Scalp Involvement in Primary Cutaneous Lymphomas—An Update on Clinical Presentation, Diagnostics, and Management
Simple Summary
Abstract
1. Introduction
2. Materials and Methods
3. Results
3.1. Frequency and Epidemiology of Scalp Involvement in PCLs
3.2. Pathogenesis of PCLs Involving the Scalp
3.3. Scalp Involvement as a Prognostic Factor in PCL Patients
3.4. Clinical Presentation of CBCLs and CTCLs—An Overview
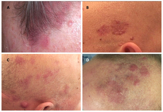
3.4.1. Clinical Presentation of PCLs Most Commonly Affecting the Scalp
Primary Cutaneous Follicle Center Lymphoma (PCFCL)
Primary Cutaneous Diffuse Large B-Cell Lymphoma (PCDLBCL)
Scalp Involvement in the Course of Other Cutaneous B-Cell Lymphomas (CBCLs)
Primary Cutaneous T-Cell Lymphoma of the Scalp
Folliculotropic Mycosis Fungoides (FMF)
Mycosis Fungoides (MF) and Sézary Syndrome (SS)
Scalp Involvement in Other PCLs
4. Diagnosis
4.1. Medical History
4.2. Physical Examinations and Laboratory Tests
4.3. Scalp Examination
4.4. Significance of Trichoscopy (Dermoscopy of the Scalp) in Diagnostics of PCLs
5. Differential Diagnosis
6. Treatment
7. Limitations
8. Conclusions
Author Contributions
Funding
Institutional Review Board Statement
Informed Consent Statement
Data Availability Statement
Conflicts of Interest
References
- Leary, D.O.; Goyal, N.; Rubin, N.; Goyal, A. Characterization of Primary and Secondary Cutaneous B-Cell Lymphomas: A Population-Based Study of 4758 Patients. Clin. Lymphoma Myeloma Leuk. 2022, 22, e269–e278. [Google Scholar] [CrossRef] [PubMed]
- Willemze, R.; Cerroni, L.; Kempf, W.; Berti, E.; Facchetti, F.; Swerdlow, S.H.; Jaffe, E.S. The 2018 update of the WHO-EORTC classification for primary cutaneous lymphomas. Blood 2019, 133, 1703–1714. [Google Scholar] [CrossRef] [PubMed]
- WHO Classification of Tumours Editorial Board. Haematolymphoid tumours. In WHO Classification of Tumours Series, 5th ed.; International Agency for Research on Cancer/WHO Classification of Tumours Editorial Board: Lyon, France, 2024; Volume 11, Available online: https://publications.iarc.who.int/637 (accessed on 19 April 2025).
- van Santen, S.; Roach, R.E.J.; van Doorn, R.; Horváth, B.; Bruijn, M.S.; Sanders, C.J.G.; de Pooter, J.C.; van Rossum, M.M.; de Haas, E.R.M.; Veraart, J.C.J.M.; et al. Clinical Staging and Prognostic Factors in Folliculotropic Mycosis Fungoides. JAMA Dermatol. 2016, 152, 992–1000. [Google Scholar] [CrossRef] [PubMed]
- Richmond, H.M.; Duvic, M.; Macfarlane, D.F. Primary and metastatic malignant tumors of the scalp: An update. Am. J. Clin. Dermatol. 2010, 11, 233–246. [Google Scholar] [CrossRef]
- Liu, H.; Shi, X.; Cao, L.; Miao, Y.; Du, X.; Huang, R.; Zhu, H.; Xu, W.; Li, J.; Fan, L. Effects of conventional interventions on early-stage primary cutaneous marginal zone lymphoma: A population-based study. Leuk. Res. 2022, 114, 106795. [Google Scholar] [CrossRef]
- Algarni, A.S.; Ram-Wolff, C.; Bagot, M.; De Masson, A. Mogamulizumab-induced vitiligo in patients with Sézary syndrome: Three cases. Eur. J. Dermatol. 2021, 31, 213–216. [Google Scholar] [CrossRef]
- Pisano, L.; Di Pietro, M.; Santi, R.; Grandi, V.; Bosi, A.; Santucci, M.; Pimpinelli, N.; Difonzo, E.M. Non-scarring patchy alopecia: What else, apart from alopecia areata? J. Cutan. Pathol. 2021, 48, 1282–1285. [Google Scholar] [CrossRef]
- Hoffmann, A.; Waśkiel-Burnat, A.; Żółkiewicz, J.; Blicharz, L.; Rakowska, A.; Goldust, M.; Olszewska, M.; Rudnicka, L. Pili Torti: A Feature of Numerous Congenital and Acquired Conditions. J. Clin. Med. 2021, 10, 3901. [Google Scholar] [CrossRef]
- Sławińska, M.; Sokołowska-Wojdyło, M.; Sobjanek, M.; Golińska, J.; Nowicki, R.J.; Rudnicka, L. The significance of dermoscopy and trichoscopy in differentiation of erythroderma due to various dermatological disorders. J. Eur. Acad. Dermatol. Venereol. 2021, 35, 230–240. [Google Scholar] [CrossRef]
- Haghayeghi, K.; Robinson-Bostom, L.; Olszewski, A.; Jackson, C.L.; Patel, N.R.; Sewastianik, T.; Carrasco, R.D.; Shanmugam, V.; Treaba, D.O. Aggressive CD4/CD8 Double-Negative Primary Cutaneous T-Cell Lymphoma With Dural Invasion: A Rare Presentation of Mycosis Fungoides? Am. J. Dermatopathol. 2021, 43, 63–66. [Google Scholar] [CrossRef]
- Rakowska, A.; Jasińska, M.; Sikora, M.; Czuwara, J.; Gajda-Mróz, P.; Warszawik-Hendzel, O.; Kwiatkowska, M.; Waśkiel-Burnat, A.; Olszewska, M.; Rudnicka, L. Cutaneous T-cell lymphoma in erythrodermic cases may be suspected on the basis of scalp examination with dermoscopy. Sci. Rep. 2021, 11, 282. [Google Scholar] [CrossRef] [PubMed]
- Jafri, H.; Khan, I.; Khan, N.A.J.; Graffeo, V.; Hawkins, J.; Alsharedi, M. Cutaneous Disease as a Rare Presentation of Follicular Lymphoma Progression. J. Investig. Med. High Impact Case Rep. 2021, 9, 2324709621997260. [Google Scholar] [CrossRef] [PubMed]
- Janowska, A.; Fidanzi, C.; Granieri, G.; Iannone, M.; Bonadio, A.G. An unusual presentation of primary cutaneous follicle center lymphoma. Exp. Oncol. 2021, 43, 376–378. [Google Scholar] [CrossRef]
- Gambichler, T.; Boms, S.; Hessam, S.; Tischoff, I.; Tannapfel, A.; Lüttringhaus, T.; Beckman, J.; Stranzenbach, R. Primary cutaneous anaplastic large-cell lymphoma with marked spontaneous regression of organ manifestation after SARS-CoV-2 vaccination. Br. J. Dermatol. 2021, 185, 1259–1262. [Google Scholar] [CrossRef] [PubMed]
- Pham-Ledard, A.; Pacaud, A.; Criquet, E.; Durlach, A.; Menguy, S.; Beylot-Barry, M.; Grange, F. Mogalizumab-induced granulomatous eruption of the scalp: A distinct entity associated with clinical response? Eur. J. Cancer 2021, 156 (Suppl. S1), S49–S50. [Google Scholar] [CrossRef]
- Ye, C.H.; Chen, C.J.; Chang, K.C.; Wu, Y.H.; Chen, M.L.; Chiu, T.M. Cutaneous Pseudolymphoma With Langerhans Cell Hyperplasia-A Rare Case With Clinical Presentation Mimicking Malignancy and Potential Diagnostic Pitfall. Am. J. Dermatopathol. 2021, 43, e280–e284. [Google Scholar] [CrossRef]
