Updates on the Biological Heterogeneity of Mantle Cell Lymphoma
Simple Summary
Abstract
1. Introduction
2. Biologic Heterogeneity and Subclassification of MCL
3. Traditional Prognostic Markers and Risk Stratification
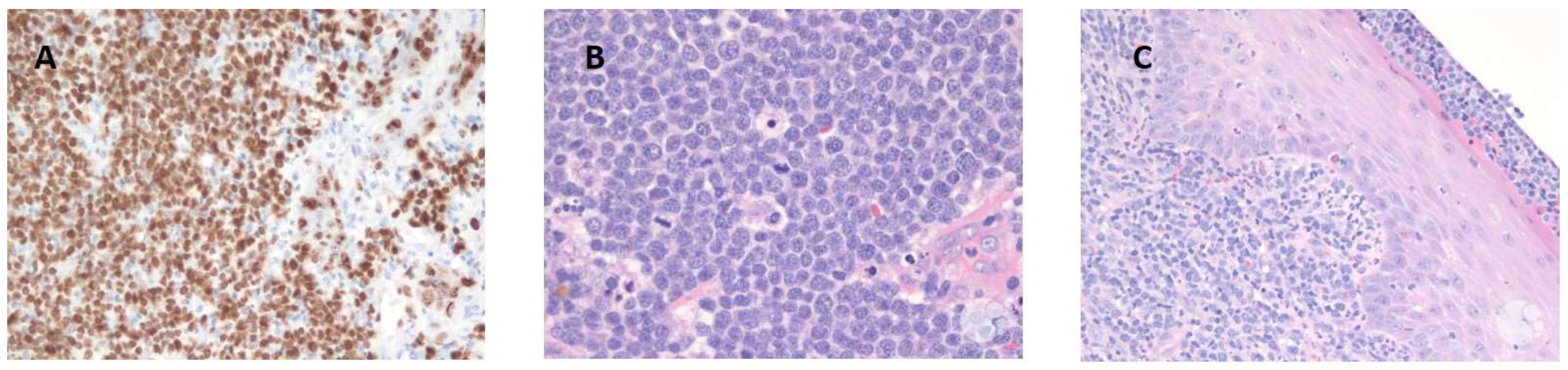
3.1. Blastoid and Pleomorphic Variants
3.2. Complex Karyotype
3.3. TP53 Abnormalities
3.4. CDKN2A Deletions
3.5. SOX11
3.6. Cyclin D1 (CCND1)
3.7. Immunoglobulin Heavy Chain Variable (IGHV) Mutations
3.8. ATM
3.9. NOTCH1 and NOTCH2
3.10. MYC
4. Newer Genomic Expression Profiling in MCL
5. Novel Treatment Approaches Addressing the Biologic Heterogeneity of MCL
5.1. Covalent BTK Inhibitors
5.2. Ibrutinib
5.3. Acalabrutinib
5.4. Zanubrutinib
5.5. Noncovalent BTK Inhibitor: Pirtobrutinib
5.6. BTK Degraders: BGB-16673 and NX-2127
5.7. BCL-2 Inhibitors
5.7.1. Venetoclax
5.7.2. Sonrotoclax
5.8. ROR1 Inhibitors
Zilovertamab
5.9. T-Cell Engagers
5.9.1. Blinatumomab
5.9.2. Epcoritamab
5.9.3. Glofitamab
5.9.4. Mosunetuzumab
5.9.5. NVG-11
5.10. Immunomodulatory Agents: Lenalidomide
5.11. Doublet and Triplet Regimens: Lenalidomide–Rituximab and Acalabrutinib–Lenalidomide–Rituximab
5.12. CAR-T Therapy
| Trial Name | Therapy | Line of Therapy | Phase | Total Patients | MCL Patients | Key Findings | Status |
|---|---|---|---|---|---|---|---|
| ZUMA-2 [118] | Brexucabtagene autoleucel (KTE-X19, Tecartus®) | ≥3rd | Phase 2 | 74 | 74 | Achieved an ORR of 87%, with a CR rate of 62%. | Completed |
| TRANSCEND [119,121] | Lisocabtagene maraleucel (Breyanzi®) | ≥3rd | Phase 1 | 344 | 88 | Achieved an ORR of 83% and a CR rate of 72.3% in the MCL cohort. | Completed |
| TARMAC study [122] | Tisagenlecleucel (CTL019, Kymriah®) + Ibrutinib | ≥2nd | Phase 2 | 20 | 20 | 12-month PFS and overall survival were 75% and 100%. | Completed |
| NCT04484012 [123] | CD19.28.z.EGFRt-CAR + acalabrutinib | ≥3rd | Phase 1 | 8 | 8 | Achieved an ORR of 88%, with a CR rate of 75%. | Completed |
5.13. Rituximab Maintenance in MCL
6. Navigating the Tumor Microenvironment in MCL
7. Conclusions and Recommended Treatment Approaches
Author Contributions
Funding
Conflicts of Interest
References
- Armitage, J.O.; Longo, D.L. Mantle-cell lymphoma. N. Engl. J. Med. 2022, 386, 2495–2506. [Google Scholar] [CrossRef] [PubMed]
- Jain, P.; Wang, M. Mantle cell lymphoma: 2019 update on the diagnosis, pathogenesis, prognostication, and management. Am. J. Hematol. 2019, 94, 710–725. [Google Scholar] [CrossRef]
- Ryan, C.E.; Armand, P.; LaCasce, A.S. Frontline treatment of mantle cell lymphoma. Blood 2025, 13, 663–672. [Google Scholar] [CrossRef] [PubMed]
- Teras, L.R.; DeSantis, C.E.; Cerhan, J.R.; Morton, L.M.; Jemal, A.; Flowers, C.R. 2016 US lymphoid malignancy statistics by World Health Organization subtypes. CA Cancer J. Clin. 2016, 66, 443–459. [Google Scholar] [CrossRef] [PubMed]
- Scheubeck, G.; Jiang, L.; Hermine, O.; Kluin-Nelemans, H.C.; Schmidt, C.; Unterhalt, M.; Rosenwald, A.; Klapper, W.; Evangelista, A.; Ladetto, M.; et al. Clinical outcome of Mantle Cell Lymphoma patients with high-risk disease (high-risk MIPI-c or high p53 expression). Leukemia 2023, 37, 1887–1894. [Google Scholar] [CrossRef] [PubMed]
- Jaffe, E.S.; Bookman, M.A.; Longo, D.L. Lymphocytic lymphoma of intermediate differentiation—Mantle zone lymphoma: A distinct subtype of B-cell lymphoma. Hum. Pathol. 1987, 18, 877–880. [Google Scholar] [CrossRef] [PubMed]
- Hernandez, L.; Fest, T.; Cazorla, M.; Teruya-Feldstein, J.; Bosch, F.; Peinado, M.A.; Piris, M.A.; Montserrat, E.; Cardesa, A.; Jaffe, E.S.; et al. p53 gene mutations and protein overexpression are associated with aggressive variants of mantle cell lymphomas. Blood 1996, 87, 3351–3359. [Google Scholar] [CrossRef] [PubMed]
- Aukema, S.M.; Hoster, E.; Rosenwald, A.; Canoni, D.; Delfau-Larue, M.-H.; Rymkiewicz, G.; Thorns, C.; Hartmann, S.; Kluin-Nelemans, H.; Hermine, O.; et al. Expression of TP53 is associated with the outcome of MCL independent of MIPI and Ki-67 in trials of the European MCL Network. Blood 2018, 131, 417–420. [Google Scholar] [CrossRef] [PubMed]
- Navarro, A.; Beà, S.; Jares, P.; Campo, E. Molecular Pathogenesis of Mantle Cell Lymphoma. Hematol. Oncol. Clin. N. Am. 2020, 34, 795–807. [Google Scholar] [CrossRef]
- Campo, E.; Jaffe, E.S.; Cook, J.R.; Quintanilla-Martinez, L.; Swerdlow, S.H.; Anderson, K.C.; Brousset, P.; Cerroni, L.; de Leval, L.; Dirnhofer, S.; et al. The international consensus classification of mature lymphoid neoplasms: A report from the Clinical Advisory Committee. Blood 2022, 140, 1129–1253. [Google Scholar] [CrossRef]
- Alaggio, R.; Amador, C.; Anagnostopoulos, I.; Attygalle, A.D.; Araujo, I.B.; Berti, E.; Bhagat, G.; Borges, A.M.; Boyer, D.; Calaminici, M.; et al. The 5th edition of the World Health Organization classification of haematolymphoid tumours: Lymphoid neoplasms. Leukemia 2022, 36, 1720–1748. [Google Scholar] [CrossRef] [PubMed]
- Lee, H.H.; Cho, S.G.; Lee, I.S.; Cho, H.J.; Jeon, Y.W.; O, J.H.; Jung, S.E.; Choi, B.O.; Park, K.S.; Yang, S.W. Mantle cell lymphoma with gastrointestinal involvement and the role of endoscopic examinations. PLoS ONE 2020, 15, e0239740. [Google Scholar] [CrossRef] [PubMed]
- Oishi, N.; Montes-Moreno, S.; Feldman, A.L. In situ neoplasia in lymph node pathology. Semin. Diagn. Pathol. 2018, 35, 76–83. [Google Scholar] [CrossRef] [PubMed]
- Carvajal-Cuenca, A.; Sua, L.F.; Silva, N.M.; Pittaluga, S.; Royo, C.; Song, J.Y.; Sargent, R.L.; Espinet, B.; Climent, F.; Jacobs, S.A.; et al. In situ mantle cell lymphoma: Clinical implications of an incidental finding with indolent clinical behavior. Haematologica 2012, 97, 270–278. [Google Scholar] [CrossRef] [PubMed]
- Karube, K.; Scarfo, L.; Campo, E.; Ghia, P. Monoclonal B cell lymphocytosis and “in situ” lymphoma. Semin. Cancer Biol. 2014, 24, 3–14. [Google Scholar] [CrossRef] [PubMed]
- Li, J.Y.; Gaillard, F.; Moreau, A.; Harousseau, J.L.; Laboisse, C.; Milpied, N.; Bataille, R.; Avet-Loiseau, H. Detection of translocation t(11;14)(q13;q32) in mantle cell lymphoma by fluorescence in situ hybridization. Am. J. Pathol. 1999, 154, 1449–1452. [Google Scholar] [CrossRef] [PubMed]
