LKB1 Loss Correlates with STING Loss and, in Cooperation with β-Catenin Membranous Loss, Indicates Poor Prognosis in Patients with Operable Non-Small Cell Lung Cancer
Abstract
Simple Summary
Abstract
1. Introduction
2. Materials and Methods
2.1. Patient Population/Study Design
2.2. Specimen’s Characteristics and Assays
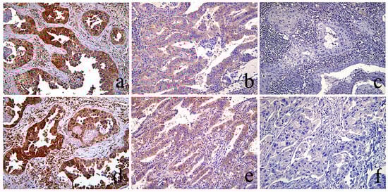
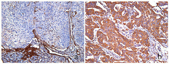
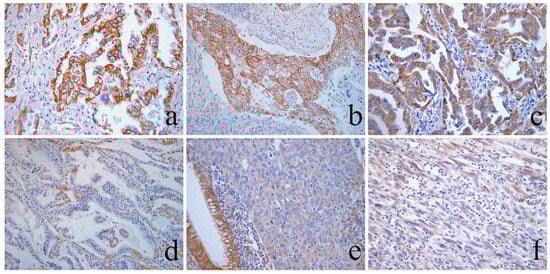
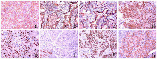
2.2.1. IHC Evaluation of LKB1 Expression Status
2.2.2. Staging of Lymph Node Metastasis
2.2.3. Statistical Considerations
3. Results
3.1. Patients’ Characteristics and Clinicopathological Features
3.2. Laboratory Analysis and Correlations
3.2.1. Overall Results of the Laboratory Analysis
3.2.2. Pleomorphic vs. Non-Pleomorphic LUACs
3.2.3. Pleomorphic vs. Non-Pleomorphic LSCCs
3.3. Characterization of NSCLC Tumors with the LKB1-Less Phenotype
3.3.1. Correlation of LKB1 Loss of Expression with Patients Clinical Characteristics and Tumor Histotype
3.3.2. Overall Number of Tumors with LKB1 Loss: Correlations with the Examined Laboratory Variables
3.3.3. LUACs with LKB1 Loss: Correlations with the Examined Laboratory Variables
3.3.4. LUACs with LKB1 Loss—Correlations with Clinicopathological Characteristics
3.3.5. LSCCs with LKB1 Loss—Correlations with the Examined Laboratory Variables
3.3.6. LSCCs with LKB1 Loss—Correlation with Clinicopathological Characteristics
3.4. Correlation of LKB1 Loss and Lymph Node Metastatic Status
3.4.1. Metastatic NSCLCs with LKB1 Loss vs. Metastatic NSCLC with LKB1 Intact in Relation to the Examined Laboratory Variables
3.4.2. Metastatic LUACs with LKB1 Loss vs. Metastatic LUACs with LKB1 Intact in Relation to the Examined Laboratory Variables
3.4.3. Metastatic LSCCs with LKB1 Loss vs. Metastatic LSCCs with LKB1 Intact in Relation to the Examined Laboratory Variables
3.5. KRAS Co-Mutational Cohorts—Incidence
3.5.1. Clinicopathologic and Laboratory Outline of KRAS Co-Mutational Cohorts
- KL cohort (n = 16): The preponderance of the tumors with KL co-mutational status were characterized by p16 downregulation, 75% (12/16) and by a “wild type” p53 immunohistochemical pattern of expression, 94% (15/16). Moreover, 94% (15/16), showed high expression of PDGFRβ, 88% (14/16) exhibited the presence of PDGFRa, and 81% (13/16) showed similar expression in the tumor stroma, while high CD24 expression in the tumor was observed in 63% of cases (10/16). Furthermore, more than half (69% (11/16)) showed no/low β-catenin membranous expression. Similar percentages of STING loss and intact expression were observed: 56% (10/16) and 44% (7/10), respectively. Ultimately, BRAF commutation was detected in 6.3% of the tumors in this cohort (1/16).Overall, 75% (12/16) of the patients with KL tumors were males, and 94% (15/16) were aged <70 years. Interestingly, the KL tumor cohort did not include LSCCs and consisted almost exclusively of non-pleomorphic and pleomorphic LUACs, [75% (12/16) and 19% (3/16), respectively], with solid, 60% (9/16), and acinar, 27% (4/16) as the predominant histological patterns. Though the tumors showed various grades of differentiation, more than half (56% (9/16)) were p-stage III–IV.
