Immature Teratoma of the Ovary—A Narrative Review
Simple Summary
Abstract
1. Introduction
- •
- Epithelial tumors are believed to arise from the coelomic epithelium lining the ovary. However, recent studies suggest that many high-grade serous carcinomas, a common type of epithelial ovarian cancer, may actually originate in the fimbrial end of the fallopian tube [4]. Moreover, the origin of certain ovarian cancer histotypes is often associated with pre-existing conditions such as endometriosis, or may result from the progression or malignant transformation of benign or borderline ovarian cysts.
- •
- Sex cord-stromal tumors originate from the ovarian stroma and sex cords.
- •
- Germ cell tumors are derived from primordial germ cells.
2. Methods
3. Immature Teratomas
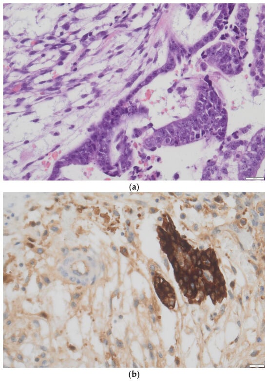
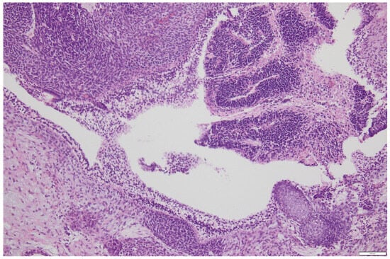
3.1. Diagnosis
| AFP | bHCG | LDH | |
|---|---|---|---|
| Immature teratoma | +/- | - | - |
3.2. Prognostic Factors
- •
- Grade 1: <1 low power field (using a 4× objective and a 10× lens, 40× of magnification) per slide;
- •
- Grade 2: ≥1 but <3 low power fields in any slide;
- •
- Grade 3: ≥3 low-power fields in any slide.
3.3. Management
3.3.1. Management of Stage I Disease
3.3.2. Management in Advanced Stages (II–IV)
3.3.3. Management of Relapses
3.3.4. Fertility Outcomes
3.4. Follow-Up
4. Conclusions
Author Contributions
Funding
Acknowledgments
Conflicts of Interest
References
- Bray, F.; Laversanne, M.; Sung, H.; Ferlay, J.; Siegel, R.L.; Soerjomataram, I.; Jemal, A. Global Cancer Statistics 2022: GLOBOCAN Estimates of Incidence and Mortality Worldwide for 36 Cancers in 185 Countries. CA. Cancer J. Clin. 2024, 74, 229–263. [Google Scholar] [CrossRef]
- Scully, R.E.; Sobin, L.H. Histologic Typing of Ovarian Tumors. Arch. Pathol. Lab. Med. 1987, 111, 794–795. [Google Scholar]
- Kurman, R.J.; Carcangiu, M.L.; Herrington, C.S.; Young, R.H. WHO Classification of Tumours of Female Reproductive Organs; IARC Publication: Lyon, France, 2014. [Google Scholar]
- Labidi-Galy, S.I.; Papp, E.; Hallberg, D.; Niknafs, N.; Adleff, V.; Noe, M.; Bhattacharya, R.; Novak, M.; Jones, S.; Phallen, J.; et al. High Grade Serous Ovarian Carcinomas Originate in the Fallopian Tube. Nat. Commun. 2017, 8, 1093. [Google Scholar] [CrossRef]
- Smith, H.O.; Berwick, M.; Verschraegen, C.F.; Wiggins, C.; Lansing, L.; Muller, C.Y.; Qualls, C.R. Incidence and Survival Rates for Female Malignant Germ Cell Tumors. Obstet. Gynecol. 2006, 107, 1075–1085. [Google Scholar] [CrossRef]
- Gatta, G.; Van Der Zwan, J.M.; Casali, P.G.; Siesling, S.; Dei Tos, A.P.; Kunkler, I.; Otter, R.; Licitra, L.; Mallone, S.; Tavilla, A.; et al. Rare Cancers Are Not so Rare: The Rare Cancer Burden in Europe. Eur. J. Cancer 2011, 47, 2493–2511. [Google Scholar] [CrossRef]
- Oosterhuis, J.W.; Looijenga, L.H.J. Human Germ Cell Tumours from a Developmental Perspective. Nat. Rev. Cancer 2019, 19, 522–537. [Google Scholar] [CrossRef]
- Li, S.; Wang, Y.; Zhang, X.; Zhang, T.; Yin, M.; Yang, J. Role of Adjuvant Chemotherapy in Stage I Pure Ovarian Immature Teratoma: A Systematic Review and Meta-Analysis. Cancers 2023, 15, 1741. [Google Scholar] [CrossRef] [PubMed]
- Vasta, F.M.; Dellino, M.; Bergamini, A.; Gargano, G.; Paradiso, A.; Loizzi, V.; Bocciolone, L.; Silvestris, E.; Petrone, M.; Cormio, G.; et al. Reproductive Outcomes and Fertility Preservation Strategies in Women with Malignant Ovarian Germ Cell Tumors after Fertility Sparing Surgery. Biomedicines 2020, 8, 554. [Google Scholar] [CrossRef] [PubMed]
- Gershenson, D.M.; del Junco, G.; Silva, E.G.; Copeland, L.J.; Wharton, J.T.; Rutledge, F.N. Immature Teratoma of the Ovary. Obstet. Gynecol. 1986, 68, 624–629. [Google Scholar]
- Gershenson, D.M. Management of Ovarian Germ Cell Tumors. J. Clin. Oncol. 2007, 25, 2938–2943. [Google Scholar] [CrossRef] [PubMed]
