Long-Term Breast Cancer Risk in Hodgkin Lymphoma Survivors: Evaluating Background Parenchymal Enhancement and Radiotherapy-Induced Toxicity
Simple Summary
Abstract
1. Introduction
2. Materials and Methods
2.1. Study Endpoint
- To analyze the incidence of breast cancer in patients treated with chemotherapy and chest radiation for Hodgkin lymphoma;
- To compare the risk of breast cancer in Hodgkin lymphoma survivors with age-matched women at high risk for breast cancer, such as those with BRCA1 or BRCA2 mutations;
- To examine and compare the background parenchymal enhancement (BPE) in irradiated areas of patients with Hodgkin lymphoma versus those without a history of cancer.
2.2. Study Parameters and Variables
2.2.1. Patient Demographics
- Age: the age range of the study participants was between 22 and 49 years, with a median age of 35 years at the time of MRI examination;
- Age at Treatment: participants were treated for Hodgkin lymphoma at a median age of 25 years (range 12–36 years);
- Time Since Treatment: the median time since receiving radiotherapy was 15 years (range 10–19 years).
2.2.2. Radiotherapy Parameters
- Type of Radiotherapy: Involved-field radiotherapy (IF-RT) was used, delivering 30 Gy in 15 fractions (2 Gy per fraction). This focused on the thoracic region, including lymph node areas affected by Hodgkin lymphoma;
- Radiation Dose: a total dose of 30 Gy was administered using 3D conformal radiotherapy (3DCRT) techniques.
2.2.3. Chemotherapy
- Chemotherapy Regimen: all patients received the ABVD regimen (adriamycin, bleomycin, vinblastine, and dacarbazine) with four cycles, each lasting 28 days, administered on days 1 and 15 of each cycle.
2.2.4. Breast Cancer Risk Assessment:
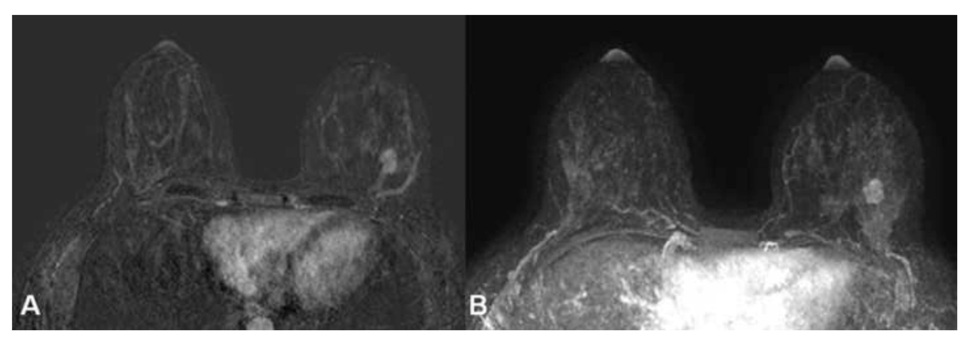
- Background Parenchymal Enhancement (BPE): The degree of normal breast tissue enhancement after gadolinium contrast administration was measured using MRI. BPE was classified into the following four categories: minimal (Type 1), mild (Type 2), moderate (Type 3), and marked (Type 4);
- Breast MRI Findings: MRI was used to evaluate breast tissue characteristics, including BPE and the presence of any abnormal lesions or malignant findings. The MRI sequences included T1-weighted imaging, T2-weighted imaging, dynamic contrast-enhanced imaging, and subtraction imaging for detecting enhancing lesions.
2.2.5. Control Group Variables
- High-Risk Breast Cancer Cohort: a comparison group of 62 age-matched women at high risk of breast cancer, such as those with BRCA1 or BRCA2 mutations, was used for comparison;
- BPE Distribution in Control Group: BPE patterns were also evaluated in the control group to compare breast tissue characteristics between Hodgkin lymphoma survivors and high-risk women without prior cancer.
