Ablation of Small Liver Metastases Presenting as Foci of Diffusion Restriction on MRI–Results from the Prospective Minimally Invasive Thermal Ablation (MITA) Study
Abstract
Simple Summary
Abstract
1. Introduction
2. Methods
2.1. Ethical Approval
2.2. Patients
2.3. Imaging Protocol
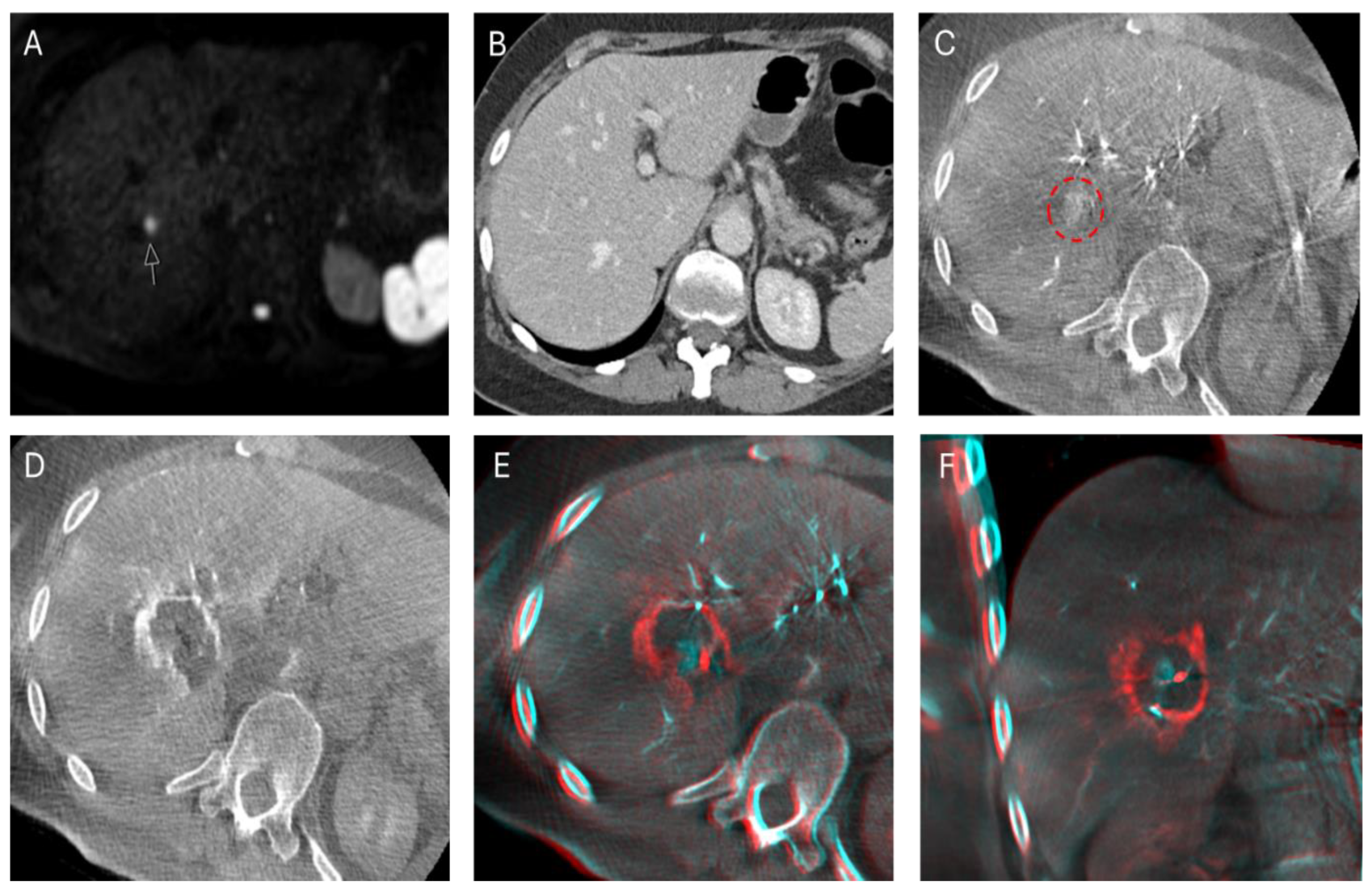
2.4. Ablation
2.5. Study Objectives
2.5.1. Technical Success
2.5.2. Local Tumor Progression
2.5.3. Overall Survival
2.5.4. Procedure-Related Characteristics
2.6. Statistical Analysis
3. Results
3.1. Patients
3.2. Technical Success
3.3. Local Tumor Progression
3.4. Procedure-Related Outcomes
4. Discussion
5. Conclusions
Supplementary Materials
Author Contributions
Funding
Institutional Review Board Statement
Informed Consent Statement
Data Availability Statement
Conflicts of Interest
References
- Takahashi, H.; Berber, E. Role of thermal ablation in the management of colorectal liver metastasis. Hepatobiliary Surg. Nutr. 2020, 9, 49–58. [Google Scholar] [CrossRef]
- Frilling, A.; Modlin, I.M.; Kidd, M.; Russell, C.; Breitenstein, S.; Salem, R.; Kwekkeboom, D.; Lau, W.; Klersy, C.; Vilgrain, V.; et al. Recommendations for management of patients with neuroendocrine liver metastases. Lancet Oncol. 2014, 15, e8–e21. [Google Scholar] [CrossRef]
- Görgec, B.; Hansen, I.S.; Kemmerich, G.; Syversveen, T.; Hilal, M.A.; Belt, E.J.T.; Bosscha, K.; Burgmans, M.C.; Cappendijk, V.C.; D’Hondt, M.; et al. MRI in addition to CT in patients scheduled for local therapy of colorectal liver metastases (CAMINO): An international, multicentre, prospective, diagnostic accuracy trial. Lancet Oncol. 2024, 25, 137–146. [Google Scholar] [CrossRef]
- Tsili, A.C.; Alexiou, G.; Naka, C.; Argyropoulou, M.I. Imaging of colorectal cancer liver metastases using contrast-enhanced US, multidetector CT, MRI, and FDG PET/CT: A meta-analysis. Acta Radiol. 2021, 62, 302–312. [Google Scholar] [CrossRef]
- Maino, C.; Vernuccio, F.; Cannella, R.; Cortese, F.; Franco, P.N.; Gaetani, C.; Giannini, V.; Inchingolo, R.; Ippolito, D.; Defeudis, A.; et al. Liver metastases: The role of magnetic resonance imaging. World J. Gastroenterol. 2023, 29, 5180–5197. [Google Scholar] [CrossRef]
