Antitumor Effect of Açaí (Euterpe oleracea Mart.) Seed Extract in LNCaP Cells and in the Solid Ehrlich Carcinoma Model
Abstract
Simple Summary
Abstract
1. Introduction
2. Materials and Methods
2.1. Plant Material
2.2. Preparation of Hydroalcoholic Extracts from E. oleracea
2.3. Characterization of Phenolic Compounds by ESI/MS and LC/MS-MS
2.4. Quantification of Catechin in the Hydroalcoholic Extract of E. oleracea Seeds
2.5. Cell Culture
2.6. In Vitro Assay
2.7. Transmission Electron Microscopy
2.8. Animals
2.9. Ehrlich Solid Tumor Model
2.10. Treatment and Tumor Development Assay
2.11. Immunological Organs Evaluation and Cytokines Detection
2.12. Histological Analyses
2.13. Statistical Analysis
3. Results
3.1. Characterization of Phenolic Compounds and Catechin Quantification in E. oleracea Extracts
3.2. In Vitro Antitumor Effect of E. oleracea Extracts
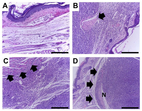
3.3. E. oleracea Seed Extract Reduced Ehrlich Solid Tumor Growth
3.4. Immune Preservation Effects of E. oleracea Extract
3.5. E. oleracea Seed Extract Treatment Did Not Show Toxicity
4. Discussion
5. Conclusions
6. Patents
Author Contributions
Funding
Institutional Review Board Statement
Informed Consent Statement
Data Availability Statement
Conflicts of Interest
References
- WHO. Cancer. Available online: https://www.who.int/health-topics/cancer#tab=tab_1 (accessed on 21 April 2020).
- Prendergast, G.C.; Mondal, A.; Dey, S.; Laury-Kleintop, L.D.; Muller, A.J. Inflammatory Reprogramming with IDO1 Inhibitors: Turning Immunologically Unresponsive ‘Cold’ Tumors ‘Hot’. Trends Cancer 2018, 4, 38–58. [Google Scholar] [CrossRef]
- Pacheco-Palencia, L.A.; Mertens-Talcott, S.U.; Talcott, S.T. In vitro absorption and antiproliferative activities of monomeric and polymeric anthocyanin fractions from açai fruit (Euterpe oleracea Mart.). Food Chem. 2010, 119, 1071–1078. [Google Scholar] [CrossRef]
- Lin, B.W.; Gong, C.C.; Song, H.F.; Cui, Y.Y. Effects of anthocyanins on the prevention and treatment of cancer. Br. J. Pharmacol. 2017, 174, 1226–1243. [Google Scholar] [CrossRef]
- Rodrigues, R.B.; Lichtenthäler, R.; Zimmermann, B.F.; Papagiannopoulos, M.; Fabricius, H.; Marx, F.; Maia, J.G.; Almeida, O. Total oxidant scavenging capacity of Euterpe oleracea Mart. (açaí) seeds and identification of their polyphenolic compounds. J. Agric. Food Chem. 2006, 54, 4162–4167. [Google Scholar] [CrossRef] [PubMed]
- Choi, Y.J.; Choi, Y.J.; Kim, N.; Nam, R.H.; Lee, S.; Lee, H.S.; Lee, H.N.; Surh, Y.J.; Lee, D.H. Açaí Berries Inhibit Colon Tumorigenesis in Azoxymethane/Dextran Sulfate Sodium-Treated Mice. Gut Liver 2017, 11, 243–252. [Google Scholar] [CrossRef] [PubMed]
- Stoner, G.D. Foodstuffs for preventing cancer: The preclinical and clinical development of berries. Cancer Prev. Res. 2009, 2, 187–194. [Google Scholar] [CrossRef] [PubMed]
- Pacheco-Palencia, L.A.; Duncan, C.E.; Talcott, S.T. Phytochemical composition and thermal stability of two commercial açai species, Euterpe oleracea and Euterpe precatoria. Food Chem. 2009, 115, 1199–1205. [Google Scholar] [CrossRef]