- KC (n = 21): KC tumors yielded almost equal percentages of lost and intact LKB1 expression: 57% (12/21) vs. 43% (9/21), respectively, even though, curiously, more than three-quarters (81% (17/81)) of the tumors showed low LKB1 RNA levels. All of them (100% (21/21)) exhibited p16 downregulation. High expression of PDGFRβ and PDFGRα in the tumor stroma characterized 90% (19/21) and 86% (18/21) of the tumors, respectively. High CD24 expression was observed in 71% (15/21) and Cyclin D1 overexpression was observed in 86% (18/21). No/low β-catenin membranous expression was shown in 57% (8/21). Interestingly, 10% of the tumors with KC co-mutation (2/21) presented concomitant BRAF mutations. More than half of the KC status tumors (62% (13/21)) were p-stage IIIA, grade 3 poorly differentiated tumors, with 57% (12/21) exhibiting a size of >5 cm. Meanwhile, 57% (14/21) of KC tumors were LUACs, 62% (13/21) were non-pleomorphic, and 19% (4/21) were pleomorphic, including an invasive mucinous histological pattern (5.9%). The cohort also included LSCCs (14% (3/21)) and one (1/21) adenosquamous carcinoma (p > 0.002).
3.5.2. KRAS Co-Mutational Cohorts—Correlation with Lymph Node Metastatic Status
3.6. Survival Analysis
3.6.1. Overall Survival Analysis—mOS
3.6.2. Overall Survival Analysis—Hazard Ratio Univariate Analysis
3.6.3. Overall Survival Analysis—Multivariate Analysis
3.6.4. Tumors with LKB1 Loss of Expression—Median Overall Surviival
3.6.5. Tumors with LKB1 loss —Univariate Analysis Hazard Ratio
3.6.6. KL Tumors Cohort Survival Analysis—mOS Univariate Analysis
3.6.7. KL Tumors—Univariate Analysis, Hazard Ratio
4. Discussion
5. Conclusions
Supplementary Materials
Author Contributions
Funding
Institutional Review Board Statement
Informed Consent Statement
Data Availability Statement
Acknowledgments
Conflicts of Interest
References
- U.S. National Institutes of Health; National Cancer Institute. SEER Cancer Statistics Review. Available online: https://seer.cancer.gov/csr/ (accessed on 15 January 2024).
- Global Cancer Observatory, Larc. Available online: https://Gco.Iarc.Fr/Today/Data/Factsheets/Cancers/15-Lung-Fact-Sheet.Pdf (accessed on 20 January 2024).
- Hemminki, A.; Markie, D.; Tomlinson, I.; Avizienyte, E.; Roth, S.; Loukola, A.; Bignell, G.; Warren, W.; Aminoff, M.; Höglund, P.; et al. A Serine/Threonine Kinase Gene Defective in Peutz–Jeghers Syndrome. Nature 1998, 391, 184–187. [Google Scholar] [CrossRef]
- Hemminki, A.; Tomlinson, I.; Markie, D.; Järvinen, H.; Sistonen, P.; Björkqvist, A.-M.; Knuutila, S.; Salovaara, R.; Bodmer, W.; Shibata, D.; et al. Localization of a Susceptibility Locus for Peutz-Jeghers Syndrome to 19p Using Comparative Genomic Hybridization and Targeted Linkage Analysis. Nat. Genet. 1997, 15, 87–90. [Google Scholar] [CrossRef]
- Wingo, S.N.; Gallardo, T.D.; Akbay, E.A.; Liang, M.-C.; Contreras, C.M.; Boren, T.; Shimamura, T.; Miller, D.S.; Sharpless, N.E.; Bardeesy, N.; et al. Somatic LKB1 Mutations Promote Cervical Cancer Progression. PLoS ONE 2009, 4, e5137. [Google Scholar] [CrossRef]
