L1CAM Reliably Distinguishes Low-Grade Oncocytic Tumor from Other Eosinophilic Renal Neoplasms: A Multicenter Immunohistochemical Study with Diagnostic Implications
Simple Summary
Abstract
1. Introduction
2. Materials and Methods
2.1. Case Cohort and Histopathologic Review
2.2. Clinical and Morphologic Parameters
2.3. Immunohistochemical Staining and Scoring Criteria
3. Results
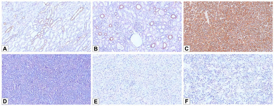
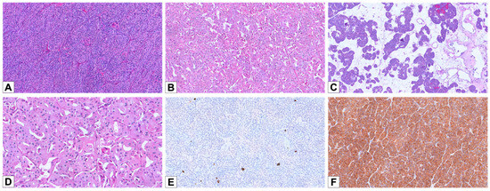
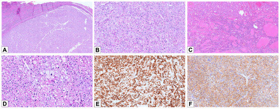
3.1. Low-Grade Oncocytic Tumor Cohort
3.2. Oncocytoma Cohort
3.3. Eosinophilic Variant of Chromophobe Renal Cell Carcinoma Cohort
3.4. Eosinophilic Vacuolated Tumor Cohort
3.5. L1CAM Expression in All Cohorts
4. Discussion
5. Conclusions
Author Contributions
Funding
Institutional Review Board Statement
Informed Consent Statement
Data Availability Statement
Conflicts of Interest
References
- WHO. Classification of Tumours Editorial Board. Urinary and Male Genital Tumours, 5th ed.; WHO Classification of Tumours Series; International Agency for Research on Cancer: Lyon, France, 2022; Volume 8, Available online: https://tumourclassification.iarc.who.int/chapters/36 (accessed on 20 January 2025).
- Kryvenko, O.N.; Jorda, M.; Argani, P.; Epstein, J.I. Diagnostic Approach to Eosinophilic Renal Neoplasms. Arch. Pathol. Lab. Med. 2014, 138, 1531–1541. [Google Scholar] [CrossRef]
- Hes, O.; Trpkov, K. Do We Need an Updated Classification of Oncocytic Renal Tumors?: Emergence of Low-Grade Oncocytic Tumor (LOT) and Eosinophilic Vacuolated Tumor (EVT) as Novel Renal Entities. Mod. Pathol. 2022, 35, 1140–1150. [Google Scholar] [CrossRef] [PubMed]
- El-Shorbagy, S.H.; Alshenawy, H.A. Diagnostic Utility of Vimentin, CD117, Cytokeratin-7 and Caveolin-1 in Differentiation between Clear Cell Renal Cell Carcinoma, Chromophobe Renal Cell Carcinoma and Oncocytoma. J. Microsc. Ultrastruct. 2017, 5, 90–96. [Google Scholar] [CrossRef] [PubMed]
- Alghamdi, M.; Chen, J.-F.; Jungbluth, A.; Koutzaki, S.; Palmer, M.B.; Al-Ahmadie, H.A.; Fine, S.W.; Gopalan, A.; Sarungbam, J.; Sirintrapun, S.J.; et al. L1 Cell Adhesion Molecule (L1CAM) Expression and Molecular Alterations Distinguish Low-Grade Oncocytic Tumor from Eosinophilic Chromophobe Renal Cell Carcinoma. Mod. Pathol. 2024, 37, 100467. [Google Scholar] [CrossRef] [PubMed]
- Wang, X.-M.; Mannan, R.; Zhang, Y.; Chinnaiyan, A.; Rangaswamy, R.; Chugh, S.; Su, F.; Cao, X.; Wang, R.; Skala, S.L.; et al. Hybrid Oncocytic Tumors (HOTs) in Birt-Hogg-Dubé Syndrome Patients—A Tale of Two Cities: Sequencing Analysis Reveals Dual Lineage Markers Capturing the 2 Cellular Populations of HOT. Am. J. Surg. Pathol. 2024, 48, 163–173. [Google Scholar] [CrossRef]
