Malignant Acute Colonic Obstruction: Multidisciplinary Approach for Endoscopic Management
Abstract
Simple Summary
Abstract
1. Introduction
2. Surgeon–Endoscopist Collaboration for Indication of Endoscopic Stenting
2.1. Palliative Colonic Stenting
2.2. SEMS Role as Bridge to Surgery
3. Pre-Operative Evaluation: How the Radiologist Can Help the Endoscopist
3.1. Diagnosis of Large Bowel Obstruction
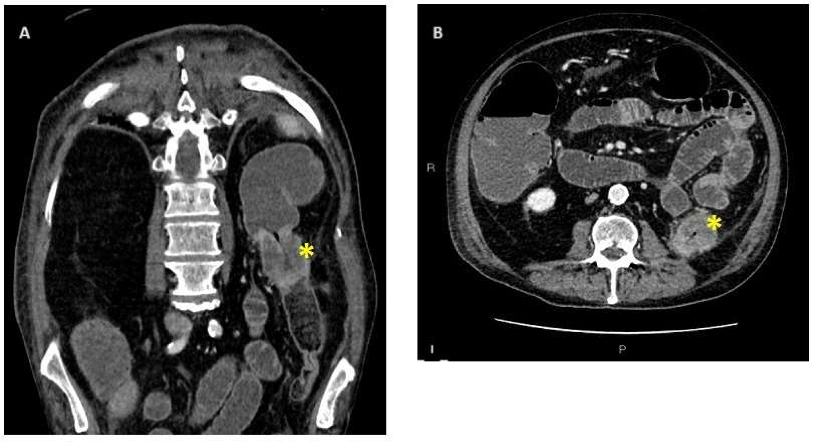
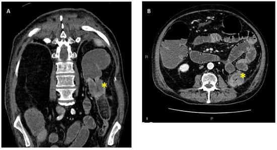
3.2. Differential Diagnosis and Characteristics of Malignant Acute Colonic Obstruction from CT Scan
4. Influence of Chemotherapy on Endoscopic Colonic Stenting: The Oncologist Point of View
4.1. Timing and Safety of Chemotherapy Initiation in Patients with Acute Colonic Malignant Obstruction
4.2. Effects of Antiangiogenic Agents following Colonic Stenting
4.3. Colonic Stenting during or after Antiangiogenic Treatment
5. Endoscopic Stenting
5.1. Preparation to Endoscopy
5.2. Technique
5.3. Procedural Adverse Events and Post Endoscopic Management
6. Conclusions
Author Contributions
Funding
Institutional Review Board Statement
Data Availability Statement
Conflicts of Interest
References
- Sung, H.; Ferlay, J.; Siegel, R.L.; Laversanne, M.; Soerjomataram, I.; Jemal, A.; Bray, F. Global Cancer Statistics 2020: GLOBOCAN Estimates of Incidence and Mortality Worldwide for 36 Cancers in 185 Countries. CA Cancer J. Clin. 2021, 71, 209–249. [Google Scholar] [CrossRef]
- Seoane Urgorri, A.; Saperas, E.; O’Callaghan Castella, E.; Pera Román, M.; Raga Gil, A.; Riu Pons, F.; Barranco Priego, L.; Dedeu Cusco, J.M.; Pantaleón Sánchez, M.; Alvarez, M.A.; et al. Colonic stent vs surgical resection of the primary tumor. Effect on survival from stage-IV obstructive colorectal cancer. Rev. Esp. Enferm. Dig. 2020, 112, 694–700. [Google Scholar] [CrossRef] [PubMed]
- Sarani, B.; Paspulati, R.M.; Hambley, J.; Efron, D.; Martinez, J.; Perez, A.; Bowles-Cintron, R.; Yi, F.; Hill, S.; Meyer, D.; et al. A multidisciplinary approach to diagnosis and management of bowel obstruction. Curr. Probl. Surg. 2018, 55, 394–438. [Google Scholar] [CrossRef]
- Davids, P.H.; Groen, A.K.; Rauws, E.A.; Tytgat, G.N.; Huibregtse, K. Randomised trial of self-expanding metal stents versus polyethylene stents for distal malignant biliary obstruction. Lancet 1992, 340, 1488–1492. [Google Scholar] [CrossRef] [PubMed]
- Ormando, V.M.; Palma, R.; Fugazza, A.; Repici, A. Colonic stents for malignant bowel obstruction: Current status and future prospects. Expert. Rev. Med. Devices 2019, 16, 1053–1061. [Google Scholar] [CrossRef]
- Botrel, T.E.A.; Clark, L.G.O.; Paladini, L.; Clark, O.A.C. Efficacy and safety of bevacizumab plus chemotherapy compared to chemotherapy alone in previously untreated advanced or metastatic colorectal cancer: A systematic review and meta-analysis. BMC Cancer 2016, 16, 677. [Google Scholar] [CrossRef]
- Baron, T.H. Technique of colonic stenting. Tech. Gastrointest. Endosc. 2014, 16, 108–111. [Google Scholar] [CrossRef]
- Trompetas, V.; Saunders, M.; Gossage, J.; Anderson, H. Shortcomings in colonic stenting to palliate large bowel obstruction from extracolonic malignancies. Int. J. Color. Dis. 2010, 25, 851–854. [Google Scholar] [CrossRef]
