Next Article in Journal
The G-Protein-Coupled Estrogen Receptor Agonist G-1 Mediates Antitumor Effects by Activating Apoptosis Pathways and Regulating Migration and Invasion in Cervical Cancer Cells
Next Article in Special Issue
Proton Therapy in Uveal Melanoma
Previous Article in Journal
Colorectal Cancer Outcomes: A Comparative Review of Resource-Limited Settings in Low- and Middle-Income Countries and Rural America
Previous Article in Special Issue
Evidence for Radiation Therapy in Stage III Locoregionally Advanced Cutaneous Melanoma in the Post-Immunotherapy Era: A Literature Review
 
 
Font Type:
Arial Georgia Verdana
Font Size:
Aa Aa Aa
Line Spacing:
Column Width:
Background:
Review

Radiation Therapy in the Management of Head and Neck Mucosal Melanoma

1
Department of Radiation Oncology, Rush University Medical Center, Chicago, IL 60612, USA
2
Rush Medical College, Chicago, IL 60612, USA
3
Department of Internal Medicine, Division of Hematology, Rush University Medical Center, Oncology & Cell Therapy, Chicago, IL 60612, USA
*
Author to whom correspondence should be addressed.
Cancers 2024, 16(19), 3304; https://doi.org/10.3390/cancers16193304
Submission received: 29 August 2024 / Revised: 11 September 2024 / Accepted: 17 September 2024 / Published: 27 September 2024
(This article belongs to the Special Issue Radiotherapy in Melanoma)

Abstract

Simple Summary

Mucosal melanoma is a rare and aggressive form of melanoma that primarily occurs in the mucosal tissues of the head and neck. Due to its rarity and complexity, treatment strategies for this type of cancer are challenging, with surgical removal often followed by radiation therapy. This review explores how modern radiation therapy techniques, such as intensity modulation, proton beam therapy, and carbon ions, are being used to enhance treatment effectiveness while minimizing damage to surrounding healthy tissues. By reporting on current practices and outcomes, this article aims to provide insights that could guide more effective treatment approaches and further improve outcomes for patients with head and neck mucosal melanoma.

Abstract

Mucosal melanoma of the head and neck (HNMM) is a rare but highly aggressive malignancy, often diagnosed at an advanced stage with poor prognosis. This review discusses current treatment strategies, emphasizing the role of radiotherapy in managing this challenging disease. A comprehensive analysis of 33 studies provides updated information on techniques and outcomes, highlighting the consistent benefit of adjuvant radiation in improving local control. Advances in conformal techniques, such as intensity-modulated radiotherapy (IMRT), have significantly reduced toxicity rates. Preliminary data on proton and carbon ion therapies suggest the potential for further enhancement of the therapeutic ratio, despite limited availability. Although recent studies report 3-year local control rates as high as 90%, overall survival within the same time frame remains well below 50–60%, underscoring the need for continued improvement in systemic therapies to address the persistent issue of distant metastases.

1. Introduction

Mucosal melanoma (MM) is a rare entity, comprising one percent of the 100,640 malignant melanomas diagnosed annually, with an incidence of about one per two million [1]. Though most melanocytes exist in the skin, there are limited extracutaneous locations, such as mucosal tissue, where they can be found. Of these mucosal subsites, the highest incidence is in the head and neck (55.4%), followed by the anus/rectum (23.8%), the female reproductive tract (18%), and the urinary tract (2.8%) [2]. Given its low prevalence, definitive risk factors have not been identified. These cancers predominate in older patients, are less promptly detected, often present at an advanced stage, and are associated with a very poor prognosis [3].

2. Presentation, Workup, and Staging

Head and neck mucosal melanoma (HNMM) most frequently occurs in sinonasal, oral, or laryngopharyngeal locations1. The most common manifestation of MM is a polypoid unilateral lesion with varying degrees of pigmentation (from amelanotic to hyperpigmented), occasionally found in the presence of additional satellite lesions. Though HNMMs are notorious for their asymptomatic and insidious onset, their presentation can involve epistaxis, nasal obstruction, rhinorrhea, headaches, or even dysphagia depending on the location of the lesion [2]. Following a full history and physical examination, complete work-up involves a biopsy, and determination of the local disease extent using cross-sectional imaging (a CT with intravenous contrast and/or an MRI with and without contrast). Evaluation for distant metastasis is essential (a CT of the chest, abdomen, and pelvis with intravenous contrast or a whole-body PET-CT). An MRI of the brain/skull base may be completed if there is concern for the contiguous invasion of the brain.
The eighth edition of the AJCC employs a staging system for HNMM that reflects its generally poor prognosis. The “T” category is limited to T3 (the tumor is limited to mucosa and immediate underlying soft tissue) and T4 (the involvement of deep soft tissue, cartilage, and bone, overlying the skin, brain, skull base, carotid artery, or mediastinal structures) disease. “N” nodal staging consists of N0 (no regional lymph nodes) and N1 (regional lymph node metastases present). “M” metastatic staging consists of M0 (no distant metastases) and M1 (distant metastasis present) [4]. There is no prognostic stage grouping proposed at this time. It is estimated that initial presentation is approximately 70% localized, 20% node positive, and 10% metastatic [5].

