Resection of Colorectal Liver Metastases with Major Vessel Involvement
Abstract
Simple Summary
Abstract
1. Introduction
2. Patients and Methods
2.1. Patients and Clinical Work-Up
2.2. Hepatectomy Techniques and Vascular Reconstructions
2.3. Statistics
3. Results
3.1. Patients’ Demographics and Procedures
3.2. Histopathological Results of Vascular Infiltration
3.3. Margin Status
3.4. Analysis of the Study Population Depending on the Histopathological Result of Vascular Infiltration
3.5. Follow Up and Overall Survival
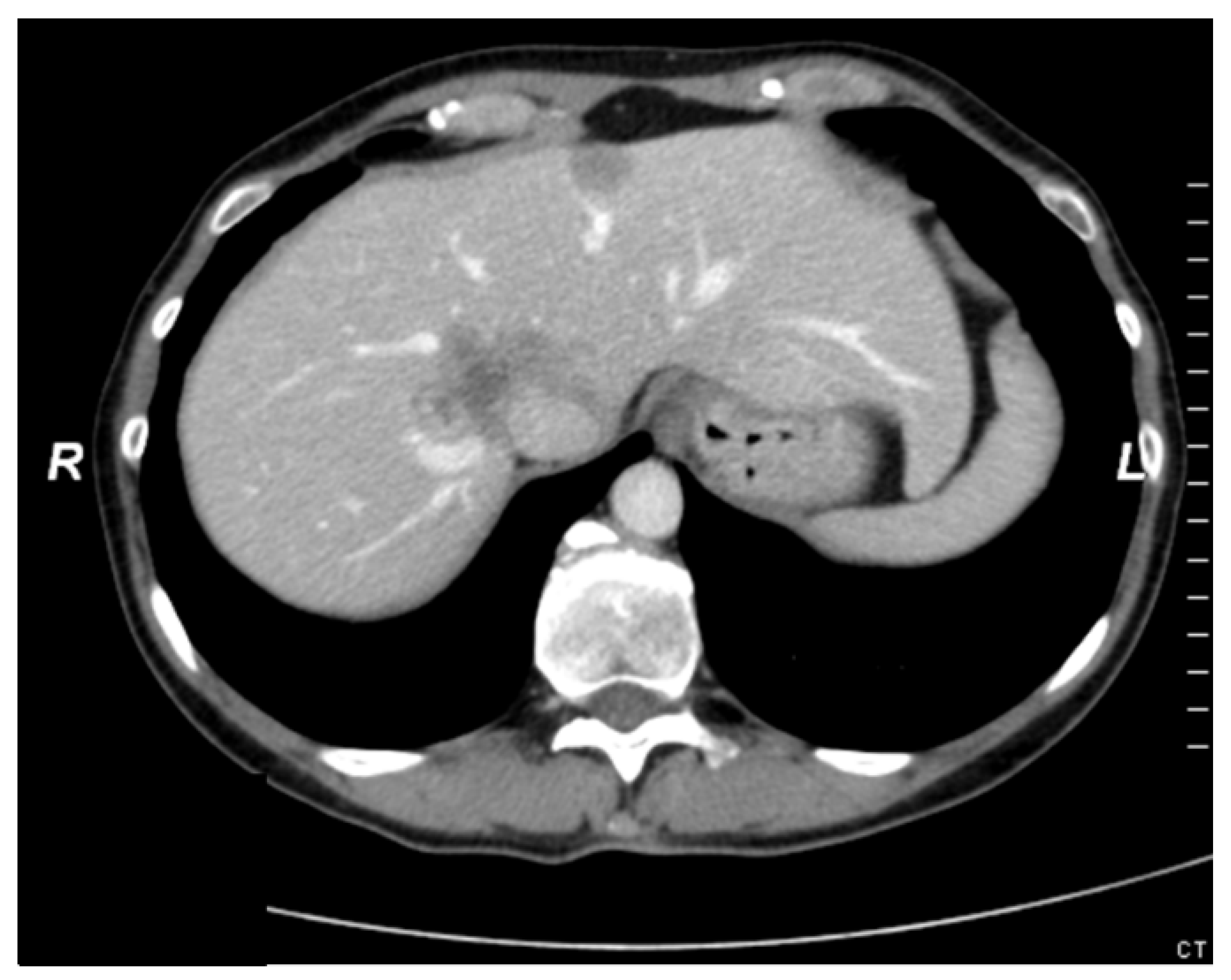
3.6. Case Report 1
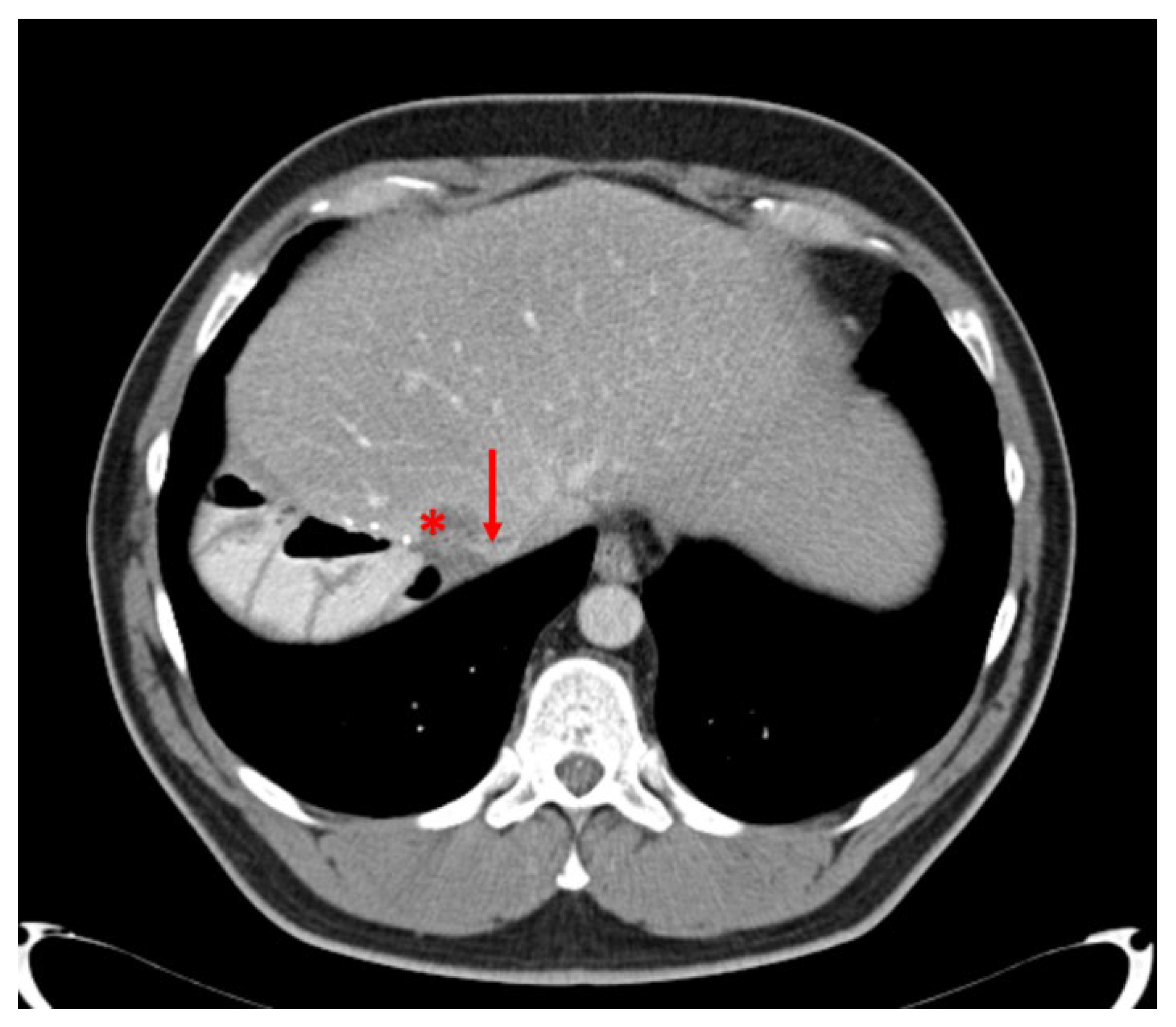
3.7. Case Report 2
4. Discussion
5. Conclusions
Author Contributions
Funding
Institutional Review Board Statement
Informed Consent Statement
Data Availability Statement
Conflicts of Interest
Abbreviations
| ALPPS | Associating Liver Partition and Portal vein Ligation for Staged Hepatectomy |
| CRLM | Colorectal liver metastases |
| CT | Computed tomography |
| FLR | Future liver remnant |
| HV | Hepatic vein |
| LVD | Liver vein deprivation |
| MRI | Magnetic resonance imaging |
| OS | Overall survival |
| PHLF | Posthepatic liver failure |
| PV | Portal vein |
| RFS | Recurrence-free survival |
| VCI | Vena cava inferior |
References
- Lang, H.; Baumgart, J.; Mittler, J. Associating Liver Partition and Portal Vein Ligation for Staged Hepatectomy in the Treatment of Colorectal Liver Metastases: Current Scenario. Dig. Surg. 2018, 35, 294–302. [Google Scholar] [CrossRef]
- Folprecht, G.; Gruenberger, T.; Bechstein, W.O.; Raab, H.R.; Lordick, F.; Hartmann, J.T.; Lang, H.; Frilling, A.; Stoehlmacher, J.; Weitz, J.; et al. Tumour response and secondary resectability of colorectal liver metastases following neoadjuvant chemotherapy with cetuximab: The CELIM randomised phase 2 trial. Lancet. Oncol. 2010, 11, 38–47. [Google Scholar] [CrossRef] [PubMed]
- Loss, M.; Jung, E.M.; Scherer, M.N.; Farkas, S.A.; Schlitt, H.J. Surgical treatment of liver metastases. Chirurgie 2010, 81, 533–541. [Google Scholar] [CrossRef] [PubMed]
- Adam, R.; Laurent, A.; Azoulay, D.; Castaing, D.; Bismuth, H. Two-stage hepatectomy: A planned strategy to treat irresectable liver tumors. Ann. Surg. 2000, 232, 777–785. [Google Scholar] [CrossRef] [PubMed]