- Hirotsu, K.E.; Neal, T.M.; Khodadoust, M.S.; Wang, J.Y.; Rieger, K.E.; Strelo, J.; Hong, E.; Kim, Y.H.; Kwong, B.Y. Clinical Characterization of Mogamulizumab-Associated Rash During Treatment of Mycosis Fungoides or Sézary Syndrome. JAMA Dermatol. 2021, 157, 700–707. [Google Scholar] [CrossRef]
- Milan, E.; Miceli, P.; Sernicola, A.; Finotto, S.; Marino, D.; Alaibac, M. Complete remission of primary cutaneous anaplastic large cell lymphoma after a short course of brentuximab vedotin. Mol. Clin. Oncol. 2021, 14, 121. [Google Scholar] [CrossRef]
- Pukhalskaya, T.; Brown, J.A.; Sills, A.A.; Smoller, B.R. A Longstanding, Persistent and Recurrent Case of Cryptogenic Panniculitis. Case Rep. Dermatol. 2020, 12, 199–208. [Google Scholar] [CrossRef] [PubMed]
- Wu, S.; Jenkins, F.; Byrd, R.; Googe, P.B.; Jolly, P.S. A case of bullous Sézary syndrome. Dermatol. Online J. 2020, 26, 13030/qt6244g9rx. [Google Scholar] [CrossRef]
- Kreutzer, K.M.; Effendy, I. Cicatricial Alopecia Related to Folliculotropic Mycosis Fungoides. Dermatol. Ther. 2020, 10, 1175–1180. [Google Scholar] [CrossRef]
- Zanelli, M.; Zizzo, M.; Martino, G.; Sanguedolce, F.; Ascani, S. Erythematous cutaneous macules: An uncommon, challenging presentation of T-lymphoblastic lymphoma. Eur. J. Dermatol. 2020, 30, 318–320. [Google Scholar] [CrossRef] [PubMed]
- Ahmed, A.A.; Almohanna, H.; Griggs, J.; Tosti, A. Unusual Clinical Presentation of a Primary Cutaneous Follicle Center Lymphoma on the Scalp of a Middle-Aged Female: Case Report and Review of the Literature. Ski. Appendage Disord. 2019, 5, 379–385. [Google Scholar] [CrossRef]
- de Masson, A.; Bouaziz, J.; Ram-Wolff, C.; Brice, P.; Moulonguet, I.; Vignon-Pennamen, M.; Herms, F.; Verneuil, L.; Rivet, J.; Bagot, M.; et al. Alopecic patches of the scalp: A variant of primary cutaneous follicle centre B-cell lymphoma reported in a series of 14 cases. J. Eur. Acad. Dermatol. Venereol. 2019, 33, e209–e211. [Google Scholar] [CrossRef]
- Ueberdiek, S.; Kempf, W.; Kretschmer, L.; Peter Schön, M.; Mitteldorf, C. AL-Amyloidoma of the Skin-A Rare Manifestation of Primary Cutaneous Marginal Zone Lymphoma. Am. J. Dermatopathol. 2019, 41, 518–521. [Google Scholar] [CrossRef]
- Talebi-Liasi, F.; Sandhu, S. Rare presentation of disseminated follicular lymphoma as an ill-defined reticular patch over the scalp and forehead. JAAD Case Rep. 2019, 5, 319–322. [Google Scholar] [CrossRef]
- King, M.L.; Thomas, T.V.; Albert, A.A.; Joseph, S.; Nair, L.R.; Lam, J.T.; Woods, W.C.; Nittala, M.; Vijayakumar, S. A Case of Transformation of Primary Cutaneous Follicle Center Lymphoma to Diffuse Large B-Cell Lymphoma Involving the Parotid Gland and Cervical Lymph Nodes. Am. J. Case Rep. 2019, 20, 1273–1278. [Google Scholar] [CrossRef]
- Magro, C.M.; Telang, G.H.; Momtahen, S. Unilesional Follicular Mycosis Fungoides: Report of 6 Cases and Review of the Literature. Am. J. Dermatopathol. 2018, 40, 329–336. [Google Scholar] [CrossRef]
- Sharma, P.; Goyal, S.; Yadav, A.K.; Singh, J.; Mandal, A.K. Hodgkin’s lymphoma arising in a case of mycosis fungoides: An unusual association. Indian J. Dermatol. Venereol. Leprol. 2018, 84, 292–297. [Google Scholar] [CrossRef] [PubMed]
- Kreuter, A.; Pantelaki, I.; Michalowitz, A.-L.; Wieland, U.; Cerroni, L.; Oellig, F.; Tigges, C. CD30-positive primary cutaneous anaplastic large cell lymphoma with coexistent pseudocarcinomatous hyperplasia. Clin. Exp. Dermatol. 2018, 43, 585–588. [Google Scholar] [CrossRef] [PubMed]
- Asati, V.; Jacob, L.A.; Lakshmaiah, K.; Govind, B.K.; Lokanatha, D.; Babu, S.; Lokesh, K.; Rudresh, A.; Rajeev, L.; Mulchandani, N.J.; et al. Primary cutaneous B-cell lymphoma: A single-center 5-year experience. Indian J. Cancer. 2018, 55, 134–137. [Google Scholar] [CrossRef] [PubMed]
- Maderal, A.D.; Malone, J.C.; Callen, J.P. Methotrexate-Associated B-Cell Lymphoproliferative Disease in a Patient With Cutaneous T-Cell Lymphoma. JAMA Dermatol. 2018, 154, 490–492. [Google Scholar] [CrossRef]
- Emge, D.A.; Lewis, D.J.; Aung, P.P.; Duvic, M. How to Discern Folliculotropic Mycosis Fungoides From Follicular Mucinosis Using a Pediatric Case. J. Cutan. Med. Surg. 2018, 22, 336–340. [Google Scholar] [CrossRef]
- Zhou, H.; Luo, Z.D.; Tang, X.H.; Han, J.D.; Gao, Q. Folliculotropic mycosis fungoides associated with atopic dermatitis. Australas. J. Dermatol. 2018, 59, e143–e145. [Google Scholar] [CrossRef]
- Agnihotri, M.A.; Kothari, K.S.; Naik, L.P.; Patil, S. Anaplastic large cell lymphoma: A great mimic on cytology. J. Cytol. 2017, 34, 165–167. [Google Scholar] [CrossRef]
- Liao, C.; Yang, M.; Liu, P.; Zhang, W. A 92-year-old man with primary cutaneous diffuse large B-cell non-Hodgkin’s lymphoma manifesting as a giant scalp mass: A case report. Medicine 2017, 96, e6270. [Google Scholar] [CrossRef]
- Radoš, J.; Jerković Gulin, S.; Dotlić, S.; Kinda, S.B.; Čeović, R. Folliculotropic Mycosis Fungoides Associated with Autoimmune Hepatitis. Acta Dermatovenerol. Croat. 2017, 25, 248–250. [Google Scholar]
- Pitch, M.A.; Kim, K.H.; Manning, T.; Smoller, B.R.; Wong, H.K.; Kaley, J.R. A diagnostically challenging case of CD8+ primary cutaneous gamma/delta T-cell lymphoma. Dermatol. Online J. 2017, 23. [Google Scholar] [CrossRef]
- Seo, H.N.; Seo, J.H.; Lee, C.Y.; Song, J.; Kim, J.H.; Kim, H.W. Cutaneous Anaplastic Large T-Cell Lymphoma with Invasion of the Central Nervous System: A Case Report. Brain Tumor Res. Treat. 2017, 5, 45–48. [Google Scholar] [CrossRef] [PubMed]
- Wong, E.; Mahmood, M.N.; Salopek, T.G. Concomitant B Hairy Cell Leukemia and Mycosis Fungoides in an Elderly Man. Case Rep. Dermatol. 2017, 9, 103–107. [Google Scholar] [CrossRef] [PubMed]
- Khatib, Y.; Dande, M.; Patel, R.D.; Makhija, M. Primary cutaneous large B-cell lymphoma of scalp: Case report of a rare variant. Indian J. Pathol. Microbiol. 2017, 60, 268–271. [Google Scholar] [CrossRef] [PubMed]
- Asati, D.P.; Ingle, V.; Joshi, D.; Tiwari, A. Subcutaneous panniculitis-like T-cell lymphoma with macrophage activation syndrome treated by cyclosporine and prednisolone. Indian Dermatol. Online J. 2016, 7, 529–532. [Google Scholar] [CrossRef]
