Emerging Trends in AI and Radiomics for Bladder, Kidney, and Prostate Cancer: A Critical Review
Abstract
Simple Summary
Abstract
1. Introduction
2. Materials and Methods
Criteria for Selecting Articles
- Relevance to AI and Radiomics: We selected studies specifically oriented toward the integration of AI and radiomics in the diagnostics, treatment, and prognosis of bladder, kidney, and prostate cancers. This criterion ensured that the reviewed literature directly contributes to our understanding of the current capabilities and future potential of these technologies in the specific context of urological cancers;
- Clinical Significance: Given the practical orientation of our review, we prioritized studies that demonstrate substantial clinical relevance. These are studies that offer insights into the real-world applicability of AI and radiomics, such as those leading to improved precision in diagnostic imaging, enhanced predictive accuracy of treatment outcomes, or novel radiomic biomarkers that can inform patient management in bladder, kidney, and prostate cancers;
- Methodological Rigor: Recognizing the importance of robust research design, we favored studies exemplifying methodological rigor. This included clearly articulated data collection processes, sophisticated and transparent analytical methods, and rigorous validation techniques. This criterion was essential to ensure that our review is grounded in studies that offer reliable and replicable findings, contributing to the solidification of AI and radiomics as cornerstones in oncological research and practice;
- Recent Publications: To capture the dynamic and rapidly progressing nature of AI and radiomics, we emphasized recent studies published within the last few years. This criterion allowed our review to act as a beacon, highlighting the trajectory of recent innovations and discerning the immediate future of AI and radiomics in the context of urological cancers.
3. AI and Radiomics in Bladder Cancer
3.1. Recent Advancements
3.2. Key Findings from Selected Studies
3.3. Implications for Diagnosis and Treatment
4. AI and Radiomics in Kidney Cancer
4.1. Technological Innovations
4.2. Summary of Critical Research Outcomes
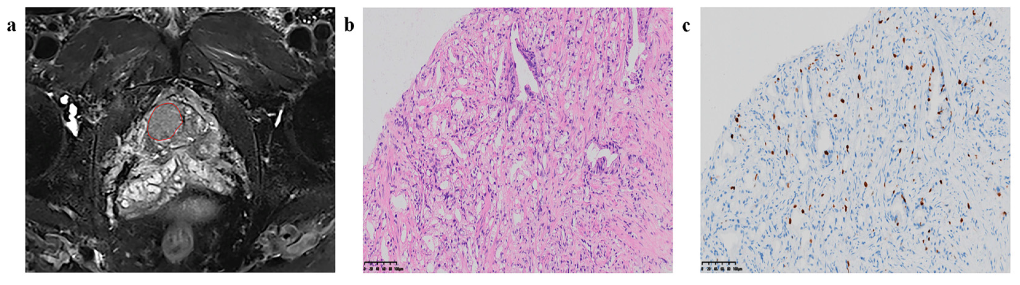
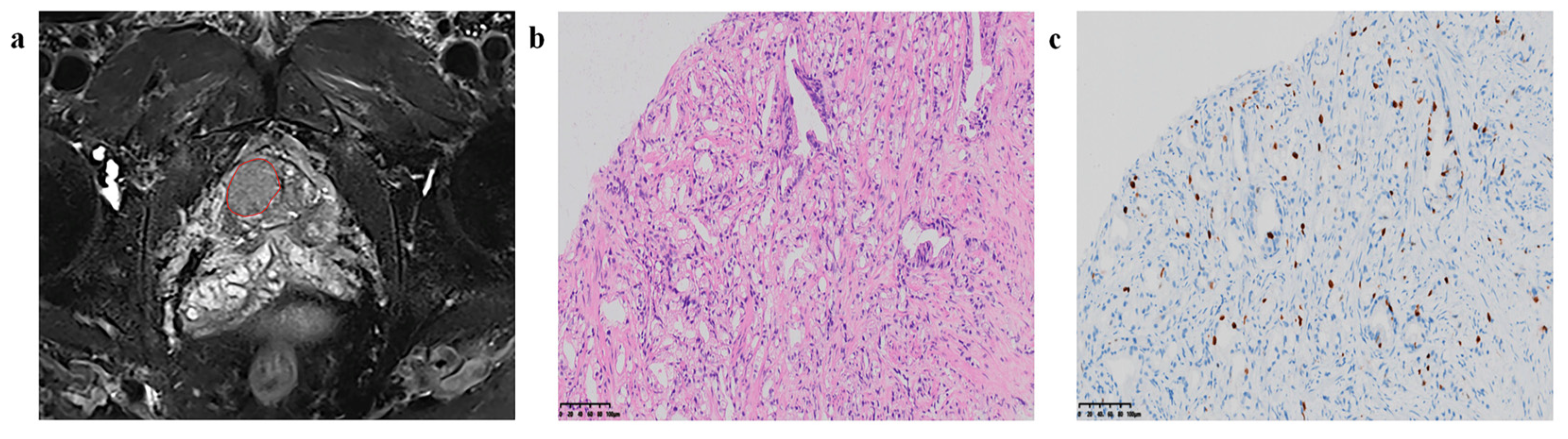
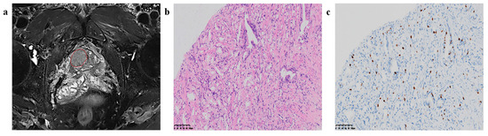
5. AI and Radiomics in Prostate Cancer
Development in Diagnostic and Prognostic Tools
6. Challenges and Limitations
6.1. Discussing Current Challenges in Integrating AI and Radiomics
6.2. Limitations of Existing Studies
7. Conclusions
- For bladder cancer, AI and radiomics have precipitated a leap in diagnostic accuracy and staging acuity. The prowess of mpMRI and CT scans, fortified by these technologies, has been pivotal in discerning muscle invasion and pathological grades with unprecedented precision, laying the groundwork for tailored treatment regimens [34,36];