- Raab, R.; Schlitt, H.J.; Oldhafer, K.J.; Bornscheuer, A.; Lang, H.; Pichlmayr, R. Ex-vivo resection techniques in tissue-preserving surgery for liver malignancies. Langenbecks Arch. Surg. 2000, 385, 179–184. [Google Scholar] [CrossRef]
- Lang, H. ALPPS for Colorectal Liver Metastases. J. Gastrointest. Surg. 2017, 21, 190–192. [Google Scholar] [CrossRef] [PubMed]
- Baumgart, J.; Jungmann, F.; Bartsch, F.; Kloth, M.; Mittler, J.; Heinrich, S.; Lang, H. Two-Stage Hepatectomy and ALPPS for Advanced Bilateral Liver Metastases: A Tailored Approach Balancing Risk and Outcome. J. Gastrointest. Surg. 2019, 23, 2391–2400. [Google Scholar] [CrossRef] [PubMed]
- Schnitzbauer, A.A.; Lang, S.A.; Goessmann, H.; Nadalin, S.; Baumgart, J.; Farkas, S.A.; Fichtner-Feigl, S.; Lorf, T.; Goralcyk, A.; Horbelt, R.; et al. Right portal vein ligation combined with in situ splitting induces rapid left lateral liver lobe hypertrophy enabling 2-staged extended right hepatic resection in small-for-size settings. Ann. Surg. 2012, 255, 405–414. [Google Scholar] [CrossRef]
- Ayabe, R.I.; Vauthey, J.N.; Newhook, T.E. Optimizing the future liver remnant: Portal vein embolization, hepatic venous deprivation, and associating liver partition and portal vein ligation for staged hepatectomy. Surgery 2023, 174, 116–118. [Google Scholar] [CrossRef]
- Guiu, B.; Chevallier, P.; Denys, A.; Delhom, E.; Pierredon-Foulongne, M.A.; Rouanet, P.; Fabre, J.M.; Quenet, F.; Herrero, A.; Panaro, F.; et al. Simultaneous trans-hepatic portal and hepatic vein embolization before major hepatectomy: The liver venous deprivation technique. Eur. Radiol. 2016, 26, 4259–4267. [Google Scholar] [CrossRef]
- Langella, S.; Menonna, F.; Casella, M.; Russolillo, N.; Lo Tesoriere, R.; Alessandro, F. Vascular Resection During Hepatectomy for Liver Malignancies. Results from a Tertiary Center using Autologous Peritoneal Patch for Venous Reconstruction. World J. Surg. 2020, 44, 3100–3107. [Google Scholar] [CrossRef] [PubMed]
- Saiura, A.; Yamamoto, J.; Sakamoto, Y.; Koga, R.; Seki, M.; Kishi, Y. Safety and efficacy of hepatic vein reconstruction for colorectal liver metastases. Am. J. Surg. 2011, 202, 449–454. [Google Scholar] [CrossRef] [PubMed]