- Galea, N.; Cantisani, V.; Taouli, B. Liver lesion detection and characterization: Role of diffusion-weighted imaging. J. Magn. Reson. Imaging 2013, 37, 1260–1276. [Google Scholar] [CrossRef]
- Kim, H.J.; Lee, S.S.; Byun, J.H.; Kim, J.C.; Yu, C.S.; Park, S.H.; Kim, A.Y.; Ha, H.K. Incremental value of liver MR imaging in patients with potentially curable colorectal hepatic metastasis detected at CT: A prospective comparison of diffusion-weighted imaging, gadoxetic acid-enhanced MR imaging, and a combination of both MR techniques. Radiology 2015, 274, 712–722. [Google Scholar] [CrossRef]
- Puijk, R.S.; Ruarus, A.H.; Scheffer, H.J.; Vroomen, L.G.P.H.; van Tilborg, A.J.M.; de Vries, J.J.J.; Berger, F.H.; van den Tol, P.M.P.; Meijerink, M.R. Percutaneous Liver Tumour Ablation: Image Guidance, Endpoint Assessment, and Quality Control. Can. Assoc. Radiol. J. 2018, 69, 51–62. [Google Scholar] [CrossRef]
- Abi-Jaoudeh, N.; Kobeiter, H.; Xu, S.; Wood, B.J. Image fusion during vascular and nonvascular image-guided procedures. Tech. Vasc. Interv. Radiol. 2013, 16, 168–176. [Google Scholar] [CrossRef]
- Van Tilborg, A.A.J.M.; Scheffer, H.J.; van der Meijs, B.B.; van Werkum, M.H.; Melenhorst, M.C.A.M.; van den Tol, P.M.; Meijerink, M.R. Transcatheter CT hepatic arteriography-guided percutaneous ablation to treat ablation site recurrences of colorectal liver metastases: The incomplete ring sign. J. Vasc. Interv. Radiol. 2015, 26, 583–587. [Google Scholar] [CrossRef]
- Van Tilborg, A.A.J.M.; Scheffer, H.J.; Nielsen, K.; van Waesberghe, J.H.T.M.; Comans, E.F.; van Kuijk, C.; van den Tol, P.M.; Meijerink, M.R. Transcatheter CT arterial portography and CT hepatic arteriography for liver tumor visualization during percutaneous ablation. J. Vasc. Interv. Radiol. 2014, 25, 1101–1111. [Google Scholar] [CrossRef]
- Van der Lei, S.; Opperman, J.; Dijkstra, M.; Kors, N.; Boon, R.; van den Bemd, B.A.T.; Timmer, F.E.F.; Nota, I.M.G.C.; van den Bergh, J.E.; de Vries, J.J.J.; et al. The Added Diagnostic Value of Transcatheter CT Hepatic Arteriography for Intraprocedural Detection of Previously Unknown Colorectal Liver Metastases During Percutaneous Ablation and Impact on the Definitive Treatment Plan. Cardiovasc. Interv. Radiol. 2023, 46, 1257–1266. [Google Scholar] [CrossRef]
