Intraoperative Transbronchial Metallic Coil Marking for Small Peripheral Pulmonary Lesions in a Hybrid Operation Room
Simple Summary
Abstract
1. Introduction
2. Materials and Methods
2.1. Eligibility
2.2. Patients
2.3. Virtual Bronchoscopic Navigation
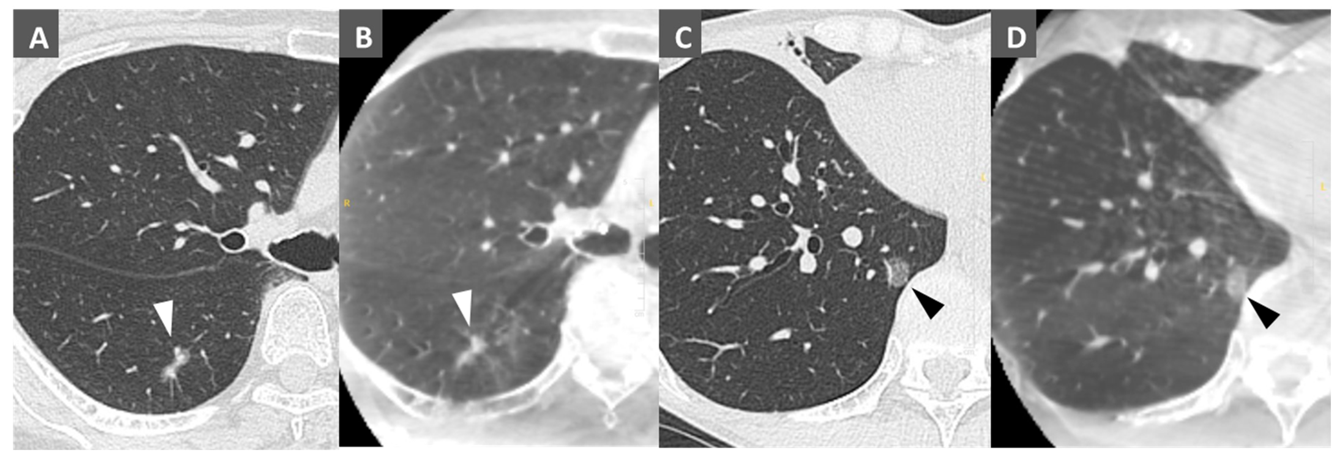
2.4. Bronchoscopic Metallic Coil Marking Procedure
2.5. VATS Resection Technique
2.6. Statistical Analysis
3. Results
4. Discussion
5. Conclusions
Author Contributions
Funding
Institutional Review Board Statement
Informed Consent Statement
Data Availability Statement
Acknowledgments
Conflicts of Interest
References
- National Lung Screening Trial Research Team. Lung Cancer Incidence and Mortality with Extended Follow-up in the National Lung Screening Trial. J. Thorac. Oncol. 2019, 14, 1732–1742. [Google Scholar] [CrossRef] [PubMed]
- de Koning, H.J.; van der Aalst, C.M.; de Jong, P.A.; Scholten, E.T.; Nackaerts, K.; Heuvelmans, M.A.; Lammers, J.W.J.; Weenink, C.; Yousaf-Khan, U.; Horeweg, N.; et al. Reduced lung-cancer mortality with volume CT screening in a randomized trial. N. Engl. J. Med. 2020, 382, 503–513. [Google Scholar] [CrossRef] [PubMed]
- Sato, M. Precise sublobar lung resection for small pulmonary nodules: Localization and beyond. Gen. Thorac. Cardiovasc. Surg. 2020, 68, 684–691. [Google Scholar] [CrossRef] [PubMed]
- Miyoshi, T.; Kondo, K.; Takizawa, H.; Kenzaki, K.; Fujino, H.; Sakiyama, S.; Tangoku, A. Fluoroscopy-assisted thoracoscopic resection of pulmonary nodules after computed tomography--guided bronchoscopic metallic coil marking. J. Thorac. Cardiovasc. Surg. 2006, 131, 704–710. [Google Scholar] [CrossRef] [PubMed]
- Toba, H.; Kondo, K.; Miyoshi, T.; Kajiura, K.; Yoshida, M.; Kawakami, Y.; Takizawa, H.; Kenzaki, K.; Sakiyama, S.; Tangoku, A. Fluoroscopy-assisted thoracoscopic resection after computed tomography-guided bronchoscopic metallic coil marking for small peripheral pulmonary lesions. Eur. J. Cardiothorac. Surg. 2013, 44, e126–e132. [Google Scholar] [CrossRef]
- Fumimoto, S.; Sato, K.; Koyama, M.; Yamamoto, K.; Narumi, Y.; Hanaoka, N.; Katsumata, T. Combined lipiodol marking and video-assisted thoracoscopic surgery in a hybrid operating room. J. Thorac. Dis. 2018, 10, 2940–2947. [Google Scholar] [CrossRef]
- Anayama, T.; Hirohashi, K.; Okada, H.; Miyazaki, R.; Kawamoto, N.; Yamamoto, M.; Orihashi, K. Simultaneous cone beam computed tomography-guided bronchoscopic marking and video-assisted thoracoscopic wedge resection in a hybrid operating room. Thorac. Cancer 2019, 10, 579–582. [Google Scholar] [CrossRef]
- Yang, S.M.; Malwade, S.; Chung, W.Y.; Wu, W.T.; Chen, L.C.; Chang, L.K.; Chang, H.C.; Chan, P.S.; Kuo, S.W. Augmented fluoroscopy-guided dye localization for small pulmonary nodules in hybrid operating room: Intrathoracic stamping versus transbronchial marking. Int. J. Comput. Assist. Radiol. Surg. 2024, 19, 2203–2213. [Google Scholar] [CrossRef]
- Gómez-Hernández, M.T.; Rivas Duarte, C.E.; Fernández García-Hierro, J.M.; Fuentes, M.G.; Colmenares, O.; Forcada Barreda, C.; Gómez Valle, F.; Jiménez García, I.; Jiménez, M.F. Intraoperative marking of pulmonary nodules in a hybrid operating room: Electromagnetic navigation bronchoscopy versus percutaneous marking. Front. Surg. 2024, 11, 1482120. [Google Scholar] [CrossRef]