2.2.6. Malignant Lesions Detection
2.3. Magnetic Resonance Imaging Protocol
2.4. Image Analysis
2.5. Statistical Analysis
3. Results
- Minimal BPE (Type 1): 12.9% (8 women);
- Mild BPE (Type 2): 25.8% (16 women);
- Moderate BPE (Type 3): 41.9% (26 women);
- Marked BPE (Type 4): 19.4% (12 women).
- Minimal BPE (Type 1): 19.4% (12 women);
- Mild BPE (Type 2): 35.5% (22 women);
- Moderate BPE (Type 3): 32.3% (20 women);
- Marked BPE (Type 4): 12.9% (8 women).
4. Discussion
Limitations of the Study
5. Conclusions
Author Contributions
Funding
Institutional Review Board Statement
Informed Consent Statement
Data Availability Statement
Conflicts of Interest
Abbreviations
| HL | Hodgkin Lymphoma | 
| RT | Radiotherapy | 
| IF-RT | Involved Field Radiotherapy | 
| ABVD | Adriamycin, Bleomycin, Vinblastine, Dacarbazine (chemotherapy regimen) | 
| BPE | Background Parenchymal Enhancement | 
| BC | Breast Cancer | 
| MRI | Magnetic Resonance Imaging | 
| DBT | Digital Breast Tomosynthesis | 
| 3DCRT | 3D Conformal Radiotherapy | 
| DCIS | Ductal Carcinoma In Situ | 
| NST | Non-Special Type (of breast cancer) | 
| MIP | Maximum Intensity Projection | 
| T1WI | T1-Weighted Imaging (MRI sequence) | 
| T2WI | T2-Weighted Imaging (MRI sequence) | 
| STIR | Short TI Inversion Recovery (MRI sequence) | 
| THRIVE | T1 High Resolution Isotropic Volume (MRI sequence) | 
| FOV | Field of View | 
| TR | Repetition Time (MRI parameter) | 
| TE | Echo Time (MRI parameter) | 
| TI | Inversion Time (MRI parameter) | 
| SENSE | Sensitivity Encoding (MRI technique) | 
| χ2 | Chi-Square Test (statistical test) | 
| κ | Cohen’s Kappa (inter-rater agreement statistic) | 
References
- Gaudio, F.; Giordano, A.; Pavone, V.; Perrone, T.; Curci, P.; Pastore, D.; Delia, M.; Risi, C.D.; Spina, A.; Liso, V.; et al. Outcome of Very Late Relapse in Patients with Hodgkin’s Lymphomas. Adv. Hematol. 2010, 2011, 707542. [Google Scholar] [CrossRef] [PubMed][Green Version]
- Laddaga, F.E.; Moschetta, M.; Perrone, T.; Perrini, S.; Colonna, P.; Ingravallo, G.; D’abbicco, D.; Specchia, G.; Gaudio, F. Long-term Hodgkin Lymphoma Survivors: A Glimpse of What Happens 10 Years After Treatment. Clin. Lymphoma Myeloma Leuk. 2020, 20, e506–e512. [Google Scholar] [CrossRef] [PubMed]
- Travis, L.B.; Hill, D.A.; Dores, G.; Gospodarowicz, M.; Van Leeuwen, F.E.; Holowaty, E.; Glimelius, B.; Andersson, M.; Wiklund, T.; Lynch, C.F.; et al. Breast Cancer Following Radiotherapy and Chemotherapy Among Young Women with Hodgkin Disease. JAMA 2003, 290, 465–475. [Google Scholar] [CrossRef] [PubMed]
- Sud, A.; Thomsen, H.; Sundquist, K.; Houlston, R.S.; Hemminki, K. Risk of Second Cancer in Hodgkin Lymphoma Survivors and Influence of Family History. J. Clin. Oncol. 2017, 35, 1584–1590. [Google Scholar] [CrossRef] [PubMed]
- Ibrahim, E.M.; Abouelkhair, K.M.; Kazkaz, G.A.; Elmasri, O.A.; Al-Foheidi, M. Risk of second breast cancer in female Hodgkin’s lymphoma survivors: A meta-analysis. BMC Cancer 2012, 12, 197. [Google Scholar] [CrossRef]