3. General Treatment Paradigm

In non-metastatic, resectable HNMM, site-specific margin-negative surgical resection is the mainstay of treatment, but is dependent upon the anatomic location and the tumor extent. These surgeries span the spectrum of wide local excision for oral cavity primaries to extensive sinonasal resection and even skull base resection with reconstruction for advanced sinonasal primaries when feasible. Advanced reconstruction can be avoided on a case-by-case basis, especially if this will delay adjuvant radiation (e.g., the reconstruction of a hard palate or maxillectomy defects with free tissue transfer and using an obturator instead). Postoperative radiotherapy is frequently indicated to improve local and regional control. The National Comprehensive Cancer Network (NCCN) guidelines for all HNMMs specifically recommend adjuvant radiotherapy for patients with resected melanoma who exhibit an advanced stage (T4) and node positivity (N1). It is not uncommon for these patients to present with unresectable or medically inoperable diseases. In this subset of patients, definitive RT should be considered to optimize locoregional control [4].
Palliative radiation is often implemented in cases of advanced or metastatic disease, as well as poor performance status. Palliative radiation can target either the primary site/nodes or distant sites, and is useful for symptom relief (e.g., pain control, hemostasis) [4].
The role of systemic therapy in mucosal melanoma is less defined than for its cutaneous counterpart. In certain instances, evidence on chemotherapy for cutaneous melanoma is extrapolated and used for mucosal disease. Compared to cutaneous melanoma, mucosal melanoma generally has lower response rates to immunotherapy in the setting of advanced or metastatic disease [6,7]. Targeted therapies (e.g., BRAF/MEK inhibitors, KIT inhibitors) have less of a role in mucosal melanoma, but these can be utilized as treatment options for patients with select mutations. The role of immunotherapy or targeted therapy in the adjuvant setting is limited due to low or no representation in clinical trials [8,9,10]. The SWOG 1801 and NADINA trials only included a very limited proportion of mucosal melanomas when looking at the role of neoadjuvant pembrolizumab [11]. A phase III trial investigating the role of temozolomide and cisplatin in the adjuvant setting demonstrated a relapse-free survival benefit over interferon, but this regimen is not commonly used in practice [12]. Because of the limited data on systemic treatments in mucosal melanoma, we continue to rely on local treatment therapies.

4. Modern Radiotherapy

CT simulation involves making a standard three-to-five-point mask for immobilization, as well as IV contrast and thin-cut slices for optimal anatomic delineation. Notably, simulations in non-reconstructed patients may involve filling the intended cavity (e.g., maxillectomy defect) with water-equivalent material (e.g., a gel-filled condom) for improved dose distribution [13]. An oral stent is useful to separate adjacent anatomical structures (e.g., moving the tongue away from the maxillary sinus/hard palate primary site).
Target volumes have most commonly been limited to the primary site unless the node positivity or oral cavity location prompts the inclusion of regional lymphatics [14]. Primary site radiation typically involves a 2 to 3 cm margin, constrained to the greater anatomic compartment. Elective nodal irradiation is encouraged in the presence of multiple positive nodes, a single node >3 cm, extracapsular extension, or the absence of nodal basin dissection. Gross disease, high risk disease (post-op cavity/neck), and low-risk disease (uninvolved neck) respectively warrant doses of 70 Gy, 60–66 Gy, and 50–60 Gy, all via 1.8–2.0 Gy per fraction. The most common method of radiation delivery is intensity modulated radiotherapy/volumetric modulated arc therapy (IMRT/VMAT) with daily image guidance (cone-beam CT preferred) [4].
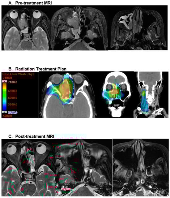
Many retrospective HNMM series reveal the consistent utilization of conventional fractionation (~2 Gy per fraction), especially in the adjuvant setting, with a well-established dose response benefit for more than 54 Gy [15]. Figure 1 demonstrates the radiation plan and subsequent treatment response following 66.01 Gy in 35 fractions to a mucosal melanoma of the right ethmoid sinus and ipsilateral neck. In addition to the common conventional schemes (60–70 Gy in 30–35 fractions), hypo-fractionation has been routinely implemented in both the definitive and palliative setting. A notable MD Anderson Cancer Center experience with MMHN utilized a hypo-fractionated regimen of 30 Gy in five fractions for oral cavity primaries, which were deemed to be a safe distance from sensitive CNS structures [16]. Subsequent data identifying improved control rates with the use of 3–4 Gy per fraction have suggested a benefit to increased biologic equivalent doses in this radioresistant histology [17,18]. Though uncommon, there are few reported uses of stereotactic body radiotherapy (SBRT) for sinonasal mucosal melanoma [19,20].
Advanced radiation techniques using particle therapy have become attractive for this disease to improve outcomes and spare critical adjacent structures, thereby limiting treatment morbidity. Proton beam therapy has been increasingly explored due to its potential for sparing critical organs at risk. Similarly, carbon ion therapy is currently under investigation due to its potent radiobiologic effectiveness.

