P16/Ki67 Dual Staining in Glandular Cell Abnormalities of the Uterine Cervix
Abstract
Simple Summary
Abstract
1. Introduction
2. Materials and Methods
2.1. Study Design and Patient Selection
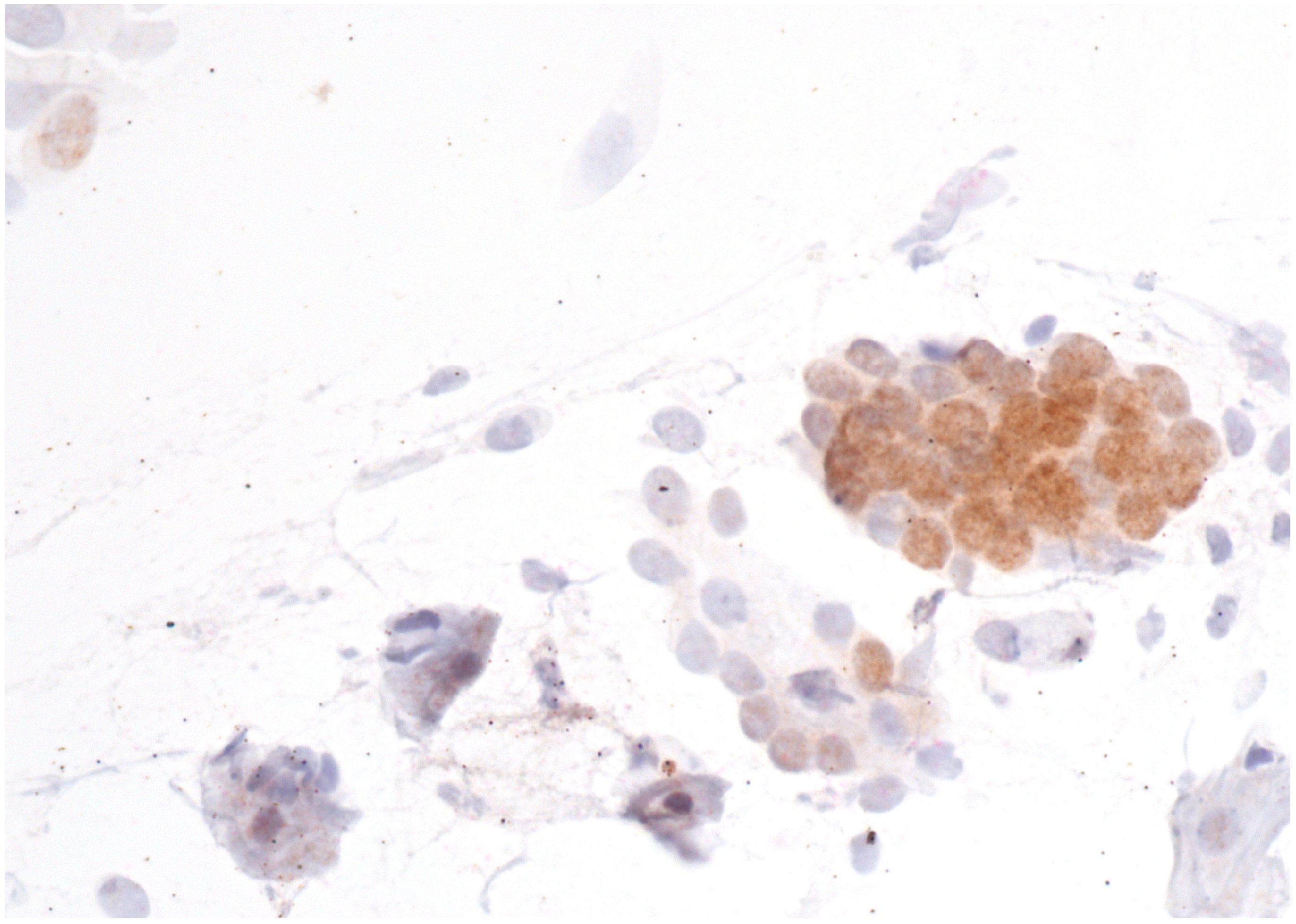
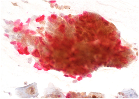
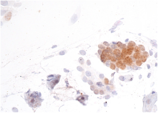
2.2. p16/Ki67 Immunostaining
2.3. Statistical Analysis
3. Results
4. Discussion
5. Conclusions
Author Contributions
Funding
Institutional Review Board Statement
Informed Consent Statement
Data Availability Statement
Conflicts of Interest
References
- Bergeron, C. Cervicovaginal Cytology: Normal and Abnormal Cells and Adequacy of Specimens. In Textbook of Gynaecological Oncology, 2nd ed.; Ayhan, A., Reed, N., Gultekin, M., Dursun, P., Eds.; European Society of Gynaecological Oncology: Prague, Czech Republic, 2016; pp. 340–351. [Google Scholar]
- Schiffman, M.; Wentzensen, N. From human papillomavirus to cervical cancer. Obstet. Gynecol. 2010, 116, 177–185. [Google Scholar] [CrossRef]
- Sen, P.; Ganguly, P.; Ganguly, N. Modulation of DNA methylation by human papillomavirus E6 and E7 oncoproteins in cervical cancer. Oncol. Lett. 2018, 15, 11–22. [Google Scholar] [CrossRef]
- Maver, P.J.; Poljak, M. Primary HPV-based cervical cancer screening in Europe: Implementation status, challenges, and future plans. Clin. Microbiol. Infect. 2020, 26, 579–583. [Google Scholar] [CrossRef] [PubMed]
- Dijkstra, M.G.; van Niekerk, D.; Rijkaart, D.C.; van Kemenade, F.J.; Heideman, D.A.; Snijders, P.J.; Meijer, C.J.; Berkhof, J. Primary hrHPV DNA testing in cervical cancer screening: How to manage screen-positive women? A POBASCAM trial substudy. Cancer Epidemiol. Biomark. Prev. 2014, 23, 55–63. [Google Scholar] [CrossRef]
- Rijkaart, D.C.; Berkhof, J.; van Kemenade, F.J.; Coupe, V.M.; Hesselink, A.T.; Rozendaal, L.; Heideman, D.A.; Verheijen, R.H.; Bulk, S.; Verweij, W.M.; et al. Evaluation of 14 triage strategies for HPV DNA-positive women in population-based cervical screening. Int. J. Cancer 2012, 130, 602–610. [Google Scholar] [CrossRef]
- Dovnik, A.; Repše Fokter, A. The Role of p16/Ki67 Dual Staining in Cervical Cancer Screening. Curr. Issues Mol. Biol. 2023, 45, 8476–8491. [Google Scholar] [CrossRef] [PubMed]
- Ikenberg, H.; Bergeron, C.; Schmidt, D.; Griesser, H.; Alameda, F.; Angeloni, C.; Bogers, J.; Dachez, R.; Denton, K.; Hariri, J.; et al. Screening for cervical cancer precursors with p16/Ki-67 dual-stained cytology: Results of the PALMS study. J. Natl. Cancer Inst. 2013, 105, 1550–1557. [Google Scholar] [CrossRef] [PubMed]
