Beyond the Signal: Imaging Insights and Diagnostic Relevance of Bone Oedema in Bone Tumours and Tumour-like Lesions
Simple Summary
Abstract
1. Introduction
2. Imaging Modalities for Oedema in Bone
3. Bone Marrow Oedema Histology
4. Bone Oedema in Tumours and Tumour-like Lesions
5. Benign and Tumour-like Lesions
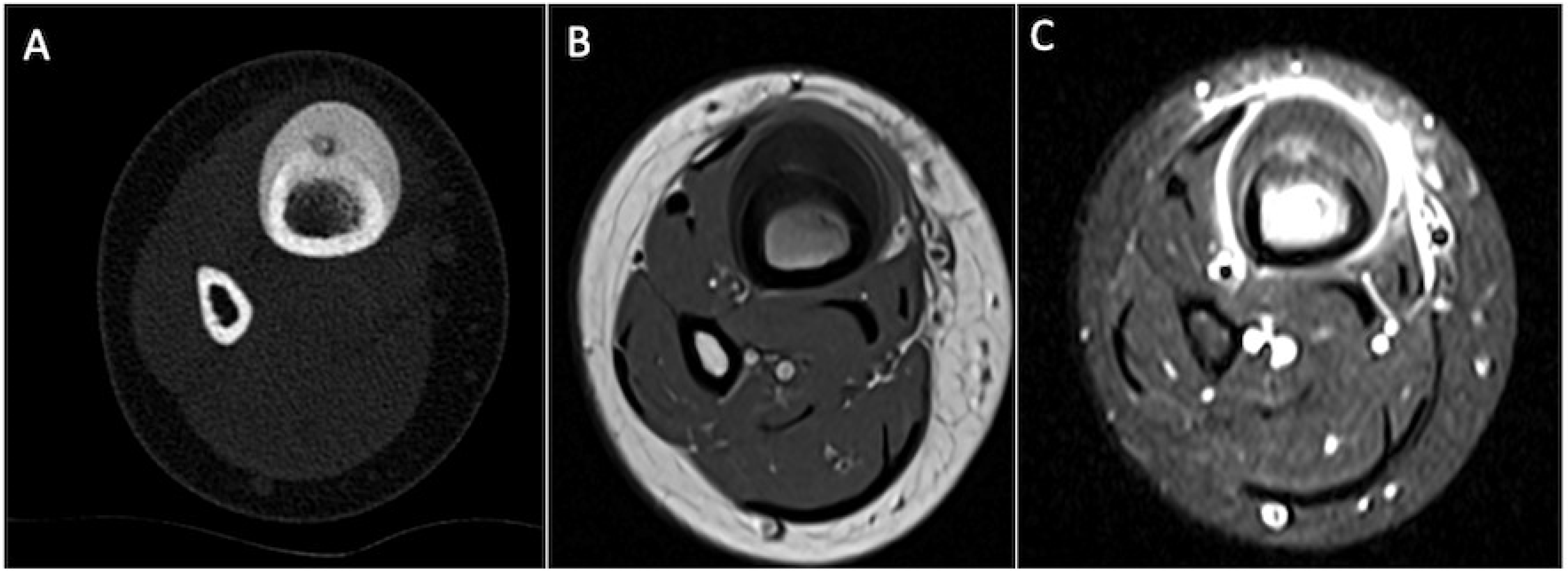
5.1. Chondroblastoma
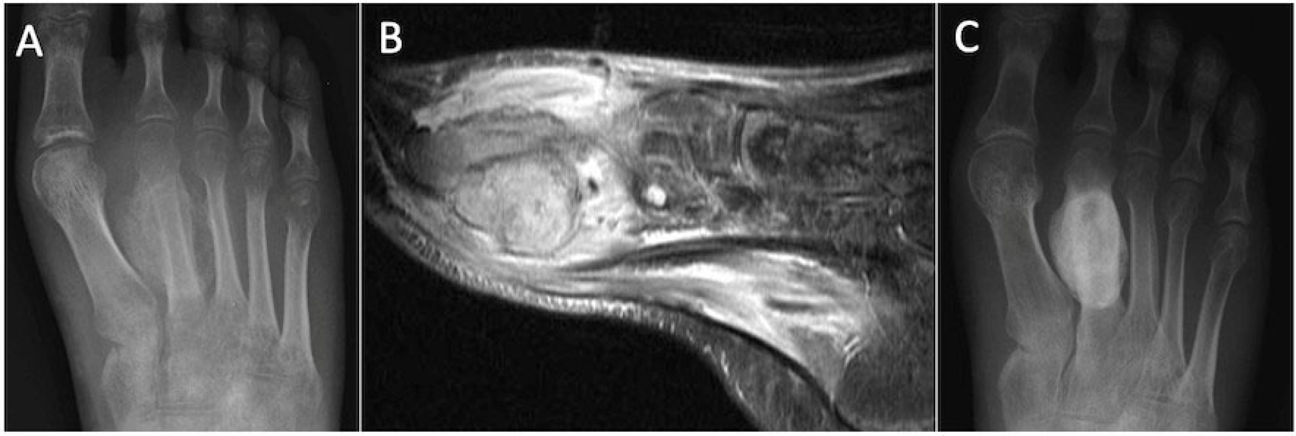
5.2. Osteoid Osteoma
5.3. Osteoblastoma
5.4. Langerhans Cell Histiocytosis
5.5. Stress Fracture
5.6. Infection
5.7. Periostitis Ossificans
5.8. Calcific Tendinitis
5.9. Subtendinous Bone Oedema
5.10. Gout
6. Malignant Lesions
6.1. Osteosarcoma
6.2. Chondrosarcoma
6.3. Ewing’s Sarcoma
7. Assessment of Bone Oedema Post Treatment
8. Conclusions
Author Contributions
Funding
Conflicts of Interest
References
- James, S.; Panicek, D.; Davies, A. Bone marrow oedema associated with benign and malignant bone tumours. Eur. J. Radiol. 2008, 67, 11–21. [Google Scholar] [CrossRef]
- Gao, S.; Zhou, R.; Xu, Q.; Chen, H. Edema Surrounding Benign Tumors and Tumor-Like Lesions. BioMed Res. Int. 2019, 2019, 8206913. [Google Scholar] [CrossRef]
- Vogler, J.B.; Murphy, W.A. Bone marrow imaging. Radiology 1988, 168, 679–693. [Google Scholar] [CrossRef]
- Nascimento, D.; Suchard, G.; Hatem, M.; de Abreu, A. The role of magnetic resonance imaging in the evaluation of bone tumours and tumour-like lesions. Insights Imaging 2014, 5, 419–440. [Google Scholar] [CrossRef]
- James, S.; Hughes, R.; Ali, K.; Saifuddin, A. MRI of bone marrow oedema associated with focal bone lesions. Clin. Radiol. 2006, 61, 1003–1009. [Google Scholar] [CrossRef]
- Rios, A.M.; Rosenberg, Z.S.; Bencardino, J.T.; Rodrigo, S.P.; Theran, S.G. Bone Marrow Edema Patterns in the Ankle and Hindfoot: Distinguishing MRI Features. Am. J. Roentgenol. 2011, 197, W720–W729. [Google Scholar] [CrossRef] [PubMed]
- Hodgson, R.; Grainger, A.; O’Connor, P.; Barnes, T.; Connolly, S.; Moots, R. Dynamic contrast enhanced MRI of bone marrow oedema in rheumatoid arthritis. Ann. Rheum. Dis. 2008, 67, 270–272. [Google Scholar] [CrossRef]
- Van der Woude, H.-J.; Egmont-Petersen, M. Contrast-enhanced Magnetic Resonance Imaging of Bone Marrow. Semin. Musculoskelet. Radiol. 2001, 5, 021–034. [Google Scholar] [CrossRef]
- Guggenberger, R.; Gnannt, R.; Hodler, J.; Krauss, B.; Wanner, G.A.; Csuka, E.; Payne, B.; Frauenfelder, T.; Andreisek, G.; Alkadhi, H. Diagnostic Performance of Dual-Energy CT for the Detection of Traumatic Bone Marrow Lesions in the Ankle: Comparison with MR Imaging. Radiology 2012, 264, 164–173. [Google Scholar] [CrossRef]
