TOPK Drives IL19-Mediated Crosstalk Between Cancer Cells and Fibroblasts to Promote Solar UV-Induced Skin Damage and Carcinogenesis
Simple Summary
Abstract
1. Introduction
2. Materials and Methods
2.1. Reagents and Antibodies
2.2. RNAseq Analysis in a Mouse Model
2.3. Cell Culture
2.4. Western Blot Analysis
2.5. Lentiviral Infection
2.6. MTS and Crystal Violet Assays
2.7. Luciferase Reporter Assay
2.8. Immunofluorescence
2.9. Spheroid 3D Co-Culture
2.10. Migration Assay in Transwell Co-Culture System
2.11. Statistical Analysis
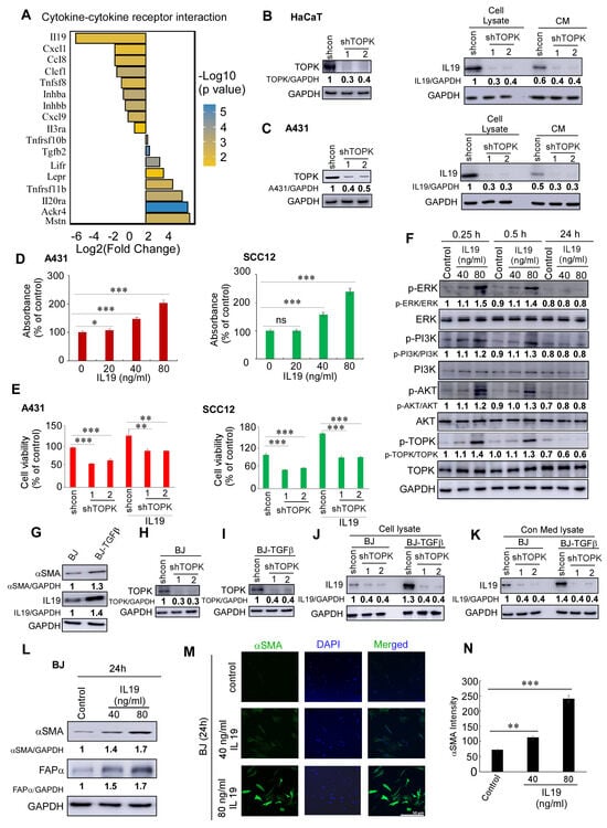
3. Results
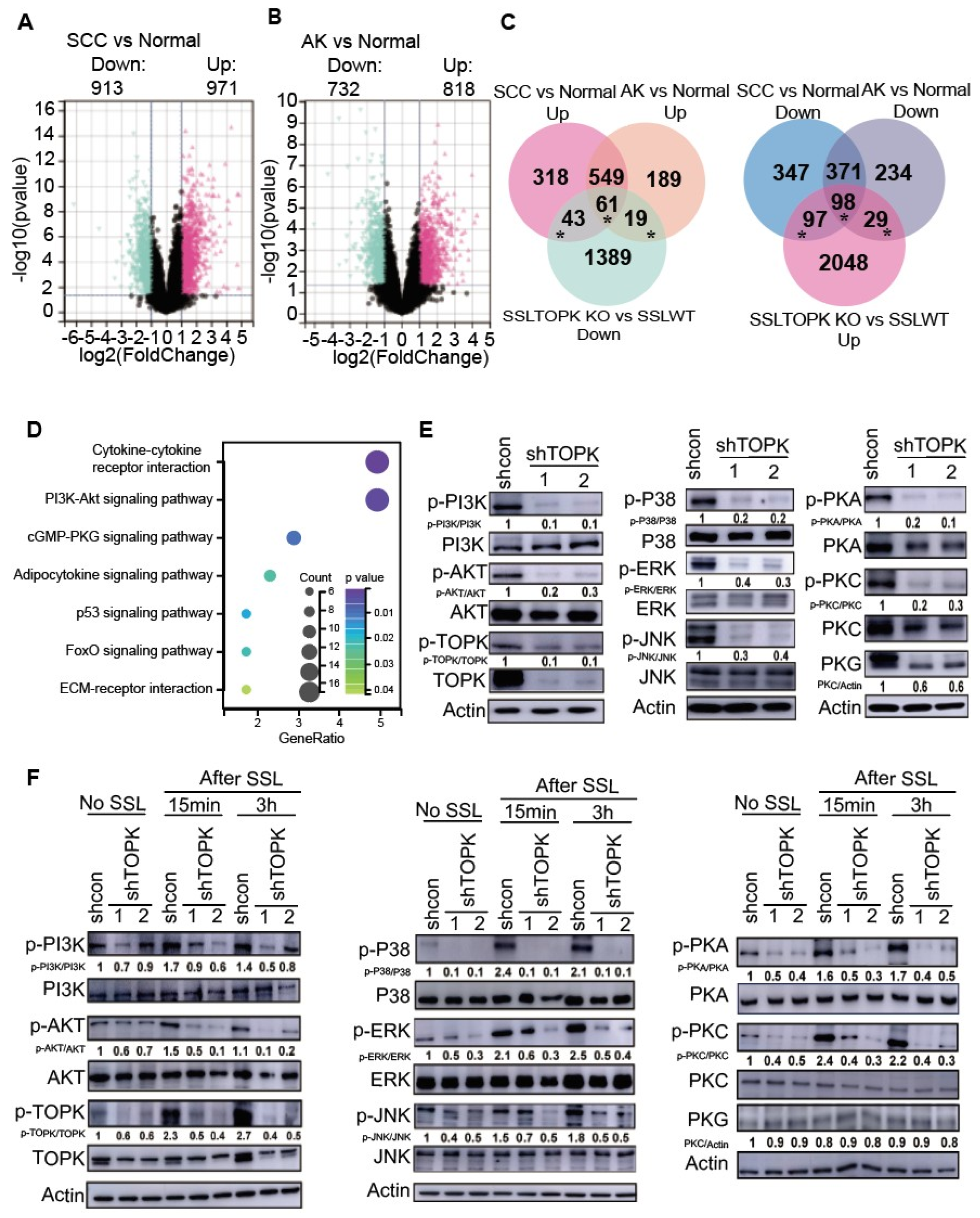
3.1. TOPK Mediates Solar UV-Induced Changes in Gene Expression Through Multiple Signaling Pathways
3.2. Deletion of TOPK Can Potentially Mediate AK and SCC Development Through Multiple Signaling Pathways
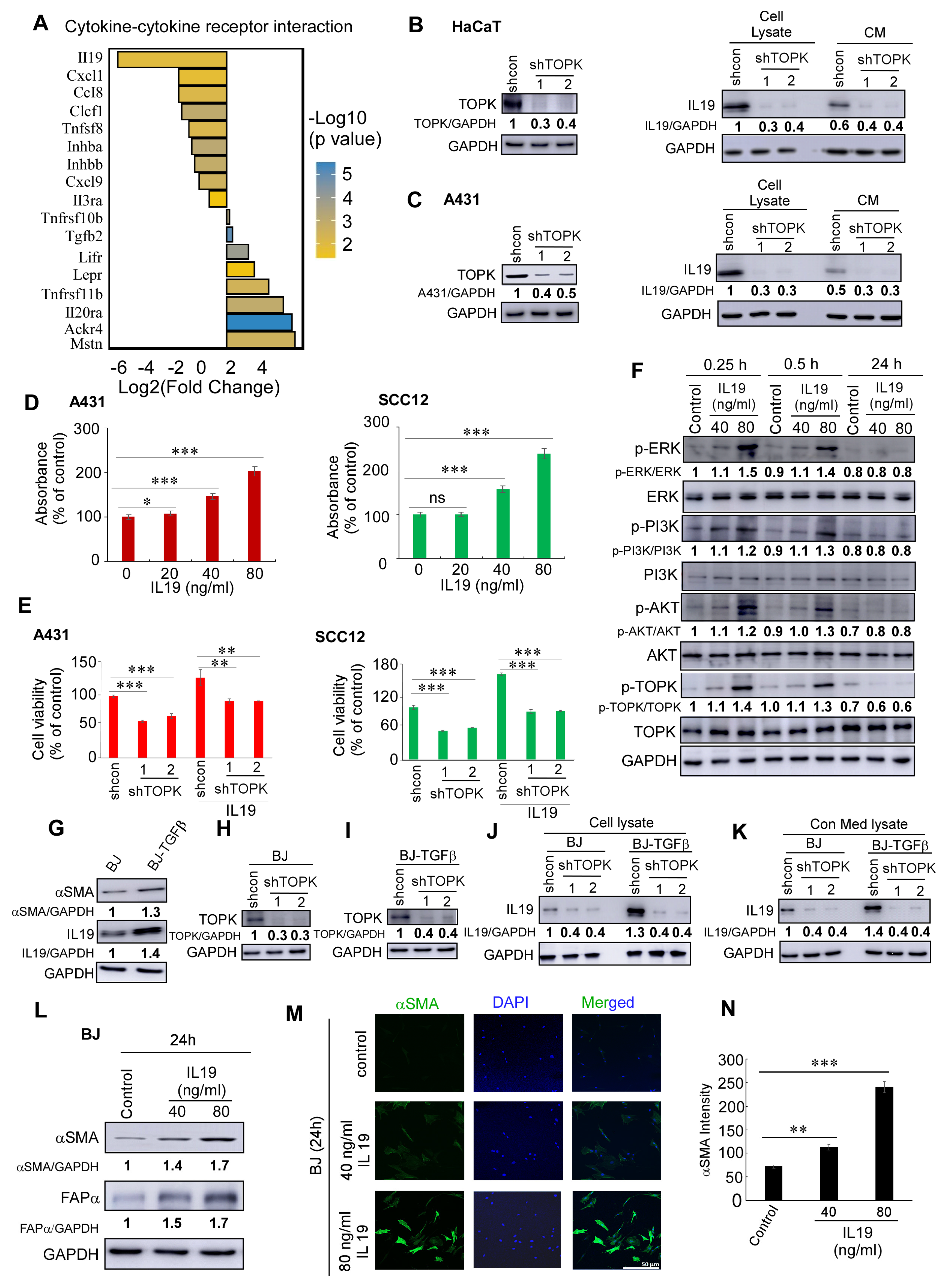
3.3. TOPK Drives IL19-Induced cSCC Growth and Fibroblast Activation by Mediating NF-κB Activation
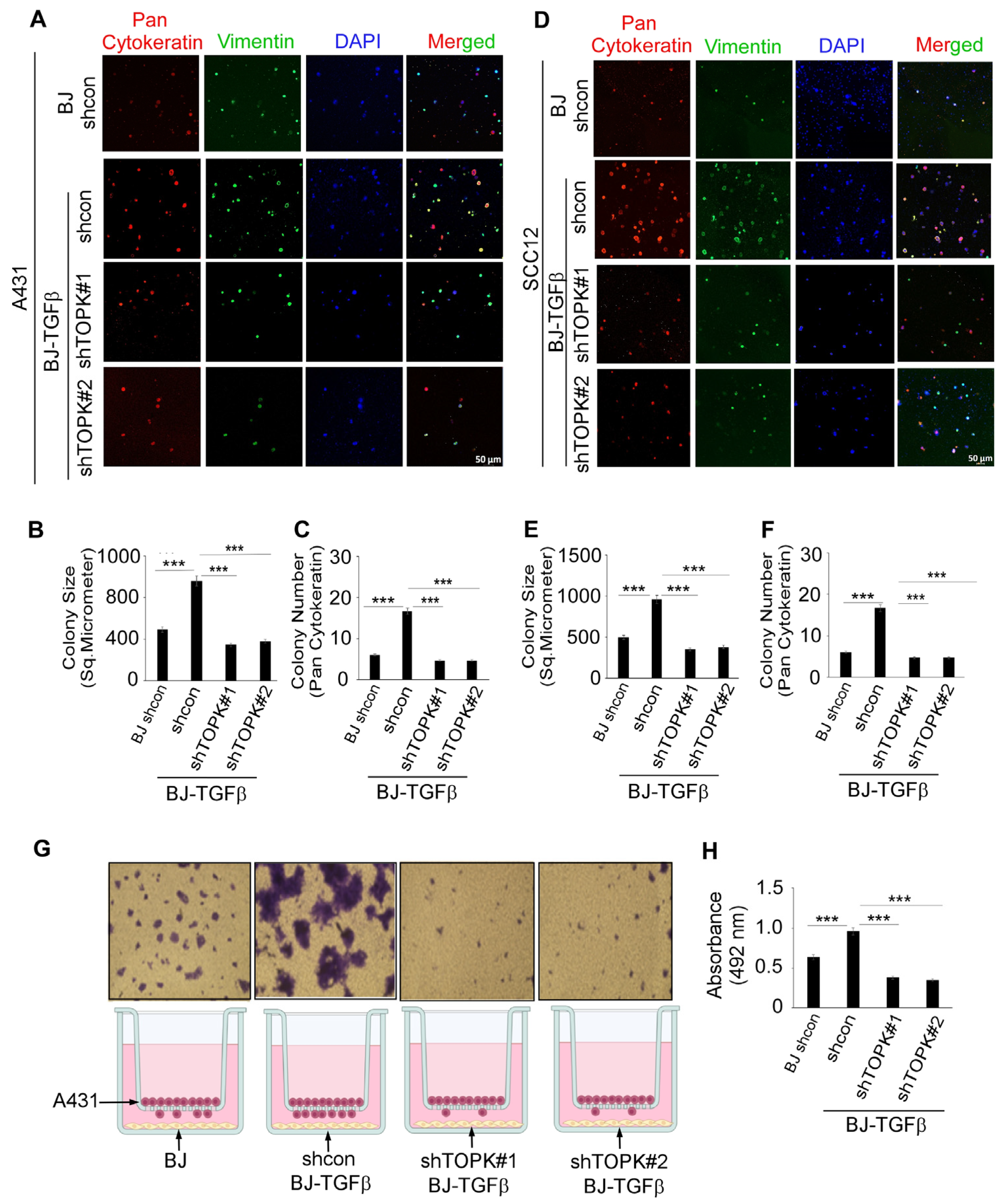
3.4. Knockdown of TOPK in Fibroblasts Significantly Suppresses cSCC Cell Growth and Migration in 3D Spheroids and Transwell Co-Culture Models
4. Discussion
5. Conclusions
Supplementary Materials
Author Contributions
Funding
Institutional Review Board Statement
Informed Consent Statement
Data Availability Statement
Acknowledgments
Conflicts of Interest
Abbreviations
| NMSC | Non-melanoma skin cancers |
| BCC | Basal cell carcinoma |
| cSCC | Cutaneous squamous cell carcinoma |
| UV | Solar ultraviolet |
| AK | Actinic keratosis |
| TOPK | T-LAK cell-originated protein kinase |
| TME | Tumor microenvironment |
| CAF | Cancer-associated fibroblast |
| IL19 | Interleukin-19 |
| NHDF | Normal human dermal fibroblast |
| SSL | Solar-simulated light |
| TGFβ | Transforming Growth Factor-β |
| αSMA | α-smooth muscle actin |
| FAPα | Fibroblast activation protein α |
| CM | Conditioned media |
References
- Jalalat, S.; Agoris, C.; Fenske, N.A.; Cherpelis, B. Management of Non-Melanoma Skin Cancers: Basal Cell Carcinoma, Squamous Cell Carcinoma. Melanoma: A Modern Multidisciplinary Approach; Springer: Berlin/Heidelberg, Germany, 2018; pp. 591–604. [Google Scholar]
