Histopathological Features of Hepatocellular Carcinoma in Patients with Hepatitis B and D Virus Infection: A Single-Institution Study in Mongolia
Simple Summary
Abstract
1. Introduction
2. Materials and Methods
2.1. Selection of Cases
2.2. Histological Analysis
2.3. Immunohistochemistry
2.4. Statistical Analysis
3. Results
3.1. Clinical and Pathological Characteristics of HCC Patients
3.2. Pathological Features of Background Liver Tissue in HDV-Positive Patients
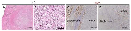
3.3. Pathological Features of Hepatocellular Carcinoma in HDV-Positive Patients
4. Discussion
5. Conclusions
Supplementary Materials
Author Contributions
Funding
Institutional Review Board Statement
Informed Consent Statement
Data Availability Statement
Acknowledgments
Conflicts of Interest
References
- Rizzetto, M. The Adventure of Delta. Liver Int. 2016, 36, 135–140. [Google Scholar] [CrossRef] [PubMed]
- Wu, J.C.; Chen, P.J.; Kuo, M.Y.; Lee, S.D.; Chen, D.S.; Ting, L.P. Production of Hepatitis Delta Virus and Suppression of Helper Hepatitis B Virus in a Human Hepatoma Cell Line. J. Virol. 1991, 65, 1099–1104. [Google Scholar] [CrossRef] [PubMed]
- Diaz, G.; Engle, R.E.; Tice, A.; Melis, M.; Montenegro, S.; Rodriguez-Canales, J.; Hanson, J.; Emmert-Buck, M.R.; Bock, K.W.; Moore, I.N.; et al. Molecular Signature and Mechanisms of Hepatitis D Virus-Associated Hepatocellular Carcinoma. Mol. Cancer Res. 2018, 16, 1406–1419. [Google Scholar] [CrossRef]
- Cardoso, M.F.; Machado, M.V. The Changing Face of Hepatitis Delta Virus Associated Hepatocellular Carcinoma. Cancers 2024, 16, 3723. [Google Scholar] [CrossRef]
- Levrero, M.; Zucman-Rossi, J. Mechanisms of HBV-Induced Hepatocellular Carcinoma. J. Hepatol. 2016, 64, S84–S101. [Google Scholar] [CrossRef]
- WHO. Global Health Sector Strategy on Viral Hepatitis 2016–2021; World Health Organization: Geneva, Switzerland, 2016. [Google Scholar]
- Tsatsralt-Od, B.; Takahashi, M.; Nishizawa, T.; Endo, K.; Inoue, J.; Okamoto, H. High Prevalence of Hepatitis B, C, and Delta Viruses Among Patients with Chronic Liver Disease in Mongolia. J. Med. Virol. 2005, 76, 491–498. [Google Scholar] [CrossRef]
- Su, C.W.; Ochirkhuree, B.; Namdag, B.; Badamnachin, B.; Ganbold, S.; Gidaagaya, S.; Ganbold, A.; Yang, S.S.; Duger, D.; Wu, J.C. Risk factors associated with hepatitis D virus infection and preventive strategies in Mongolia. J. Chin. Med. Assoc. JCMA 2024, 87, 480–487. [Google Scholar] [CrossRef]
- Stockdale, A.J.; Kreuels, B.; Henrion, M.Y.R.; Giorgi, E.; Kyomuhangi, I.; de Martel, C.; Hutin, Y.; Geretti, A.M. The Global Prevalence of Hepatitis D Virus Infection: Systematic Review and Meta-Analysis. J Hepatol. 2020, 73, 523–532. [Google Scholar] [CrossRef]
- Polaris Observatory Collaborators. Adjusted Estimate of the Prevalence of Hepatitis Delta Virus in 25 Countries and Territories. J. Hepatol. 2024, 80, 232–242. [Google Scholar] [CrossRef]