- van Leeuwen, F.E.; Ng, A.K. Long-term risk of second malignancy and cardiovascular disease after Hodgkin lymphoma treatment. Hematology 2016, 2016, 323–330. [Google Scholar] [CrossRef]
- Gaudio, F.; Nardelli, C.; Masciandaro, P.; Perrone, T.; Laddaga, F.E.; Curci, P.; Depalo, R.; Cicinelli, E.; Specchia, G. Pregnancy rate and outcome of pregnancies in long-term survivors of Hodgkin’s lymphoma. Ann. Hematol. 2019, 98, 1947–1952. [Google Scholar] [CrossRef]
- Laddaga, F.E.; Masciopinto, P.; Nardelli, C.; Vacca, M.P.; Masciandaro, P.; Arcuti, E.; Cicinelli, E.; Specchia, G.; Musto, P.; Gaudio, F. In male Hodgkin lymphoma patients, impaired fertility may be improved by non-gonadotoxic therapy. Br. J. Haematol. 2021, 196, 110–115. [Google Scholar] [CrossRef]
- Elkin, E.B.; Klem, M.L.; Gonzales, A.M.; Ishill, N.M.; Hodgson, D.; Ng, A.K.; Marks, L.B.; Weidhaas, J.; Freedman, G.M.; Miller, R.C.; et al. Characteristics and Outcomes of Breast Cancer in Women with and without a History of Radiation for Hodgkin’s Lymphoma: A Multi-Institutional, Matched Cohort Study. J. Clin. Oncol. 2011, 29, 2466–2473. [Google Scholar] [CrossRef]
- Wolden, S.L.; Hancock, S.L.; Carlson, R.W.; Goffinet, D.R.; Jeffrey, S.S.; Hoppe, R.T. Management of Breast Cancer After Hodgkin’s Disease. J. Clin. Oncol. 2000, 18, 765. [Google Scholar] [CrossRef]
- Telegrafo, M.; Rella, L.; Stabile Ianora, A.A.; Angelelli, G.; Moschetta, M. Breast MRI background parenchymal enhancement (BPE) correlates with the risk of breast cancer. Magn. Reson. Imaging 2016, 34, 173–176. [Google Scholar] [CrossRef] [PubMed]
- Dilorenzo, G.; Telegrafo, M.; La Forgia, D.; Stabile Ianora, A.A.; Moschetta, M. Breast MRI background parenchymal enhancement as an imaging bridge to molecular cancer sub-type. Eur. J. Radiol. 2019, 113, 148–152. [Google Scholar] [CrossRef]
- Saslow, D.; Boetes, C.; Burke, W.; Harms, S.; Leach, M.O.; Lehman, C.D.; Morris, E.; Pisano, E.; Schnall, M.; Sener, S.; et al. American Cancer Society Guidelines for Breast Screening with MRI as an Adjunct to Mammography. CA Cancer J. Clin. 2007, 57, 75–89. [Google Scholar] [CrossRef] [PubMed]
- Sardanelli, F.; Boetes, C.; Borisch, B.; Decker, T.; Federico, M.; Gilbert, F.J.; Helbich, T.; Heywang-Köbrunner, S.H.; Kaiser, W.A.; Kerin, M.J.; et al. Magnetic resonance imaging of the breast: Recommendations from the EUSOMA working group. Eur. J. Cancer 2010, 46, 1296–1316. [Google Scholar] [CrossRef] [PubMed]
- Kuhl, C.K.; Schild, H.H.; Morakkabati, N. Dynamic Bilateral Contrast-enhanced MR Imaging of the Breast: Trade-off between Spatial and Temporal Resolution. Radiology 2005, 236, 789–800. [Google Scholar] [CrossRef]
- Baum, F.; Fischer, U.; Vosshenrich, R.; Grabbe, E. Classification of hypervascularized lesions in CE MR imaging of the breast. Eur. Radiol. 2002, 12, 1087–1092. [Google Scholar] [CrossRef]
- Müller-Schimpfle, M.; Ohmenhaüser, K.; Stoll, P.; Dietz, K.; Claussen, C.D. Menstrual cycle and age: Influence on parenchymal contrast medium enhancement in MR imaging of the breast. Radiology 1997, 203, 145–149. [Google Scholar] [CrossRef]