- Faraz, S.; Salem, S.B.; Schattner, M.; Mendelsohn, R.; Markowitz, A.; Ludwig, E.; Zheng, J.; Gerdes, H.; Shah, P.M. Predictors of clinical outcome of colonic stents in patients with malignant large-bowel obstruction because of extracolonic malignancy. Gastrointest. Endosc. 2018, 87, 1310–1317. [Google Scholar] [CrossRef] [PubMed]
- van Hooft, J.E.; Bemelman, W.A.; Oldenburg, B.; Marinelli, A.W.; Lutke Holzik, M.F.; Grubben, M.J.; Sprangers, M.A.; Dijkgraaf, M.G.; Fockens, P. Self-expandable metal stents for obstructing colonic and extracolonic cancer: European Society of Gastrointestinal Endoscopy (ESGE) Guideline—Update 2020. Endoscopy 2020, 52, 389–407. [Google Scholar] [CrossRef]
- Liang, T.W.; Sun, Y.; Wei, Y.C.; Yang, D.X. Palliative treatment of malignant colorectal obstruction caused by advanced malignancy: A self-expanding metallic stent or surgery? A system review and meta-analysis. Surg. Today 2014, 44, 22–33. [Google Scholar] [CrossRef] [PubMed]
- Ribeiro, I.B.; Bernardo, W.M.; Martins, B.D.C.; de Moura, D.T.H.; Baba, E.R.; Josino, I.R.; Miyahima, N.T.; Coronel Cordero, M.A.; Visconti, T.A.C.; Ide, E.; et al. Colonic stent versus emergency surgery as treatment of malignant colonic obstruction in the palliative setting: A systematic review and meta-analysis. Endosc. Int. Open 2018, 6, E558–E567. [Google Scholar] [PubMed]
- Takahashi, H.; Okabayashi, K.; Tsuruta, M.; Hasegawa, H.; Yahagi, M.; Kitagawa, Y. Self-Expanding Metallic Stents Versus Surgical Intervention as Palliative Therapy for Obstructive Colorectal Cancer: A Meta-analysis. World J. Surg. 2015, 39, 2037–2044. [Google Scholar] [CrossRef]
- Zhao, X.D.; Cai, B.B.; Cao, R.S.; Shi, R.H. Palliative treatment for incurable malignant colorectal obstructions: A meta-analysis. World J. Gastroenterol. 2013, 19, 5565–5574. [Google Scholar] [CrossRef]
- Abelson, J.S.; Yeo, H.L.; Mao, J.; Milsom, J.W.; Sedrakyan, A. Long-term Postprocedural Outcomes of Palliative Emergency Stenting vs Stoma in Malignant Large-Bowel Obstruction. JAMA Surg. 2017, 152, 429–435. [Google Scholar] [CrossRef] [PubMed]
- Young, C.J.; Zahid, A. Randomized controlled trial of colonic stent insertion in non-curable large bowel obstruction: A post hoc cost analysis. Color. Dis. 2018, 20, 288–295. [Google Scholar] [CrossRef] [PubMed]
- Karoui, M.; Charachon, A.; Delbaldo, C.; Loriau, J.; Laurent, A.; Sobhani, I.; Tran Van Nhieu, J.; Delchier, J.C.; Fagniez, P.L.; Piedbois, P.; et al. Stents for palliation of obstructive metastatic colon cancer: Impact on management and chemotherapy administration. Arch. Surg. 2007, 142, 619–623. [Google Scholar] [CrossRef] [PubMed]
- Young, C.J.; De-Loyde, K.J.; Young, J.M.; Solomon, M.J.; Chew, E.H.; Byrne, C.M.; Salkeld, G. and Faragher, I.G. Improving Quality of Life for People with Incurable Large-Bowel Obstruction: Randomized Control Trial of Colonic Stent Insertion. Dis. Colon. Rectum. 2015, 58, 838–849. [Google Scholar] [CrossRef]
- Park, Y.E.; Park, Y.; Park, S.J.; Cheon, J.H.; Kim, W.H.; Kim, T.I. Outcomes of stent insertion and mortality in obstructive stage IV colorectal cancer patients through 10 year duration. Surg. Endosc. 2019, 33, 1225–1234. [Google Scholar] [CrossRef]
- Park, J.J.; Rhee, K.; Yoon, J.Y.; Park, S.J.; Kim, J.H.; Youn, Y.H.; Kim, T.I.; Park, H.; Kim, W.H.; Cheon, J.H. Impact of peritoneal carcinomatosis on clinical outcomes of patients receiving self-expandable metal stents for malignant colorectal obstruction. Endoscopy 2018, 50, 1163–1174. [Google Scholar] [CrossRef]