- Karampinis, E.; Koumaki, D.; Sgouros, D.; Nechalioti, P.-M.; Toli, O.; Pappa, G.; Papadakis, M.; Georgopoulou, K.-E.; Schulze-Roussaki, A.-V.; Kouretas, D. Non-Melanoma Skin Cancer: Assessing the Systemic Burden of the Disease. Cancers 2025, 17, 703. [Google Scholar] [CrossRef] [PubMed]
- Rembielak, A.; Ajithkumar, T. Non-melanoma skin cancer—An underestimated global health threat? Clin. Oncol. 2019, 31, 735–737. [Google Scholar] [CrossRef] [PubMed]
- Rogers, H.; Beveridge, M.; Puente, J.; Wixson, S.; Loy, B.; Happe, L.E. Incidence of nonmelanoma skin cancer in the United States population aged 65 years and older, 2014. J. Am. Acad. Dermatol. 2021, 85, 741–743. [Google Scholar] [CrossRef]
- Mangione, C.M.; Barry, M.J.; Nicholson, W.K.; Chelmow, D.; Coker, T.R.; Davis, E.M.; Donahue, K.E.; Jaén, C.R.; Kubik, M.; Li, L. Screening for skin cancer: US Preventive Services Task Force recommendation statement. Jama 2023, 329, 1290–1295. [Google Scholar]
- Mohania, D.; Chandel, S.; Kumar, P.; Verma, V.; Digvijay, K.; Tripathi, D.; Choudhury, K.; Mitten, S.K.; Shah, D. Ultraviolet radiations: Skin defense-damage mechanism. Ultrav. Light Hum. Health Dis. Environ. 2017, 996, 71–87. [Google Scholar]
- de Gruijl, F.R.; van Kranen, H.J.; Mullenders, L.H. UV-induced DNA damage, repair, mutations and oncogenic pathways in skin cancer. J. Photochem. Photobiol. B Biol. 2001, 63, 19–27. [Google Scholar] [CrossRef] [PubMed]
- Steeb, T.; Wessely, A.; Leiter, U.; French, L.E.; Berking, C.; Heppt, M.V. The more the better? An appraisal of combination therapies for actinic keratosis. J. Eur. Acad. Dermatol. Venereol. 2020, 34, 727–732. [Google Scholar] [CrossRef]
- Wright, M.W.; Wright, S.T.; Wagner, R.F. Mechanisms of sunscreen failure. J. Am. Acad. Dermatol. 2001, 44, 781–784. [Google Scholar] [CrossRef]
- Huang, A.; Nguyen, J.K.; Austin, E.; Mamalis, A.; Jagdeo, J. Updates on treatment approaches for cutaneous field cancerization. Curr. Dermatol. Rep. 2019, 8, 122–132. [Google Scholar] [CrossRef]
- Chang, C.-F.; Chen, S.-L.; Sung, W.-W.; Hsieh, M.-J.; Hsu, H.-T.; Chen, L.-H.; Chen, M.-K.; Ko, J.-L.; Chen, C.-J.; Chou, M.-C. PBK/TOPK expression predicts prognosis in oral cancer. Int. J. Mol. Sci. 2016, 17, 1007. [Google Scholar] [CrossRef]
- Herbert, K.J.; Ashton, T.M.; Prevo, R.; Pirovano, G.; Higgins, G.S. T-LAK cell-originated protein kinase (TOPK): An emerging target for cancer-specific therapeutics. Cell Death Dis. 2018, 9, 1089. [Google Scholar] [CrossRef]