- Aoki, T.; Sugawara, Y.; Imamura, H.; Seyama, Y.; Minagawa, M.; Hasegawa, K.; Kokudo, N.; Makuuchi, M. Hepatic resection with reconstruction of the inferior vena cava or hepatic venous confluence for metastatic liver tumor from colorectal cancer. J. Am. Coll. Surg. 2004, 198, 366–372. [Google Scholar] [CrossRef] [PubMed]
- Urbani, L.; Masi, G.; Puccini, M.; Colombatto, P.; Vivaldi, C.; Balestri, R.; Marioni, A.; Prosperi, V.; Forfori, F.; Licitra, G.; et al. Minor-but-Complex Liver Resection: An Alternative to Major Resections for Colorectal Liver Metastases Involving the Hepato-Caval Confluence. Medicine 2015, 94, e1188. [Google Scholar] [CrossRef] [PubMed]
- Strasberg, S.M. Nomenclature of hepatic anatomy and resections: A review of the Brisbane 2000 system. J. Hepato-Biliary-Pancreat. Surg. 2005, 12, 351–355. [Google Scholar] [CrossRef]
- Dindo, D.; Demartines, N.; Clavien, P.A. Classification of surgical complications: A new proposal with evaluation in a cohort of 6336 patients and results of a survey. Ann. Surg. 2004, 240, 205–213. [Google Scholar] [CrossRef] [PubMed]
- Mullen, J.T.; Ribero, D.; Reddy, S.K.; Donadon, M.; Zorzi, D.; Gautam, S.; Abdalla, E.K.; Curley, S.A.; Capussotti, L.; Clary, B.M.; et al. Hepatic insufficiency and mortality in 1,059 noncirrhotic patients undergoing major hepatectomy. J. Am. Coll. Surg. 2007, 204, 854–862. [Google Scholar] [CrossRef]
- Adam, R.; Wicherts, D.A.; de Haas, R.J.; Ciacio, O.; Levi, F.; Paule, B.; Ducreux, M.; Azoulay, D.; Bismuth, H.; Castaing, D. Patients with initially unresectable colorectal liver metastases: Is there a possibility of cure? J. Clin. Oncol. Off. J. Am. Soc. Clin. Oncol. 2009, 27, 1829–1835. [Google Scholar] [CrossRef]
- Wicherts, D.A.; de Haas, R.J.; Adam, R. Bringing unresectable liver disease to resection with curative intent. Eur. J. Surg. Oncol. J. Eur. Soc. Surg. Oncol. Br. Assoc. Surg. Oncol. 2007, 33 (Suppl. 2), S42–S51. [Google Scholar] [CrossRef]
- Radulova-Mauersberger, O.; Weitz, J.; Riediger, C. Vascular surgery in liver resection. Langenbecks Arch. Surg. 2021, 406, 2217–2248. [Google Scholar] [CrossRef]