- Vandenberghe, E.; De Wolf-Peeters, C.; van den Oord, J.; Wlodarska, I.; Delabie, J.; Stul, M.; Thomas, J.; Michaux, J.L.; Mecucci, C.; Cassiman, J.J.; et al. Translocation (11;14): A cytogenetic anomaly associated with B-cell lymphomas of non-follicle centre cell lineage. J. Pathol. 1991, 163, 13–18. [Google Scholar] [CrossRef] [PubMed]
- Salaverria, I.; Royo, C.; Carvajal-Cuenca, A.; Clot, G.; Navarro, A.; Valera, A.; Song, J.Y.; Woroniecka, R.; Rymkiewicz, G.; Klapper, W.; et al. CCND2 rearrangements are the most frequent genetic events in cyclin D1- mantle cell lymphoma. Blood 2013, 121, 1394–1402. [Google Scholar] [CrossRef] [PubMed]
- Eskelund, C.W.; Dahl, C.; Hansen, J.W.; Westman, M.; Kolstad, A.; Pedersen, L.B.; Montano-Almendras, C.P.; Husby, S.; Freiburghaus, C.; Ek, S.; et al. TP53 mutations identify younger mantle cell lymphoma patients who do not benefit from intensive chemoimmunotherapy. Blood 2017, 130, 1903–1910. [Google Scholar] [CrossRef]
- Maddocks, K. Update on mantle cell lymphoma. Blood 2018, 132, 1647–1656. [Google Scholar] [CrossRef]
- Jain, P.; Wang, M. Blastoid Mantle Cell Lymphoma. Hematol. Oncol. Clin. North. Am. 2020, 34, 941–956. [Google Scholar] [CrossRef] [PubMed]
- Silkenstedt, E.; Dreyling, M. Mantle cell lymphoma-Update on molecular biology, prognostication and treatment approaches. Hematol. Oncol. 2023, 41, 36–42. [Google Scholar] [CrossRef]
- Saksena, A.; Yin, C.C.; Xu, J.; Li, J.; Zhou, J.; Wang, S.A.; Lin, P.; Tang, G.; Wang, L.; Wang, M.; et al. CD23 expression in mantle cell lymphoma is associated with CD200 expression, leukemic non-nodal form, and a better prognosis. Hum. Pathol. 2019, 89, 71–80. [Google Scholar] [CrossRef]
- Hoster, E.; Dreyling, M.; Klapper, W.; Gisselbrecht, C.; van Hoof, A.; Kluin-Nelemans, H.C.; Pfreundschuh, M.; Reiser, M.; Metzner, B.; Einsele, H.; et al. A new prognostic index (MIPI) for patients with advanced-stage mantle cell lymphoma. Blood 2008, 111, 558–565. [Google Scholar] [CrossRef] [PubMed]
- Geisler, C.H.; Kolstad, A.; Laurell, A.; Räty, R.; Jerkeman, M.; Eriksson, M.; Nordström, M.; Kimby, E.; Boesen, A.M.; Nilsson-Ehle, H.; et al. The Mantle Cell Lymphoma International Prognostic Index (MIPI) is superior to the International Prognostic Index (IPI) in predicting survival following intensive first-line immunochemotherapy and autologous stem cell transplantation (ASCT). Blood 2010, 115, 1530–1533. [Google Scholar] [CrossRef] [PubMed]
- Maurer, M.J. The International Prognostic Index in aggressive B-cell lymphoma. Haematologica 2023, 108, 2874–2879. [Google Scholar] [CrossRef]
- Lim, S.Y.; Horsman, J.M.; Hancock, B.W. The Mantle Cell Lymphoma International Prognostic Index: Does it work in routine practice? Oncol. Lett. 2010, 1, 187–188. [Google Scholar] [CrossRef]
- Husby, S.; Ralfkiaer, U.; Garde, C.; Zandi, R.; Ek, S.; Kolstad, A.; Jerkeman, M.; Laurell, A.; Räty, R.; Pedersen, L.B.; et al. miR-18b overexpression identifies mantle cell lymphoma patients with poor outcome and improves the MIPI-B prognosticator. Blood 2015, 125, 2669–2677. [Google Scholar] [CrossRef][Green Version]
- Hoster, E.; Rosenwald, A.; Berger, F.; Bernd, H.W.; Hartmann, S.; Loddenkemper, C.; Barth, T.F.; Brousse, N.; Pileri, S.; Rymkiewicz, G.; et al. Prognostic Value of Ki-67 Index, Cytology, and Growth Pattern in Mantle-Cell Lymphoma: Results from Randomized Trials of the European Mantle Cell Lymphoma Network. J. Clin. Oncol. 2016, 34, 1386–1394. [Google Scholar] [CrossRef] [PubMed]
- Hoster, E.; Klapper, W.; Hermine, O.; Kluin-Nelemans, H.C.; Walewski, J.; van Hoof, A.; Trneny, M.; Geisler, C.H.; Di Raimondo, F.; Szymczyk, M.; et al. Confirmation of the mantle-cell lymphoma International Prognostic Index in randomized trials of the European Mantle-Cell Lymphoma Network. J. Clin. Oncol. 2014, 32, 1338–1346. [Google Scholar] [CrossRef] [PubMed]
- Geisler, C.H.; Kolstad, A.; Laurell, A.; Jerkeman, M.; Räty, R.; Andersen, N.S.; Pedersen, L.B.; Eriksson, M.; Nordström, M.; Kimby, E.; et al. Nordic MCL2 trial update: Six-year follow-up after intensive immunochemotherapy for untreated mantle cell lymphoma followed by BEAM or BEAC + autologous stem-cell support: Still very long survival but late relapses do occur. Br. J. Haematol. 2012, 158, 355–362. [Google Scholar] [CrossRef] [PubMed]
- Nordström, L.; Sernbo, S.; Eden, P.; Grønbaek, K.; Kolstad, A.; Räty, R.; Karjalainen, M.L.; Geisler, C.; Ralfkiaer, E.; Sundström, C.; et al. SOX11 and TP53 add prognostic information to MIPI in a homogenously treated cohort of mantle cell lymphoma—A Nordic Lymphoma Group study. Br. J. Haematol. 2014, 166, 98–108. [Google Scholar] [CrossRef] [PubMed]
- He, J.-S.; Chen, X.; Wei, G.-Q.; Sun, J.; Zheng, W.-Y.; Shi, J.-M.; Wu, W.-J.; Zhao, Y.; Zheng, G.-F.; Huang, H.; et al. Simplified MIPI-B prognostic stratification method can predict the outcome well—Retrospective analysis of clinical characteristics and management of newly-diagnosed mantle cell lymphoma patients in China. Medicine 2019, 98, e13741. [Google Scholar] [CrossRef] [PubMed]
- Ferrero, S.; Rossi, D.; Rinaldi, A.; Bruscaggin, A.; Spina, V.; Eskelund, C.W.; Evangelista, A.; Moia, R.; Kwee, I.; Dahl, C.; et al. KMT2D mutations and TP53 disruptions are poor prognostic biomarkers in mantle cell lymphoma receiving high-dose therapy: A FIL study. Haematologica 2020, 105, 1604–1612. [Google Scholar] [CrossRef] [PubMed]
- Holte, H.; Beiske, K.; Boyle, M.; Trøen, G.; Blaker, Y.N.; Myklebust, J.; Kvaløy, S.; Rosenwald, A.; Lingjærde, O.C.; Rimsza, L.M.; et al. The MCL35 gene expression proliferation assay predicts high-risk MCL patients in a Norwegian cohort of younger patients given intensive first line therapy. Br. J. Haematol. 2018, 183, 225–234. [Google Scholar] [CrossRef] [PubMed]
- Yoo, C.; Yoon, D.H.; Kim, S.; Huh, J.; Park, C.-S.; Park, C.-J.; Lee, S.-J.; Suh, C. Serum beta-2 microglobulin as a prognostic biomarker in patients with mantle cell lymphoma. Hematol. Oncol. 2016, 34, 22–27. [Google Scholar] [CrossRef]