- Wolf, A.S.; Swanson, S.J.; Yip, R.; Liu, B.; Tarras, E.S.; Yankelevitz, D.F.; Henschke, C.I.; Taioli, E.; Flores, R.M.; I-ELCAP Investigators. The Impact of Margins on Outcomes After Wedge Resection for Stage I Non-Small Cell Lung Cancer. Ann. Thorac. Surg. 2017, 104, 1171–1178. [Google Scholar] [CrossRef]
- Mohiuddin, K.; Haneuse, S.; Sofer, T.; Gill, R.; Jaklitsch, M.T.; Colson, Y.L.; Wee, J.; Bueno, R.; Mentzer, S.J.; Sugarbaker, D.J.; et al. Relationship between margin distance and local recurrence among patients undergoing wedge resection for small (2 cm) non-small cell lung cancer. J. Thorac. Cardiovasc. Surg. 2014, 147, 1169–1175; discussion 1175–1177. [Google Scholar] [CrossRef] [PubMed]
- Sawabata, N.; Maeda, H.; Matsumura, A.; Ohta, M.; Okumura, M.; Thoracic Surgery Study Group of Osaka University. Clinical implications of the margin cytology findings and margin/tumor size ratio in patients who underwent pulmonary excision for peripheral non-small cell lung cancer. Surg. Today 2012, 42, 238–244. [Google Scholar] [CrossRef] [PubMed]
- El-Sherif, A.; Fernando, H.C.; Santos, R.; Pettiford, B.; Luketich, J.D.; Close, J.M.; Landreneau, R.J. Margin and local recurrence after sublobar resection of non-small cell lung cancer. Ann. Surg. Oncol. 2007, 14, 2400–2405. [Google Scholar] [CrossRef] [PubMed]
- Altorki, N.; Wang, X.; Damman, B.; Mentlick, J.; Landreneau, R.; Wigle, D.; Jones, D.R.; Conti, M.; Ashrafi, A.S.; Liberman, M.; et al. Lobectomy, segmentectomy, or wedge resection for peripheral clinical T1aN0 non-small cell lung cancer: A post hoc analysis of CALGB 140503 (Alliance). J. Thorac. Cardiovasc. Surg. 2024, 167, 338–347. [Google Scholar] [CrossRef]
- Saji, H.; Okada, M.; Tsuboi, M.; Nakajima, R.; Suzuki, K.; Aokage, K.; Aoki, T.; Okami, J.; Yoshino, I.; Ito, H.; et al. Segmentectomy versus lobectomy in small-sized peripheral non-small-cell lung cancer (JCOG0802/WJOG4607L): A multicentre, open-label, phase 3, randomised, controlled, non-inferiority trial. Lancet 2022, 399, 1607–1617. [Google Scholar] [CrossRef]
- Chen, B.W.; Chen, L.W.; Yang, S.M.; Lin, C.K.; Ko, H.J.; Chen, C.M. Quantitative feature analysis of CT images of transbronchial dye markings mimicking true pulmonary ground-glass opacity lesions. Ann. Transl. Med. 2019, 7, 29. [Google Scholar] [CrossRef]
- Yutaka, Y.; Sato, T.; Tanaka, S.; Miyahara, S.; Yoshizawa, A.; Morita, S.; Date, H. Feasibility study of a novel wireless localization technique using radiofrequency identification markers for small and deeply located lung lesions. JTCVS Tech. 2022, 12, 185–195. [Google Scholar] [CrossRef]
- Yang, S.M.; Chung, W.Y.; Ko, H.J.; Chen, L.C.; Chang, L.K.; Chang, H.C.; Kuo, S.W.; Ho, M.C. Single-stage augmented fluoroscopic bronchoscopy localization and thoracoscopic resection of small pulmonary nodules in a hybrid operating room. Eur. J. Cardiothorac. Surg. 2022, 63, ezac541. [Google Scholar] [CrossRef]
