Magnetic-Resonance-Imaging-Guided Cryoablation for Solitary-Biopsy-Proven Renal Cell Carcinoma: A Tertiary Cancer Center Experience
Abstract
Simple Summary
Abstract
1. Introduction
2. Materials and Methods
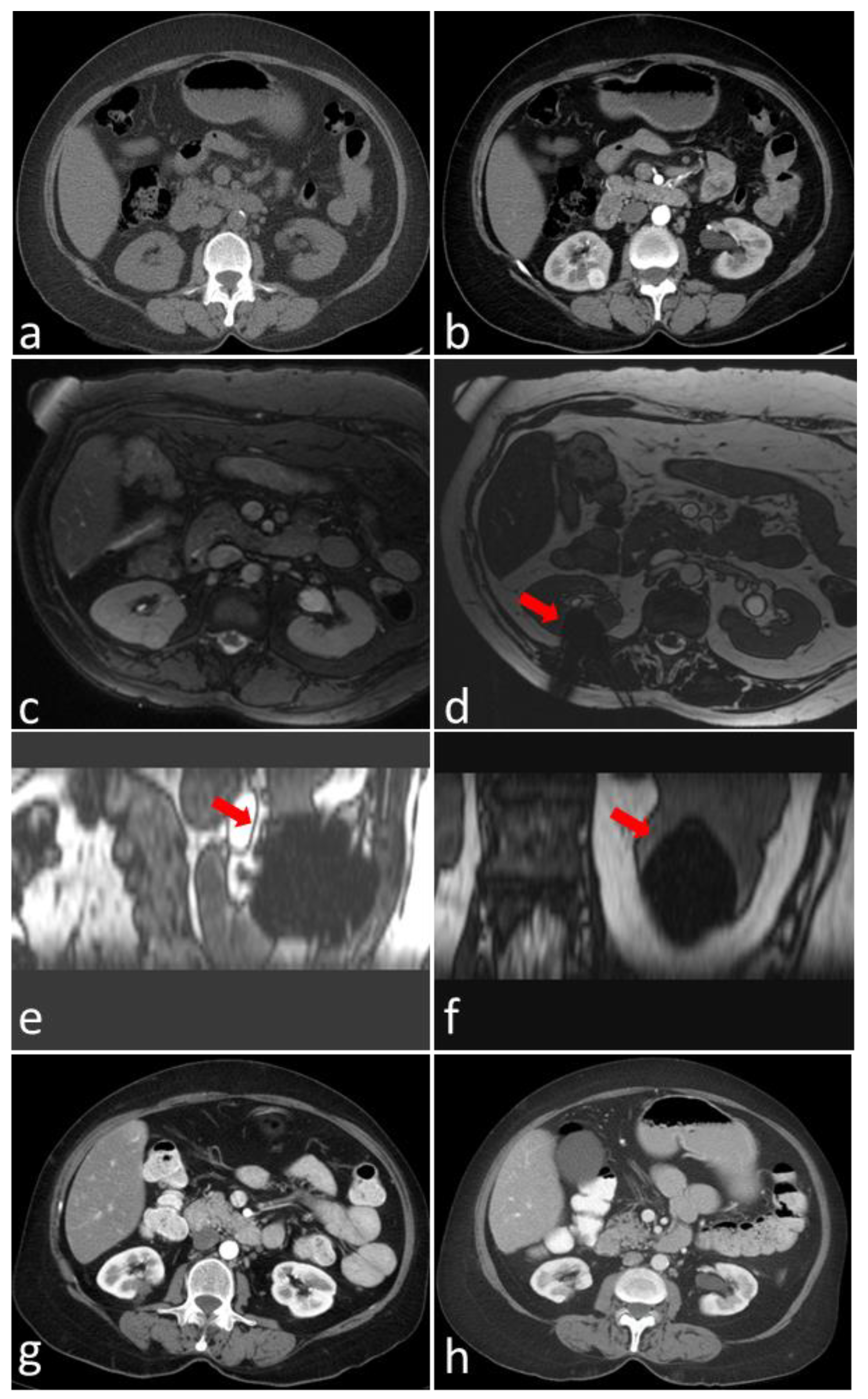
2.1. Ablation Procedure
2.2. Data Collection
2.3. Definitions of Outcomes
2.4. Data Analysis and Statistics
3. Results
3.1. Procedural Outcomes
3.2. Histology Outcomes
3.3. Oncologic and Survival Outcomes
4. Discussion
5. Conclusions
Author Contributions
Funding
Institutional Review Board Statement
Informed Consent Statement
Data Availability Statement
Acknowledgments
Conflicts of Interest
References
- Campbell, S.C.; Clark, P.E.; Chang, S.S.; Karam, J.A.; Souter, L.; Uzzo, R.G. Renal Mass and Localized Renal Cancer: Evaluation, Management, and Follow-Up: AUA Guideline: Part I. J. Urol. 2021, 206, 199–208. [Google Scholar] [CrossRef] [PubMed]
- Finelli, A.; Ismaila, N.; Bro, B.; Durack, J.; Eggener, S.; Evans, A.; Gill, I.; Graham, D.; Huang, W.; Jewett, M.A.; et al. Management of Small Renal Masses: American Society of Clinical Oncology Clinical Practice Guideline. J. Clin. Oncol. 2017, 35, 668–680. [Google Scholar] [CrossRef] [PubMed]
- Levinson, A.W.; Su, L.M.; Agarwal, D.; Sroka, M.; Jarrett, T.W.; Kavoussi, L.R.; Solomon, S.B. Long-term oncological and overall outcomes of percutaneous radio frequency ablation in high risk surgical patients with a solitary small renal mass. J. Urol. 2008, 180, 499–504; discussion 504. [Google Scholar] [CrossRef] [PubMed]
- Ljungberg, B.; Albiges, L.; Abu-Ghanem, Y.; Bensalah, K.; Dabestani, S.; Fernandez-Pello, S.; Giles, R.H.; Hofmann, F.; Hora, M.; Kuczyk, M.A.; et al. European Association of Urology Guidelines on Renal Cell Carcinoma: The 2019 Update. Eur. Urol. 2019, 75, 799–810. [Google Scholar] [CrossRef] [PubMed]
- Pierorazio, P.M.; Johnson, M.H.; Patel, H.D.; Sozio, S.M.; Sharma, R.; Iyoha, E.; Bass, E.B.; Allaf, M.E. Management of Renal Masses and Localized Renal Cancer: Systematic Review and Meta-Analysis. J. Urol. 2016, 196, 989–999. [Google Scholar] [CrossRef] [PubMed]
- Johnson, B.A.; Sorokin, I.; Cadeddu, J.A. Ten-Year Outcomes of Renal Tumor Radio Frequency Ablation. J. Urol. 2019, 201, 251–258. [Google Scholar] [CrossRef]