- Sanchez-Cespedes, M.; Parrella, P.; Esteller, M.; Nomoto, S.; Trink, B.; Engles, J.M.; Westra, W.H.; Herman, J.G.; Sidransky, D. Inactivation of LKB1/STK11 Is a Common Event in Adenocarcinomas of the Lung. Cancer Res. 2002, 62, 3659–3662. [Google Scholar]
- Hezel, A.F.; Gurumurthy, S.; Granot, Z.; Swisa, A.; Chu, G.C.; Bailey, G.; Dor, Y.; Bardeesy, N.; Depinho, R.A. Pancreatic LKB1 Deletion Leads to Acinar Polarity Defects and Cystic Neoplasms. Mol. Cell. Biol. 2008, 28, 2414–2425. [Google Scholar] [CrossRef]
- Lizcano, J.M.; Göransson, O.; Toth, R.; Deak, M.; Morrice, N.A.; Boudeau, J.; Hawley, S.A.; Udd, L.; Mäkelä, T.P.; Hardie, D.G.; et al. LKB1 Is a Master Kinase That Activates 13 Kinases of the AMPK Subfamily, Including MARK/PAR-1. EMBO J. 2004, 23, 833–843. [Google Scholar] [CrossRef]
- Zheng, F.; Yuan, X.; Chen, E.; Ye, Y.; Li, X.; Dai, Y. Methylation of STK11 Promoter Is a Risk Factor for Tumor Stage and Survival in Clear Cell Renal Cell Carcinoma. Oncol. Lett. 2017, 14, 3065–3070. [Google Scholar] [CrossRef]
- Gill, R.K.; Yang, S.-H.; Meerzaman, D.; Mechanic, L.E.; Bowman, E.D.; Jeon, H.-S.; Roy Chowdhuri, S.; Shakoori, A.; Dracheva, T.; Hong, K.-M.; et al. Frequent Homozygous Deletion of the LKB1/STK11 Gene in Non-Small Cell Lung Cancer. Oncogene 2011, 30, 3784–3791. [Google Scholar] [CrossRef]
- Lee, S.M.; Choi, J.E.; Na, Y.K.; Lee, E.J.; Lee, W.K.; Choi, Y.Y.; Yoon, G.S.; Jeon, H.-S.; Kim, D.S.; Park, J.Y. Genetic and Epigenetic Alterations of the LKB1 Gene and Their Associations with Mutations in TP53 and EGFR Pathway Genes in Korean Non-Small Cell Lung Cancers. Lung Cancer 2013, 81, 194–199. [Google Scholar] [CrossRef]
- Tanwar, P.S.; Mohapatra, G.; Chiang, S.; Engler, D.A.; Zhang, L.; Kaneko-Tarui, T.; Ohguchi, Y.; Birrer, M.J.; Teixeira, J.M. Loss of LKB1 and PTEN Tumor Suppressor Genes in the Ovarian Surface Epithelium Induces Papillary Serous Ovarian Cancer. Carcinogenesis 2014, 35, 546–553. [Google Scholar] [CrossRef]
- Li, J.; Liu, J.; Li, P.; Mao, X.; Li, W.; Yang, J.; Liu, P. Loss of LKB1 Disrupts Breast Epithelial Cell Polarity and Promotes Breast Cancer Metastasis and Invasion. J. Exp. Clin. Cancer Res. 2014, 33, 70. [Google Scholar] [CrossRef]
- Yang, J.-Y.; Jiang, S.-H.; Liu, D.-J.; Yang, X.-M.; Huo, Y.-M.; Li, J.; Hua, R.; Zhang, Z.-G.; Sun, Y.-W. Decreased LKB1 Predicts Poor Prognosis in Pancreatic Ductal Adenocarcinoma. Sci. Rep. 2015, 5, 10575. [Google Scholar] [CrossRef]
- Zhang, W.; Yin, L.; Song, G.; Han, X.; Yin, Z.; Luo, D. LKB1 Loss Cooperating with BRAF V600E Promotes Melanoma Cell Invasion and Migration by Up-Regulation MMP-2 via PI3K/Akt/mTOR Pathway. Oncotarget 2017, 8, 113847–113857. [Google Scholar] [CrossRef]
- Granado-Martínez, P.; Garcia-Ortega, S.; González-Sánchez, E.; McGrail, K.; Selgas, R.; Grueso, J.; Gil, R.; Naldaiz-Gastesi, N.; Rhodes, A.C.; Hernandez-Losa, J.; et al. STK11 (LKB1) Missense Somatic Mutant Isoforms Promote Tumor Growth, Motility and Inflammation. Commun. Biol. 2020, 3, 366. [Google Scholar] [CrossRef]