- Within kidney-cancer research, AI and radiomics have carved a niche in subtype differentiation and grade assessment, bolstered by their integration with radiogenomics. This synergy provides a multifaceted view of renal cell carcinoma, propelling forward the personalized treatment landscape [34];
- Prostate cancer management has been revolutionized by AI-augmented MRI, which has markedly improved tumor detection and localization. These advances, coupled with AI’s proficiency in prognosticating post-treatment trajectories, such as biochemical recurrence, are invaluable for patient-centric care.
Implications for Future Research and Clinical Practice
Author Contributions
Funding
Conflicts of Interest
References
- Rundo, F.; Bersanelli, M.; Urzia, V.; Friedlaender, A.; Cantale, O.; Calcara, G.; Addeo, A.; Banna, G.L. Three-Dimensional Deep Noninvasive Radiomics for the Prediction of Disease Control in Patients with Metastatic Urothelial Carcinoma treated with Immunotherapy. Clin. Genitourin. Cancer 2021, 19, 396–404. [Google Scholar] [CrossRef]
- Gelikman, D.G.; Rais-Bahrami, S.; Pinto, P.A.; Turkbey, B. AI-powered radiomics: Revolutionizing detection of urologic malignancies. Curr. Opin. Urol. 2024, 34, 1–7. [Google Scholar] [CrossRef]
- Schawkat, K.; Krajewski, K.M. Insights into Renal Cell Carcinoma with Novel Imaging Approaches. Hematol. Oncol. Clin. N. Am. 2023, 37, 863–875. [Google Scholar] [CrossRef]
- Evrimler, S.; Gedik, M.A.; Serel, T.A.; Ertunc, O.; Ozturk, S.A.; Soyupek, S. Bladder Urothelial Carcinoma: Machine Learning-based Computed Tomography Radiomics for Prediction of Histological Variant. Acad. Radiol. 2022, 29, 1682–1689. [Google Scholar] [CrossRef] [PubMed]
- Cui, E.; Li, Z.; Ma, C.; Li, Q.; Lei, Y.; Lan, Y.; Yu, J.; Zhou, Z.; Li, R.; Long, W.; et al. Predicting the ISUP grade of clear cell renal cell carcinoma with multiparametric MR and multiphase CT radiomics. Eur. Radiol. 2020, 30, 2912–2921. [Google Scholar] [CrossRef]
- Zhang, H.; Yin, F.; Chen, M.; Yang, L.; Qi, A.; Cui, W.; Yang, S.; Wen, G. Development and Validation of a CT-Based Radiomics Nomogram for Predicting Postoperative Progression-Free Survival in Stage I–III Renal Cell Carcinoma. Front. Oncol. 2022, 11, 742547. [Google Scholar] [CrossRef] [PubMed]
- Nie, P.; Yang, G.; Wang, Y.; Xu, Y.; Yan, L.; Zhang, M.; Zhao, L.; Wang, N.; Zhao, X.; Li, X.; et al. A CT-based deep learning radiomics nomogram outperforms the existing prognostic models for outcome prediction in clear cell renal cell carcinoma: A multicenter study. Eur. Radiol. 2023, 33, 8858–8868. [Google Scholar] [CrossRef]
- Qiu, Y.; Liu, Y.-F.; Shu, X.; Qiao, X.-F.; Ai, G.-Y.; He, X.-J. Peritumoral Radiomics Strategy Based on Ensemble Learning for the Prediction of Gleason Grade Group of Prostate Cancer. Acad. Radiol. 2023, 30 (Suppl. 1), S1–S13. [Google Scholar] [CrossRef]
