Analysis of TERT mRNA Levels and Clinicopathological Features in Patients with Peritoneal Mesothelioma
Simple Summary
Abstract
1. Introduction
2. Materials and Methods
2.1. Patients and Tissue Collection
2.2. Tert RNAscope
2.3. BAP1, P16, MTAP, Ki-67 Immunohistochemistry
2.4. Fluorescence In Situ Hybridization (FISH)
2.5. Statistical Analyses
3. Results
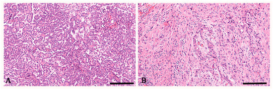
3.1. Histologic Evaluation
3.2. BAP1 Expression
3.3. P16 Expression and CDKN2A Status
3.4. MTAP Expression
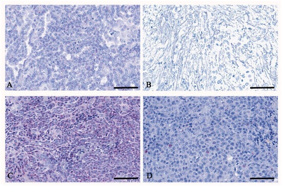
3.5. TERT
3.6. Analysis of Survival
4. Discussion
5. Conclusions
Author Contributions
Funding
Institutional Review Board Statement
Informed Consent Statement
Data Availability Statement
Conflicts of Interest
References
- Boussios, S.; Moschetta, M.; Karathanasi, A.; Tsiouris, A.K.; Kanellos, F.S.; Tatsi, K.; Katsanos, K.H.; Christodoulou, D.K. Malignant peritoneal mesothelioma: Clinical aspects, and therapeutic perspectives. Ann. Gastroenterol. 2018, 31, 659–669. [Google Scholar] [CrossRef]
- Greenbaum, A.; Alexander, H.R. Peritoneal mesothelioma. Transl. Lung Cancer Res. 2020, 9, S120–S132. [Google Scholar] [CrossRef]
- Cerruto, C.A.; Brun, E.A.; Chang, D.; Sugarbaker, P.H. Prognostic significance of histomorphologic parameters in diffuse malignant peritoneal mesothelioma. Arch. Pathol. Lab. Med. 2006, 130, 1654–1661. [Google Scholar] [CrossRef] [PubMed]
- Bridda, A.; Padoan, I.; Mencarelli, R.; Frego, M. Peritoneal mesothelioma: A review. Med. Gen. Med. 2007, 9, 32. [Google Scholar]
- Brenner, J.; Sordillo, P.P.; Magill, G.B.; Golbey, R.B. Malignant peritoneal mesothelioma: Review of 25 patients. Am. J. Gastroenterol. 1981, 75, 311–313. [Google Scholar] [PubMed]
- Elias, D.; Bedard, V.; Bouzid, T.; Duvillard, P.; Kohneh-Sharhi, N.; Raynard, B.; Goere, D. Malignant peritoneal mesothelioma: Treatment with maximal cytoreductive surgery plus intraperitoneal chemotherapy. Gastroenterol. Clin. Biol. 2007, 31, 784–788. [Google Scholar] [CrossRef]
- Magge, D.; Zenati, M.S.; Austin, F.; Mavanur, A.; Sathaiah, M.; Ramalingam, L.; Jones, H.; Zureikat, A.H.; Holtzman, M.; Ahrendt, S.; et al. Malignant peritoneal mesothelioma: Prognostic factors and oncologic outcome analysis. Ann. Surg. Oncol. 2014, 21, 1159–1165. [Google Scholar] [CrossRef] [PubMed]
- Li, C.Y.; Kennedy, T.; Alexander, H.R. Treatment of Patients with Malignant Peritoneal Mesothelioma. J. Clin. Med. 2022, 11, 1891. [Google Scholar] [CrossRef]
- Sugarbaker, P.H. Update on the management of malignant peritoneal mesothelioma. Transl. Lung Cancer Res. 2018, 7, 599–608. [Google Scholar] [CrossRef] [PubMed]
- Alaklabi, S.; Roy, A.M.; Skitzki, J.J.; Iyer, R. Immunotherapy in malignant peritoneal mesothelioma (Review). Mol. Clin. Oncol. 2023, 18, 31. [Google Scholar] [CrossRef] [PubMed]
- Kusamura, S.; Kepenekian, V.; Villeneuve, L.; Lurvink, R.J.; Govaerts, K.; De Hingh, I.; Moran, B.J.; Van der Speeten, K.; Deraco, M.; Glehen, O.; et al. Peritoneal mesothelioma: PSOGI/EURACAN clinical practice guidelines for diagnosis, treatment and follow-up. Eur. J. Surg. Oncol. 2021, 47, 36–59. [Google Scholar] [CrossRef] [PubMed]
- Brandl, A.; Westbrook, S.; Nunn, S.; Arbuthnot-Smith, E.; Mulsow, J.; Youssef, H.; Carr, N.; Tzivanakis, A.; Dayal, S.; Mohamed, F.; et al. Clinical and surgical outcomes of patients with peritoneal mesothelioma discussed at a monthly national multidisciplinary team video-conference meeting. BJS Open 2020, 4, 260–267. [Google Scholar] [CrossRef]
- Benedetti, S.; Nuvoli, B.; Catalani, S.; Galati, R. Reactive oxygen species a double-edged sword for mesothelioma. Oncotarget 2015, 6, 16848–16865. [Google Scholar] [CrossRef]
