System for Medullary Thyroid Carcinoma: A Single Institution Experience. Mod. Pathol. 2023, 36, 100235. [Google Scholar] [CrossRef]
- Rai, V.; Saha, A.; Mehta, S.; Shah, R.A.; Trivedi, P.; Samanta, S.T.; Rathod, P.; Manimaran, P. International Medullary Thyroid Carcinoma Grading System: An Indian Tertiary Care Centre Experience. Eur. Arch. Oto-Rhino-Laryngol. 2024, 281, 1571–1579. [Google Scholar] [CrossRef]
- Williams, J.F.; Zhao, M.; Najdawi, F.; Ahmadi, S.; Hornick, J.L.; Wong, K.S.; Barletta, J.A. Grading of Medullary Thyroid Carcinoma: An Interobserver Reproducibility Study. Endocr. Pathol. 2022, 33, 371–377. [Google Scholar] [CrossRef] [PubMed]
- De Groot, J.W.B.; Plukker, J.T.M.; Wolffenbuttel, B.H.R.; Wiggers, T.; Sluiter, W.J.; Links, T.P. Determinants of Life Expectancy in Medullary Thyroid Cancer: Age Does Not Matter. Clin. Endocrinol. 2006, 65, 729–736. [Google Scholar] [CrossRef] [PubMed]
- Opsahl, E.M.; Akslen, L.A.; Schlichting, E.; Aas, T.; Brauckhoff, K.; Hagen, A.I.; Rosenlund, A.F.; Sigstad, E.; Grøholt, K.K.; Mæhle, L.; et al. Trends in Diagnostics, Surgical Treatment, and Prognostic Factors for Outcomes in Medullary Thyroid Carcinoma in Norway: A Nationwide Population-Based Study. Eur. Thyroid. J. 2019, 8, 31–40. [Google Scholar] [CrossRef] [PubMed]
- Fuchs, T.L.; Nassour, A.J.; Glover, A.; Sywak, M.S.; Sidhu, S.B.; Delbridge, L.W.; Clifton-Bligh, R.J.; Gild, M.L.; Tsang, V.; Robinson, B.G.; et al. A Proposed Grading Scheme for Medullary Thyroid Carcinoma Based on Proliferative Activity (Ki-67 and Mitotic Count) and Coagulative Necrosis. Am. J. Surg. Pathol. 2020, 44, 1419–1428. [Google Scholar] [CrossRef] [PubMed]
- Bremer, S.C.B.; Bittner, G.; Elakad, O.; Dinter, H.; Gaedcke, J.; König, A.O.; Amanzada, A.; Ellenrieder, V.; Freiherr von Hammerstein-Equord, A.; Ströbel, P.; et al. Enhancer of Zeste Homolog 2 (EZH2) Is a Marker of High-Grade Neuroendocrine Neoplasia in Gastroenteropancreatic and Pulmonary Tract and Predicts Poor Prognosis. Cancers 2022, 14, 2828. [Google Scholar] [CrossRef]
- Lodewijk, L.; Willems, S.M.; Dreijerink, K.M.A.; de Keizer, B.; van Diest, P.J.; Schepers, A.; Morreau, H.; Bonenkamp, H.J.; Van Engen–van Grunsven, I.A.C.H.; Kruijff, S.; et al. The Theranostic Target Prostate-Specific Membrane Antigen Is Expressed in Medullary Thyroid Cancer. Hum. Pathol. 2018, 81, 245–254. [Google Scholar] [CrossRef]
- Eilsberger, F.; Luster, M.; Librizzi, D.; Rodepeter, F.; Holzer, K.; Pfestroff, A. Medullary Thyroid Carcinoma Presenting as an Incidentaloma on Gallium-68-PSMA-PET/CT—Systematic Literature Review and Case Report. Nukl. Nucl. 2022, 61, 458–461. [Google Scholar] [CrossRef]
- Hofman, M.S.; Violet, J.; Hicks, R.J.; Ferdinandus, J.; Ping Thang, S.; Akhurst, T.; Iravani, A.; Kong, G.; Ravi Kumar, A.; Murphy, D.G.; et al. [177Lu]-PSMA-617 Radionuclide Treatment in Patients with Metastatic Castration-Resistant Prostate Cancer (LuPSMA Trial): A Single-Centre, Single-Arm, Phase 2 Study. Lancet Oncol. 2018, 19, 825–833. [Google Scholar] [CrossRef]
- Bi, Y.; Ren, X.; Bai, X.; Meng, Y.; Luo, Y.; Cao, J.; Zhang, Y.; Liang, Z. PD-1/PD-L1 Expressions in Medullary Thyroid Carcinoma: Clinicopathologic and Prognostic Analysis of Chinese Population. Eur. J. Surg. Oncol. 2019, 45, 353–358. [Google Scholar] [CrossRef]