- Ginsburg, S.B.; Algohary, A.; Pahwa, S.; Gulani, V.; Ponsky, L.; Aronen, H.J.; Boström, P.J.; Böhm, M.; Haynes, A.; Brenner, P.; et al. Radiomic features for prostate cancer detection on MRI differ between the transition and peripheral zones: Preliminary findings from a multi-institutional study. J. Magn. Reson. Imaging 2017, 46, 184–193. [Google Scholar] [CrossRef]
- Ibrahim, A.; Vaidyanathan, A.; Primakov, S.; Belmans, F.; Bottari, F.; Refaee, T.; Lovinfosse, P.; Jadoul, A.; Derwael, C.; Hertel, F.; et al. Deep learning based identification of bone scintigraphies containing metastatic bone disease foci. Cancer Imaging 2023, 23, 12. [Google Scholar] [CrossRef] [PubMed]
- Woźnicki, P.; Westhoff, N.; Huber, T.; Riffel, P.; Froelich, M.F.; Gresser, E.; von Hardenberg, J.; Mühlberg, A.; Michel, M.S.; Schoenberg, S.O.; et al. Multiparametric MRI for Prostate Cancer Characterization: Combined Use of Radiomics Model with PI-RADS and Clinical Parameters. Cancers 2020, 12, 1767. [Google Scholar] [CrossRef]
- Sarkar, S.; Min, K.; Ikram, W.; Tatton, R.W.; Riaz, I.B.; Silva, A.C.; Bryce, A.H.; Moore, C.; Ho, T.H.; Sonpavde, G.; et al. Performing Automatic Identification and Staging of Urothelial Carcinoma in Bladder Cancer Patients Using a Hybrid Deep-Machine Learning Approach. Cancers 2023, 15, 1673. [Google Scholar] [CrossRef]
- Li, J.; Qiu, Z.; Cao, K.; Deng, L.; Zhang, W.; Xie, C.; Yang, S.; Yue, P.; Zhong, J.; Lyu, J.; et al. Predicting muscle invasion in bladder cancer based on MRI: A comparison of radiomics, and single-task and multi-task deep learning. Comput. Methods Programs Biomed. 2023, 233, 107466. [Google Scholar] [CrossRef]
- Song, H.; Yang, S.; Yu, B.; Li, N.; Huang, Y.; Sun, R.; Wang, B.; Nie, P.; Hou, F.; Huang, C.; et al. CT-based deep learning radiomics nomogram for the prediction of pathological grade in bladder cancer: A multicenter study. Cancer Imaging 2023, 23, 89. [Google Scholar] [CrossRef] [PubMed]
- Zhang, G.; Xu, L.; Zhao, L.; Mao, L.; Li, X.; Jin, Z.; Sun, H. CT-based radiomics to predict the pathological grade of bladder cancer. Eur. Radiol. 2020, 30, 6749–6756. [Google Scholar] [CrossRef] [PubMed]
- Zhang, G.; Wu, Z.; Zhang, X.; Xu, L.; Mao, L.; Li, X.; Xiao, Y.; Ji, Z.; Sun, H.; Jin, Z. CT-based radiomics to predict muscle invasion in bladder cancer. Eur. Radiol. 2022, 32, 3260–3268. [Google Scholar] [CrossRef] [PubMed]
- Xi, I.L.; Zhao, Y.; Wang, R.; Chang, M.; Purkayastha, S.; Chang, K.; Huang, R.Y.; Silva, A.C.; Vallières, M.; Habibollahi, P.; et al. Deep Learning to Distinguish Benign from Malignant Renal Lesions Based on Routine MR Imaging. Clin. Cancer Res. 2020, 26, 1944–1952. [Google Scholar] [CrossRef] [PubMed]
- Roussel, E.; Capitanio, U.; Kutikov, A.; Oosterwijk, E.; Pedrosa, I.; Rowe, S.P.; Gorin, M.A. Novel Imaging Methods for Renal Mass Characterization: A Collaborative Review. Eur. Urol. 2022, 81, 476–488. [Google Scholar] [CrossRef]