- Vera de Rosso, V.; Hillebrand, S.; Montilla, E.C.; Bobbio, F.O.; Winterhalter, P.; Mercadante, A.Z. Determination of anthocyanins from acerola (Malpighia emarginata DC.) and açai (Euterpe oleracea Mart.) by HPLC–PDA–MS/MS. J. Food Compos. Anal. 2008, 21, 291–299. [Google Scholar] [CrossRef]
- Soares, E.R.; Monteiro, E.B.; De Bem, G.F.; Inada, K.O.P.; Torres, A.G.; Perrone, D.; Soulage, C.O.; Monteiro, M.C.; Resende, A.C.; Moura-Nunes, N.; et al. Up-regulation of Nrf2-antioxidant signaling by Açaí (Euterpe oleracea Mart.) extract prevents oxidative stress in human endothelial cells. J. Funct. Foods 2017, 37, 107–115. [Google Scholar] [CrossRef]
- Barros, L.; Calhelha, R.C.; Queiroz, M.J.R.P.; Santos-Buelga, C.; Santos, E.A.; Regis, W.C.B.; Ferreira, I.C.F.R. The powerful in vitro bioactivity of Euterpe oleracea Mart. seeds and related phenolic compounds. Ind. Crops Prod. 2015, 76, 318–322. [Google Scholar] [CrossRef]
- da Silva, R.C.; Batista, A.; Costa, D.C.F.D.; Moura-Nunes, N.; Koury, J.C.; da Costa, C.A.; Resende, Â.C.; Daleprane, J.B. Açai (Euterpe oleracea Mart.) seed flour prevents obesity-induced hepatic steatosis regulating lipid metabolism by increasing cholesterol excretion in high-fat diet-fed mice. Food Res. Int. 2018, 111, 408–415. [Google Scholar] [CrossRef]
- Silva, D.F.; Vidal, F.C.; Santos, D.; Costa, M.C.; Morgado-Díaz, J.A.; do Desterro Soares Brandão Nascimen, M.; de Moura, R.S. Cytotoxic effects of Euterpe oleracea Mart. in malignant cell lines. BMC Complement. Altern. Med. 2014, 14, 175. [Google Scholar] [CrossRef] [PubMed]
- Martinez, R.M.; Guimarães, D.A.B.; Berniz, C.R.; Abreu, J.P.; Rocha, A.P.M.D.; Moura, R.S.; Resende, A.C.; Teodoro, A.J. Açai (Euterpe oleracea Mart.) Seed Extract Induces Cell Cycle Arrest and Apoptosis in Human Lung Carcinoma Cells. Foods 2018, 7, 178. [Google Scholar] [CrossRef] [PubMed]
- Jobim, M.L.; Barbisan, F.; Fortuna, M.; Teixeira, C.F.; Boligon, A.A.; Ribeiro, E.E.; Cruz, I.B.M. Açai (Euterpe oleracea, Mart.), an Amazonian fruit has antitumor effects on prostate cancer cells. Arch. Biosci. Health 2019, 1, 61–76. [Google Scholar] [CrossRef]
- Vichai, V.; Kirtikara, K. Sulforhodamine B colorimetric assay for cytotoxicity screening. Nat. Protoc. 2006, 1, 1112–1116. [Google Scholar] [CrossRef]
- Almeida-Souza, F.; Taniwaki, N.N.; Amaral, A.C.; de Souza, C.a.S.; Calabrese, K.a.S.; Abreu-Silva, A.L. Ultrastructural Changes and Death of Leishmania infantum Promastigotes Induced by Morinda citrifolia Linn. Fruit (Noni) Juice Treatment. Evid.-Based Complement. Altern. Med. 2016, 2016, 5063540. [Google Scholar] [CrossRef] [PubMed]
- Almeida-Souza, F.; da Silva, V.D.; Taniwaki, N.N.; Hardoim, D.J.; Mendonça Filho, A.R.; Moreira, W.F.F.; Buarque, C.D.; Calabrese, K.S.; Abreu-Silva, A.L. Nitric Oxide Induction in Peritoneal Macrophages by a 1,2,3-Triazole Derivative Improves Its Efficacy upon Leishmania amazonensis In Vitro Infection. J. Med. Chem. 2021, 64, 12691–12704. [Google Scholar] [CrossRef]