- Lu, K.H.; Gershenson, D.M. Update on the Management of Ovarian Germ Cell Tumors. J. Reprod. Med. 2005, 50, 417–425. [Google Scholar]
- Goyal, L.D.; Kaur, B.; Badyal, R.K. Malignant Mixed Germ Cell Tumors of the Ovary: A Series of Rare Cases. J. Reprod. Infertil. 2019, 20, 231–236. [Google Scholar] [PubMed]
- Abdullahi Idle, S.; Hayes, K.; Ross, J. Ultrasound Features of Immature Ovarian Teratomas: Case Series and Review of Literature. Ultrasound 2020, 28, 82–90. [Google Scholar] [CrossRef]
- Saba, L.; Guerriero, S.; Sulcis, R.; Virgilio, B.; Melis, G.; Mallarini, G. Mature and Immature Ovarian Teratomas: CT, US and MR Imaging Characteristics. Eur. J. Radiol. 2009, 72, 454–463. [Google Scholar] [CrossRef]
- Choudhary, S.; Fasih, N.; Innes, M.M.; Marginean, C. Imaging of Ovarian Teratomas: Appearances and Complications. J. Med. Imaging Radiat. Oncol. 2009, 53, 480–488. [Google Scholar] [CrossRef]
- Kurman, R.J.; Hedrick Ellenson, L.; Ronnett, B.M. Blaustein’s Pathology of the Female Genital Tract, 7th ed.; Springer: Berlin/Heidelberg, Germany, 2019; ISBN 978-3-319-46333-9. [Google Scholar]
- O’Connor, D.M.; Norris, H.J. The Influence of Grade on the Outcome of Stage I Ovarian Immature (Malignant) Teratomas and the Reproducibility of Grading. Int. J. Gynecol. Pathol. 1994, 13, 283–289. [Google Scholar] [CrossRef] [PubMed]
- Dicken, B.J.; Billmire, D.F.; Rich, B.; Hazard, F.K.; Nuño, M.; Krailo, M.; Fallahazad, N.; Pashankar, F.; Shaikh, F.; Frazier, A.L. Utility of Frozen Section in Pediatric and Adolescent Malignant Ovarian Nonseminomatous Germ Cell Tumors: A Report from the Children’s Oncology Group. Gynecol. Oncol. 2022, 166, 476–480. [Google Scholar] [CrossRef]
- Sukumaran, R.; Somanathan, T.; Mathews, A.; Kattor, J.; Sambasivan, S.; Nair, R.P. Role of Frozen Section in Intraoperative Assessment of Ovarian Masses: A Tertiary Oncology Center Experience. Indian J. Surg. Oncol. 2014, 5, 99–103. [Google Scholar] [CrossRef]
- Poulos, C.; Cheng, L.; Zhang, S.; Gersell, D.J.; Ulbright, T.M. Analysis of Ovarian Teratomas for Isochromosome 12p: Evidence Supporting a Dual Histogenetic Pathway for Teratomatous Elements. Mod. Pathol. 2006, 19, 766–771. [Google Scholar] [CrossRef] [PubMed]
- Cao, D.; Li, J.; Guo, C.C.; Allan, R.W.; Humphrey, P.A. SALL4 Is a Novel Diagnostic Marker for Testicular Germ Cell Tumors. Am. J. Surg. Pathol. 2009, 33, 1065–1077. [Google Scholar] [CrossRef]
- Zynger, D.L.; Everton, M.J.; Dimov, N.D.; Chou, P.M.; Yang, X.J. Expression of Glypican 3 in Ovarian and Extragonadal Germ Cell Tumors. Am. J. Clin. Pathol. 2008, 130, 224–230. [Google Scholar] [CrossRef] [PubMed]
- Chan, J.K.; Gardner, A.B.; Chan, J.E.; Guan, A.; Alshak, M.; Kapp, D.S. The Influence of Age and Other Prognostic Factors Associated with Survival of Ovarian Immature Teratoma—A Study of 1307 Patients. Gynecol. Oncol. 2016, 142, 446–451. [Google Scholar] [CrossRef]
- Guo, H.; Chen, H.; Wang, W.; Chen, L. Clinicopathological Features, Prognostic Factors, Survival Trends, and Treatment of Malignant Ovarian Germ Cell Tumors: A SEER Database Analysis. Oncol. Res. Treat. 2021, 44, 145–153. [Google Scholar] [CrossRef]
- Bergamini, A.; Sarwar, N.; Ferrandina, G.; Scarfone, G.; Short, D.; Aguiar, X.; Camnasio, C.; Kaur, B.; Savage, P.M.; Cormio, G.; et al. Can We Replace Adjuvant Chemotherapy with Surveillance for Stage IA-C Immature Ovarian Teratomas of Any Grade? An International Multicenter Analysis. Eur. J. Cancer 2020, 137, 136–143. [Google Scholar] [CrossRef]
- Mangili, G.; Giorda, G.; Ferrandina, G.; Cormio, G.; Cassani, C.; Savarese, A.; Danese, S.; Carnelli, M.; Vasta, F.M.; Perrone, A.M.; et al. Surveillance Alone in Stage I Malignant Ovarian Germ Cell Tumors: A MITO (Multicenter Italian Trials in Ovarian Cancer) Prospective Observational Study. Int. J. Gynecol. Cancer 2021, 31, 1242–1247. [Google Scholar] [CrossRef] [PubMed]