- King, V.; Gu, Y.; Kaplan, J.B.; Brooks, J.D.; Pike, M.C.; Morris, E.A. Impact of menopausal status on background parenchymal enhancement and fibroglandular tissue on breast MRI. Eur. Radiol. 2012, 22, 2641–2647. [Google Scholar] [CrossRef]
- Telegrafo, M.; Rella, L.; Stabile Ianora, A.A.; Angelelli, G.; Moschetta, M. Effect of background parenchymal enhancement on breast cancer detection with magnetic resonance imaging. Diagn. Interv. Imaging 2016, 97, 315–320. [Google Scholar] [CrossRef]
- Lee, C.H.; Dershaw, D.D.; Kopans, D.; Evans, P.; Monsees, B.; Monticciolo, D.; Brenner, R.J.; Bassett, L.; Berg, W.; Feig, S.; et al. Breast Cancer Screening with Imaging: Recommendations from the Society of Breast Imaging and the ACR on the Use of Mammography, Breast MRI, Breast Ultrasound, and Other Technologies for the Detection of Clinically Occult Breast Cancer. J. Am. Coll. Radiol. 2010, 7, 18–27. [Google Scholar] [CrossRef]
- Voorhees, T.J.; Beaven, A.W. Therapeutic updates for relapsed and refractory classical Hodgkin lymphoma. Cancers 2020, 12, 2887. [Google Scholar] [CrossRef] [PubMed]
- Gaudio, F.; Loseto, G.; Bozzoli, V.; Scalzulli, P.R.; Mazzone, A.M.; Tonialini, L.; Fesce, V.; Quintana, G.; De Santis, G.; Masciopinto, P.; et al. A real-world analysis of PD1 blockade from the Rete Ematologica Pugliese (REP) in patients with relapse/refractory Hodgkin’s lymphoma. Ann. Hematol. 2023, 102, 385–392. [Google Scholar] [CrossRef] [PubMed]
- Schaapveld, M.; Aleman, B.M.P.; Van Eggermond, A.M.; Janus, C.P.M.; Krol, S.; Van Der Maazen, R.W.M.; Roesink, J.M.; Raemaekers, J.M.M.; De Boer, J.P.; Zijlstra, J.M.; et al. Second Cancer Risk Up to 40 Years after Treatment for Hodgkin’s Lymphoma. N. Engl. J. Med. 2015, 373, 2499–2511. [Google Scholar] [CrossRef]
- Swerdlow, A.J.; Cooke, R.; Bates, A.; Cunningham, D.; Falk, S.J.; Gilson, D.; Hancock, B.W.; Harris, S.J.; Horwich, A.; Hoskin, P.J.; et al. Breast Cancer Risk After Supradiaphragmatic Radiotherapy for Hodgkin’s Lymphoma in England and Wales: A National Cohort Study. J. Clin. Oncol. 2012, 30, 2745–2752. [Google Scholar] [CrossRef]
- de Vries, S.; Krul, I.M.; Schaapveld, M.; Janus, C.P.M.; Rademakers, S.E.; Roesink, J.M.; Nijziel, M.R.; Bilgin, Y.M.; Aleman, B.M.P.; van Leeuwen, F.E. Risk of male breast cancer after Hodgkin lymphoma. Blood 2023, 142, 806–811. [Google Scholar] [CrossRef] [PubMed]
- Meyer, R.M.; Gospodarowicz, M.K.; Connors, J.M.; Pearcey, R.G.; Wells, W.A.; Winter, J.N.; Horning, S.J.; Dar, A.R.; Shustik, C.; Stewart, D.A.; et al. ABVD Alone versus Radiation-Based Therapy in Limited-Stage Hodgkin’s Lymphoma. N. Engl. J. Med. 2012, 366, 399–408. [Google Scholar] [CrossRef]
- Weber, D.C.; Peguret, N.; Dipasquale, G.; Cozzi, L. Involved node and involved-field volumetric modulated arc vs. fixed beam intensity-modulated radiotherapy for female patients with early-stage supra-diaphragmatic Hodgkin’s lymphoma: A comparative planning study. Int. J. Radiat. Oncol. Biol. Phys. 2009, 75, 1578–1586. [Google Scholar] [CrossRef] [PubMed]