- Shi, X.; Yu, P.C.; Lei, B.W.; Li, C.W.; Zhang, Y.; Tan, L.C.; Shi, R.L.; Wang, J.; Ma, B.; Xu, W.B.; et al. Association between Programmed Death-Ligand 1 Expression and Clinicopathological Characteristics, Structural Recurrence, and Biochemical Recurrence/Persistent Disease in Medullary Thyroid Carcinoma. Thyroid 2019, 29, 1269–1278. [Google Scholar] [CrossRef]




| All Patients n = 64 n (%) or Median (IQR) | Low-Risk MTC n = 43 n (%) or Median (IQR) | High-Risk MTC n = 21 n (%) or Median (IQR) | Low vs. High p-Value | |
|---|---|---|---|---|
| Sex | 0.035 | |||
| Male | 33 (52) | 18 (42) | 15 (71) | |
| Female | 31 (48) | 25 (58) | 6 (29) | |
| Type of MTC | 1.000 | |||
| Sporadic | 52 (81) | 35 (81) | 17 (81) | |
| Hereditary | 12 (19) | 8 (19) | 4 (19) | |
| T-stage | 0.803 | |||
| T1 | 22 (34) | 16 (37) | 6 (29) | |
| T2 | 25 (39) | 16 (37) | 9 (43) | |
| T3 | 13 (20) | 9 (21) | 4 (19) | |
| T4 | 4 (6) | 2 (5) | 2 (10) | |
| N-stage | 0.351 | |||
| N0 | 18 (28) | 14 (33) | 4 (19) | |
| N1a | 12 (19) | 9 (21) | 3 (14) | |
| N1b | 34 (53) | 20 (47) | 14 (67) | |
| M-stage | 0.460 | |||
| M0 | 55 (86) | 38 (88) | 17 (81) | |
| M1 | 9 (14) | 5 (12) | 4 (19) | |
| TNM | 0.324 | |||
| I | 8 (13) | 6 (14) | 2 (10) | |
| II | 10 (16) | 8 (19) | 2 (10) | |
| III | 8 (13) | 7 (16) | 1 (5) | |
| IV | 38 (59) | 22 (51) | 16 (76) |
| All Patients n = 64 n (%) or Median (IQR) | Low-Risk MTC n = 43 n (%) or Median (IQR) | High-Risk MTC n = 21 n (%) or Median (IQR) | Low vs. High p-Value | |
|---|---|---|---|---|
| Tumor size in mm | 28 (15–40) | 27 (13–40) | 30 (17–43) | 0.529 |
| Vascular invasion | 39 (61) | 21 (49) | 18 (86) | 0.006 |
| Perineural growth | 5 (8) | 2 (5) | 3 (14) | 0.320 |
| Extrathyroidal extension | 30 (47) | 14 (33) | 16 (76) | 0.001 |
| Positive resection margin | 27 (42) | 15 (35) | 12 (57) | 0.111 |
| Multifocality | 23 (36) | 15 (35) | 8 (38) | 1.000 |
| Bilaterality * | 16 (26) | 11 (26) | 5 (26) | 1.000 |
| Growth pattern | ||||
| Solid | 42 (66) | 32 (74) | 10 (48) | 0.050 |
| Lobular | 21 (33) | 11 (26) | 10 (48) | 0.095 |
| Trabecular | 8 (13) | 4 (9) | 4 (19) | 0.422 |
| Cribriform | 2 (3) | 1 (2) | 1 (5) | 1.000 |
| Follicular | 3 (5) | 2 (5) | 1 (5) | 1.000 |
| Cell shape | ||||
| Round | 16 (25) | 9 (21) | 7 (33) | 0.360 |
| Polygonal | 45 (70) | 28 (65) | 17 (81) | 0.251 |
| Spindled | 32 (50) | 17 (40) | 15 (71) | 0.032 |
| Hyperchromatic nuclei | 13 (20) | 9 (21) | 4 (19) | 1.000 |
| Nuclear grade | 0.785 | |||
| Low | 22 (34) | 16 (37) | 6 (29) | |
| Intermediate | 29 (45) | 18 (42) | 11 (52) | |
| High | 13 (20) | 9 (21) | 4 (19) | |
| Multinucleated cells | 25 (39) | 15 (35) | 10 (48) | 0.416 |
| Prominent nucleoli | 16 (25) | 11 (26) | 5 (24) | 1.000 |
| Oncocytic variant | 17 (27) | 11 (26) | 6 (29) | 1.000 |
| Clear-cell variant | 14 (22) | 11 (26) | 3 (14) | 0.356 |
| Fibrosis/amyloid | 0.269 | |||
| None–mild | 22 (34) | 17 (40) | 5 (24) | |
| Moderate–prominent | 42 (66) | 26 (60) | 16 (76) | |
| Microcalcifications | 19 (30) | 13 (30) | 6 (29) | 1.000 |
| Encapsulation | 0.242 | |||