- Puijk, R.S.; Dijkstra, M.; van der Lei, S.; Schulz, H.H.; Vos, D.J.W.; Timmer, F.E.F.; Geboers, B.; Scheffer, H.J.; de Vries, J.J.J.; Smits, M.L.J.; et al. The Added Value of Transcatheter CT Hepatic Angiography (CTHA) Image Guidance in Percutaneous Thermal Liver Ablation: An Experts’ Opinion Pictorial Essay. Cancers 2024, 16, 1193. [Google Scholar] [CrossRef]
- Li, L.; Liu, L.-Z.; Xie, Z.-M.; Mo, Y.-X.; Zheng, L.; Ruan, C.-M.; Chen, L.; Wu, P.-H. Multi-phasic CT arterial portography and CT hepatic arteriography improving the accuracy of liver cancer detection. World J. Gastroenterol. 2004, 10, 3118–3121. [Google Scholar] [CrossRef]
- Li, L.; Wu, P.-H.; Mo, Y.-X.; Lin, H.-G.; Zheng, L.; Li, J.-Q.; Lu, L.-X.; Ruan, C.-M.; Chen, L. CT arterial portography and CT hepatic arteriography in detection of micro liver cancer. World J. Gastroenterol. 1999, 5, 225–227. [Google Scholar] [CrossRef][Green Version]
- Smits, M.L.J.; Bruijnen, R.C.G.; Tetteroo, P.; Vonken, E.-J.P.A.; Meijerink, M.R.; Hagendoorn, J.; de Bruijne, J.; Prevoo, W. Hepatic Arteriography and C-Arm CT-Guided Ablation (HepACAGA) to Improve Tumor Visualization, Navigation and Margin Confirmation in Percutaneous Liver Tumor Ablation. Cardiovasc. Interv. Radiol. 2023, 46, 1365–1374. [Google Scholar] [CrossRef]
- Wijnen, N.; Bruijnen, R.C.G.; Vonken, E.-J.P.A.; de Jong, H.W.A.M.; de Bruijne, J.; Bol, G.M.; Hagendoorn, J.; Intven, M.P.W.; Smits, M.L.J. Conventional versus Hepatic Arteriography and C-Arm CT-Guided Ablation of Liver Tumors (HepACAGA): A Comparative Analysis. Cancers 2024, 16, 1925. [Google Scholar] [CrossRef]
- Puijk, R.S.; Ahmed, M.; Adam, A.; Arai, Y.; Arellano, R.; de Baère, T.; Bale, R.; Bellera, C.; Binkert, C.A.; Brace, C.L.; et al. Consensus Guidelines for the Definition of Time-to-Event End Points in Image-guided Tumor Ablation: Results of the SIO and DATECAN Initiative. Radiology 2021, 301, 533–540. [Google Scholar] [CrossRef] [PubMed]
- National Cancer Institute. Common Terminology Criteria for Adverse Events (CTCAE) v5.0. Available online: https://ctep.cancer.gov/protocoldevelopment/electronic_applications/docs/CTCAE_v5_Quick_Reference_8.5x11.pdf (accessed on 20 April 2024).