- Dagli, M.L.Z.; Guerra, J.L.; Saldiva, P.H.N. An experimental study on the lymphatic dissemination of the solid Ehrlich tvjnor in mice. Braz. J. Vet. Res. Anim. Sci. 1992, 29, 97–103. [Google Scholar] [CrossRef]
- Nascimento, F.R.; Cruz, G.V.; Pereira, P.V.; Maciel, M.C.; Silva, L.A.; Azevedo, A.P.; Barroqueiro, E.S.; Guerra, R.N. Ascitic and solid Ehrlich tumor inhibition by Chenopodium ambrosioides L. treatment. Life Sci. 2006, 78, 2650–2653. [Google Scholar] [CrossRef] [PubMed]
- Fialho, E.M.; Maciel, M.C.; Silva, A.C.; Reis, A.S.; Assunção, A.K.; Fortes, T.S.; Silva, L.A.; Guerra, R.N.; Kwasniewski, F.H.; Nascimento, F.R. Immune cells recruitment and activation by Tityus serrulatus scorpion venom. Toxicon 2011, 58, 480–485. [Google Scholar] [CrossRef]
- Xavier, G.S.; Teles, A.M.; Moragas-Tellis, C.J.; Chagas, M.D.S.D.S.; Behrens, M.D.; Moreira, W.F.F.; Abreu-Silva, A.L.; Calabrese, K.D.S.; Nascimento, M.D.D.S.B.; Almeida-Souza, F. Inhibitory Effect of Catechin-Rich Açaí Seed Extract on LPS-Stimulated RAW 264.7 Cells and Carrageenan-Induced Paw Edema. Foods 2021, 10, 1014. [Google Scholar] [CrossRef] [PubMed]
- Shay, J.; Elbaz, H.A.; Lee, I.; Zielske, S.P.; Malek, M.H.; Hüttemann, M. Molecular Mechanisms and Therapeutic Effects of (-)-Epicatechin and Other Polyphenols in Cancer, Inflammation, Diabetes, and Neurodegeneration. Oxidative Med. Cell. Longev. 2015, 2015, 181260. [Google Scholar] [CrossRef] [PubMed]
- Genaro-Mattos, T.C.; Maurício, Â.Q.; Rettori, D.; Alonso, A.; Hermes-Lima, M. Antioxidant Activity of Caffeic Acid against Iron-Induced Free Radical Generation--A Chemical Approach. PLoS ONE 2015, 10, e0129963. [Google Scholar] [CrossRef]
- Freitas, D.D.S.; Morgado-Díaz, J.A.; Gehren, A.S.; Vidal, F.C.B.; Fernandes, R.M.T.; Romão, W.; Tose, L.V.; Frazão, F.N.S.; Costa, M.C.P.; Silva, D.F.; et al. Cytotoxic analysis and chemical characterization of fractions of the hydroalcoholic extract of the Euterpe oleracea Mart. seed in the MCF-7 cell line. J. Pharm. Pharmacol. 2017, 69, 714–721. [Google Scholar] [CrossRef]
- Suhail, M.; Rehan, M.; Tarique, M.; Tabrez, S.; Husain, A.; Zughaibi, T.A. Targeting a transcription factor NF-κB by green tea catechins using in silico and in vitro studies in pancreatic cancer. Front. Nutr. 2023, 9, 1078642. [Google Scholar] [CrossRef]
- Thomas, P.; Dong, J. (-)-Epicatechin acts as a potent agonist of the membrane androgen receptor, ZIP9 (SLC39A9), to promote apoptosis of breast and prostate cancer cells. J. Steroid Biochem. Mol. Biol. 2021, 211, 105906. [Google Scholar] [CrossRef]
- Chen, L.; Guo, Y.; Wu, Z.; Zhao, S.; Zhang, Z.; Zheng, F.; Sun, L.; Hao, Z.; Xu, C.; Wang, T.; et al. Epicatechin gallate prevents the de novo synthesis of fatty acid and the migration of prostate cancer cells. Acta Biochim. Biophys. Sin. 2021, 53, 1662–1669. [Google Scholar] [CrossRef]