| None | 32 (50) | 21 (49) | 11 (52) | |
| Partially | 22 (34) | 13 (30) | 9 (43) | |
| Completely | 10 (16) | 9 (21) | 1 (5) | |
| Tumor necrosis | 19 (30) | 0 (0) | 19 (90) | <0.001 |
| Mitotic count ≥ 5 | 3 (5) | 0 (0) | 3 (14) | 0.032 |
| Ki-67 ≥ 5% ** | 7 (11) | 0 (0) | 7 (35) | <0.001 |
| Biomarker | Patients n = 46 n (%) or Median (IQR) | Low-Risk MTC n = 34 n (%) or Median (IQR) | High-Risk MTC n = 12 n (%) or Median (IQR) | Low vs. High p-Value |
|---|---|---|---|---|
| EZH2 intensity | 0.022 | |||
| 0 | 7 (15) | 7 (21) | 0 (0) | |
| 1 | 24 (52) | 20 (59) | 4 (33) | |
| 2 | 9 (20) | 4 (12) | 5 (42) | |
| 3 | 6 (13) | 3 (9) | 3 (25) | |
| EZH2% positivity | 0.165 | |||
| Negative 0% | 7 (15) | 7 (21) | 0 (0) | |
| Low 1–9% | 30 (65) | 25 (74) | 5 (42) | |
| High ≥ 10% | 9 (20) | 2 (6) | 7 (58) | |
| PD-L1 combined score | 10 (22) | 6 (18) | 4 (33) | 0.416 |
| Clone 22C3 | 10 (22) | 6 (18) | 4 (33) | |
| Clone SP263 | 5 (11) | 3 (9) | 2 (17) | |
| PSMA average number of positive vessels | 11 (6–19) | 10 (5–17) | 15 (7–29) | 0.101 |
| CD31 average number of positive vessels | 28 (17–34) | 22 (14–29) | 33 (24–47) | 0.021 |
Disclaimer/Publisher’s Note: The statements, opinions and data contained in all publications are solely those of the individual author(s) and contributor(s) and not of MDPI and/or the editor(s). MDPI and/or the editor(s) disclaim responsibility for any injury to people or property resulting from any ideas, methods, instructions or products referred to in the content. |
© 2025 by the authors. Licensee MDPI, Basel, Switzerland. This article is an open access article distributed under the terms and conditions of the Creative Commons Attribution (CC BY) license (https://creativecommons.org/licenses/by/4.0/).
Share and Cite
Jager, E.C.; van Hemel, B.M.; Rutgers, B.; Zandee, W.T.; Jansen, L.; Kruijff, S.; Links, T.P. Validation of the International Medullary Thyroid Cancer Grading System and Identification of EZH2 as a Prognostic and Potential Therapeutic Marker in Medullary Thyroid Cancer. Cancers 2025, 17, 737. https://doi.org/10.3390/cancers17050737
Jager EC, van Hemel BM, Rutgers B, Zandee WT, Jansen L, Kruijff S, Links TP. Validation of the International Medullary Thyroid Cancer Grading System and Identification of EZH2 as a Prognostic and Potential Therapeutic Marker in Medullary Thyroid Cancer. Cancers. 2025; 17(5):737. https://doi.org/10.3390/cancers17050737
Chicago/Turabian StyleJager, Eline C., Bettien M. van Hemel, Bea Rutgers, Wouter T. Zandee, Liesbeth Jansen, Schelto Kruijff, and Thera P. Links. 2025. "Validation of the International Medullary Thyroid Cancer Grading System and Identification of EZH2 as a Prognostic and Potential Therapeutic Marker in Medullary Thyroid Cancer" Cancers 17, no. 5: 737. https://doi.org/10.3390/cancers17050737
APA StyleJager, E. C., van Hemel, B. M., Rutgers, B., Zandee, W. T., Jansen, L., Kruijff, S., & Links, T. P. (2025). Validation of the International Medullary Thyroid Cancer Grading System and Identification of EZH2 as a Prognostic and Potential Therapeutic Marker in Medullary Thyroid Cancer. Cancers, 17(5), 737. https://doi.org/10.3390/cancers17050737

