Synchronized Contrast-Enhanced 4DCT Simulation for Target Volume Delineation in Abdominal SBRT
Simple Summary
Abstract
1. Introduction
2. Materials and Methods
2.1. Baseline 4DCT Procedure
2.2. Personalized Delay Time Calculation
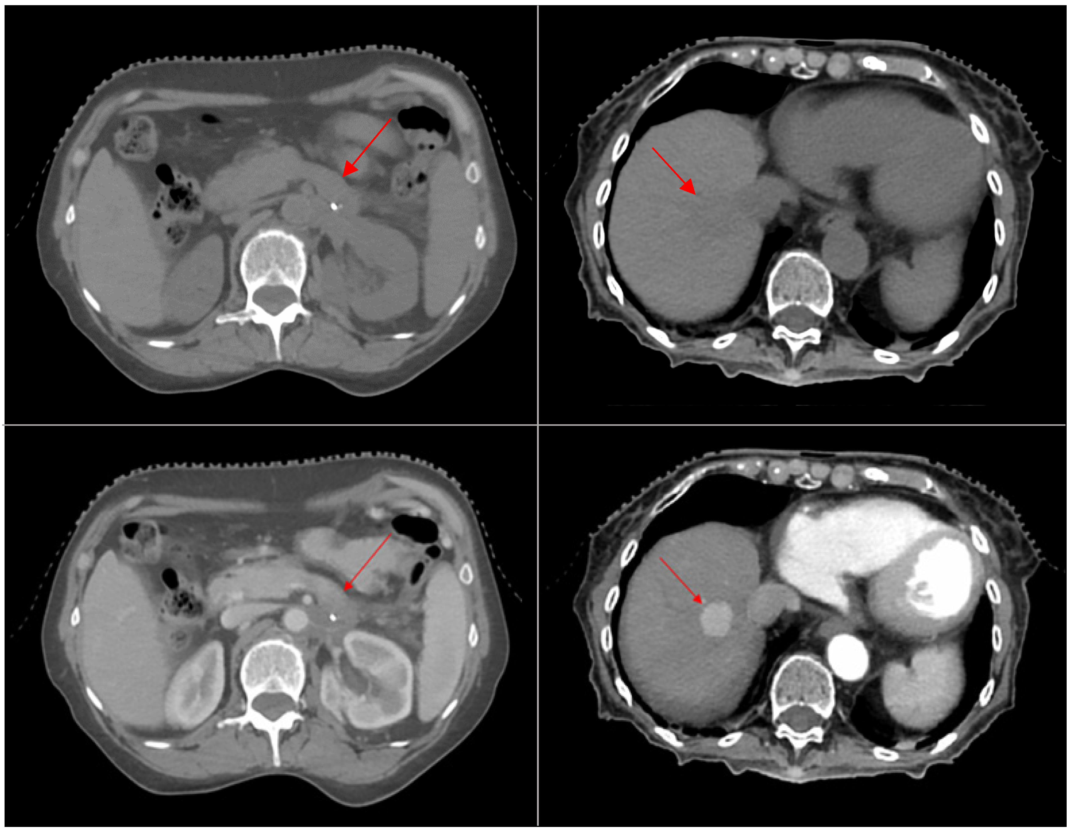
2.3. Contrast-Enhanced 4DCT Procedure
2.4. Contouring and Planning
2.5. Data Analysis
3. Results
4. Discussion
5. Conclusions
Author Contributions
Funding
Institutional Review Board Statement
Informed Consent Statement
Data Availability Statement
Conflicts of Interest
References
- Lee, S.L.; Bassetti, M.F.; Rusthoven, C.G. The Role of Stereotactic Body Radiation Therapy in the Management of Liver Metastases. Semin. Radiat. Oncol. 2023, 33, 181–192. [Google Scholar] [CrossRef] [PubMed]
- Lewis, S.; Barry, A.; Hawkins, M.A. Hypofractionation in Hepatocellular Carcinoma—The Effect of Fractionation Size. Clin. Oncol. 2022, 34, e195–e209. [Google Scholar] [CrossRef]
- Hu, Y.; Zhao, C.; Ji, R.; Chen, W.; Shen, Q.; Chiang, C.L.; Chan, J.; Ma, L.; Yang, H.; Wong, T.; et al. The role of stereotactic body radiotherapy in hepatocellular carcinoma: Guidelines and evidences. J. Natl. Cancer Cent. 2022, 2, 171–182. [Google Scholar] [CrossRef]
- Comito, T.; Loi, M.; Franzese, C.; Clerici, E.; Franceschini, D.; Badalamenti, M.; Teriaca, M.A.; Rimassa, L.; Pedicini, V.; Poretti, D.; et al. Stereotactic Radiotherapy after Incomplete Transarterial (Chemo-) Embolization (TAE\TACE) versus Exclusive TAE or TACE for Treatment of Inoperable HCC: A Phase III Trial (NCT02323360). Curr. Oncol. 2022, 29, 8802–8813. [Google Scholar] [CrossRef]
- Méndez Romero, A.; van der Holt, B.; Willemssen, F.E.J.A.; de Man, R.A.; Heijmen, B.J.M.; Habraken, S.; Westerveld, H.; van Delden, O.M.; Klümpen, H.J.; Tjwa, E.T.T.L.; et al. Transarterial Chemoembolization with Drug-Eluting Beads Versus Stereotactic Body Radiation Therapy for Hepatocellular Carcinoma: Outcomes from a Multicenter, Randomized, Phase 2 Trial (the TRENDY Trial). Int. J. Radiat. Oncol. Biol. Phys. 2023, 117, 45–52. [Google Scholar] [CrossRef] [PubMed]
- Kim, N.; Cheng, J.; Jung, I.; Liang, J.; Shih, Y.L.; Huang, W.Y.; Kimura, T.; Lee, V.H.F.; Zeng, Z.C.; Zhenggan, R.; et al. Stereotactic body radiation therapy vs. radiofrequency ablation in Asian patients with hepatocellular carcinoma. J. Hepatol. 2020, 73, 121–129. [Google Scholar] [CrossRef]
- Hara, K.; Takeda, A.; Tsurugai, Y.; Saigusa, Y.; Sanuki, N.; Eriguchi, T.; Maeda, S.; Tanaka, K.; Numata, K. Radiotherapy for Hepatocellular Carcinoma Results in Comparable Survival to Radiofrequency Ablation: A Propensity Score Analysis. Hepatology 2019, 69, 2533–2545. [Google Scholar] [CrossRef] [PubMed]