- Zhao, Z.R.; Lau, R.W.; Yu, P.S.; Wong, R.H.; Ng, C.S. Image-guided localization of small lung nodules in video-assisted thoracic surgery. J. Thorac. Dis. 2016, 8 (Suppl. S9), S731–S737. [Google Scholar] [CrossRef]
- Fang, H.Y.; Chao, Y.K.; Hsieh, M.J.; Wen, C.T.; Ho, P.H.; Tang, W.J.; Liu, Y.H. Image-guided video-assisted thoracoscopic surgery for small ground glass opacities: A case series. J. Vis. Surg. 2017, 3, 142. [Google Scholar] [CrossRef]
- Bommart, S.; Bourdin, A.; Marin, G.; Berthet, J.P.; Pujol, J.L.; Serre, I.; Molinari, N.; Marty-Ané, C.; Kovacsik, H. Impact of preoperative marking coils on surgical and pathologic management of impalpable lung nodules. Ann. Thorac. Surg. 2014, 97, 414–418. [Google Scholar] [CrossRef] [PubMed]
- Shimamura, Y.; Sasaki, S.; Shimohira, M.; Ogino, H.; Yuki, D.; Nakamae, K.; Hara, M.; Shibamoto, Y. New technique of percutaneous CT fluoroscopy-guided marking before video-assisted thoracoscopic surgery for small lung lesions: Feasibility of using a 25-gauge needle without local anaesthesia. Br. J. Radiol. 2018, 91, 20170692. [Google Scholar] [CrossRef] [PubMed]
- Mogi, A.; Yajima, T.; Tomizawa, K.; Onozato, R.; Tanaka, S.; Kuwano, H. Video-Assisted Thoracoscopic Surgery after Preoperative CT-Guided Lipiodol Marking of Small or Impalpable Pulmonary Nodules. Ann. Thorac. Cardiovasc. Surg. 2015, 21, 435–439. [Google Scholar] [CrossRef] [PubMed]
- Sakiyama, S.; Kondo, K.; Matsuoka, H.; Yoshida, M.; Miyoshi, T.; Yoshida, S.; Monden, Y. Fatal air embolism during computed tomography-guided pulmonary marking with a hook-type marker. J. Thorac. Cardiovasc. Surg. 2003, 126, 1207–1209. [Google Scholar] [CrossRef] [PubMed]
- Muñoz-Largacha, J.A.; Ebright, M.I.; Litle, V.R.; Fernando, H.C. Electromagnetic navigational bronchoscopy with dye marking for identification of small peripheral lung nodules during minimally invasive surgical resection. J. Thorac. Dis. 2017, 9, 802–808. [Google Scholar] [CrossRef]
- Mariolo, A.V.; Vieira, T.; Stern, J.B.; Perrot, L.; Caliandro, R.; Escande, R.; Brian, E.; Grigoroiu, M.; Boddaert, G.; Gossot, D.; et al. Electromagnetic navigation bronchoscopy localization of lung nodules for thoracoscopic resection. J. Thorac. Dis. 2021, 13, 4371–4377. [Google Scholar] [CrossRef]
- Hohenforst-Schmidt, W.; Banckwitz, R.; Zarogoulidis, P.; Vogl, T.; Darwiche, K.; Goldberg, E.; Huang, H.; Simoff, M.; Li, Q.; Browning, R.; et al. Radiation Exposure of Patients by Cone Beam CT during Endobronchial Navigation—A Phantom Study. J. Cancer 2014, 5, 192–202. [Google Scholar] [CrossRef]
- Choi, S.; Yoon, D.W.; Shin, S.; Kim, H.K.; Choi, Y.S.; Kim, J.; Shim, Y.M.; Cho, J.H. Importance of Lymph Node Evaluation in 2-cm Pure-Solid Non-Small Cell Lung Cancer. Ann. Thorac. Surg. 2024, 117, 586–593. [Google Scholar] [CrossRef]
- Suzuki, K.; Koike, T.; Asakawa, T.; Kusumoto, M.; Asamura, H.; Nagai, K.; Tada, H.; Mitsudomi, T.; Tsuboi, M.; Shibata, T.; et al. A prospective radiological study of thin-section computed tomography to predict pathological noninvasiveness in peripheral clinical IA lung cancer (Japan Clinical Oncology Group. 0201). J. Thorac. Oncol. 2011, 6, 751–756. [Google Scholar] [CrossRef]