- Chen, X.; Oidovsambuu, O.; Liu, P.; Grosely, R.; Elazar, M.; Winn, V.D.; Fram, B.; Boa, Z.; Dai, H.; Dashtseren, B.; et al. A Novel Quantitative Microarray Antibody Capture Assay Identifies an Extremely High Hepatitis Delta Virus Prevalence Among Hepatitis B Virus-Infected Mongolians. Hepatology 2017, 66, 1739–1749. [Google Scholar] [CrossRef]
- Magvan, B.; Kloeble, A.A.; Ptok, J.; Hoffmann, D.; Habermann, D.; Gantumur, A.; Paluschinski, M.; Enebish, G.; Balz, V.; Fischer, J.C.; et al. Sequence Diversity of Hepatitis D Virus in Mongolia. Front. Med. 2023, 10, 1108543. [Google Scholar] [CrossRef] [PubMed]
- WHO. Hepatitis B Vaccines: WHO Position Paper—July 2017. Wkly. Epidemiol. Rec. 2017, 92, 369–392. [Google Scholar]
- Liang, X.; Bi, S.; Yang, W.; Wang, L.; Cui, G.; Cui, F.; Zhang, Y.; Liu, J.; Gong, X.; Chen, Y.; et al. Epidemiological Serosurvey of Hepatitis B in China—Declining HBV Prevalence Due to Hepatitis B Vaccination. Vaccine 2009, 27, 6550–6557. [Google Scholar] [CrossRef] [PubMed]
- Chen, D.S. Hepatitis B Vaccination: The Key Towards Elimination and Eradication of Hepatitis B. J. Hepatol. 2009, 50, 805–816. [Google Scholar] [CrossRef]
- Shagdar, S.; Erdenebileg, O.; Davaasambuu, B. Family Transmission and Rural Hepatitis B Challenges in Mongolia. Asia Pac. J. Public. Health 2019, 31, 163–170. [Google Scholar]
- Rizzetto, M. Hepatitis D: Thirty Years After. J. Hepatol. 2009, 50, 1043–1050. [Google Scholar] [CrossRef]
- Hellard, M.; Rolls, D.A.; Sacks-Davis, R.; Robins, G.; Pattison, P.; Higgs, P.; Aitken, C.; McBryde, E. The Impact of Injecting Networks on HCV Transmission in People Who Inject Drugs. Hepatology 2014, 60, 1861–1870. [Google Scholar] [CrossRef]
- Dagvadorj, D.; Sodnom-Ish, B.; Baatarkhuu, O. Impact of the ‘Healthy Liver’ National Programme on HBV Infection in Mongolia. Lancet Gastroenterol. Hepatol. 2019, 4, 499–500. [Google Scholar]
- Rozario, R.; Ramakrishna, B. Histopathological Study of Chronic Hepatitis B and C: A Comparison of Two Scoring Systems. J. Hepatol. 2003, 38, 223–229. [Google Scholar] [CrossRef]
- Lombardo, D.; Franzè, M.S.; Caminiti, G.; Pollicino, T. Hepatitis Delta Virus and Hepatocellular Carcinoma. Pathogens 2024, 13, 362. [Google Scholar] [CrossRef]
- John, B.V.; Bastaich, D.; Amoli, M.M.; Wong, R.J.; Evon, D.M.; Rogal, S.S.; Ross, D.B.; Morgan, T.R.; Spector, S.A.; Villada, G.; et al. Association of Hepatitis Delta Virus Infection and Hepatocellular Carcinoma, Hepatic Decompensation, All-Cause and Liver-Related Death in a National Cohort. Hepatology 2024. [Google Scholar] [CrossRef] [PubMed]
- Farci, P.; Niro, G.A.; Zamboni, F.; Diaz, G. Hepatitis D Virus and Hepatocellular Carcinoma. Viruses 2021, 13, 830. [Google Scholar] [CrossRef] [PubMed]