- Mühlbauer, J.; Egen, L.; Kowalewski, K.-F.; Grilli, M.; Walach, M.T.; Westhoff, N.; Nuhn, P.; Laqua, F.C.; Baessler, B.; Kriegmair, M.C. Radiomics in Renal Cell Carcinoma—A Systematic Review and Meta-Analysis. Cancers 2021, 13, 1348. [Google Scholar] [CrossRef]
- Kozikowski, M.; Suarez-Ibarrola, R.; Osiecki, R.; Bilski, K.; Gratzke, C.; Shariat, S.F.; Miernik, A.; Dobruch, J. Role of Radiomics in the Prediction of Muscle-invasive Bladder Cancer: A Systematic Review and Meta-analysis. Eur. Urol. Focus 2022, 8, 728–738. [Google Scholar] [CrossRef]
- Budai, B.K.; Stollmayer, R.; Rónaszéki, A.D.; Körmendy, B.; Zsombor, Z.; Palotás, L.; Fejér, B.; Szendrõi, A.; Székely, E.; Maurovich-Horvat, P.; et al. Radiomics analysis of contrast-enhanced CT scans can distinguish between clear cell and non-clear cell renal cell carcinoma in different imaging protocols. Front. Med. 2022, 9, 974485. [Google Scholar] [CrossRef]
- Gurbani, S.; Morgan, D.; Jog, V.; Dreyfuss, L.; Shen, M.; Das, A.; Abel, E.J.; Lubner, M.G. Evaluation of radiomics and machine learning in identification of aggressive tumor features in renal cell carcinoma (RCC). Abdom. Radiol. 2021, 46, 4278–4288. [Google Scholar] [CrossRef] [PubMed]
- Ferro, M.; Musi, G.; Marchioni, M.; Maggi, M.; Veccia, A.; Del Giudice, F.; Barone, B.; Crocetto, F.; Lasorsa, F.; Antonelli, A.; et al. Radiogenomics in Renal Cancer Management—Current Evidence and Future Prospects. Int. J. Mol. Sci. 2023, 24, 4615. [Google Scholar] [CrossRef] [PubMed]
- Ferro, M.; Crocetto, F.; Barone, B.; del Giudice, F.; Maggi, M.; Lucarelli, G.; Busetto, G.M.; Autorino, R.; Marchioni, M.; Cantiello, F.; et al. Artificial intelligence and radiomics in evaluation of kidney lesions: A comprehensive literature review. Ther. Adv. Urol. 2023, 15, 17562872231164803. [Google Scholar] [CrossRef] [PubMed]
- Bleker, J.; Kwee, T.C.; Yakar, D. Quality of Multicenter Studies Using MRI Radiomics for Diagnosing Clinically Significant Prostate Cancer: A Systematic Review. Life 2022, 12, 946. [Google Scholar] [CrossRef] [PubMed]
- Sugano, D.; Sanford, D.; Abreu, A.; Duddalwar, V.; Gill, I.; Cacciamani, G.E. Impact of radiomics on prostate cancer detection: A systematic review of clinical applications. Curr. Opin. Urol. 2020, 30, 754–781. [Google Scholar] [CrossRef] [PubMed]
- Qiao, X.; Gu, X.; Liu, Y.; Shu, X.; Ai, G.; Qian, S.; Liu, L.; He, X.; Zhang, J. MRI Radiomics-Based Machine Learning Models for Ki67 Expression and Gleason Grade Group Prediction in Prostate Cancer. Cancers 2023, 15, 4536. [Google Scholar] [CrossRef]
- Zhang, Y.; Li, W.; Zhang, Z.; Xue, Y.; Liu, Y.-L.; Nie, K.; Su, M.-Y.; Ye, Q. Differential diagnosis of prostate cancer and benign prostatic hyperplasia based on DCE-MRI using bi-directional CLSTM deep learning and radiomics. Med. Biol. Eng. Comput. 2023, 61, 757–771. [Google Scholar] [CrossRef] [PubMed]