- Yang, P.; Wu, G.; Chang, X. Diagnostic accuracy of dual-energy computed tomography in bone marrow edema with vertebral compression fractures: A meta -analysis. Eur. J. Radiol. 2018, 99, 124–129. [Google Scholar] [CrossRef] [PubMed]
- Foti, G.; Mantovani, W.; Faccioli, N.; Crivellari, G.; Romano, L.; Zorzi, C.; Carbognin, G. Identification of bone marrow edema of the knee: Diagnostic accuracy of dual-energy CT in comparison with MRI. Radiol. Medica 2020, 126, 405–413. [Google Scholar] [CrossRef] [PubMed]
- Wilson, M.P.; Lui, K.; Nobbee, D.; Murad, M.H.; McInnes, M.D.F.; McGrath, T.A.; Katlariwala, P.; Low, G. Diagnostic accuracy of dual-energy CT for the detection of bone marrow edema in the appendicular skeleton: A systematic review and meta-analysis. Eur. Radiol. 2020, 31, 1558–1568. [Google Scholar] [CrossRef]
- Li, Z.; Chen, X.; Fang, H.; Li, C.; Shi, L.; Fan, X.; Xu, X.; Gao, F.; Sun, W.; Qing, J. Diagnostic accuracy of dual-energy CT for bone marrow edema in patients with acute knee injury: A systematic review and meta-analysis. J. Orthop. Surg. Res. 2023, 18, 826. [Google Scholar] [CrossRef] [PubMed]
- Saha, S.; Burke, C.; Desai, A.; Vijayanathan, S.; Gnanasegaran, G. SPECT-CT: Applications in musculoskeletal radiology. Br. J. Radiol. 2013, 86, 20120519. [Google Scholar] [CrossRef]
- Ito, S.; Yamamoto, Y.; Tanii, T.; Aga, F.; Nishiyama, Y. SPECT/CT Imaging in Ulnocarpal Impaction Syndrome. Clin. Nucl. Med. 2013, 38, 841–842. [Google Scholar] [CrossRef]
- Ulaner, G.A.; Sawan, P. Transient Osteoporosis of the Hip on FDG PET/CT. Clin. Nucl. Med. 2017, 42, 401–402. [Google Scholar] [CrossRef]
- Telli, T.; Desaulniers, M.; Pyka, T.; Caobelli, F.; Forstmann, S.; Umutlu, L.; Fendler, W.P.; Rominger, A.; Herrmann, K.; Seifert, R. What Role Does PET/MRI Play in Musculoskeletal Disorders? Semin. Nucl. Med. 2023, 55, 277–289. [Google Scholar] [CrossRef]
- Maraghelli, D.; Brandi, M.L.; Cerinic, M.M.; Peired, A.J.; Colagrande, S. Edema-like marrow signal intensity: A narrative review with a pictorial essay. Skelet. Radiol. 2020, 50, 645–663. [Google Scholar] [CrossRef] [PubMed]
- McQueen, F.M.; Ostendorf, B. What is MRI bone oedema in rheumatoid arthritis and why does it matter? Arthritis Res. Ther. 2006, 8, 222. [Google Scholar] [CrossRef][Green Version]
- Kubo, T.; Yamamoto, T.; Inoue, S.; Horii, M.; Ueshima, K.; Iwamoto, Y.; Hirasawa, Y. Histological findings of bone marrow edema pattern on MRI in osteonecrosis of the femoral head. J. Orthop. Sci. 2000, 5, 520–523. [Google Scholar] [CrossRef]
- Ramappa, A.J.; Lee, F.Y.; Tang, P.; Carlson, J.R.; Gebhardt, M.C.; Mankin, H.J. Chondroblastoma of bone. J. Bone Jt. Surg. Am. 2000, 82, 1140–1145. [Google Scholar] [CrossRef]
- Fitzgerald, J.; Broehm, C.; Chafey, D.; Treme, G. Chondroblastoma of the Knee Treated with Resection and Osteochondral Allograft Reconstruction. Case Rep. Orthop. 2014, 2014, 543959. [Google Scholar] [CrossRef]
