Significance of PD-L1 and Tumor Microenvironment in Laryngeal Squamous Cell Cancer
Abstract
Simple Summary
Abstract
1. Introduction
2. Materials and Methods
2.1. Study Cohort
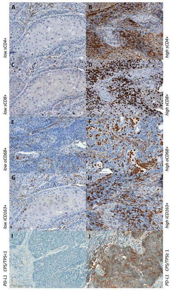
2.2. Immunohistochemistry
2.3. Evaluation of Immunoreactivity
2.4. Statistical Analysis
3. Results
3.1. Study Cohort
3.2. Expression of PD-L1, CD4, CD8, CD68 and CD163 in LSCC and Comparison between the Early and Advanced Stages of Carcinoma
3.3. Correlation of PD-L1 Expression with CD4, CD8, CD68 and CD163 in LSCC
3.4. Survival Analysis and Association of PD-L1 Expression with Clinicopathological Parameters in LSCC
4. Discussion
5. Conclusions
Supplementary Materials
Author Contributions
Funding
Institutional Review Board Statement
Informed Consent Statement
Data Availability Statement
Acknowledgments
Conflicts of Interest
References
- Li, M.M.; Zhao, S.; Eskander, A.; Rygalski, C.; Brock, G.; Parikh, A.S.; Haring, C.T.; Swendseid, B.; Zhan, K.Y.; Bradford, C.R.; et al. Stage Migration and Survival Trends in Laryngeal Cancer. Ann. Surg. Oncol. 2021, 28, 7300–7309. [Google Scholar] [CrossRef] [PubMed]
- Steuer, C.E.; El-Deiry, M.; Parks, J.R.; Higgins, K.A.; Saba, N.F. An update on larynx cancer. CA Cancer J. Clin. 2017, 67, 31–50. [Google Scholar] [CrossRef] [PubMed]
- Nocini, R.; Molteni, G.; Mattiuzzi, C.; Lippi, G. Updates on larynx cancer epidemiology. Chin. J. Cancer Res. 2020, 32, 18–25. [Google Scholar] [CrossRef] [PubMed]
- Alessandrini, L.; Franz, L.; Ottaviano, G.; Ghi, M.G.; Lanza, C.; Blandamura, S.; Marioni, G. Prognostic role of programmed death ligand 1 (PD-L1) and the immune microenvironment in laryngeal carcinoma. Oral Oncol. 2020, 108, 104836. [Google Scholar] [CrossRef] [PubMed]
- Yang, S.M.; Wu, M.; Han, F.Y.; Sun, Y.M.; Yang, J.Q.; Liu, H.X. Role of HPV status and PD-L1 expression in prognosis of laryngeal squamous cell carcinoma. Int. J. Clin. Exp. Pathol. 2021, 14, 107–115. [Google Scholar] [PubMed]
- Muller, T.; Braun, M.; Dietrich, D.; Aktekin, S.; Hoft, S.; Kristiansen, G.; Goke, F.; Schrock, A.; Bragelmann, J.; Held, S.A.E.; et al. PD-L1: A novel prognostic biomarker in head and neck squamous cell carcinoma. Oncotarget 2017, 8, 52889–52900. [Google Scholar] [CrossRef] [PubMed]
- Lin, Y.M.; Sung, W.W.; Hsieh, M.J.; Tsai, S.C.; Lai, H.W.; Yang, S.M.; Shen, K.H.; Chen, M.K.; Lee, H.; Yeh, K.T.; et al. High PD-L1 Expression Correlates with Metastasis and Poor Prognosis in Oral Squamous Cell Carcinoma. PLoS ONE 2015, 10, e0142656. [Google Scholar] [CrossRef] [PubMed]
- Zhuang, Y.; Liu, C.; Liu, J.; Li, G. Resistance Mechanism of PD-1/PD-L1 Blockade in the Cancer-Immunity Cycle. Onco Targets Ther. 2020, 13, 83–94. [Google Scholar] [CrossRef]
- Vassilakopoulou, M.; Avgeris, M.; Velcheti, V.; Kotoula, V.; Rampias, T.; Chatzopoulos, K.; Perisanidis, C.; Kontos, C.K.; Giotakis, A.I.; Scorilas, A.; et al. Evaluation of PD-L1 Expression and Associated Tumor-Infiltrating Lymphocytes in Laryngeal Squamous Cell Carcinoma. Clin. Cancer Res. 2016, 22, 704–713. [Google Scholar] [CrossRef]
- Zhou, L.; Li, Y.; Gao, W.; Huangfu, H.; Wen, S.; Zhang, C.; Zhao, Q.; Dong, Z.; Qu, C.; Li, G.; et al. Assessment of tumor-associated immune cells in laryngeal squamous cell carcinoma. J. Cancer Res. Clin. Oncol. 2019, 145, 1761–1772. [Google Scholar] [CrossRef]
- Morrison, C. Immuno-oncologists eye up macrophage targets. Nat. Rev. Drug Discov. 2016, 15, 373–374. [Google Scholar] [CrossRef] [PubMed]
- National Comprehensive Cancer Network. NCCN Clinical Practice Guidelines in Oncology (NCCN Guidelines®), Head and Neck Cancers, Version 4.2024—1 May 2024. Available online: https://www.nccn.org/professionals/physician_gls/pdf/head-and-neck.pdf (accessed on 6 May 2024).