- Candia, J.; Bayarsaikhan, E.; Tandon, M.; Budhu, A.; Forgues, M.; Tovuu, L.O.; Tudev, U.; Lack, J.; Chao, A.; Chinburen, J.; et al. The Genomic Landscape of Mongolian Hepatocellular Carcinoma. Nat. Commun. 2020, 11, 4383. [Google Scholar] [CrossRef] [PubMed]
- Smirnova, O.A.; Ivanova, O.N.; Mukhtarov, F.; Valuev-Elliston, V.T.; Fedulov, A.P.; Rubtsov, P.M.; Zakirova, N.F.; Kochetkov, S.N.; Bartosch, B.; Ivanov, A.V. Hepatitis Delta Virus Antigens Trigger Oxidative Stress, Activate Antioxidant Nrf2/ARE Pathway, and Induce Unfolded Protein Response. Antioxidants 2023, 12, 974. [Google Scholar] [CrossRef]
- Allweiss, L.; Volmari, A.; Suri, V.; Wallin, J.J.; Flaherty, J.F.; Manuilov, D.; Downie, B.; Lütgehetmann, M.; Bockmann, J.H.; Urban, S.; et al. Blocking Viral Entry with Bulevirtide Reduces the Number of HDV-Infected Hepatocytes in Human Liver Biopsies. J. Hepatol. 2024, 80, 882–891. [Google Scholar] [CrossRef]
- Oberhardt, V.; Hofmann, M.; Thimme, R.; Neumann-Haefelin, C. Adaptive Immune Responses, Immune Escape and Immune-Mediated Pathogenesis During HDV Infection. Viruses 2022, 14, 198. [Google Scholar] [CrossRef]
- Kefalakes, H.; Koh, C.; Sidney, J.; Amanakis, G.; Sette, A.; Heller, T.; Rehermann, B. Hepatitis D Virus-Specific CD8+ T Cells Have a Memory-Like Phenotype Associated with Viral Immune Escape in Patients with Chronic Hepatitis D Virus Infection. Gastroenterology 2019, 156, 1805–1819.e9. [Google Scholar] [CrossRef]
- Karimzadeh, H.; Kiraithe, M.M.; Oberhardt, V.; Salimi Alizei, E.; Bockmann, J.; Schulze Zur Wiesch, J.; Budeus, B.; Hoffmann, D.; Wedemeyer, H.; Cornberg, M.; et al. Mutations in Hepatitis D Virus Allow It to Escape Detection by CD8+ T Cells and Evolve at the Population Level. Gastroenterology 2019, 156, 1820–1833. [Google Scholar] [CrossRef]
- Thiyagarajah, K.; Basic, M.; Hildt, E. Cellular Factors Involved in the Hepatitis D Virus Life Cycle. Viruses 2023, 15, 1687. [Google Scholar] [CrossRef]
- Chida, T.; Ishida, Y.; Morioka, S.; Sugahara, G.; Han, C.; Lam, B.; Yamasaki, C.; Sugahara, R.; Li, M.; Tanaka, Y.; et al. Persistent Hepatic IFN System Activation in HBV-HDV Infection Determines Viral Replication Dynamics and Therapeutic Response. JCI Insight 2023, 8, e162404. [Google Scholar] [CrossRef]
- Dambadarjaa, D.; Radnaa, O.; Khuyag, S.O.; Shagdarsuren, O.E.; Enkhbayar, U.; Mukhtar, Y.; Tsogzolbaatar, E.O.; Nyam, G.; Shaarii, S.; Singh, P.; et al. Hepatitis, B, C, and D Virus Infection among Population Aged 10–64 Years in Mongolia: Baseline Survey Data of a Nationwide Cancer Cohort Study. Vaccines 2022, 10, 1928. [Google Scholar] [CrossRef] [PubMed]
- Oyunsuren, T.; Kurbanov, F.; Tanaka, Y.; Elkady, A.; Sanduijav, R.; Khajidsuren, O.; Dagvadorj, B.; Mizokami, M. High Frequency of Hepatocellular Carcinoma in Mongolia; Association with Mono-, or Co-Infection with Hepatitis, C.; B.; and Delta Viruses. J. Med. Virol. 2006, 78, 1688–1695. [Google Scholar] [CrossRef] [PubMed]
