Machine Learning Uncovers Novel Predictors of Peptide Receptor Radionuclide Therapy Eligibility in Neuroendocrine Neoplasms
Simple Summary
Abstract
1. Introduction
2. Materials and Methods
2.1. Patient Selection
2.2. Protocol for Somatostatin Receptor SPECT/CT Image Acquisition
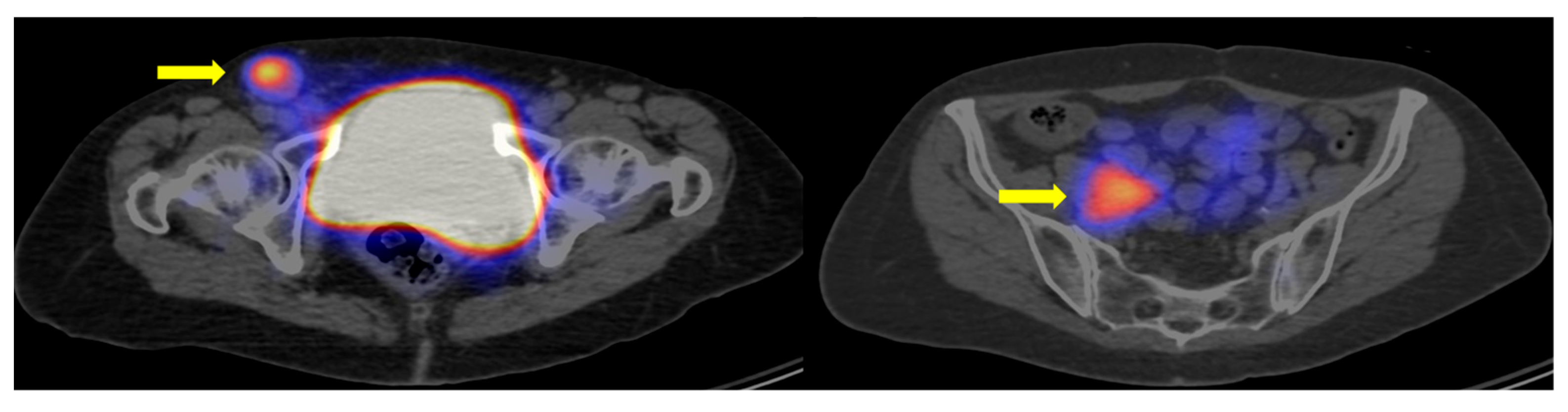
2.3. Image Analysis and Lesion Detection
2.4. Data Analysis and Machine Learning Approach
2.4.1. Variable Grouping
- oncological (group Onco, for example, previous treatments and tumor origin)
- pathological (group Path, such as Ki-67 and tumor grade)
- immunohistochemical (group Imm, including CK7 or CK20)
- laboratory (group Lab, such as CEA, CA19-9, and AFP).
2.4.2. Data Splitting and Model Development
2.4.3. Feature Selection
2.5. Additional Statistics
3. Results
3.1. Metastatic Neuroendocrine Neoplasms Frequently Exhibit PRRT-Suitable Lesions
3.2. Model Performances: Complex Approaches Yield Better Accuracy
3.2.1. Lesion-Based Models Accurately Predict PRRT Suitability
3.2.2. Patient-Based Models Benefit from Histological Data for Enhanced PRRT Prediction
3.3. Feature Selection Identifies Key Predictive Biomarkers for PRRT Eligibility
4. Discussion
5. Limitations
6. Conclusions
Supplementary Materials
Author Contributions
Funding
Institutional Review Board Statement
Informed Consent Statement
Data Availability Statement
Acknowledgments
Conflicts of Interest
Abbreviations
| SPECT | Single photon emission computer tomography |
| PET | Positron emission tomography |
| CT | Computer tomography |
| MRI | Magnetic resonance imaging |
| PRRT | Peptide receptor radioligand therapy |
| NEN | Neuroendocrine neoplasm |
| NET | Neuroendocrine tumor |
| NEC | Neuroendocrine carcinoma |
| SSTR | Somatostatin receptor |
| SSA | Somatostatin analog |
| SST2A | Somatostatin receptor type 2A |
| GIS | Gastrointestinal system |
| GEP | Gastro-entero-pancreatic |
| CK7 | Cytokeratin-7 |
| CK20 | Cytokeratin-20 |
| TTF-1 | Thyroid transcription factor 1 |
| CEA | Carcinoembryonic antigen |
| CA19-9 | Cancer antigen 19-9 |
| AFP | Alpha-fetoprotein |
| NSE | Neuron-specific enolase |
| WHO | World Health Organization |
| MIBG | Metaiodobenzylguanidine |
| FDG | Fluorodeoxyglucose |
| F-DOPA | Fluoro-dihydroxy phenylalanine |
| VOI | Volume of interest |
| AP | Antero-posterior |
| PA | Postero-anterior |
| RF | Random forest |
| XGB | Extreme Gradient Boosting |
| SMOTE | Synthetic Minority Oversampling Technique |
| PI | Permutation importance |
| FI | Feature importance |
References
- Patel, N.; Benipal, B. Incidence of neuroendocrine tumors in the United States from 2001–2015: A United States cancer statistics analysis of 50 states. Cureus 2019, 11, 3. [Google Scholar] [CrossRef]
- Dasari, A.; Shen, C.; Halperin, D.; Zhao, B.; Zhou, S.; Xu, Y.; Shih, T.; Yao, J.C. Trends in the incidence, prevalence, and survival outcomes in patients with neuroendocrine tumors in the United States. JAMA Oncol. 2017, 3, 1335. [Google Scholar] [CrossRef]