- Oxtoby, J.; Davies, A. MRI characteristics of chondroblastoma. Clin. Radiol. 1996, 51, 22–26. [Google Scholar] [CrossRef]
- Chen, W.; DiFrancesco, L.M. Chondroblastoma: An Update. Arch. Pathol. Lab. Med. 2017, 141, 867–871. [Google Scholar] [CrossRef] [PubMed]
- Kaim, A.H.; Hügli, R.; Bonél, H.M.; Jundt, G. Chondroblastoma and clear cell chondrosarcoma: Radiological and MRI characteristics with histopathological correlation. Skelet. Radiol. 2001, 31, 88–95. [Google Scholar] [CrossRef]
- Al Hmada, Y.; Bernieh, A.; Morris, R.W.; Lewin, J.; Allen, T. Chondroblastoma-like Osteosarcoma. Arch. Pathol. Lab. Med. 2019, 144, 15–17. [Google Scholar] [CrossRef]
- Bulut, H.I.; Kanay, E.; Yıldırım, A.; Batibay, S.G.; Ozkan, K. Chondroblastoma-like osteosarcoma of pelvis: A rare and aggressive subtype with diagnostic challenges and treatment implications. J. Orthop. Rep. 2024, 4, 100492. [Google Scholar] [CrossRef]
- Tepelenis, K.; Skandalakis, G.P.; Papathanakos, G.; Kefala, M.A.; Kitsouli, A.; Barbouti, A.; Tepelenis, N.; Varvarousis, D.; Vlachos, K.; Kanavaros, P.; et al. Osteoid Osteoma: An Updated Review of Epidemiology, Pathogenesis, Clinical Presentation, Radiological Features, and Treatment Option. In Vivo 2021, 35, 1929–1938. [Google Scholar] [CrossRef] [PubMed]
- Adlan, A.; Alaqeel, M.; Evans, S.; Sumathi, V.; Davies, A.M.; Botchu, R. Does the histological presence of a nidus correlate with improved outcomes in osteoid osteoma treated with percutaneous radiofrequency ablation (RFA)? J. Clin. Orthop. Trauma 2023, 37, 102108. [Google Scholar] [CrossRef]
- Carneiro, B.C.; Da Cruz, I.A.N.; Filho, A.G.O.; Silva, I.P.; Guimarães, J.B.; Silva, F.D.; Nico, M.A.C.; Stump, X.M.G.R.G. Osteoid osteoma: The great mimicker. Insights Imaging 2021, 12, 32. [Google Scholar] [CrossRef]
- Klontzas, M.E.; Zibis, A.H.; Karantanas, A.H. Osteoid Osteoma of the Femoral Neck: Use of the Half-Moon Sign in MRI Diagnosis. Am. J. Roentgenol. 2015, 205, 353–357. [Google Scholar] [CrossRef]
- Agarwal, S.; Singh, D.K.; Rustagi, A.; Krishna, L.; Talwar, J. Osteoblastoma of Talus: A Diagnostic Dilemma. Cureus 2020, 12, e11838. [Google Scholar] [CrossRef]
- Ariyaratne, S.; Jenko, N.; Iyengar, K.P.; James, S.; Mehta, J.; Botchu, R. Primary Benign Neoplasms of the Spine. Diagnostics 2023, 13, 2006. [Google Scholar] [CrossRef]
- Kroon, H.M.; Schurmans, J. Osteoblastoma: Clinical and radiologic findings in 98 new cases. Radiology 1990, 175, 783–790. [Google Scholar] [CrossRef]
- Khung, S.; Budzik, J.-F.; Amzallag-Bellenger, E.; Lambilliote, A.; Ares, G.S.; Cotten, A.; Boutry, N. Skeletal involvement in Langerhans cell histiocytosis. Insights Imaging 2013, 4, 569–579. [Google Scholar] [CrossRef]