- Ong, D.Y.; Lee, Z.Y.; Pua, U. Impact of waiting time on hepatocellular carcinoma progression in patients undergoing curative tumour ablation. Quant. Imaging Med. Surg. 2022, 12, 1499–1504. [Google Scholar] [CrossRef] [PubMed]
- Ryan, E.R.; Sofocleous, C.T.; Schöder, H.; Carrasquillo, J.A.; Nehmeh, S.; Larson, S.M.; Thornton, R.; Siegelbaum, R.H.; Erinjeri, J.P.; Solomon, S.B. Split-dose technique for FDG PET/CT-guided percutaneous ablation: A method to facilitate lesion targeting and to provide immediate assessment of treatment effectiveness. Radiology 2013, 268, 288–295. [Google Scholar] [CrossRef] [PubMed]
- Zirakchian Zadeh, M.; Yeh, R.; Kunin, H.S.; Kirov, A.S.; Petre, E.N.; Gönen, M.; Silk, M.; Cornelis, F.H.; Soares, K.C.; Ziv, E.; et al. Real-Time Split-Dose PET/CT-Guided Ablation Improves Colorectal Liver Metastasis Detection and Ablation Zone Margin Assessments without the Need for Repeated Contrast Injection. Cancers 2022, 14, 6253. [Google Scholar] [CrossRef] [PubMed]
- Shyn, P.B.; Bhagavatula, S.K. PET/CT-Guided Tumor Ablation, From the AJR "How We Do It" Special Series. Am. J. Roentgenol. 2024. Online ahead of print. [Google Scholar] [CrossRef] [PubMed]
- Guckenberger, M.; Lievens, Y.; Bouma, A.B.; Collette, L.; Dekker, A.; deSouza, N.M.; Dingemans, A.-M.C.; Fournier, B.; Hurkmans, C.; Lecouvet, F.E.; et al. Characterisation and classification of oligometastatic disease: A European Society for Radiotherapy and Oncology and European Organisation for Research and Treatment of Cancer consensus recommendation. Lancet Oncol. 2020, 21, e18–e28. [Google Scholar] [CrossRef] [PubMed]
- Fonseca, A.Z.; Santin, S.; Gomes, L.G.L.; Waisberg, J.; Ribeiro, M.A.F., Jr. Complications of radiofrequency ablation of hepatic tumors: Frequency and risk factors. World J. Hepatol. 2014, 6, 107–113. [Google Scholar] [CrossRef]
- Kuhlmann, K.F.; Tufo, A.; Kok, N.F.; Gordon-Weeks, A.; Poston, G.J.; Diaz Nieto, R.; Jones, R.; Fenwick, S.W.; Malik, H.Z. Disappearing colorectal liver metastases in the era of state-of-the-art triple-modality diagnostic imaging. Eur. J. Surg. Oncol. 2023, 49, 1016–1022. [Google Scholar] [CrossRef] [PubMed]
- Kamarinos, N.V.; Gonen, M.; Sotirchos, V.; Kaye, E.; Petre, E.N.; Solomon, S.B.; Erinjeri, J.P.; Ziv, E.; Kirov, A.; Sofocleous, C.T. 3D margin assessment predicts local tumor progression after ablation of colorectal cancer liver metastases. Int. J. Hyperth. 2022, 39, 880–887. [Google Scholar] [CrossRef] [PubMed]
- Chlorogiannis, D.D.; Sotirchos, V.S.; Georgiades, C.; Filippiadis, D.; Arellano, R.S.; Gonen, M.; Makris, G.C.; Garg, T.; Sofocleous, C.T. The Importance of Optimal Thermal Ablation Margins in Colorectal Liver Metastases: A Systematic Review and Meta-Analysis of 21 Studies. Cancers 2023, 15, 5806. [Google Scholar] [CrossRef]
- Nielsen, K.; van Tilborg, A.A.J.M.; Meijerink, M.R.; Macintosh, M.O.; Zonderhuis, B.M.; de Lange, E.S.M.; Comans, E.F.I.; Meijer, S.; van den Tol, M.P. Incidence and treatment of local site recurrences following RFA of colorectal liver metastases. World J. Surg. 2013, 37, 1340–1347. [Google Scholar] [CrossRef]




| Patient-Related Characteristics | n = 15 | |
| Sex, n (%) | Male | 9 (60) |
| Female | 6 (40) | |
| Age (years), median (range) | 56 (16–84) | |
| BMI (kg/m2), median (range) | 25 (16–32) | |
| ASA, n (%) | 1 | 3 (20) |
| 2 | 6 (40) | |