- Schmidt-Hansen, M.; Baldwin, D.R.; Hasler, E.; Zamora, J.; Abraira, V.; Roqué, I.; Figuls, M. PET-CT for assessing mediastinal lymph node involvement in patients with suspected resectable non-small cell lung cancer. Cochrane Database Syst. Rev. 2014, 2014, CD009519. [Google Scholar] [CrossRef]




| No. of patients (lesions) | 87 (90) |
| Gender | |
| Male | 39 |
| Female | 48 |
| Age, median (IQR) | 71 (63–76) |
| Lesion size, median (IQR) (mm) | 11 (8–15) |
| Distance from lesion to pleura, median (IQR) (mm) | 8.7 (4–15) |
| Location | |
| RUL/RML/RLL | 29/4/18 |
| LUL/LLL | 22/17 |
| Type of lesion | |
| Pure GGN | 19 |
| Part-solid GGN | 35 |
| Solid | 36 |
| Marking procedure | |
| Instillation of coil into objective bronchi | 90/90 (100%) |
| CBCT times, median (IQR) | 3 (3–4) |
| Time of marking, median (IQR), (min) | 23.5 (18–37) |
| Distance between lesion and microcoil, median (IQR) (mm) | 3.6 (0–8.2) |
| Complication | 0 |
| Accurate identification of location | |
| Succeeded | 90/90 (100%) |
| Time of partial resection, median (IQR) (min) | 38 (28–49) |
| Histology | |
| Primary lung cancer | 57 |
| Metastatic tumor | 26 |
| Nodular lymphoid hyperplasia | 3 |
| Others (inflammation, organized pneumonia) | 4 |
Disclaimer/Publisher’s Note: The statements, opinions and data contained in all publications are solely those of the individual author(s) and contributor(s) and not of MDPI and/or the editor(s). MDPI and/or the editor(s) disclaim responsibility for any injury to people or property resulting from any ideas, methods, instructions or products referred to in the content. |
© 2024 by the authors. Licensee MDPI, Basel, Switzerland. This article is an open access article distributed under the terms and conditions of the Creative Commons Attribution (CC BY) license (https://creativecommons.org/licenses/by/4.0/).
Share and Cite
Kawakita, N.; Toba, H.; Miyamoto, N.; Sakamoto, S.; Sumitomo, H.; Takeuchi, T.; Morishita, A.; Baba, A.; Takehara, E.; Fujimoto, K.; et al. Intraoperative Transbronchial Metallic Coil Marking for Small Peripheral Pulmonary Lesions in a Hybrid Operation Room. Cancers 2024, 16, 4038. https://doi.org/10.3390/cancers16234038
Kawakita N, Toba H, Miyamoto N, Sakamoto S, Sumitomo H, Takeuchi T, Morishita A, Baba A, Takehara E, Fujimoto K, et al. Intraoperative Transbronchial Metallic Coil Marking for Small Peripheral Pulmonary Lesions in a Hybrid Operation Room. Cancers. 2024; 16(23):4038. https://doi.org/10.3390/cancers16234038
Chicago/Turabian StyleKawakita, Naoya, Hiroaki Toba, Naoki Miyamoto, Shinichi Sakamoto, Hiroyuki Sumitomo, Taihei Takeuchi, Atsushi Morishita, Ayaka Baba, Emi Takehara, Keisuke Fujimoto, and et al. 2024. "Intraoperative Transbronchial Metallic Coil Marking for Small Peripheral Pulmonary Lesions in a Hybrid Operation Room" Cancers 16, no. 23: 4038. https://doi.org/10.3390/cancers16234038
APA StyleKawakita, N., Toba, H., Miyamoto, N., Sakamoto, S., Sumitomo, H., Takeuchi, T., Morishita, A., Baba, A., Takehara, E., Fujimoto, K., Goto, M., & Takizawa, H. (2024). Intraoperative Transbronchial Metallic Coil Marking for Small Peripheral Pulmonary Lesions in a Hybrid Operation Room. Cancers, 16(23), 4038. https://doi.org/10.3390/cancers16234038