- Qi, J.; Endres, S.; Yosifov, D.Y.; Tausch, E.; Dheenadayalan, R.P.; Gao, X.; Müller, A.; Schneider, C.; Mertens, D.; Gierschik, P.; et al. Acquired BTK mutations associated with resistance to noncovalent BTK inhibitors. Blood Adv. 2023, 7, 5698–5702. [Google Scholar] [CrossRef] [PubMed]
- Kapoor, I.; Bodo, J.; Hill, B.T.; Hsi, E.D.; Almasan, A. Targeting BCL-2 in B-cell malignancies and overcoming therapeutic resistance. Cell Death Dis. 2020, 11, 941. [Google Scholar] [CrossRef] [PubMed]
- Shrestha, R.; Bhatt, V.R.; Murthy, G.S.G.; Armitage, J.O. Clinicopathologic features and management of blastoid variant of mantle cell lymphoma. Leuk. Lymphoma 2015, 56, 2759–2767. [Google Scholar] [CrossRef]
- Räty, R.; Franssila, K.; Jansson, S.E.; Joensuu, H.; Wartiovaara-Kautto, U.; Elonen, E. Predictive factors for blastoid transformation in the common variant of mantle cell lymphoma. Eur. J. Cancer 2003, 39, 321–329. [Google Scholar] [CrossRef] [PubMed]
- Yang, P.; Liu, S.; Li, C.; Zhang, W.; Wang, J.; Chen, Y.; Li, S.; Liu, C.; Liu, H.; Cai, Q.; et al. Genetic and prognostic analysis in blastoid and pleomorphic mantle cell lymphoma: A multicenter analysis in China. Blood 2022, 140, 11907–11908. [Google Scholar] [CrossRef]
- Venkataraman, G. Blastoid Variant of MCL. Available online: https://imagebank.hematology.org/imageset/60043/blastoid-variant-of-mcl (accessed on 8 February 2024).
- Cohen, J.B.; Ruppert, A.S.; Heerema, N.A.; Andritsos, L.A.; Jones, J.A.; Porcu, P.; Baiocchi, R.; Christian, B.A.; Byrd, J.C.; Flynn, J.; et al. Complex karyotype is associated with aggressive disease and shortened progression-free survival in patients with newly diagnosed mantle cell lymphoma. Clin. Lymphoma Myeloma Leuk. 2015, 15, 278–285.e1. [Google Scholar] [CrossRef] [PubMed]
- Rodrigues, J.M.; Hassan, M.; Freiburghaus, C.; Eskelund, C.W.; Geisler, C.; Räty, R.; Kolstad, A.; Sundström, C.; Glimelius, I.; Grønbaek, K.; et al. p53 is associated with high-risk and pinpoints TP53 missense mutations in mantle cell lymphoma. Br. J. Haematol. 2020, 191, 796–805. [Google Scholar] [CrossRef] [PubMed]
- Kumar, A.; Eyre, T.A.; Lewis, K.L.; Thompson, M.C.; Cheah, C.Y. New Directions for Mantle Cell Lymphoma in 2022. Am. Soc. Clin. Oncol. Educ. Book 2022, 42, 1–15. [Google Scholar] [CrossRef] [PubMed]
- Malarikova, D.; Berkova, A.; Obr, A.; Blahovcova, P.; Svaton, M.; Forsterova, K.; Kriegova, E.; Prihodova, E.; Pavlistova, L.; Petrackova, A.; et al. Concurrent TP53 and CDKN2A gene aberrations in newly diagnosed mantle cell lymphoma correlate with chemoresistance and call for innovative upfront therapy. Cancers 2020, 12, 2120. [Google Scholar] [CrossRef]
- Xu, J.; Wang, L.; Li, J.; Saksena, A.; Wang, S.A.; Shen, J.; Hu, Z.; Lin, P.; Tang, G.; Yin, C.C.; et al. SOX11-negative Mantle Cell Lymphoma: Clinicopathologic and Prognostic Features of 75 Patients. Am. J. Surg. Pathol. 2019, 43, 710–716. [Google Scholar] [CrossRef]
- Nygren, L.; Baumgartner Wennerholm, S.; Klimkowska, M.; Christensson, B.; Kimby, E.; Sander, B. Prognostic role of SOX11 in a population-based cohort of mantle cell lymphoma. Blood 2012, 119, 4215–4223. [Google Scholar] [CrossRef]
- Inamdar, A.A.; Goy, A.; Ayoub, N.M.; Attia, C.; Oton, L.; Taruvai, V.; Costales, M.; Lin, Y.T.; Pecora, A.; Suh, K.S. Mantle cell lymphoma in the era of precision medicine-diagnosis, biomarkers and therapeutic agents. Oncotarget 2016, 7, 48692–48731. [Google Scholar] [CrossRef] [PubMed]
- Yang, Y.; Song, L.; Yin, Y.; Gao, Y.; Wang, Y.; Wu, S.; Wang, J.; Pan, Y.; Sui, X.; Jiang, L.; et al. Clinical significance of Cyclin D1 by complete quantification detection in mantle cell lymphoma: Positive indicator in prognosis. Diagn. Pathol. 2024, 19, 149. [Google Scholar] [CrossRef] [PubMed]
- Mozos, A.; Royo, C.; Hartmann, E.; De Jong, D.; Baró, C.; Valera, A.; Fu, K.; Weisenburger, D.D.; Delabie, J.; Chuang, S.-S.; et al. SOX11 expression is highly specific for mantle cell lymphoma and identifies the cyclin D1-negative subtype. Haematologica 2009, 94, 1555–1562. [Google Scholar] [CrossRef]
- Thorsélius, M.; Walsh, S.; Eriksson, I.; Thunberg, U.; Johnson, A.; Backlin, C.; Enblad, G.; Sundström, C.; Roos, G.; Rosenquist, R. Somatic hypermutation and V(H) gene usage in mantle cell lymphoma. Eur. J. Haematol. 2002, 68, 217–224. [Google Scholar] [CrossRef]
- Li, X.; Wu, N.; Li, B. A high mutation rate of immunoglobulin heavy chain variable region gene associates with a poor survival and chemotherapy response of mantle cell lymphoma patients. Medicine 2019, 98, e15811. [Google Scholar] [CrossRef]
- Navarro, A.; Clot, G.; Royo, C.; Jares, P.; Hadzidimitriou, A.; Agathangelidis, A.; Bikos, V.; Darzentas, N.; Papadaki, T.; Salaverria, I.; et al. Molecular subsets of mantle cell lymphoma defined by the IGHV mutational status and SOX11 expression have distinct biological and clinical features. Cancer Res. 2012, 72, 5307–5316. [Google Scholar] [CrossRef] [PubMed]
- Beà, S.; Valdés-Mas, R.; Navarro, A.; Salaverria, I.; Martín-Garcia, D.; Jares, P.; Giné, E.; Pinyol, M.; Royo, C.; Nadeu, F.; et al. Landscape of somatic mutations and clonal evolution in mantle cell lymphoma. Proc. Natl. Acad. Sci. USA 2013, 110, 18250–18255. [Google Scholar] [CrossRef]
- Koff, J.L.; Kositsky, R.; Jaye, D.L.; Churnetski, M.C.; Baird, K.; O’Leary, C.B.; Flowers, C.R.; Leppa, S.; Karjalainen-Lindsberg, M.-L.; Li, S.; et al. Mutations of ATM Confer a Risk of Inferior Survival in Patients with TP53-wild Type Mantle Cell Lymphoma. Blood 2022, 140, 3500–3503. [Google Scholar] [CrossRef]
- Deshotels, L.; Safa, F.M.; Saba, N.S. NOTCH Signaling in Mantle Cell Lymphoma: Biological and Clinical Implications. Int. J. Mol. Sci. 2023, 24, 10280. [Google Scholar] [CrossRef] [PubMed]
- Silkenstedt, E.; Arenas, F.; Colom-Sanmartí, B.; Xargay-Torrent, S.; Higashi, M.; Giró, A.; Rodriguez, V.; Fuentes, P.; Aulitzky, W.E.; van der Kuip, H.; et al. Notch1 signaling in NOTCH1-mutated mantle cell lymphoma depends on Delta-Like ligand 4 and is a potential target for specific antibody therapy. J. Exp. Clin. Cancer Res. 2019, 38, 446. [Google Scholar] [CrossRef] [PubMed]