- Karpes, J.B.; Shamavonian, R.; Dewhurst, S.; Cheng, E.; Wijayawardana, R.; Ahmadi, N.; Morris, D.L. Malignant Peritoneal Mesothelioma: An In-Depth and Up-to-Date Review of Pathogenesis, Diagnosis, Management and Future Directions. Cancers 2023, 15, 4704. [Google Scholar] [CrossRef]
- Hung, Y.P.; Dong, F.; Torre, M.; Crum, C.P.; Bueno, R.; Chirieac, L.R. Molecular characterization of diffuse malignant peritoneal mesothelioma. Mod. Pathol. 2020, 33, 2269–2279. [Google Scholar] [CrossRef] [PubMed]
- Hiltbrunner, S.; Fleischmann, Z.; Sokol, E.S.; Zoche, M.; Felley-Bosco, E.; Curioni-Fontecedro, A. Genomic landscape of pleural and peritoneal mesothelioma tumours. Br. J. Cancer 2022, 127, 1997–2005. [Google Scholar] [CrossRef] [PubMed]
- Fortarezza, F.; Pezzuto, F.; Marzullo, A.; Cavone, D.; Romano, D.E.; d’Amati, A.; Serio, G.; Vimercati, L. Molecular Pathways in Peritoneal Mesothelioma: A Minireview of New Insights. Front. Oncol. 2022, 12, 823839. [Google Scholar] [CrossRef]
- Singhi, A.D.; Krasinskas, A.M.; Choudry, H.A.; Bartlett, D.L.; Pingpank, J.F.; Zeh, H.J.; Luvison, A.; Fuhrer, K.; Bahary, N.; Seethala, R.R.; et al. The prognostic significance of BAP1, NF2, and CDKN2A in malignant peritoneal mesothelioma. Mod. Pathol. 2016, 29, 14–24. [Google Scholar] [CrossRef] [PubMed]
- Dietz, M.V.; van Kooten, J.P.; Paats, M.S.; Aerts, J.; Verhoef, C.; Madsen, E.V.E.; Dubbink, H.J.; von der Thusen, J.H. Molecular alterations and potential actionable mutations in peritoneal mesothelioma: A scoping review of high-throughput sequencing studies. ESMO Open 2023, 8, 101600. [Google Scholar] [CrossRef] [PubMed]
- Prasad, K.N.; Wu, M.; Bondy, S.C. Telomere shortening during aging: Attenuation by antioxidants and anti-inflammatory agents. Mech. Ageing Dev. 2017, 164, 61–66. [Google Scholar] [CrossRef]
- Dratwa, M.; Wysoczanska, B.; Lacina, P.; Kubik, T.; Bogunia-Kubik, K. TERT-Regulation and Roles in Cancer Formation. Front. Immunol. 2020, 11, 589929. [Google Scholar] [CrossRef] [PubMed]
- Hanahan, D. Hallmarks of Cancer: New Dimensions. Cancer Discov. 2022, 12, 31–46. [Google Scholar] [CrossRef] [PubMed]
- Gaspar, T.B.; Sa, A.; Lopes, J.M.; Sobrinho-Simoes, M.; Soares, P.; Vinagre, J. Telomere Maintenance Mechanisms in Cancer. Genes 2018, 9, 241. [Google Scholar] [CrossRef]
- Udutha, S.; Taglang, C.; Batsios, G.; Gillespie, A.M.; Tran, M.; Ronen, S.M.; Ten Hoeve, J.; Graeber, T.G.; Viswanath, P. Telomerase reverse transcriptase induces targetable alterations in glutathione and nucleotide biosynthesis in glioblastomas. bioRxiv 2023. [Google Scholar] [CrossRef]
- Ahmad, F.; Dixit, D.; Sharma, V.; Kumar, A.; Joshi, S.D.; Sarkar, C.; Sen, E. Nrf2-driven TERT regulates pentose phosphate pathway in glioblastoma. Cell Death Dis. 2016, 7, e2213. [Google Scholar] [CrossRef]
- Viswanath, P.; Batsios, G.; Ayyappan, V.; Taglang, C.; Gillespie, A.M.; Larson, P.E.Z.; Luchman, H.A.; Costello, J.F.; Pieper, R.O.; Ronen, S.M. Metabolic imaging detects elevated glucose flux through the pentose phosphate pathway associated with TERT expression in low-grade gliomas. Neuro-Oncology 2021, 23, 1509–1522. [Google Scholar] [CrossRef] [PubMed]
- Batsios, G.; Taglang, C.; Tran, M.; Stevers, N.; Barger, C.; Gillespie, A.M.; Ronen, S.M.; Costello, J.F.; Viswanath, P. Deuterium Metabolic Imaging Reports on TERT Expression and Early Response to Therapy in Cancer. Clin. Cancer Res. 2022, 28, 3526–3536. [Google Scholar] [CrossRef] [PubMed]