- Ceresoli, M.; Allievi, N.; Coccolini, F.; Montori, G.; Fugazzola, P.; Pisano, M.; Sartelli, M.; Catena, F.; Ansaloni, L. Long-term oncologic outcomes of stent as a bridge to surgery versus emergency surgery in malignant left side colonic obstructions: A meta-analysis. J. Gastrointest. Oncol. 2017, 8, 867–876. [Google Scholar] [CrossRef]
- Shin, S.J.; Kim, T.I.; Kim, B.C.; Lee, Y.C.; Song, S.Y.; Kim, W.H. Clinical application of self-expandable metallic stent for treatment of colorectal obstruction caused by extrinsic invasive tumors. Dis. Colon. Rectum. 2008, 51, 578–583. [Google Scholar] [CrossRef]
- Lemoine, L.; Sugarbaker, P.; Van der Speeten, K. Pathophysiology of colorectal peritoneal carcinomatosis: Role of the peritoneum. World J. Gastroenterol. 2016, 22, 7692–7707. [Google Scholar] [CrossRef]
- Hayashi, K.; Jiang, P.; Yamauchi, K.; Yamamoto, N.; Tsuchiya, H.; Tomita, K.; Moossa, A.R.; Bouvet, M. and Hoffman, R.M. Real-time imaging of tumor-cell shedding and trafficking in lymphatic channels. Cancer Res. 2007, 67, 8223–8228. [Google Scholar] [CrossRef]
- Pisano, M.; Zorcolo, L.; Merli, C.; Cimbanassi, S.; Poiasina, E.; Ceresoli, M.; Agresta, F.; Allievi, N.; Bellanova, G.; Coccolini, F.; et al. 2017 WSES guidelines on colon and rectal cancer emergencies: Obstruction and perforation. World J. Emerg. Surg. 2018, 13, 36. [Google Scholar] [CrossRef]
- Ferrada, P.; Patel, M.B.; Poylin, V.; Bruns, B.R.; Leichtle, S.W.; Wydo, S.; Sultan, S.; Haut, E.R.; Robinson, B. Surgery or stenting for colonic obstruction: A practice management guideline from the Eastern Association for the Surgery of Trauma. J. Trauma. Acute Care Surg. 2016, 80, 659–664. [Google Scholar] [CrossRef]
- Allievi, N.; Ceresoli, M.; Fugazzola, P.; Montori, G.; Coccolini, F.; Ansaloni, L. Endoscopic Stenting as Bridge to Surgery versus Emergency Resection for Left-Sided Malignant Colorectal Obstruction: An Updated Meta-Analysis. Int. J. Surg. Oncol. 2017, 2017, 2863272. [Google Scholar] [CrossRef]
- Amelung, F.J.; Burghgraef, T.A.; Tanis, P.J.; van Hooft, J.E.; Ter Borg, F.; Siersema, P.D.; Bemelman, W.A.; Consten, E.C.J. Critical appraisal of oncological safety of stent as bridge to surgery in left-sided obstructing colon cancer: A systematic review and meta-analysis. Crit. Rev. Oncol. Hematol. 2018, 131, 66–75. [Google Scholar] [CrossRef]
- Arezzo, A.; Passera, R.; Lo Secco, G.; Verra, M.; Bonino, M.A.; Targarona, E.; Morino, M. Stent as bridge to surgery for left-sided malignant colonic obstruction reduces adverse events and stoma rate compared with emergency surgery: Results of a systematic review and meta-analysis of randomized controlled trials. Gastrointest. Endosc. 2017, 86, 416–426. [Google Scholar] [CrossRef]
- Cao, Y.; Gu, J.; Deng, S.; Li, J.; Wu, K.; Cai, K. Long-term tumour outcomes of self-expanding metal stents as ‘bridge to surgery’ for the treatment of colorectal cancer with malignant obstruction: A systematic review and meta-analysis. Int. J. Color. Dis. 2019, 34, 1827–1838. [Google Scholar] [CrossRef]
- Foo, C.C.; Poon, S.H.T.; Chiu, R.H.Y.; Lam, W.Y.; Cheung, L.C.; Law, W.L. Is bridge to surgery stenting a safe alternative to emergency surgery in malignant colonic obstruction: A meta-analysis of randomized control trials. Surg. Endosc. 2019, 33, 293–302. [Google Scholar] [CrossRef] [PubMed]