5. Updated Results

This narrative review aims to summarize the most recent retrospective studies analyzing HNMM outcomes following radiation (with either photons, protons, or carbon ions). Table 1 and Table 2 present the most updated retrospective reviews conducted internationally across multiple institutions.
Surgery and Post-Operative Radiation (PORT): The treatment modality offering the highest probability of cure in head and neck mucosal melanoma is surgery [21]. The majority of data examining radiation are in the adjuvant setting, since surgery is the preferred initial treatment when possible. One of the largest retrospective HNMM series to date detected a statistically significant 26% improvement in local control with the addition of radiation to surgery [24], consistent with similar reviews [14,31,41,42]. A meta-analysis of over 1500 patients has shown that postoperative radiation can reduce the risk of local recurrence by up to 45% [43]. Though there is a sole meta-analysis showing the potential survival benefit with PORT [44], the body of literature typically demonstrates OS detriment [29] in adjuvant radiation recipients, likely related to the higher tumor stage and adverse margin status of these patients. In recent HNMM trials, with improved patient selection, rates of overall survival with surgery plus radiation are similar to that of surgery alone, as Tsushima et al. achieved a 5-year OS of 46% [45]. Another phase II study of postoperative conventional radiation in 2 Gy per fraction up to 70 Gy, demonstrated a three-year overall survival rate of 44% and local relapse-free survival (LRFS) of 92% [46]. Unfortunately, neither surgery nor surgery plus radiation has had a significant impact upon the rate of distant metastases, which remains the primary cause of death in HNMM [44].
Radiation Alone: There are a few series exploring the utility of definitive radiation for HNMM. In a series of non-surgical patients who received 50–55 Gy in 15–16 Fx, there was an initial complete response in 79%, a local DFS of 49% at three years, and an OS of 17% at five years [36]. A Japanese study of definitive RT obtained similar results with various techniques, such as intraoral mold, intraoral cone electron therapy, interstitial brachytherapy, and external beam radiation (50–76 Gy in 5 to 7 weeks) [47]. Yet another fractionation scheme was observed in this non-operable subset of patients, as Wanger et al. reviewed both twice-daily fractionation at 1.2 Gy per fraction and once-daily fractionation at 1.7 to 3 Gy per fraction, achieving a 1-year local control of 79% and a 5-year OS of 12% [48]. Although Tsushima’s trial was predominantly postoperative, two patients received proton beam therapy via 60 Gy RBE in 15 Fx three times weekly and remained disease-free years later [45]. Additionally, non-curative palliative regimens such as the QUAD-SHOT regimen (14 Gy in four fractions repeated at two-to-three-week intervals for up to three rounds) have proven highly effective for pain control, hemostasis, and tumor shrinkage in patients with locally advanced or metastatic diseases [49].
Particle Therapy: Ramaeker et al. showed increased 5-year local control in sinonasal tumors, favoring protons over photons (88% versus 66%, p-value 0.035), though this was in various histologies including, but not specific to, mucosal melanoma [50]. In a 14-patient pilot study treating localized HNMM via hypo-fractionated proton beam therapy, there was a reported three-year local control and OS of 86% and 58%, respectively [33]. A systematic review of 86 observational studies (74 photon, 7 proton, 5 carbon ion) revealed a statistically significant 5-year survival of 44% in patients with HNMM, treated with carbon ions and 25% in those treated with photons [50]. In a group of 72 patients prospectively treated with carbon ions via 52.8 to 64 Gray equivalent in 16 fractions showed 5-year local control, and cancer-specific survival rates of 84% and 40%, respectively [51].

6. Reported Toxicities

Some of the more commonly reported acute side effects of radiation in HNMM include dermatitis (dermatitis 13–39%) [15,33], mucositis (3–53%) [15,32], dysphagia (6–25%) [15,35], conjunctivitis, and palpebral edema. Conversely, notable late side effects include vision change/blindness (0–40%) [22,52], xerostomia (6–21%) [14,15], skin necrosis (0–14%) [14,23], brain radionecrosis (6%) [43], and secondary malignancy. In the 2DCRT era, rates of radiation-induced skin necrosis and blindness were reported as high as 14% and 40%, respectively [23,52]. However, in the current era, grade 3 toxicity is less frequent, and grade 4 toxicity is uncommon.
In fact, one of the most recent PORT trials documented no incidences of radiation-induced blindness [46]. In Yao et al., patients were treated with up to 70 Gy in 35 fractions, with grade 3 toxicity rates reported at 12% (one instance of severe dermatitis and one episode of nasal perforation) [46]. Alternative approaches, such as daily hyper-fractionation, have been shown to reduce both acute adverse and late events [23]. Additional modern techniques, such as IMRT and hypo-fractionation, were included in a review from Memorial Sloan Kettering which identified no grade 3 long-term complications [26]. Newer modalities such as proton therapy have demonstrated an improved toxicity profile, with a recently published phase II trial citing no late toxicity of grade 3 or more [33]. Likewise, high linear energy transfer (LET) using carbon ions has also exhibited acceptable toxicity, with no reported grade 3 early or late toxicity in the largest study to date [51].

7. Future Directions

Regarding radiation, the standard of care is conventionally fractionated photon therapy in the postoperative setting and hypo-fractionated photon therapy in the definitive setting. IMRT has been heavily adopted due to its enhanced conformality and improved therapeutic ratio. Proton therapy has the potential to further enhance this therapeutic ratio via improved conformality and possible dose escalation. Particle therapy has demonstrated promising efficacy due to its enhanced radiobiologic effectiveness and conformality, but is limited by availability and cost [53]. Ultimately, additional studies are needed to assess the efficacy and toxicity associated with radiation dose escalation/fractionation and particle beam radiation.
Despite advancements in local therapies, the most common pattern of failure in head and neck mucosal melanoma is distant (the lungs, bones, and brain being the most common sites), underlining the importance of systemic therapy. While there is limited data for immunotherapy in mucosal melanoma, checkpoint inhibitors are frequently given in the recurrent/metastatic setting. Whether combination immunotherapy provides increased benefit over single agents in mucosal melanoma is unknown. Targeted therapies may hold some promise for certain individuals, but the detection of signature mutations, such as KIT and BRAF, are reported in under 10% of patients with HNMM [54]. Ongoing work with systemic treatments will be necessary to improve the poor outcomes for patients who develop metastatic disease. There is an ongoing trial investigating the role of nivolumab with cabozantinib in the adjuvant setting, with the hopes of curtailing disease recurrence.

8. Conclusions

In conclusion, postoperative radiotherapy has consistently exhibited improved LRC despite its common usage in more locally advanced stages. Even in non-operative cases, radiotherapy is still advised, and should be carried out in a hypo-fractionated, dose-escalated fashion, if feasible. The ability to safely provide more durable/effective definitive treatment has been vastly improved by IMRT. Though photons remain standard, proton beam therapy can be considered for malignant mucosal melanomas when in close proximity to critical structures, such as the eye or in a re-irradiation setting. Likewise, carbon ion therapy has demonstrated favorable experimental results and merits further investigation.