- Rindi, G.; Mete, O.; Uccella, S.; Basturk, O.; La Rosa, S.; Brosens, L.A.A.; Ezzat, S.; de Herder, W.W.; Klimstra, D.S.; Papotti, M.; et al. Overview of the 2022 WHO Classification of Neuroendocrine Neoplasms. Endocr. Pathol. 2022, 33, 115–154. [Google Scholar] [CrossRef]
- Oronsky, B.; Ma, P.C.; Morgensztern, D.; Carter, C.A. Nothing But NET: A Review of Neuroendocrine Tumors and Carcinomas. Neoplasia 2017, 19, 991–1002. [Google Scholar] [CrossRef] [PubMed]
- Qian, Z.R.; Li, T.; Ter-Minassian, M.; Yang, J.; Chan, J.A.; Brais, L.K.; Masugi, Y.; Thiaglingam, A.; Brooks, N.; Nishihara, R.; et al. Association Between Somatostatin Receptor Expression and Clinical Outcomes in Neuroendocrine Tumors. Pancreas 2016, 45, 1386–1393. [Google Scholar] [CrossRef]
- Rogoza, O.; Megnis, K.; Kudrjavceva, M.; Gerina-Berzina, A.; Rovite, V. Role of Somatostatin Signalling in Neuroendocrine Tumours. Int. J. Mol. Sci. 2022, 23, 1447. [Google Scholar] [CrossRef] [PubMed]
- Sundin, A.; Arnold, R.; Baudin, E.; Cwikla, J.B.; Eriksson, B.; Fanti, S.; Fazio, N.; Giammarile, F.; Hicks, R.J.; Kjaer, A.; et al. ENETS Consensus Guidelines for the Standards of Care in Neuroendocrine Tumors: Radiological, Nuclear Medicine & Hybrid Imaging. Neuroendocrinology 2017, 105, 212–244. [Google Scholar] [PubMed]
- Kunikowska, J.; Lewington, V.; Krolicki, L. Optimizing Somatostatin Receptor Imaging in Patients With Neuroendocrine Tumors: The Impact of 99mTc-HYNICTOC SPECT/SPECT/CT Versus 68Ga-DOTATATE PET/CT Upon Clinical Management. Clin. Nucl. Med. 2017, 42, 905–911. [Google Scholar] [CrossRef]
- Hicks, R.J.; Kwekkeboom, D.J.; Krenning, E.; Bodei, L.; Grozinsky-Glasberg, S.; Arnold, R.; Borbath, I.; Cwikla, J.; Toumpanakis, C.; Kaltsas, G.; et al. ENETS Consensus Guidelines for the Standards of Care in Neuroendocrine Neoplasia: Peptide Receptor Radionuclide Therapy with Radiolabeled Somatostatin Analogues. Neuroendocrinology 2017, 105, 295–309. [Google Scholar] [CrossRef]
- Hope, T.A.; Abbott, A.; Colucci, K.; Bushnell, D.L.; Gardner, L.; Graham, W.S.; Lindsay, S.; Metz, D.C.; Pryma, D.A.; Stabin, M.G.; et al. NANETS/SNMMI Procedure Standard for Somatostatin Receptor–Based Peptide Receptor Radionuclide Therapy with 177Lu-DOTATATE. J. Nucl. Med. 2019, 60, 937–943. [Google Scholar] [CrossRef]
- Said, M.A.; Masud, M.A.; Razak, H.R.A. Quantitative imaging with commercial SPECT. J. Phys. Conf. Ser. 2020, 1497, 1. [Google Scholar] [CrossRef]
- Krenning, E.P.; Bakker, W.H.; Breeman, W.A.; Koper, J.W.; Kooij, P.P.; Ausema, L.; Lameris, J.S.; Reubi, J.C.; Lamberts, S.W. Localisation of endocrine-related tumours with radioiodinated analogue of somatostatin. Lancet 1989, 1, 242–244. [Google Scholar] [CrossRef] [PubMed]
- Zwanenburg, A. Radiomics in nuclear medicine: Robustness, reproducibility, standardization, and how to avoid data analysis traps and replication crisis. Eur. J. Nucl. Med. Mol. Imaging 2019, 46, 2638–2655. [Google Scholar] [CrossRef]