- Sangoi, A.R.; Williamson, S.R.; Oktay, M.; Gill, A.J.; Trpkov, K.; Siadat, F.; MacLean, F.; Galea, L.A.; Baydar, D.E.; Cakir, C.; et al. Succinate Dehydrogenase Deficient Renal Cell Carcinoma Frequently Expresses GATA3 and L1CAM. Virchows Arch. 2025, 486, 1247–1256. [Google Scholar] [CrossRef]
- Chen, T.; Peng, Y.; Lei, T.; Wu, C.; Wang, H.; Shi, Y. Low-Grade Oncocytic Tumour (LOT) of the Kidney Is Characterised by GATA3 Positivity, FOXI1 Negativity and mTOR Pathway Mutations. Pathol. Oncol. Res. 2023, 29, 1610852. [Google Scholar] [CrossRef]
- Williamson, S.R.; Gadde, R.; Trpkov, K.; Hirsch, M.S.; Srigley, J.R.; Reuter, V.E.; Cheng, L.; Kunju, L.P.; Barod, R.; Rogers, C.G.; et al. Diagnostic Criteria for Oncocytic Renal Neoplasms: A Survey of Urologic Pathologists. Hum. Pathol. 2017, 63, 149–156. [Google Scholar] [CrossRef]
- Debiec, H.; Christensen, E.I.; Ronco, P.M. The Cell Adhesion Molecule L1 Is Developmentally Regulated in the Renal Epithelium and Is Involved in Kidney Branching Morphogenesis. J. Cell Biol. 1998, 143, 2067–2079. [Google Scholar] [CrossRef]
- Kapur, P.; Gao, M.; Zhong, H.; Chintalapati, S.; Mitui, M.; Barnes, S.D.; Zhou, Q.; Miyata, J.; Carrillo, D.; Malladi, V.S.; et al. Germline and Sporadic mTOR Pathway Mutations in Low-Grade Oncocytic Tumor of the Kidney. Mod. Pathol. 2022, 35, 333–343. [Google Scholar] [CrossRef]
- Morini, A.; Drossart, T.; Timsit, M.-O.; Sibony, M.; Vasiliu, V.; Gimenez-Roqueplo, A.-P.; Favier, J.; Badoual, C.; Mejean, A.; Burnichon, N.; et al. Low-Grade Oncocytic Renal Tumor (LOT): Mutations in mTOR Pathway Genes and Low Expression of FOXI1. Mod. Pathol. 2022, 35, 352–360. [Google Scholar] [CrossRef] [PubMed]
- Siegmund, S.E.; Al-Obaidy, K.I.; Tsai, H.K.; Idrees, M.T.; Akgul, M.; Acosta, A.M.; Hirsch, M.S. Concordance of MTOR Pathway Mutations and the Diagnosis of Renal Low-Grade Oncocytic Tumor (LOT). Int. J. Surg. Pathol. 2024, 32, 316–330. [Google Scholar] [CrossRef] [PubMed]
- Farcaş, M.; Gatalica, Z.; Trpkov, K.; Swensen, J.; Zhou, M.; Alaghehbandan, R.; Williamson, S.R.; Magi-Galluzzi, C.; Gill, A.J.; Tretiakova, M.; et al. Eosinophilic Vacuolated Tumor (EVT) of Kidney Demonstrates Sporadic TSC/MTOR Mutations: Next-Generation Sequencing Multi-Institutional Study of 19 Cases. Mod. Pathol. 2022, 35, 344–351. [Google Scholar] [CrossRef] [PubMed]
- Caliò, A.; Brunelli, M.; Gobbo, S.; Argani, P.; Munari, E.; Netto, G.; Martignoni, G. Cathepsin K: A Novel Diagnostic and Predictive Biomarker for Renal Tumors. Cancers 2021, 13, 2441. [Google Scholar] [CrossRef]