- Arruga, F.; Vaisitti, T.; Deaglio, S. The NOTCH Pathway and Its Mutations in Mature B Cell Malignancies. Front. Oncol. 2018, 8, 550. [Google Scholar] [CrossRef] [PubMed]
- Wu, Y.; Cain-Hom, C.; Choy, L.; Hagenbeek, T.J.; de Leon, G.P.; Chen, Y.; Finkle, D.; Venook, R.; Wu, X.; Ridgway, J.; et al. Therapeutic antibody targeting of individual Notch receptors. Nature 2010, 464, 1052–1057. [Google Scholar] [CrossRef]
- Kridel, R.; Meissner, B.; Rogic, S.; Boyle, M.; Telenius, A.; Woolcock, B.; Gunawardana, J.; Jenkins, C.E.; Cochrane, C.; Ben-Neriah, S.; et al. Whole transcriptome sequencing reveals recurrent NOTCH1 mutations in mantle cell lymphoma. Blood 2012, 119, 1963–1971. [Google Scholar] [CrossRef] [PubMed]
- Dhanasekaran, R.; Deutzmann, A.; Mahauad-Fernandez, W.D.; Hansen, A.S.; Gouw, A.M.; Felsher, D.W. The MYC oncogene–the grand orchestrator of cancer growth and immune evasion. Nat. Rev. Clin. Oncol. 2022, 19, 23–36. [Google Scholar] [CrossRef] [PubMed]
- Cai, Q.; Medeiros, L.J.; Xu, X.; Young, K.H. MYC-driven aggressive B-cell lymphomas: Biology, entity, differential diagnosis and clinical management. Oncotarget 2015, 6, 38591–38616. [Google Scholar] [CrossRef]
- Yi, S.; Zou, D.; Li, C.; Zhong, S.; Chen, W.; Li, Z.; Xiong, W.; Liu, W.; Liu, E.; Cui, R.; et al. High incidence of MYC and BCL2 abnormalities in mantle cell lymphoma, although only MYC abnormality predicts poor survival. Oncotarget 2015, 6, 42362–42371. [Google Scholar] [CrossRef] [PubMed]
- Choe, J.Y.; Yun, J.Y.; Na, H.Y.; Huh, J.; Shin, S.-J.; Kim, H.-J.; Paik, J.H.; Kim, Y.A.; Nam, S.J.; Jeon, Y.K.; et al. MYC overexpression correlates with MYC amplification or translocation, and is associated with poor prognosis in mantle cell lymphoma. Histopathology 2016, 68, 442–449. [Google Scholar] [CrossRef]
- Rodrigues, J.M.; Hollander, P.; Schmidt, L.; Gkika, E.; Razmara, M.; Kumar, D.; Geisler, C.; Grønbæk, K.; Eskelund, C.W.; Räty, R.; et al. MYC protein is a high-risk factor in mantle cell lymphoma and identifies cases beyond morphology, proliferation and TP53/p53–A Nordic Lymphoma Group study. Haematologica 2024, 109, 1171–1183. [Google Scholar] [CrossRef] [PubMed]
- Hill, H.A.; Qi, X.; Jain, P.; Nomie, K.; Wang, Y.; Zhou, S.; Wang, M.L. Genetic mutations and features of mantle cell lymphoma: A systematic review and meta-analysis. Blood Adv. 2020, 4, 2927–2938. [Google Scholar] [CrossRef] [PubMed]
- Lakhotia, R.; Melani, C.; Dunleavy, K.; Pittaluga, S.; Saba, N.; Lindenberg, L.; Mena, E.; Bergvall, E.; Lucas, A.N.; Jacob, A.; et al. Circulating tumor DNA predicts therapeutic outcome in mantle cell lymphoma. Blood Adv. 2022, 6, 2667–2680. [Google Scholar] [CrossRef] [PubMed]
- Wang, Y.-H.; Chuang, Y.-K.; Yang, Y.-H.; Yu, S.-C.; Yang, Y.-T.; Ko, B.-S.; Yao, M.; Huang, T.-C.; Tang, J.-L. Next-Generation Sequencing Minimal Residual Disease of Mantle Cell Lymphoma in Autologous Stem Cell Grafts and Its Implication on Tumor Recurrence. Blood 2020, 136, 22–23. [Google Scholar] [CrossRef]
- Jain, P.; Wang, M.L. Mantle cell lymphoma in 2022-A comprehensive update on molecular pathogenesis, risk stratification, clinical approach, and current and novel treatments. Am. J. Hematol. 2022, 97, 638–656. [Google Scholar] [CrossRef] [PubMed]
- Dreyling, M.; Doorduijn, J.; Giné, E.; Jerkeman, M.; Walewski, J.; Hutchings, M.; Mey, U.; Risse, J.; Trneny, M.; Vergote, V.; et al. Ibrutinib combined with immunochemotherapy with or without autologous stem-cell transplantation versus immunochemotherapy and autologous stem-cell transplantation in previously untreated patients with mantle cell lymphoma (TRIANGLE): A three-arm, randomised, open-label, phase 3 superiority trial of the European Mantle Cell Lymphoma Network. Lancet 2024, 403, 2293–2306. [Google Scholar]
- Wang, M.L.; Jurczak, W.; Jerkeman, M.; Trotman, J.; Zinzani, P.L.; Belada, D.; Boccomini, C. For the SHINE Investigators. Ibrutinib plus bendamustine and rituximab in untreated mantle-cell lymphoma. N. Engl. J. Med. 2022, 386, 2482–2494. [Google Scholar] [CrossRef] [PubMed]
- Lewis, D.J.; Jerkeman, M.; Sorrell, L.; Wright, D.; Glimelius, I.; Pasanen, A.; Christensen, J.H.; Wader, K.F.; Davies, A.J.; Morley, N.; et al. Ibrutinib-rituximab is superior to rituximab-chemotherapy in previously untreated older mantle cell lymphoma patients: Results from the international randomised controlled trial, Enrich. Blood 2024, 144, 235. [Google Scholar] [CrossRef]
- Wang, M.L.; Jain, P.; Zhao, S.; Lee, H.J.; Nastoupil, L.; Fayad, L.; Ok, C.Y.; Kanagal-Shamanna, R.; Hill, H.A.; Yao, Y.; et al. Ibrutinib-rituximab followed by R-HCVAD as frontline treatment for young patients (≤65 years) with mantle cell lymphoma (WINDOW-1): A single-arm, phase 2 trial. Lancet Oncol. 2022, 23, 406–415. [Google Scholar] [CrossRef]
- Wang, M.; Jain, P.; Lee, H.J.; Ok, C.Y.; Hill, H.; Navsaria, L.; Kanagal-Shamanna, R.; Malpica-Castillo, L.; Nair, R.; Iyer, S.P.; et al. Ibrutinib plus rituximab and venetoclax (IRV) followed by risk-stratified observation or short course R-hypercvad/MTX in young patients with previously untreated mantle cell lymphoma–phase II Window-2 clinical trial. Blood 2021, 138, 3525. [Google Scholar] [CrossRef]
- Lipfert, C.; Kim, M.S.; Haslam, A.; Prasad, V.K. Recall of ibrutinib and issues with therapeutic approval. BMJ Oncol. 2024, 3, e000418. [Google Scholar] [CrossRef]
- Nastoupil, L.J.; Hess, G.; Pavlovsky, M.A.; Danielewicz, I.; Freeman, J.; Garcia-Sancho, A.M.; Glazunova, V.; Grigg, A.; Hou, J.-Z.; Janssens, A.; et al. Phase 3 SELENE study: Ibrutinib plus BR/R-CHOP in previously treated patients with follicular or marginal zone lymphoma. Blood Adv. 2023, 7, 7141–7150. [Google Scholar] [CrossRef] [PubMed]
- Le Gouill, S.; Długosz-Danecka, M.; Rule, S.; Zinzani, P.L.; Goy, A.; Smith, S.D.; Doorduijn, J.K.; Panizo, C.; Shah, B.D.; Davies, A.J.; et al. Final results and overall survival data from a phase II study of acalabrutinib monotherapy in patients with relapsed/refractory mantle cell lymphoma, including those with poor prognostic factors. Haematologica 2024, 109, 343–350. [Google Scholar] [CrossRef]