- Massone, C.; Fink-Puches, R.; Cerroni, L. Atypical clinical presentation of primary and secondary cutaneous follicle center lymphoma (FCL) on the head characterized by macular lesions. J. Am. Acad. Dermatol. 2016, 75, 1000–1006. [Google Scholar] [CrossRef]
- Romano, R.C.; Cohen, D.N.; Howard, M.T.; Wieland, C.N. A Primary Cutaneous CD30-Positive T-Cell Lymphoproliferative Disorder Arising in a Patient With Multiple Myeloma and Cutaneous Amyloidosis. Am. J. Dermatopathol. 2016, 38, 388–392. [Google Scholar] [CrossRef]
- Amin, S.M.; Tan, T.; Guitart, J.; Colavincenzo, M.; Gerami, P.; Yazdan, P. CD8+ mycosis fungoides clinically masquerading as alopecia areata. J. Cutan. Pathol. 2016, 43, 1179–1182. [Google Scholar] [CrossRef]
- Wada, C.; Glenn, M.; Hyde, M.; Powell, D.; Miles, R.; Duffy, K.; Florell, S.; Wada, D. Primary cutaneous follicle centre lymphoma presenting as diffuse facial erythema. J. Eur. Acad. Dermatol. Venereol. 2015, 29, 825–826. [Google Scholar] [CrossRef]
- Fujimoto, N.; Kito, K.; Yoshida, T.; Tanaka, T. Primary cutaneous CD4/CD8-/- TCRαβ T-cell lymphoma. Acta Derm. Venereol. 2015, 95, 106–107. [Google Scholar] [CrossRef]
- van der Horst, M.P.; Hardwick, A.; Rahilly, M.; Goodlad, J.R. Epstein-Barr virus-positive primary cutaneous follicle centre lymphoma; an age-related phenomenon? Virchows Arch. 2015, 467, 111–117. [Google Scholar] [CrossRef]
- Ardigò, M.; El Shabrawi-Caelen, L.; Tosti, A. In vivo reflectance confocal microscopy assessment of the therapeutic follow-up of cutaneous T-cell lymphomas causing scalp alopecia. Dermatol. Ther. 2014, 27, 248–251. [Google Scholar] [CrossRef] [PubMed]
- Tirefort, Y.; Pham, X.-C.; Ibrahim, Y.L.; Lecompte, T.P.; Matthes, T.; Prins, C.; Cortes, B.; Bernimoulin, M.; Chalandon, Y.; Samii, K. A rare case of primary cutaneous follicle centre lymphoma presenting as a giant tumour of the scalp and combined with JAK2V617F positive essential thrombocythaemia. Biomark. Res. 2014, 2, 7. [Google Scholar] [CrossRef] [PubMed]
- Bustos, B.D.U.; Ninet, V.Z.; Sánchez, R.B.; Rabasco, A.G.; de Miquel, V.A. Epstein-Barr virus-positive diffuse large B-cell lymphoma in an elderly patient. Clin. Exp. Dermatol. 2014, 39, 484–487. [Google Scholar] [CrossRef] [PubMed]
- Rangwala, S.; Duvic, M. Antinuclear antibody seropositivity in men with cutaneous B-cell lymphoma of the scalp. Skinmed 2014, 12, 244–248. [Google Scholar]
- Ostheimer, C.; Janich, M.; Hübsch, P.; Gerlach, R.; Vordermark, D. The treatment of extensive scalp lesions using coplanar and non-coplanar photon IMRT: A single institution experience. Radiat. Oncol. 2014, 9, 82. [Google Scholar] [CrossRef]
- Miteva, M.; El Shabrawi-Caelen, L.; Fink-Puches, R.; Beham-Schmid, C.; Romanelli, P.; Kerdel, F.; Tosti, A. Alopecia universalis associated with cutaneous T cell lymphoma. Dermatology 2014, 229, 65–69. [Google Scholar] [CrossRef]
- Kempf, W.; Kazakov, D.V.; Rütten, A.; Rupec, R.A.; Talarcik, P.; Ballová, V.; Kerl, K.; Dummer, R.; Lautenschlager, S.; Zimmermann, D.R.; et al. Primary cutaneous follicle center lymphoma with diffuse CD30 expression: A report of 4 cases of a rare variant. J. Am. Acad. Dermatol. 2014, 71, 548–554. [Google Scholar] [CrossRef]
- Whitling, N.A.; Shanesmith, R.P.; Jacob, L.; McBurney, E.; Sebastian, S.; Wang, E.; Wang, A.R. Composite lymphoma of mycosis fungoides and cutaneous small B-cell lymphoma in a 73-year-old male patient. Hum. Pathol. 2013, 44, 670–675. [Google Scholar] [CrossRef]
- Camargo, C.M.d.S.; Bomm, L.; Abraham, L.S.; Daher, R.; Scotelaro, M.d.F.G.; Abulafia, L.A. Primary cutaneous centrofollicular lymphoma with a good response to radiotherapy. An. Bras. Dermatol. 2013, 88 (Suppl. S1), 136–138. [Google Scholar] [CrossRef]
- Khashoggi, M.; Samimi, M.; de Muret, A.; Machet, L. Complete and rapid regression of primary cutaneous follicular lymphoma with repeated oral administration of acitretin for palmoplantar psoriasis. J. Am. Acad. Dermatol. 2013, 69, e176–e177. [Google Scholar] [CrossRef]
- Mundi, J.P.; Leger, M.; Terushkin, V.; Fischer, M.; Patel, R.; Meehan, S.; Latkowski, J.-A. Diffuse large B-cell lymphoma. Dermatol. Online J. 2012, 18, 25. [Google Scholar] [CrossRef] [PubMed]
- Ingen-Housz-Oro, S.; Jones, M.; Ortonne, N.; Haioun, C.; Chosidow, O. Extensive telangiectases of the scalp: Atypical presentation of primary cutaneous follicle centre lymphoma. Br. J. Haematol. 2012, 158, 297. [Google Scholar] [CrossRef] [PubMed]
- Čolović, M.; Vidovic, A.; Čolović, N.; Peruničić-Jovanović, M.; Tomin, D. Primary cutaneous large B-cell non-Hodgkin lymphoma in first-degree relatives. Biomed. Pharmacother. 2012, 66, 425–427. [Google Scholar] [CrossRef] [PubMed]
- Kluk, J.; Charles-Holmes, R.; Carr, R.A. Primary cutaneous follicle centre cell lymphoma of the scalp presenting with scarring alopecia. Br. J. Dermatol. 2011, 165, 205–207. [Google Scholar] [CrossRef]
- Kavala, M.; Zindanci, I.; Sudogan, S.; Can, B.; Turkoglu, Z.; Kocaturk, E.; Koc, M.; Buyukbabani, N. Primary cutaneous follicle center lymphoma responsive to interferon alfa-2a. Indian J. Dermatol. Venereol. Leprol. 2011, 77, 729. [Google Scholar] [CrossRef]
- Kanner, W.A.; White, K.P.; Barry, C.I.; Lee, A.J.; Cousar, J.B.; Wick, M.R.; Patterson, J.W. Cutaneous T-cell lymphoma occurring with a melanocytic proliferation, masquerading as a nonhealing ulcer with reactive changes. J. Cutan. Pathol. 2011, 38, 67–72. [Google Scholar] [CrossRef]
- Shon, W.; Vitkovski, T.; Cappel, M.A. Primary cutaneous precursor B-cell lymphoblastic lymphoma in an elderly patient. J. Dermatol. 2011, 38, 206–208. [Google Scholar] [CrossRef]
- Gulia, A.; Saggini, A.; Wiesner, T.; Fink-Puches, R.; Argenyi, Z.; Ferrara, G.; Müller, C.S.; Vale, E.; Cerroni, L. Clinicopathologic features of early lesions of primary cutaneous follicle center lymphoma, diffuse type: Implications for early diagnosis and treatment. J. Am. Acad. Dermatol. 2011, 65, 991–1000. [Google Scholar] [CrossRef]
- Massone, C.; Fink-Puches, R.; Laimer, M.; Rütten, A.; Vale, E.; Cerroni, L. Miliary and agminated-type primary cutaneous follicle center lymphoma: Report of 18 cases. J. Am. Acad. Dermatol. 2011, 65, 749–755. [Google Scholar] [CrossRef]