- Iakymenko, O.A.; Delma, K.S.; Jorda, M.; Kryvenko, O.N. Cathepsin K (Clone EPR19992) Demonstrates Uniformly Positive Immunoreactivity in Renal Oncocytoma, Chromophobe Renal Cell Carcinoma, and Distal Tubules. Int. J. Surg. Pathol. 2021, 29, 600–605. [Google Scholar] [CrossRef]
- Allory, Y.; Matsuoka, Y.; Bazille, C.; Christensen, E.I.; Ronco, P.; Debiec, H. The L1 Cell Adhesion Molecule Is Induced in Renal Cancer Cells and Correlates with Metastasis in Clear Cell Carcinomas. Clin. Cancer Res. 2005, 11, 1190–1197. [Google Scholar] [CrossRef]
- Balzer, M.S.; Rohacs, T.; Susztak, K. How Many Cell Types Are in the Kidney and What Do They Do? Annu. Rev. Physiol. 2022, 84, 507–531. [Google Scholar] [CrossRef]
- Lindgren, D.; Eriksson, P.; Krawczyk, K.; Nilsson, H.; Hansson, J.; Veerla, S.; Sjölund, J.; Höglund, M.; Johansson, M.E.; Axelson, H. Cell-Type-Specific Gene Programs of the Normal Human Nephron Define Kidney Cancer Subtypes. Cell Rep. 2017, 20, 1476–1489. [Google Scholar] [CrossRef]
- Chen, L.; Lee, J.W.; Chou, C.-L.; Nair, A.V.; Battistone, M.A.; Păunescu, T.G.; Merkulova, M.; Breton, S.; Verlander, J.W.; Wall, S.M.; et al. Transcriptomes of Major Renal Collecting Duct Cell Types in Mouse Identified by Single-Cell RNA-Seq. Proc. Natl. Acad. Sci. USA 2017, 114, E9989–E9998. [Google Scholar] [CrossRef]
- Yang, T.; Kang, E.; Zhang, L.; Zhuang, J.; Li, Y.; Jiang, Y.; Wang, H.; Yu, W.; Zhang, W. Papillary Renal Neoplasm with Reverse Polarity May Be a Novel Renal Cell Tumor Entity with Low Malignant Potential. Diagn. Pathol. 2022, 17, 66. [Google Scholar] [CrossRef]
- Al-Obaidy, K.I.; Eble, J.N.; Cheng, L.; Williamson, S.R.; Sakr, W.A.; Gupta, N.; Idrees, M.T.; Grignon, D.J. Papillary Renal Neoplasm with Reverse Polarity: A Morphologic, Immunohistochemical, and Molecular Study. Am. J. Surg. Pathol. 2019, 43, 1099. [Google Scholar] [CrossRef]
- Tong, K.; Zhu, W.; Fu, H.; Cao, F.; Wang, S.; Zhou, W.; Liu, C.; Chen, D.; Fan, S.; Hu, Z. Frequent KRAS Mutations in Oncocytic Papillary Renal Neoplasm with Inverted Nuclei. Histopathology 2020, 76, 1070–1083. [Google Scholar] [CrossRef]
- Nova-Camacho, L.M.; Martin-Arruti, M.; Díaz, I.R.; Panizo-Santos, Á. Papillary Renal Neoplasm With Reverse Polarity: A Clinical, Pathologic, and Molecular Study of 8 Renal Tumors from a Single Institution. Arch. Pathol. Lab. Med. 2022, 147, 692–700. [Google Scholar] [CrossRef] [PubMed]
- Kiyozawa, D.; Kohashi, K.; Takamatsu, D.; Yamamoto, T.; Eto, M.; Iwasaki, T.; Motoshita, J.; Shimokama, T.; Kinjo, M.; Oshiro, Y.; et al. Morphological, Immunohistochemical, and Genomic Analyses of Papillary Renal Neoplasm with Reverse Polarity. Hum. Pathol. 2021, 112, 48–58. [Google Scholar] [CrossRef] [PubMed]