- Khalfi, P.; Denis, Z.; McKellar, J.; Merolla, G.; Chavey, C.; Ursic-Bedoya, J.; Soppa, L.; Szirovicza, L.; Hetzel, U.; Dufourt, J.; et al. Comparative Analysis of Human, Rodent and Snake Deltavirus Replication. PLoS Pathog. 2024, 20, e1012060. [Google Scholar] [CrossRef] [PubMed]



| Lipid Droplet in the Tumor | Total | ||
|---|---|---|---|
| Absent | Present | ||
| HDV-positive | 11 | 2 | 13 |
| HDV-negative | 7 | 7 | 14 |
| Total | 18 | 9 | 27 |
Disclaimer/Publisher’s Note: The statements, opinions and data contained in all publications are solely those of the individual author(s) and contributor(s) and not of MDPI and/or the editor(s). MDPI and/or the editor(s) disclaim responsibility for any injury to people or property resulting from any ideas, methods, instructions or products referred to in the content. |
© 2025 by the authors. Licensee MDPI, Basel, Switzerland. This article is an open access article distributed under the terms and conditions of the Creative Commons Attribution (CC BY) license (https://creativecommons.org/licenses/by/4.0/).
Share and Cite
Jargalsaikhan, O.; Shao, W.; Ichimura-Shimizu, M.; Ishimaru, S.; Koma, T.; Nomaguchi, M.; Ogawa, H.; Tachibana, S.; Chimeddorj, B.; Batchuluun, K.; et al. Histopathological Features of Hepatocellular Carcinoma in Patients with Hepatitis B and D Virus Infection: A Single-Institution Study in Mongolia. Cancers 2025, 17, 432. https://doi.org/10.3390/cancers17030432
Jargalsaikhan O, Shao W, Ichimura-Shimizu M, Ishimaru S, Koma T, Nomaguchi M, Ogawa H, Tachibana S, Chimeddorj B, Batchuluun K, et al. Histopathological Features of Hepatocellular Carcinoma in Patients with Hepatitis B and D Virus Infection: A Single-Institution Study in Mongolia. Cancers. 2025; 17(3):432. https://doi.org/10.3390/cancers17030432
Chicago/Turabian StyleJargalsaikhan, Orgil, Wenhua Shao, Mayuko Ichimura-Shimizu, Soichiro Ishimaru, Takaaki Koma, Masako Nomaguchi, Hirohisa Ogawa, Shotaro Tachibana, Battogtokh Chimeddorj, Khongorzul Batchuluun, and et al. 2025. "Histopathological Features of Hepatocellular Carcinoma in Patients with Hepatitis B and D Virus Infection: A Single-Institution Study in Mongolia" Cancers 17, no. 3: 432. https://doi.org/10.3390/cancers17030432
APA StyleJargalsaikhan, O., Shao, W., Ichimura-Shimizu, M., Ishimaru, S., Koma, T., Nomaguchi, M., Ogawa, H., Tachibana, S., Chimeddorj, B., Batchuluun, K., Tseveenjav, A., Magvan, B., Enkhbat, B., Lkhagvadorj, S., Mendjargal, A., Ganbaatar, L., Irahara, M., Akaike, M., Boldbaatar, D., & Tsuneyama, K. (2025). Histopathological Features of Hepatocellular Carcinoma in Patients with Hepatitis B and D Virus Infection: A Single-Institution Study in Mongolia. Cancers, 17(3), 432. https://doi.org/10.3390/cancers17030432