- Huang, H.; Lee, M.-H.; Liu, K.; Dong, Z.; Ryoo, Z.; Kim, M.O. PBK/TOPK: An effective drug target with diverse therapeutic potential. Cancers 2021, 13, 2232. [Google Scholar] [CrossRef]
- Ikeda, Y.; Park, J.-H.; Miyamoto, T.; Takamatsu, N.; Kato, T.; Iwasa, A.; Okabe, S.; Imai, Y.; Fujiwara, K.; Nakamura, Y. T-LAK cell-originated protein kinase (TOPK) as a prognostic factor and a potential therapeutic target in ovarian cancer. Clin. Cancer Res. 2016, 22, 6110–6117. [Google Scholar] [CrossRef] [PubMed]
- Kim, D.J.; Li, Y.; Reddy, K.; Lee, M.-H.; Kim, M.O.; Cho, Y.-Y.; Lee, S.-Y.; Kim, J.-E.; Bode, A.M.; Dong, Z. Novel TOPK inhibitor HI-TOPK-032 effectively suppresses colon cancer growth. Cancer Res. 2012, 72, 3060–3068. [Google Scholar] [CrossRef]
- Ohashi, T.; Komatsu, S.; Ichikawa, D.; Miyamae, M.; Okajima, W.; Imamura, T.; Kiuchi, J.; Kosuga, T.; Konishi, H.; Shiozaki, A. Overexpression of PBK/TOPK relates to tumour malignant potential and poor outcome of gastric carcinoma. Br. J. Cancer 2017, 116, 218–226. [Google Scholar] [CrossRef] [PubMed]
- Shih, M.; Chen, J.; Wu, Y.; Jan, Y.; Yang, B.; Lu, P.; Cheng, H.; Huang, M.; Yang, C.; Hsiao, M. TOPK/PBK promotes cell migration via modulation of the PI3K/PTEN/AKT pathway and is associated with poor prognosis in lung cancer. Oncogene 2012, 31, 2389–2400. [Google Scholar] [CrossRef] [PubMed]
- Gao, G.; Zhang, T.; Wang, Q.; Reddy, K.; Chen, H.; Yao, K.; Wang, K.; Roh, E.; Zykova, T.; Ma, W. ADA-07 Suppresses Solar Ultraviolet–Induced Skin Carcinogenesis by Directly Inhibiting TOPKADA-07 Suppresses SUV-Induced Skin Carcinogenesis. Mol. Cancer Ther. 2017, 16, 1843–1854. [Google Scholar] [CrossRef]
- Roh, E.; Han, Y.; Reddy, K.; Zykova, T.A.; Lee, M.H.; Yao, K.; Bai, R.; Curiel-Lewandrowski, C.; Dong, Z. Suppression of the solar ultraviolet-induced skin carcinogenesis by TOPK inhibitor HI-TOPK-032. Oncogene 2020, 39, 4170–4182. [Google Scholar] [CrossRef]
- Roh, E.; Lee, M.-H.; Zykova, T.A.; Zhu, F.; Nadas, J.; Kim, H.-G.; Bae, K.B.; Li, Y.; Cho, Y.Y.; Curiel-Lewandrowski, C. Targeting PRPK and TOPK for skin cancer prevention and therapy. Oncogene 2018, 37, 5633–5647. [Google Scholar] [CrossRef]