- Wang, M.; Mayer, J.; Belada, D.; Song, Y.; Jurczak, W.; Paludo, J.; Chu, M.P.; Kryachok, I.; Fogliatto, L.; Cheah, C.; et al. Acalabrutinib plus bendamustine and rituximab in untreated mantle cell lymphoma: Results from the phase 3, double-blind, placebo-controlled ECHO trial. In Proceedings of the European Hematology Association 2024 Hybrid Congress, Madrid, Spain, 13–16 June 2024. [Google Scholar]
- Song, Y.; Zhou, K.; Zou, D.; Zhou, J.; Hu, J.; Yang, H.; Zhang, H.; Ji, J.; Xu, W.; Jin, J.; et al. Zanubrutinib in relapsed/refractory mantle cell lymphoma: Long-term efficacy and safety results from a phase 2 study. Blood 2022, 139, 3148–3158. [Google Scholar] [CrossRef]
- Brukinsa. Prescribing Information; BeiGene, Ltd.: Cambridge, MA, USA, 2024. [Google Scholar]
- Wang, M.L.; Jurczak, W.; Zinzani, P.L.; Eyre, T.A.; Cheah, C.Y.; Ujjani, C.S.; Koh, Y.; Izutsu, K.; Gerson, J.N.; Flinn, I.; et al. Pirtobrutinib in Covalent Bruton Tyrosine Kinase Inhibitor Pretreated Mantle-Cell Lymphoma. J. Clin. Oncol. 2023, 41, 3988–3997. [Google Scholar] [CrossRef] [PubMed]
- Jayprica. Prescribing Information; Eli Lilly and Company: Indianapolis, IN, USA, 2024. [Google Scholar]
- Thompson, M.C.; Parrondo, R.D.; Frustaci, A.M.; Allan, J.N.; Ghia, P.; Mocanu, I.; Tam, C.S.; Trotman, J.; Ahn, I.E.; Stilgenbauer, S.; et al. Preliminary Efficacy and Safety of the Bruton Tyrosine Kinase Degrader BGB-16673 in Patients with Relapsed or Refractory Chronic Lymphocytic Leukemia/Small Lymphocytic Lymphoma: Results from the Phase 1 CaDAnCe-101 Study. Blood 2024, 144, 885. [Google Scholar] [CrossRef]
- Robbins, D.W.; Noviski, M.A.; Tan, Y.S.; Konst, Z.A.; Kelly, A.; Auger, P.; Brathaban, N.; Cass, R.; Chan, M.L.; Cherala, G.; et al. Discovery and preclinical pharmacology of NX-2127, an orally bioavailable degrader of Bruton’s tyrosine kinase with immunomodulatory activity for the treatment of patients with B cell malignancies. J. Med. Chem. 2024, 67, 2321–2336. [Google Scholar] [CrossRef] [PubMed]
- Seymour, J.F.; Cheah, C.Y.; Parrondo, R.; Thompson, M.C.; Stevens, D.A.; Lasica, M.; Wang, M.L.; Kumar, A.; Trotman, J.; Alwan, M.; et al. First Results from a Phase 1, First-in-Human Study of the Bruton’s Tyrosine Kinase (BTK) Degrader Bgb-16673 in Patients (Pts) with Relapsed or Refractory (R/R) B-Cell Malignancies (BGB-16673-101). Blood 2023, 142, 4401. [Google Scholar] [CrossRef]
- Montoya, S.; Bourcier, J.; Noviski, M.; Lu, H.; Thompson, M.C.; Chirino, A.; Jahn, J.; Sondhi, A.K.; Gajewski, S.; Tan, Y.S.M.; et al. Kinase-impaired BTK mutations are susceptible to clinical-stage BTK and IKZF1/3 degrader NX-2127. Science 2024, 383, eadi5798. [Google Scholar] [CrossRef]
- Davids, M.S.; Roberts, A.W.; Seymour, J.F.; Pagel, J.M.; Kahl, B.S.; Wierda, W.G.; Puvvada, S.; Kipps, T.J.; Anderson, M.A.; Salem, A.H.; et al. Phase I first-in-human study of venetoclax in patients with relapsed or refractory non-Hodgkin lymphoma. J. Clin. Oncol. 2017, 35, 826–833. [Google Scholar] [CrossRef] [PubMed]
- Eyre, T.A.; Walter, H.S.; Iyengar, S.; Follows, G.; Cross, M.; Fox, C.P.; Hodson, A.; Coats, J.; Narat, S.; Morley, N.; et al. Efficacy of venetoclax monotherapy in patients with relapsed, refractory mantle cell lymphoma after Bruton tyrosine kinase inhibitor therapy. Haematologica 2019, 104, e68–e71. [Google Scholar] [CrossRef] [PubMed]
- Tam, C.S.; Anderson, M.A.; Pott, C.; Agarwal, R.; Handunnetti, S.; Hicks, R.J.; Burbury, K.; Turner, G.; Di Iulio, J.; Bressel, M.; et al. Ibrutinib plus venetoclax for the treatment of mantle cell lymphoma. N. Engl. J. Med. 2018, 378, 1211–1223. [Google Scholar] [CrossRef]
- Handunnetii, S.M.; Anderson, M.A.; Burbury, K.; Thompson, P.A.; Burke, G.; Bressel, M.; Di Iulio, J.; Hicks, R.J.; Westerman, D.; Lade, S.; et al. Seven-year outcomes of venetoclax-ibrutinib therapy in mantle cell lymphoma: Durable responses and treatment-free remissions. Blood 2024, 144, 867–872. [Google Scholar] [CrossRef] [PubMed]
- Wallace, D.S.; Barr, P.M. Ready, AIM, stop: Ibrutinib plus venetoclax in MCL. Blood 2024, 144, 800–802. [Google Scholar] [CrossRef]
- Wang, M.; Jurczak, W.; Trněný, M.; Belada, D.; Wrobel, T.; Ghosh, N.; Keating, M.-M.; van Meerten, T.; Fernandez Alvarez, R.; von Keudell, G.; et al. Ibrutinib combined with venetoclax in patients with relapsed/refractory mantle cell lymphoma: Primary analysis results from the randomized phase 3 Sympatico study. Blood 2023, 142, LBA-2. [Google Scholar] [CrossRef]
- Hawkes, E.A.; Fletcher, R.; Wood, A.; Meyer, S.; Rule, S.; Zhang, J.; Wang, M.L. Traverse: A phase 2, open-label, randomized study of acalabrutinib in combination with venetoclax and rituximab in patients with treatment-naive mantle cell lymphoma. Blood 2023, 142, 3054. [Google Scholar] [CrossRef]
- Liu, J.; Li, S.; Wang, Q.; Feng, Y.; Xing, H.; Yang, X.; Guo, Y.; Guo, Y.; Sun, H.; Liu, X.; et al. Sonrotoclax overcomes BCL2 G101V mutation-induced venetoclax resistance in preclinical models of hematologic malignancy. Blood 2024, 143, 1825–1836. [Google Scholar] [CrossRef] [PubMed]
- Tam, C.S.; Opat, S.; Hoffmann, M.; Soumerai, J.; Lasica, M.; Epperla, N.; Hou, J.Z.; Garcia-Sanz, R.; Schetelig, J.; Weinkove, R.; et al. Combination treatment with novel BCL2 inhibitor sonrotoclax (BGB-11417) and zanubrutinib induces high rate of complete remission for patients with relapsed/refractory mantle cell lymphoma. In Proceedings of the European Hematology Association 2024 Hybrid Congress, Madrid, Spain, 13–16 June 2024. [Google Scholar]
- Kipps, T.J. ROR1: An orphan becomes apparent. Blood 2022, 140, 1583–1591. [Google Scholar] [CrossRef]
- Lee, H.J.; Choi, M.Y.; Siddiqi, Y.; Barrientos, J.C.; Wierda, W.G.; Isufi, I.; Tuscano, J.M.; Lamanna, N.; Subbiah, S.; Koff, J.L.; et al. Phase 1/2 study of cirmtuzumab and ibrutinib in mantle cell lymphoma (MCL) or chronic lymphocytic leukemia (CLL). J. Clin. Oncol. 2021, 39, 7556. [Google Scholar] [CrossRef]
- Zilovertamab. Oncternal Therapeutics. Available online: https://www.oncternal.com/pipeline/zilovertamab/ (accessed on 5 February 2025).
