Interleukin-4 and -13 Gene Expression Profiles in Immune-Related Bullous Pemphigoid Indicate Efficacy of IL-4/IL-13 Inhibitors
Simple Summary
Abstract
1. Introduction
2. Patients and Methods
3. Results
3.1. Comparison of BP Patients vs. Healthy Donors
3.2. Comparison of irBP Patients vs. Healthy Donors
3.3. Comparison of BP Patients vs. irBP Patients
3.4. Sex-Specific Analysis of Gene Expression in BP and irBP Patients and Healthy Donors
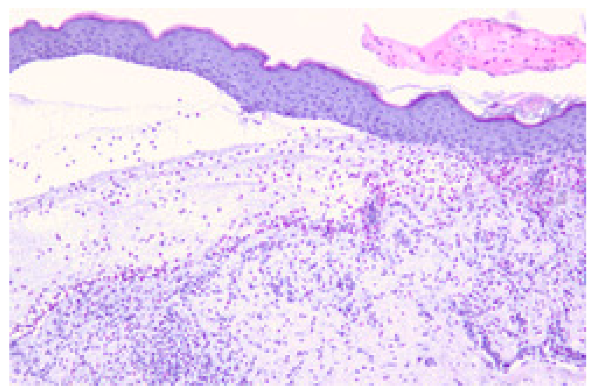
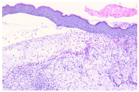
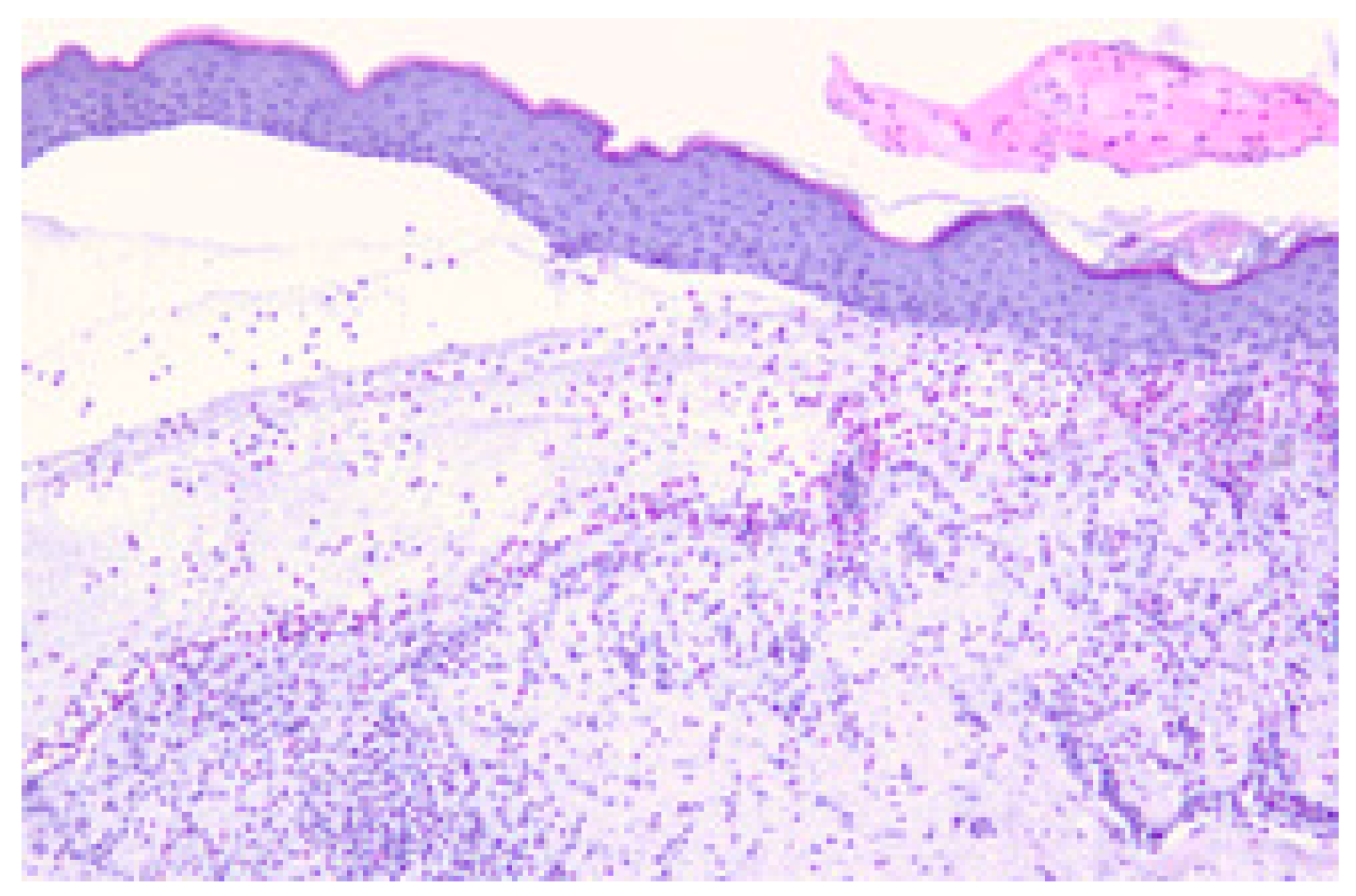
3.5. Histological Evaluation
3.6. Differentiation of the Genes Involved in IL-4/IL-13 Pathway in BP and irBP Patients vs. Healthy Controls
3.7. Pathway Enrichment Analysis
3.8. Overlapping Differentially Expressed Genes (DEGs) in BP and irBP Patients vs. Healthy Donors
4. Discussion
5. Conclusions
Supplementary Materials
Author Contributions
Funding
Institutional Review Board Statement
Informed Consent Statement
Data Availability Statement
Acknowledgments
Conflicts of Interest
Abbreviations
| irAE | Immune-related adverse event |
| ICI | Immune checkpoint inhibitor |
| irBP | Immune-related bullous pemphigoid |
| IL-4 | Interleukin-4 |
| IL-13 | Interleukin-13 |
| BP | Bullous pemphigoid |
| DEG | Differentially expressed genes |
| EMA | European Medicines Agency |
| H&E | Hematoxylin and Eosin |
| IL-4Rα | Interleukin-4 receptor alpha chain |
| AJCC | American Joint Committee on Cancer |
| MHH | Medizinische Hochschule Hannover |
| NCT | National Center for Tumor Diseases |
| FFPE | Formalin-fixed and paraffin-embedded |
| PEA | Pathway enrichment analysis |
| OS | Overall survival |
| PFS | Progression-free survival |
| JAK | Janus kinase |
| TLR | Toll-like receptor |
| TNF | Tumor necrosis factor |
| NCCN | National Cancer Comprehensive Network |
| NSCLC | Non-small-cell lung cancer |