- Bi, M.Y.; Curry, J.L.; Christiano, A.M.; Hordinsky, M.K.; Norris, D.A.; Price, V.H.; Duvic, M. The spectrum of hair loss in patients with mycosis fungoides and Sézary syndrome. J. Am. Acad. Dermatol. 2011, 64, 53–63. [Google Scholar] [CrossRef]
- Fierro, M.T.; Marenco, F.; Novelli, M.; Fava, P.; Quaglino, P.; Bernengo, M.G. Long-term evolution of an untreated primary cutaneous follicle center lymphoma of the scalp. Am. J. Dermatopathol. 2010, 32, 91–94. [Google Scholar] [CrossRef] [PubMed]
- Khalifeh, I.; Hughey, L.C.; Huang, C.C.; Reddy, V.V.; Sellheyer, K. Solitary plaque on the scalp as a primary manifestation of Hodgkin lymphoma: A case report and review of the literature. J. Cutan. Pathol. 2009, 36 (Suppl. S1), 80–85. [Google Scholar] [CrossRef]
- Colovic, N.; Jurisic, V.; Terzic, T.; Atkinson, H.D.; Colovic, M. Immunochemotherapy for Bcl-2 and MUM-negative aggressive primary cutaneous B-cell non-Hodgkin’s lymphoma. Arch. Dermatol. Res. 2009, 301, 689–692. [Google Scholar] [CrossRef]
- Vaid, R.; Cohen, B. Primary cutaneous CD30 positive anaplastic large cell lymphoma in an adolescent. Pediatr. Dermatol. 2009, 26, 721–724. [Google Scholar] [CrossRef]
- Samant, R.S.; Fox, G.W.; Gerig, L.H.; Montgomery, L.A.; Allan, D.S. Total scalp radiation using image-guided IMRT for progressive cutaneous T cell lymphoma. Br. J. Radiol. 2009, 82, e122–e125. [Google Scholar] [CrossRef]
- Cannizzo, E.; Sohani, A.R.; Ferry, J.A.; Hochberg, E.P.; Kluk, M.J.; Dorn, M.E.; Sadowski, C.; Bucci, J.J.; Ackerman, A.M.; Longtine, J.A.; et al. Carcinoma and multiple lymphomas in one patient: Establishing the diagnoses and analyzing risk factors. J. Hematop. 2009, 2, 163–170. [Google Scholar] [CrossRef]
- Doukaki, S.; Aricò, M.; Bongiorno, M.R. A Rare Presentation of Mycosis Fungoides Mimicking Psoriasis Vulgaris. Case Rep. Dermatol. 2009, 1, 60–65. [Google Scholar] [CrossRef]
- Shafer, D.; Wu, H.; Al-Saleem, T.; Reddy, K.; Borghaei, H.; Lessin, S.; Smith, M. Cutaneous precursor B-cell lymphoblastic lymphoma in 2 adult patients: Clinicopathologic and molecular cytogenetic studies with a review of the literature. Arch. Dermatol. 2008, 144, 1155–1162. [Google Scholar] [CrossRef]
- Condarco, T.; Sagatys, E.; Prakash, A.V.; Rezania, D.; Cualing, H. Primary cutaneous B-cell lymphoma in a child. Fetal Pediatr. Pathol. 2008, 27, 206–214. [Google Scholar] [CrossRef]
- Richmond, H.M.; Lozano, A.; Jones, D.; Duvic, M. Primary cutaneous follicle center lymphoma associated with alopecia areata. Clin. Lymphoma Myeloma Leuk. 2008, 8, 121–124. [Google Scholar] [CrossRef]
- Venizelos, I.D.; Tatsiou, Z.A.; Mandala, E. Primary cutaneous T-cell-rich B-cell lymphoma: A case report and literature review. Acta Dermatovenerol Alp Panon. Adriat 2008, 17, 177–181. [Google Scholar]
- Gahongayire, F. Mycosis fungoides and Sezary syndrome against a human immunodeficiency virus-positive background: Case report. Int. J. Dermatol. 2007, 46 (Suppl. S1), 32–35. [Google Scholar] [CrossRef] [PubMed]
- Moore, M.M.; Kovich, O.I.; Brown, L.H. Primary cutaneous B-cell lymphoma (low-grade, non large cell). Dermatol. Online J. 2007, 13, 8. [Google Scholar] [CrossRef]
- Ries, S.; Barr, R.; LeBoit, P.; McCalmont, T.; Waldman, J. Cutaneous sarcomatoid B-cell lymphoma. Am. J. Dermatopathol. 2007, 29, 96–98. [Google Scholar] [CrossRef]
- Hunzeker, C.M.; Fangman, W.; Latkowski, J.A. Folliculotropic mycosis fungoides. Dermatol. Online J. 2007, 13, 5. [Google Scholar] [CrossRef]
- Boudova, L.; Kazakov, D.V.; Jindra, P.; Sima, R.; Vanecek, T.; Kuntscher, V.; Vera, V.; Bouda, J.; Michal, M. Primary cutaneous histiocyte and neutrophil-rich CD30+ and CD56+ anaplastic large-cell lymphoma with prominent angioinvasion and nerve involvement in the forehead and scalp of an immunocompetent woman. J. Cutan. Pathol. 2006, 33, 584–589. [Google Scholar] [CrossRef]
- Umegaki, N.; Moritsugu, R.; Katoh, S.; Harada, K.; Nakano, H.; Tamai, K.; Hanada, K.; Tanaka, M. Photodynamic therapy may be useful in debulking cutaneous lymphoma prior to radiotherapy. Clin. Exp. Dermatol. 2004, 29, 42–45. [Google Scholar] [CrossRef]
- Pimpinelli, N.; Santucci, M.; Giannotti, B. Cutaneous B-cell lymphomas: Facts and open issues. J. Eur. Acad. Dermatol. Venereol. 2004, 18, 126–128. [Google Scholar] [CrossRef]
- Kim, H.K.; Jin, S.Y.; Lee, N.S.; Won, J.H.; Park, H.S.; Yang, W.I. Posttransplant primary cutaneous Ki-1 (CD30)+/CD56+ anaplastic large cell lymphoma. Arch. Pathol. Lab. Med. 2004, 128, e96–e99. [Google Scholar] [CrossRef]
- Hsiao, C.H.; Su, I.J. Primary cutaneous pre-B lymphoblastic lymphoma immunohistologically mimics Ewing’s sarcoma/primitive neuroectodermal tumor. J. Formos. Med. Assoc. 2003, 102, 193–197. [Google Scholar]
- Kantarci, M.; Erdem, T.; Alper, F.; Gundogdu, C.; Okur, A.; Aktas, A. Imaging characteristics of diffuse primary cutaneous B-cell lymphoma of the cranial vault with orbital and brain invasion. Am. J. Neuroradiol. 2003, 24, 1324–1326. [Google Scholar] [PubMed]
- Imai, Y.; Isoda, K.; Ito, E.; Hakamada, A.; Yamanishi, K.; Mizutani, H. Primary cutaneous follicle center cell lymphoma of the scalp successfully treated with anti CD20 monoclonal antibody and CHOP combination therapy with no subsequent permanent loss of hair. J. Dermatol. 2003, 30, 683–688. [Google Scholar] [CrossRef] [PubMed]
- Hanson, M.; Hill, A.; Duvic, M. Bexarotene reverses alopecia in cutaneous T-cell lymphoma. Br. J. Dermatol. 2003, 149, 193–196. [Google Scholar] [CrossRef] [PubMed]
- Kazakov, D.V.; Burg, G.; Dummer, R.; Palmedo, G.; Müller, B.; Kempf, W. Primary subcutaneous follicular centre cell lymphoma with involvement of the galea: A case report and short review of the literature. Br. J. Dermatol. 2002, 146, 663–666. [Google Scholar] [CrossRef]
- Trent, J.T.; Romanelli, P.; Kerdel, F.A. Topical targretin and intralesional interferon alfa for cutaneous lymphoma of the scalp. Arch. Dermatol. 2002, 138, 1421–1423. [Google Scholar] [CrossRef]