- Buruiană, A.; Gheban, B.-A.; Gheban-Roșca, I.-A.; Georgiu, C.; Crișan, D.; Crișan, M. The tumor stroma of squamous cell carcinoma: A complex environment that fuels cancer progression. Cancers 2024, 16, 1727. [Google Scholar] [CrossRef]
- Lim, Y.Z.; South, A.P. Tumour–stroma crosstalk in the development of squamous cell carcinoma. Int. J. Biochem. Cell Biol. 2014, 53, 450–458. [Google Scholar] [CrossRef] [PubMed]
- Fromme, J.E.; Zigrino, P. The role of extracellular matrix remodeling in skin tumor progression and therapeutic resistance. Front. Mol. Biosci. 2022, 9, 864302. [Google Scholar] [CrossRef]
- Zhao, H.; Wu, L.; Yan, G.; Chen, Y.; Zhou, M.; Wu, Y.; Li, Y. Inflammation and tumor progression: Signaling pathways and targeted intervention. Signal Transduct. Target. Ther. 2021, 6, 263. [Google Scholar] [PubMed]
- Landskron, G.; De la Fuente, M.; Thuwajit, P.; Thuwajit, C.; Hermoso, M.A. Chronic inflammation and cytokines in the tumor microenvironment. J. Immunol. Res. 2014, 2014, 149185. [Google Scholar] [CrossRef] [PubMed]
- Kuzet, S.-E.; Gaggioli, C. Fibroblast activation in cancer: When seed fertilizes soil. Cell Tissue Res. 2016, 365, 607–619. [Google Scholar] [CrossRef]
- Chen, X.; Song, E. Turning foes to friends: Targeting cancer-associated fibroblasts. Nat. Rev. Drug Discov. 2019, 18, 99–115. [Google Scholar] [CrossRef]
- Jan, N.; Qayoom, H.; Alkhanani, M.; Almilaibary, A.; Mir, M.A. Elucidation of interleukin-19 as a therapeutic target for breast cancer by computational analysis and experimental validation. Saudi J. Biol. Sci. 2023, 30, 103774. [Google Scholar]
- Gallagher, G. Interleukin-19: Multiple roles in immune regulation and disease. Cytokine Growth Factor Rev. 2010, 21, 345–352. [Google Scholar] [CrossRef]
- Small, S.H.; Tang, E.J.; Ragland, R.L.; Ruzankina, Y.; Schoppy, D.W.; Mandal, R.S.; Glineburg, M.R.; Ustelenca, Z.; Powell, D.J.; Simpkins, F. Induction of IL19 expression through JNK and cGAS-STING modulates DNA damage–induced cytokine production. Sci. Signal. 2021, 14, eaba2611. [Google Scholar] [CrossRef]
- Sun, D.-P.; Yeh, C.-H.; So, E.; Wang, L.-Y.; Wei, T.-S.; Chang, M.-S.; Hsing, C.-H. Interleukin (IL)-19 promoted skin wound healing by increasing fibroblast keratinocyte growth factor expression. Cytokine 2013, 62, 360–368. [Google Scholar] [CrossRef]