- Ahmad, F.; Patrick, S.; Sheikh, T.; Sharma, V.; Pathak, P.; Malgulwar, P.B.; Kumar, A.; Joshi, S.D.; Sarkar, C.; Sen, E. Telomerase reverse transcriptase (TERT)—Enhancer of zeste homolog 2 (EZH2) network regulates lipid metabolism and DNA damage responses in glioblastoma. J. Neurochem. 2017, 143, 671–683. [Google Scholar] [CrossRef] [PubMed]
- Cangelosi, D.; Morini, M.; Zanardi, N.; Sementa, A.R.; Muselli, M.; Conte, M.; Garaventa, A.; Pfeffer, U.; Bosco, M.C.; Varesio, L.; et al. Hypoxia Predicts Poor Prognosis in Neuroblastoma Patients and Associates with Biological Mechanisms Involved in Telomerase Activation and Tumor Microenvironment Reprogramming. Cancers 2020, 12, 2343. [Google Scholar] [CrossRef] [PubMed]
- Petrova, V.; Annicchiarico-Petruzzelli, M.; Melino, G.; Amelio, I. The hypoxic tumour microenvironment. Oncogenesis 2018, 7, 10. [Google Scholar] [CrossRef]
- Ramachandran, D.; Mao, Q.; Liao, D.; Kamal, M.; Schurmann, P.; Eisenblatter, R.; Geffers, R.; Balint, B.; Lecompte, L.; Servant, N.; et al. Methylation, Gene Expression, and Risk Genotypes at the TERT-CLPTM1L Locus in Cervical Cancer. Mol. Carcinog. 2025, 64, 14–24. [Google Scholar] [CrossRef] [PubMed]
- Fleisig, H.B.; Hukezalie, K.R.; Thompson, C.A.H.; Au-Yeung, T.T.T.; Ludlow, A.T.; Zhao, C.R.; Wong, J.M.Y. Telomerase reverse transcriptase expression protects transformed human cells against DNA-damaging agents, and increases tolerance to chromosomal instability. Oncogene 2016, 35, 218–227. [Google Scholar] [CrossRef]
- Yuan, X.; Xu, D. Telomerase Reverse Transcriptase (TERT) in Action: Cross-Talking with Epigenetics. Int. J. Mol. Sci. 2019, 20, 3338. [Google Scholar] [CrossRef] [PubMed]
- Im, E.; Yoon, J.B.; Lee, H.W.; Chung, K.C. Human Telomerase Reverse Transcriptase (hTERT) Positively Regulates 26S Proteasome Activity. J. Cell Physiol. 2017, 232, 2083–2093. [Google Scholar] [CrossRef] [PubMed]
- Chen, J.; Nelson, C.; Wong, M.; Tee, A.E.; Liu, P.Y.; La, T.; Fletcher, J.I.; Kamili, A.; Mayoh, C.; Bartenhagen, C.; et al. Targeted Therapy of TERT-Rearranged Neuroblastoma with BET Bromodomain Inhibitor and Proteasome Inhibitor Combination Therapy. Clin. Cancer Res. 2021, 27, 1438–1451. [Google Scholar] [CrossRef]
- Zou, Y.; Cong, Y.S.; Zhou, J. Implications of telomerase reverse transcriptase in tumor metastasis. BMB Rep. 2020, 53, 458–465. [Google Scholar] [CrossRef]
- Xie, L.; Yin, W.; Tang, F.; He, M. Pan-Cancer analysis of TERT and Validation in Osteosarcoma Cell Lines. Biochem. Biophys. Res. Commun. 2023, 639, 106–116. [Google Scholar] [CrossRef] [PubMed]
- Gao, M.; Lin, Y.; Liu, X.; Zhao, Z.; Zhu, Z.; Zhang, H.; Ban, Y.; Bie, Y.; He, X.; Sun, X.; et al. TERT Mutation Is Accompanied by Neutrophil Infiltration and Contributes to Poor Survival in Isocitrate Dehydrogenase Wild-Type Glioma. Front. Cell Dev. Biol. 2021, 9, 654407. [Google Scholar] [CrossRef] [PubMed]
- Giunco, S.; Rampazzo, E.; Celeghin, A.; Petrara, M.R.; De Rossi, A. Telomere and Telomerase in Carcinogenesis: Their Role as Prognostic Biomarkers. Curr. Pathobiol. Rep. 2015, 3, 315–328. [Google Scholar] [CrossRef]
- Fu, G.; Chazen, R.S.; Monteiro, E.; Vescan, A.; Freeman, J.L.; Witterick, I.J.; MacMillan, C. Facilitation of Definitive Cancer Diagnosis With Quantitative Molecular Assays of BRAF V600E and TERT Promoter Variants in Patients With Thyroid Nodules. JAMA Netw. Open 2023, 6, e2323500. [Google Scholar] [CrossRef]
- Boutko, A.; Hagstrom, M.; Lampley, N.; Roth, A.; Olivares, S.; Dhillon, S.; Fumero-Velazquez, M.; Benton, S.; Zhao, J.; Zhang, B.; et al. PRAME Immunohistochemical Expression and TERT Promoter Mutational Analysis as Ancillary Diagnostic Tools for Differentiating Proliferative Nodules From Melanoma Arising in Congenital Nevi. Am. J. Dermatopathol. 2023, 45, 437–447. [Google Scholar] [CrossRef] [PubMed]