- Kiefel, H.; Bondong, S.; Hazin, J.; Ridinger, J.; Schirmer, U.; Riedle, S.; Altevogt, P. L1CAM: A Major Driver for Tumor Cell Invasion and Motility. Cell Adhes. Migr. 2012, 6, 374. [Google Scholar] [CrossRef] [PubMed]
- Doberstein, K.; Wieland, A.; Lee, S.B.B.; Blaheta, R.A.A.; Wedel, S.; Moch, H.; Schraml, P.; Pfeilschifter, J.; Kristiansen, G.; Gutwein, P. L1-CAM Expression in ccRCC Correlates with Shorter Patients Survival Times and Confers Chemoresistance in Renal Cell Carcinoma Cells. Carcinogenesis 2011, 32, 262–270. [Google Scholar] [CrossRef]
- Trpkov, K.; Williamson, S.R.; Gill, A.J.; Adeniran, A.J.; Agaimy, A.; Alaghehbandan, R.; Amin, M.B.; Argani, P.; Chen, Y.-B.; Cheng, L.; et al. Novel, Emerging and Provisional Renal Entities: The Genitourinary Pathology Society (GUPS) Update on Renal Neoplasia. Mod. Pathol. 2021, 34, 1167–1184. [Google Scholar] [CrossRef]
- Gupta, S.; Dasari, S.; Warren, R.R.; Shen, W.; Urban, R.M.; Stanton, M.L.; Lohse, C.M.; Holdren, M.A.; Hoenig, M.F.; Pitel, B.A.; et al. Renal Neoplasia in Birt-Hogg-Dubé Syndrome: Integrated Histopathologic, Bulk, and Single-Cell Transcriptomic Analysis. Eur. Urol. 2025. ahead of print. [Google Scholar] [CrossRef]






| IHC Markers | Pattern/Percentage of Cells Stained | ||
|---|---|---|---|
| Positive | Negative | ||
| CK7 | Diffuse | Focal/Patchy | 0−5% cells |
| CD117 | Diffuse | Focal/Patchy | 0−5% cells |
| GATA 3 | Diffuse | Focal/Patchy | 0−5% cells |
| Cathepsin K | Diffuse | Focal/Patchy | 0−5% cells |
| L1CAM | Diffuse | Focal/Patchy | 0−5% cells |
| Cohorts | ||||
|---|---|---|---|---|
| LOT (n = 10) | Oncocytoma (n = 22) | E-chRCC (n = 18) | EVT (n = 4) | |
| No. of patients | 10 | 22 | 18 | 4 |
| Age (y) | 70 (58–77) | 68 (55–83) | 63 (44–85) | 68 (58–78) |
| Sex | ||||
| Male | 1 (10%) | 15 (68.2%) | 8 (44.4%) | 3 (75%) |
| Female | 9 (90%) | 7 (31.8%) | 10 (55.6%) | 1 (25%) |
| Tumors size (cm) | 3.55 (1–10) | 3.75 (1–8) | 4 (1.5–9.5) | 5 (2–7) |
| Pathologic stage | ||||
| pT1 | 8 (80%) | 19 (86.4%) | 14 (77.8%) | 4 (100%) |
| pT2 | 2 (20%) | / | 1 (5.5%) | / |
| pT3a | / | 3 (13.6%) | 3 (16.7%) | / |
| Nx/N0 | 10 (100%) | 22 (100%) | 18 (100%) | 4 (100%) |
| M0 | 10 (100%) | 22 (100%) | 18 (100%) | 4 (100%) |
| Predominant pattern | ||||
| Small nested (SN) | 10 (100%) | 4 (18.2%) | / | / |
| Solid/trabecular (ST) | / | 3 (13.6%) | 17 (94.4%) | 1 (25%) |
| Tubular/alveolar (TA) | / | 15 (68.2%) | 1 (5.6%) | 3 (75%) |
| Perinuclear halos | ||||
| Absent | / | 5 (22.7%) | / | 2 (50%) |
| Present | 10 (100%) | 17 (77.3%) | 18 (100%) | 2 (50%) |
| Irregular nuclear contour | ||||
| Absent | / | 9 (40.9%) | / | / |