- Kim, D.; Langmead, B.; Salzberg, S.L. HISAT: A fast spliced aligner with low memory requirements. Nat. Methods 2015, 12, 357–360. [Google Scholar] [CrossRef]
- Kim, D.; Paggi, J.M.; Park, C.; Bennett, C.; Salzberg, S.L. Graph-based genome alignment and genotyping with HISAT2 and HISAT-genotype. Nat. Biotechnol. 2019, 37, 907–915. [Google Scholar] [CrossRef] [PubMed]
- Kovaka, S.; Zimin, A.V.; Pertea, G.M.; Razaghi, R.; Salzberg, S.L.; Pertea, M. Transcriptome assembly from long-read RNA-seq alignments with StringTie2. Genome Biol. 2019, 20, 278. [Google Scholar] [CrossRef]
- Martin, M. Cutadapt removes adapter sequences from high-throughput sequencing reads. EMBnet. J. 2011, 17, 10–12. [Google Scholar] [CrossRef]
- Pertea, M.; Kim, D.; Pertea, G.M.; Leek, J.T.; Salzberg, S.L. Transcript-level expression analysis of RNA-seq experiments with HISAT, StringTie and Ballgown. Nat. Protoc. 2016, 11, 1650–1667. [Google Scholar] [CrossRef]
- Pertea, M.; Pertea, G.M.; Antonescu, C.M.; Chang, T.-C.; Mendell, J.T.; Salzberg, S.L. StringTie enables improved reconstruction of a transcriptome from RNA-seq reads. Nat. Biotechnol. 2015, 33, 290–295. [Google Scholar] [CrossRef] [PubMed]
- Wang, Q.; Zhang, T.; Chang, X.; Lim, D.Y.; Wang, K.; Bai, R.; Wang, T.; Ryu, J.; Chen, H.; Yao, K. ARC is a critical protector against inflammatory bowel disease (IBD) and IBD-associated colorectal tumorigenesis. Cancer Res. 2020, 80, 4158–4171. [Google Scholar] [CrossRef]
- Shi, X.; Young, C.D.; Zhou, H.; Wang, X.-J. Transforming growth factor-β signaling in fibrotic diseases and cancer-associated fibroblasts. Biomolecules 2020, 10, 1666. [Google Scholar] [CrossRef] [PubMed]
- Liao, Y.-C.; Liang, W.-G.; Chen, F.-W.; Hsu, J.-H.; Yang, J.-J.; Chang, M.-S. IL-19 induces production of IL-6 and TNF-α and results in cell apoptosis through TNF-α. J. Immunol. 2002, 169, 4288–4297. [Google Scholar] [CrossRef]
- Xiao, M.; Zhang, W.; Liu, W.; Mao, L.; Yang, J.; Hu, L.; Zhang, S.; Zheng, Y.; Liu, A.; Song, Q. Osteocytes regulate neutrophil development through IL-19: A potent cytokine for neutropenia treatment. Blood J. Am. Soc. Hematol. 2021, 137, 3533–3547. [Google Scholar] [CrossRef]