- Bergamini, A.; Sarwar, N.; Ferrandina, G.; Scarfone, G.; Short, D.; Aguiar, X.; Camnasio, C.; Kaur, B.; Savage, P.M.; Cormio, G.; et al. Response to Letter Entitled: Re: Can We Replace Adjuvant Chemotherapy with Surveillance for Stage IA-C Immature Ovarian Teratomas of Any Grade? An International Multicenter Analysis. Eur. J. Cancer 2021, 152, 257–258. [Google Scholar] [CrossRef]
- Norris, H.J.; Zirkin, H.J.; Benson, W.L. Immature (Malignant) Teratoma of the Ovary.A Clinical and Pathologic Study of 58 Cases. Cancer 1976, 37, 2359–2372. [Google Scholar] [CrossRef]
- Pashankar, F.; Hale, J.P.; Dang, H.; Krailo, M.; Brady, W.E.; Rodriguez-Galindo, C.; Nicholson, J.C.; Murray, M.J.; Bilmire, D.F.; Stoneham, S.; et al. Is Adjuvant Chemotherapy Indicated in Ovarian Immature Teratomas? A Combined Data Analysis from the Malignant Germ Cell Tumor International Collaborative: Adjuvant Chemotherapy in Ovarian ITs. Cancer 2016, 122, 230–237. [Google Scholar] [CrossRef]
- Prat, J.; FIGO Committee on Gynecologic Oncology. Staging Classification for Cancer of the Ovary, Fallopian Tube, and Peritoneum. Int. J. Gynecol. Obstet. 2014, 124, 1–5. [Google Scholar] [CrossRef]
- Chan, J.K.; Tewari, K.S.; Waller, S.; Cheung, M.K.; Shin, J.Y.; Osann, K.; Kapp, D.S. The Influence of Conservative Surgical Practices for Malignant Ovarian Germ Cell Tumors: Ovarian Germ Cell Tumors. J. Surg. Oncol. 2008, 98, 111–116. [Google Scholar] [CrossRef] [PubMed]
- Lai, C.-H.; Chang, T.-C.; Hsueh, S.; Wu, T.-I.; Chao, A.; Chou, H.-H.; Wang, P.-N. Outcome and Prognostic Factors in Ovarian Germ Cell Malignancies. Gynecol. Oncol. 2005, 96, 784–791. [Google Scholar] [CrossRef]
- Murugaesu, N.; Schmid, P.; Dancey, G.; Agarwal, R.; Holden, L.; McNeish, I.; Savage, P.M.; Newlands, E.S.; Rustin, G.J.S.; Seckl, M.J. Malignant Ovarian Germ Cell Tumors: Identification of Novel Prognostic Markers and Long-Term Outcome After Multimodality Treatment. J. Clin. Oncol. 2006, 24, 4862–4866. [Google Scholar] [CrossRef] [PubMed]
- Jorge, S.; Jones, N.L.; Chen, L.; Hou, J.Y.; Tergas, A.I.; Burke, W.M.; Ananth, C.V.; Neugut, A.I.; Herhshman, D.L.; Wright, J.D. Characteristics, Treatment and Outcomes of Women with Immature Ovarian Teratoma, 1998–2012. Gynecol. Oncol. 2016, 142, 261–266. [Google Scholar] [CrossRef] [PubMed]
- Mangili, G.; Sigismondi, C.; Gadducci, A.; Cormio, G.; Scollo, P.; Tateo, S.; Ferrandina, G.; Greggi, S.; Candiani, M.; Lorusso, D. Outcome and Risk Factors for Recurrence in Malignant Ovarian Germ Cell Tumors: A MITO-9 Retrospective Study. Int. J. Gynecol. Cancer 2011, 21, 1414–1421. [Google Scholar] [CrossRef]
- Kwan, M.-Y.; Kalle, W.; Lau, G.T.C.; Chan, J.K.C. Is Gliomatosis Peritonei Derived from the Associated Ovarian Teratoma? Hum. Pathol. 2004, 35, 685–688. [Google Scholar] [CrossRef]
- Bentivegna, E.; Gonthier, C.; Uzan, C.; Genestie, C.; Duvillard, P.; Morice, P.; Gouy, S. Gliomatosis Peritonei: A Particular Entity With Specific Outcomes Within the Growing Teratoma Syndrome. Int. J. Gynecol. Cancer 2015, 25, 244–249. [Google Scholar] [CrossRef]
- Liang, L.; Zhang, Y.; Malpica, A.; Ramalingam, P.; Euscher, E.D.; Fuller, G.N.; Liu, J. Gliomatosis Peritonei: A Clinicopathologic and Immunohistochemical Study of 21 Cases. Mod. Pathol. 2015, 28, 1613–1620. [Google Scholar] [CrossRef] [PubMed]
- Dalmau, J.; Tüzün, E.; Wu, H.; Masjuan, J.; Rossi, J.E.; Voloschin, A.; Baehring, J.M.; Shimazaki, H.; Koide, R.; King, D.; et al. Paraneoplastic Anti– N -methyl- D -aspartate Receptor Encephalitis Associated with Ovarian Teratoma. Ann. Neurol. 2007, 61, 25–36. [Google Scholar] [CrossRef]