- Herrera, E.; Gallardo, M.; Bosch, R.; Cabra, B.; Aneri, V.; Sánchez, P. Primary cutaneous CD30 (Ki-1)-positive non-anaplastic B-cell lymphoma. J. Cutan. Pathol. 2002, 29, 181–184. [Google Scholar] [CrossRef]
- Török, L.; Gurbity, T.P.; Kirschner, A.; Krenács, L. Panniculitis-like T-cell lymphoma clinically manifested as alopecia. Br. J. Dermatol. 2002, 147, 785–788. [Google Scholar] [CrossRef]
- Kahwash, S.B.; Qualman, S.J. Cutaneous lymphoblastic lymphoma in children: Report of six cases with precursor B-cell lineage. Pediatr. Dev Pathol. 2002, 5, 45–53. [Google Scholar] [CrossRef]
- de Leval, L.; Harris, N.L.; Longtine, J.; Ferry, J.A.; Duncan, L.M. Cutaneous b-cell lymphomas of follicular and marginal zone types: Use of Bcl-6, CD10, Bcl-2, and CD21 in differential diagnosis and classification. Am. J. Surg Pathol. 2001, 25, 732–741. [Google Scholar] [CrossRef]
- Goodlad, J.R. Spindle-cell B-cell lymphoma presenting in the skin. Br. J. Dermatol. 2001, 145, 313–317. [Google Scholar] [CrossRef]
- Baba, M.; Uzun, S.; Acar, M.A.; Gümürdülü, D.; Memisoglu, H.R. ‘Tin-tack’ sign in a patient with cutaneous B-cell lymphoma. J. Eur. Acad. Dermatol. Venereol. 2001, 15, 360–361. [Google Scholar] [CrossRef] [PubMed]
- Heinzerling, L.; Dummer, R.; Kempf, W.; Schmid, M.H.; Burg, G. Intralesional therapy with anti-CD20 monoclonal antibody rituximab in primary cutaneous B-cell lymphoma. Arch. Dermatol. 2000, 136, 374–378. [Google Scholar] [CrossRef] [PubMed]
- Lin, P.; Jones, D.; Dorfman, D.M.; Medeiros, L.J. Precursor B-cell lymphoblastic lymphoma: A predominantly extranodal tumor with low propensity for leukemic involvement. Am. J. Surg. Pathol. 2000, 24, 1480–1490. [Google Scholar] [CrossRef] [PubMed]
- Hess Schmid, M.; Dummer, R.; Kempf, W.; Hilty, N.; Burg, G. Mycosis fungoides with mucinosis follicularis in childhood. Dermatology 1999, 198, 284–287. [Google Scholar] [CrossRef]
- Dunphy, C.H.; Nahass, G.T. Primary cutaneous T-cell-rich B-cell lymphomas with flow cytometric immunophenotypic findings. Report of 3 cases and review of the literature. Arch. Pathol. Lab. Med. 1999, 123, 1236–1240. [Google Scholar] [CrossRef]
- Chimenti, S.; Fink-Puches, R.; Peris, K.; Pescarmona, E.; Pütz, B.; Kerl, H.; Cerroni, L. Cutaneous involvement in lymphoblastic lymphoma. J. Cutan. Pathol. 1999, 26, 379–385. [Google Scholar] [CrossRef]
- Cather, J.C.; Jackow, C.; Yegge, J.; Hagemeister, F.; Duvic, M. Mycosis fungoides with focal segmental glomerular sclerosis and nephrotic syndrome. J. Am. Acad. Dermatol. 1998, 38 Pt 2, 301–305. [Google Scholar] [CrossRef]
- Kempf, W.; Dummer, R.; Schmid, M.H.; Fritz, T.; Wüthrich, B.; Burg, G. Intralesional cisplatin for the treatment of cutaneous B-cell lymphoma. Arch. Dermatol. 1998, 134, 1343–1345. [Google Scholar] [CrossRef]
- Wollina, U. Partial regrowth of scalp hair in a patient treated with extracorporeal photochemotherapy and interferon alpha 2a. J. Eur. Acad. Dermatol. Venereol. 1998, 11, 261–262. [Google Scholar] [CrossRef]
- Rankin, B.S.; Millay, D.J.; Lunde, J.H. Pathologic quiz case 1. Cutaneous T-cell lymphoma (CTCL) of the scalp, CD30+ variant. Arch. Otolaryngol. Head Neck Surg. 1998, 124, 218–221. [Google Scholar] [CrossRef]
- Uchiyama, N.; Ito, K.; Kawai, K.; Sakamoto, F.; Takaki, M.; Ito, M. CD2−, CD4+, CD56+ agranular natural killer cell lymphoma of the skin. Am. J. Dermatopathol. 1998, 20, 513–517. [Google Scholar] [CrossRef] [PubMed]
- Gilliam, A.C.; Lessin, S.R.; Wilson, D.M.; Salhany, K.E. Folliculotropic mycosis fungoides with large-cell transformation presenting as dissecting cellulitis of the scalp. J. Cutan. Pathol. 1997, 24, 169–175. [Google Scholar] [CrossRef] [PubMed]
- Kossard, S.; White, A.; Killingsworth, M. Basaloid folliculolymphoid hyperplasia with alopecia as an expression of mycosis fungoides (CTCL). J. Cutan. Pathol. 1995, 22, 466–471. [Google Scholar] [CrossRef] [PubMed]
- Miyazawa, M.; Takahashi, S.; Kawaguchi, H.; Nagatani, T.; Higuchi, M.; Matsuzaki, T.; Iemoto, G.; Kim, S.; Baba, N.; Miyamoto, H.; et al. Low expression of adhesion molecules in a case of cutaneous T-cell lymphoma. J. Dermatol. 1995, 22, 659–664. [Google Scholar] [CrossRef]
- Broker, B.J.; Spiegel, J.R.; Frattali, M.; O’Reilly, R.; Miller, R.; Sataloff, R.T.; Rose, L. Cutaneous T-cell lymphoma presenting as a large scalp mass. Otolaryngol. Head Neck Surg. 1995, 113, 792–797. [Google Scholar] [CrossRef]
- Nagatani, T.; Miyazawa, M.; Matsuzaki, T.; Hayakawa, H.; Iemoto, G.; Kim, S.T.; Ichiyama, S.; Naito, S.; Baba, N.; Sugiyama, A.; et al. Cutaneous B-cell lymphoma consisting of large cleaved cells with multilobated nuclei. Int. J. Dermatol. 1993, 32, 737–739. [Google Scholar] [CrossRef]
- Vaillant, L.; De Muret, A.; Monegier Du Sorbier, C.; Muller, C.; Lorette, G. A primary cutaneous multi-lobed B-cell lymphoma. Clin. Exp. Dermatol. 1992, 17, 270–272. [Google Scholar] [CrossRef]
- Sutter, C.D.; Davis, B.R. Ulcerated papules, plaques, and nodules of the scalp and face. Cutaneous Hodgkin’s disease. Arch. Dermatol. 1991, 127, 405, 408. [Google Scholar] [CrossRef]
- Sander, C.A.; Medeiros, L.J.; Abruzzo, L.V.; Horak, I.D.; Jaffe, E.S. Lymphoblastic lymphoma presenting in cutaneous sites. A clinicopathologic analysis of six cases. J. Am. Acad. Dermatol. 1991, 25 Pt 1, 1023–1031. [Google Scholar] [CrossRef]
- Burns, M.K.; Kennard, C.D.; Dubin, H.V. Nodular cutaneous B-cell lymphoma of the scalp in the acquired immunodeficiency syndrome. J. Am. Acad. Dermatol. 1991, 25 Pt 2, 933–936. [Google Scholar] [CrossRef]
- Goldstein, J.; Becker, N.; DelRowe, J.; Davis, L. Cutaneous T-cell lymphoma in a patient infected with human immunodeficiency virus type 1. Use of radiation therapy. Cancer 1990, 66, 1130–1132. [Google Scholar] [CrossRef] [PubMed]
- Vaillant, L.; Lorette, G.; du Sorbier, C.M. Primary cutaneous lymphoblastic lymphoma of non-B, non-T phenotype. Arch. Dermatol. 1990, 126, 400–402. [Google Scholar] [CrossRef] [PubMed]