- Tian, Z.; Liu, M.; Zhang, Y.; Wang, X. Bispecific T cell engagers: An emerging therapy for management of hematologic malignancies. J. Hematol. Oncol. 2021, 14, 75. [Google Scholar] [CrossRef]
- Goebeler, M.E.; Knop, S.; Viardot, A.; Kufer, P.; Topp, M.S.; Einsele, H.; Noppeney, R.; Hess, G.; Kallert, S.; Mackensen, A.; et al. Bispecific T-Cell Engager (BiTE) Antibody Construct Blinatumomab for the Treatment of Patients with Relapsed/Refractory Non-Hodgkin Lymphoma: Final Results from a Phase I Study. J. Clin. Oncol. 2016, 34, 1104–1111. [Google Scholar] [CrossRef]
- Dufner, V.; Sayehli, C.M.; Chatterjee, M.; Hummel, H.D.; Gelbrich, G.; Bargou, R.C.; Goebeler, M.-E. Long-term outcome of patients with relapsed/refractory B-cell non-Hodgkin lymphoma treated with blinatumomab. Blood Adv. 2019, 3, 2491–2948. [Google Scholar] [CrossRef]
- Thieblemont, C.; Phillips, T.; Ghesquieres, H.; Cheah, C.Y.; Clausen, M.R.; Cunningham, D.; Do, Y.-R.; Feldman, T.; Gasiorowski, R.; Jurczak, W.; et al. Epcoritamab, a Novel, Subcutaneous CD3xCD20 Bispecific T-Cell-Engaging Antibody, in Relapsed or Refractory Large B-Cell Lymphoma: Dose Expansion in a Phase I/II Trial. J. Clin. Oncol. 2023, 41, 2238–2247. [Google Scholar] [CrossRef] [PubMed]
- Clausen, M.R.; Lugtenburg, P.; Hutchings, M.; Johnson, P.W.M.; Linton, K.M.; Lewis, D.J.; Chamuleau, M.; Balari, A.S.; Cunningham, D.; Elliot, B.; et al. Subcutaneous epcoritamab in patients with relapsed/refractory B-cell non-Hodgkin lymphoma: Safety profile and antitumor activity. J. Clin. Oncol. 2021, 39, 7518. [Google Scholar] [CrossRef]
- Phillips, T.J.; Carlo-Stella, C.; Morschhauser, F.; Bachy, E.; Crump, M.; Trněný, M.; Bartlett, N.L.; Zaucha, J.; Wrobel, T.; Offner, F.; et al. Glofitamab in relapsed/refractory mantle cell lymphoma: Results from a phase I/II study. J. Clin. Oncol. 2024, 43, 318–328. [Google Scholar] [CrossRef]
- Phillips, T.J.; Dickinson, M.; Morschhauser, F.; Bachy, E.; Crump, M.; Trněný, M.; Bartlett, N.; Zaucha, J.; Wrobel, T.; Offner, F.; et al. Glofitamab monotherapy induces high complete response rates in patients with heavily pretreated relapsed or refractory mantle cell lymphoma. Blood 2022, 140, 178–180. [Google Scholar] [CrossRef]
- Phillips, T.; Matasar, M.; Eyre, T.A.; Giné, E.; Filézac de L’Etang, A.; Byrne, B.; Lundberg, L.; Padovani, A.; Boetsch, C.; Bottos, A.; et al. MCL-339 GLOBRYTE: A phase III, open-label multicenter, randomized trial evaluating glofitamab monotherapy in patients with relapsed or refractory mantle cell lymphoma. Clin. Lymphoma Myeloma Leuk. 2024, 24, S515. [Google Scholar] [CrossRef]
- Buddle, L.E.; Matasar, M.; Sehn, L.H.; Assouline, S.E.; Kuruvilla, J.; Flinn, I.W.; Yoon, S.-S.; Bosch, F.; Greenwald, D.; Gutierrez, N.C.; et al. Mosunetuzumab monotherapy demonstrates encouraging activity and a manageable safety profile in patients with heavily pre-treated relapsed or refractory mantle cell lymphoma. Blood 2024, 144, 1646. [Google Scholar] [CrossRef]
- Wang, M.L.; Assouline, S.; Kamdar, M.; Ghosh, N.; Naik, S.; Nakhoda, S.K.; Chavez, J.C.; Jia, T.; Pham, S.; Huw, L.-Y. Fixed duration mosunetuzumab plus polatuzumab vedotin has promising efficacy and a manageable safety profile in patients with BTKi relapsed/refractory mantle cell lymphoma: Initial results from a phase Ib/II study. Blood 2023, 142, 734. [Google Scholar] [CrossRef]
- Townsend, W.; Leong, S.; Shah, M.; Batten, T.; Tucker, D.; Pottinger, B.; Paneesha, S.; El-Sharkawi, D.; Eyre, T.A.; Lam, H.P.J.; et al. Time limited exposure to a ROR1 targeting bispecific T cell engager (NVG-111) leads to durable responses in subjects with relapsed refractory chronic lymphocytic leukemia (CLL) and mantle cell lymphoma (MCL). Blood 2023, 142, 329. [Google Scholar] [CrossRef]
- Fink, E.C.; Ebert, B.L. The novel mechanism of lenalidomide activity. Blood 2015, 126, 2366–2369. [Google Scholar] [CrossRef] [PubMed]
- Goy, A.; Sinha, R.; Williams, M.E.; Kalayoglu Besisik, S.; Drach, J.; Ramchandren, R.; Zhang, L.; Cicero, S.; Fu, T.; Witzig, T.E. Single-agent lenalidomide in patients with mantle-cell lymphoma who relapsed or progressed after or were refractory to bortezomib: Phase II MCL-001 (EMERGE) study. J. Clin. Oncol. 2013, 31, 3688–3695. [Google Scholar] [CrossRef]
- Trněný, M.; Lamy, T.; Walewski, J.; Belada, D.; Mayer, J.; Radford, J.; Jurczak, W.; Morschhauser, F.; Alexeeva, J.; Rule, S.; et al. Lenalidomide versus investigator’s choice in relapsed or refractory mantle cell lymphoma (MCL-002; SPRINT): A phase 2, randomised, multicentre trial. Lancet Oncol. 2016, 17, 319–331. [Google Scholar] [CrossRef]
- Ruan, J.; Martin, P.; Christos, P.; Cerchietti, L.; Tam, W.; Shah, B.; Schuster, S.J.; Rodriguez, A.; Hyman, D.; Calvo-Vidal, M.N.; et al. Five-year follow-up of lenalidomide plus rituximab as initial treatment of mantle cell lymphoma. Blood 2018, 132, 2016–2025. [Google Scholar] [CrossRef] [PubMed]
- Ladetto, M.; Cortelazzo, S.; Ferrero, S.; Evangelista, A.; Mian, M.; Tavarozzi, R.; Zanni, M.; Cavallo, F.; Di Rocco, A.; Stefoni, V.; et al. Lenalidomide maintenance after autologous haematopoietic stem-cell transplantation in mantle cell lymphoma: Results of a Fondazione Italiana Linfomi (FIL) multicentre, randomised, phase 3 trial. Lancet Haematol. 2021, 8, e34–e44. [Google Scholar] [CrossRef]
- Yamshon, S.; Chen, G.Z.; Gribbin, C.; Christos, P.; Shah, B.; Schuster, S.J.; Smith, S.M.; Svoboda, J.; Furman, R.R.; Leonard, J.P.; et al. Nine-year follow-up of lenalidomide plus rituximab as initial treatment for mantle cell lymphoma. Blood Adv. 2023, 7, 6579–6588. [Google Scholar] [CrossRef] [PubMed]
- Ruan, J.; Bond, D.A.; Shah, B.D.; Allan, J.N.; Rutherford, S.C.; Gribbin, C.; Chen, Z.; Hobbie, B.; Harbhajan, M.; Sahni, T.; et al. MRD-driven time-limited therapy of acalabrutinib and lenalidomide plus rituximab (ALR) or obinutuzumab (ALO) in patients with treatment-naïve mantle cell lymphoma: Phase 2 trial outcomes with MRD and cfDNA analyses. Blood 2024, 144, 746. [Google Scholar] [CrossRef]