- Antunac, K.; Beketić-Orešković, L. How to Optimally Sequence Available Therapy Lines in Advanced Prostate Cancer. Acta Clin. Croat. 2022, 61, 32–44. [Google Scholar] [CrossRef]
- Imran, M.; Saleem, S.; Chaudhuri, A.; Ali, J.; Baboota, S. Docetaxel: An update on its molecular mechanisms, therapeutic trajectory and nanotechnology in the treatment of breast, lung and prostate cancer. J. Drug Deliv. Sci. Technol. 2020, 60, 101959. [Google Scholar] [CrossRef]
- Halliwell, B. Free radicals and antioxidants—Quo vadis? Trends Pharmacol. Sci. 2011, 32, 125–130. [Google Scholar] [CrossRef]
- Eghbaliferiz, S.; Iranshahi, M. Prooxidant Activity of Polyphenols, Flavonoids, Anthocyanins and Carotenoids: Updated Review of Mechanisms and Catalyzing Metals. Phytother. Res. PTR 2016, 30, 1379–1391. [Google Scholar] [CrossRef] [PubMed]
- Khan, S.U.; Fatima, K.; Aisha, S.; Hamza, B.; Malik, F. Redox balance and autophagy regulation in cancer progression and their therapeutic perspective. Med. Oncol. 2022, 40, 12. [Google Scholar] [CrossRef]
- Wilhelm, L.P.; Ganley, I.G. Mitochondria and peroxisomes: Partners in autophagy. Autophagy 2022, 1–2. [Google Scholar] [CrossRef] [PubMed]
- da Silva, M.A.C.N.; Soares, C.S.; Borges, K.R.A.; Wolff, L.A.S.; Barbosa, M.D.C.L.; Nascimento, M.D.D.S.B.; Carvalho, J.E. Ultrastructural changes induced by açaí (Euterpe oleracea Mart) in MCF-7 breast cancer cell line. Ultrastruct. Pathol. 2022, 46, 511–518. [Google Scholar] [CrossRef] [PubMed]
- Silva, M.A.C.N.D.; Costa, J.H.; Pacheco-Fill, T.; Ruiz, A.L.T.G.; Vidal, F.C.B.; Borges, K.R.A.; Guimarães, S.J.A.; Azevedo-Santos, A.P.S.; Buglio, K.E.; Foglio, M.A.; et al. Açai (Euterpe oleracea Mart.) Seed Extract Induces ROS Production and Cell Death in MCF-7 Breast Cancer Cell Line. Molecules 2021, 26, 3546. [Google Scholar] [CrossRef]
- Monge-Fuentes, V.; Muehlmann, L.A.; Longo, J.P.; Silva, J.R.; Fascineli, M.L.; de Souza, P.; Faria, F.; Degterev, I.A.; Rodriguez, A.; Carneiro, F.P.; et al. Photodynamic therapy mediated by acai oil (Euterpe oleracea Martius) in nanoemulsion: A potential treatment for melanoma. J. Photochem. Photobiol. B Biol. 2017, 166, 301–310. [Google Scholar] [CrossRef] [PubMed]
- Kessler, E.R.; Su, L.J.; Gao, D.; Torkko, K.C.; Wacker, M.; Anduha, M.; Chronister, N.; Maroni, P.; Crawford, E.D.; Flaig, T.W.; et al. Phase II Trial of Acai Juice Product in Biochemically Recurrent Prostate Cancer. Integr. Cancer Ther. 2018, 17, 1103–1108. [Google Scholar] [CrossRef] [PubMed]
- Bianchi-Frias, D.; Damodarasamy, M.; Hernandez, S.A.; Gil da Costa, R.M.; Vakar-Lopez, F.; Coleman, I.M.; Reed, M.J.; Nelson, P.S. The Aged Microenvironment Influences the Tumorigenic Potential of Malignant Prostate Epithelial Cells. Mol. Cancer Res. MCR 2019, 17, 321–331. [Google Scholar] [CrossRef]
- Lee, M.; Rhee, I. Cytokine Signaling in Tumor Progression. Immune Netw. 2017, 17, 214–227. [Google Scholar] [CrossRef]
- Ejlertsen, B. Adjuvant chemotherapy in early breast cancer. Dan. Med. J. 2016, 63, B5222. [Google Scholar]