- Hu, Z.; Gu, X.; Zhong, R.; Zhong, H. Tumor-infiltrating CD45RO(+) memory cells correlate with favorable prognosis in patients with lung adenocarcinoma. J. Thorac. Dis. 2018, 10, 2089–2099. [Google Scholar] [CrossRef] [PubMed]
- Shimizu, S.; Hiratsuka, H.; Koike, K.; Tsuchihashi, K.; Sonoda, T.; Ogi, K.; Miyakawa, A.; Kobayashi, J.; Kaneko, T.; Igarashi, T.; et al. Tumor-infiltrating CD8(+) T-cell density is an independent prognostic marker for oral squamous cell carcinoma. Cancer Med. 2019, 8, 80–93. [Google Scholar] [CrossRef] [PubMed]
- Vihervuori, H.; Autere, T.A.; Repo, H.; Kurki, S.; Kallio, L.; Lintunen, M.M.; Talvinen, K.; Kronqvist, P. Tumor-infiltrating lymphocytes and CD8(+) T cells predict survival of triple-negative breast cancer. J. Cancer Res. Clin. Oncol. 2019, 145, 3105–3114. [Google Scholar] [CrossRef] [PubMed]
- Burtness, B.; Harrington, K.J.; Greil, R.; Soulieres, D.; Tahara, M.; de Castro, G., Jr.; Psyrri, A.; Baste, N.; Neupane, P.; Bratland, A.; et al. Pembrolizumab alone or with chemotherapy versus cetuximab with chemotherapy for recurrent or metastatic squamous cell carcinoma of the head and neck (KEYNOTE-048): A randomised, open-label, phase 3 study. Lancet 2019, 394, 1915–1928. [Google Scholar] [CrossRef] [PubMed]
- Ito, T.; Okamoto, I.; Tokashiki, K.; Sato, H.; Okada, T.; Yamashita, G.; Nagao, T.; Hirai, H.; Saigusa, N.; Tsukahara, K. PD-L1 Expression and Survival Rates Using TPS and CPS for Nivolumab-treated Head-and-Neck Cancer. Anticancer Res. 2022, 42, 1547–1554. [Google Scholar] [CrossRef] [PubMed]
- Hendry, S.; Salgado, R.; Gevaert, T.; Russell, P.A.; John, T.; Thapa, B.; Christie, M.; van de Vijver, K.; Estrada, M.V.; Gonzalez-Ericsson, P.I.; et al. Assessing Tumor-infiltrating Lymphocytes in Solid Tumors: A Practical Review for Pathologists and Proposal for a Standardized Method From the International Immunooncology Biomarkers Working Group: Part 1: Assessing the Host Immune Response, TILs in Invasive Breast Carcinoma and Ductal Carcinoma In Situ, Metastatic Tumor Deposits and Areas for Further Research. Adv. Anat. Pathol. 2017, 24, 235–251. [Google Scholar] [CrossRef] [PubMed]
- Hendry, S.; Salgado, R.; Gevaert, T.; Russell, P.A.; John, T.; Thapa, B.; Christie, M.; van de Vijver, K.; Estrada, M.V.; Gonzalez-Ericsson, P.I.; et al. Assessing Tumor-Infiltrating Lymphocytes in Solid Tumors: A Practical Review for Pathologists and Proposal for a Standardized Method from the International Immuno-Oncology Biomarkers Working Group: Part 2: TILs in Melanoma, Gastrointestinal Tract Carcinomas, Non-Small Cell Lung Carcinoma and Mesothelioma, Endometrial and Ovarian Carcinomas, Squamous Cell Carcinoma of the Head and Neck, Genitourinary Carcinomas, and Primary Brain Tumors. Adv. Anat. Pathol. 2017, 24, 311–335. [Google Scholar] [CrossRef] [PubMed]