| ORR | Overall response rate |
| Treg | Regulatory T-cells |
| Th | T-helper cells |
| TYK2 | Tyrosine Kinase 2 |
References
- Schulz, T.U.; Zierold, S.; Sachse, M.M.; Pesch, G.; Tomsitz, D.; Schilbach, K.; Kähler, K.C.; French, L.E.; Heinzerling, L. Persistent immune-related adverse events after cessation of checkpoint inhibitor therapy: Prevalence and impact on patients’ health-related quality of life. Eur. J. Cancer 2022, 176, 88–99. [Google Scholar] [CrossRef] [PubMed]
- Kuo, A.M.S.; Gu, S.; Stoll, J.; Moy, A.P.; Dusza, S.W.; Gordon, A.; Haliasos, E.C.; Janjigian, Y.; Kraehenbuehl, L.; Quigley, E.A.; et al. Management of immune-related cutaneous adverse events with dupilumab. J. Immunother. Cancer 2023, 11, e007324. [Google Scholar] [CrossRef] [PubMed]
- Kawsar, A.; Edwards, C.; Patel, P.; Heywood, R.M.; Gupta, A.; Mann, J.; Harland, C.; Heelan, K.; Larkin, J.; Lorigan, P.; et al. Checkpoint inhibitor-associated bullous cutaneous immune-related adverse events: A multicentre observational study. Br. J. Dermatol. 2022, 187, 981–987. [Google Scholar] [CrossRef] [PubMed]
- Kramer, N.; Müller, G.; Zierold, S.; Röckel, M.; Fröhlich, W.; Schefzyk, M.; Kumbrink, J.; Hassel, J.C.; Berking, C.; Ziemer, M.; et al. Checkpoint inhibitor-induced bullous pemphigoid differs from spontaneous bullous pemphigoid. J. Eur. Acad. Dermatol. Venereol. 2024, 38, e722–e728. [Google Scholar] [CrossRef]
- Bur, D.; Patel, A.B.; Nelson, K.; Huen, A.; Pacha, O.; Phillips, R.; Heberton, M. A retrospective case series of 20 patients with immunotherapy-induced bullous pemphigoid with emphasis on management outcomes. J. Am. Acad. Dermatol. 2022, 87, 1394–1395. [Google Scholar] [CrossRef]