- Facciorusso, A.; Chierici, A.; Cincione, I.; Sacco, R.; Ramai, D.; Mohan, B.P.; Chandan, S.; Ofosu, A.; Cotsoglou, C. Stereotactic body radiotherapy vs radiofrequency ablation for the treatment of hepatocellular carcinoma: A meta-analysis. Expert. Rev. Anticancer. Ther. 2021, 21, 681–688. [Google Scholar] [CrossRef]
- Su, T.S.; Liang, P.; Zhou, Y.; Huang, Y.; Cheng, T.; Qu, S.; Chen, L.; Xiang, B.D.; Zhao, C.; Huang, D.J.; et al. Stereotactic Body Radiation Therapy vs. Transarterial Chemoembolization in Inoperable Barcelona Clinic Liver Cancer Stage a Hepatocellular Carcinoma: A Retrospective, Propensity-Matched Analysis. Front. Oncol. 2020, 10, 347. [Google Scholar] [CrossRef]
- Shen, P.C.; Chang, W.C.; Lo, C.H.; Yang, J.F.; Lee, M.S.; Dai, Y.H.; Lin, C.S.; Fan, C.Y.; Huang, W.Y. Comparison of Stereotactic Body Radiation Therapy and Transarterial Chemoembolization for Unresectable Medium-Sized Hepatocellular Carcinoma. Int. J. Radiat. Oncol. Biol. Phys. 2019, 105, 307–318. [Google Scholar] [CrossRef]
- Cellini, F.; Arcelli, A.; Simoni, N.; Caravatta, L.; Buwenge, M.; Calabrese, A.; Brunetti, O.; Genovesi, D.; Mazzarotto, R.; Deodato, F.; et al. Basics and Frontiers on Pancreatic Cancer for Radiation Oncology: Target Delineation, SBRT, SIB technique, MRgRT, Particle Therapy, Immunotherapy and Clinical Guidelines. Cancers 2020, 12, 1729. [Google Scholar] [CrossRef] [PubMed]
- Liu, J.; Sidiqi, B.; McComas, K.; Gogineni, E.; Andraos, T.; Crane, C.H.; Chang, D.T.; Goodman, K.A.; Hall, W.A.; Hoffe, S.; et al. SBRT for Pancreatic Cancer: A Radiosurgery Society Case-Based Practical Guidelines to Challenging Cases. Pract. Radiat. Oncol. 2024, 14, 555–573. [Google Scholar] [CrossRef] [PubMed]
- Tempero, M.A.; Malafa, M.P.; Al-Hawary, M.; Behrman, S.W.; Benson, A.B.; Cardin, D.B.; Chiorean, E.G.; Chung, V.; Czito, B.; Del Chiaro, M.; et al. Pancreatic Adenocarcinoma, Version 2.2021, NCCN Clinical Practice Guidelines in Oncology. J. Natl. Compr. Canc Netw. 2021, 19, 439–457. [Google Scholar] [CrossRef] [PubMed]
- Palta, M.; Godfrey, D.; Goodman, K.A.; Hoffe, S.; Dawson, L.A.; Dessert, D.; Hall, W.A.; Herman, J.M.; Khorana, A.A.; Merchant, N.; et al. Radiation Therapy for Pancreatic Cancer: Executive Summary of an ASTRO Clinical Practice Guideline. Pract. Radiat. Oncol. 2019, 9, 322–332. [Google Scholar] [CrossRef]
- Hyde, A.J.; Nassabein, R.; AlShareef, A.; Armstrong, D.; Babak, S.; Berry, S.; Bossé, D.; Chen, E.; Colwell, B.; Essery, C.; et al. Eastern Canadian Gastrointestinal Cancer Consensus Conference 2018. Curr. Oncol. 2019, 26, e665–e681. [Google Scholar] [CrossRef]