- Ghosh, C.; Luong, G.; Sun, Y. A snapshot of the PD-1/PD-L1 pathway. J. Cancer 2021, 12, 2735–2746. [Google Scholar] [CrossRef]
- Munari, E.; Mariotti, F.R.; Quatrini, L.; Bertoglio, P.; Tumino, N.; Vacca, P.; Eccher, A.; Ciompi, F.; Brunelli, M.; Martignoni, G.; et al. PD-1/PD-L1 in Cancer: Pathophysiological, Diagnostic and Therapeutic Aspects. Int. J. Mol. Sci. 2021, 22, 5123. [Google Scholar] [CrossRef]
- Pakkanen, P.; Ilmarinen, T.; Halme, E.; Irjala, H.; Koivunen, P.; Pukkila, M.; Ventela, S.; Almangush, A.; Birkman, E.M.; Lindgren, O.; et al. Programmed death-ligand 1 and tumor-infiltrating lymphocytes (TILs)—Low TIL density may predict poorer long-term prognosis in T1 laryngeal cancer. Virchows Arch, 2023; Advance online publication. [Google Scholar] [CrossRef]
- Hirshoren, N.; Al-Kharouf, I.; Weinberger, J.M.; Eliashar, R.; Popovtzer, A.; Knaanie, A.; Fellig, Y.; Neuman, T.; Meir, K.; Maly, A.; et al. Spatial Intratumoral Heterogeneity Expression of PD-L1 Antigen in Head and Neck Squamous Cell Carcinoma. Oncology 2021, 99, 464–470. [Google Scholar] [CrossRef]
- Batur, S.; Kain, Z.E.; Gozen, E.D.; Kepil, N.; Aydin, O.; Comunoglu, N. Programmed Death Ligand 1 Expression in Laryngeal Squamous Cell Carcinomas and Prognosis. Clin. Pathol. 2020, 13, 2632010–20964846. [Google Scholar] [CrossRef]
- Wusiman, D.; Guo, L.; Huang, Z.; Li, Z.; Liu, S.; Ying, J.; Li, W.; An, C. The clinicopathological significance of PD-L1 expression assessed by the combined positive score (CPS) in head and neck squamous cell carcinoma. Pathol. Res. Pract. 2022, 236, 153934. [Google Scholar] [CrossRef] [PubMed]
- Yu, K.; Gu, Y.; Zhang, P.; Fang, H.; Cao, Y.; Wang, J.; Lin, C.; Liu, H.; Zhang, H.; He, H.; et al. Intratumoral PD-1(+)CD8(+) T cells associate poor clinical outcomes and adjuvant chemotherapeutic benefit in gastric cancer. Br. J. Cancer 2022, 127, 1709–1717. [Google Scholar] [CrossRef] [PubMed]
- Ahmadvand, S.; Norouzi, L.A.; Mohammadi, Y.; Safaei, A.; Khademi, B.; Motiee-Langroudi, M.; Ghaderi, A. Negative prognostic behaviour of PD-L1 expression in tongue and larynx squamous cell carcinoma and its significant predictive power in combination with PD-1 expression on TILs. BMC Immunol. 2024, 25, 7. [Google Scholar] [CrossRef]