- Psutka, S.P.; Feldman, A.S.; McDougal, W.S.; McGovern, F.J.; Mueller, P.; Gervais, D.A. Long-term oncologic outcomes after radiofrequency ablation for T1 renal cell carcinoma. Eur. Urol. 2013, 63, 486–492. [Google Scholar] [CrossRef] [PubMed]
- Wah, T.M.; Irving, H.C.; Gregory, W.; Cartledge, J.; Joyce, A.D.; Selby, P.J. Radiofrequency ablation (RFA) of renal cell carcinoma (RCC): Experience in 200 tumours. BJU Int. 2014, 113, 416–428. [Google Scholar] [CrossRef]
- Breen, D.J.; King, A.J.; Patel, N.; Lockyer, R.; Hayes, M. Image-guided Cryoablation for Sporadic Renal Cell Carcinoma: Three- and 5-year Outcomes in 220 Patients with Biopsy-proven Renal Cell Carcinoma. Radiology 2018, 289, 554–561. [Google Scholar] [CrossRef]
- Georgiades, C.S.; Rodriguez, R. Efficacy and safety of percutaneous cryoablation for stage 1A/B renal cell carcinoma: Results of a prospective, single-arm, 5-year study. Cardiovasc. Interv. Radiol. 2014, 37, 1494–1499. [Google Scholar] [CrossRef]
- Motzer, R.J.; Jonasch, E.; Agarwal, N.; Alva, A.; Baine, M.; Beckermann, K.; Carlo, M.I.; Choueiri, T.K.; Costello, B.A.; Derweesh, I.H.; et al. Kidney Cancer, Version 3.2022, NCCN Clinical Practice Guidelines in Oncology. J. Natl. Compr. Canc. Netw. 2022, 20, 71–90. [Google Scholar] [CrossRef] [PubMed]
- Ahrar, K.; Ahrar, J.U.; Javadi, S.; Pan, L.; Milton, D.R.; Wood, C.G.; Matin, S.F.; Stafford, R.J. Real-time magnetic resonance imaging-guided cryoablation of small renal tumors at 1.5 T. Investig. Radiol. 2013, 48, 437–444. [Google Scholar] [CrossRef] [PubMed]
- Cazzato, R.L.; Garnon, J.; Shaygi, B.; Tsoumakidou, G.; Caudrelier, J.; Koch, G.; Gangi, A. How to Perform a Routine Cryoablation Under MRI Guidance. Top. Magn. Reson. Imaging 2018, 27, 33–38. [Google Scholar] [CrossRef] [PubMed]
- De Marini, P.; Cazzato, R.L.; Garnon, J.; Dalili, D.; Leonard-Lorant, I.; Leclerc, L.; Autrusseau, P.A.; Auloge, P.; Weiss, J.; Tricard, T.; et al. Safety and oncologic efficacy of percutaneous MRI-guided cryoablation of intraparenchymal renal cancers. Diagn. Interv. Imaging 2021, 102, 531–538. [Google Scholar] [CrossRef] [PubMed]
- Cazzato, R.L.; De Marini, P.; Leonard-Lorant, I.; Leclerc, L.; Auloge, P.; Tricard, T.; Dalili, D.; Garnon, J.; Lang, H.; Gangi, A. Safety and Oncologic Outcomes of Magnetic Resonance Imaging-Guided Cryoablation of Renal Cell Carcinoma: A 10-Year Single-Center Experience. Investig. Radiol. 2021, 56, 153–162. [Google Scholar] [CrossRef] [PubMed]