- Borzi, C.; Galli, G.; Ganzinelli, M.; Signorelli, D.; Vernieri, C.; Garassino, M.C.; Sozzi, G.; Moro, M. Beyond LKB1 Mutations in Non-Small Cell Lung Cancer: Defining LKB1less Phenotype to Optimize Patient Selection and Treatment. Pharmaceuticals 2020, 13, 385. [Google Scholar] [CrossRef]
- Trojan, J.; Brieger, A.; Raedle, J.; Esteller, M.; Zeuzem, S. 5′-CpG Island Methylation of the LKB1/STK11 Promoter and Allelic Loss at Chromosome 19p13.3 in Sporadic Colorectal Cancer. Gut 2000, 47, 272–276. [Google Scholar] [CrossRef]
- Zhang, W.; Li, X.; Song, G.; Luo, D. Prognostic Significance of LKB1 Promoter Methylation in Cutaneous Malignant Melanoma. Oncol. Lett. 2017, 14, 2075–2080. [Google Scholar] [CrossRef]
- Lao, G.; Liu, P.; Wu, Q.; Zhang, W.; Liu, Y.; Yang, L.; Ma, C. Mir-155 Promotes Cervical Cancer Cell Proliferation through Suppression of Its Target Gene LKB1. Tumour Biol. 2014, 35, 11933–11938. [Google Scholar] [CrossRef]
- Figueroa-González, G.; Carrillo-Hernández, J.F.; Perez-Rodriguez, I.; Cantú de León, D.; Campos-Parra, A.D.; Martínez-Gutiérrez, A.D.; Coronel-Hernández, J.; García-Castillo, V.; López-Camarillo, C.; Peralta-Zaragoza, O.; et al. Negative Regulation of Serine Threonine Kinase 11 (STK11) through miR-100 in Head and Neck Cancer. Genes 2020, 11, 1058. [Google Scholar] [CrossRef] [PubMed]
- Krishnamurthy, N.; Goodman, A.M.; Barkauskas, D.A.; Kurzrock, R. STK11 Alterations in the Pan-Cancer Setting: Prognostic and Therapeutic Implications. Eur. J. Cancer 2021, 148, 215–229. [Google Scholar] [CrossRef] [PubMed]
- Clinical Lung Cancer Genome Project (CLCGP); Network Genomic Medicine (NGM) A Genomics-Based Classification of Human Lung Tumors. Sci. Transl. Med. 2013, 5, 209ra153. [CrossRef]
- Ghaffar, H.; Sahin, F.; Sanchez-Cepedes, M.; Su, G.H.; Zahurak, M.; Sidransky, D.; Westra, W.H. LKB1 Protein Expression in the Evolution of Glandular Neoplasia of the Lung. Clin. Cancer Res. 2003, 9, 2998–3003. [Google Scholar] [PubMed]
- Matsumoto, S.; Iwakawa, R.; Takahashi, K.; Kohno, T.; Nakanishi, Y.; Matsuno, Y.; Suzuki, K.; Nakamoto, M.; Shimizu, E.; Minna, J.D.; et al. Prevalence and Specificity of LKB1 Genetic Alterations in Lung Cancers. Oncogene 2007, 26, 5911–5918. [Google Scholar] [CrossRef]
- Shire, N.J.; Klein, A.B.; Golozar, A.; Collins, J.M.; Fraeman, K.H.; Nordstrom, B.L.; McEwen, R.; Hembrough, T.; Rizvi, N.A. STK11 (LKB1) Mutations in Metastatic NSCLC: Prognostic Value in the Real World. PLoS ONE 2020, 15, e0238358. [Google Scholar] [CrossRef] [PubMed]
- Facchinetti, F.; Bluthgen, M.V.; Tergemina-Clain, G.; Faivre, L.; Pignon, J.-P.; Planchard, D.; Remon, J.; Soria, J.-C.; Lacroix, L.; Besse, B. LKB1/STK11 Mutations in Non-Small Cell Lung Cancer Patients: Descriptive Analysis and Prognostic Value. Lung Cancer 2017, 112, 62–68. [Google Scholar] [CrossRef]