- Ko, S.; Kirihataya, Y.; Matsusaka, M.; Mukogawa, T.; Ishikawa, H.; Watanabe, A. Parenchyma-Sparing Hepatectomy with Vascular Reconstruction Techniques for Resection of Colorectal Liver Metastases with Major Vascular Invasion. Ann. Surg. Oncol. 2016, 23 (Suppl. 4), 501–507. [Google Scholar] [CrossRef] [PubMed][Green Version]
- Tanaka, K.; Matsuyama, R.; Takeda, K.; Matsuo, K.; Nagano, Y.; Endo, I. Aggressive liver resection including major-vessel resection for colorectal liver metastases. World J. Hepatol. 2009, 1, 79–89. [Google Scholar] [CrossRef] [PubMed]
- Poultsides, G.A.; Schulick, R.D.; Pawlik, T.M. Hepatic resection for colorectal metastases: The impact of surgical margin status on outcome. HPB 2010, 12, 43–49. [Google Scholar] [CrossRef] [PubMed]
- Torzilli, G.; Montorsi, M.; Donadon, M.; Palmisano, A.; Del Fabbro, D.; Gambetti, A.; Olivari, N.; Makuuchi, M. “Radical but conservative” is the main goal for ultrasonography-guided liver resection: Prospective validation of this approach. J. Am. Coll. Surg. 2005, 201, 517–528. [Google Scholar] [CrossRef]
- Gold, J.S.; Are, C.; Kornprat, P.; Jarnagin, W.R.; Gönen, M.; Fong, Y.; DeMatteo, R.P.; Blumgart, L.H.; D’Angelica, M. Increased use of parenchymal-sparing surgery for bilateral liver metastases from colorectal cancer is associated with improved mortality without change in oncologic outcome: Trends in treatment over time in 440 patients. Ann. Surg. 2008, 247, 109–117. [Google Scholar] [CrossRef] [PubMed]
- Moris, D.; Ronnekleiv-Kelly, S.; Rahnemai-Azar, A.A.; Felekouras, E.; Dillhoff, M.; Schmidt, C.; Pawlik, T.M. Parenchymal-Sparing Versus Anatomic Liver Resection for Colorectal Liver Metastases: A Systematic Review. J. Gastrointest. Surg. 2017, 21, 1076–1085. [Google Scholar] [CrossRef] [PubMed]
- van Dam, R.M.; Lodewick, T.M.; van den Broek, M.A.; de Jong, M.C.; Greve, J.W.; Jansen, R.L.; Bemelmans, M.H.; Neumann, U.P.; Olde Damink, S.W.; Dejong, C.H. Outcomes of extended versus limited indications for patients undergoing a liver resection for colorectal cancer liver metastases. HPB 2014, 16, 550–559. [Google Scholar] [CrossRef]
- Viganò, L.; Procopio, F.; Cimino, M.M.; Donadon, M.; Gatti, A.; Costa, G.; Del Fabbro, D.; Torzilli, G. Is Tumor Detachment from Vascular Structures Equivalent to R0 Resection in Surgery for Colorectal Liver Metastases? An Observational Cohort. Ann. Surg. Oncol. 2016, 23, 1352–1360. [Google Scholar] [CrossRef]