- van Veldhuisen, E.; van den Oord, C.; Brada, L.J.; Walma, M.S.; Vogel, J.A.; Wilmink, J.W.; Del Chiaro, M.; van Lienden, K.P.; Meijerink, M.R.; van Tienhoven, G.; et al. Locally Advanced Pancreatic Cancer: Work-Up, Staging, and Local Intervention Strategies. Cancers 2019, 11, 976. [Google Scholar] [CrossRef]
- Shouman, M.A.; Fuchs, F.; Walter, F.; Corradini, S.; Westphalen, C.B.; Vornhülz, M.; Beyer, G.; Andrade, D.; Belka, C.; Niyazi, M.; et al. Stereotactic body radiotherapy for pancreatic cancer—A systematic review of prospective data. Clin. Transl. Radiat. Oncol. 2024, 45, 100738. [Google Scholar] [CrossRef]
- Tchelebi, L.T.; Lehrer, E.J.; Trifiletti, D.M.; Sharma, N.K.; Gusani, N.J.; Crane, C.H.; Zaorsky, N.G. Conventionally fractionated radiation therapy versus stereotactic body radiation therapy for locally advanced pancreatic cancer (CRiSP): An international systematic review and meta-analysis. Cancer 2020, 126, 2120–2131. [Google Scholar] [CrossRef]
- Blair, A.B.; Rosati, L.M.; Rezaee, N.; Gemenetzis, G.; Zheng, L.; Hruban, R.H.; Cameron, J.L.; Weiss, M.J.; Wolfgang, C.L.; Herman, J.M.; et al. Postoperative complications after resection of borderline resectable and locally advanced pancreatic cancer: The impact of neoadjuvant chemotherapy with conventional radiation or stereotactic body radiation therapy. Surgery 2018, 163, 1090–1096. [Google Scholar] [CrossRef]
- Sharma, M.; Nano, T.F.; Akkati, M.; Milano, M.T.; Morin, O.; Feng, M. A systematic review and meta-analysis of liver tumor position variability during SBRT using various motion management and IGRT strategies. Radiother. Oncol. 2022, 166, 195–202. [Google Scholar] [CrossRef]
- Huguet, F.; Yorke, E.D.; Davidson, M.; Zhang, Z.; Jackson, A.; Mageras, G.S.; Wu, A.J.; Goodman, K.A. Modeling pancreatic tumor motion using 4-dimensional computed tomography and surrogate markers. Int. J. Radiat. Oncol. Biol. Phys. 2015, 91, 579–587. [Google Scholar] [CrossRef] [PubMed]
- Brunner, T.B.; Haustermans, K.; Huguet, F.; Morganti, A.G.; Mukherjee, S.; Belka, C.; Krempien, R.; Hawkins, M.A.; Valentini, V.; Roeder, F. ESTRO ACROP guidelines for target volume definition in pancreatic cancer. Radiother. Oncol. 2021, 154, 60–69. [Google Scholar] [CrossRef] [PubMed]
- Helou, J.; Karotki, A.; Milot, L.; Chu, W.; Erler, D.; Chung, H.T. 4DCT Simulation with Synchronized Contrast Injection in Liver SBRT Patients. Technol. Cancer Res. Treat. 2016, 15, 55–59. [Google Scholar] [CrossRef] [PubMed]
- Choi, W.; Xue, M.; Lane, B.F.; Kang, M.K.; Patel, K.; Regine, W.F.; Klahr, P.; Wang, J.; Chen, S.; D’Souza, W.; et al. Individually optimized contrast-enhanced 4D-CT for radiotherapy simulation in pancreatic ductal adenocarcinoma. Med. Phys. 2016, 43, 5659. [Google Scholar] [CrossRef] [PubMed]