- Du, C.; Xu, C.; Jia, P.; Cai, N.; Zhang, Z.; Meng, W.; Chen, L.; Zhou, Z.; Wang, Q.; Feng, R. PSTPIP2 ameliorates aristolochic acid nephropathy by suppressing interleukin-19-mediated neutrophil extracellular trap formation. Elife 2024, 13, e89740. [Google Scholar] [CrossRef]
- Lavker, R.M.; Gerberick, G.F.; Veres, D.; Irwin, C.J.; Kaidbey, K.H. Cumulative effects from repeated exposures to suberythemal doses of UVB and UVA in human skin. J. Am. Acad. Dermatol. 1995, 32, 53–62. [Google Scholar] [CrossRef]
- Narendhirakannan, R.; Hannah, M.A.C. Oxidative stress and skin cancer: An overview. Indian J. Clin. Biochem. 2013, 28, 110–115. [Google Scholar] [CrossRef]
- Salminen, A.; Kaarniranta, K.; Kauppinen, A. Photoaging: UV radiation-induced inflammation and immunosuppression accelerate the aging process in the skin. Inflamm. Res. 2022, 71, 817–831. [Google Scholar] [CrossRef]
- Pfeifer, G.P. Mechanisms of UV-induced mutations and skin cancer. Genome Instab. Dis. 2020, 1, 99–113. [Google Scholar] [CrossRef]
- Brenner, M.; Hearing, V.J. The protective role of melanin against UV damage in human skin. Photochem. Photobiol. 2008, 84, 539–549. [Google Scholar] [CrossRef]
- Bhat, A.A.; Nisar, S.; Singh, M.; Ashraf, B.; Masoodi, T.; Prasad, C.P.; Sharma, A.; Maacha, S.; Karedath, T.; Hashem, S. Cytokine-and chemokine-induced inflammatory colorectal tumor microenvironment: Emerging avenue for targeted therapy. Cancer Commun. 2022, 42, 689–715. [Google Scholar] [CrossRef]
- Sheu, B.-C.; Chang, W.-C.; Cheng, C.-Y.; Lin, H.-H.; Chang, D.-Y.; Huang, S.-C. Cytokine regulation networks in the cancer microenvironment. Front Biosci 2008, 13, 6255–6268. [Google Scholar] [CrossRef]
- Teng, Y.; Fan, Y.; Ma, J.; Lu, W.; Liu, N.; Chen, Y.; Pan, W.; Tao, X. The PI3K/Akt pathway: Emerging roles in skin homeostasis and a group of non-malignant skin disorders. Cells 2021, 10, 1219. [Google Scholar] [CrossRef]
- Jiang, N.; Dai, Q.; Su, X.; Fu, J.; Feng, X.; Peng, J. Role of PI3K/AKT pathway in cancer: The framework of malignant behavior. Mol. Biol. Rep. 2020, 47, 4587–4629. [Google Scholar] [CrossRef]
- Bermudez, Y.; Stratton, S.P.; Curiel-Lewandrowski, C.; Warneke, J.; Hu, C.; Bowden, G.T.; Dickinson, S.E.; Dong, Z.; Bode, A.M.; Saboda, K. Activation of the PI3K/Akt/mTOR and MAPK signaling pathways in response to acute solar-simulated light exposure of human skin. Cancer Prev. Res. 2015, 8, 720–728. [Google Scholar] [CrossRef]