- Reisi, N.; Raeissi, P.; Khalilabad, T.H.; Moafi, A. Unusual sites of bone involvement in Langerhans cell histiocytosis: A systematic review of the literature. Orphanet J. Rare Dis. 2021, 16, 1. [Google Scholar] [CrossRef]
- Daffner, R.H.; Pavlov, H. Stress fractures: Current concepts. Am. J. Roentgenol. 1992, 159, 245–252. [Google Scholar] [CrossRef]
- Fredericson, M.; Bergman, A.G.; Hoffman, K.L.; Dillingham, M.S. Tibial Stress Reaction in Runners. Am. J. Sports Med. 1995, 23, 472–481. [Google Scholar] [CrossRef]
- Fottner, A.; Baur-Melnyk, A.; Birkenmaier, C.; Jansson, V.; Dürr, H.-R. Stress fractures presenting as tumours: A retrospective analysis of 22 cases. Int. Orthop. 2007, 33, 489–492. [Google Scholar] [CrossRef][Green Version]
- Verma, R.; Singh, J.P. Magnetic resonance imaging in stress fractures: Making a correct diagnosis. Indian J. Musculoskelet. Radiol. 2022, 4, 49–60. [Google Scholar] [CrossRef]
- Moser, T.; Ehlinger, M.; Bouaziz, M.C.; Ladeb, M.F.; Durckel, J.; Dosch, J.-C. Pitfalls in osteoarticular imaging: How to distinguish bone infection from tumour? Diagn. Interv. Imaging 2012, 93, 351–359. [Google Scholar] [CrossRef]
- Hassan, M.S.; Stevenson, J.; Gandikota, G.; Veeratterapillay, A.; Bhamidipaty, K.; Botchu, R. Current updates in MSK infection imaging: A narrative review. J. Clin. Orthop. Trauma 2024, 51, 102396. [Google Scholar] [CrossRef]
- Davies, A.M.; Grimer, R. The penumbra sign in subacute osteomyelitis. Eur. Radiol. 2004, 15, 1268–1270. [Google Scholar] [CrossRef]
- Davies, A.M.; Hughes, D.E.; Grimer, R.J. Intramedullary and extramedullary fat globules on magnetic resonance imaging as a diagnostic sign for osteomyelitis. Eur. Radiol. 2005, 15, 2194–2199. [Google Scholar] [CrossRef]
- Saad, A.; Iyengar, K.P.; Kurisunkal, V.J.; Nischal, N.; Davies, A.; Botchu, R. Periostitis Ossificans: Largest Case Series with Review of Literature. Indian J. Radiol. Imaging 2023, 34, 32–36. [Google Scholar] [CrossRef]
- Levy, J.L.; Louka, K.L.; Cooper, K.; Weber, K.L.; Dianat, S. Focal reactive periostitis ossificans in a long bone: Radiologic and pathologic findings. Radiol. Case Rep. 2021, 16, 3638–3642. [Google Scholar] [CrossRef]
- Flemming, D.J.; Murphey, M.D.; Shekitka, K.M.; Temple, H.T.; Jelinek, J.J.; Kransdorf, M.J. Osseous Involvement in Calcific Tendinitis: A Retrospective Review of 50 Cases. Am. J. Roentgenol. 2003, 181, 965–972. [Google Scholar] [CrossRef]
- Kalayci, C.B.; Kizilkaya, E. Calcific tendinitis: Intramuscular and intraosseous migration. Diagn. Interv. Radiol. 2019, 25, 480–484. [Google Scholar] [CrossRef]