- Dabski, K.; Banks, P.M.; Winkelmann, R.K. Clinicopathologic spectrum of cutaneous manifestations in systemic follicular lymphoma. A study of 11 patients. Cancer 1989, 64, 1480–1485. [Google Scholar] [CrossRef] [PubMed]
- Willemze, R.; Meijer, C.J.L.M.; Sentis, H.J.; Scheffer, E.; A van Vloten, W.; Toonstra, J.; van der Putte, S.C.J. Primary cutaneous large cell lymphomas of follicular center cell origin. A clinical follow-up study of nineteen patients. J. Am. Acad. Dermatol. 1987, 16 Pt 1, 518–526. [Google Scholar] [CrossRef]
- Garcia, C.F.; Weiss, L.M.; Warnke, R.A.; Wood, G.S. Cutaneous follicular lymphoma. Am. J. Surg. Pathol. 1986, 10, 454–463. [Google Scholar] [CrossRef]
- Jones, N.F.; Elliot, D.; Subbuswamy, S.G. Cutaneous lymphomas of the face and scalp. Br. J. Plast. Surg. 1984, 37, 69–72. [Google Scholar] [CrossRef]
- Link, M.P.; Roper, M.; Dorfman, R.F.; Crist, W.M.; Cooper, M.D.; Levy, R. Cutaneous lymphoblastic lymphoma with pre-B markers. Blood 1983, 61, 838–841. [Google Scholar] [CrossRef]
- Alteras, I.; David, M.; Feuerman, E.J.; Morojonski, G. Widespread cutaneous candidiasis and tinea infection masking mycosis fungoides. Mycopathologia 1982, 80, 83–88. [Google Scholar] [CrossRef]
- Cohen, C. Multiple cutaneous carcinomas and lymphomas of the skin. Arch. Dermatol. 1980, 116, 687–689. [Google Scholar] [CrossRef]
- Leong, A.S.; Cowled, P.A.; Zalewski, P.D.; Burry, J.N.; Meredith, D.J.; Forbes, I.J. Erythroderma, an unusual manifestation of B cell lymphoma. Br. J. Dermatol. 1978, 99, 99–106. [Google Scholar] [CrossRef]
- Zinzani, P.L.; Quaglino, P.; Pimpinelli, N.; Berti, E.; Baliva, G.; Rupoli, S.; Martelli, M.; Alaibac, M.; Borroni, G.; Chimenti, S.; et al. Prognostic factors in primary cutaneous B-cell lymphoma: The Italian Study Group for Cutaneous Lymphomas. J. Clin. Oncol. 2006, 24, 1376–1382. [Google Scholar] [CrossRef] [PubMed]
- Senff, N.J.; Hoefnagel, J.J.; Jansen, P.M.; Vermeer, M.H.; van Baarlen, J.; Blokx, W.A.; Dijk, M.R.C.-V.; Geerts, M.-L.; Hebeda, K.M.; Kluin, P.M.; et al. Reclassification of 300 primary cutaneous B-Cell lymphomas according to the new WHO-EORTC classification for cutaneous lymphomas: Comparison with previous classifications and identification of prognostic markers. J. Clin. Oncol. 2007, 25, 1581–1587. [Google Scholar] [CrossRef]
- Senff, N.J.; Noordijk, E.M.; Kim, Y.H.; Bagot, M.; Berti, E.; Cerroni, L.; Dummer, R.; Duvic, M.; Hoppe, R.T.; Pimpinelli, N.; et al. European Organization for Research and Treatment of Cancer and International Society for Cutaneous Lymphoma consensus recommendations for the management of cutaneous B-cell lymphomas. Blood 2008, 112, 1600–1609. [Google Scholar] [CrossRef] [PubMed]
- Hamilton, S.N.; Wai, E.S.; Tan, K.; Alexander, C.; Gascoyne, R.D.; Connors, J.M. Treatment and outcomes in patients with primary cutaneous B-cell lymphoma: The BC Cancer Agency experience. Int. J. Radiat. Oncol. Biol. Phys. 2013, 87, 719–725. [Google Scholar] [CrossRef] [PubMed]
- Gerami, P.; Rosen, S.; Kuzel, T.; Boone, S.L.; Guitart, J. Folliculotropic mycosis fungoides: An aggressive variant of cutaneous T-cell lymphoma. Arch. Dermatol. 2008, 144, 738–746. [Google Scholar] [CrossRef]
- van Doorn, R.; Scheffer, E.; Willemze, R. Follicular mycosis fungoides, a distinct disease entity with or without associated follicular mucinosis: A clinicopathologic and follow-up study of 51 patients. Arch. Dermatol. 2002, 138, 191–198. [Google Scholar] [CrossRef]
- Marschalkó, M.; Erős, N.; Kontár, O.; Hidvégi, B.; Telek, J.; Hársing, J.; Jókai, H.; Bottlik, G.; Rajnai, H.; Szepesi, Á.; et al. Folliculotropic mycosis fungoides: Clinicopathological analysis of 17 patients. J. Eur. Acad. Dermatol. Venereol. 2015, 29, 964–972. [Google Scholar] [CrossRef]
- Errichetti, E.; Chiacchio, R.; Piccirillo, A. Folliculotropic mycosis fungoides presenting as non-inflammatory scarring scalp alopecia associated with comedo-like lesions. Int. J. Dermatol. 2016, 55, e40–e41. [Google Scholar] [CrossRef]
- Nasimi, M.; Ehsani, A.H.; Azizpour, A.; Noormohammadpoor, P.; Seirafi, H.; Farnaghi, F.; Kamyab-Hesari, K.; Sharifi, M. Folliculotropic Mycosis Fungoides: Clinical and Histologic Features in Five Patients. Indian J. Dermatol. 2016, 61, 554–558. [Google Scholar] [CrossRef]
- Hodak, E.; Amitay-Laish, I.; Atzmony, L.; Prag-Naveh, H.; Yanichkin, N.; Barzilai, A.; Kershenovich, R.; Feinmesser, M. New insights into folliculotropic mycosis fungoides (FMF): A single-center experience. J. Am. Acad. Dermatol. 2016, 75, 347–355. [Google Scholar] [CrossRef]
- Wieser, I.; Wang, C.; Alberti-Violetti, S.; Lyons, G.; Tran, C.; Talpur, R.; Duvic, M. Clinical characteristics, risk factors and long-term outcome of 114 patients with folliculotropic mycosis fungoides. Arch. Dermatol. Res. 2017, 309, 453–459. [Google Scholar] [CrossRef] [PubMed]
- Deonizio, J.M.; Ascef, R.D.; Sanches, J.A. Folliculotropic mycosis fungoides: Clinical and epidemiological evaluation in a single center in Brazil. Int. J. Dermatol. 2016, 55, e256–e261. [Google Scholar] [CrossRef] [PubMed]
- Whittaker, S. Molecular genetics of cutaneous lymphomas. Ann. N. Y. Acad. Sci. 2001, 941, 39–45. [Google Scholar] [CrossRef] [PubMed]
- Zhang, X.R.; Chien, P.N.; Nam, S.Y.; Heo, C.Y. Anaplastic Large Cell Lymphoma: Molecular Pathogenesis and Treatment. Cancers 2022, 14, 1650. [Google Scholar] [CrossRef]
- Lindahl, L.M.; Willerslev-Olsen, A.; Gjerdrum, L.M.R.; Nielsen, P.R.; Blümel, E.; Rittig, A.H.; Celis, P.; Herpers, B.; Becker, J.C.; Stausbøl-Grøn, B.; et al. Antibiotics inhibit tumor and disease activity in cutaneous T-cell lymphoma. Blood 2019, 134, 1072–1083. [Google Scholar] [CrossRef]
- Wilson, L.D.; Licata, A.L.; Braverman, I.M.; Edelson, R.L.; Heald, P.W.; Feldman, A.M.; Kacinski, B.M. Systemic chemotherapy and extracorporeal photochemotherapy for T3 and T4 cutaneous T-cell lymphoma patients who have achieved a complete response to total skin electron beam therapy. Int. J. Radiat. Oncol. Phys. 1995, 32, 987–995. [Google Scholar] [CrossRef]