- Shingleton, W.B.; Sewell, P.E., Jr. Percutaneous renal tumor cryoablation with magnetic resonance imaging guidance. J. Urol. 2001, 165, 773–776. [Google Scholar] [CrossRef] [PubMed]
- Silverman, S.G.; Tuncali, K.; vanSonnenberg, E.; Morrison, P.R.; Shankar, S.; Ramaiya, N.; Richie, J.P. Renal tumors: MR imaging-guided percutaneous cryotherapy--initial experience in 23 patients. Radiology 2005, 236, 716–724. [Google Scholar] [CrossRef] [PubMed]
- Okhunov, Z.; Moreira, D.M.; Del Junco, M.; Abedi, G.; Lobko, I.I.; Kaler, K.S.; Nguyen, N.D.; Youssef, R.; Uchio, E.; Kavoussi, L.R.; et al. Predictors of Complications After Percutaneous Image-Guided Renal Cryoablation for T1a Renal Cortical Neoplasms. J. Endourol. 2017, 31, 7–13. [Google Scholar] [CrossRef] [PubMed]
- McEachen, J.C.; Leng, S.; Atwell, T.D.; Tollefson, M.K.; Friese, J.L.; Wang, Z.; Murad, M.H.; Schmit, G.D. Percutaneous Renal Tumor Ablation: Radiation Exposure During Cryoablation and Radiofrequency Ablation. Cardiovasc. Interv. Radiol. 2016, 39, 233–238. [Google Scholar] [CrossRef]
- Bhagavatula, S.K.; Tuncali, K.; Shyn, P.B.; Levesque, V.M.; Chang, S.L.; Silverman, S.G. Percutaneous CT- and MRI-guided Cryoablation of cT1 Renal Cell Carcinoma: Intermediate- to Long-term Outcomes in 307 Patients. Radiology 2020, 296, 687–695. [Google Scholar] [CrossRef]
- Abdelsalam, M.E.; Sabir, S.H.; Ba, S.B.K.; Karam, J.A.; Matin, S.F.; Wood, C.G.; Ahrar, K. Outcomes of Percutaneous Thermal Ablation for Biopsy-Proven T1a Renal Cell Carcinoma in Patients With Other Primary Malignancies. AJR Am. J. Roentgenol. 2021, 217, 157–163. [Google Scholar] [CrossRef]
- Duus, L.A.; Junker, T.; Rasmussen, B.S.; Bojsen, J.A.; Pedersen, A.L.; Anthonsen, A.; Lund, L.; Pedersen, M.; Graumann, O. Safety, efficacy, and mid-term oncological outcomes of computed tomography-guided cryoablation of T1 renal cancer. Acta Radiol. 2023, 64, 814–820. [Google Scholar] [CrossRef]


| Characteristic | n (%) |
|---|---|
| Age, years | |
| Mean (SD) | 72.6 (10.2) |
| Range (median) | 50–81 (70) |
| Gender | |
| Female | 11 (37.9) |
| Male | 18 (62.1) |
| Size of lesion, cm | |
| Mean (SD) | 2.2 (0.65) |
| Range (median) | 1.0–4.0 (2.2) |
| Laterality | |
| Right | 21 (72.4) |
| Left | 8 (27.6) |
| Complications | |
| N | 27 (93.1) |
| Y | 2 (6.9) |
| Clavien–Dindo complication grade | |