- Morrison, W.B.; Carrino, J.A.; Schweitzer, M.E.; Sanders, T.G.; Raiken, D.P.; Johnson, C.E. Subtendinous bone marrow edema patterns on MR images of the ankle: Association with symptoms and tendinopathy. Am. J. Roentgenol. 2001, 176, 1149–1154. [Google Scholar] [CrossRef]
- O’donnell, P.; Saifuddin, A. Cuboid oedema due to peroneus longus tendinopathy: A report of four cases. Skelet. Radiol. 2005, 34, 381–388. [Google Scholar] [CrossRef]
- Poh, Y.J.; Dalbeth, N.; Doyle, A.; McQUEEN, F.M. Magnetic Resonance Imaging Bone Edema Is Not a Major Feature of Gout Unless There Is Concomitant Osteomyelitis: 10-year Findings from a High-prevalence Population. J. Rheumatol. 2011, 38, 2475–2481. [Google Scholar] [CrossRef]
- McQueen, F.M.; Doyle, A.; Dalbeth, N. Imaging in gout—What can we learn from MRI, CT, DECT and US? Arthritis Res. Ther. 2011, 13, 246. [Google Scholar] [CrossRef]
- Girish, G.; Melville, D.M.; Kaeley, G.S.; Brandon, C.J.; Goyal, J.R.; Jacobson, J.A.; Jamadar, D.A. Imaging Appearances in Gout. Arthritis 2013, 2013, 673401. [Google Scholar] [CrossRef]
- McQueen, F.M.; Doyle, A.; Reeves, Q.; Gao, A.; Tsai, A.; Gamble, G.D.; Curteis, B.; Williams, M.; Dalbeth, N. Bone erosions in patients with chronic gouty arthropathy are associated with tophi but not bone oedema or synovitis: New insights from a 3 T MRI study. Rheumatology 2013, 53, 95–103. [Google Scholar] [CrossRef]
- Cosso, C.; Barbieri, F.; Franconeri, A.; Piccazzo, R.; Fabbro, E.; Seriolo, B.; Garlaschi, G.; Cutolo, M.; Cimmino, M. SAT0504 Mri Bone Marrow Oedema is A Frequent Feature in Patients with Gout. Ann. Rheum. Dis. 2014, 73, 775. [Google Scholar] [CrossRef]
- Barnes, C.L.; Helms, C.A. MRI of gout: A pictorial review. Int. J. Clin. Rheumtol. 2012, 7, 281–285. [Google Scholar] [CrossRef]
- Cè, M.; Cellina, M.; Ueanukul, T.; Carrafiello, G.; Manatrakul, R.; Tangkittithaworn, P.; Jaovisidha, S.; Fuangfa, P.; Resnick, D. Multimodal Imaging of Osteosarcoma: From First Diagnosis to Radiomics. Cancers 2025, 17, 599. [Google Scholar] [CrossRef]
- Habre, C.; Dabadie, A.; Loundou, A.D.; Banos, J.-B.; Desvignes, C.; Pico, H.; Aschero, A.; Colavolpe, N.; Seiler, C.; Bouvier, C.; et al. Diffusion-weighted imaging in differentiating mid-course responders to chemotherapy for long-bone osteosarcoma compared to the histologic response: An update. Pediatr. Radiol. 2021, 51, 1714–1723. [Google Scholar] [CrossRef]
- Davies, A.; Patel, A.; Azzopardi, C.; James, S.; Botchu, R. Birmingham atypical cartilaginous tumour imaging protocol (BACTIP) revisited. Clin. Radiol. 2025, 83, 106837. [Google Scholar] [CrossRef]
- Janzen, L.; Logan, P.M.; O’Connell, J.X.; Connell, D.G.; Munk, P.L. Intramedullary chondroid tumors of bone: Correlation of abnormal peritumoral marrow and soft-tissue MRI signal with tumor type. Skelet. Radiol. 1997, 26, 100–106. [Google Scholar] [CrossRef]