- Campbell, B.A.; Voss, N.; Pickles, T.; Morris, J.; Gascoyne, R.D.; Savage, K.J.; Connors, J.M. Involved-Nodal Radiation Therapy As a Component of Combination Therapy for Limited-Stage Hodgkin’s Lymphoma: A Question of Field Size. J. Clin. Oncol. 2008, 26, 5170–5174. [Google Scholar] [CrossRef]
- Vlachaki, M.T.; Kumar, S. Helical tomotherapy in the radiotherapy treatment of Hodgkin’s disease—A feasibility study. J. Appl. Clin. Med. Phys. 2010, 11, 77–87. [Google Scholar] [CrossRef]
- Engert, A.; Plütschow, A.; Eich, H.T.; Lohri, A.; Dörken, B.; Borchmann, P.; Berger, B.; Greil, R.; Willborn, K.C.; Wilhelm, M.; et al. Results of a prospective randomized clinical trial of doxorubicin, bleomycin, vinblastine, and dacarbazine (ABVD) followed by radiation therapy (RT) versus ABVD alone for stages I, II, and IIIA nonbulky Hodgkin disease. Blood 2004, 104, 3483–3489. [Google Scholar]
- André, M.P.E.; Girinsky, T.; Federico, M.; Reman, O.; Fortpied, C.; Gotti, M.; Casasnovas, O.; Brice, P.; van der Maazen, R.; Re, A.; et al. Early positron emission tomography response-adapted treatment in stage I and II Hodgkin lymphoma: Final results of the randomized EORTC/LYSA/FIL H10 trial. J. Clin. Oncol. 2017, 35, 1786–1794. [Google Scholar] [CrossRef] [PubMed]
- Mariscotti, G.; Belli, P.; Bernardi, D.; Brancato, B.; Calabrese, M.; Carbonaro, L.A.; Cavallo-Marincola, B.; Caumo, F.; Clauser, P.; Martinchich, L.; et al. Mammography and MRI for screening women who underwent chest radiation therapy (lymphoma survivors): Recommendations for surveillance from the Italian College of Breast Radiologists by SIRM. Radiol. Medica 2016, 121, 834–837. [Google Scholar] [CrossRef] [PubMed][Green Version]
- Moschetta, M.; Telegrafo, M.; Rella, L.; Capolongo, A.; Stabile Ianora, A.A.; Angelelli, G. MR evaluation of breast lesions obtained by diffusion-weighted imaging with background body signal suppression (DWIBS) and correlations with histological findings. Magn. Reson. Imaging 2014, 32, 605–609. [Google Scholar] [CrossRef] [PubMed]
- Moskowitz, C.S.; Chou, J.F.; Sklar, C.A.; Barnea, D.; Ronckers, C.M.; Friedman, D.N.; Neglia, J.P.; Turcotte, L.; Howell, R.M.; Henderson, T.O.; et al. Radiation-associated breast cancer and gonadal hormone exposure: A report from the Childhood Cancer Survivor Study. Br. J. Cancer 2017, 117, 290–299. [Google Scholar] [CrossRef]
- Zeng, L.; Lo, G.; Moshonov, H.; Liang, J.; Hodgson, D.; Crystal, P. Breast Background Parenchymal Enhancement on Screening Magnetic Resonance Imaging in Women Who Received Chest Radiotherapy for Childhood Hodgkin’s Lymphoma. Acad. Radiol. 2016, 23, 168–175. [Google Scholar] [CrossRef]
- Rella, R.; Contegiacomo, A.; Bufi, E.; Mercogliano, S.; Belli, P.; Manfredi, R. Background parenchymal enhancement and breast cancer: A review of the emerging evidences about its potential use as imaging biomarker. Br. J. Radiol. 2021, 94, 20200630. [Google Scholar] [CrossRef] [PubMed]