- El Osta, B.; Behera, M.; Kim, S.; Berry, L.D.; Sica, G.; Pillai, R.N.; Owonikoko, T.K.; Kris, M.G.; Johnson, B.E.; Kwiatkowski, D.J.; et al. Characteristics and Outcomes of Patients With Metastatic KRAS-Mutant Lung Adenocarcinomas: The Lung Cancer Mutation Consortium Experience. J. Thorac. Oncol. 2019, 14, 876–889. [Google Scholar] [CrossRef]
- La Fleur, L.; Falk-Sörqvist, E.; Smeds, P.; Berglund, A.; Sundström, M.; Mattsson, J.S.; Brandén, E.; Koyi, H.; Isaksson, J.; Brunnström, H.; et al. Mutation Patterns in a Population-Based Non-Small Cell Lung Cancer Cohort and Prognostic Impact of Concomitant Mutations in KRAS and TP53 or STK11. Lung Cancer 2019, 130, 50–58. [Google Scholar] [CrossRef]
- Li, Z.; Ding, B.; Xu, J.; Mao, K.; Zhang, P.; Xue, Q. Relevance of STK11 Mutations Regarding Immune Cell Infiltration, Drug Sensitivity, and Cellular Processes in Lung Adenocarcinoma. Front. Oncol. 2020, 10, 580027. [Google Scholar] [CrossRef]
- Schabath, M.B.; Welsh, E.A.; Fulp, W.J.; Chen, L.; Teer, J.K.; Thompson, Z.J.; Engel, B.E.; Xie, M.; Berglund, A.E.; Creelan, B.C.; et al. Differential Association of STK11 and TP53 with KRAS Mutation-Associated Gene Expression, Proliferation and Immune Surveillance in Lung Adenocarcinoma. Oncogene 2016, 35, 3209–3216. [Google Scholar] [CrossRef]
- Ji, H.; Ramsey, M.R.; Hayes, D.N.; Fan, C.; McNamara, K.; Kozlowski, P.; Torrice, C.; Wu, M.C.; Shimamura, T.; Perera, S.A.; et al. LKB1 Modulates Lung Cancer Differentiation and Metastasis. Nature 2007, 448, 807–810. [Google Scholar] [CrossRef]
- Zhang, S.; Schafer-Hales, K.; Khuri, F.R.; Zhou, W.; Vertino, P.M.; Marcus, A.I. The Tumor Suppressor LKB1 Regulates Lung Cancer Cell Polarity by Mediating Cdc42 Recruitment and Activity. Cancer Res. 2008, 68, 740–748. [Google Scholar] [CrossRef]
- Roy, B.C.; Kohno, T.; Iwakawa, R.; Moriguchi, T.; Kiyono, T.; Morishita, K.; Sanchez-Cespedes, M.; Akiyama, T.; Yokota, J. Involvement of LKB1 in Epithelial-Mesenchymal Transition (EMT) of Human Lung Cancer Cells. Lung Cancer 2010, 70, 136–145. [Google Scholar] [CrossRef]
- Yao, Y.-H.; Cui, Y.; Qiu, X.-N.; Zhang, L.-Z.; Zhang, W.; Li, H.; Yu, J.-M. Attenuated LKB1-SIK1 Signaling Promotes Epithelial-Mesenchymal Transition and Radioresistance of Non-Small Cell Lung Cancer Cells. Chin. J. Cancer 2016, 35, 50. [Google Scholar] [CrossRef]
- Skoulidis, F.; Byers, L.A.; Diao, L.; Papadimitrakopoulou, V.A.; Tong, P.; Izzo, J.; Behrens, C.; Kadara, H.; Parra, E.R.; Canales, J.R.; et al. Co-Occurring Genomic Alterations Define Major Subsets of KRAS-Mutant Lung Adenocarcinoma with Distinct Biology, Immune Profiles, and Therapeutic Vulnerabilities. Cancer Discov. 2015, 5, 860–877. [Google Scholar] [CrossRef]
- Skoulidis, F.; Goldberg, M.E.; Greenawalt, D.M.; Hellmann, M.D.; Awad, M.M.; Gainor, J.F.; Schrock, A.B.; Hartmaier, R.J.; Trabucco, S.E.; Gay, L.; et al. STK11/LKB1 Mutations and PD-1 Inhibitor Resistance in KRAS-Mutant Lung Adenocarcinoma. Cancer Discov. 2018, 8, 822–835. [Google Scholar] [CrossRef]