- Alhumaid, S.M.; Alharbi, A.; Aljubair, H. Magnetic Resonance Imaging Role in the Differentiation Between Atypical Cartilaginous Tumors and High-Grade Chondrosarcoma: An Updated Systematic Review. Cureus 2020, 12, e11237. [Google Scholar] [CrossRef] [PubMed]
- Kaste, S.C. Imaging pediatric bone sarcomas. Radiol. Clin. N. Am. 2011, 49, 749–765. [Google Scholar] [CrossRef] [PubMed]
- Kasalak, Ö.; Overbosch, J.; Adams, H.J.A.; Dammann, A.; Dierckx, R.A.; Jutte, P.C.; Kwee, T.C. Diagnostic value of MRI signs in differentiating Ewing sarcoma from osteomyelitis. Acta Radiol. 2019, 60, 204–212. [Google Scholar] [CrossRef] [PubMed]
- McCarville, M.B.; Chen, J.Y.; Coleman, J.L.; Li, Y.; Li, X.; Adderson, E.E.; Neel, M.D.; Gold, R.E.; Kaufman, R.A. JOURNAL CLUB: Distinguishing Osteomyelitis From Ewing Sarcoma on Radiography and MRI. Am. J. Roentgenol. 2015, 205, 640–651. [Google Scholar] [CrossRef]
- Farghaly, R.; Zaki, I.; Gouda, I.; Abdelfatah, M.; El Ghoneimy, A.; El Sherbiny, M.; Soliman, R.; Zamzam, M. Value of dynamic magnetic resonance imaging in preoperative evaluation of pediatric osteosarcoma. Egypt. J. Radiol. Nucl. Med. 2017, 48, 461–465. [Google Scholar] [CrossRef][Green Version]
- Holscher, H.; Bloem, J.; van der Woude, H.-J.; Hermans, J.; Nooy, M.; Taminiau, A.; Hogendoorn, P. Can MRI predict the histopathological response in patients with osteosarcoma after the first cycle of chemotherapy? Clin. Radiol. 1995, 50, 384–390. [Google Scholar] [CrossRef]
- Yildirim, O.; Al Khatalin, M.; Kargin, O.; Camurdan, V. MRI for evaluation of preoperative chemotherapy in osteosarcoma. Radiography 2022, 28, 593–604. [Google Scholar] [CrossRef]
- Pan, G.; Raymond, A.K.; Carrasco, C.H.; Wallace, S.; Kim, E.E.; Shirkhoda, A.; Jaffe, N.; Murray, J.A.; Benjamin, R.S. Osteosarcoma: MR imaging after preoperative chemotherapy. Radiology 1990, 174, 517–526. [Google Scholar] [CrossRef]
- Fletcher, B.D. Response of osteosarcoma and Ewing sarcoma to chemotherapy: Imaging evaluation. Am. J. Roentgenol. 1991, 157, 825–833. [Google Scholar] [CrossRef]
- Huang, B.; Wang, J.; Sun, M.; Chen, X.; Xu, D.; Li, Z.-P.; Ma, J.; Feng, S.-T.; Gao, Z. Feasibility of multi-parametric magnetic resonance imaging combined with machine learning in the assessment of necrosis of osteosarcoma after neoadjuvant chemotherapy: A preliminary study. BMC Cancer 2020, 20, 322. [Google Scholar] [CrossRef]
- Raafat, T.A.; Kaddah, R.O.; Bokhary, L.M.; Sayed, H.A.; Awad, A.S. The role of diffusion-weighted MRI in assessment of response to chemotherapy in osteosarcoma. Egypt. J. Radiol. Nucl. Med. 2021, 52, 29. [Google Scholar] [CrossRef]