- Friedman, J.H. Greedy function approximation: A gradient boosting machine. Ann. Stat. 2001, 29, 1189–1232. [Google Scholar] [CrossRef]
- Breiman, L. Random forests. Mach. Learn. 2001, 45, 5–32. [Google Scholar] [CrossRef]
- Hatt, M.; Krizsan, A.K.; Rahmim, A.; Bradshaw, T.J.; Costa, P.F.; Forgacs, A.; Seifert, R.; Zwanenburg, A.; El Naqa, I.; Kinahan, P.E.; et al. Joint EANM/SNMMI guideline on radiomics in nuclear medicine: Jointly supported by the EANM Physics Committee and the SNMMI Physics, Instrumentation and Data Sciences Council. Eur. J. Nucl. Med. Mol. Imaging 2023, 50, 352–375. [Google Scholar] [CrossRef]
- Chawla, N.V.; Bowyer, K.W.; Hall, L.O.; Kegelmeyer, W. SMOTE: Synthetic minority over-sampling technique. J. Artif. Intell. Res. 2002, 16, 321–357. [Google Scholar] [CrossRef]
- Batista, G.E.A.P.A.; Prati, R.C.; Monard, M.C. A study of the behaviour of several methods for balancing machine learning training data. SIGKDD Explor. 2004, 6, 20–29. [Google Scholar] [CrossRef]
- Lavanya, C.; Pooja, S.; Kashyap, A.H.; Rahaman, A.; Niranjan, S.; Niranjan, V. Novel Biomarker Prediction for Lung Cancer Using Random Forest Classifiers. Cancer Inform. 2023, 22, 11769351231167992. [Google Scholar]
- Altmann, A.; Toloşi, L.; Sander, O.; Lengauer, T. Permutation importance: A corrected feature importance measure. Bioinformatics 2010, 26, 1340–1347. [Google Scholar] [CrossRef] [PubMed]
- Binderup, T.; Knigge, U.; Loft, A.; Mortensen, J.; Pfeifer, A.; Federspiel, B.; Hansen, C.P.; Højgaard, L.; Kjaer, A. Functional imaging of neuroendocrine tumors: A head-to-head comparison of somatostatin receptor scintigraphy, 123I-MIBG scintigraphy, and 18F-FDG PET. J. Nucl. Med. 2010, 51, 704–712. [Google Scholar] [CrossRef]
- Virgolini, I.; Ambrosini, V.; Bomanji, J.B.; Baum, R.P.; Fanti, S.; Gabriel, M.; Papathanasiou, N.D.; Pepe, G.; Oyen, W.; De Cristoforo, C.; et al. Procedure guidelines for PET/CT tumour imaging with 68Ga-DOTA-conjugated peptides: 68Ga-DOTA-TOC, 68Ga-DOTA-NOC, 68Ga-DOTA-TATE. Eur. J. Nucl. Med. Mol. Imaging 2010, 37, 2004–2010. [Google Scholar] [CrossRef] [PubMed]
- Das, S.; Dasari, A. Epidemiology, Incidence, and Prevalence of Neuroendocrine Neoplasms: Are There Global Differences? Curr. Oncol. Rep. 2021, 23, 43. [Google Scholar] [CrossRef] [PubMed]
- White, B.E.; Rous, B.; Chandrakumaran, K.; Wong, K.; Bouvier, C.; Van Hemelrijck, M.; George, G.; Russell, B.; Srirajaskanthan, R.; Ramage, J.K. Incidence and survival of neuroendocrine neoplasia in England 1995–2018: A retrospective, population-based study. Lancet Reg. Health Eur. 2022, 23, 100510. [Google Scholar] [CrossRef]
- Klöppel, G.; Perren, A.; Heitz, P.U. The gastroenteropancreatic neuroendocrine cell system and its tumors: The WHO classification. Ann. N. Y. Acad. Sci. 2004, 1014, 13–27. [Google Scholar] [CrossRef]