- Jaouen, T.; Souchon, R.; Moldovan, P.C.; Bratan, F.; Duran, A.; Hoang-Dinh, A.; Di Franco, F.; Debeer, S.; Dubreuil-Chambardel, M.; Arfi, N.; et al. Characterization of high-grade prostate cancer at multiparametric MRI using a radiomic-based computer-aided diagnosis system as standalone and second reader. Diagn. Interv. Imaging 2023, 104, 465–476. [Google Scholar] [CrossRef] [PubMed]
- Zhu, X.; Shao, L.; Liu, Z.; Liu, Z.; He, J.; Liu, J.; Ping, H.; Lu, J. MRI-derived radiomics models for diagnosis, aggressiveness, and prognosis evaluation in prostate cancer. J. Zhejiang Univ. B 2023, 24, 663–681. [Google Scholar] [CrossRef]
- Gentile, F.; La Civita, E.; Della Ventura, B.; Ferro, M.; Cennamo, M.; Bruzzese, D.; Crocetto, F.; Velotta, R.; Terracciano, D. A Combinatorial Neural Network Analysis Reveals a Synergistic Behaviour of Multiparametric Magnetic Resonance and Prostate Health Index in the Identification of Clinically Significant Prostate Cancer. Clin. Genitourin. Cancer 2022, 20, e406–e410. [Google Scholar] [CrossRef] [PubMed]
- Bi, W.L.; Hosny, A.; Schabath, M.B.; Giger, M.L.; Birkbak, N.J.; Mehrtash, A.; Allison, T.; Arnaout, O.; Abbosh, C.; Dunn, I.F.; et al. Artificial intelligence in cancer imaging: Clinical challenges and applications. CA Cancer J. Clin. 2019, 69, 127–157. [Google Scholar] [CrossRef]
- Moore, N.S.; McWilliam, A.; Aneja, S. Bladder Cancer Radiation Oncology of the Future: Prognostic Modelling, Radiomics, and Treatment Planning with Artificial Intelligence. Semin. Radiat. Oncol. 2023, 33, 70–75. [Google Scholar] [CrossRef]
- Orton, M.R.; Hann, E.; Doran, S.J.; Shepherd, S.T.C.; Ap Dafydd, D.; Spencer, C.E.; López, J.I.; Albarrán-Artahona, V.; Comito, F.; Warren, H.; et al. Interpretability of radiomics models is improved when using feature group selection strategies for predicting molecular and clinical targets in clear-cell renal cell carcinoma: Insights from the TRACERx Renal study. Cancer Imaging 2023, 23, 76. [Google Scholar] [CrossRef]
- Yang, L.; Gao, L.; Arefan, D.; Tan, Y.; Dan, H.; Zhang, J. A CT-based radiomics model for predicting renal capsule invasion in renal cell carcinoma. BMC Med. Imaging 2022, 22, 15. [Google Scholar] [CrossRef] [PubMed]
- Fan, X.; Yu, H.; Ni, X.; Chen, G.; Li, T.; Chen, J.; He, M.; Liu, H.; Wang, H.; Yin, X. Systematic radiomics analysis based on multiparameter MRI to preoperatively predict the expression of Ki67 and histological grade in patients with bladder cancer. Br. J. Radiol. 2023, 96, 20221086. [Google Scholar] [CrossRef] [PubMed]




| Cancer Type | Key Advances in AI/Radiomics | Diagnostic/Prognostic Impact | Challenges in Integration |
|---|---|---|---|
| Bladder Cancer | - Utilization of AI and radiomics for enhanced imaging and predictive modeling. | - Improved diagnosis and staging, particularly in predicting muscle invasiveness and pathological grades. | - Need for standardization and overcoming the “black box” nature of AI. |