- Miyazaki, M.; Ito, H.; Nakagawa, K.; Ambiru, S.; Shimizu, H.; Okuno, A.; Nukui, Y.; Yoshitomi, H.; Kusashio, K.; Furuya, S.; et al. Aggressive surgical resection for hepatic metastases involving the inferior vena cava. Am. J. Surg. 1999, 177, 294–298. [Google Scholar] [CrossRef]
- Serradilla-Martín, M.; Oliver-Guillén, J.R.; Ruíz-Quijano, P.; Palomares-Cano, A.; de la Plaza-Llamas, R.; Ramia, J.M. Surgery of Colorectal Liver Metastases Involving the Inferior Vena Cava: A Systematic Review. Cancers 2023, 15, 2965. [Google Scholar] [CrossRef]
- Lodge, J.P.; Ammori, B.J.; Prasad, K.R.; Bellamy, M.C. Ex vivo and in situ resection of inferior vena cava with hepatectomy for colorectal metastases. Ann. Surg. 2000, 231, 471–479. [Google Scholar] [CrossRef] [PubMed]
- Ohwada, S.; Ogawa, T.; Kawashima, Y.; Ohya, T.; Kobayashi, I.; Tomizawa, N.; Otaki, A.; Takeyoshi, I.; Nakamura, S.; Morishita, Y. Concomitant major hepatectomy and inferior vena cava reconstruction. J. Am. Coll. Surg. 1999, 188, 63–71. [Google Scholar] [CrossRef]
- Hemming, A.W.; Reed, A.I.; Langham, M.R., Jr.; Fujita, S.; Howard, R.J. Combined resection of the liver and inferior vena cava for hepatic malignancy. Ann. Surg. 2004, 239, 712–719, discussion 719–721. [Google Scholar] [CrossRef]
- Johnson, S.T.; Blitz, M.; Kneteman, N.; Bigam, D. Combined hepatic and inferior vena cava resection for colorectal metastases. J. Gastrointest. Surg. 2006, 10, 220–226. [Google Scholar] [CrossRef]
- Hannoun, L.; Delrivière, L.; Gibbs, P.; Borie, D.; Vaillant, J.C.; Delva, E. Major extended hepatic resections in diseased livers using hypothermic protection: Preliminary results from the first 12 patients treated with this new technique. J. Am. Coll. Surg. 1996, 183, 597–605. [Google Scholar]
- Malde, D.J.; Khan, A.; Prasad, K.R.; Toogood, G.J.; Lodge, J.P. Inferior vena cava resection with hepatectomy: Challenging but justified. HPB 2011, 13, 802–810. [Google Scholar] [CrossRef]





| Direct Suture | Peritoneal Patch | Bovine Patch | Gore Vascular Graft | |
|---|---|---|---|---|
| Vena cava inferior; n = 19 | 11 | 1 | 6 | 1 |
| Portal vein; n = 6 | 6 | 0 | 0 | 0 |