- Salvo, G.; Ramalingam, P.; Frumovitz, M. Chapter 14—High grade neuroendocrine carcinoma of the cervix. In Diagnosis and Treatment of Rare Gynecologic Cancers; Frumovitz, M., Leitao, M.M., Ramalingam, P., Eds.; Elsevier: Amsterdam, The Netherlands, 2023; Volume 1, pp. 235–252. [Google Scholar]
- Basturk, O.; Tang, L.; Hruban, R.H.; Adsay, V.; Yang, Z.; Krasinskas, A.M.; Vakiani, E.; La Rosa, S.; Jang, K.T.; Frankel, W.L.; et al. Poorly differentiated neuroendocrine carcinomas of the pancreas: A clinicopathologic analysis of 44 cases. Am. J. Surg. Pathol. 2014, 38, 437–447. [Google Scholar] [CrossRef] [PubMed]
- Centonze, G.; Maisonneuve, P.; Prinzi, N.; Pusceddu, S.; Albarello, L.; Pisa, E.; Barberis, M.; Vanoli, A.; Spaggiari, P.; Bossi, P.; et al. Prognostic Factors across Poorly Differentiated Neuroendocrine Neoplasms: A Pooled Analysis. Neuroendocrinology 2023, 113, 457–469. [Google Scholar] [CrossRef]
- Rahmim, A.; Zaidi, H. PET versus SPECT: Strengths, limitations and challenges. Nucl. Med. Commun. 2008, 29, 193–207. [Google Scholar] [CrossRef]
- Abgral, R.; Leboulleux, S.; Déandreis, D.; Aupérin, A.; Lumbroso, J.; Dromain, C.; Duvillard, P.; Elias, D.; de Baere, T.; Guigay, J.; et al. Performance of (18)fluorodeoxyglucose-positron emission tomography and somatostatin receptor scintigraphy for high Ki67 (≥10%) well-differentiated endocrine carcinoma staging. J. Clin. Endocrinol. Metab. 2011, 96, 665–671. [Google Scholar] [CrossRef]
- Hofland, J.; Kaltsas, G.; de Herder, W.W. Advances in the Diagnosis and Management of Well-Differentiated Neuroendocrine Neoplasms. Endocr. Rev. 2020, 41, 371–403. [Google Scholar] [CrossRef]
- Decristoforo, C.; Mather, S.; Cholewinski, W.; Donnemiller, E.; Riccabona, G.; Moncayo, R. 99mTc-EDDA/HYNIC-TOC: A new 99mTc-labelled radiopharmaceutical for imaging somatostatin receptor-positive tumours: First clinical results and intra-patient comparison with 111In-labelled octreotide derivatives. Eur. J. Nucl. Med. 2000, 27, 1318–1325. [Google Scholar] [CrossRef] [PubMed]
- Gabriel, M.; Decristoforo, C.; Donnemiller, E.; Ulmer, H.; Watfah Rychlinski, C.; Mather, S.J.; Moncayo, R. An Intrapatient Comparison of 99mTc-EDDA/HYNIC-TOC with 111In-DTPA-Octreotide for Diagnosis of Somatostatin Receptor-Expressing Tumors. J. Nucl. Med. 2003, 44, 708–716. [Google Scholar] [PubMed]
- Decristoforo, C.; Melendez-Alafort, L.; Sosabowski, J.K.; Mather, S.J. 99mTc-HYNIC-[Tyr3]-octreotide for imaging somatostatin-receptor-positive tumors: Preclinical evaluation and comparison with 111In-octreotide. J. Nucl. Med. 2000, 41, 1114–1119. [Google Scholar] [PubMed]
- Hindié, E.; Baudin, E.; Hicks, R.J.; Taïeb, D. The Latest Advances in Peptide Receptor Radionuclide Therapy for Gastroenteropancreatic Neuroendocrine Tumors. J. Nucl. Med. 2023, 64, 522–524. [Google Scholar] [CrossRef]
- Merola, E.; Grana, C.M. Peptide Receptor Radionuclide Therapy (PRRT): Innovations and Improvements. Cancers 2023, 15, 2975. [Google Scholar] [CrossRef]