- Gupta, A.; Kumar, R.; Yadav, H.P.; Sharma, M.; Kamal, R.; Thaper, D.; Banik, P.; Gupta, S.; Saroha, K.; Singh, S.; et al. Feasibility of 4D CT simulation with synchronized intravenous contrast injection in hepatocellular carcinoma. Rep. Pract. Oncol. Radiother. 2020, 25, 293–298. [Google Scholar] [CrossRef]
- Beddar, A.S.; Briere, T.M.; Balter, P.; Pan, T.; Tolani, N.; Ng, C.; Szklaruk, J.; Krishnan, S. 4D-CT imaging with synchronized intravenous contrast injection to improve delineation of liver tumors for treatment planning. Radiother. Oncol. 2008, 87, 445–448. [Google Scholar] [CrossRef]
- Mancosu, P.; Bettinardi, V.; Passoni, P.; Gusmini, S.; Cappio, S.; Gilardi, M.C.; Cattaneo, G.M.; Reni, M.; Del Maschio, A.; Di Muzio, N.; et al. Contrast enhanced 4D-CT imaging for target volume definition in pancreatic ductal adenocarcinoma. Radiother. Oncol. 2008, 87, 339–342. [Google Scholar] [CrossRef]
- Bae, K.T. Intravenous contrast medium administration and scan timing at CT: Considerations and approaches. Radiology 2010, 256, 32–61. [Google Scholar] [CrossRef]
- Platt, J.F.; Reige, K.A.; Ellis, J.H. Aortic enhancement during abdominal CT angiography: Correlation with test injections, flow rates, and patient demographics. AJR Am. J. Roentgenol. 1999, 172, 53–56. [Google Scholar] [CrossRef]
- Monzawa, S.; Ichikawa, T.; Nakajima, H.; Kitanaka, Y.; Omata, K.; Araki, T. Dynamic CT for detecting small hepatocellular carcinoma: Usefulness of delayed phase imaging. AJR Am. J. Roentgenol. 2007, 188, 147–153. [Google Scholar] [CrossRef]
- Baron, R.L. Understanding and optimizing use of contrast material for CT of the liver. AJR Am. J. Roentgenol. 1994, 163, 323–331. [Google Scholar] [CrossRef] [PubMed]
- Bae, K.T.; Heiken, J.P.; Brink, J.A. Aortic and hepatic contrast medium enhancement at CT. Part I. Prediction with a computer model. Radiology 1998, 207, 647–655. [Google Scholar] [CrossRef] [PubMed]
- Chu, L.L.; Joe, B.N.; Westphalen, A.C.; Webb, E.M.; Coakley, F.V.; Yeh, B.M. Patient-specific time to peak abdominal organ enhancement varies with time to peak aortic enhancement at MR imaging. Radiology 2007, 245, 779–787. [Google Scholar] [CrossRef]
- Miles, K.A.; Hayball, M.P.; Dixon, A.K. Functional images of hepatic perfusion obtained with dynamic CT. Radiology 1993, 188, 405–411. [Google Scholar] [CrossRef]
- Pandharipande, P.V.; Krinsky, G.A.; Rusinek, H.; Lee, V.S. Perfusion imaging of the liver: Current challenges and future goals. Radiology 2005, 234, 661–673. [Google Scholar] [CrossRef]