| Hepatic vein n = 10 | 6 | 3 | 1 | 0 |
| Parameter | Negative Vascular Infiltration (n = 26) | Positive Vascular Infiltration (n =6) | p Value |
|---|---|---|---|
| Age (yr, median, range) | 59 (48–72) | 64 (50–76) | 0.39 |
| Gender | |||
| Male | 14 | 5 | 0.19 |
| Female | 12 | 1 | |
| ASA classification (median, range) | 2.5 (2–3) | 2 (2–3) | 0.14 |
| Primary tumour site | |||
| Colon | 12 | 4 | 0.37 |
| Rectum | 14 | 2 | |
| Primary tumour nodal status | |||
| Positive | 18 | 4 | |
| Negative | 6 | 2 | 0.72 |
| NA * | 2 | - | |
| Liver metastases | |||
| Synchronous | 20 | 2 | 0.04 |
| Metachronous | 6 | 4 | |
| Number of liver metastases (median, range) | 2 (1–11) | 2 (1–3) | 0.96 |
| Size of liver metastases (median, range) | 3.9 (0.5–9) | 4.5 (2–10.5) | 0.53 |
| Extend of liver metastases | |||
| Solitary | 6 | 2 | 0.60 |
| Multifocal | 20 | 4 | |
| Unilateral | 9 | 4 | 0.15 |
| Bilateral | 17 | 2 | |
| Recurrent liver metastases | |||
| Yes | 12 | 3 | 0.87 |
| No | 14 | 3 | |
| Preoperative chemotherapy | |||
| Yes | 16 | 2 | 0.21 |
| No | 10 | 4 |
| Parameter | Negative Vascular Infiltration (n = 26) | Positive Vascular Infiltration (n = 6) | p Value |
|---|---|---|---|
| Extend of hepatectomy | |||
| Minor | 11 | 3 | 0.92 |
| Major | 11 | 2 | |
| Extended resection | 4 | 1 | |
| One staged hepatectomy | 24 | 6 | 0.78 |
| Two staged hepatectomy | 1 | 0 | |
| ALPPS | 1 | 0 | |
| Resected vessels * | |||
| Portal vein | 4 | 2 | 0.31 |
| Inferior vena cava | 15 | 4 | 0.16 |
| Hepatic vein | 8 | 2 | 0.90 |
| Reconstruction | |||
| Primary suture | 18 | 5 | 0.09 |
| Patch plastic | 9 | 2 | |
| Synthetic graft replacement | - | 1 | |
| Resection margin | |||
| R0 | 24 | 3 | 0.01 |
| R1 | 2 | 3 | |
| Hospital stay (days, median, range) | 19 (7–40) | 12 (7–31) | 0.48 |
| Morbidity (≥ grade 3 **) | |||
| Yes | 10 | 3 | 0.60 |
| No | 16 | 3 | |
| 90-day mortality | 0 | 0 |
| Patient | Gender | Age | Primary Tumour Site | Liver Metastases | Resected Vessel | Reconstruction | Extend of Liver Resection | Resection Margin | Number of Metastases | Hospital Stay (Days) | Morbidity (≥Grade 3) | Recurrence (Yes/No) | Recurrence Site | Follow Up/Status |
|---|---|---|---|---|---|---|---|---|---|---|---|---|---|---|