- Chan, D.S.; Kanagaratnam, A.L.; Pavlakis, N.; Chan, D.L. Peptide receptor chemoradionuclide therapy for neuroendocrine neoplasms: A systematic review. J. Neuroendocrinol. 2023, 21, 13355. [Google Scholar] [CrossRef]
- Ampofo, E.; Nalbach, L.; Menger, M.D.; Laschke, M.W. Regulatory Mechanisms of Somatostatin Expression. Int. J. Mol. Sci. 2020, 21, 4170. [Google Scholar] [CrossRef]
- Milewska-Kranc, A.; Cwikla, J.B.; Kolasinska-Cwikla, A. The Role of Receptor–Ligand Interaction in Somatostatin Signaling Pathways: Implications for Neuroendocrine Tumors. Cancers 2024, 16, 116. [Google Scholar] [CrossRef]
- Yildiz, O.; Ozguroglu, M.; Yanmaz, T.; Turna, H.; Serdengecti, S.; Dogusoy, G. Gastroenteropancreatic neuroendocrine tumors: 10-year experience in a single center. Med. Oncol. 2010, 27, 1050–1056. [Google Scholar] [CrossRef]
- Mai, R.; Kaemmerer, D.; Träger, T.; Neubauer, E.; Sänger, J.; Baum, R.P.; Schulz, S.; Lupp, A. Different somatostatin and CXCR4 chemokine receptor expression in gastroenteropancreatic neuroendocrine neoplasms depending on their origin. Sci. Rep. 2019, 9, 4339. [Google Scholar] [CrossRef]
- Righi, L.; Volante, M.; Rapa, I.; Scagliotti, G.V.; Papotti, M. Neuro-endocrine tumours of the lung. A review of relevant pathological and molecular data. Virchows Arch. 2007, 451, 51–59. [Google Scholar] [CrossRef]
- Caplin, M.E.; Baudin, E.; Ferolla, P.; Filosso, P.; Garcia-Yuste, M.; Lim, E.; Oberg, K.; Pelosi, G.; Perren, A.; Rossi, R.E.; et al. ENETS consensus conference participants. Pulmonary neuroendocrine (carcinoid) tumors: European Neuroendocrine Tumor Society expert consensus and recommendations for best practice for typical and atypical pulmonary carcinoids. Ann. Oncol. 2015, 26, 1604–1620. [Google Scholar] [CrossRef]
- Diakatou, E.; Alexandraki, K.I.; Tsolakis, A.V.; Kontogeorgos, G.; Chatzellis, E.; Leonti, A.; Kaltsas, G.A. Somatostatin and dopamine receptor expression in neuroendocrine neoplasms: Correlation of immunohistochemical findings with somatostatin receptor scintigraphy visual scores. Clin. Endocrinol. 2015, 83, 420–428. [Google Scholar] [CrossRef]
- Zhuge, X.; Guo, C.; Chen, Y.; Feng, L.; Jia, R.; Zhao, Y.; Sun, K.; Wang, Z.; Chen, X. The Levels of Tumor Markers in Pancreatic Neuroendocrine Carcinoma and Their Values in Differentiation Between Pancreatic Neuroendocrine Carcinoma and Pancreatic Ductal Adenocarcinoma. Pancreas 2018, 47, 1290–1295. [Google Scholar] [CrossRef]
- Gao, C.; Fan, Z.; Yang, J.; Shi, M.; Li, Y.; Zhan, H. Diagnostic role and prognostic value of tumor markers in high-grade gastro-enteropancreatic neuroendocrine neoplasms. Pancreatology 2023, 23, 204–212. [Google Scholar] [CrossRef] [PubMed]
- Zhang, S.; Chen, J.; Zhang, R.; Xu, L.; Wang, Y.; Yuan, Z.; Hou, X.; Feng, J. Pulmonary neuroendocrine tumors: Study of 266 cases focusing on clinicopathological characteristics, immunophenotype, and prognosis. J. Cancer Res. Clin. Oncol. 2023, 149, 1063–1077. [Google Scholar] [CrossRef]