- Drakaki, A.; Dhillon, P.K.; Wakelee, H.; Chui, S.Y.; Shim, J.; Kent, M.; Degaonkar, V.; Hoang, T.; McNally, V.; Luhn, P.; et al. Association of baseline systemic corticosteroid use with overall survival and time to next treatment in patients receiving immune checkpoint inhibitor therapy in real-world US oncology practice for advanced non-small cell lung cancer, melanoma, or urothelial carcinoma. Oncoimmunology 2020, 9, 1824645. [Google Scholar]
- Barrios, D.M.; Phillips, G.S.; Geisler, A.N.; Trelles, S.R.; Markova, A.; Noor, S.J.; Quigley, E.A.; Haliasos, H.C.; Moy, A.P.; Schram, A.M.; et al. IgE blockade with omalizumab reduces pruritus related to immune checkpoint inhibitors and anti-HER2 therapies. Ann. Oncol. 2021, 32, 736–745. [Google Scholar] [CrossRef]
- Hamilton, J.D.; Ungar, B.; Guttman-Yassky, E. Drug evaluation review: Dupilumab in atopic dermatitis. Immunotherapy 2015, 7, 1043–1058. [Google Scholar] [CrossRef]
- Harb, H.; Chatila, T.A. Mechanisms of Dupilumab. Clin. Exp. Allergy 2020, 50, 5–14. [Google Scholar] [CrossRef]
- Cabrera-Perez, J.S.; Carey, V.J.; Odejide, O.O.; Singh, S.; Kupper, T.S.; Pillai, S.S.; Weiss, S.T.; Akenroye, A. Integrative epidemiology and immunotranscriptomics uncover a risk and potential mechanism for cutaneous lymphoma unmasking or progression with dupilumab therapy. J. Allergy Clin. Immunol. 2024, 155, 1584–1594. [Google Scholar] [CrossRef]
- Metko, D.; Alkofide, M.; Abu-Hilal, M. A real-world study of dupilumab in patients with atopic dermatitis including patients with malignancy and other medical comorbidities. JAAD Int. 2024, 15, 5–11. [Google Scholar] [CrossRef] [PubMed]
- Ahn, J.; Choi, Y.; Simpson, E.L. Therapeutic New Era for Atopic Dermatitis: Part 1. Biologics. Ann. Dermatol. 2021, 33, 1–10. [Google Scholar] [CrossRef] [PubMed]
- nCounter Advanced Analysis 2.0 Plugin for nSolver Software User Manual; NanoString Technologies, Inc.: Seattle, WA, USA, 2018; pp. 53–56. Available online: https://nanostring.com/wp-content/uploads/MAN-10030-03_nCounter_Advanced_Analysis_2.0_User_Manual.pdf (accessed on 2 May 2025).