| Present | 10 (100%) | 13 (59.1%) | 18 (100%) | 4 (100%) |
| Immunohistochemistry | ||||
| CK7-diffusely positive | 8/10 (80%) | 0/22 (0%) | 18/18 (100%) | 0/4 (0%) |
| CD117-positive | 1/10 (10%) | 22/22 (100%) | 18/18 (100%) | 4/4 (100%) |
| GATA3-diffusely positive | 5/10 (50%) | 0/22 (0%) | 0/18 (0%) | 1/4 (25%) |
| Cathepsin K-positive | 0/10 (0%) | 1/22 (4.5%) | 0/18 (0%) | 4/4 (100%) |
| L1CAM-positive | 10/10 (100%) | 0/22 (0%) | 0/18 (0%) | 0/4 (0%) |
Disclaimer/Publisher’s Note: The statements, opinions and data contained in all publications are solely those of the individual author(s) and contributor(s) and not of MDPI and/or the editor(s). MDPI and/or the editor(s) disclaim responsibility for any injury to people or property resulting from any ideas, methods, instructions or products referred to in the content. |
© 2025 by the authors. Licensee MDPI, Basel, Switzerland. This article is an open access article distributed under the terms and conditions of the Creative Commons Attribution (CC BY) license (https://creativecommons.org/licenses/by/4.0/).
Share and Cite
Scuccimarri, L.; d’Amati, A.; Pierconti, F.; Santoro, A.; Ciampi, L.; Montrone, T.; Zito, F.A.; Lucarelli, G.; Rindi, G.; Zannoni, G.F.; et al. L1CAM Reliably Distinguishes Low-Grade Oncocytic Tumor from Other Eosinophilic Renal Neoplasms: A Multicenter Immunohistochemical Study with Diagnostic Implications. Cancers 2025, 17, 2440. https://doi.org/10.3390/cancers17152440
Scuccimarri L, d’Amati A, Pierconti F, Santoro A, Ciampi L, Montrone T, Zito FA, Lucarelli G, Rindi G, Zannoni GF, et al. L1CAM Reliably Distinguishes Low-Grade Oncocytic Tumor from Other Eosinophilic Renal Neoplasms: A Multicenter Immunohistochemical Study with Diagnostic Implications. Cancers. 2025; 17(15):2440. https://doi.org/10.3390/cancers17152440
Chicago/Turabian StyleScuccimarri, Luciana, Antonio d’Amati, Francesco Pierconti, Angela Santoro, Luigia Ciampi, Tiziana Montrone, Francesco Alfredo Zito, Giuseppe Lucarelli, Guido Rindi, Gian Franco Zannoni, and et al. 2025. "L1CAM Reliably Distinguishes Low-Grade Oncocytic Tumor from Other Eosinophilic Renal Neoplasms: A Multicenter Immunohistochemical Study with Diagnostic Implications" Cancers 17, no. 15: 2440. https://doi.org/10.3390/cancers17152440
APA StyleScuccimarri, L., d’Amati, A., Pierconti, F., Santoro, A., Ciampi, L., Montrone, T., Zito, F. A., Lucarelli, G., Rindi, G., Zannoni, G. F., & Mastropasqua, M. G. (2025). L1CAM Reliably Distinguishes Low-Grade Oncocytic Tumor from Other Eosinophilic Renal Neoplasms: A Multicenter Immunohistochemical Study with Diagnostic Implications. Cancers, 17(15), 2440. https://doi.org/10.3390/cancers17152440