- Kim, J.; Park, H.; Choi, M.S.; Park, J.; Jang, H.; Kim, T.; Kim, S.; Chung, J. Serum Carcinoembryonic Antigen as a Biomarker for Medullary Thyroid Cancer. Int. J. Thyroidol. 2021, 14, 143–151. [Google Scholar] [CrossRef]
- Yu, S.; Hornick, J.L.; Gonzalez, R.S. An algorithmic approach utilizing CK7, TTF1, beta-catenin, CDX2, and SSTR2A can help differentiate between gastrointestinal and pulmonary neuroendocrine carcinomas. Virchows Arch. 2021, 479, 481–491. [Google Scholar] [CrossRef] [PubMed]
- Bellizzi, A.M. An Algorithmic Immunohistochemical Approach to Define Tumor Type and Assign Site of Origin. Adv. Anat. Pathol. 2020, 27, 114–163. [Google Scholar] [CrossRef]
- Bellizzi, A.M. Assigning Site of Origin in Metastatic Neuroendocrine Neoplasms: A Clinically Significant Application of Diagnostic Immunohistochemistry. Adv. Anat. Pathol. 2013, 20, 285–314. [Google Scholar] [CrossRef]
- Fortunati, E.; Bonazzi, N.; Zanoni, L.; Fanti, S.; Ambrosini, V. Molecular imaging Theranostics of Neuroendocrine Tumors. Semin. Nucl. Med. 2023, 53, 539–554. [Google Scholar] [CrossRef]









Disclaimer/Publisher’s Note: The statements, opinions and data contained in all publications are solely those of the individual author(s) and contributor(s) and not of MDPI and/or the editor(s). MDPI and/or the editor(s) disclaim responsibility for any injury to people or property resulting from any ideas, methods, instructions or products referred to in the content. |
© 2025 by the authors. Licensee MDPI, Basel, Switzerland. This article is an open access article distributed under the terms and conditions of the Creative Commons Attribution (CC BY) license (https://creativecommons.org/licenses/by/4.0/).
Share and Cite
Sipka, G.; Farkas, I.; Bakos, A.; Maráz, A.; Mikó, Z.S.; Czékus, T.; Bukva, M.; Urbán, S.; Pávics, L.; Besenyi, Z. Machine Learning Uncovers Novel Predictors of Peptide Receptor Radionuclide Therapy Eligibility in Neuroendocrine Neoplasms. Cancers 2025, 17, 2935. https://doi.org/10.3390/cancers17172935
Sipka G, Farkas I, Bakos A, Maráz A, Mikó ZS, Czékus T, Bukva M, Urbán S, Pávics L, Besenyi Z. Machine Learning Uncovers Novel Predictors of Peptide Receptor Radionuclide Therapy Eligibility in Neuroendocrine Neoplasms. Cancers. 2025; 17(17):2935. https://doi.org/10.3390/cancers17172935
Chicago/Turabian StyleSipka, Gábor, István Farkas, Annamária Bakos, Anikó Maráz, Zsófia Sára Mikó, Tamás Czékus, Mátyás Bukva, Szabolcs Urbán, László Pávics, and Zsuzsanna Besenyi. 2025. "Machine Learning Uncovers Novel Predictors of Peptide Receptor Radionuclide Therapy Eligibility in Neuroendocrine Neoplasms" Cancers 17, no. 17: 2935. https://doi.org/10.3390/cancers17172935
APA StyleSipka, G., Farkas, I., Bakos, A., Maráz, A., Mikó, Z. S., Czékus, T., Bukva, M., Urbán, S., Pávics, L., & Besenyi, Z. (2025). Machine Learning Uncovers Novel Predictors of Peptide Receptor Radionuclide Therapy Eligibility in Neuroendocrine Neoplasms. Cancers, 17(17), 2935. https://doi.org/10.3390/cancers17172935