- Kim, H.D.; Song, G.W.; Park, S.; Jung, M.K.; Kim, M.H.; Kang, H.J.; Yoo, C.; Yi, K.; Kim, K.H.; Eo, S.; et al. Association Between Expression Level of PD1 by Tumor-Infiltrating CD8(+) T Cells and Features of Hepatocellular Carcinoma. Gastroenterology 2018, 155, 1936–1950.e17. [Google Scholar] [CrossRef]
- Han, J.; Duan, J.; Bai, H.; Wang, Y.; Wan, R.; Wang, X.; Chen, S.; Tian, Y.; Wang, D.; Fei, K.; et al. TCR Repertoire Diversity of Peripheral PD-1(+)CD8(+) T Cells Predicts Clinical Outcomes after Immunotherapy in Patients with Non-Small Cell Lung Cancer. Cancer Immunol. Res. 2020, 8, 146–154. [Google Scholar] [CrossRef]
- Hamanishi, J.; Mandai, M.; Iwasaki, M.; Okazaki, T.; Tanaka, Y.; Yamaguchi, K.; Higuchi, T.; Yagi, H.; Takakura, K.; Minato, N.; et al. Programmed cell death 1 ligand 1 and tumor-infiltrating CD8+ T lymphocytes are prognostic factors of human ovarian cancer. Proc. Natl. Acad. Sci. USA 2007, 104, 3360–3365. [Google Scholar] [CrossRef] [PubMed]
- Ouban, A.; Raddaoui, E.; Bakir, M. The Clinical Significance of CD163+ Tumor-Associated Macrophages (TAMs) in Laryngeal Squamous Cell Carcinoma. Cureus 2023, 15, e36339. [Google Scholar] [CrossRef]
- Kuang, D.M.; Zhao, Q.; Peng, C.; Xu, J.; Zhang, J.P.; Wu, C.; Zheng, L. Activated monocytes in peritumoral stroma of hepatocellular carcinoma foster immune privilege and disease progression through PD-L1. J. Exp. Med. 2009, 206, 1327–1337. [Google Scholar] [CrossRef]
- De Palma, M.; Lewis, C.E. Macrophage regulation of tumor responses to anticancer therapies. Cancer Cell 2013, 23, 277–286. [Google Scholar] [CrossRef] [PubMed]
- Teng, M.W.; Ngiow, S.F.; Ribas, A.; Smyth, M.J. Classifying Cancers Based on T-cell Infiltration and PD-L1. Cancer Res. 2015, 75, 2139–2145. [Google Scholar] [CrossRef] [PubMed]
- Kim, T.K.; Herbst, R.S.; Chen, L. Defining and Understanding Adaptive Resistance in Cancer Immunotherapy. Trends Immunol. 2018, 39, 624–631. [Google Scholar] [CrossRef] [PubMed]
- Kim, S.Y.; Kim, T.E.; Park, C.K.; Yoon, H.K.; Sa, Y.J.; Kim, H.R.; Woo, I.S.; Kim, T.J. Comprehensive Comparison of 22C3 and SP263 PD-L1 Expression in Non-Small-Cell Lung Cancer Using Routine Clinical and Conditioned Archives. Cancers 2022, 14, 3138. [Google Scholar] [CrossRef] [PubMed]
- Crosta, S.; Boldorini, R.; Bono, F.; Brambilla, V.; Dainese, E.; Fusco, N.; Gianatti, A.; L’Imperio, V.; Morbini, P.; Pagni, F. PD-L1 Testing and Squamous Cell Carcinoma of the Head and Neck: A Multicenter Study on the Diagnostic Reproducibility of Different Protocols. Cancers 2021, 13, 292. [Google Scholar] [CrossRef]