Author Contributions

Writing and original draft preparation, O.A.; visualization/data-curation, O.N.; supervision, N.J.; review and editing, M.J. All authors have read and agreed to the published version of the manuscript.

Funding

This research received no external funding.

Acknowledgments

The authors declare no additional acknowledgements.

Conflicts of Interest

The authors declare no conflict of interest.

References

  1. Nenclares, P.; Harrington, K.J. Management of Head and Neck Mucosal Melanoma. Oral Maxillofac. Surg. Clin. N. Am. 2022, 34, 299–314. [Google Scholar] [CrossRef] [PubMed]
  2. Olla, D.; Neumeister, M.W. Mucosal Melanoma. Clin. Plast. Surg. 2021, 48, 707–711. [Google Scholar] [CrossRef] [PubMed]
  3. Yde, S.S.; Sjoegren, P.; Heje, M.; Stolle, L.B. Mucosal Melanoma: A Literature Review. Curr. Oncol. Rep. 2018, 20, 28. [Google Scholar] [CrossRef] [PubMed]
  4. Gupta, V.; Shah, M.A.; Shah, S.K.; Shah, J.M. Osteoanabolics. Indian J. Endocrinol. Metab. 2012, 16, 349–357. [Google Scholar] [CrossRef] [PubMed]
  5. Lourenço, S.V.; Fernandes, J.D.; Hsieh, R.; Coutinho-Camillo, C.M.; Bologna, S.; Sangueza, M.; Nico, M.M.S. Head and Neck Mucosal Melanoma. Am. J. Dermatopathol. 2014, 36, 578–587. [Google Scholar] [CrossRef]
  6. Hamid, O.; Robert, C.; Ribas, A.; Hodi, F.S.; Walpole, E.; Daud, A.; Arance, A.S.; Brown, E.; Hoeller, C.; Mortier, L.; et al. Antitumour activity of pembrolizumab in advanced mucosal melanoma: A post-hoc analysis of KEYNOTE-001, 002, 006. Br. J. Cancer 2018, 119, 670–674. [Google Scholar] [CrossRef] [PubMed] [PubMed Central]
  7. Tang, A.; Taori, S.; Dang, S.; Gardner, P.A.; Zenonos, G.A.; Davar, D.; Kuan, E.C.; Snyderman, C.H.; Wang, E.W.; Choby, G. Immunotherapy in the Management of Sinonasal Mucosal Melanoma: A Systematic Review. Otolaryngol.–Head Neck Surg. 2024, 171, 368–380. [Google Scholar] [CrossRef] [PubMed]
  8. Larkin, J.; Del Vecchio, M.; Mandalá, M.; Gogas, H.; Fernandez, A.M.A.; Dalle, S.; Cowey, C.L.; Schenker, M.; Grob, J.-J.; Chiarion-Sileni, V.; et al. Adjuvant Nivolumab versus Ipilimumab in Resected Stage III/IV Melanoma: 5-Year Efficacy and Biomarker Results from CheckMate 238. Clin. Cancer Res. 2023, 29, 3352–3361. [Google Scholar] [CrossRef] [PubMed] [PubMed Central]
  9. Eggermont, A.M.; Blank, C.U.; Mandala, M.; Long, G.V.; Atkinson, V.G.; Dalle, S.; Haydon, A.; Lichinitser, M.; Khattak, A.; Carlino, M.S.; et al. Prognostic and predictive value of AJCC-8 staging in the phase III EORTC1325/KEYNOTE-054 trial of pembrolizumab vs placebo in resected high-risk stage III melanoma. Eur. J. Cancer 2019, 116, 148–157. [Google Scholar] [CrossRef] [PubMed]
  10. Killock, D. Long-term benefits in COMBI-AD. Nat. Rev. Clin. Oncol. 2018, 16, 7. [Google Scholar] [CrossRef] [PubMed]
  11. Patel, S.P.; Patel, S.P.; Othus, M.; Othus, M.; Chen, Y.; Chen, Y.; Wright, G.P.; Wright, G.P.; Yost, K.J.; Yost, K.J.; et al. Neoadjuvant–Adjuvant or Adjuvant-Only Pembrolizumab in Advanced Melanoma. N. Engl. J. Med. 2023, 388, 813–823. [Google Scholar] [CrossRef] [PubMed] [PubMed Central]
  12. Lian, B.; Si, L.; Cui, C.; Chi, Z.; Sheng, X.; Mao, L.; Li, S.; Kong, Y.; Tang, B.; Guo, J. Phase II Randomized Trial Comparing High-Dose IFN-α2b with Temozolomide Plus Cisplatin as Systemic Adjuvant Therapy for Resected Mucosal Melanoma. Clin. Cancer Res. 2013, 19, 4488–4498. [Google Scholar] [CrossRef] [PubMed]
  13. Zhang, Q.; Lin, S.-R.; He, F.; Kang, D.-H.; Chen, G.-Z.; Luo, W. Water-filled balloon in the postoperative resection cavity improves dose distribution to target volumes in radiotherapy of maxillary sinus carcinoma. Chin. J. Cancer 2011, 30, 786–793. [Google Scholar] [CrossRef] [PubMed] [PubMed Central]
  14. Krengli, M.; Masini, L.; Kaanders, J.H.; Maingon, P.; Oei, S.B.; Zouhair, A.; Ozyar, E.; Roelandts, M.; Amichetti, M.; Bosset, M.; et al. Radiotherapy in the treatment of mucosal melanoma of the upper aerodigestive tract: Analysis of 74 cases. A Rare Cancer Network study. Int. J. Radiat. Oncol. 2006, 65, 751–759. [Google Scholar] [CrossRef] [PubMed]
  15. Moreno, M.A.; Roberts, D.B.; Kupferman, M.E.; DeMonte, F.; El-Naggar, A.K.; Williams, M.; Rosenthal, D.S.; Hanna, E.Y. Mucosal melanoma of the nose and paranasal sinuses, a contemporary experience from the M. D. Anderson Cancer Center. Cancer 2010, 116, 2215–2223. [Google Scholar] [CrossRef] [PubMed]