- Jain, S.R.; Yaow, C.Y.L.; Ng, C.H.; Neo, V.S.Q.; Lim, F.; Foo, F.J.; Wong, N.W.; Chong, C.S. Comparison of colonic stents, stomas and resection for obstructive left colon cancer: A meta-analysis. Tech Coloproctol. 2020, 24, 1121–1136. [Google Scholar] [CrossRef]
- Kanaka, S.; Matsuda, A.; Yamada, T.; Ohta, R.; Sonoda, H.; Shinji, S.; Takahashi, G.; Iwai, T.; Takeda, K.; Ueda, K.; et al. Colonic stent as a bridge to surgery versus emergency resection for right-sided malignant large bowel obstruction: A meta-analysis. Surg. Endosc. 2022, 36, 2760–2770. [Google Scholar] [CrossRef]
- Matsuda, A.; Miyashita, M.; Matsumoto, S.; Matsutani, T.; Sakurazawa, N.; Takahashi, G.; Kishi, T.; Uchida, E. Comparison of long-term outcomes of colonic stent as “bridge to surgery” and emergency surgery for malignant large-bowel obstruction: A meta-analysis. Ann. Surg. Oncol. 2015, 22, 497–504. [Google Scholar] [CrossRef]
- McKechnie, T.; Springer, J.E.; Cloutier, Z.; Archer, V.; Alavi, K.; Doumouras, A.; Hong, D.; Eskicioglu, C. Management of left-sided malignant colorectal obstructions with curative intent: A network meta-analysis. Surg. Endosc. 2023, 37, 4159–4178. [Google Scholar] [CrossRef]
- Cappell, M.S.; Batke, M. Mechanical obstruction of the small bowel and colon. Med. Clin. N. Am. 2008, 92, 575–597. [Google Scholar] [CrossRef]
- Nelms, D.W.; Kann, B.R. Imaging Modalities for Evaluation of Intestinal Obstruction. Clin. Colon. Rectal Surg. 2021, 34, 205–218. [Google Scholar] [CrossRef]
- Love, L. The role of the ileocecal valve in large bowel obstruction. A preliminary report. Radiology 1960, 75, 391–398. [Google Scholar] [CrossRef]
- Mallo, R.D.; Salem, L.; Lalani, T.; Flum, D.R. Computed tomography diagnosis of ischemia and complete obstruction in small bowel obstruction: A systematic review. J. Gastrointest. Surg. 2005, 9, 690–694. [Google Scholar] [CrossRef]
- Jaffe, T.; Thompson, W.M. Large-Bowel Obstruction in the Adult: Classic Radiographic and CT Findings, Etiology, and Mimics. Radiology 2015, 275, 651–663. [Google Scholar] [CrossRef]
- Shaish, H.; Ream, J.; Huang, C.; Troost, J.; Gaur, S.; Chung, R.; Kim, S.; Patel, H.; Newhouse, J.H.; Khalatbari, S.; et al. Diagnostic Accuracy of Unenhanced Computed Tomography for Evaluation of Acute Abdominal Pain in the Emergency Department. JAMA Surg. 2023, 158, e231112. [Google Scholar] [CrossRef]
- Chintapalli, K.N.; Chopra, S.; Ghiatas, A.A.; Esola, C.C.; Fields, S.F.; Dodd, G.D., 3rd. Diverticulitis versus colon cancer: Differentiation with helical CT findings. Radiology 1999, 210, 429–435. [Google Scholar] [CrossRef]
- Ramanathan, S.; Ojili, V.; Vassa, R.; Nagar, A. Large Bowel Obstruction in the Emergency Department: Imaging Spectrum of Common and Uncommon Causes. J. Clin. Imaging Sci. 2017, 7, 15. [Google Scholar] [CrossRef]
- Lueders, A.; Ong, G.; Davis, P.; Weyerbacher, J.; Saxe, J. Colonic stenting for malignant obstructions—A review of current indications and outcomes. Am. J. Surg. 2022, 224, 217–227. [Google Scholar] [CrossRef] [PubMed]
- Lee, W.S.; Baek, J.H.; Kang, J.M.; Choi, S.; Kwon, K.A. The outcome after stent placement or surgery as the initial treatment for obstructive primary tumor in patients with stage IV colon cancer. Am. J. Surg. 2012, 203, 715–719. [Google Scholar] [CrossRef]