- Van Beers, B.E.; Leconte, I.; Materne, R.; Smith, A.M.; Jamart, J.; Horsmans, Y. Hepatic perfusion parameters in chronic liver disease: Dynamic CT measurements correlated with disease severity. AJR Am. J. Roentgenol. 2001, 176, 667–673. [Google Scholar] [CrossRef] [PubMed]
- Li, F.; Li, J.; Zhang, Y.; Xu, M.; Shang, D.; Fan, T.; Liu, T.; Shao, Q. Geometrical differences in gross target volumes between 3DCT and 4DCT imaging in radiotherapy for non-small-cell lung cancer. J. Radiat. Res. 2013, 54, 950–956. [Google Scholar] [CrossRef]
- Cattaneo, G.M.; Passoni, P.; Sangalli, G.; Slim, N.; Longobardi, B.; Mancosu, P.; Bettinardi, V.; Di Muzio, N.; Calandrino, R. Internal target volume defined by contrast-enhanced 4D-CT scan in unresectable pancreatic tumour: Evaluation and reproducibility. Radiother. Oncol. 2010, 97, 525–529. [Google Scholar] [CrossRef] [PubMed]
- Godfrey, D.J.; Patel, B.N.; Adamson, J.D.; Subashi, E.; Salama, J.K.; Palta, M. Triphasic contrast enhanced CT simulation with bolus tracking for pancreas SBRT target delineation. Pract. Radiat. Oncol. 2017, 7, e489–e497. [Google Scholar] [CrossRef]
- Feng, M.; Balter, J.M.; Normolle, D.; Adusumilli, S.; Cao, Y.; Chenevert, T.L.; Ben-Josef, E. Characterization of pancreatic tumor motion using cine MRI: Surrogates for tumor position should be used with caution. Int. J. Radiat. Oncol. Biol. Phys. 2009, 74, 884–891. [Google Scholar] [CrossRef]
- Goldstein, S.D.; Ford, E.C.; Duhon, M.; McNutt, T.; Wong, J.; Herman, J.M. Use of respiratory-correlated four-dimensional computed tomography to determine acceptable treatment margins for locally advanced pancreatic adenocarcinoma. Int. J. Radiat. Oncol. Biol. 2010, 76, 597–602. [Google Scholar] [CrossRef] [PubMed]
- Reese, A.S.; Lu, W.; Regine, W.F. Utilization of intensity-modulated radiation therapy and image-guided radiation therapy in pancreatic cancer: Is it beneficial? Semin. Radiat. Oncol. 2014, 24, 132–139. [Google Scholar] [CrossRef] [PubMed]
- Fukumitsu, N.; Nitta, K.; Terunuma, T.; Okumura, T.; Numajiri, H.; Oshiro, Y.; Ohnishi, K.; Mizumoto, M.; Aihara, T.; Ishikawa, H.; et al. Registration error of the liver CT using deformable image registration of MIM Maestro and Velocity AI. BMC Med. Imaging 2017, 17, 30. [Google Scholar] [CrossRef] [PubMed]



| Parameter | N. (%) | |
|---|---|---|
| Median scan length [range] | 32.0 cm [23.2–40.8] | |
| Scan pitch | 0.041 | 5 (23%) |
| 0.059 | 9 (41%) | |
| 0.08 | 8 (36%) | |
| Median 4DCT duration [range] | 91 s [57–107] | |
| Median tdelay [range] | 20 s [−15–37] | |
| Median contrast/kg ratio [range] | 1.83 mL/kg [1.33–2.00] |
| Patient | R | L | A | P | S | I |
|---|---|---|---|---|---|---|
| Liver tumor | ||||||
| 1 | 8.6 | 9.3 | 2.5 | 8.7 | 4.0 | 12.0 |