- Long, J.C.; Mihm, M.C.; Qazi, R. Malignant lymphoma of the skin: A clinicopathologic study of lymphoma other than mycosis fungoides. Cancer 1976, 38, 1282–1296. [Google Scholar] [CrossRef]
- Burke, J.S.; Hoppe, R.T.; Cibull, M.L.; Dorfman, R.F. Cutaneous malignant lymphoma: A pathologic study of 50 cases with clinical analysis of 37. Cancer 1981, 47, 300–310. [Google Scholar] [CrossRef]
- Incel Uysal, P.; Bozdogan, O.; Atilan, A.; Yalcin, B. Juvenile-Onset Early-Stage Mycosis Fungoides-Associated Follicular Mucinosis: A Case Report. Am. J. Dermatopathol. 2018, 40, e112–e114. [Google Scholar] [CrossRef]
- Jackson, A.J.; Price, V.H. How to diagnose hair loss. Dermatol. Clin. 2013, 31, 21–28. [Google Scholar] [CrossRef]
- Farabi, B.; Seminario-Vidal, L.; Jamgochian, M.; Akay, B.N.; Atak, M.F.; Rao, B.K.; Karagaiah, P.; Grabbe, S.; Goldust, M. Updated review on prognostic factors in mycosis fungoides and new skin lymphoma trials. J. Cosmet. Dermatol. 2022, 21, 2742–2748. [Google Scholar] [CrossRef] [PubMed]
- McDonald, K.A.; Shelley, A.J.; Colantonio, S.; Beecker, J. Hair pull test: Evidence-based update and revision of guidelines. J. Am. Acad. Dermatol. 2017, 76, 472–477. [Google Scholar] [CrossRef] [PubMed]
- Flerova, E.; Alpdogan, O.; Bhatti, S.; Nikbakht, N.; Wang, Z.X.; Gong, J.Z. Anaplastic Large Cell Transformation of Mycosis Fungoides: Case Report and Review of the Literature. Am. J. Dermatopathol. 2023, 45, e74–e82. [Google Scholar] [CrossRef] [PubMed]
- Lee, J.H.; Jo, U.H.; Kim, T.M.; Suh, D.H. Primary Cutaneous Marginal Zone Lymphoma following Repeated Inflammation Caused by Hair Dyeing. Case Rep. Dermatol. 2023, 15, 152–155. [Google Scholar] [CrossRef]
- Aldayhum, M.S.; Alshahrani, M.S.; Hussein, M.R.A.; Alshahrani, A.S.; Hussein, T.M.R. Folliculotropic mycosis fungoides associated with follicular mucinosis: A case report and mini review. Clin. Case Rep. 2024, 12, e8731. [Google Scholar] [CrossRef]
- Chaudhry, N.; Qureshi, A.; Gollamudi, S.; Kasbawala, K.; Clopton, B.J.; Moore, C.; Genato, R.; Xiao, P.; Asarian, A. An unusual case of B-cell lymphoma of the scalp. J. Surg. Case Rep. 2023, 2023, rjad639. [Google Scholar] [CrossRef]
- Kim, T.; Jung, G.; Buckner-Wolfson, E.; Fatemi, R.; Liriano, G.; Tal, A.; Wang, Y.; Tepper, O.; Kobets, A. Case Report: Treatment of the rare B-cell lymphoblastic lymphoma with scalp lesion using rotation flap. Front. Oncol. 2023, 13, 1252512. [Google Scholar] [CrossRef]
- Feng, X.; Xie, Y.; Li, F.; Wang, L. Follicular mycosis fungoides: Clinicohistopathologic features and outcomes in a series of 12 Chinese cases. Indian J Dermatol Venereol Leprol. 2023, 90, 68–77. [Google Scholar] [CrossRef]
- Kudva, R.; Khan, S. Benign scalp lesion: An unusual presentation of B cell- lymphoblastic lymphoma—A case report. J Oral Maxillofac Pathol. 2023, 27 (Suppl. S1), S24–S27. [Google Scholar] [CrossRef]
- Vincek, V.; Vause, A.; Harrison, A.; Krutchik, M.; Miller, R.; Motaparthi, K. A case report of granulomatous lymphomatoid papulosis. Dermatol. Online J. 2023, 29, 1–4. [Google Scholar] [CrossRef]
- Behera, B.; Palit, A.; Nayak, A.K.; Panigrahi, A.; Mishra, P.; Sethy, M. Clinico-Dermoscopic-Pathological Features of a Rare Case of Locally Invasive Multifocal Primary Cutaneous Diffuse Large B Cell Lymphoma-Leg Type Over the Face and Scalp. Indian J. Dermatol. 2022, 67, 283–286. [Google Scholar] [CrossRef] [PubMed]
- Montazer, F.; Motlagh, A.S.; Dastgir, R. Primary cutaneous B-Cell lymphoblastic lymphoma presenting with solitary scalp mass in a female child: A case report and review of the literature. Clin. Case Rep. 2022, 10, e6553. [Google Scholar] [CrossRef] [PubMed]
- Gallo, G.; Pileri, A.; Starace, M.; Alessandrini, A.; Guglielmo, A.; Ribero, S.; Quaglino, P.; Piraccini, B.M. Clinical and trichoscopic features in 18 cases of Folliculotropic Mycosis Fungoides with scalp involvement. Sci. Rep. 2021, 11, 10555. [Google Scholar] [CrossRef]
- Dobos, G.; de Masson, A.; Ram-Wolff, C.; Beylot-Barry, M.; Pham-Ledard, A.; Ortonne, N.; Ingen-Housz-Oro, S.; Battistella, M.; D’incan, M.; Rouanet, J.; et al. Epidemiological changes in cutaneous lymphomas: An analysis of 8593 patients from the French Cutaneous Lymphoma Registry. Br. J. Dermatol. 2021, 184, 1059–1067. [Google Scholar] [CrossRef]
- Molloy, K.; Jonak, C.; Sherida, F.J.; Woei-A-Jin, H.; Guenova, E.; Busschots, A.M.; Bervoets, A.; Hauben, E.; Knobler, R.; Porkert, S.; et al. Characteristics associated with significantly worse quality of life in mycosis fungoides/Sézary syndrome from the Prospective Cutaneous Lymphoma International Prognostic Index (PROCLIPI) study. Br. J. Dermatol. 2020, 182, 770–779. [Google Scholar] [CrossRef]
- Shinohara, M.M.; Mahurin, H.M.; Tarabadkar, E.; Hippe, D.S.; Lachance, K.; Kim, E.J.; Loggers, E.T. Health-related quality of life in cutaneous T-cell lymphoma: A cross-sectional survey study. Ski. Health Dis. 2021, 1, e45. [Google Scholar] [CrossRef]
- Sławińska, M.; Sokołowska-Wojdyło, M.; Olszewska, B.; Nowicki, R.J.; Sobjanek, M.; Zalaudek, I. Dermoscopic and trichoscopic features of primary cutaneous lymphomas—Systematic review. J. Eur. Acad. Dermatol. Venereol. 2021, 35, 1470–1484. [Google Scholar] [CrossRef]
- Errichetti, E.; Geller, S.; Zalaudek, I.; Longo, C.; Kyrgidis, A.; Akay, B.N.; Piccolo, V.; Myskowski, P.; Vitiello, P.; Russo, T.; et al. Dermatoscopy of nodular/plaque-type primary cutaneous T- and B-cell lymphomas: A retrospective comparative study with pseudolymphomas and tumoral/inflammatory mimickers by the International Dermoscopy Society. J. Am. Acad. Dermatol. 2022, 86, 774–781. [Google Scholar] [CrossRef]
- Garg, S.; Mishra, S.; Tondon, R.; Tripathi, K. Hodgkin’s Lymphoma Presenting as Alopecia. Int. J. Trichology 2012, 4, 169–171. [Google Scholar] [CrossRef]
- Rudnicka, L.; Kaczorowska, A.; Waśkiel-Burnat, A.; Rakowska, A.; Olszewska, M. Treatment of diseases associated with cicatricial alopecia. Dermatol. Rev./Przegląd Dermatol. 2022, 109, 32–42. [Google Scholar] [CrossRef]
- Yu, V.; Juhász, M.; Chiang, A.; Mesinkovska, N.A. Alopecia and Associated Toxic Agents: A Systematic Review. Ski. Appendage Disord. 2018, 4, 245–260. [Google Scholar] [CrossRef] [PubMed]