- Cézé, N.; Charachon, A.; Locher, C.; Aparicio, T.; Mitry, E.; Barbieux, J.P.; Landi, B.; Dorval, E.; Moussata, D.; Lecomte, T. Safety and efficacy of palliative systemic chemotherapy combined with colorectal self-expandable metallic stents in advanced colorectal cancer: A multicenter study. Clin. Res. Hepatol. Gastroenterol. 2016, 40, 230–238. [Google Scholar] [CrossRef] [PubMed]
- Cennamo, V.; Fuccio, L.; Mutri, V.; Minardi, M.E.; Eusebi, L.H.; Ceroni, L.; Laterza, L.; Ansaloni, L.; Pinna, A.D.; Salfi, N.; et al. Does stent placement for advanced colon cancer increase the risk of perforation during bevacizumab-based therapy? Clin. Gastroenterol. Hepatol. 2009, 7, 1174–1176. [Google Scholar] [CrossRef] [PubMed]
- Small, A.J.; Coelho-Prabhu, N.; Baron, T.H. Endoscopic placement of self-expandable metal stents for malignant colonic obstruction: Long-term outcomes and complication factors. Gastrointest. Endosc. 2010, 71, 560–572. [Google Scholar] [CrossRef]
- Imbulgoda, A.; MacLean, A.; Heine, J.; Drolet, S.; Vickers, M.M. Colonic perforation with intraluminal stents and bevacizumab in advanced colorectal cancer: Retrospective case series and literature review. Can. J. Surg. 2015, 58, 167–171. [Google Scholar] [CrossRef]
- van Halsema, E.E.; van Hooft, J.E.; Small, A.J.; Baron, T.H.; García-Cano, J.; Cheon, J.H.; Lee, M.S.; Kwon, S.H.; Mucci-Hennekinne, S.; Fockens, P.; et al. Perforation in colorectal stenting: A meta-analysis and a search for risk factors. Gastrointest. Endosc. 2014, 79, 970–982.e7. [Google Scholar] [CrossRef]
- Lee, J.H.; Emelogu, I.; Kukreja, K.; Ali, F.S.; Nogueras-Gonzalez, G.; Lum, P.; Coronel, E.; Ross, W.; Raju, G.S.; Lynch, P.; et al. Safety and efficacy of metal stents for malignant colonic obstruction in patients treated with bevacizumab. Gastrointest. Endosc. 2019, 90, 116–124. [Google Scholar] [CrossRef]
- Fuccio, L.; Correale, L.; Arezzo, A.; Repici, A.; Manes, G.; Trovato, C.; Mangiavillano, B.; Manno, M.; Cortelezzi, C.C.; Dinelli, M.; et al. Influence of K-ras status and anti-tumour treatments on complications due to colorectal self-expandable metallic stents: A retrospective multicentre study. Dig. Liver Dis. 2014, 46, 561–567. [Google Scholar] [CrossRef]
- Pacheco-Barcia, V.; Mondéjar, R.; Martínez-Sáez, O.; Longo, F.; Moreno, J.A.; Rogado, J.; Donnay, O.; Santander, C.; Carrato, A.; Colomer, R. Safety and Oncological Outcomes of Bevacizumab Therapy in Patients with Advanced Colorectal Cancer and Self-expandable Metal Stents. Clin. Color. Cancer 2019, 18, e287–e293. [Google Scholar] [CrossRef]
- van Halsema, E.E.; van Hooft, J.E. Bevacizumab in patients treated with palliative colonic stent placement: Is it safe? Gastrointest Endosc. 2019, 90, 125–126. [Google Scholar] [CrossRef] [PubMed]
- Bong, J.W.; Lee, J.L.; Kim, C.W.; Yoon, Y.S.; Park, I.J.; Lim, S.B.; Yu, C.S.; Kim, T.W.; Kim, J.C. Risk Factors and Adequate Management for Complications of Bevacizumab Treatment Requiring Surgical Intervention in Patients with Metastatic Colorectal Cancer. Clin. Color. Cancer 2018, 17, e639–e645. [Google Scholar] [CrossRef]
- Kuwai, T.; Yamaguchi, T.; Imagawa, H.; Yoshida, S.; Isayama, H.; Matsuzawa, T.; Yamada, T.; Saito, S.; Shimada, M.; Hirata, N.; et al. Factors related to difficult self-expandable metallic stent placement for malignant colonic obstruction: A post-hoc analysis of a multicenter study across Japan. Dig. Endosc. 2019, 31, 51–58. [Google Scholar] [CrossRef]