- Nguyen, L.; Wang, C. Anti-NMDA Receptor Autoimmune Encephalitis: Diagnosis and Management Strategies. Int. J. Gen. Med. 2023, 16, 7–21. [Google Scholar] [CrossRef] [PubMed]
- Titulaer, M.J.; McCracken, L.; Gabilondo, I.; Armangué, T.; Glaser, C.; Iizuka, T.; Honig, L.S.; Benseler, S.M.; Kawachi, I.; Martinez-Hernandez, E.; et al. Treatment and Prognostic Factors for Long-Term Outcome in Patients with Anti-NMDA Receptor Encephalitis: An Observational Cohort Study. Lancet Neurol. 2013, 12, 157–165. [Google Scholar] [CrossRef] [PubMed]
- Bonazzi, C.; Peccatori, F.; Colombo, N.; Lucchini, V.; Cantù, M.G.; Mangioni, C. Pure Ovarian Immature Teratoma, a Unique and Curable Disease: 10 Years’ Experience of 32 Prospectively Treated Patients. Obstet. Gynecol. 1994, 84, 598–604. [Google Scholar]
- Mangili, G.; Scarfone, G.; Gadducci, A.; Sigismondi, C.; Ferrandina, G.; Scibilia, G.; Viganò, R.; Tateo, S.; Villa, A.; Lorusso, D. Is Adjuvant Chemotherapy Indicated in Stage I Pure Immature Ovarian Teratoma (IT)? A Multicentre Italian Trial in Ovarian Cancer (MITO-9). Gynecol. Oncol. 2010, 119, 48–52. [Google Scholar] [CrossRef]
- Vicus, D.; Beiner, M.E.; Clarke, B.; Klachook, S.; Le, L.W.; Laframboise, S.; Mackay, H. Ovarian Immature Teratoma: Treatment and Outcome in a Single Institutional Cohort. Gynecol. Oncol. 2011, 123, 50–53. [Google Scholar] [CrossRef]
- Alwazzan, A.B.; Popowich, S.; Dean, E.; Robinson, C.; Lotocki, R.; Altman, A.D. Pure Immature Teratoma of the Ovary in Adults. Int. J. Gynecol. Cancer 2015, 25, 1616–1622. [Google Scholar] [CrossRef]
- Reddihalli, P.V.; Subbian, A.; Umadevi, K.; Rathod, P.S.; Krishnappa, S.; Nanaiah, S.P.; Bafna, U.D. Immature Teratoma of Ovary —Outcome Following Primary and Secondary Surgery: Study of a Single Institution Cohort. Eur. J. Obstet. Gynecol. Reprod. Biol. 2015, 192, 17–21. [Google Scholar] [CrossRef] [PubMed]
- Mangili, G.; Sigismondi, C.; Lorusso, D.; Cormio, G.; Candiani, M.; Scarfone, G.; Mascilini, F.; Gadducci, A.; Mosconi, A.M.; Scollo, P.; et al. The Role of Staging and Adjuvant Chemotherapy in Stage I Malignant Ovarian Germ Cell Tumors (MOGTs): The MITO-9 Study. Ann. Oncol. 2017, 28, 333–338. [Google Scholar] [CrossRef] [PubMed]
- Newton, C.; Murali, K.; Ahmad, A.; Hockings, H.; Graham, R.; Liberale, V.; Sarker, S.-J.; Ledermann, J.; Berney, D.M.; Shamash, J.; et al. A Multicentre Retrospective Cohort Study of Ovarian Germ Cell Tumours: Evidence for Chemotherapy de-Escalation and Alignment of Paediatric and Adult Practice. Eur. J. Cancer 2019, 113, 19–27. [Google Scholar] [CrossRef]
- Wang, D.; Zhu, S.; Jia, C.; Cao, D.; Wu, M.; Shen, K.; Yang, J.; Xiang, Y. Role of Staging Surgery and Adjuvant Chemotherapy in Adult Patients with Apparent Stage I Pure Immature Ovarian Teratoma after Fertility-Sparing Surgery. Int. J. Gynecol. Cancer 2020, 30, 664–669. [Google Scholar] [CrossRef]
- Nasioudis, D.; Frey, M.K.; Chapman-Davis, E.; Caputo, T.A.; Holcomb, K.M. Surveillance Only for High-Risk FIGO Stage IA/IB Malignant Ovarian Germ Cell Tumors: Results From a National Cancer Database. Am. J. Clin. Oncol. 2021, 44, 195–199. [Google Scholar] [CrossRef]
- Graham, R.; MacDonald, N.D.; Lockley, M.; Miller, R.; Butler, J.; Murali, K.; Sarker, S.-J.; Banerjee, S.; Stoneham, S.; Shamash, J.; et al. Surgical Management and Outcomes for Stage 1 Malignant Ovarian Germ Cell Tumours: A UK Multicentre Retrospective Cohort Study. Eur. J. Obstet. Gynecol. Reprod. Biol. 2022, 271, 138–144. [Google Scholar] [CrossRef] [PubMed]
- Zhang, X.; Yang, J.; Wang, J.; Zhang, Y.; Yang, J. Early Stage Ovarian Immature Teratoma, Surveillance or Chemotherapy after Surgery? A Propensity Score Matched Analysis. Gynecol. Oncol. Rep. 2022, 40, 100976. [Google Scholar] [CrossRef] [PubMed]