- de Ruiter, E.J.; Mulder, F.J.; Koomen, B.M.; Speel, E.J.; van den Hout, M.; de Roest, R.H.; Bloemena, E.; Devriese, L.A.; Willems, S.M. Comparison of three PD-L1 immunohistochemical assays in head and neck squamous cell carcinoma (HNSCC). Mod. Pathol. 2021, 34, 1125–1132. [Google Scholar] [CrossRef]





| Characteristic of Patients with LSCC N = 102 | Number of Patients (%) | |
|---|---|---|
| Age (years); median (range) | 63.0 (43.9–83.6) | |
| Sex | Female | 7 (6.9) |
| Male | 95 (93.1) | |
| Smoking | No | 25 (24.5) |
| Yes | 77 (75.5) | |
| Alcohol | No | 54 (52.9) |
| Yes | 48 (47.1) | |
| T classification | 1 | 26 (25.5) |
| 2 | 17 (16.7) | |
| 3 | 40 (39.2) | |
| 4 | 19 (18.6) | |
| Clinical stage | I | 26 (25.5) |
| II | 18 (17.6) | |
| III | 34 (33.3) | |
| IV | 24 (23.5) | |
| N classification | 0 | 87 (85.3) |
| 1 | 10 (9.8) | |
| 2 | 5 (4.9) | |
| Localization | Supraglottic | 9 (8.8) |
| Glottic | 72 (70.6) | |
| Subglottic | 3 (2.9) | |
| Transglottic | 18 (17.6) | |
| Histological grade | G1 | 21 (21.4) |
| G2 | 56 (54.4) | |
| G3 | 19 (18.4) | |
| Unknown | 6 (5.8) | |
| Lymph vessel invasion | No | 46 (45.6) |
| Yes | 39 (37.9) | |
| Unknown | 17 (16.5) | |
| Blood vessel invasion | No | 46 (45.6) |
| Yes | 38 (37.3) | |
| Unknown | 17 (17.1) | |
| Perineural invasion | No | 73 (71.8) |
| Yes | 11 (10.7) | |
| Unknown | 18 (17.5) | |
| Resection margins | R0 | 90 (88.2) |
| R1 | 12 (11.8) | |
| Recurrence | No | 76 (74.5) |
| Yes | 26 (25.5) | |
| CPS | <1 | 27 (26.5) |
| ≥1 | 66 (64.7) | |
| Unknown | 9 (8.8) | |
| TPS | <1 | 56 (54.9) |
| ≥1 | 37 (36.3) | |
| Unknown | 9 (8.8) | |
| Months to recurrence | ||
| Median (Range) | 15.3 (2.3–43.3) | |
| Follow-up (months) | ||
| Median (Range) | 56.2 (0.1–179.5) | |
| Died of the disease N (%) | 21 (20.4) | |
| Occurrence of second cancer N (%) | 26 (25.2) | |
| Variable, Median (Range) | LSCC Early | LSCC Advanced | p-Value | |
|---|---|---|---|---|
| N = 102 | N = 44 | N = 58 | ||
| CD4 | intratumoral | 1.5 (0.0–20.0) | 1.0 (0.0–6.7) | 0.619 ¶ |
| stromal | 8.0 (0.0–25.7) | 10.0 (0.0–40.3) | 0.263 ¶ | |
| overall | 10.0 (0.0–50.0) | 10.5 (0.0–53.3) | 0.639 ¶ | |
| CD8 | intratumoral | 2.5 (0.0–18.3) | 3.0 (0.0–30.0) | 0.846 ¶ |
| stromal | 5.3 (0.0–25.3) | 10.0 (0.0–37.3) | 0.031 ¶ | |
| overall | 8.0 (0.2–40.0) | 13.5 (0.5–60.0) | 0.109 ¶ | |
| CD68 | intratumoral | 2.0 (0.0–9.3) | 2.5 (0.0–10.0) | 0.280 ¶ |
| stromal | 7.0 (1.5–30.0) | 8.5 (0.1–27.5) | 0.059 ¶ | |
| overall | 8.0 (1.0–45.0) | 12 (0.3–50.0) | 0.027 ¶ | |
| CD163 | intratumoral | 1.25 (0.0–9.0) | 2.0 (0.0–12.0) | 0.084 ¶ |
| stromal | 15.0 (0.0–50.0) | 13.7 (0.0–35.0) | 0.348 ¶ | |
| overall | 13.5 (0.0–50.0) | 15.8 (0.0–50.0) | 0.165 ¶ | |
| TPS | 3.9 (0.0–76.7) | 2.7 (0.0–72.5) | 0.714 ¶ | |