- Killeen, J.L.; Dye, T.; Grace, C.; Hiraoka, M. Improved abnormal Pap smear triage using cervical cancer biomarkers. J. Low. Genit. Tract Dis. 2014, 18, 1–7. [Google Scholar] [CrossRef]
- Bergeron, C.; Ikenberg, H.; Sideri, M.; Denton, K.; Bogers, J.; Schmidt, D.; Alameda, F.; Keller, T.; Rehm, S.; PALMS Study Group; et al. Prospective evaluation of p16/Ki-67 dual-stained cytology for managing women with abnormal Papanicolaou cytology: PALMS study results. Cancer Cytopathol. 2015, 123, 373–381. [Google Scholar] [CrossRef]
- Wentzensen, N.; Fetterman, B.; Castle, P.E.; Schiffman, M.; Wood, S.N.; Stiemerling, E.; Tokugawa, D.; Bodelon, C.; Poitras, N.; Lorey, T.; et al. p16/Ki-67 Dual Stain Cytology for Detection of Cervical Precancer in HPV-PositiveWomen. J. Natl. Cancer Inst. 2015, 107, djv257. [Google Scholar] [CrossRef]
- Vaknin, Z.; Gotlieb, W.H. Molecular basis of gynaecological cancers. What should we know? In Textbook of Gynaecological Oncology, 2nd ed.; Ayhan, A., Reed, N., Gultekin, M., Dursun, P., Eds.; European Society of Gynaecological Oncology: Prague, Czech Republic, 2016; pp. 27–37. [Google Scholar]
- Cosper, P.F.; Bradley, S.; Luo, L.; Kimple, R.J. Biology of HPV Mediated Carcinogenesis and Tumor Progression. Semin. Radiat. Oncol. 2021, 31, 265–273. [Google Scholar] [CrossRef] [PubMed]
- Olivas, A.D.; Barroeta, J.E.; Lastra, R.R. Overview of Ancillary Techniques in Cervical Cytology. Acta Cytol. 2023, 67, 119–128. [Google Scholar] [CrossRef] [PubMed]
- Schmidt, D.; Bergeron, C.; Denton, K.J.; Ridder, R.; European CINtec Cytology Study Group. p16/ki-67 dual-stain cytology in the triage of ASCUS and LSIL papanicolaou cytology: Results from the European equivocal or mildly abnormal Papanicolaou cytology study. Cancer Cytopathol. 2011, 119, 158–166. [Google Scholar] [CrossRef] [PubMed]
- Waldstrøm, M.; Christensen, R.K.; Ørnskov, D. Evaluation of p16(INK4a)/Ki-67 dual stain in comparison with an mRNA humanpapillomavirus test on liquid-based cytology samples with low-grade squamous intraepithelial lesion. Cancer Cytopathol. 2013, 121, 136–145. [Google Scholar] [CrossRef] [PubMed]
- Ryu, A.; Honma, K.; Shingetsu, A.; Tanada, S.; Yamamoto, T.; Nagata, S.; Kamiura, S.; Yamasaki, T.; Ohue, M.; Matsuura, N. Utility of p16/Ki67 double immunocytochemistry for detection of cervical adenocarcinoma. Cancer Cytopathol. 2022, 130, 983–992. [Google Scholar] [CrossRef] [PubMed]