- Li, S.; Zhang, X.; Zhang, T.; Yin, M.; Cao, D.; Xiang, Y.; Yang, J. Prognostic Factors for Pure Ovarian Immature Teratoma and the Role of Adjuvant Chemotherapy in Stage I Diseases. Ann. Med. 2023, 55, 2273984. [Google Scholar] [CrossRef]
- Marino, G.; Grassi, T.; De Ponti, E.; Negri, S.; Testa, F.; Giuliani, D.; Delle Marchette, M.; Dell’Oro, C.; Fumagalli, D.; Donatiello, G.; et al. Outcome of Patients with Stage I Immature Teratoma after Surveillance or Adjuvant Chemotherapy. Front. Oncol. 2024, 14, 1330481. [Google Scholar] [CrossRef]
- Ray-Coquard, I.; Morice, P.; Lorusso, D.; Prat, J.; Oaknin, A.; Pautier, P.; Colombo, N. Non-Epithelial Ovarian Cancer: ESMO Clinical Practice Guidelines for Diagnosis, Treatment and Follow-Up. Ann. Oncol. 2018, 29, iv1–iv18. [Google Scholar] [CrossRef] [PubMed]
- Armstrong, D.K.; Alvarez, R.D.; Bakkum-Gamez, J.N.; Barroilhet, L.; Behbakht, K.; Berchuck, A.; Berek, J.S.; Chen, L.; Cristea, M.; DeRosa, M.; et al. NCCN Guidelines Insights: Ovarian Cancer, Version 1.2019. J. Natl. Compr. Cancer Netw. 2019, 17, 896–909. [Google Scholar] [CrossRef]
- Liu, Q.; Ding, X.; Yang, J.; Cao, D.; Shen, K.; Lang, J.; Zhang, G.; Xin, X.; Xie, X.; Wu, Y. The Significance of Comprehensive Staging Surgery in Malignant Ovarian Germ Cell Tumors. Gynecol. Oncol. 2013, 131, 551–554. [Google Scholar] [CrossRef]
- Mahdi, H.; Swensen, R.E.; Hanna, R.; Kumar, S.; Ali-Fehmi, R.; Semaan, A.; Tamimi, H.; Morris, R.T.; Munkarah, A.R. Prognostic Impact of Lymphadenectomy in Clinically Early Stage Malignant Germ Cell Tumour of the Ovary. Br. J. Cancer 2011, 105, 493–497. [Google Scholar] [CrossRef]
- Zhao, T.; Liu, Y.; Wang, X.; Zhang, H.; Lu, Y. Ovarian Cystectomy in the Treatment of Apparent Early-Stage Immature Teratoma. J. Int. Med. Res. 2017, 45, 771–780. [Google Scholar] [CrossRef]
- Wang, D.; Zhu, S.; Jia, C.; Cao, D.; Yang, J.; Xiang, Y. Oncological and Reproductive Outcomes of Cystectomy Compared with Unilateral Salpingo-Oophorectomy as Fertility-Sparing Surgery in Patients with Apparent Early Stage Pure Immature Ovarian Teratomas. Ann. Surg. Oncol. 2021, 28, 6684–6693. [Google Scholar] [CrossRef]
- Mangili, G.; Sigismondi, C.; Lorusso, D.; Pignata, S. Surveillance Policy for Stage IA Malignant Ovarian Germ Cell Tumors in Children and Young Adults. J. Clin. Oncol. 2014, 32, 2814–2815. [Google Scholar] [CrossRef]
- Alsdorf, W.; Seidel, C.; Bokemeyer, C.; Oing, C. Current Pharmacotherapy for Testicular Germ Cell Cancer. Expert Opin. Pharmacother. 2019, 20, 837–850. [Google Scholar] [CrossRef]
- Cushing, B.; Giller, R.; Ablin, A.; Cohen, L.; Cullen, J.; Hawkins, E.; Heifetz, S.A.; Krailo, M.; Lauer, S.J.; Marina, N.; et al. Surgical Resection Alone Is Effective Treatment for Ovarian Immature Teratoma in Children and Adolescents: A Report of the Pediatric Oncology Group and the Children’s Cancer Group. Am. J. Obstet. Gynecol. 1999, 181, 353–358. [Google Scholar] [CrossRef]
- Marina, N.M.; Cushing, B.; Giller, R.; Cohen, L.; Lauer, S.J.; Ablin, A.; Weetman, R.; Cullen, J.; Rogers, P.; Vinocur, C.; et al. Complete Surgical Excision Is Effective Treatment for Children With Immature Teratomas With or Without Malignant Elements: A Pediatric Oncology Group/Children’s Cancer Group Intergroup Study. J. Clin. Oncol. 1999, 17, 2137–2143. [Google Scholar] [CrossRef]
- Chaudhary, U.B.; Haldas, J.R. Long-Term Complications of Chemotherapy for Germ Cell Tumours. Drugs 2003, 63, 1565–1577. [Google Scholar] [CrossRef]
- Maroto, P.; Anguera, G.; Martin, C. Long-Term Toxicity of the Treatment for Germ Cell-Cancer. A Review. Crit. Rev. Oncol. Hematol. 2018, 121, 62–67. [Google Scholar] [CrossRef]
- van den Belt-Dusebout, A.W.; de Wit, R.; Gietema, J.A.; Horenblas, S.; Louwman, M.W.J.; Ribot, J.G.; Hoekstra, H.J.; Ouwens, G.M.; Aleman, B.M.P.; van Leeuwen, F.E. Treatment-Specific Risks of Second Malignancies and Cardiovascular Disease in 5-Year Survivors of Testicular Cancer. J. Clin. Oncol. 2007, 25, 4370–4378. [Google Scholar] [CrossRef] [PubMed]