| CPS | <1 | 13 (29.5) | 14 (25.5) | 0.363 § |
| ≥1 | 25 (56.9) | 41 (74.5) | ||
| NA | 6 (13.6) | 3 (5.2) | ||
| CD4 | CD8 | CD68 | CD163 | |||
|---|---|---|---|---|---|---|
| Intratumoral | CPS | rs | 0.194 | 0.202 | 0.342 | 0.273 |
| p | 0.069 | 0.056 | 0.001 | 0.008 | ||
| TPS | rs | 0.124 | 0.198 | 0.311 | 0.182 | |
| p | 0.249 | 0.003 | 0.003 | 0.081 | ||
| CD4 | CD8 | CD68 | CD163 | |||
| Stromal | CPS | rs | 0.269 | 0.251 | 0.259 | 0.280 |
| p | 0.011 | 0.017 | 0.014 | 0.007 | ||
| TPS | rs | 0.182 | 0.210 | 0.208 | 0.257 | |
| p | 0.088 | 0.047 | 0.049 | 0.013 |
| Variables (Cut-Off; %) | N | Died from Disease | Survival (%) | Mean ± SD | 95% CI | χ2 | Log-Rank Test (p) | |
|---|---|---|---|---|---|---|---|---|
| Whole LSCC Group | CD4 intratumoral (>0.4) | |||||||
| Low | 28 | 3 | 10.71 | 160.7 ± 10.16 | 140.82–180.65 | 2.55 | 0.11 | |
| High | 63 | 16 | 25.40 | 99.5 ± 6.33 | 87.1–111.92 | |||
| CD4 stromal (>6.5) | ||||||||
| Low | 30 | 3 | 10 | 162.06 ± 9.52 | 143.39–180.73 | 3.04 | 0.08 | |
| High | 61 | 16 | 26.3 | 99.52 ± 6.6 | 86.57–112.46 | |||
| CD4 overall (>11.5) | ||||||||
| Low | 51 | 8 | 15.69 | 151.37 ± 9.07 | 133.58–169.15 | 1.46 | 0.23 | |
| High | 40 | 11 | 27.5 | 99.29 ± 7.99 | 83.62–114.97 | |||
| Advanced LSCC Group | CD4 intratumoral (>0.4) | |||||||
| Low | 17 | 3 | 17.65 | 108.5 ± 11.3 | 86,33–130,66 | 2.62 | 0.10 | |
| High | 37 | 15 | 40.54 | 82.11 ± 9.12 | 64.24–99.99 | |||
| CD4 stromal (>6.5) | ||||||||
| Low | 15 | 3 | 20 | 96.72 ± 11 | 75.16–118.28 | 1.35 | 0.25 | |
| High | 39 | 15 | 38.46 | 84.91 ± 9.06 | 67.16–102.66 | |||
| CD4 overall (>11.5) | ||||||||
| Low | 29 | 8 | 27.59 | 93.66 ± 10.37 | 73.34–113.98 | 0.6 | 0.44 | |
| High | 25 | 10 | 40 | 84.27 ± 11.12 | 62.48–106.06 | |||
| Whole LSCC Group | CD8 intratumoral (≤2) | |||||||
| Low | 40 | 12 | 30 | 128.67 ± 12.2 | 104.75–152.59 | 3.28 | 0.07 | |
| High | 53 | 8 | 15.1 | 113.04 ± 5.68 | 101.9–124.17 | |||
| CD8 stromal (>12) | ||||||||
| Low | 60 | 11 | 18.33 | 147.53 ± 8.67 | 130.54–164.51 | 0.59 | 0.44 | |
| High | 33 | 9 | 27.27 | 98.73 ± 8.32 | 82.43–115.03 | |||
| CD8 overall (>23) | ||||||||
| Low | 71 | 13 | 18.31 | 147.27 ± 8.02 | 131.55–163 | 1.07 | 0.3 | |
| High | 22 | 7 | 31.82 | 95.52 ± 10.27 | 75.4–115.64 | |||
| Advanced LSCC Group | CD8 intratumoral (≤2) | |||||||
| Low | 24 | 11 | 45.83 | 69.17 ± 10.63 | 48,33–90.01 | 3.04 | 0.08 | |
| High | 30 | 8 | 26.67 | 99.3 ± 9.33 | 81.01–117.59 | |||
| CD8 stromal (>12) | ||||||||
| Low | 31 | 10 | 32.26 | 91.54 ± 10.09 | 71.76–111.32 | 0.08 | 0.77 | |