- Yagi, A.; Ueda, Y.; Kakuda, M.; Tanaka, Y.; Ikeda, S.; Matsuzaki, S.; Kobayashi, E.; Morishima, T.; Miyashiro, I.; Fukui, K.; et al. Epidemiologic and clinical analysis of cervical cancer using data from the population-based Osaka cancer registry. Cancer Res. 2019, 79, 1252–1259. [Google Scholar] [CrossRef] [PubMed]
- van der Horst, J.; Siebers, A.G.; Bulten, J.; Massuger, L.F.; de Kok, I.M. Increasing incidence of invasive and in situ cervical adenocarcinoma in the Netherlands during 2004–2013. Cancer Med. 2017, 6, 416–423. [Google Scholar] [CrossRef] [PubMed]
- Smith, H.O.; Tiffany, M.F.; Qualls, C.R.; Key, C.R. The rising incidence of adenocarcinoma relative to squamous cell carcinoma of the uterine cervix in the United States—A 24-year population-based study. Gynecol. Oncol. 2000, 78, 97–105. [Google Scholar] [CrossRef] [PubMed]
- Liu, S.; Semenciw, R.; Mao, Y. Cervical cancer: The increasing incidence of adenocarcinoma and adenosquamous carcinoma in younger women. CMAJ 2001, 164, 1151–1152. [Google Scholar]
- Kumar, N.; Gupta, R.; Gupta, S. Glandular cell abnormalities in cervical cytology: What has changed in this decade and what has not? Eur. J. Obstet. Gynecol. Reprod. Biol. 2019, 240, 68–73. [Google Scholar] [CrossRef]
- Bray, F.; Carstensen, B.; Møller, H.; Zappa, M.; Zakelj, M.P.; Lawrence, G.; Hakama, M.; Weiderpass, E. Incidence trends of adenocarcinoma of the cervix in 13 European countries. Cancer Epidemiol. Biomark. Prev. 2005, 14, 2191–2199. [Google Scholar] [CrossRef] [PubMed]
- Giannella, L.; Di Giuseppe, J.; Delli Carpini, G.; Grelloni, C.; Fichera, M.; Sartini, G.; Caimmi, S.; Natalini, L.; Ciavattini, A. HPV-Negative Adenocarcinomas of the Uterine Cervix: From Molecular Characterization to Clinical Implications. Int. J. Mol. Sci. 2022, 23, 15022. [Google Scholar] [CrossRef] [PubMed]
- Pradhan, D.; Li, Z.; Ocque, R.; Patadji, S.; Zhao, C. Clinical significance of atypical glandular cells in Pap tests: An analysis of more than 3000 cases at a large academic women’s center. Cancer Cytopathol. 2016, 124, 589–595. [Google Scholar] [CrossRef] [PubMed]
- Boyraz, G.; Basaran, D.; Salman, M.C.; Ibrahimov, A.; Onder, S.; Akman, O.; Ozgul, N.; Yuce, K. Histological Follow-Up in Patients with Atypical Glandular Cells on Pap Smears. J. Cytol. 2017, 34, 203–207. [Google Scholar] [CrossRef]
- Kim, S.S.; Suh, D.S.; Kim, K.H.; Yoon, M.S.; Choi, K.U. Clinicopathological significance of atypical glandular cells on Pap smear. Obstet. Gynecol. Sci. 2013, 56, 76–83. [Google Scholar] [CrossRef]