- Karakioulaki, M.; Eyerich, K.; Patsatsi, A. Advancements in Bullous Pemphigoid Treatment: A Comprehensive Pipeline Update. Am. J. Clin. Dermatol. 2024, 25, 195–212. [Google Scholar] [CrossRef] [PubMed]
- Bao, L.; Shi, V.Y.; Chan, L.S. IL-4 regulates chemokine CCL26 in keratinocytes through the Jak1, 2/Stat6 signal transduction pathway: Implication for atopic dermatitis. Mol. Immunol. 2012, 50, 91–97. [Google Scholar] [CrossRef]
- Günther, C.; Wozel, G.; Meurer, M.; Pfeiffer, C. Up-regulation of CCL11 and CCL26 is associated with activated eosinophils in bullous pemphigoid. Clin. Exp. Immunol. 2011, 166, 145–153. [Google Scholar] [CrossRef]
- Straub, R.H. The complex role of estrogens in inflammation. Endocr. Rev. 2007, 28, 521–574. [Google Scholar] [CrossRef]
- Feliciani, C.; Joly, P.; Jonkman, M.F.; Zambruno, G.; Zillikens, D.; Ioannides, D.; Kowalewski, C.; Jedlickova, H.; Karpati, S.; Marinovic, B.; et al. Management of bullous pemphigoid: The European Dermatology Forum consensus in collaboration with the European Academy of Dermatology and Venereology. Br. J. Dermatol. 2015, 172, 867–877. [Google Scholar] [CrossRef] [PubMed]
- Worm, M.S.B. S2k-Leitlinie Diagnostik und Therapie des Pemphigus vulgaris/foliaceus und des Bullösen Pemphigoids; Deutsche Dermatologische Gesellschaft e.V. (DDG); Deutsche Gesellschaft für Kinder- und Jugendmedizin e.V. (DGKJ): Berlin, Germany, 2019; Volume 2.0. [Google Scholar]
- Fivenson, D.P.; Breneman, D.L.; Rosen, G.B.; Hersh, C.S.; Cardone, S.; Mutasim, D. Nicotinamide and tetracycline therapy of bullous pemphigoid. Arch. Dermatol. 1994, 130, 753–758. [Google Scholar] [CrossRef]
- Bystryn, J.C. Comparative effectiveness of azathioprine or mycophenolate mofetil as an adjuvant for the treatment of bullous pemphigoid. Arch. Dermatol. 2008, 144, 946. [Google Scholar] [CrossRef]
- Wojtczak, M.; Nolbrzak, A.; Woźniacka, A.; Żebrowska, A. Can Methotrexate Be Employed as Monotherapy for Bullous Pemphigoid? Analysis of Efficiency and Tolerance of Methotrexate Treatment in Patients with Bullous Pemphigoid. J. Clin. Med. 2023, 12, 1638. [Google Scholar] [CrossRef]
- Bouscarat, F.; Chosidow, O.; Picard-Dahan, C.; Sakiz, V.; Crickx, B.; Prost, C.; Roujeau, J.C.; Revuz, J.; Belaich, S. Treatment of bullous pemphigoid with dapsone: Retrospective study of thirty-six cases. J. Am. Acad. Dermatol. 1996, 34, 683–684. [Google Scholar] [CrossRef] [PubMed]
- Berkani, N.; Joly, P.; Golinski, M.L.; Colliou, N.; Lim, A.; Larbi, A.; Riou, G.; Caillot, F.; Bernard, P.; Bedane, C.; et al. B-cell depletion induces a shift in self antigen specific B-cell repertoire and cytokine pattern in patients with bullous pemphigoid. Sci. Rep. 2019, 9, 3525. [Google Scholar]
- Nash, D.; Kirchhof, M.G. Bullous pemphigoid treated with Janus kinase inhibitor upadacitinib. JAAD Case Rep. 2023, 32, 81–83. [Google Scholar] [CrossRef]
- Wessman, L.L.; Blixt, E.K.; Wetter, D.A.; Miest, R.Y. Adalimumab-associated bullous pemphigoid in a patient with ulcerative colitis. JAAD Case Rep. 2017, 3, 339–341. [Google Scholar] [CrossRef]
- Khattab, S.; Wan, G.; Xu, S.; Moseley, C.; Tran, M.; Beagles, E.; Lin, C.; Leung, B.; Azin, M.; Hao, N.; et al. Long-term mortality outcomes among immunotherapy recipients treated with dupilumab for the management of cutaneous immune-related adverse events. J. Immunother. Cancer 2025, 13, e010638. [Google Scholar] [CrossRef]
- Scott, T.E.; Lewis, C.V.; Zhu, M.; Wang, C.; Samuel, C.S.; Drummond, G.R.; Kemp-Harper, B.K. IL-4 and IL-13 induce equivalent expression of traditional M2 markers and modulation of reactive oxygen species in human macrophages. Sci. Rep. 2023, 13, 19589. [Google Scholar] [CrossRef]