| High | 23 | 9 | 39.13 | 84.26 ± 11.08 | 62.54–105.98 | |||
| CD8 overall (>23) | ||||||||
| Low | 39 | 12 | 30.77 | 92.4 ± 9.03 | 74.71–110-1 | 0.48 | 0.49 | |
| High | 15 | 7 | 46.67 | 80.22 ± 13.33 | 54.1–106.34 | |||
| Whole LSCC Group | CD68 intratumoral (>2.7) | |||||||
| Low | 53 | 4 | 7.55 | 119.94 ± 4.35 | 111.42–128.46 | 11.97 | 0.0005 | |
| High | 41 | 16 | 39.02 | 115.39 ± 12.48 | 90.93–139.84 | |||
| CD68 stromal (>4.5) | ||||||||
| Low | 24 | 2 | 8.33 | 118.17 ± 6.85 | 104.74–131.59 | 2.67 | 0.1 | |
| High | 70 | 18 | 25.71 | 135.92 ± 8.79 | 118.69–153.15 | |||
| CD68 overall (>5.5) | ||||||||
| Low | 23 | 1 | 4.35 | 122.69 ± 5.48 | 111.95–133.43 | 3.7 | 0.054 | |
| High | 71 | 19 | 26.76 | 135.37 ± 8.64 | 118.44–152.3 | |||
| Advanced LSCC Group | CD68 intratumoral (>2.7) | |||||||
| Low | 29 | 4 | 13.79 | 112.04 ± 7.54 | 97.27–126.82 | 9.44 | 0.021 | |
| High | 26 | 15 | 57.69 | 65.3 ± 10.8 | 44.12–86.47 | |||
| CD68 stromal (>4.5) | ||||||||
| Low | 11 | 2 | 18.18 | 107.01 ± 13.59 | 80.37–133.65 | 1.34 | 0.25 | |
| High | 44 | 17 | 38.64 | 84.61 ± 8.58 | 67.79–101.42 | |||
| CD68 overall (>5.5) | ||||||||
| Low | 9 | 1 | 11.11 | 115.2 ± 12.35 | 90.99–139.41 | 1.57 | 0.21 | |
| High | 46 | 18 | 39.13 | 85.18 ± 8.25 | 69.01–101.35 | |||
| Whole LSCC Group | CD163 intratumoral (>2) | |||||||
| Low | 58 | 7 | 12.07 | 158.33 ± 7.46 | 143.71–172.96 | 7.6 | 0.006 | |
| High | 39 | 14 | 35.9 | 89.6 ± 8.75 | 72.46–106.74 | |||
| CD163 stromal (>18.3) | ||||||||
| Low | 64 | 11 | 17.99 | 148.88 ± 8.37 | 132.48–165.27 | 1.16 | 0.28 | |
| High | 33 | 10 | 30.3 | 98.57 ± 8.49 | 81.93–115.21 | |||
| CD163 overall (>27.3) | ||||||||
| Low | 74 | 12 | 16.22 | 151.12 ± 7.46 | 136.5–165.75 | 4.2 | 0.04 | |
| High | 23 | 9 | 39.13 | 88.73 ± 10.93 | 67.32–110.15 | |||
| Advanced LSCC Group | CD163 intratumoral (>2) | |||||||
| Low | 29 | 7 | 24.14 | 83.84 ± 8.07 | 68.03–99.65 | 2.21 | 0.14 | |
| High | 28 | 13 | 46.43 | 78.9 ± 10.52 | 58.29–99.51 | |||
| CD163 stromal (>18.3) | ||||||||
| Low | 36 | 10 | 27.78 | 94.02 ± 9.15 | 76.08–111.96 | 0.99 | 0.32 | |
| High | 21 | 10 | 47.62 | 80.07 ± 11.61 | 57.3–102.83 | |||
| CD163 overall (>27.3) | ||||||||
| Low | 40 | 11 | 27.5 | 78.28 ± 8.5 | 78.28–111.58 | 2.13 | 0.14 | |
| High | 17 | 9 | 52.94 | 73.67 ± 13.05 | 48.08–99.26 |
| Disease-Specific Survival | |||
|---|---|---|---|
| Variables (Cut-Off; %) | HR | 95% CI | p-Value |
| CD68 intratumoral (>2.7) | 3.66 | 1.06–12.57 | 0.0395 |
| CD68 overall (>5.5) | 2.36 | 0.28–20.03 | 0.4319 |
| CD163 intratumoral (>2) | 1.47 | 0.51–4.21 | 0.4727 |
| CD163 overall (>27.3) | 1.20 | 0.46–3.15 | 0.7087 |