  16. Hallemeier, C.L.; Garces, Y.I.; Neben-Wittich, M.A.; Olivier, K.R.; Shon, W.; García, J.J.; Brown, P.D.; Foote, R.L. Adjuvant hypofractionated intensity modulated radiation therapy after resection of regional lymph node metastases in patients with cutaneous malignant melanoma of the head and neck. Pract. Radiat. Oncol. 2013, 3, e71–e77. [Google Scholar] [CrossRef] [PubMed]
  17. Wada, H.; Nemoto, K.; Ogawa, Y.; Hareyama, M.; Yoshida, H.; Takamura, A.; Ohmori, K.; Hamamoto, Y.; Sugita, T.; Saitoh, M.; et al. A multi-institutional retrospective analysis of external radiotherapy for mucosal melanoma of the head and neck in Northern Japan. Int. J. Radiat. Oncol. 2004, 59, 495–500. [Google Scholar] [CrossRef] [PubMed]
  18. Harwood, A.R.; Cummings, B.J. Radiotherapy for mucosal melanomas. Int. J. Radiat. Oncol. 1982, 8, 1121–1126. [Google Scholar] [CrossRef] [PubMed]
  19. Bourgeois, D.J., 3rd; Singh, A.K. Single-fraction stereotactic body radiation therapy for sinonasal malignant melanoma. Head Neck 2014, 37, E34–E37. [Google Scholar] [CrossRef] [PubMed]
  20. Ozyigit, G.; Cengiz, M.; Yazici, G.; Yildiz, F.; Sezen, D.; Yildiz, D.; Gurkaynak, M.; Zorlu, F.; Akyol, F. Robotic stereotactic body radiotherapy in the treatment of sinonasal mucosal melanoma: Report of four cases. Head Neck 2011, 35, E69–E73. [Google Scholar] [CrossRef] [PubMed]
  21. Andersen, L.J.; Berthelsen, A.; Hansen, H.S. Malignant melanoma of the upper respiratory tract and the oral cavity. J. Otolaryngol. 1992, 21, 180–185. [Google Scholar] [PubMed]
  22. Frakes, J.M.; Strom, T.J.; O Naghavi, A.; Trotti, A.; Rao, N.G.; McCaffrey, J.C.; Otto, K.J.; Padhya, T.; Caudell, J.J. Outcomes of mucosal melanoma of the head and neck. J. Med. Imaging Radiat. Oncol. 2015, 60, 268–273. [Google Scholar] [CrossRef] [PubMed]
  23. Christopherson, K.B.; Malyapa, R.S.; Werning, J.W.; Morris, C.G.; Kirwan, J.M.; Mendenhall, W.M. Radiation Therapy for Mucosal Melanoma of the Head and Neck. Am. J. Clin. Oncol. 2015, 38, 87–89. [Google Scholar] [CrossRef] [PubMed]
  24. Benlyazid, A.; Thariat, J.; Temam, S.; Malard, O.; Florescu, C.; Choussy, O.; Makeieff, M.; Poissonnet, G.; Penel, N.; Righini, C.; et al. Postoperative Radiotherapy in Head and Neck Mucosal Melanoma. Arch. Otolaryngol. Neck Surg. 2010, 136, 1219–1225. [Google Scholar] [CrossRef]
  25. Vandenhende, C.; Leroy, X.; Chevalier, D.; Mortuaire, G. Sinonasal mucosal melanoma: Retrospective survival study of 25 patients. J. Laryngol. Otol. 2012, 126, 147–151. [Google Scholar] [CrossRef] [PubMed]
  26. Wu, A.J.; Gomez, J.; Zhung, J.E.; Chan, K.; Gomez, D.R.; Wolden, S.L.; Zelefsky, M.J.; Wolchok, J.D.; Carvajal, R.D.; Chapman, P.B.; et al. Radiotherapy After Surgical Resection for Head and Neck Mucosal Melanoma. Am. J. Clin. Oncol. 2010, 33, 281–285. [Google Scholar] [CrossRef] [PubMed]
  27. Meleti, M.; Leemans, C.R.; de Bree, R.; Vescovi, P.; Sesenna, E.; van der Waal, I. Head and neck mucosal melanoma: Experience with 42 patients, with emphasis on the role of postoperative radiotherapy. Head Neck 2008, 30, 1543–1551. [Google Scholar] [CrossRef] [PubMed]
  28. Cheng, Y.F.; Lai, C.C.; Ho, C.Y.; Shu, C.H.; Lin, C.Z. Toward a better understanding of sinonasal mucosal melanoma: Clinical review of 23 cases. J. Chin. Med. Assoc. 2007, 70, 24–29. [Google Scholar] [CrossRef] [PubMed]
  29. Owens, J.M.; Roberts, D.B.; Myers, J.N. The Role of Postoperative Adjuvant Radiation Therapy in the Treatment of Mucosal Melanomas of the Head and Neck Region. Arch. Otolaryngol. Neck Surg. 2003, 129, 864–868. [Google Scholar] [CrossRef] [PubMed]
  30. Nandapalan, V.; Roland, N.J.; Helliwell, T.R.; Williams, E.M.; Hamilton, J.W.; Jones, A.S. Mucosal melanoma of the head and neck. Clin. Otolaryngol. Allied Sci. 1998, 23, 107–116. [Google Scholar] [CrossRef] [PubMed]
  31. Temam, S.; Mamelle, G.; Marandas, P.; Wibault, P.; Avril, M.; Janot, F.; Julieron, M.; Schwaab, G.; Luboinski, B. Postoperative radiotherapy for primary mucosal melanoma of the head and neck. Cancer 2005, 103, 313–319. [Google Scholar] [CrossRef] [PubMed]