- Emadi, A.; Jones, R.J.; Brodsky, R.A. Cyclophosphamide and cancer: Golden anniversary. Nat. Rev. Clin. Oncol. 2009, 6, 638–647. [Google Scholar] [CrossRef] [PubMed]
- Culo, F.; Allegretti, N.; Marusić, M. Lymphotoxic effect of cyclophosphamide in therapy of Ehrlich ascites carcinoma in mice. J. Natl. Cancer Inst. 1977, 58, 1759–1764. [Google Scholar] [CrossRef] [PubMed]
- Teles, A.M.; Pontes, L.P.P.; Guimarães, S.J.A.; Butarelli, A.L.; Silva, G.X.; do Nascimento, F.R.F.; de Barros Bezerra, G.F.; Moragas-Tellis, C.J.; Costa, R.M.G.D.; da Silva, M.A.C.N.; et al. Marine-Derived Penicillium purpurogenum Reduces Tumor Size and Ameliorates Inflammation in an Erlich Mice Model. Mar. Drugs 2020, 18, 541. [Google Scholar] [CrossRef] [PubMed]
- Almeer, R.S.; Alnasser, M.; Aljarba, N.; AlBasher, G.I. Effects of Green cardamom (Elettaria cardamomum Maton) and its combination with cyclophosphamide on Ehrlich solid tumors. BMC Complement. Med. Ther. 2021, 21, 133. [Google Scholar] [CrossRef]
- Taniguchi, K.; Karin, M. IL-6 and related cytokines as the critical lynchpins between inflammation and cancer. Semin. Immunol. 2014, 26, 54–74. [Google Scholar] [CrossRef]
- Yao, X.; Huang, J.; Zhong, H.; Shen, N.; Faggioni, R.; Fung, M.; Yao, Y. Targeting interleukin-6 in inflammatory autoimmune diseases and cancers. Pharmacol. Ther. 2014, 141, 125–139. [Google Scholar] [CrossRef] [PubMed]
- Grivennikov, S.I.; Karin, M. Inflammatory cytokines in cancer: Tumour necrosis factor and interleukin 6 take the stage. Ann. Rheum. Dis. 2011, 70 (Suppl. 1), i104–i108. [Google Scholar] [CrossRef]
- Yoshimura, T. The chemokine MCP-1 (CCL2) in the host interaction with cancer: A foe or ally? Cell. Mol. Immunol. 2018, 15, 335–345. [Google Scholar] [CrossRef]
- Lakshmi Narendra, B.; Eshvendar Reddy, K.; Shantikumar, S.; Ramakrishna, S. Immune system: A double-edged sword in cancer. Inflamm. Res. Off. J. Eur. Histamine Res. Soc. 2013, 62, 823–834. [Google Scholar] [CrossRef]
- Langers, I.; Renoux, V.M.; Thiry, M.; Delvenne, P.; Jacobs, N. Natural killer cells: Role in local tumor growth and metastasis. Biol. Targets Ther. 2012, 6, 73–82. [Google Scholar] [CrossRef]
- Biswas, S.K.; Mantovani, A. Macrophage plasticity and interaction with lymphocyte subsets: Cancer as a paradigm. Nat. Immunol. 2010, 11, 889–896. [Google Scholar] [CrossRef] [PubMed]
- de Moraes Arnoso, B.J.; Magliaccio, F.M.; de Araújo, C.A.; de Andrade Soares, R.; Santos, I.B.; de Bem, G.F.; Fernandes-Santos, C.; Ognibene, D.T.; de Moura, R.S.; Resende, A.C.; et al. Açaí seed extract (ASE) rich in proanthocyanidins improves cardiovascular remodeling by increasing antioxidant response in obese high-fat diet-fed mice. Chem.-Biol. Interact. 2022, 351, 109721. [Google Scholar] [CrossRef] [PubMed]
- Pires, D.E.; Blundell, T.L.; Ascher, D.B. pkCSM: Predicting Small-Molecule Pharmacokinetic and Toxicity Properties Using Graph-Based Signatures. J. Med. Chem. 2015, 58, 4066–4072. [Google Scholar] [CrossRef] [PubMed]