| 2 | 2.0 | 2.0 | 0.0 | 11.0 | 7.6 | 5.9 |
| 3 | 6.4 | 0.0 | 5.5 | 3.5 | 4.1 | 6.4 |
| 4 | 0.0 | 0.0 | 0.0 | 0.0 | 3.6 | 0.0 |
| 5 | 7.8 | 5.0 | 20.7 | 0.0 | 4.6 | 5.0 |
| 6 | 1.9 | 1.0 | 0.0 | 14.5 | 15.0 | 2.6 |
| Mean ± SD | 4.5 ± 3.6 | 2.9 ± 3.6 | 4.8 ± 8.1 | 6.3 ± 6.0 | 6.5 ± 4.4 | 5.3 ± 4.0 |
| Pancreatic tumor | ||||||
| 1 | 3.1 | 2.8 | 5.5 | 3.1 | 1.7 | 7.2 |
| 2 | 0.0 | 4.4 | 3.7 | 3.7 | 1.4 | 0.0 |
| 3 | 0.0 | 0.0 | 12.0 | 0.0 | 0.0 | 0.0 |
| 4 | 3.7 | 0.0 | 0.0 | 4.0 | 1.7 | 3.5 |
| 5 | 0.0 | 3.5 | 4.5 | 0.0 | 1.3 | 4.1 |
| 6 | 3.7 | 4.7 | 4.5 | 0.0 | 1.8 | 4.5 |
| Mean ± SD | 1.8 ± 1.9 | 2.6 ± 2.1 | 5.0 ± 3.9 | 1.8 ± 2.0 | 1.3 ± 0.7 | 3.2 ± 2.8 |
| Overall mean ± SD | 3.1 ± 3.1 | 2.7 ± 2.8 | 4.9 ± 6.1 | 4.0 ± 4.9 | 3.9 ± 4.0 | 4.3 ± 3.5 |
Disclaimer/Publisher’s Note: The statements, opinions and data contained in all publications are solely those of the individual author(s) and contributor(s) and not of MDPI and/or the editor(s). MDPI and/or the editor(s) disclaim responsibility for any injury to people or property resulting from any ideas, methods, instructions or products referred to in the content. |
© 2024 by the authors. Licensee MDPI, Basel, Switzerland. This article is an open access article distributed under the terms and conditions of the Creative Commons Attribution (CC BY) license (https://creativecommons.org/licenses/by/4.0/).
Share and Cite
Faccenda, V.; Panizza, D.; Niespolo, R.M.; Colciago, R.R.; Rossano, G.; De Sanctis, L.; Gandola, D.; Ippolito, D.; Arcangeli, S.; De Ponti, E. Synchronized Contrast-Enhanced 4DCT Simulation for Target Volume Delineation in Abdominal SBRT. Cancers 2024, 16, 4066. https://doi.org/10.3390/cancers16234066
Faccenda V, Panizza D, Niespolo RM, Colciago RR, Rossano G, De Sanctis L, Gandola D, Ippolito D, Arcangeli S, De Ponti E. Synchronized Contrast-Enhanced 4DCT Simulation for Target Volume Delineation in Abdominal SBRT. Cancers. 2024; 16(23):4066. https://doi.org/10.3390/cancers16234066
Chicago/Turabian StyleFaccenda, Valeria, Denis Panizza, Rita Marina Niespolo, Riccardo Ray Colciago, Giulia Rossano, Lorenzo De Sanctis, Davide Gandola, Davide Ippolito, Stefano Arcangeli, and Elena De Ponti. 2024. "Synchronized Contrast-Enhanced 4DCT Simulation for Target Volume Delineation in Abdominal SBRT" Cancers 16, no. 23: 4066. https://doi.org/10.3390/cancers16234066
APA StyleFaccenda, V., Panizza, D., Niespolo, R. M., Colciago, R. R., Rossano, G., De Sanctis, L., Gandola, D., Ippolito, D., Arcangeli, S., & De Ponti, E. (2024). Synchronized Contrast-Enhanced 4DCT Simulation for Target Volume Delineation in Abdominal SBRT. Cancers, 16(23), 4066. https://doi.org/10.3390/cancers16234066