- Cheepala, S.B.; Yin, W.; Syed, Z.; Gill, J.N.; McMillian, A.; Kleiner, H.E.; Lynch, M.; Loganantharaj, R.; Trutschl, M.; Cvek, U. Identification of the B-Raf/Mek/Erk MAP kinase pathway as a target for all-trans retinoic acid during skin cancer promotion. Mol. Cancer 2009, 8, 27. [Google Scholar] [CrossRef]
- Zhang, T.; Wang, Q.; Fredimoses, M.; Gao, G.; Wang, K.; Chen, H.; Wang, T.; Oi, N.; Zykova, T.A.; Reddy, K. The ashitaba (Angelica keiskei) chalcones 4-hydroxyderricin and xanthoangelol suppress melanomagenesis by targeting BRAF and PI3K. Cancer Prev. Res. 2018, 11, 607–620. [Google Scholar] [CrossRef]
- Delaunay, M.; Osman, H.; Kaiser, S.; Diviani, D. The role of cyclic AMP signaling in cardiac fibrosis. Cells 2019, 9, 69. [Google Scholar] [CrossRef]
- Fajardo, A.M.; Piazza, G.A.; Tinsley, H.N. The role of cyclic nucleotide signaling pathways in cancer: Targets for prevention and treatment. Cancers 2014, 6, 436–458. [Google Scholar] [CrossRef]
- Onyedibe, K.I.; Elmanfi, S.; Aryal, U.K.; Könönen, E.; Gürsoy, U.K.; Sintim, H.O. Global proteomics of fibroblast cells treated with bacterial cyclic dinucleotides, c-di-GMP and c-di-AMP. J. Oral Microbiol. 2022, 14, 2003617. [Google Scholar] [CrossRef]
- Jandova, J.; Snell, J.; Hua, A.; Dickinson, S.; Fimbres, J.; Wondrak, G.T. Topical hypochlorous acid (HOCl) blocks inflammatory gene expression and tumorigenic progression in UV-exposed SKH-1 high risk mouse skin. Redox Biol. 2021, 45, 102042. [Google Scholar] [CrossRef]
- Lee, G.A.; Hsu, J.B.-K.; Chang, Y.-W.; Hsieh, L.-C.; Li, Y.-T.; Wu, Y.C.; Chu, C.-Y.; Chiang, Y.-H.; Guo, W.-Y.; Wu, C.-C. IL-19 as a promising theranostic target to reprogram the glioblastoma immunosuppressive microenvironment. J. Biomed. Sci. 2025, 32, 1–27. [Google Scholar] [CrossRef]
- Mohammed, A.K. Comparison of TNF-α and IL-19 concentrations at different stages of breast cancer. J. Med. Life 2022, 15, 845. [Google Scholar] [CrossRef]
- Owen, J.S.; Clayton, A.; Pearson, H.B. Cancer-associated fibroblast heterogeneity, activation and function: Implications for prostate cancer. Biomolecules 2022, 13, 67. [Google Scholar] [CrossRef]