- Cheson, B.D.; Bartlett, N.L.; LaPlant, B.; Lee, H.J.; Advani, R.J.; Christian, B.; Diefenbach, C.S.; Feldman, T.A.; Ansell, S.M. Brentuximab vedotin plus nivolumab as first-line therapy in older or chemotherapy-ineligible patients with Hodgkin lymphoma (ACCRU): A multicentre, single-arm, phase 2 trial. Lancet Haematol. 2020, 7, e808–e815. [Google Scholar] [CrossRef]
- Bröckelmann, P.J.; Goergen, H.; Keller, U.; Meissner, J.; Ordemann, R.; Halbsguth, T.V.; Sasse, S.; Sökler, M.; Kerkhoff, A.; Mathas, S.; et al. Efficacy of Nivolumab and AVD in Early-Stage Unfavorable Classic Hodgkin Lymphoma: The Randomized Phase 2 German Hodgkin Study Group NIVAHL Trial. JAMA Oncol. 2020, 6, 872–880. [Google Scholar] [CrossRef]


| BPE1 | BPE2 | BPE3 | BPE4 | p Value | |
|---|---|---|---|---|---|
| HL SURVIVORS | 13 (21%) | 18 (29%) | 16 (26%) | 15 (24%) | p = 0.98 | 
| CONTROL | 12 (19%) | 20 (32%) | 15 (24%) | 15 (24%) | 
| Mean | Standard Deviation | R | p | Multivariate Regression | |
|---|---|---|---|---|---|
| Age | 35.56 | 7.56 | −0.07 | 0.22 | R2 = 0.08 p = 0.17 | 
| Age at treatment | 19.16 | 7.65 | 0.1 | 0.11 | |
| Years from treatment | 15.88 | 6.66 | 0.06 | 0.35 | 
| Disclaimer/Publisher’s Note: The statements, opinions and data contained in all publications are solely those of the individual author(s) and contributor(s) and not of MDPI and/or the editor(s). MDPI and/or the editor(s) disclaim responsibility for any injury to people or property resulting from any ideas, methods, instructions or products referred to in the content. | 
© 2024 by the authors. Licensee MDPI, Basel, Switzerland. This article is an open access article distributed under the terms and conditions of the Creative Commons Attribution (CC BY) license (https://creativecommons.org/licenses/by/4.0/).
Share and Cite
Laddaga, F.E.; Telegrafo, M.; Garzillo, C.; Fiorentino, A.; Sardaro, A.; Martinotti, S.; Moschetta, M.; Gaudio, F. Long-Term Breast Cancer Risk in Hodgkin Lymphoma Survivors: Evaluating Background Parenchymal Enhancement and Radiotherapy-Induced Toxicity. Cancers 2024, 16, 4091. https://doi.org/10.3390/cancers16234091
Laddaga FE, Telegrafo M, Garzillo C, Fiorentino A, Sardaro A, Martinotti S, Moschetta M, Gaudio F. Long-Term Breast Cancer Risk in Hodgkin Lymphoma Survivors: Evaluating Background Parenchymal Enhancement and Radiotherapy-Induced Toxicity. Cancers. 2024; 16(23):4091. https://doi.org/10.3390/cancers16234091
Chicago/Turabian StyleLaddaga, Filomena Emanuela, Michele Telegrafo, Carmela Garzillo, Alba Fiorentino, Angela Sardaro, Stefano Martinotti, Marco Moschetta, and Francesco Gaudio. 2024. "Long-Term Breast Cancer Risk in Hodgkin Lymphoma Survivors: Evaluating Background Parenchymal Enhancement and Radiotherapy-Induced Toxicity" Cancers 16, no. 23: 4091. https://doi.org/10.3390/cancers16234091
APA StyleLaddaga, F. E., Telegrafo, M., Garzillo, C., Fiorentino, A., Sardaro, A., Martinotti, S., Moschetta, M., & Gaudio, F. (2024). Long-Term Breast Cancer Risk in Hodgkin Lymphoma Survivors: Evaluating Background Parenchymal Enhancement and Radiotherapy-Induced Toxicity. Cancers, 16(23), 4091. https://doi.org/10.3390/cancers16234091
 
        
 
                                                



 
       