- Mantovani, A.; Allavena, P.; Marchesi, F.; Garlanda, C. Macrophages as tools and targets in cancer therapy. Nat. Rev. Drug Discov. 2022, 21, 799–820. [Google Scholar] [CrossRef] [PubMed]
- Feng, B.; Bai, Z.; Zhou, X.; Zhao, Y.; Xie, Y.Q.; Huang, X.; Liu, Y.; Enbar, T.; Li, R.; Wang, Y.; et al. The type 2 cytokine Fc-IL-4 revitalizes exhausted CD8(+) T cells against cancer. Nature 2024, 634, 712–720. [Google Scholar] [CrossRef]
- Beck, L.A.; Deleuran, M.; Bissonnette, R.; de Bruin-Weller, M.; Galus, R.; Nakahara, T.; Seo, S.J.; Khokhar, F.A.; Vakil, J.; Xiao, J.; et al. Dupilumab Provides Acceptable Safety and Sustained Efficacy for up to 4 Years in an Open-Label Study of Adults with Moderate-to-Severe Atopic Dermatitis. Am. J. Clin. Dermatol. 2022, 23, 393–408. [Google Scholar] [CrossRef]
- Chakma, C.R.; Good-Jacobson, K.L. Requirements of IL-4 during the Generation of B Cell Memory. J. Immunol. 2023, 210, 1853–1860. [Google Scholar] [CrossRef]
- Wan, G.; Chen, W.; Khattab, S.; Roster, K.; Nguyen, N.; Yan, B.; Rajeh, A.; Seo, J.; Rashdan, H.; Zubiri, L.; et al. Multi-organ immune-related adverse events from immune checkpoint inhibitors and their downstream implications: A retrospective multicohort study. Lancet Oncol. 2024, 25, 1053–1069. [Google Scholar] [CrossRef] [PubMed]
- Carbone, M.L.; Capone, A.; Guercio, M.; Reddel, S.; Silvestris, D.A.; Lulli, D.; Ramondino, C.; Peluso, D.; Quintarelli, C.; Volpe, E.; et al. Insight into immune profile associated with vitiligo onset and anti-tumoral response in melanoma patients receiving anti-PD-1 immunotherapy. Front. Immunol. 2023, 14, 1197630. [Google Scholar] [CrossRef] [PubMed]
- Eshaq, A.M.; Flanagan, T.W.; Ba Abbad, A.A.; Makarem, Z.A.A.; Bokir, M.S.; Alasheq, A.K.; Al Asheikh, S.A.; Almashhor, A.M.; Binyamani, F.; Al-Amoudi, W.A.; et al. Immune Checkpoint Inhibitor-Associated Cutaneous Adverse Events: Mechanisms of Occurrence. Int. J. Mol. Sci. 2025, 26, 88. [Google Scholar] [CrossRef]
- Wang, E.; Kraehenbuehl, L.; Ketosugbo, K.; Kern, J.A.; Lacouture, M.E.; Leung, D.Y.M. Immune-related cutaneous adverse events due to checkpoint inhibitors. Ann. Allergy Asthma Immunol. 2021, 126, 613–622. [Google Scholar] [CrossRef]
- Wills-Karp, M.; Finkelman, F.D. Untangling the complex web of IL-4- and IL-13-mediated signaling pathways. Sci. Signal 2008, 1, pe55. [Google Scholar] [CrossRef]
- Takatsu, K.; Kariyone, A. The immunogenic peptide for Th1 development. Int. Immunopharmacol. 2003, 3, 783–800. [Google Scholar] [CrossRef]
- Cozzani, E.; Gasparini, G.; Di Zenzo, G.; Parodi, A. Immunoglobulin E and bullous pemphigoid. Eur. J. Dermatol. 2018, 28, 440–448. [Google Scholar] [CrossRef] [PubMed]
- Gounni Abdelilah, S.; Wellemans, V.; Agouli, M.; Guenounou, M.; Hamid, Q.; Beck, L.A.; Lamkhioued, B. Increased expression of Th2-associated chemokines in bullous pemphigoid disease. Role of eosinophils in the production and release of these chemokines. Clin. Immunol. 2006, 120, 220–231. [Google Scholar] [CrossRef]
- Takamura, S.; Teraki, Y. Treatment of bullous pemphigoid with dupilumab: Dupilumab exerts its effect by primarily suppressing T-helper 2 cytokines. J. Dermatol. 2022, 49, 845–850. [Google Scholar] [CrossRef]








| Associated Process | Genes | Description | Significantly Up-/Downregulated in irBP vs. Healthy Skin | Significantly Up-/Downregulated in BP vs. Healthy Skin |
|---|---|---|---|---|
| Cytokines | IL4 | Principal regulatory cytokine during the immune response | ↑ | ↑ |