- Wang, M.; Munoz, J.; Goy, A.; Locke, F.L.; Jacobson, C.A.; Hill, B.T.; Timmerman, J.M.; Holmes, H.; Jaglowski, S.; Flinn, I.W.; et al. KTE-X19 CAR T-Cell Therapy in Relapsed or Refractory Mantle-Cell Lymphoma. N. Engl. J. Med. 2020, 382, 1331–1342. [Google Scholar] [CrossRef]
- Wang, M.; Siddiqi, T.; Gordon, L.I.; Kamdar, M.; Lunning, M.; Hirayama, A.V.; Abramson, J.S.; Arnason, J.; Ghosh, N.; Mehta, A.; et al. Lisocabtagene Maraleucel in Relapsed/Refractory Mantle Cell Lymphoma: Primary Analysis of the Mantle Cell Lymphoma Cohort from TRANSCEND NHL 001, a Phase I Multicenter Seamless Design Study. J. Clin. Oncol. 2024, 42, 1146–1157. [Google Scholar] [CrossRef] [PubMed]
- Xu, X.; Sun, Q.; Liang, X.; Chen, Z.; Zhang, X.; Zhou, X.; Li, M.; Tu, H.; Liu, Y.; Tu, S.; et al. Mechanisms of Relapse After CD19 CAR T-Cell Therapy for Acute Lymphoblastic Leukemia and Its Prevention and Treatment Strategies. Front. Immunol. 2019, 10, 2664. [Google Scholar] [CrossRef] [PubMed]
- Abramson, J.S.; Palomba, M.L.; Gordon, L.I.; Lunning, M.A.; Wang, M.; Arnason, J.; Mehta, A.; Purev, E.; Maloney, D.G.; Andreadis, C.; et al. Lisocabtagene maraleucel for patients with relapsed or refractory large B-cell lymphomas (TRANSCEND NHL 001): A multicentre seamless design study. Lancet 2020, 396, 839–852. [Google Scholar] [CrossRef] [PubMed]
- Minson, A.; Hamad, N.; Cheah, C.Y.; Tam, C.; Blombery, P.; Westerman, D.; Ritchie, D.; Morgan, H.; Holzwart, N.; Lade, S.; et al. CAR T cells and time-limited ibrutinib as treatment for relapsed/refractory mantle cell lymphoma: The phase 2 TARMAC study. Blood 2024, 143, 673–684. [Google Scholar] [CrossRef]
- Baird, J.H.; Del Real, M.M.; Song, J.Y.; Shouse, G.P.; Danilov, A.; Herrera, A.F.; Popplewell, L.L.; Rosen, S.T.; Davis, J.; Barva, B.; et al. CD19-directed CAR T-cells (CD19-CAR) combined with acalabrutinib achieves durable remissions in patients with relapsed or refractory (R/R) mantle cell lymphoma (MCL). Blood 2023, 142, 4840. [Google Scholar] [CrossRef]
- Rummel, M.J.; Knauf, W.; Goerner, M.; Soeling, U.; Lange, E.; Hertenstein, B.; Eggert, J.; Schliesser, G.C.; Weide, R.; Blumenstengel, K.; et al. Two years rituximab maintenance vs. observation after first-line treatment with bendamustine plus rituximab (B-R) in patients with mantle cell lymphoma: First results of a prospective, randomized, multicenter phase II study (a subgroup study of the StiL NHL7-2008 MAINTAIN trial). J. Clin. Oncol. 2023, 34, 7503. [Google Scholar]
- Martin, P.; Cohen, J.B.; Wang, M.; Kumar, A.; Hill, B.; Villa, D.; Switchenko, J.M.; Kahl, B.; Maddocks, K.; Grover, N.S.; et al. Treatment outcomes and roles of transplantation and maintenance rituximab in patients with previously untreated mantle cell lymphoma: Results from large real-world cohorts. J. Clin. Oncol. 2022, 41, 541–554. [Google Scholar] [CrossRef] [PubMed]
- Wang, Y.; Larson, M.C.; Kumar, A.; Hill, B.T.; Bond, D.A.; Danilov, A.V.; Merryman, R.; Grover, N.S.; Tun, A.M.; Ayyappan, S.R.; et al. Benefit of rituximab maintenance after first-line bendamustine-rituximab in mantle cell lymphoma. J. Clin. Oncol. 2024, 42, 7006. [Google Scholar] [CrossRef]
- Sarkozy, C.; Thieblemont, C.; Oberic, L.; Moreau, A.; Bouabdallah, K.; Damaj, G.; Gastinne, T.; Tessoulin, B.; Ribrag, V.; Casasnovas, O.; et al. Long-term follow-up of rituximab maintenance in young patients with mantle-cell lymphoma included in the LYMA trial: A LYSA study. J. Clin. Oncol. 2023, 42, 769–773. [Google Scholar] [CrossRef] [PubMed]
- Saleh, K.; Cheminant, M.; Chiron, D.; Burroni, B.; Ribrag, V.; Sarkozy, C. Tumor microenvironment and immunotherapy-based approaches in mantle cell lymphoma. Cancers 2022, 14, 3229. [Google Scholar] [CrossRef] [PubMed]
- Jain, P.; Nomie, K.; Kotlov, N.; Segodin, V.; Hill, H.; Ok, C.Y.; Fetooh, A.; Kanagal-Shamanna, R.; Vega, F.; Bagaev, A.; et al. Immune-depleted tumor microenvironment is associated with poor outcomes and BTK inhibitor resistance in mantle cell lymphoma. Blood Cancer J. 2023, 13, 156. [Google Scholar] [CrossRef] [PubMed]
- Agarwal, R.; Chan, Y.-C.; Tam, C.S.; Hunter, T.; Vassiliadis, D.; Teh, C.E.; Thijssen, R.; Yeh, P.; Wong, S.Q.; Ftouni, S.; et al. Dynamic molecular monitoring reveals that SWI-SNF mutations mediate resistance to ibrutinib plus venetoclax in mantle cell lyphoma. Nature Med. 2019, 25, 119–129. [Google Scholar] [CrossRef] [PubMed]
- Nygren, L.; Wasik, A.M.; Baumgartner-Wennerholm, S.; Jeppsson-Ahlberg, A.; Klimkowska, M.; Andersson, P.; Buhrkuhl, D.; Christensson, B.; Kimby, E.; Wahlin, B.E.; et al. T-cell levels are prognostic in mantle cell lymphoma. Clin. Cancer Res. 2014, 20, 6096–6104. [Google Scholar] [CrossRef]


| Subtype | Clinical Presentation | Molecular Genetics | Ki-67% | Clinical Course |
|---|---|---|---|---|
| In situ mantle cell neoplasia | Asymptomatic and/or without B symptoms | Cyclin D1 (+) | Low | Indolent, low risk of progression |
| Classic MCL | Worsening lymphadenopathy, B symptoms | SOX11 (+) Cyclin D1 (+) Unmutated IGHV | High | Aggressive |
| Non-nodal MCL | Lymphocytosis, splenomegaly, extranodal symptoms, rare lymphadenopathy | SOX11 (−) Mutated IGHV | Low | Indolent |
| Subtype | Key Genetic Abnormality | Cyclin D1 Status | Notable Features |
|---|---|---|---|
| Classical MCL | t(11;14)(q13;q32)/IGH:CCND1 Translocation | Positive |
|
| Cyclin D1-Negative | Various rearrangements (i.e., CCND2, CCND3) | Negative |
|
| Blastoid/Polymorphic | Complex karyotype with chromosomal instability TP53, NOTCH1, NOTCH2 | Typically Positive |
|
| Scoring System | IPI [26] | MIPI [24] | s-MIPI [27] | MIPI-b [24] | MIPI-B-miR [28] | MIPI-c [29] |
|---|---|---|---|---|---|---|
| Components | Age, LDH, Performance Status, Ann Arbor Stage, Extra-nodal Involvement | Age, ECOG, Serum LDH, WBC Count | Age, ECOG, LDH, WBC Count | Age, ECOG, LDH, WBC Count, Ki67% | MIPI-b, miR-18b | Age, ECOG, LDH, WBC Count, Ki-67% |