- Arbour, K.C.; Jordan, E.; Kim, H.R.; Dienstag, J.; Yu, H.A.; Sanchez-Vega, F.; Lito, P.; Berger, M.; Solit, D.B.; Hellmann, M.; et al. Effects of Co-Occurring Genomic Alterations on Outcomes in Patients with KRAS-Mutant Non-Small Cell Lung Cancer. Clin. Cancer Res. 2018, 24, 334–340. [Google Scholar] [CrossRef]
- WHO Classification of Tumours Editorial Board. Thoracic Tumours. In WHO Classification of Tumors Series, 5th ed.; IARC Scientific Publications: Lyon, France, 2012; Volume 5. [Google Scholar]
- Amin, M.B.; Greene, F.L.; Edge, S.B.; Compton, C.C.; Gershenwald, J.E.; Brookland, R.K.; Meyer, L.; Gress, D.M.; Byrd, D.R.; Winchester, D.P. The Eighth Edition AJCC Cancer Staging Manual: Continuing to Build a Bridge from a Population-Based to a More “Personalized” Approach to Cancer Staging. CA Cancer J. Clin. 2017, 67, 93–99. [Google Scholar] [CrossRef]
- Calles, A.; Sholl, L.M.; Rodig, S.J.; Pelton, A.K.; Hornick, J.L.; Butaney, M.; Lydon, C.; Dahlberg, S.E.; Oxnard, G.R.; Jackman, D.M.; et al. Immunohistochemical Loss of LKB1 Is a Biomarker for More Aggressive Biology in KRAS-Mutant Lung Adenocarcinoma. Clin. Cancer Res. 2015, 21, 2851–2860. [Google Scholar] [CrossRef]
- William, W.N.; Kim, J.-S.; Liu, D.D.; Solis, L.; Behrens, C.; Lee, J.J.; Lippman, S.M.; Kim, E.S.; Hong, W.K.; Wistuba, I.I.; et al. The Impact of Phosphorylated AMP-Activated Protein Kinase Expression on Lung Cancer Survival. Ann. Oncol. 2012, 23, 78–85. [Google Scholar] [CrossRef]
- Lohinai, Z.; Dora, D.; Caldwell, C.; Rivard, C.J.; Suda, K.; Yu, H.; Rivalland, G.; Ellison, K.; Rozeboom, L.; Dziadziuszko, R.; et al. Loss of STING Expression Is Prognostic in Non-Small Cell Lung Cancer. J. Surg. Oncol. 2022, 125, 1042–1052. [Google Scholar] [CrossRef]
- Olivares-Hernández, A.; Del Barco Morillo, E.; Miramontes-González, J.P.; Figuero-Pérez, L.; Pérez-Belmonte, L.; Martín-Vallejo, J.; Martín-Gómez, T.; Escala-Cornejo, R.; Vidal-Tocino, R.; Hernández, L.B.; et al. Immunohistochemical Assessment of the P53 Protein as a Predictor of Non-Small Cell Lung Cancer Response to Immunotherapy. Front. Biosci. (Landmark Ed.) 2022, 27, 88. [Google Scholar] [CrossRef] [PubMed]
- Brambilla, E.; Moro, D.; Gazzeri, S.; Brambilla, C. Alterations of Expression of Rb, P16(INK4A) and Cyclin D1 in Non-Small Cell Lung Carcinoma and Their Clinical Significance. J. Pathol. 1999, 188, 351–360. [Google Scholar] [CrossRef]
- Filipits, M.; Pirker, R.; Dunant, A.; Lantuejoul, S.; Schmid, K.; Huynh, A.; Haddad, V.; André, F.; Stahel, R.; Pignon, J.-P.; et al. Cell Cycle Regulators and Outcome of Adjuvant Cisplatin-Based Chemotherapy in Completely Resected Non-Small-Cell Lung Cancer: The International Adjuvant Lung Cancer Trial Biologic Program. J. Clin. Oncol. 2007, 25, 2735–2740. [Google Scholar] [CrossRef]
- Gazzeri, S.; Gouyer, V.; Vour’ch, C.; Brambilla, C.; Brambilla, E. Mechanisms of p16INK4A Inactivation in Non Small-Cell Lung Cancers. Oncogene 1998, 16, 497–504. [Google Scholar] [CrossRef]