- Bonin, E.A.; Baron, T.H. Update on the indications and use of colonic stents. Curr. Gastroenterol. Rep. 2010, 12, 374–382. [Google Scholar] [CrossRef] [PubMed]
- Ansaloni, L.; Andersson, R.E.; Bazzoli, F.; Catena, F.; Cennamo, V.; Di Saverio, S.; Fuccio, L.; Jeekel, H.; Leppäniemi, A.; Moore, E.; et al. Guidelenines in the management of obstructing cancer of the left colon: Consensus conference of the world society of emergency surgery (WSES) and peritoneum and surgery (PnS) society. World J. Emerg. Surg. 2010, 5, 29. [Google Scholar] [CrossRef]
- Kim, J.W.; Jeong, J.B.; Lee, K.L.; Kim, B.G.; Jung, Y.J.; Kim, W.; Kim, H.Y.; Ahn, D.W.; Koh, S.J.; Lee, J.K. Comparison of clinical outcomes between endoscopic and radiologic placement of self-expandable metal stent in patients with malignant colorectal obstruction. Korean J. Gastroenterol. 2013, 61, 22–29. [Google Scholar] [CrossRef] [PubMed]
- Tanaka, A.; Sadahiro, S.; Yasuda, M.; Shimizu, S.; Maeda, Y.; Suzuki, T.; Tokunaga, N.; Ogoshi, K. Endoscopic balloon dilation for obstructive colorectal cancer: A basic study on morphologic and pathologic features associated with perforation. Gastrointest. Endosc. 2010, 71, 799–805. [Google Scholar] [CrossRef]
- Kim, E.J.; Kim, Y.J. Stents for colorectal obstruction: Past, present, and future. World J. Gastroenterol. 2016, 22, 842–852. [Google Scholar] [CrossRef] [PubMed]
- Mashar, M.; Mashar, R.; Hajibandeh, S. Uncovered versus covered stent in management of large bowel obstruction due to colorectal malignancy: A systematic review and meta-analysis. Int. J. Color. Dis. 2019, 34, 773–785. [Google Scholar] [CrossRef] [PubMed]
- Manes, G.; de Bellis, M.; Fuccio, L.; Repici, A.; Masci, E.; Ardizzone, S.; Mangiavillano, B.; Carlino, A.; Rossi, G.B.; Occhipinti, P.; et al. Endoscopic palliation in patients with incurable malignant colorectal obstruction by means of self-expanding metal stent: Analysis of results and predictors of outcomes in a large multicenter series. Arch. Surg. 2011, 146, 1157–1162. [Google Scholar] [CrossRef] [PubMed]
- Kim, B.C.; Han, K.S.; Hong, C.W.; Sohn, D.K.; Park, J.W.; Park, S.C.; Kim, S.Y.; Baek, J.Y.; Choi, H.S.; Chang, H.J.; et al. Clinical outcomes of palliative self-expanding metallic stents in patients with malignant colorectal obstruction. J. Dig. Dis. 2012, 13, 258–266. [Google Scholar] [CrossRef] [PubMed]
- Ji, W.B.; Kwak, J.M.; Kang, D.W.; Kwak, H.D.; Um, J.W.; Lee, S.I.; Min, B.W.; Sung, N.S.; Kim, J.; Kim, S.H. Clinical benefits and oncologic equivalence of self-expandable metallic stent insertion for right-sided malignant colonic obstruction. Surg. Endosc. 2017, 31, 153–158. [Google Scholar] [CrossRef] [PubMed]
- Geraghty, J.; Sarkar, S.; Cox, T.; Lal, S.; Willert, R.; Ramesh, J.; Bodger, K.; Carlson, G.L. Management of large bowel obstruction with self-expanding metal stents. A multicentre retrospective study of factors determining outcome. Color. Dis. 2014, 16, 476–483. [Google Scholar] [CrossRef]
- Schoonbeek, P.K.; Genzel, P.; van den Berg, E.H.; van Dobbenburgh, O.A.; Ter Borg, F. Outcomes of Self-Expanding Metal Stents in Malignant Colonic Obstruction are Independent of Location or Length of the Stenosis: Results of a Retrospective, Single-Center Series. Dig. Surg. 2018, 35, 230–235. [Google Scholar] [CrossRef]