- Michalkova, R.; Safanda, A.; Hajkova, N.; Hojny, J.; Krkavcova, E.; Kendall Bartu, M.; Svajdler, M.; Shatokhina, T.; Laco, J.; Matej, R.; et al. The Molecular Landscape of 227 Adult Granulosa Cell Tumors of the Ovary: Insights into the Progression from Primary to Recurrence. Lab. Investig. 2024, 105, 102201. [Google Scholar] [CrossRef] [PubMed]
- Bertorelle, R.; Briarava, M.; Rampazzo, E.; Biasini, L.; Agostini, M.; Maretto, I.; Lonardi, S.; Friso, M.L.; Mescoli, C.; Zagonel, V.; et al. Telomerase is an independent prognostic marker of overall survival in patients with colorectal cancer. Br. J. Cancer 2013, 108, 278–284. [Google Scholar] [CrossRef] [PubMed]
- Rampazzo, E.; Del Bianco, P.; Bertorelle, R.; Boso, C.; Perin, A.; Spiro, G.; Bergamo, F.; Belluco, C.; Buonadonna, A.; Palazzari, E.; et al. The predictive and prognostic potential of plasma telomerase reverse transcriptase (TERT) RNA in rectal cancer patients. Br. J. Cancer 2018, 118, 878–886. [Google Scholar] [CrossRef]
- Blanco-Garcia, L.; Ruano, Y.; Blanco Martinez-Illescas, R.; Cubo, R.; Jimenez Sanchez, P.; Sanchez-Arevalo Lobo, V.J.; Riveiro Falkenbach, E.; Ortiz Romero, P.; Garrido, M.C.; Rodriguez Peralto, J.L. pTERT C250T mutation: A potential biomarker of poor prognosis in metastatic melanoma. Heliyon 2023, 9, e18953. [Google Scholar] [CrossRef] [PubMed]
- Sauter, J.L.; Dacic, S.; Galateau-Salle, F.; Attanoos, R.L.; Butnor, K.J.; Churg, A.; Husain, A.N.; Kadota, K.; Khoor, A.; Nicholson, A.G.; et al. The 2021 WHO Classification of Tumors of the Pleura: Advances Since the 2015 Classification. J. Thorac. Oncol. 2022, 17, 608–622. [Google Scholar] [CrossRef] [PubMed]
- Scattone, A.; Serio, G.; Marzullo, A.; Nazzaro, P.; Corsi, F.; Cocca, M.P.; Mattoni, M.; Punzi, A.; Gentile, M.; Buonadonna, A.L.; et al. High Wilms’ tumour gene (WT1) expression and low mitotic count are independent predictors of survival in diffuse peritoneal mesothelioma. Histopathology 2012, 60, 472–481. [Google Scholar] [CrossRef] [PubMed]
- Travis, W.D.; Brambilla, E.; Nicholson, A.G.; Yatabe, Y.; Austin, J.H.M.; Beasley, M.B.; Chirieac, L.R.; Dacic, S.; Duhig, E.; Flieder, D.B.; et al. The 2015 World Health Organization Classification of Lung Tumors: Impact of Genetic, Clinical and Radiologic Advances Since the 2004 Classification. J. Thorac. Oncol. 2015, 10, 1243–1260. [Google Scholar] [CrossRef] [PubMed]
- Dacic, S.; Kothmaier, H.; Land, S.; Shuai, Y.; Halbwedl, I.; Morbini, P.; Murer, B.; Comin, C.; Galateau-Salle, F.; Demirag, F.; et al. Prognostic significance of p16/cdkn2a loss in pleural malignant mesotheliomas. Virchows. Arch. 2008, 453, 627–635. [Google Scholar] [CrossRef] [PubMed]
- Chapel, D.B.; Schulte, J.J.; Berg, K.; Churg, A.; Dacic, S.; Fitzpatrick, C.; Galateau-Salle, F.; Hiroshima, K.; Krausz, T.; Le Stang, N.; et al. MTAP immunohistochemistry is an accurate and reproducible surrogate for CDKN2A fluorescence in situ hybridization in diagnosis of malignant pleural mesothelioma. Mod. Pathol. 2020, 33, 245–254. [Google Scholar] [CrossRef]
- Hida, T.; Hamasaki, M.; Matsumoto, S.; Sato, A.; Tsujimura, T.; Kawahara, K.; Iwasaki, A.; Okamoto, T.; Oda, Y.; Honda, H.; et al. Immunohistochemical detection of MTAP and BAP1 protein loss for mesothelioma diagnosis: Comparison with 9p21 FISH and BAP1 immunohistochemistry. Lung Cancer 2017, 104, 98–105. [Google Scholar] [CrossRef] [PubMed]