- Donnem, T.; Al-Saad, S.; Al-Shibli, K.; Andersen, S.; Busund, L.-T.; Bremnes, R.M. Prognostic Impact of Platelet-Derived Growth Factors in Non-Small Cell Lung Cancer Tumor and Stromal Cells. J. Thorac. Oncol. 2008, 3, 963–970. [Google Scholar] [CrossRef]
- Kristiansen, G.; Schlüns, K.; Yongwei, Y.; Denkert, C.; Dietel, M.; Petersen, I. CD24 Is an Independent Prognostic Marker of Survival in Nonsmall Cell Lung Cancer Patients. Br. J. Cancer 2003, 88, 231–236. [Google Scholar] [CrossRef]
- Pajares, M.J.; Agorreta, J.; Larrayoz, M.; Vesin, A.; Ezponda, T.; Zudaire, I.; Torre, W.; Lozano, M.D.; Brambilla, E.; Brambilla, C.; et al. Expression of Tumor-Derived Vascular Endothelial Growth Factor and Its Receptors Is Associated with Outcome in Early Squamous Cell Carcinoma of the Lung. J. Clin. Oncol. 2012, 30, 1129–1136. [Google Scholar] [CrossRef]
- Hommura, F.; Furuuchi, K.; Yamazaki, K.; Ogura, S.; Kinoshita, I.; Shimizu, M.; Moriuchi, T.; Katoh, H.; Nishimura, M.; Dosaka-Akita, H. Increased Expression of Beta-Catenin Predicts Better Prognosis in Nonsmall Cell Lung Carcinomas. Cancer 2002, 94, 752–758. [Google Scholar] [CrossRef]
- Koumaki, D.; Kostakis, G.; Koumaki, V.; Papadogeorgakis, N.; Makris, M.; Katoulis, A.; Kamakari, S.; Koutsodontis, G.; Perisanidis, C.; Lambadiari, V.; et al. Novel Mutations of the HRAS Gene and Absence of Hotspot Mutations of the BRAF Genes in Oral Squamous Cell Carcinoma in a Greek Population. Oncol. Rep. 2012, 27, 1555–1560. [Google Scholar] [CrossRef][Green Version]
- Kalikaki, A.; Koutsopoulos, A.; Trypaki, M.; Souglakos, J.; Stathopoulos, E.; Georgoulias, V.; Mavroudis, D.; Voutsina, A. Comparison of EGFR and K-RAS Gene Status between Primary Tumours and Corresponding Metastases in NSCLC. Br. J. Cancer 2008, 99, 923–929. [Google Scholar] [CrossRef]
- Saridaki, Z.; Tzardi, M.; Sfakianaki, M.; Papadaki, C.; Voutsina, A.; Kalykaki, A.; Messaritakis, I.; Mpananis, K.; Mavroudis, D.; Stathopoulos, E.; et al. BRAFV600E Mutation Analysis in Patients with Metastatic Colorectal Cancer (mCRC) in Daily Clinical Practice: Correlations with Clinical Characteristics, and Its Impact on Patients’ Outcome. PLoS ONE 2013, 8, e84604. [Google Scholar] [CrossRef] [PubMed]
- Nagata, D.; Mogi, M.; Walsh, K. AMP-Activated Protein Kinase (AMPK) Signaling in Endothelial Cells Is Essential for Angiogenesis in Response to Hypoxic Stress. J. Biol. Chem. 2003, 278, 31000–31006. [Google Scholar] [CrossRef] [PubMed]
- Kitajima, S.; Ivanova, E.; Guo, S.; Yoshida, R.; Campisi, M.; Sundararaman, S.K.; Tange, S.; Mitsuishi, Y.; Thai, T.C.; Masuda, S.; et al. Suppression of STING Associated with LKB1 Loss in KRAS-Driven Lung Cancer. Cancer Discov. 2019, 9, 34–45. [Google Scholar] [CrossRef]
- Kline, E.R.; Shupe, J.; Gilbert-Ross, M.; Zhou, W.; Marcus, A.I. LKB1 Represses Focal Adhesion Kinase (FAK) Signaling via a FAK-LKB1 Complex to Regulate FAK Site Maturation and Directional Persistence. J. Biol. Chem. 2013, 288, 17663–17674. [Google Scholar] [CrossRef] [PubMed]