- Willemze, R.; Hodak, E.; Zinzani, P.L.; Specht, L.; Ladetto, M.; ESMO Guidelines Committee. Primary cutaneous lymphomas: ESMO Clinical Practice Guidelines for diagnosis, treatment and follow-up. Ann. Oncol. 2018, 29 (Suppl. S4), iv30–iv40. [Google Scholar] [CrossRef] [PubMed]
- Dippel, E.; Assaf, C.; Becker, J.C.; von Bergwelt-Baildon, M.; Bernreiter, S.; Cozzio, A.; Eich, H.T.; Elsayad, K.; Follmann, M.; Grabbe, S.; et al. S2k-Guidelines—Cutaneous lymphomas (ICD10 C82–C86): Update 2021. J. Dtsch. Dermatol. Ges. 2022, 20, 537–554. [Google Scholar] [CrossRef] [PubMed]
- van Santen, S.; van Doorn, R.; Neelis, K.J.; Daniëls, L.A.; Horváth, B.; Bruijn, M.S.; Sanders, C.; van Rossum, M.; de Haas, E.; Veraart, J.; et al. Recommendations for treatment in folliculotropic mycosis fungoides: Report of the Dutch Cutaneous Lymphoma Group. Br. J. Dermatol. 2017, 177, 223–228. [Google Scholar] [CrossRef]




| Characteristic | Number |
|---|---|
| Total number of patients—no. | 1482 |
| Patients of known gender—no. | 502 |
| Female—no. (%) | 167 (33.2) |
| Male—no. (%) | 335 (66.8) |
| Mean age at disease onset [years] | 49.1 |
| Patients with cutaneous B-cell lymphoma (CBCL) no. (% of total) | 1096 (73.9) |
| Primary cutaneous follicle center lymphoma (PCFCL)—no. (% of CBCL no.) | 711 (64.8) |
| Primary cutaneous diffuse large B-cell lymphoma (PCDLBCL)—no. (% of CBCL no.) | 245 (22.3) |
| Primary cutaneous marginal zone lymphoma (PCMZL)—no. (% of CBCL no.) | 107 (9.7) |
| Other CBCL—no. (% of CBCL no.) | 33 (3.2) |
| Patients with cutaneous T-cell lymphoma (CTCL) no. (% of total) | 384 (23.8) |
| Mycosis fungoides (MF)—no. (% of CTCL no.) | 347 (90.4) |
| Sézary Syndrome (SS)—no. (% of CTCL no.) | 10 (2.6) |
| Primary cutaneous anaplastic large cell lymphoma (PCALCL)—no. (% of CTCL no.) | 9 (2.3) |
| Lymphomatoid papulosis (LyP)—no. (% of CTCL no.) | 2 (0.5) |
| Other CTCL—no. (% of CTCL no.) | 16 (4.2) |
| Alopecia status during follow-up—no. of known cases | 426 |
| Alopecia—no. (%) | 294 (69.0) |
| No signs of alopecia—no. (%) | 132 (31.0) |
| Characteristic/Variable | CBCLs | CTCLs |
|---|---|---|
| Total number of patients no. (%) | 1096 (73.9) | 384 (25.9) |
| Patients of known gender no. | 123 | 379 |
| Female—no. (%)/Male—no. (%) | 47 (38.2)/76 (61.8) | 120 (31.7)/259 (68.3) |
| Female/Male ratio | 0.6 | 0.5 |
| Mean age at disease onset [years] | 41.4 | 54.5 |
| Alopecia status during follow-up no./total no. of known cases (%) | 54/76 (71.1) | 240/350 (68.6) |
| Alopecia in variants—variant no./total no. (%) | PCFCL, 37/47 (78.7) | MF excluding FMF, 32/48 (66.7) |
| PCDLBCL, 9/10 (90.0) | FMF, 185/274 (67.5) | |
| PCMZL, 1/3 (33.4) | SS, 7/7 (100) | |
| Other CBCL a, 7/16 (43.8) | PCALCL, 5/8 (62.5) | |
| - | LyP, 0/1 (0) | |
| - | Other CTCL a, 11/12 (91.7) |
| Characteristic | Number |
|---|---|
| Cicatricial alopecia no. (%) a | 40 (40.0) |
| Non-cicatricial alopecia no. (%) a | 60 (60.0) |
| Patched alopecia no. (%) a | 101 (87.8) |
| Diffuse alopecia no. (%) a | 14 (12.2) |
| Erythema no. (%) b | 53 (11.5) |
| Patches no. (%) b | 127 (27.7) |
| Plaques no. (%) b | 157 (34.2) |
| Papules no. (%) b | 124 (27.0) |
| Nodules no. (%) b | 109 (23.7) |
| Ulcerated tumors no. (%) b | 81 (17.6) |
| Non-ulcerated tumors no. (%) b | 82 (17.9) |
| Characteristic | CBCLs | CTCLs |
|---|---|---|
| Cicatricial alopecia no. (%) | 20 (50.0) | 20 (50.0) |
| Non-cicatricial alopecia no. (%) | 17 (28.4) | 43 (71.6) |
| Patched alopecia no. (%) | 45 (44.6) | 56 (55.4) |
| Diffuse alopecia no. (%) | 2 (14.3) | 12 (85.7) |
| Erythema no. (%) | 34 (64.2) | 19 (35.8) |
| Patches no. (%) | 8 (6.3) | 119 (93.7) |
| Plaques no. (%) | 17 (10.8) | 140 (89.2) |
| Papules no. (%) | 23 (18.5) | 101 (81.5) |
| Nodules no. (%) | 29 (26.6) | 80 (73.4) |
| Ulcerated tumors no. (%) | 11 (13.6) | 70 (86.4) |
| Non-ulcerated tumors no. (%) | 17 (20.7) | 65 (79.3) |
| Clinical Characteristic of Scalp PCL | Differential Diagnosis |
|---|---|
| Cicatricial alopecia |
|
| Non-cicatricial alopecia |
|
| Patchy alopecia |
|
| Diffuse alopecia |
|
| Diffuse desquamative lesions |
|
| Erythema/macules and patches |
|
| Plaques, papules, nodules, and tumors |
|
Disclaimer/Publisher’s Note: The statements, opinions and data contained in all publications are solely those of the individual author(s) and contributor(s) and not of MDPI and/or the editor(s). MDPI and/or the editor(s) disclaim responsibility for any injury to people or property resulting from any ideas, methods, instructions or products referred to in the content. |
© 2025 by the authors. Licensee MDPI, Basel, Switzerland. This article is an open access article distributed under the terms and conditions of the Creative Commons Attribution (CC BY) license (https://creativecommons.org/licenses/by/4.0/).
Share and Cite
Kołkowski, K.; Sławińska, M.; Zagórska, B.; Nowicki, R.J.; Jankau, J.; Sokołowska-Wojdyło, M. Scalp Involvement in Primary Cutaneous Lymphomas—An Update on Clinical Presentation, Diagnostics, and Management. Cancers 2025, 17, 1678. https://doi.org/10.3390/cancers17101678
Kołkowski K, Sławińska M, Zagórska B, Nowicki RJ, Jankau J, Sokołowska-Wojdyło M. Scalp Involvement in Primary Cutaneous Lymphomas—An Update on Clinical Presentation, Diagnostics, and Management. Cancers. 2025; 17(10):1678. https://doi.org/10.3390/cancers17101678
Chicago/Turabian StyleKołkowski, Karol, Martyna Sławińska, Beata Zagórska, Roman J. Nowicki, Jerzy Jankau, and Małgorzata Sokołowska-Wojdyło. 2025. "Scalp Involvement in Primary Cutaneous Lymphomas—An Update on Clinical Presentation, Diagnostics, and Management" Cancers 17, no. 10: 1678. https://doi.org/10.3390/cancers17101678
APA StyleKołkowski, K., Sławińska, M., Zagórska, B., Nowicki, R. J., Jankau, J., & Sokołowska-Wojdyło, M. (2025). Scalp Involvement in Primary Cutaneous Lymphomas—An Update on Clinical Presentation, Diagnostics, and Management. Cancers, 17(10), 1678. https://doi.org/10.3390/cancers17101678