  32. Takayasu, Y.; Kubo, N.; Shino, M.; Nikkuni, O.; Ida, S.; Musha, A.; Takahashi, K.; Hirato, J.; Shirai, K.; Saitoh, J.; et al. Carbon-ion radiotherapy combined with chemotherapy for head and neck mucosal melanoma: Prospective observational study. Cancer Med. 2019, 8, 7227–7235. [Google Scholar] [CrossRef] [PubMed] [PubMed Central]
  33. Zenda, S.; Akimoto, T.; Mizumoto, M.; Hayashi, R.; Arahira, S.; Okumura, T.; Sakurai, H. Phase II study of proton beam therapy as a nonsurgical approach for mucosal melanoma of the nasal cavity or para-nasal sinuses. Radiother. Oncol. 2015, 118, 267–271. [Google Scholar] [CrossRef] [PubMed]
  34. Greenwalt, J.C.; Dagan, R.; Bryant, C.M.; Morris, C.G.; Mendenhall, W.M. Proton Therapy for Sinonasal Mucosal Melanoma. Int. J. Radiat. Oncol.*Biol.*Phys. 2015, 93, E293. [Google Scholar] [CrossRef]
  35. Fuji, H.; Yoshikawa, S.; Kasami, M.; Murayama, S.; Onitsuka, T.; Kashiwagi, H.; Kiyohara, Y. High-dose proton beam therapy for sinonasal mucosal malignant melanoma. Radiat. Oncol. 2014, 9, 162. [Google Scholar] [CrossRef] [PubMed] [PubMed Central]
  36. Gilligan, D.; Slevin, N.J. Radical radiotherapy for 28 cases of mucosal melanoma in the nasal cavity and sinuses. Br. J. Radiol. 1991, 64, 1147–1150. [Google Scholar] [CrossRef] [PubMed]
  37. Shiga, K.; Ogawa, T.; Kobayashi, T.; Ueda, S.; Kondo, A.; Nanba, A.; Kuwashima, S.; Asada, Y.; Suzuki, S.; Nagahashi, T.; et al. Malignant melanoma of the head and neck: A multi-institutional retrospective analysis of cases in northern Japan. Head Neck 2012, 34, 1537–1541. [Google Scholar] [CrossRef] [PubMed]
  38. Bachar, G.; Loh, K.S.; O’Sullivan, B.; Goldstein, D.; Wood, S.; Brown, D.; Irish, J. Mucosal melanomas of the head and neck: Experience of the Princess Margaret Hospital. Head Neck 2008, 30, 1325–1331. [Google Scholar] [CrossRef] [PubMed]
  39. Combs, S.E.; Konkel, S.; Thilmann, C.; Debus, J.; Schulz-Ertner, D. Local high-dose radiotherapy and sparing of normal tissue using intensity-modulated radiotherapy (IMRT) for mucosal melanoma of the nasal cavity and paranasal sinuses. Strahlenther. Onkol. 2007, 183, 63–68. [Google Scholar] [CrossRef] [PubMed]
  40. Gaze, M.N.; Kerr, G.R.; Smyth, J.F. Mucosal melanomas of the head and neck: The Scottish experience. The Scottish Melanoma Group. Clin. Oncol. 1990, 2, 277–283. [Google Scholar] [CrossRef] [PubMed]
  41. Dréno, M.; Georges, M.; Espitalier, F.; Ferron, C.; Charnolé, A.; Dréno, B.; Malard, O. Sinonasal mucosal melanoma: A 44-case study and literature analysis. Eur. Ann. Otorhinolaryngol. Head Neck Dis. 2017, 134, 237–242. [Google Scholar] [CrossRef] [PubMed]
  42. Caspers, C.; Dronkers, E.; Monserez, D.; Wieringa, M.; de Jong, R.B.; Hardillo, J. Adjuvant radiotherapy in sinonasal mucosal melanoma: A retrospective analysis. Clin. Otolaryngol. 2017, 43, 617–623. [Google Scholar] [CrossRef] [PubMed]
  43. Li, W.; Yu, Y.; Wang, H.; Yan, A.; Jiang, X. Evaluation of the prognostic impact of postoperative adjuvant radiotherapy on head and neck mucosal melanoma: A meta-analysis. BMC Cancer 2015, 15, 758. [Google Scholar] [CrossRef] [PubMed] [PubMed Central]
  44. Grant-Freemantle, M.C.; O’Neill, B.L.; Clover, A.J.P. The effectiveness of radiotherapy in the treatment of head and neck mucosal melanoma: Systematic review and meta-analysis. Head Neck 2021, 43, 323–333. [Google Scholar] [CrossRef] [PubMed]
  45. Tsushima, N.; Kano, S.; Yasuda, K.; Suzuki, T.; Hamada, S.; Nakamaru, Y.; Suzuki, M.; Uchinami, Y.; Aoyama, H.; Homma, A. Treatment outcomes of the patient with sinonasal mucosal melanoma: The role of endoscopic resection and postoperative radiotherapy. Int. J. Clin. Oncol. 2023, 28, 1218–1226. [Google Scholar] [CrossRef] [PubMed]
  46. Yao, J.-J.; Zhang, F.; Zhang, G.-S.; Deng, X.-W.; Zhang, W.-J.; Lawrence, W.R.; Zou, L.; Zhang, X.-S.; Lu, L.-X. Efficacy and safety of primary surgery with postoperative radiotherapy in head and neck mucosal melanoma: A single-arm Phase II study. Cancer Manag. Res. 2018, 10, 6985–6995. [Google Scholar] [CrossRef] [PubMed] [PubMed Central]
  47. Shibuya, H.; Takeda, M.; Matsumoto, S.; Hoshina, M.; Suzuki, S.; Takagi, M. The efficacy of radiation therapy for a malignant melanoma in the mucosa of the upper jaw: An analytic study. Int. J. Radiat. Oncol. 1993, 25, 35–39. [Google Scholar] [CrossRef] [PubMed]