- Boshoff, C.; Begent, R.H.J.; Oliver, R.T.D.; Rustin, G.J.; Newlands, E.S.; Andrews, R.; Skelton, M.; Holden, L.; Ong, J. Secondary Tumours Following Etoposide Containing Therapy for Germ Cell Cancer. Ann. Oncol. 1995, 6, 35–40. [Google Scholar] [CrossRef] [PubMed]
- Skalleberg, J.; Solheim, O.; Fosså, S.D.; Småstuen, M.C.; Osnes, T.; Gundersen, P.O.M.; Bunne, M. Long-Term Ototoxicity in Women after Cisplatin Treatment for Ovarian Germ Cell Cancer. Gynecol. Oncol. 2017, 145, 148–153. [Google Scholar] [CrossRef]
- Solheim, O.; Skalleberg, J.; Warncke, T.; Ørstavik, K.; Tropé, C.; Fosså, S.D. Long-Term Neurotoxicity and Raynaud’s Phenomenon in Patients Treated with Cisplatin-Based Chemotherapy for Malignant Ovarian Germ Cell Tumor. Acta Obstet. Gynecol. Scand. 2019, 98, 240–249. [Google Scholar] [CrossRef] [PubMed]
- Chan, J.L.; Wang, E.T. Oncofertility for Women with Gynecologic Malignancies. Gynecol. Oncol. 2017, 144, 631–636. [Google Scholar] [CrossRef]
- Palenzuela, G.; Martin, E.; Meunier, A.; Beuzeboc, P.; Laurence, V.; Orbach, D.; Frappaz, D. Comprehensive Staging Allows for Excellent Outcome in Patients With Localized Malignant Germ Cell Tumor of the Ovary. Ann. Surg. 2008, 248, 836–841. [Google Scholar] [CrossRef]
- Marino, G.; Negri, S.; Testa, F.; Giuliani, D.; De Ponti, E.; Bombelli, M.; Pecis Cavagna, G.; Lugotti, D.; Jaconi, M.; Casiraghi, A.; et al. Oncologic and Fertility Outcome in Patients with Advanced Stage Ovarian Immature Teratomas. Gynecol. Oncol. Rep. 2025, 58, 101715. [Google Scholar] [CrossRef]
- Bafna, U.D.; Umadevi, K.; Kumaran, C.; Nagarathna, D.S.; Shashikala, P.; Tanseem, R. Germ Cell Tumors of the Ovary: Is There a Role for Aggressive Cytoreductive Surgery for Nondysgerminomatous Tumors? Int. J. Gynecol. Cancer 2001, 11, 300–304. [Google Scholar] [CrossRef]
- Talukdar, S.; Kumar, S.; Bhatla, N.; Mathur, S.; Thulkar, S.; Kumar, L. Neo-Adjuvant Chemotherapy in the Treatment of Advanced Malignant Germ Cell Tumors of Ovary. Gynecol. Oncol. 2014, 132, 28–32. [Google Scholar] [CrossRef] [PubMed]
- Zanetta, G.; Bonazzi, C.; Cantù, M.G.; Bini†, S.; Locatelli, A.; Bratina, G.; Mangioni, C. Survival and Reproductive Function After Treatment of Malignant Germ Cell Ovarian Tumors. J. Clin. Oncol. 2001, 19, 1015–1020. [Google Scholar] [CrossRef] [PubMed]
- Brown, J.; Friedlander, M.; Backes, F.J.; Harter, P.; O’Connor, D.M.; De La Motte Rouge, T.; Lorusso, D.; Maenpaa, J.; Kim, J.-W.; Tenney, M.E.; et al. Gynecologic Cancer Intergroup (GCIG) Consensus Review for Ovarian Germ Cell Tumors. Int. J. Gynecol. Cancer 2014, 24, S48–S54. [Google Scholar] [CrossRef] [PubMed]
- Nasioudis, D.; Chapman-Davis, E.; Frey, M.K.; Caputo, T.A.; Witkin, S.S.; Holcomb, K. Prognostic Significance of Residual Disease in Advanced Stage Malignant Ovarian Germ Cell Tumors. Int. J. Gynecol. Cancer 2019, 29, 554–559. [Google Scholar] [CrossRef]
- Fumagalli, D.; Jayraj, A.; Olearo, E.; Capasso, I.; Hsu, H.-C.; Tzur, Y.; Piedimonte, S.; Jugeli, B.; Santana, B.N.; De Vitis, L.A.; et al. Primary versus Interval Cytoreductive Surgery in Patients with Rare Epithelial or Non-Epithelial Ovarian Cancer. Int. J. Gynecol. Cancer 2025, 35, 101664. [Google Scholar] [CrossRef]
- Merard, R.; Ganesan, R.; Hirschowitz, L. Growing Teratoma Syndrome: A Report of 2 Cases and Review of the Literature. Int. J. Gynecol. Pathol. 2015, 34, 465–472. [Google Scholar] [CrossRef] [PubMed]
- Chan Wah Hak, C.; Coyle, C.; Kocache, A.; Short, D.; Sarwar, N.; Seckl, M.J.; Gonzalez, M.A. Emergency Etoposide-Cisplatin (Em-EP) for Patients with Germ Cell Tumours (GCT) and Trophoblastic Neoplasia (TN). BMC Cancer 2019, 19, 770. [Google Scholar] [CrossRef] [PubMed]