- Siddiqui, A.; Cosgrove, N.; Yan, L.H.; Brandt, D.; Janowski, R.; Kalra, A.; Zhan, T.; Baron, T.H.; Repici, A.; Taylor, L.J.; et al. Long-term outcomes of palliative colonic stenting versus emergency surgery for acute proximal malignant colonic obstruction: A multicenter trial. Endosc. Int. Open 2017, 5, E232–E238. [Google Scholar] [CrossRef]
- Trabulsi, N.H.; Halawani, H.M.; Alshahrani, E.A.; Alamoudi, R.M.; Jambi, S.K.; Akeel, N.Y.; Farsi, A.H.; Nassif, M.O.; Samkari, A.A.; Saleem, A.; et al. Short-term outcomes of stents in obstructive rectal cancer: A systematic review and meta-analysis. Saudi J. Gastroenterol. 2021, 27, 127–135. [Google Scholar] [CrossRef]
- Lim, T.Z.; Tan, K.K. Endoscopic stenting in colorectal cancer. J. Gastrointest. Oncol. 2019, 10, 1171–1182. [Google Scholar] [CrossRef]
- Huang, X.; Lv, B.; Zhang, S.; Meng, L. Preoperative colonic stents versus emergency surgery for acute left-sided malignant colonic obstruction: A meta-analysis. J. Gastrointest. Surg. 2014, 18, 584–591. [Google Scholar] [CrossRef] [PubMed]
- Khot, U.P.; Lang, A.W.; Murali, K.; Parker, M.C. Systematic review of the efficacy and safety of colorectal stents. Br. J. Surg. 2002, 89, 1096–1102. [Google Scholar] [CrossRef] [PubMed]
- Han, Y.M.; Lee, J.M.; Lee, T.H. Delayed colon perforation after palliative treatment for rectal carcinoma with bare rectal stent: A case report. Korean J. Radiol. 2000, 1, 169–171. [Google Scholar] [CrossRef] [PubMed]
- van Hooft, J.E.; Bemelman, W.A.; Oldenburg, B.; Marinelli, A.W.; Lutke Holzik, M.F.; Grubben, M.J.; Sprangers, M.A.; Dijkgraaf, M.G.; Fockens, P. Colonic stenting versus emergency surgery for acute left-sided malignant colonic obstruction: A multicentre randomised trial. Lancet Oncol. 2011, 12, 344–352. [Google Scholar] [CrossRef] [PubMed]
- Pirlet, I.A.; Slim, K.; Kwiatkowski, F.; Michot, F.; Millat, B.L. Emergency preoperative stenting versus surgery for acute left-sided malignant colonic obstruction: A multicenter randomized controlled trial. Surg. Endosc. 2011, 25, 1814–1821. [Google Scholar] [CrossRef] [PubMed]
- Kodeda, K.; Nathanaelsson, L.; Jung, B.; Olsson, H.; Jestin, P.; Sjövall, A.; Glimelius, B.; Påhlman, L.; Syk, I. Population-based data from the Swedish Colon Cancer Registry. Br. J. Surg. 2013, 100, 1100–1107. [Google Scholar] [CrossRef]
- Itonaga, S.; Hamada, S.; Ihara, E.; Honma, H.; Fukuya, H.; Ookubo, A.; Sasaki, T.; Yoshimura, D.; Nakamuta, M.; Sumida, Y.; et al. Importance of preoperative total colonoscopy and endoscopic resection after self-expandable metallic stent placement for obstructive colorectal cancer as a bridge-to-surgery. BMC Gastroenterol. 2023, 23, 251. [Google Scholar] [CrossRef]
- Kim, J.S.; Lee, K.M.; Kim, S.W.; Kim, E.J.; Lim, C.H.; Oh, S.T.; Choi, M.G.; Choi, K.Y. Preoperative colonoscopy through the colonic stent in patients with colorectal cancer obstruction. World J. Gastroenterol. 2014, 20, 10570–10576. [Google Scholar] [CrossRef]




| Meta-Analyses | Short-Term Outcomes | Long-Term Outcomes | ||||||||
|---|---|---|---|---|---|---|---|---|---|---|
| Included Studies | Morbidity | Mortality | Stoma Rate | Permanent Stoma | VLS | LOS | OS | DFS | Local Recurrence | |
| Allievi 2017, [27] | 7 RCTs (448 pts) | ES 54.8% vs. SBTS 37.8% (p = 0.02) | ns | ES 46.0% vs. SBTS 28.9% (p < 0.0001) | ES 35.2% vs. SBTS 24.5% (p < 0.02) | / | / | / | / | / |
| Amelung 2018, [28] | 5 RCTs, 4 prospective, 12 retrospective (1919 pts) | / | / | / | / | / | / | 3 years and 5 years: ns | 3 years and 5 years: ns | ns |