- Pezzuto, F.; Serio, G.; Fortarezza, F.; Scattone, A.; Caporusso, C.; Punzi, A.; Cavone, D.; Pennella, A.; Marzullo, A.; Vimercati, L. Prognostic Value of Ki67 Percentage, WT-1 Expression and p16/CDKN2A Deletion in Diffuse Malignant Peritoneal Mesothelioma: A Single-Centre Cohort Study. Diagnostics 2020, 10, 386. [Google Scholar] [CrossRef] [PubMed]
- Cigognetti, M.; Lonardi, S.; Fisogni, S.; Balzarini, P.; Pellegrini, V.; Tironi, A.; Bercich, L.; Bugatti, M.; Rossi, G.; Murer, B.; et al. BAP1 (BRCA1-associated protein 1) is a highly specific marker for differentiating mesothelioma from reactive mesothelial proliferations. Mod. Pathol. 2015, 28, 1043–1057. [Google Scholar] [CrossRef] [PubMed]
- Marczyk, V.R.; Maia, A.L.; Goemann, I.M. Distinct transcriptional and prognostic impacts of TERT promoter mutations C228T and C250T in papillary thyroid carcinoma. Endocr. Relat. Cancer 2024, 31, e240058. [Google Scholar] [CrossRef]
- Melo, M.; da Rocha, A.G.; Vinagre, J.; Batista, R.; Peixoto, J.; Tavares, C.; Celestino, R.; Almeida, A.; Salgado, C.; Eloy, C.; et al. TERT promoter mutations are a major indicator of poor outcome in differentiated thyroid carcinomas. J. Clin. Endocrinol. Metab. 2014, 99, E754–E765. [Google Scholar] [CrossRef]
- Dome, J.S.; Bockhold, C.A.; Li, S.M.; Baker, S.D.; Green, D.M.; Perlman, E.J.; Hill, D.A.; Breslow, N.E. High telomerase RNA expression level is an adverse prognostic factor for favorable-histology Wilms’ tumor. J. Clin. Oncol. 2005, 23, 9138–9145. [Google Scholar] [CrossRef]
- Chae, M.; Lee, J.H.; Park, J.H.; Keum, D.Y.; Jung, H.; Lee, Y.; Lee, D.H. Different Role of TRF1 and TRF2 Expression in Non-Small Cell Lung Cancers. OncoTargets Ther. 2024, 17, 463–469. [Google Scholar] [CrossRef]
- Koneru, B.; Lopez, G.; Farooqi, A.; Conkrite, K.L.; Nguyen, T.H.; Macha, S.J.; Modi, A.; Rokita, J.L.; Urias, E.; Hindle, A.; et al. Telomere Maintenance Mechanisms Define Clinical Outcome in High-Risk Neuroblastoma. Cancer Res. 2020, 80, 2663–2675. [Google Scholar] [CrossRef]
- Atout, S.; Shurrab, S.; Loveridge, C. Evaluation of the Suitability of RNAscope as a Technique to Measure Gene Expression in Clinical Diagnostics: A Systematic Review. Mol. Diagn. Ther. 2022, 26, 19–37. [Google Scholar] [CrossRef] [PubMed]
- Annese, T.; Tamma, R.; Ribatti, D. RNAscope for VEGF-A Detection in Human Tumor Bioptic Specimens. Methods. Mol. Biol. 2022, 2475, 143–155. [Google Scholar] [CrossRef] [PubMed]
- Annese, T.; Tamma, R.; De Giorgis, M.; Ruggieri, S.; Maiorano, E.; Specchia, G.; Ribatti, D. RNAscope dual ISH-IHC technology to study angiogenesis in diffuse large B-cell lymphomas. Histochem. Cell Biol. 2020, 153, 185–192. [Google Scholar] [CrossRef] [PubMed]
- Tamma, R.; Annese, T.; Ruggieri, S.; Marzullo, A.; Nico, B.; Ribatti, D. VEGFA and VEGFR2 RNAscope determination in gastric cancer. J. Mol. Histol. 2018, 49, 429–435. [Google Scholar] [CrossRef] [PubMed]
- Momeni-Boroujeni, A.; Yousefi, E.; Gupta, S.; Benayed, R.; Berger, M.F.; Ladanyi, M.; Monroe, R.; Kim, J.; Jungbluth, A.; Weigelt, B.; et al. Evaluation of TERT mRNA expression using RNAscope(R): A potential histopathologic diagnostic and prognostic tool. Pathol. Res. Pract. 2022, 233, 153892. [Google Scholar] [CrossRef] [PubMed]
- Ghosh, A.; Saginc, G.; Leow, S.C.; Khattar, E.; Shin, E.M.; Yan, T.D.; Wong, M.; Zhang, Z.; Li, G.; Sung, W.K.; et al. Telomerase directly regulates NF-kappaB-dependent transcription. Nat. Cell Biol. 2012, 14, 1270–1281. [Google Scholar] [CrossRef] [PubMed]
- Xue, H.; Hu, Z.; Liu, S.; Zhang, S.; Yang, W.; Li, J.; Yan, C.; Zhang, J.; Zhang, J.; Lei, X. The mechanism of NF-kappaB-TERT feedback regulation of granulosa cell apoptosis in PCOS rats. PLoS ONE 2024, 19, e0312115. [Google Scholar] [CrossRef] [PubMed]