| 3 | 6 (40) | |
| Tumor-Related Characteristics | n = 26 | |
| Primary tumor type, n (%) | CRC | 19 (73) |
| NET | 4 (15) | |
| Breast cancer | 2 (8) | |
| Esophageal cancer | 1 (4) | |
| Diameter on DWI (mm), median (range) | 7 (2–10) | |
| n = 15 | ||
| Patients with only small (≤10 mm) metastases, n (%) | 11 (73) | |
| Patients with both small (≤10 mm) and larger (>10 mm) metastases, n (%) | 4 (27) | |
| Pre-Treatment Imaging | n = 15 | |
| Patients with recent US or CT imaging prior to ablation, n (%) | 12 (80) | |
| n = 22 | ||
| Lesions only visible on DWI (occult on recent US or CT imaging prior to ablation), n (%) | 15 (68) |
| Technical Success | n = 26 | |
| Per-lesion technical succes, n (%) | 26 (100) | |
| Complications | n = 18 | |
| Complicated procedures, n (%) | 0 (0) | |
| Ablation Parameteres | ||
| Antenna reposition, n (%) | 0 | 15 (83) |
| 1 | 2 (11) | |
| 2 | 1 (6) | |
| Power (Watt), median (range) | 100 (75–150) | |
| Ablation duration (min), median (range) | 4.5 (2.5–12.5) | |
| Time Parameters | ||
| In-room time (min), median (range) | 137 (98–178) | |
| Procedure duration (min), median (range) | 91 (62–126) | |
| Per-lesion procedure time (min), median (range) | 62 (30–104) |
Disclaimer/Publisher’s Note: The statements, opinions and data contained in all publications are solely those of the individual author(s) and contributor(s) and not of MDPI and/or the editor(s). MDPI and/or the editor(s) disclaim responsibility for any injury to people or property resulting from any ideas, methods, instructions or products referred to in the content. |
© 2024 by the authors. Licensee MDPI, Basel, Switzerland. This article is an open access article distributed under the terms and conditions of the Creative Commons Attribution (CC BY) license (https://creativecommons.org/licenses/by/4.0/).
Share and Cite
Wijnen, N.; Bruijnen, R.C.G.; Thelissen, A.A.B.; de Jong, H.W.A.M.; van Leeuwaarde, R.S.; Hagendoorn, J.; Bol, G.M.; Smits, M.L.J. Ablation of Small Liver Metastases Presenting as Foci of Diffusion Restriction on MRI–Results from the Prospective Minimally Invasive Thermal Ablation (MITA) Study. Cancers 2024, 16, 2409. https://doi.org/10.3390/cancers16132409
Wijnen N, Bruijnen RCG, Thelissen AAB, de Jong HWAM, van Leeuwaarde RS, Hagendoorn J, Bol GM, Smits MLJ. Ablation of Small Liver Metastases Presenting as Foci of Diffusion Restriction on MRI–Results from the Prospective Minimally Invasive Thermal Ablation (MITA) Study. Cancers. 2024; 16(13):2409. https://doi.org/10.3390/cancers16132409
Chicago/Turabian StyleWijnen, Niek, Rutger C. G. Bruijnen, Annelou A. B. Thelissen, Hugo W. A. M. de Jong, Rachel S. van Leeuwaarde, Jeroen Hagendoorn, Guus M. Bol, and Maarten L. J. Smits. 2024. "Ablation of Small Liver Metastases Presenting as Foci of Diffusion Restriction on MRI–Results from the Prospective Minimally Invasive Thermal Ablation (MITA) Study" Cancers 16, no. 13: 2409. https://doi.org/10.3390/cancers16132409
APA StyleWijnen, N., Bruijnen, R. C. G., Thelissen, A. A. B., de Jong, H. W. A. M., van Leeuwaarde, R. S., Hagendoorn, J., Bol, G. M., & Smits, M. L. J. (2024). Ablation of Small Liver Metastases Presenting as Foci of Diffusion Restriction on MRI–Results from the Prospective Minimally Invasive Thermal Ablation (MITA) Study. Cancers, 16(13), 2409. https://doi.org/10.3390/cancers16132409