| Diagnosis | Volume of Oedema (Either Bone Marrow, Periosteal, Soft Tissue) | T1-Weighted Signal | T2-Weighted Signal | Extraosseous Component |
|---|---|---|---|---|
| Chondroblastoma | +++ | Intermediate | High | Absent |
| Osteoid Osteoma | +++ | Low | High | Absent |
| Osteoblastoma | +++ | Low | High | Absent |
| Langerhans Cell Histiocytosis | +++ | Intermediate | Heterogeneously high | Absent (present in extra-skeletal locations) |
| Stress Fracture | +++ | Low | High | Absent |
| Infection | +++ | Low, hyperintense rim ‘penumbra sign’ | High | Present |
| Periostitis Ossificans | +++ | Low to intermediate | Heterogeneously high | Absent |
| Calcific Tendinitis | +++ | Low to intermediate | High | Absent |
| Gout | + or +++ (if concurrent osteomyelitis) | Intermediate | Variable | Present |
| Osteosarcoma | + or ++ | Low to intermediate | Variable | Present |
| Chondrosarcoma | + or ++ | Intermediate to slightly high | Very high | Present |
| Ewing’s Sarcoma | + or ++ | Low to intermediate | Heterogeneously high | Present |
Disclaimer/Publisher’s Note: The statements, opinions and data contained in all publications are solely those of the individual author(s) and contributor(s) and not of MDPI and/or the editor(s). MDPI and/or the editor(s) disclaim responsibility for any injury to people or property resulting from any ideas, methods, instructions or products referred to in the content. |
© 2025 by the authors. Licensee MDPI, Basel, Switzerland. This article is an open access article distributed under the terms and conditions of the Creative Commons Attribution (CC BY) license (https://creativecommons.org/licenses/by/4.0/).
Share and Cite
Raja, N.R.; Uldin, H.; Shah, A.; Chapala, S.; Botchu, R. Beyond the Signal: Imaging Insights and Diagnostic Relevance of Bone Oedema in Bone Tumours and Tumour-like Lesions. Cancers 2025, 17, 2074. https://doi.org/10.3390/cancers17132074
Raja NR, Uldin H, Shah A, Chapala S, Botchu R. Beyond the Signal: Imaging Insights and Diagnostic Relevance of Bone Oedema in Bone Tumours and Tumour-like Lesions. Cancers. 2025; 17(13):2074. https://doi.org/10.3390/cancers17132074
Chicago/Turabian StyleRaja, Neel R., Hasaam Uldin, Ali Shah, Shashank Chapala, and Rajesh Botchu. 2025. "Beyond the Signal: Imaging Insights and Diagnostic Relevance of Bone Oedema in Bone Tumours and Tumour-like Lesions" Cancers 17, no. 13: 2074. https://doi.org/10.3390/cancers17132074
APA StyleRaja, N. R., Uldin, H., Shah, A., Chapala, S., & Botchu, R. (2025). Beyond the Signal: Imaging Insights and Diagnostic Relevance of Bone Oedema in Bone Tumours and Tumour-like Lesions. Cancers, 17(13), 2074. https://doi.org/10.3390/cancers17132074