- Pineiro-Hermida, S.; Bosso, G.; Sanchez-Vazquez, R.; Martinez, P.; Blasco, M.A. Telomerase deficiency and dysfunctional telomeres in the lung tumor microenvironment impair tumor progression in NSCLC mouse models and patient-derived xenografts. Cell Death Differ. 2023, 30, 1585–1600. [Google Scholar] [CrossRef] [PubMed]
- Zanetti, M. A second chance for telomerase reverse transcriptase in anticancer immunotherapy. Nat. Rev. Clin. Oncol. 2017, 14, 115–128. [Google Scholar] [CrossRef] [PubMed]
- Lopes-Bastos, B.; Nabais, J.; Ferreira, T.; Allavena, G.; El Mai, M.; Bird, M.; Targen, S.; Tattini, L.; Kang, D.; Yue, J.X.; et al. The absence of telomerase leads to immune response and tumor regression in zebrafish melanoma. Cell Rep. 2024, 43, 115035. [Google Scholar] [CrossRef]
- Kovalenko, O.A.; Caron, M.J.; Ulema, P.; Medrano, C.; Thomas, A.P.; Kimura, M.; Bonini, M.G.; Herbig, U.; Santos, J.H. A mutant telomerase defective in nuclear-cytoplasmic shuttling fails to immortalize cells and is associated with mitochondrial dysfunction. Aging Cell 2010, 9, 203–219. [Google Scholar] [CrossRef]
- Xian, S.; Dosset, M.; Castro, A.; Carter, H.; Zanetti, M. Transcriptional analysis links B cells and TERT expression to favorable prognosis in head and neck cancer. PNAS Nexus 2023, 2, pgad046. [Google Scholar] [CrossRef]
- Chapel, D.B.; Schulte, J.J.; Absenger, G.; Attanoos, R.; Brcic, L.; Butnor, K.J.; Chirieac, L.; Churg, A.; Galateau-Salle, F.; Hiroshima, K.; et al. Malignant peritoneal mesothelioma: Prognostic significance of clinical and pathologic parameters and validation of a nuclear-grading system in a multi-institutional series of 225 cases. Mod. Pathol. 2021, 34, 380–395. [Google Scholar] [CrossRef] [PubMed]
- Pezzuto, F.; Vimercati, L.; Fortarezza, F.; Marzullo, A.; Pennella, A.; Cavone, D.; Punzi, A.; Caporusso, C.; d’Amati, A.; Lettini, T.; et al. Evaluation of prognostic histological parameters proposed for pleural mesothelioma in diffuse malignant peritoneal mesothelioma. A short report. Diagn. Pathol. 2021, 16, 64. [Google Scholar] [CrossRef] [PubMed]
- Alpert, N.; van Gerwen, M.; Taioli, E. Epidemiology of mesothelioma in the 21(st) century in Europe and the United States, 40 years after restricted/banned asbestos use. Transl. Lung Cancer Res. 2020, 9, S28–S38. [Google Scholar] [CrossRef]
- Alpert, N.; van Gerwen, M.; Flores, R.; Taioli, E. Gender Differences in Outcomes of Patients With Mesothelioma. Am. J. Clin. Oncol. 2020, 43, 792–797. [Google Scholar] [CrossRef] [PubMed]
- Musk, A.W.; Olsen, N.; Alfonso, H.; Reid, A.; Mina, R.; Franklin, P.; Sleith, J.; Hammond, N.; Threlfall, T.; Shilkin, K.B.; et al. Predicting survival in malignant mesothelioma. Eur. Respir. J. 2011, 38, 1420–1424. [Google Scholar] [CrossRef]
- Leblay, N.; Lepretre, F.; Le Stang, N.; Gautier-Stein, A.; Villeneuve, L.; Isaac, S.; Maillet, D.; Galateau-Salle, F.; Villenet, C.; Sebda, S.; et al. BAP1 Is Altered by Copy Number Loss, Mutation, and/or Loss of Protein Expression in More Than 70% of Malignant Peritoneal Mesotheliomas. J. Thorac. Oncol. 2017, 12, 724–733. [Google Scholar] [CrossRef] [PubMed]
- Baumann, F.; Flores, E.; Napolitano, A.; Kanodia, S.; Taioli, E.; Pass, H.; Yang, H.; Carbone, M. Mesothelioma patients with germline BAP1 mutations have 7-fold improved long-term survival. Carcinogenesis 2015, 36, 76–81. [Google Scholar] [CrossRef] [PubMed]
- Hwang, H.C.; Sheffield, B.S.; Rodriguez, S.; Thompson, K.; Tse, C.H.; Gown, A.M.; Churg, A. Utility of BAP1 Immunohistochemistry and p16 (CDKN2A) FISH in the Diagnosis of Malignant Mesothelioma in Effusion Cytology Specimens. Am. J. Surg. Pathol. 2016, 40, 120–126. [Google Scholar] [CrossRef] [PubMed]