- Mood, N.I.; Eftekhar, Z.; Haratian, A.; Saeedi, L.; Rahimi-Moghaddam, P.; Yarandi, F. A cytohistologic study of atypical glandular cells detected in cervical smears during cervical screening tests in Iran. Int. J. Gynecol. Cancer 2006, 16, 257–261. [Google Scholar] [CrossRef]
- Yu, L.L.; Chen, W.; Lei, X.Q.; Qin, Y.; Wu, Z.N.; Pan, Q.J.; Zhang, X.; Chang, B.F.; Zhang, S.K.; Guo, H.Q.; et al. Evaluation of p16/Ki-67 dual staining in detection of cervical precancer and cancers: A multicenter study in China. Oncotarget 2016, 7, 21181–21189. [Google Scholar] [CrossRef]
- Ravarino, A.; Nemolato, S.; Macciocu, E.; Fraschini, M.; Senes, G.; Faa, G.; Negri, G. CINtec PLUS immunocytochemistry as a tool for the cytologic diagnosis of glandular lesions of the cervix uteri. Am. J. Clin. Pathol. 2012, 138, 652–656. [Google Scholar] [CrossRef]
- Singh, M.; Mockler, D.; Akalin, A.; Burke, S.; Shroyer, A.; Shroyer, K.R. Immunocytochemical colocalization of P16(INK4a) and Ki-67 predicts CIN2/3 and AIS/adenocarcinoma. Cancer Cytopathol. 2012, 120, 26–34. [Google Scholar] [CrossRef]
- Krane, J.F.; Granter, S.R.; Trask, C.E.; Hogan, C.L.; Lee, K.R. Papanicolaou smear sensitivity for the detection of adenocarcinoma of the cervix: A study of 49 cases. Cancer 2001, 93, 8–15. [Google Scholar] [CrossRef]
- McCluggage, W.G.; Jenkins, D. p16 immunoreactivity may assist in the distinction between endometrial and endocervical adenocarcinoma. Int. J. Gynecol. Pathol. 2003, 22, 231–235. [Google Scholar] [CrossRef] [PubMed]




| Final Histology | No. of Cases (%) |
|---|---|
| Negative histology | 54 (56.3%) |
| CIN1 | 5 (5.2%) |
| CIN3 | 5 (5.2%) |
| AIS | 10 (10.4%) |
| Squamous cervical cancer | 3 (3.1%) |
| Cervical adenocarcinoma | 4 (4.2%) |
| Endometrial cancer | 13 (13.5%) |
| HGSOC | 2 (2.1%) |
| Negative/CIN1 | CIN3+ | AIS+ | EC/OC | Total | |
|---|---|---|---|---|---|
| AGC-NOS | 50 (76.9) | 6 (9.2) | 3 (4.6) | 6 (9.2) | 65 |
| AGC-FN | 8 (40.0) | 2 (10.0) | 6 (30.0) | 4 (20.0) | 20 |
| AIS | 0 | 0 | 5 (100.0) | 0 | 5 |
| A-CA | 1 (16.7) | 0 | 0 | 5 (83.3) | 6 |
| Total | 59 | 8 | 14 | 15 | 96 |
| Cervical Cytology | DS-Negative (%) | DS-Positive (%) | Total |
|---|---|---|---|
| AGC-NOS | 56 (86.2) | 9 (13.8) | 65 |
| AGC-FN | 10 (50.0) | 10 (50.0) | 20 |
| AIS | 1 (20.0) | 4 (80.0) | 5 |
| A-CA | 4 (66.7) | 2 (33.3) | 6 |
| Total | 71 (74.0) | 25 (26.0) | 96 |
| Final Histology | DS-Negative (%) | DS-Positive (%) | Total |
|---|---|---|---|