- Gaffan, J.; Holden, L.; Newlands, E.S.; Short, D.; Fuller, S.; Begent, R.H.J.; Rustin, G.J.S.; Seckl, M.J. Infertility Rates Following POMB/ACE Chemotherapy for Male and Female Germ Cell Tumours—A Retrospective Long-Term Follow-up Study. Br. J. Cancer 2003, 89, 1849–1854. [Google Scholar] [CrossRef]
- Peate, M.; Meiser, B.; Hickey, M.; Friedlander, M. The Fertility-Related Concerns, Needs and Preferences of Younger Women with Breast Cancer: A Systematic Review. Breast Cancer Res. Treat. 2009, 116, 215–223. [Google Scholar] [CrossRef]
- Loren, A.W.; Mangu, P.B.; Beck, L.N.; Brennan, L.; Magdalinski, A.J.; Partridge, A.H.; Quinn, G.; Wallace, W.H.; Oktay, K. Fertility Preservation for Patients With Cancer: American Society of Clinical Oncology Clinical Practice Guideline Update. J. Clin. Oncol. 2013, 31, 2500–2510. [Google Scholar] [CrossRef]
- Low, J.J.H.; Perrin, L.C.; Crandon, A.J.; Hacker, N.F. Conservative Surgery to Preserve Ovarian Function in Patients with Malignant Ovarian Germ Cell Tumors: A Review of 74 Cases. Cancer 2000, 89, 391–398. [Google Scholar] [CrossRef]
- Tangir, J. Reproductive Function after Conservative Surgery and Chemotherapy for Malignant Germ Celltumors of the Ovary. Obstet. Gynecol. 2003, 101, 251–257. [Google Scholar] [CrossRef] [PubMed]
- Tamauchi, S.; Kajiyama, H.; Yoshihara, M.; Ikeda, Y.; Yoshikawa, N.; Nishino, K.; Utsumi, F.; Niimi, K.; Suzuki, S.; Kikkawa, F. Reproductive Outcomes of 105 Malignant Ovarian Germ Cell Tumor Survivors: A Multicenter Study. Am. J. Obstet. Gynecol. 2018, 219, 385.e1–385.e7. [Google Scholar] [CrossRef]
- Marino, G.; Grassi, T.; De Ponti, E.; Testa, F.; Negri, S.; Giuliani, D.; Seca, M.; Bombelli, M.; Santagati, A.; Bertoni, M.; et al. Fertility Outcomes in Stage I Ovarian Immature Teratomas. Int. J. Gynecol. Cancer 2024, 34, 1416–1422. [Google Scholar] [CrossRef]
- Vazquez, I.; Rustin, G.J.S. Current Controversies in the Management of Germ Cell Ovarian Tumours. Curr. Opin. Oncol. 2013, 25, 539–545. [Google Scholar] [CrossRef]
- Salani, R.; Backes, F.J.; Fung Kee Fung, M.; Holschneider, C.H.; Parker, L.P.; Bristow, R.E.; Goff, B.A. Posttreatment Surveillance and Diagnosis of Recurrence in Women with Gynecologic Malignancies: Society of Gynecologic Oncologists Recommendations. Am. J. Obstet. Gynecol. 2011, 204, 466–478. [Google Scholar] [CrossRef] [PubMed]
- Dark, G.G.; Bower, M.; Newlands, E.S.; Paradinas, F.; Rustin, G.J. Surveillance Policy for Stage I Ovarian Germ Cell Tumors. J. Clin. Oncol. 1997, 15, 620–624. [Google Scholar] [CrossRef] [PubMed]
- Seckl, M.J.; Kaur, B.; Ghorani, E.; Bergamini, A.; Mangili, G. Controversies in Malignant Ovarian Germ Cell Tumors. Int. J. Gynecol. Cancer 2025, 35, 101670. [Google Scholar] [CrossRef] [PubMed]


| Dysgerminoma Non-dysgerminoma
|
| Author and Year of Publication | N Patients | Stage (IA/IB/IC) | Grade (G1/G2/G3) | FSS | Chemo | Relapses | Deaths |
|---|---|---|---|---|---|---|---|
| Bonazzi, 1994 [43] | 26 | 18/0/8 | 7/13/6 | 26/26 | 6/26 | 2/26 | 0/26 |
| Mangili, 2010 [44] | 28 | 19/2/7 | 9/12/7 | 24/28 | 9/28 | 6/28 | 0/28 |
| Vicus, 2011 [45] | 32 | 27/0/5 | 13/11/8 | 29/32 | 5/32 | 4/32 | 3/32 |
| Alwazzan, 2015 [46] | 22 | 12/1/9 | 8/2/12 | 19/22 | 16/22 | 0/22 | 0/22 |
| Pashankar, 2016 * [30] | 43 | 502/147 (IB-IC) | - | - | 43/43 | 1/43 | 1/43 |
| Reddihalli, 2015 [47] | 16 | 5/0/5 | - | 15/16 | 15/16 | 0/16 | 0/16 |
| Jorge, 2016 [35] | 756 | - | - | - | 379/756 | - | 13/756 |
| Chan, 2016 [24] | 418 | - | 103/114/118 (83 missing) | - | - | - | 2/418 |
| Mangili, 2017 [48] | 49 | 22/2/12 (13 unknown) | - | - | 15/49 | 11/49 | - |
| Newton, 2019 * [49] | 32 | - | - | - | 6/32 | 2/32 | 0/32 |
| Bergamini, 2020 [26] | 108 | 66/3/39 | 31/41/36 | 100/108 | 27/108 | 11/108 | 1/108 |
| Wang, 2020 [50] | 75 | 14/0/12 (49 unknown) | 35/25/15 | 75/75 | 51/75 | 4/75 | 1/75 |