  48. Wagner, M.; Morris, C.G.; Werning, J.W.; Mendenhall, W.M. Mucosal Melanoma of the Head and Neck. Am. J. Clin. Oncol. 2008, 31, 43–48. [Google Scholar] [CrossRef] [PubMed]
  49. Higgins, M.J.; Alipour, R.; Pope, K.; Ung, K.A.; Kok, D.L.; Chua, M.S.-T. QUAD SHOT Radiotherapy and Doublet Immunotherapy in the Management of Anal Mucosal Melanoma: A Case Series of Efficacy and Toxicity of a Novel Treatment Approach and a Review of the Literature. Clin. Color. Cancer 2022, 21, E179–E186. [Google Scholar] [CrossRef] [PubMed]
  50. Ramaekers, B.L.; Pijls-Johannesma, M.; Joore, M.A.; Ende, P.v.D.; Langendijk, J.A.; Lambin, P.; Kessels, A.G.; Grutters, J.P. Systematic review and meta-analysis of radiotherapy in various head and neck cancers: Comparing photons, carbon-ions and protons. Cancer Treat. Rev. 2011, 37, 185–201. [Google Scholar] [CrossRef] [PubMed]
  51. Yanagi, T.; Mizoe, J.-E.; Hasegawa, A.; Takagi, R.; Bessho, H.; Onda, T.; Kamada, T.; Okamoto, Y.; Tsujii, H. Mucosal Malignant Melanoma of the Head and Neck Treated by Carbon Ion Radiotherapy. Int. J. Radiat. Oncol. 2009, 74, 15–20. [Google Scholar] [CrossRef] [PubMed]
  52. Katz, T.S.; Mendenhall, W.M.; Morris, C.G.; Amdur, R.J.; Hinerman, R.W.; Villaret, D.B. Malignant tumors of the nasal cavity and paranasal sinuses. Head Neck 2002, 24, 821–829. [Google Scholar] [CrossRef] [PubMed]
  53. Thariat, J.; Poissonnet, G.; Marcy, P.-Y.; Lattes, L.; Butori, C.; Guevara, N.; Dassonville, O.; Santini, J.; Bensadoun, R.-J.; Castillo, L. Effect of Surgical Modality and Hypofractionated Split-course Radiotherapy on Local Control and Survival from Sinonasal Mucosal Melanoma. Clin. Oncol. 2011, 23, 579–586. [Google Scholar] [CrossRef] [PubMed]
  54. Schaefer, T.; Satzger, I.; Gutzmer, R. Clinics, prognosis and new therapeutic options in patients with mucosal melanoma. Medicine 2017, 96, e5753. [Google Scholar] [CrossRef] [PubMed] [PubMed Central]
Figure 1. This figure shows the radiation plan and subsequent treatment response following 66.01 Gy in 35 fractions to a mucosal melanoma of the right ethmoid sinus and ipsilateral neck.
Figure 1. This figure shows the radiation plan and subsequent treatment response following 66.01 Gy in 35 fractions to a mucosal melanoma of the right ethmoid sinus and ipsilateral neck.
Cancers 16 03304 g001
Table 1. Studies analyzing the outcomes of postoperative radiotherapy for HNMM.
Table 1. Studies analyzing the outcomes of postoperative radiotherapy for HNMM.
AuthorYearModalityNo. of Patients Receiving RTDose/FxDose Range (Gy)Treatment
Outcome (Local Control, Overall Survival)
Toxicity (Acute, Late)
Abt et al. [21]2021Photons437Local control: —
Survival: 5-year OS of 25%
Acute: —
Late: —
Yao et al. [4]2018Photons33 (23 hypo-fractionation CRT and 10 CRT)2 Gy65–70 Gy (CTV1)
50–55 Gy (CTV2)
Local control: 92%
Survival: 3-year OS of 44.4%
Acute: grade 3, 18% leucopenia
Late: grade 3, 12% muscle fibrosis
Frakes et al. [22]2015Photons381.5–6 Gy30–70 GyLocal control: 3-year LC of 90%
Survival: 3-year OS of 59%
Acute: N/A
Late: no grade 4 toxicity
Christopherson et al. [23]2015Photons, Protons16Local control: 5-year LC of 79%
Survival: 5-year OS of 25%
Acute: —
Late: grade 4 blindness or skin necrosis, 14%
Thariat et al. [24]2011Photons166 Gy20–60 GyLocal control: 5-year LC of 49%
Survival: 5-year OS of 38%
Acute: radionecrosis 6%
Late: none
Vandenhende et al. [25]201115Local control: 3-year DFS of 38%
Survival: 3-year OS of 54%
Acute: —
Late: —
Moreno et al. [15]2010Photons3330–66 GyLocal control: —
Survival: —
Acute: grade 2–3 skin toxicity 39%
Late: grade 2 mucosal toxicity 6%
Benlyazid et al. [24] 20107825–70 GyLocal control: 5-year LRC of 70%
Survival: 5-year OS of 27.5%
Acute: —
Late: —
Wu et al. [26]2010Photons27Local control: 5-year PFS of 22%
Survival: 5-year OS of 33%
Acute: grade 2 mucositis 19%
Late: no optic complications
Meleti et al. [27].200819Local control: 26.3% local failure at 9.4 months
Survival: —
Acute: —
Late: —
Cheng et al. [28].2007Photons1221–60 GyLocal control: —
Survival: —
Acute: —
Late: —
Krengli et al. [14]2006Photons421.3–5 Gy5–70 GyLocal control: 3-year LC of 71%
Survival: 5-year OS of 28%
Acute: grade 3 skin and mucosal toxicity 20.8%