| Disease-free survival | |||
| CD8 overall (>23) | 1.68 | 0.73–3.91 | 0.2249 |
| CD68 intratumoral (>2.7) | 2.20 | 0.95–5.10 | 0.0665 |
| Predictors; Cut-Off (%) | OR * | 95% CI | p-Value | AUC | |
|---|---|---|---|---|---|
| CD4 | intratumoral > 0.4 | 2.59 | 0.79–8.49 | 0.116 | 0.590 |
| stromal > 6.5 | 1.16 | 0.42–3.24 | 0.765 | 0.517 | |
| overall > 11.5 | 1.56 | 0.60–4.03 | 0.360 | 0.555 | |
| CD8 | intratumoral ≤ 2 | 0.76 | 0.30–1.91 | 0.556 | 0.534 |
| stromal > 12 | 2.07 | 0.81–5.28 | 0.129 | 0.586 | |
| overall > 23 | 3.11 | 1.13–8.58 | 0.028 | 0.612 | |
| CD68 | intratumoral > 2.7 | 3.13 | 1.21–8.11 | 0.019 | 0.639 |
| stromal > 4.5 | 2.14 | 0.65–7.04 | 0.209 | 0.565 | |
| overall > 5.5 | 2.99 | 0.80–11.14 | 0.102 | 0.585 | |
| CD163 | intratumoral > 2 | 1.73 | 0.69–4.29 | 0.236 | 0.567 |
| stromal > 18.3 | 1.63 | 0.65–4.13 | 0.299 | 0.557 | |
| overall > 27.3 | 2.16 | 0.79–5.84 | 0.131 | 0.574 | |
| CPS (<1, ≥1) | 1.31 | 0.46–3.78 | 0.614 | 0.527 | |
| CPS ≤ 7.5 (median) | 1.68 | 0.41–2.83 | 0.467 | 0.541 | |
| TPS ≤ 2.7 (median) | 1.03 | 0.41–2.61 | 0.951 | 0.504 | |
Disclaimer/Publisher’s Note: The statements, opinions and data contained in all publications are solely those of the individual author(s) and contributor(s) and not of MDPI and/or the editor(s). MDPI and/or the editor(s) disclaim responsibility for any injury to people or property resulting from any ideas, methods, instructions or products referred to in the content. |
© 2024 by the authors. Licensee MDPI, Basel, Switzerland. This article is an open access article distributed under the terms and conditions of the Creative Commons Attribution (CC BY) license (https://creativecommons.org/licenses/by/4.0/).
Share and Cite
Tudor, F.; Marijić, B.; Babarović, E.; Hadžisejdić, I. Significance of PD-L1 and Tumor Microenvironment in Laryngeal Squamous Cell Cancer. Cancers 2024, 16, 2645. https://doi.org/10.3390/cancers16152645
Tudor F, Marijić B, Babarović E, Hadžisejdić I. Significance of PD-L1 and Tumor Microenvironment in Laryngeal Squamous Cell Cancer. Cancers. 2024; 16(15):2645. https://doi.org/10.3390/cancers16152645
Chicago/Turabian StyleTudor, Filip, Blažen Marijić, Emina Babarović, and Ita Hadžisejdić. 2024. "Significance of PD-L1 and Tumor Microenvironment in Laryngeal Squamous Cell Cancer" Cancers 16, no. 15: 2645. https://doi.org/10.3390/cancers16152645
APA StyleTudor, F., Marijić, B., Babarović, E., & Hadžisejdić, I. (2024). Significance of PD-L1 and Tumor Microenvironment in Laryngeal Squamous Cell Cancer. Cancers, 16(15), 2645. https://doi.org/10.3390/cancers16152645