| Mangili, 2021 [27] | 24 | 16/1/7 | 9/2/13 | 24/24 | 5/24 | 1/24 | 0/24 |
| Nasioudis, 2021 [51] | 272 | - | 0/115/157 | - | 170/272 | - | 8/272 |
| Graham, 2022 [52] | 39 | 26/0/7 (6 undefined) | 11/15/12 | 38/39 | 6/39 | 6/39 | 0/39 |
| Zhang, 2022 [53] | 32 | 6/0/26 | 12/20 (G2–G3) | 32/32 | 16/32 | 2/32 | 0/32 |
| Li, 2023 [54] | 126 | 55/0/71 | 39/57/30 | 105/126 | 81/126 | 13/126 | 2/126 |
| Marino, 2024 [55] | 74 | 59/1/14 | 28/28/18 | 74/74 | 9/74 | 10/74 | 0/74 |
| Pulmonary toxicity (Bleomycin) Neuropathy (Platin) Nephrotoxicity (Platin) Raynaud’s phenomenon Cardiovascular impairment High tone hearing loss (Platin) Osteoporosis (if radical surgery) Infertility Acute myeloid leukemia (Etoposide) |
| Author and Year of Publication | N Patients | Stage (II/III/IV) | Grade (G1/G2/G3) | FSS | Chemo | Relapses | Deaths |
|---|---|---|---|---|---|---|---|
| Bonazzi, 1994 [43] | 5 | 2/3/0 | 2/2/1 | 4/5 | 3/5 | 3/5 | 0/5 |
| Vicus, 2011 [45] | 2 | 1/1/0 | 0/1/1 | 1/2 | 2/2 | 1/2 | 1/2 |
| Alwazzan, 2015 [46] | 5 | 3/2/0 | - | - | 4/5 | 1/5 | 0/5 |
| Pashankar, 2016 * [30] | 38 | 5/27/6 | - | - | 38/38 | 9/38 | 5/38 |
| Reddihalli, 2015 [47] | 5 | 0/5/0 | - | - | 5/5 | 4/5 | 1/5 |
| Jorge, 2016 [35] | 236 | 68/143/25 | - | - | 190/236 | - | 48/236 |
| Chan, 2016 [24] | 116 | 24/71/21 | 8/22/58 (28 missing) | - | - | - | 21/116 |
| Newton, 2019 * [49] | 10 | - | - | - | - | 2/10 | - |
| Marino, 2025 [74] | 17 | 4/12/1 | 2/6/9 | 13/17 | 14/17 | 5/17 | 0/17 |
| Timing | Clinical Examination | Ultrasound | Tumor Markers | Chest Radiography | Total Body CT Scan |
|---|---|---|---|---|---|
| I year | Each month | Every 2 months | Every 2 weeks (first 6 months), then monthly | Every 2 months | Every 3 months (if no laparoscopic second look) or at 12 months |
| II year | Every 2 months | Every 4 months | Every 2 months | Every 4 months | - |
| III year | Every 3 months | Every 6 months | Every 3 months | Every 6 months | - |
| IV year | Every 4 months | - | Every 4 months | Every 8 months | - |
| V–X year | Every 6 months | - | Every 6 months | Annualy | - |
Disclaimer/Publisher’s Note: The statements, opinions and data contained in all publications are solely those of the individual author(s) and contributor(s) and not of MDPI and/or the editor(s). MDPI and/or the editor(s) disclaim responsibility for any injury to people or property resulting from any ideas, methods, instructions or products referred to in the content. |
© 2025 by the authors. Licensee MDPI, Basel, Switzerland. This article is an open access article distributed under the terms and conditions of the Creative Commons Attribution (CC BY) license (https://creativecommons.org/licenses/by/4.0/).
Share and Cite
Marino, G.; Negri, S.; Testa, F.; Corti, J.; Giuliani, D.; Lugotti, D.; Grassi, T.; Jaconi, M.; Casiraghi, A.; Bonazzi, C.M.; et al. Immature Teratoma of the Ovary—A Narrative Review. Cancers 2025, 17, 3041. https://doi.org/10.3390/cancers17183041
Marino G, Negri S, Testa F, Corti J, Giuliani D, Lugotti D, Grassi T, Jaconi M, Casiraghi A, Bonazzi CM, et al. Immature Teratoma of the Ovary—A Narrative Review. Cancers. 2025; 17(18):3041. https://doi.org/10.3390/cancers17183041
Chicago/Turabian StyleMarino, Giuseppe, Serena Negri, Filippo Testa, Jasmine Corti, Daniela Giuliani, Daniele Lugotti, Tommaso Grassi, Marta Jaconi, Alessandra Casiraghi, Cristina Maria Bonazzi, and et al. 2025. "Immature Teratoma of the Ovary—A Narrative Review" Cancers 17, no. 18: 3041. https://doi.org/10.3390/cancers17183041
APA StyleMarino, G., Negri, S., Testa, F., Corti, J., Giuliani, D., Lugotti, D., Grassi, T., Jaconi, M., Casiraghi, A., Bonazzi, C. M., & Fruscio, R. (2025). Immature Teratoma of the Ovary—A Narrative Review. Cancers, 17(18), 3041. https://doi.org/10.3390/cancers17183041