| IL13 | Immunoregulatory cytokine secreted predominantly by activated Th2 cells | ↑ | ↑ | |
| Receptor Components | IL4R | Shared subunit of both receptor types | - | ↑ |
| IL13RA1 | Component of the type II receptor | - | - | |
| IL13RA2 | High-affinity receptor for IL-13 | ↑ | ↑ | |
| Janus Kinases (JAKs) | JAK1 | Activated in both receptor types | - | - |
| JAK3 | Specific to the type I receptor | - | ↑ | |
| TYK2 | Supports signal transduction in the type II receptor | - | - | |
| Signal Transduction Molecules | STAT6 | Central transcription factor activated by both cytokines | - | ↑ |
| STAT3 | Modulatory transcription factor | - | ↑ | |
| ERK1/2 (MAPK3/1) | Kinase involved in the mediation of cell growth, cytokine production, and tissue remodeling | - | - | |
| Chemokine | CCL26 | Regulated by STAT6 signaling pathway | ↑ | ↑ |
| BP Patients vs. Healthy Donors | irBP Patients vs. Healthy Donors | ||
|---|---|---|---|
| Pathway | Significance Score | Pathway | Significance Score |
| Toll-like receptor (TLR) | 3.49 | Cytotoxicity | 4.64 |
| Transporter functions | 3.45 | Cell cycle | 4.46 |
| Macrophage functions | 3.44 | Antigen processing | 4.34 |
| Cytokines | 3.30 | Transporter functions | 4.19 |
| Cell cycle | 3.22 | Tumor necrosis factor (TNF) superfamily | 3.85 |
| Senescence | 3.01 | T-cell functions | 3.81 |
| Leukocyte functions | 3.01 | Cytokines | 3.81 |
| Antigen processing | 2.97 | Macrophage functions | 3.78 |
| Cell functions | 2.89 | Regulation | 3.75 |
| Tumor necrosis factor (TNF) superfamily | 2.88 | Cell functions | 3.74 |
Disclaimer/Publisher’s Note: The statements, opinions and data contained in all publications are solely those of the individual author(s) and contributor(s) and not of MDPI and/or the editor(s). MDPI and/or the editor(s) disclaim responsibility for any injury to people or property resulting from any ideas, methods, instructions or products referred to in the content. |
© 2025 by the authors. Licensee MDPI, Basel, Switzerland. This article is an open access article distributed under the terms and conditions of the Creative Commons Attribution (CC BY) license (https://creativecommons.org/licenses/by/4.0/).
Share and Cite
Arnold, L.; Morak, M.; Kramer, N.; Berking, C.; Schefzyk, M.; Hassel, J.C.; Ziemer, M.; French, L.E.; Gutzmer, R.; Nashan, D.; et al. Interleukin-4 and -13 Gene Expression Profiles in Immune-Related Bullous Pemphigoid Indicate Efficacy of IL-4/IL-13 Inhibitors. Cancers 2025, 17, 1845. https://doi.org/10.3390/cancers17111845
Arnold L, Morak M, Kramer N, Berking C, Schefzyk M, Hassel JC, Ziemer M, French LE, Gutzmer R, Nashan D, et al. Interleukin-4 and -13 Gene Expression Profiles in Immune-Related Bullous Pemphigoid Indicate Efficacy of IL-4/IL-13 Inhibitors. Cancers. 2025; 17(11):1845. https://doi.org/10.3390/cancers17111845
Chicago/Turabian StyleArnold, Lisa, Monika Morak, Nora Kramer, Carola Berking, Matthias Schefzyk, Jessica C. Hassel, Mirjana Ziemer, Lars E. French, Ralf Gutzmer, Dorothee Nashan, and et al. 2025. "Interleukin-4 and -13 Gene Expression Profiles in Immune-Related Bullous Pemphigoid Indicate Efficacy of IL-4/IL-13 Inhibitors" Cancers 17, no. 11: 1845. https://doi.org/10.3390/cancers17111845
APA StyleArnold, L., Morak, M., Kramer, N., Berking, C., Schefzyk, M., Hassel, J. C., Ziemer, M., French, L. E., Gutzmer, R., Nashan, D., & Heinzerling, L. (2025). Interleukin-4 and -13 Gene Expression Profiles in Immune-Related Bullous Pemphigoid Indicate Efficacy of IL-4/IL-13 Inhibitors. Cancers, 17(11), 1845. https://doi.org/10.3390/cancers17111845