- Rossi, G.; Righi, L.; Barbisan, F.; Tiseo, M.; Spagnolo, P.; Grosso, F.; Pisapia, P.; Malapelle, U.; Sculco, M.; Dianzani, I.; et al. BAP1 Loss, Nuclear Grading, and Nonepithelioid Features in the Diagnosis of Mesothelioma in Italy: Nevermore without the Pathology Report. J. Pers. Med. 2024, 14, 394. [Google Scholar] [CrossRef] [PubMed]
- Kotiyal, S.; Evason, K.J. Exploring the Interplay of Telomerase Reverse Transcriptase and beta-Catenin in Hepatocellular Carcinoma. Cancers 2021, 13, 4202. [Google Scholar] [CrossRef] [PubMed]
- Ningarhari, M.; Caruso, S.; Hirsch, T.Z.; Bayard, Q.; Franconi, A.; Vedie, A.L.; Noblet, B.; Blanc, J.F.; Amaddeo, G.; Ganne, N.; et al. Telomere length is key to hepatocellular carcinoma diversity and telomerase addiction is an actionable therapeutic target. J. Hepatol. 2021, 74, 1155–1166. [Google Scholar] [CrossRef] [PubMed]
- Borczuk, A.C.; Taub, R.N.; Hesdorffer, M.; Hibshoosh, H.; Chabot, J.A.; Keohan, M.L.; Alsberry, R.; Alexis, D.; Powell, C.A. P16 loss and mitotic activity predict poor survival in patients with peritoneal malignant mesothelioma. Clin. Cancer Res. 2005, 11, 3303–3308. [Google Scholar] [CrossRef] [PubMed]
- Shim, H.S.; Iaconelli, J.; Shang, X.; Li, J.; Lan, Z.D.; Jiang, S.; Nutsch, K.; Beyer, B.A.; Lairson, L.L.; Boutin, A.T.; et al. TERT activation targets DNA methylation and multiple aging hallmarks. Cell 2024, 187, 4030–4042.e13. [Google Scholar] [CrossRef] [PubMed]





| Patients | Asbestos Exposure | Year of Exposure | Sex | Age | Survival Time (Months) |
|---|---|---|---|---|---|
| Case 1 | 1 | 4 | M | 64 | 47 |
| Case 2 | 1 | 4 | M | 58 | 2 |
| Case 3 | 1 | 14 | M | 59 | 11 |
| Case 4 | 1 | 26 | M | 64 | 7 |
| Case 5 | 2 | Not countable | M | 68 | 4 |
| Case 6 | 2 | 12 | F | 72 | 1 |
| Case 7 | 3 | - | F | 80 | 2 |
| Case 8 | 2 | Not countable | M | 50 | 28 |
| Case 9 | 2 | 15 | M | 72 | 46 |
| Case 10 | 1 | 10 | M | 59 | 1 |
| Case 11 | 1 | Not countable | M | 72 | 59 |
| Case 12 | 1 | 27 | M | 68 | 22 |
| Case 13 | 1 | 2 | M | 78 | 45 |
| Patients | Histotype | Atypie | Inflammatory Infiltrate |
|---|---|---|---|
| Case 1 | 1 | 1 | 1 |
| Case 2 | 2 | 3 | 2 |
| Case 3 | 1 | 2 | 1 |
| Case 4 | 2 | 3 | 1 |
| Case 5 | 1 | 2 | 2 |
| Case 6 | 2 | 3 | 1 |
| Case 7 | 2 | 3 | 2 |
| Case 8 | 1 | 2 | 1 |
| Case 9 | 2 | 3 | 1 |
| Case 10 | 2 | 3 | 2 |
| Case 11 | 1 | 2 | 1 |
| Case 12 | 1 | 2 | 1 |
| Case 13 | 1 | 2 | 2 |
| Patients | Necrosis | Mitotic Index-Pleura | Mitotic Index Adjusted | Nuclear Grade | Ki-67 |
|---|---|---|---|---|---|
| Case 1 | 2 | 3 | 3 | 2 | 2 |
| Case 2 | 1 | 3 | 3 | 3 | 2 |
| Case 3 | 2 | 2 | 1 | 2 | 1 |
| Case 4 | 1 | 3 | 3 | 3 | 2 |
| Case 5 | 1 | 3 | 2 | 2 | 2 |
| Case 6 | 1 | 3 | 3 | 3 | 1 |
| Case 7 | 1 | 3 | 3 | 3 | 2 |
| Case 8 | 2 | 2 | 1 | 1 | 1 |
| Case 9 | 1 | 2 | 1 | 3 | 1 |
| Case 10 | 2 | 3 | 2 | 3 | 2 |
| Case 11 | 2 | 2 | 1 | 2 | 1 |
| Case 12 | 2 | 2 | 1 | 2 | 1 |
| Case 13 | 1 | 3 | 2 | 3 | 1 |
| Patients | BAP1 | IHC p16 | FISH p16a | FISH p16b | FISH Del Homo | FISH Del Hetero | IHC MTAP |
|---|---|---|---|---|---|---|---|
| Case 1 | 2 | 1 | 2 | 1 | 2 | 2 | 2 |
| Case 2 | 2 | 1 | 1 | 1 | 1 | 1 | 2 |
| Case 3 | 2 | 2 | 3 | 0 | 2 | 1 | 1 |
| Case 4 | 2 | 2 | 3 | 0 | 2 | 1 | 2 |
| Case 5 | 2 | 2 | 3 | 0 | 2 | 1 | 1 |
| Case 6 | 2 | 2 | 3 | 0 | 2 | 1 | 1 |
| Case 7 | 1 | 2 | 3 | 0 | 2 | 1 | 2 |
| Case 8 | 2 | 1 | 1 | 1 | 1 | 1 | 2 |
| Case 9 | 2 | 1 | 2 | 1 | 2 | 2 | 1 |
| Case 10 | 1 | 2 | 3 | 0 | 2 | 1 | 2 |
| Case 11 | 2 | 1 | 2 | 1 | 2 | 2 | 2 |
| Case 12 | 2 | 1 | 3 | 0 | 2 | 1 | 2 |
| Case 13 | 2 | 1 | 2 | 1 | 2 | 2 | 2 |