- Ozawa, M.; Baribault, H.; Kemler, R. The Cytoplasmic Domain of the Cell Adhesion Molecule Uvomorulin Associates with Three Independent Proteins Structurally Related in Different Species. EMBO J. 1989, 8, 1711–1717. [Google Scholar] [CrossRef]
- Konen, J.; Wilkinson, S.; Lee, B.; Fu, H.; Zhou, W.; Jiang, Y.; Marcus, A.I. LKB1 Kinase-Dependent and -Independent Defects Disrupt Polarity and Adhesion Signaling to Drive Collagen Remodeling during Invasion. Mol. Biol. Cell 2016, 27, 1069–1084. [Google Scholar] [CrossRef]
- Park, S.Y.; Guo, X. Adaptor Protein Complexes and Intracellular Transport. Biosci. Rep. 2014, 34, e00123. [Google Scholar] [CrossRef]












Disclaimer/Publisher’s Note: The statements, opinions and data contained in all publications are solely those of the individual author(s) and contributor(s) and not of MDPI and/or the editor(s). MDPI and/or the editor(s) disclaim responsibility for any injury to people or property resulting from any ideas, methods, instructions or products referred to in the content. |
© 2024 by the authors. Licensee MDPI, Basel, Switzerland. This article is an open access article distributed under the terms and conditions of the Creative Commons Attribution (CC BY) license (https://creativecommons.org/licenses/by/4.0/).
Share and Cite
Lagoudaki, E.D.; Koutsopoulos, A.V.; Sfakianaki, M.; Papadaki, C.; Manikis, G.C.; Voutsina, A.; Trypaki, M.; Tsakalaki, E.; Fiolitaki, G.; Hatzidaki, D.; et al. LKB1 Loss Correlates with STING Loss and, in Cooperation with β-Catenin Membranous Loss, Indicates Poor Prognosis in Patients with Operable Non-Small Cell Lung Cancer. Cancers 2024, 16, 1818. https://doi.org/10.3390/cancers16101818
Lagoudaki ED, Koutsopoulos AV, Sfakianaki M, Papadaki C, Manikis GC, Voutsina A, Trypaki M, Tsakalaki E, Fiolitaki G, Hatzidaki D, et al. LKB1 Loss Correlates with STING Loss and, in Cooperation with β-Catenin Membranous Loss, Indicates Poor Prognosis in Patients with Operable Non-Small Cell Lung Cancer. Cancers. 2024; 16(10):1818. https://doi.org/10.3390/cancers16101818
Chicago/Turabian StyleLagoudaki, Eleni D., Anastasios V. Koutsopoulos, Maria Sfakianaki, Chara Papadaki, Georgios C. Manikis, Alexandra Voutsina, Maria Trypaki, Eleftheria Tsakalaki, Georgia Fiolitaki, Dora Hatzidaki, and et al. 2024. "LKB1 Loss Correlates with STING Loss and, in Cooperation with β-Catenin Membranous Loss, Indicates Poor Prognosis in Patients with Operable Non-Small Cell Lung Cancer" Cancers 16, no. 10: 1818. https://doi.org/10.3390/cancers16101818
APA StyleLagoudaki, E. D., Koutsopoulos, A. V., Sfakianaki, M., Papadaki, C., Manikis, G. C., Voutsina, A., Trypaki, M., Tsakalaki, E., Fiolitaki, G., Hatzidaki, D., Yiachnakis, E., Koumaki, D., Mavroudis, D., Tzardi, M., Stathopoulos, E. N., Marias, K., Georgoulias, V., & Souglakos, J. (2024). LKB1 Loss Correlates with STING Loss and, in Cooperation with β-Catenin Membranous Loss, Indicates Poor Prognosis in Patients with Operable Non-Small Cell Lung Cancer. Cancers, 16(10), 1818. https://doi.org/10.3390/cancers16101818