| 1 | M | 58 | Colon | metachronous | VCI | Synthetic graft replacement | minor | R0 | 1 | 8 | no | yes | disseminated | died after 93.83 months |
| 2 | F | 56 | Colon | synchronous | VCI + PV | Primary suture | minor | R0 | 2 | 10 | no | yes | disseminated | died after 7.93 months |
| 3 | M | 74 | Colon | metachronous | PV | Primary suture | major | R0 | >5 | 14 | 3a | yes | lung | alive after 40.27 months |
| 4 | M | 76 | Rectum | metachronous | HV | Patch plastic | minor | R1 | 3 | 7 | no | yes | liver | alive after 10.33 months |
| 5 | M | 50 | Colon | synchronous | VCI | Patch plastic | major | R1 | 2 | 31 | 3a | yes | liver | alive 10.47 months |
| 6 | M | 70 | Rectum | metachronous | VCI + HV | Primary suture | extended | R1 | 1 | 15 | 3a | no | - | alive after 3.9 months |
Disclaimer/Publisher’s Note: The statements, opinions and data contained in all publications are solely those of the individual author(s) and contributor(s) and not of MDPI and/or the editor(s). MDPI and/or the editor(s) disclaim responsibility for any injury to people or property resulting from any ideas, methods, instructions or products referred to in the content. |
© 2024 by the authors. Licensee MDPI, Basel, Switzerland. This article is an open access article distributed under the terms and conditions of the Creative Commons Attribution (CC BY) license (https://creativecommons.org/licenses/by/4.0/).
Share and Cite
Baumgart, J.; Hiller, S.; Stroh, K.; Kloth, M.; Lang, H. Resection of Colorectal Liver Metastases with Major Vessel Involvement. Cancers 2024, 16, 571. https://doi.org/10.3390/cancers16030571
Baumgart J, Hiller S, Stroh K, Kloth M, Lang H. Resection of Colorectal Liver Metastases with Major Vessel Involvement. Cancers. 2024; 16(3):571. https://doi.org/10.3390/cancers16030571
Chicago/Turabian StyleBaumgart, Janine, Sebastian Hiller, Kristina Stroh, Michael Kloth, and Hauke Lang. 2024. "Resection of Colorectal Liver Metastases with Major Vessel Involvement" Cancers 16, no. 3: 571. https://doi.org/10.3390/cancers16030571
APA StyleBaumgart, J., Hiller, S., Stroh, K., Kloth, M., & Lang, H. (2024). Resection of Colorectal Liver Metastases with Major Vessel Involvement. Cancers, 16(3), 571. https://doi.org/10.3390/cancers16030571