| Grade I | 1 (3.4) |
| Grade II | 1 (3.4) |
| Characteristic | n (%) |
|---|---|
| Histological type | |
| Clear cell | 19 (65.5) |
| Papillary | 8 (26.5) |
| Chromophobe | 1 (3.5) |
| Clear cell papillary | 1 (3.5) |
| Fuhrman nuclear grade | |
| 1 | 6 (20.5) |
| 2 | 19 (65.5) |
| NR* | 4 (14) |
Disclaimer/Publisher’s Note: The statements, opinions and data contained in all publications are solely those of the individual author(s) and contributor(s) and not of MDPI and/or the editor(s). MDPI and/or the editor(s) disclaim responsibility for any injury to people or property resulting from any ideas, methods, instructions or products referred to in the content. |
© 2024 by the authors. Licensee MDPI, Basel, Switzerland. This article is an open access article distributed under the terms and conditions of the Creative Commons Attribution (CC BY) license (https://creativecommons.org/licenses/by/4.0/).
Share and Cite
Abdelsalam, M.E.; Mecci, N.; Awad, A.; Bassett, R.L.; Odisio, B.C.; Habibollahi, P.; Lu, T.; Irwin, D.; Karam, J.A.; Matin, S.F.; et al. Magnetic-Resonance-Imaging-Guided Cryoablation for Solitary-Biopsy-Proven Renal Cell Carcinoma: A Tertiary Cancer Center Experience. Cancers 2024, 16, 1815. https://doi.org/10.3390/cancers16101815
Abdelsalam ME, Mecci N, Awad A, Bassett RL, Odisio BC, Habibollahi P, Lu T, Irwin D, Karam JA, Matin SF, et al. Magnetic-Resonance-Imaging-Guided Cryoablation for Solitary-Biopsy-Proven Renal Cell Carcinoma: A Tertiary Cancer Center Experience. Cancers. 2024; 16(10):1815. https://doi.org/10.3390/cancers16101815
Chicago/Turabian StyleAbdelsalam, Mohamed E., Nabeel Mecci, Ahmed Awad, Roland L. Bassett, Bruno C. Odisio, Peiman Habibollahi, Thomas Lu, David Irwin, Jose A. Karam, Surena F. Matin, and et al. 2024. "Magnetic-Resonance-Imaging-Guided Cryoablation for Solitary-Biopsy-Proven Renal Cell Carcinoma: A Tertiary Cancer Center Experience" Cancers 16, no. 10: 1815. https://doi.org/10.3390/cancers16101815
APA StyleAbdelsalam, M. E., Mecci, N., Awad, A., Bassett, R. L., Odisio, B. C., Habibollahi, P., Lu, T., Irwin, D., Karam, J. A., Matin, S. F., & Ahrar, K. (2024). Magnetic-Resonance-Imaging-Guided Cryoablation for Solitary-Biopsy-Proven Renal Cell Carcinoma: A Tertiary Cancer Center Experience. Cancers, 16(10), 1815. https://doi.org/10.3390/cancers16101815