Late: optic nerve toxicity, stenosis of nasolacrimal duct
Owens et al. [29]2003Photons242–6 Gy30–60 GyLocal control: 83% LRC
Survival: 5-year OS of 29%
Acute: —
Late: —
Patel et al. [11]200218Local control: 5-year local recurrence-free survival 17.7%
Survival: 5-year disease-specific survival 39.8%
Acute: —
Late: —
Nandapalan et al. [30]1997Photons76Local control: —
Survival: 10-year OS of 27%
Acute: —
Late: —
Temam et al. [31]1997Photons392 Gy50–70 GyLocal control: LRC of 62%
Survival: 5-year OS of 20%
Acute: —
Late: —
“—” signifies the absence of the pertinent data point.
Table 2. Studies analyzing the outcomes of definitive radiotherapy for intact HNMM.
Table 2. Studies analyzing the outcomes of definitive radiotherapy for intact HNMM.
AuthorYearModalityNo of
Patients
Receiving RT
Dose/FxDose RangeTreatment
Outcome
Toxicity
Abt et al. [21]2021Photon85--Local control: -Acute: -
Survival: 1-year OS of 43.7%, median OS of 10 monthsLate: -
Takayasu et al. [32]2019Carbon213.5 to 4.5 Gy57 to 64 Gy3-year LC: 92%Acute: G2 mucositis (53%)
3-year OS: 49%Late: G3 overall (0%)
Christopherson et al. [23]2015Photon and Proton5-66.5–74.4Local control: -Acute: -
Survival: -Late: bilateral blindness and skin necrosis
Bourgeois et al. [19]2015SBRT215 Gy-Local control: -Acute: -
Survival: -Late: -
Zenda et al. [33]2015Proton324 Gy60 GyLocal control: 1-year LC of 76%Acute: dermatitis grade 3–4 (13%)
Survival: 3-year OS of 46%Late: none > grade 3
Greenwalt et al. [34]2015Proton7-69.6–74.4Local control: locoregional control 18 months 86%Acute: -
Survival: 18-month OS of 67%Late: G4 visual toxicity in 14%
Fuji et al. [35]2014Proton203.5 Gy-Local control: 5-year local control 62%Acute: mucositis (25%)
Survival: 5-year OS of 51%Late: G4 optic nerve toxicity in 15%
Gilligan et al. [36]2014-283–3.5 Gy50–55 GyAbsolute local control: 61%Acute: -
3-year DFS: 49%Late: -
5-year OS: 18%
Ozyigit et al. [20]2013SBRT4--Local control: -Acute: -
Survival: -Late: -
Shiga et al. [37]2012Photon, Proton, Carbon9N/AN/ALocal control: N/AAcute: -
Survival: 5-year OS of 30%Late: -
Zenda et al. [33]2011Protons144 Gy per fraction60 Gy equivalents3-year LC: 86%Acute: G3 mucositis (21%)
3-year OS: 58%Late: G3 vision changes (14%)
Bachar et al. [38]2008Photon21--Local control: 5-year LC of 13%Acute: -
Survival: 2-year DFS of 26%, median survival of 28 monthsLate: -
Combs et al. [39]2007Photon IMRT8-60–68 GTV; 54–64 CTVLocal control: -Acute: skin erythema
Survival: 5-year OS 80%Late: no decreased visual acuity
Wada et al. [17]2003Photons311.5–13.8 Gy32–64 Gy (median 50 Gy)Local control: 61%Acute: G2 mucositis (16%)
3-year cause-specific Survival: 33%Late: death (6.5%)
Nandapalan et al. [30]2002Photon20--Local control: -Acute: -
Survival: 10-year OS of 25%Late: -
Gaze et al. [40]1990Photon13--Local control: -Acute: -
Survival: -Late: -
“-” signifies the absence of the pertinent data point.
Disclaimer/Publisher’s Note: The statements, opinions and data contained in all publications are solely those of the individual author(s) and contributor(s) and not of MDPI and/or the editor(s). MDPI and/or the editor(s) disclaim responsibility for any injury to people or property resulting from any ideas, methods, instructions or products referred to in the content.

Share and Cite

MDPI and ACS Style

Azem, O.; Nabulsi, O.; Jelinek, M.; Joshi, N. Radiation Therapy in the Management of Head and Neck Mucosal Melanoma. Cancers 2024, 16, 3304. https://doi.org/10.3390/cancers16193304

AMA Style

Azem O, Nabulsi O, Jelinek M, Joshi N. Radiation Therapy in the Management of Head and Neck Mucosal Melanoma. Cancers. 2024; 16(19):3304. https://doi.org/10.3390/cancers16193304

Chicago/Turabian Style

Azem, Omar, Omar Nabulsi, Michael Jelinek, and Nikhil Joshi. 2024. "Radiation Therapy in the Management of Head and Neck Mucosal Melanoma" Cancers 16, no. 19: 3304. https://doi.org/10.3390/cancers16193304

APA Style

Azem, O., Nabulsi, O., Jelinek, M., & Joshi, N. (2024). Radiation Therapy in the Management of Head and Neck Mucosal Melanoma. Cancers, 16(19), 3304. https://doi.org/10.3390/cancers16193304

Note that from the first issue of 2016, this journal uses article numbers instead of page numbers. See further details here.

Article Metrics

Back to TopTop