| Arezzo 2017, [29] | 8 RCTs (497 pts) | ES 51.2% vs. SBTS 33.9% (p = 0.023) | ns | ES 51.4% vs. SBTS 33.9% (p < 0.001) | ES 35.2% vs. SBTS 22.2% (p = 0.003) | / | ES 14.5 d vs. SBTS 15.5 (p = 0.039) | / | / | ES 26.6% vs. SBTS 40.5% (p = 0.09) |
| Cao 2019, [30] | 5 RCTs, 3 prospective, 16 retrospective (2508 pts) | / | / | / | / | / | / | 3 years and 5 years: ns | 3 years and 5 years: ns | ns |
| Ceresoli 2017, [21] | 5 RCTs, 3 prospective, 9 retrospective | / | / | / | / | / | / | ns | Ns | ns |
| Foo 2019, [31] | 7 RCTs (448 pts) | Reduced in SBTS (RR 0.6, p = 0.032) | ns | / | / | / | / | 3 years: ns | 3 years: ns | ns |
| Jain 2020, [32] | 8 RCTs, 25 observational (15,224 pts) | SBTS vs. ES: anastomotic leak OR 0.59 (p = 0.006), wound infection OR 0.64 (p = 0.004) | SBTS vs. ES: OR 0.69 (p = 0.010) | SBTS vs. ES: OR 0.39 (p < 0.001) | ns | SBTS vs. ES: OR 5.9 (p < 0.001) | SBTS vs. ES: Reduction in ES (<0.001) | ns | Ns | ns |
| Kanaka 2022, [33] | Right-sided MLBO:#break#7 observational studies (5136 pts) | SBTS vs. ES: OR 0.78 (p = 0.003) | SBTS vs. ES: OR 0.51 (p = 0.03) | SBTS 2.0% vs. ES 11.0% (p < 0.01)) | / | SBTS 48.5% vs. ES 15.7% (p < 0.01) | / | / | / | / |
| Matsuda 2015, [34] | 2 RCTs, 9 observational studies (1136 pts) | / | / | / | / | / | / | 3 y and 5 y: ns | 3 y and 5 y: ns | / |
| McKechnie 2023, [35] | Network meta-analysis: 53 studies | ES vs. SBTS: OR 2.14 (p < 0.0019 | ns | / | ES vs. SBTS: OR 2.91 (p < 0.001) | / | / | 3 y and 5 y: ns | / | / |
Disclaimer/Publisher’s Note: The statements, opinions and data contained in all publications are solely those of the individual author(s) and contributor(s) and not of MDPI and/or the editor(s). MDPI and/or the editor(s) disclaim responsibility for any injury to people or property resulting from any ideas, methods, instructions or products referred to in the content. |
© 2024 by the authors. Licensee MDPI, Basel, Switzerland. This article is an open access article distributed under the terms and conditions of the Creative Commons Attribution (CC BY) license (https://creativecommons.org/licenses/by/4.0/).
Share and Cite
Mauro, A.; Scalvini, D.; Borgetto, S.; Fugazzola, P.; Mazza, S.; Perretti, I.; Gallotti, A.; Pagani, A.; Ansaloni, L.; Anderloni, A. Malignant Acute Colonic Obstruction: Multidisciplinary Approach for Endoscopic Management. Cancers 2024, 16, 821. https://doi.org/10.3390/cancers16040821
Mauro A, Scalvini D, Borgetto S, Fugazzola P, Mazza S, Perretti I, Gallotti A, Pagani A, Ansaloni L, Anderloni A. Malignant Acute Colonic Obstruction: Multidisciplinary Approach for Endoscopic Management. Cancers. 2024; 16(4):821. https://doi.org/10.3390/cancers16040821
Chicago/Turabian StyleMauro, Aurelio, Davide Scalvini, Sabrina Borgetto, Paola Fugazzola, Stefano Mazza, Ilaria Perretti, Anna Gallotti, Anna Pagani, Luca Ansaloni, and Andrea Anderloni. 2024. "Malignant Acute Colonic Obstruction: Multidisciplinary Approach for Endoscopic Management" Cancers 16, no. 4: 821. https://doi.org/10.3390/cancers16040821
APA StyleMauro, A., Scalvini, D., Borgetto, S., Fugazzola, P., Mazza, S., Perretti, I., Gallotti, A., Pagani, A., Ansaloni, L., & Anderloni, A. (2024). Malignant Acute Colonic Obstruction: Multidisciplinary Approach for Endoscopic Management. Cancers, 16(4), 821. https://doi.org/10.3390/cancers16040821