| Points and Calculation | One point for each of the following risk factors:
| MIPI = (0.03535 × age) + 0.6978 (if ECOG > 1) + [1.367 × log10 (LDH/ULN) + 0.9393 × log10 (WBC)] | 0 points: Age < 50, ECOG 0–1, LDH < 0.67 ULN, WBC < 6.7 1 point: Age 50–59, LDH 0.67–0.99 ULN, WBC 6.7–9.99 2 points: Age 60–69, ECOG 2–4, LDH 1.0–1.49 ULN, WBC 10–14.99 3 points: Age ≥ 70, LDH > 1.5 ULN, WBC ≥ 15 | (0.03535 × age) + 0.6978 (if ECOG > 1) + [1.367 × log10 (LDH/ULN) + 0.9393 × log10 (WBC)] + 0.0214 × Ki67% | MIPI-B + 0.58317 × log2(fold change in miR-18b) | MIPI + Ki67% (<30% or ≥30%) |
| Risk Groups | 0–1: Low 2: Low-Intermediate 3: High-Intermediate 4–5: High | Low Risk: <5.7 Intermediate Risk: ≥5.7 High Risk: ≥6.2 | 0–3: Low 4–5: Intermediate 6–11: High | <5.7: Low ≥5.7 and <6.5: Intermediate ≥6.5: High | <5.75: Low ≥5.75 and ≤7.49: Intermediate >7.49: High | Low: LR MIPI + Ki67 <30% Low-Intermediate: either LR MIPI + KI67 ≥ 30% or IR MIPI + KI67 < 30% High Intermediate: either IR MIPI + Ki67 ≥ 30% or HR MIPI + KI67 < 30% High: HR MIPI + Ki67 ≥ 30% |
| Relevance | Poorly differentiates the high-intermediate and high-risk categories. Less specific for MCL but still useful in broader lymphoma prognostication. [25] | Widely accepted and validated in multiple studies, making it the standard tool in both clinical practice and research. | Useful for quick risk assessment without needing full lab workups. Similar prognostic performance to that of MIPI. [24] | Enhances MIPI by integrating genetic factors. However, consistently reports a small low-risk group which has overlap with the intermediate risk-group, effectively making it a two-group stratification system. [29] | Integrates molecular profiling into the MIPI-B, enhancing the prognostic information. Useful for personalized treatment approaches. [28] | More precise risk stratification than the MIPI alone, particularly useful in identifying high-risk patients. [29] |
| Survival | Over 50% 5-year survival in the high-intermediate and high-risk categories [25] | 35% 5-year survival in the high-risk group [25] | 38% 5-year survival in the high-risk group [25] | 46% 5-year survival in the high-risk group [29] | 20% 5-year survival in the high-risk group [28] | 31% 5-year survival in the high-risk group [5] |
| Trial Name | Therapy | Phase | Patients | Key Efficacy Findings | Key Safety Findings |
|---|---|---|---|---|---|
| Ibrutinib | |||||
| TRIANGLE [71] | Standard therapy (i.e., chemotherapy a followed by ASCT) vs. ibrutinib + standard therapy vs. ibrutinib + chemotherapy alone | 3 | Advanced (stage II–IV) MCL in patients aged 65 or younger | 3-year FFS:
|
|
| SHINE [72,76,77] | Ibrutinib + BR (IBR) with MR vs. BR with MR | 3 | Previously untreated stage II–IV MCL in patients aged 65 or older | Median PFS:
|
|
| ENRICH [73] | Ibrutinib + rituximab (IR) vs. chemoimmunotherapy (R-CHOP or BR) | 2/3 | Previously untreated MCL in patients aged 60 or older | PFS:
|
|
| WINDOW-1 [74] | IR induction (12 cyc + R-HCVAD alternating with MTX-ARA-C consolidation | 2 | Previously untreated MCL in patients aged 65 or younger |
|
|
| WINDOW-2 [75] | IR followed by IRV + short-course MTX-ARA-C consolidation b + IRV maintenance | 2 | Previously untreated MCL | ORR: 96% (92% CR) after consolidation; similar rates regardless of risk category |
|
| Acalabrutinib | |||||
| ACE-LY-004 [78] | Acalabrutinib | 2 | R/R MCL with one or more prior lines of therapy | ORR: 81.5%; consistent efficacy among high-risk subgroups (blastoid/pleomorphic; high-risk MIPI; Ki-67 > 50%) | 66.1% Grade 3 or higher events, with serious adverse events in 50% (pneumonia being most common); highest risk in first year |
| ECHO [79] | Acalabrutinib + BR vs. placebo + BR MR initiated if CR or PR | 3 | Previously untreated MCL in patients aged 65 or older with ECOG 0–2 | ORR: 91% vs. 88% mPFS: 66.4 months vs. 49.6 months | Comparable incidence of Grade 3 or higher and serious events (88.9% vs. 88.2%; 64.3% vs. 55.9%) |
| Zanubrutinib | |||||
| NCT03206970 [80] | Zanubrutinib | 2 | MCL with one or more prior lines of therapy | ORR: 83.7% (77.9% CR) | Predominantly Grade 1–2 events (e.g., neutropenia, URTI, rash, leukopenia, thrombocytopenia), with frequent onset in first 6 months |
Disclaimer/Publisher’s Note: The statements, opinions and data contained in all publications are solely those of the individual author(s) and contributor(s) and not of MDPI and/or the editor(s). MDPI and/or the editor(s) disclaim responsibility for any injury to people or property resulting from any ideas, methods, instructions or products referred to in the content. |
© 2025 by the authors. Licensee MDPI, Basel, Switzerland. This article is an open access article distributed under the terms and conditions of the Creative Commons Attribution (CC BY) license (https://creativecommons.org/licenses/by/4.0/).
Share and Cite
Ip, A.; Kabat, M.; Fogel, L.; Alkhatatneh, H.; Voss, J.; Gupta, A.; Della Pia, A.; Leslie, L.A.; Feldman, T.; Albitar, M.; et al. Updates on the Biological Heterogeneity of Mantle Cell Lymphoma. Cancers 2025, 17, 696. https://doi.org/10.3390/cancers17040696
Ip A, Kabat M, Fogel L, Alkhatatneh H, Voss J, Gupta A, Della Pia A, Leslie LA, Feldman T, Albitar M, et al. Updates on the Biological Heterogeneity of Mantle Cell Lymphoma. Cancers. 2025; 17(4):696. https://doi.org/10.3390/cancers17040696
Chicago/Turabian StyleIp, Andrew, Maciej Kabat, Lindsay Fogel, Hassan Alkhatatneh, Jason Voss, Amolika Gupta, Alexandra Della Pia, Lori A. Leslie, Tatyana Feldman, Maher Albitar, and et al. 2025. "Updates on the Biological Heterogeneity of Mantle Cell Lymphoma" Cancers 17, no. 4: 696. https://doi.org/10.3390/cancers17040696
APA StyleIp, A., Kabat, M., Fogel, L., Alkhatatneh, H., Voss, J., Gupta, A., Della Pia, A., Leslie, L. A., Feldman, T., Albitar, M., & Goy, A. H. (2025). Updates on the Biological Heterogeneity of Mantle Cell Lymphoma. Cancers, 17(4), 696. https://doi.org/10.3390/cancers17040696