- Rothenberg, J.; Zhuravsky, R.; Hernandez, M.B.; Bray, N.; Weaver, T. Relationship of IL-19 to the metastatic potential of a lung tumor. Internet J. Oncol. 2010, 7, 1–8. [Google Scholar]
- Hsing, C.-H.; Cheng, H.-C.; Hsu, Y.-H.; Chan, C.-H.; Yeh, C.-H.; Li, C.-F.; Chang, M.-S. Upregulated IL-19 in breast cancer promotes tumor progression and affects clinical outcome. Clin. Cancer Res. 2012, 18, 713–725. [Google Scholar] [CrossRef] [PubMed]








Disclaimer/Publisher’s Note: The statements, opinions and data contained in all publications are solely those of the individual author(s) and contributor(s) and not of MDPI and/or the editor(s). MDPI and/or the editor(s) disclaim responsibility for any injury to people or property resulting from any ideas, methods, instructions or products referred to in the content. |
© 2025 by the authors. Licensee MDPI, Basel, Switzerland. This article is an open access article distributed under the terms and conditions of the Creative Commons Attribution (CC BY) license (https://creativecommons.org/licenses/by/4.0/).
Share and Cite
Khan, A.U.; Wang, Q.; Roh, E.; Dickinson, S.E.; Wondrak, G.T.; Curiel-Lewandowski, C.; Bode, A.M.; Zhang, T. TOPK Drives IL19-Mediated Crosstalk Between Cancer Cells and Fibroblasts to Promote Solar UV-Induced Skin Damage and Carcinogenesis. Cancers 2025, 17, 2067. https://doi.org/10.3390/cancers17132067
Khan AU, Wang Q, Roh E, Dickinson SE, Wondrak GT, Curiel-Lewandowski C, Bode AM, Zhang T. TOPK Drives IL19-Mediated Crosstalk Between Cancer Cells and Fibroblasts to Promote Solar UV-Induced Skin Damage and Carcinogenesis. Cancers. 2025; 17(13):2067. https://doi.org/10.3390/cancers17132067
Chicago/Turabian StyleKhan, Asad U., Qiushi Wang, Eunmiri Roh, Sally E. Dickinson, Georg T. Wondrak, Clara Curiel-Lewandowski, Ann M. Bode, and Tianshun Zhang. 2025. "TOPK Drives IL19-Mediated Crosstalk Between Cancer Cells and Fibroblasts to Promote Solar UV-Induced Skin Damage and Carcinogenesis" Cancers 17, no. 13: 2067. https://doi.org/10.3390/cancers17132067
APA StyleKhan, A. U., Wang, Q., Roh, E., Dickinson, S. E., Wondrak, G. T., Curiel-Lewandowski, C., Bode, A. M., & Zhang, T. (2025). TOPK Drives IL19-Mediated Crosstalk Between Cancer Cells and Fibroblasts to Promote Solar UV-Induced Skin Damage and Carcinogenesis. Cancers, 17(13), 2067. https://doi.org/10.3390/cancers17132067