| Negative/CIN1 | 54 (91.5) | 5 (8.5) | 59 |
| CIN3+ | 3 (37.5) | 5 (62.5) | 8 |
| AIS+ | 2 (14.3) | 12 (85.7) | 14 |
| EC/OC | 12 (80.0) | 3 (20.0) | 15 |
| Total | 71 (74.0) | 25 (26.0) | 96 |
| Sensitivity | Specificity | PPV | NPV | FPR | FNR | |
|---|---|---|---|---|---|---|
| CIN3+ | ||||||
| Total | 62.5 | 78.2 | 20.8 | 95.8 | 21.8 | 37.5 |
| AGC-NOS | 66.7 | 91.5 | 44.4 | 96.4 | 8.5 | 33.3 |
| AGC-FN | 57.1 | 50.0 | 30.8 | 75.0 | 50.0 | 42.9 |
| AIS | NA | 20.0 | 0 | 100.0 | 80.0 | NA |
| A-CA | NA | 66.7 | 0 | 100.0 | 33.3 | NA |
| AIS+ | ||||||
| Total | 87.5 | 84.1 | 48.0 | 97.2 | 15.9 | 14.3 |
| AGC-NOS | 66.7 | 88.7 | 22.2 | 98.2 | 11.3 | 33.3 |
| AGC-FN | 100.0 | 71.4 | 60.0 | 100.0 | 28.6 | 0.0 |
| AIS | 80.0 | NA | 100.0 | 0.0 | NA | 20.0 |
| A-CA | NA | 66.7 | 0.0 | 100.0 | 33.3 | NA |
| EC/OC | ||||||
| Total | 20.0 | 72.8 | 12.0 | 83.0 | 27.2 | 20.0 |
| AGC-NOS | 16.7 | 86.4 | 11.1 | 91.1 | 13.6 | 83.3 |
| AGC-FN | 0.0 | 37.5 | 0.0 | 60.0 | 62.5 | 100.0 |
| AIS | NA | 20.0 | 0.0 | 100.0 | 80.0 | NA |
| A-CA | 0.0 | 100.0 | 100.0 | 25.0 | 0.0 | 100.0 |
Disclaimer/Publisher’s Note: The statements, opinions and data contained in all publications are solely those of the individual author(s) and contributor(s) and not of MDPI and/or the editor(s). MDPI and/or the editor(s) disclaim responsibility for any injury to people or property resulting from any ideas, methods, instructions or products referred to in the content. |
© 2024 by the authors. Licensee MDPI, Basel, Switzerland. This article is an open access article distributed under the terms and conditions of the Creative Commons Attribution (CC BY) license (https://creativecommons.org/licenses/by/4.0/).
Share and Cite
Jeromel, S.; Repše Fokter, A.; Dovnik, A. P16/Ki67 Dual Staining in Glandular Cell Abnormalities of the Uterine Cervix. Cancers 2024, 16, 1621. https://doi.org/10.3390/cancers16091621
Jeromel S, Repše Fokter A, Dovnik A. P16/Ki67 Dual Staining in Glandular Cell Abnormalities of the Uterine Cervix. Cancers. 2024; 16(9):1621. https://doi.org/10.3390/cancers16091621
Chicago/Turabian StyleJeromel, Saša, Alenka Repše Fokter, and Andraž Dovnik. 2024. "P16/Ki67 Dual Staining in Glandular Cell Abnormalities of the Uterine Cervix" Cancers 16, no. 9: 1621. https://doi.org/10.3390/cancers16091621
APA StyleJeromel, S., Repše Fokter, A., & Dovnik, A. (2024). P16/Ki67 Dual Staining in Glandular Cell Abnormalities of the Uterine Cervix. Cancers, 16(9), 1621. https://doi.org/10.3390/cancers16091621