| Kidney Cancer | - Application of AI in differentiating RCC subtypes and grades. - Integration of radiogenomics for comprehensive disease profiling. | - Better tumor characterization leading to more tailored treatments. | - Challenges include data availability and integrating these technologies into existing healthcare systems. |
| Prostate Cancer | - AI-enhanced MRI for improved tumor detection and localization. - Development of predictive models for treatment outcomes. | - Reduced reliance on invasive biopsies, and more effective treatment planning. | - Issues with the interpretability and transparency of AI models, necessitating multicentric collaborations for broader validation. |
Disclaimer/Publisher’s Note: The statements, opinions and data contained in all publications are solely those of the individual author(s) and contributor(s) and not of MDPI and/or the editor(s). MDPI and/or the editor(s) disclaim responsibility for any injury to people or property resulting from any ideas, methods, instructions or products referred to in the content. |
© 2024 by the authors. Licensee MDPI, Basel, Switzerland. This article is an open access article distributed under the terms and conditions of the Creative Commons Attribution (CC BY) license (https://creativecommons.org/licenses/by/4.0/).
Share and Cite
Feretzakis, G.; Juliebø-Jones, P.; Tsaturyan, A.; Sener, T.E.; Verykios, V.S.; Karapiperis, D.; Bellos, T.; Katsimperis, S.; Angelopoulos, P.; Varkarakis, I.; et al. Emerging Trends in AI and Radiomics for Bladder, Kidney, and Prostate Cancer: A Critical Review. Cancers 2024, 16, 810. https://doi.org/10.3390/cancers16040810
Feretzakis G, Juliebø-Jones P, Tsaturyan A, Sener TE, Verykios VS, Karapiperis D, Bellos T, Katsimperis S, Angelopoulos P, Varkarakis I, et al. Emerging Trends in AI and Radiomics for Bladder, Kidney, and Prostate Cancer: A Critical Review. Cancers. 2024; 16(4):810. https://doi.org/10.3390/cancers16040810
Chicago/Turabian StyleFeretzakis, Georgios, Patrick Juliebø-Jones, Arman Tsaturyan, Tarik Emre Sener, Vassilios S. Verykios, Dimitrios Karapiperis, Themistoklis Bellos, Stamatios Katsimperis, Panagiotis Angelopoulos, Ioannis Varkarakis, and et al. 2024. "Emerging Trends in AI and Radiomics for Bladder, Kidney, and Prostate Cancer: A Critical Review" Cancers 16, no. 4: 810. https://doi.org/10.3390/cancers16040810
APA StyleFeretzakis, G., Juliebø-Jones, P., Tsaturyan, A., Sener, T. E., Verykios, V. S., Karapiperis, D., Bellos, T., Katsimperis, S., Angelopoulos, P., Varkarakis, I., Skolarikos, A., Somani, B., & Tzelves, L. (2024). Emerging Trends in AI and Radiomics for Bladder, Kidney, and Prostate Cancer: A Critical Review. Cancers, 16(4), 810. https://doi.org/10.3390/cancers16040810