| Patients | Percentage of Cells in ‘1+’ | Percentage of Cells in ‘2+’ | Percentage of Cells in ‘3+’ | Percentage of Cells in ‘4+’ | Score |
|---|---|---|---|---|---|
| Case 1 | 40.55 | 3.47 | 0.00 | 0.00 | 2 |
| Case 2 | 0.91 | 0.00 | 0.00 | 0.00 | 1 |
| Case 3 | 53.90 | 24.76 | 1.66 | 0.17 | 4 |
| Case 4 | 9.93 | 0.16 | 0.00 | 0.00 | 2 |
| Case 5 | 4.80 | 0.00 | 0.00 | 0.00 | 1 |
| Case 6 | 15.54 | 0.36 | 0.00 | 0.00 | 2 |
| Case 7 | 6.34 | 0.04 | 0.00 | 0.00 | 2 |
| Case 8 | 9.03 | 0.06 | 0.00 | 0.00 | 2 |
| Case 9 | 6.52 | 0.00 | 0.00 | 0.00 | 1 |
| Case 10 | 0.53 | 0.00 | 0.00 | 0.00 | 1 |
| Case 11 | 6.31 | 0.00 | 0.00 | 0.00 | 1 |
| Case 12 | 45.06 | 5.37 | 0.00 | 0.00 | 2 |
| Case 13 | 7.75 | 0.00 | 0.00 | 0.00 | 1 |
| Variables Months (95% CI) | No. of Cases Univariate | Mean Survival (Min–Max) | p-Value |
|---|---|---|---|
| Histology | |||
| Epithelioid | 7 | 30.86 (4–59) | 0.0526 |
| Biphasic | 6 | 9.83 (1–46) | |
| Sarcomatoid | 0 | 0 | |
| Mitotic count adjusted | |||
| 2–4 = 1 | 5 | 33.20 (11–59) | ≤0.0001 |
| 5–9 = 2 | 3 | 16.67 (1–45) | |
| >10 = 3 | 5 | 11.80 (1–47) | |
| Ki67 | |||
| <20 | 7 | 30.29 (1–59) | 0.0666 |
| >20 | 6 | 10.50 (1–47) | |
| Sex | |||
| M | 11 | 24.73 (1–59) | 0.0152 |
| F | 2 | 1.50 (1–2) | |
| BAP1 | |||
| pos | 2 | 1.50 (1–2) | 0.0152 |
| neg | 11 | 24.73 (1–59) | |
| IHC p16 | |||
| pos | 7 | 35.57 (2–59) | 0.0022 |
| neg | 6 | 4.33 (1–11) | |
| FISH p16 | |||
| no del | 2 | 15 (2–28) | 0.0049 |
| del homo | 4 | 49.25 (45–59) | |
| del hetero | 7 | 6.86 (1–22) | |
| FISH p16 | |||
| del homo | 6 | 37.83 (2–59) | 0.0044 |
| no del | 7 | 6.86 (1–22) | |
| FISH p16 del hetero | |||
| <50 | 9 | 8.67 (1–28) | 0.0019 |
| >50 | 4 | 49.25 (45–59) |
Disclaimer/Publisher’s Note: The statements, opinions and data contained in all publications are solely those of the individual author(s) and contributor(s) and not of MDPI and/or the editor(s). MDPI and/or the editor(s) disclaim responsibility for any injury to people or property resulting from any ideas, methods, instructions or products referred to in the content. |
© 2025 by the authors. Licensee MDPI, Basel, Switzerland. This article is an open access article distributed under the terms and conditions of the Creative Commons Attribution (CC BY) license (https://creativecommons.org/licenses/by/4.0/).
Share and Cite
d’Amati, A.; Serio, G.; Quaranta, A.; Vimercati, L.; De Giorgis, M.; Lorusso, L.; Errede, M.; Longo, V.; Marzullo, A.; Ribatti, D.; et al. Analysis of TERT mRNA Levels and Clinicopathological Features in Patients with Peritoneal Mesothelioma. Cancers 2025, 17, 252. https://doi.org/10.3390/cancers17020252
d’Amati A, Serio G, Quaranta A, Vimercati L, De Giorgis M, Lorusso L, Errede M, Longo V, Marzullo A, Ribatti D, et al. Analysis of TERT mRNA Levels and Clinicopathological Features in Patients with Peritoneal Mesothelioma. Cancers. 2025; 17(2):252. https://doi.org/10.3390/cancers17020252
Chicago/Turabian Styled’Amati, Antonio, Gabriella Serio, Andrea Quaranta, Luigi Vimercati, Michelina De Giorgis, Loredana Lorusso, Mariella Errede, Vito Longo, Andrea Marzullo, Domenico Ribatti, and et al. 2025. "Analysis of TERT mRNA Levels and Clinicopathological Features in Patients with Peritoneal Mesothelioma" Cancers 17, no. 2: 252. https://doi.org/10.3390/cancers17020252
APA Styled’Amati, A., Serio, G., Quaranta, A., Vimercati, L., De Giorgis, M., Lorusso, L., Errede, M., Longo, V., Marzullo, A., Ribatti, D., & Annese, T. (2025). Analysis of TERT mRNA Levels and Clinicopathological Features in Patients with Peritoneal Mesothelioma. Cancers, 17(2), 252. https://doi.org/10.3390/cancers17020252