| m/z Exp | Mode | Molecular Formula | E. oleracea Extracts | Tentative Identification | |||
|---|---|---|---|---|---|---|---|
| Pulp | Palm | Seeds | Fruit | ||||
| 289.0669 | neg | C15H14O6 | − | − | + | + | Catechin/epicatechin |
| 299.0507 | neg | C16H12O6 | + | + | − | + | Kaempferide |
| 433.1364 | pos | C21H21O10 | + | − | + | + | Pelargonidin 3-O-glucoside |
| 449.1192 | pos | C21H21O11 | + | − | + | − | Cyanidin-3-O-galactoside |
| 461.1047 | neg | C22H21O11 | − | + | − | + | Chrysoeriol 7-O-glucoside |
| 463.1503 | pos | C22H23O11 | + | − | − | − | Peonidin 3-O-glucoside |
| 595.1843 | pos | C27H31O15 | + | − | − | − | Cyanidin 3-O-rutinoside |
| 609.1869 | pos | C28H33O15 | + | − | − | + | Peonidin 3-O-rutinoside |
| 865.1835 | neg | C45H38O18 | − | − | + | − | Procyanidin trimer C1 |
| Compound | Rt (min) | Molecular Ion [M-H]− (m/z) | MS2 (m/z) | Area (%) | Tentative Identification |
|---|---|---|---|---|---|
| 1 | 2.7 | 341.16 | 280/178 | 23.91 | Caffeic acid-3-glucoside |
| 2 | 3.7 | 267.01 | 206/160 | 9.46 | n.i. |
| 3 | 5.0 | 267.00 | 206 | 5.03 | n.i. |
| 4 | 12.9 | 577.21 | 559/451/425/288/244 | 9.74 | B-type (epi) catechin dimer |
| 5 | 15.5 | 288.99 | 244/204 | 45.81 | (+) catechin |
| 6 | 26.7 | 289.03 | 244/204/124 | 6.02 | (−) epicatechin |
| Extract/ Compound | LNCaP clone FGC CC50 (µg/mL) | CCD-1072Sk CC50 (µg/mL) | SI | ||||||
|---|---|---|---|---|---|---|---|---|---|
| 24 h | 48 h | 72 h | 24 h | 48 h | 72 h | 24 h | 48 h | 72 h | |
| Fruit | >125 | 98.20 ± 1.219 | 119.5 ± 1.470 | >1000 | 859.3 ± 1.245 | 844.7 ± 1.184 | >7.68 | 8.75 | 7.06 |
| Seed | 44.0 ± 1.225 | 32.70 ± 1.226 | 30.80 ± 1.208 | >1000 | 650.8 ± 1.251 | 402.9 ± 1.215 | >22.72 | 19.90 | 13.08 |
| Docetaxel | 1.52 ± 0.021 | 1.28 ± 0.055 | 1.34 ± 0.041 | 70.16 ± 1.264 | 45.52 ± 1.276 | 36.48 ± 1.258 | 46.15 | 35.56 | 34.44 |
| Histological Features | Scores | Animal Groups | |||||
|---|---|---|---|---|---|---|---|
| Sham | Ehrlich+ | ||||||
| CTL− | CTL+ | SE (mg/kg) | |||||
| 100 | 200 | 400 | |||||
| Nuclear pleomorphism | 0 | 6 | - | - | - | - | - |
| + | - | - | - | - | - | - | |
| ++ | - | - | 4 | 3 | 1 | 2 | |
| +++ | - | 6 | 2 | 3 | 3 | 3 | |
| Necrosis | 0 | 6 | - | - | - | - | - |
| + | - | 2 | - | - | - | - | |
| ++ | - | 3 | 2 | 2 | 2 | 4 | |
| +++ | - | 1 | 4 | 4 | 2 | 1 | |
| Mitotic figures | 0 | 6 | - | - | - | - | - |
| + | - | - | - | - | - | - | |
| ++ | - | 2 | 5 | 4 | 2 | 5 | |
| +++ | - | 4 | 1 | 2 | 2 | - | |
| Inflammatory infiltrate | 0 | 6 | - | - | - | - | - |
| + | - | - | - | - | - | - | |
| ++ | - | 3 | 2 | 3 | - | 1 | |
| +++ | - | 3 | 4 | 3 | 4 | 4 | |
| Tumor invasion | 0 | 6 | - | - | - | - | - |
| + | - | 3 | - | 1 | - | - | |
| ++ | - | 1 | 2 | - | - | 2 | |
| +++ | - | 1 | 4 | 5 | 4 | 3 | |
| Treatment Group | Spleen Weight (g) | Spleen Cell Number (×104) | Popliteal Lymph Node Weight (g) | Popliteal Lymph Node Cell Number (×104) | Bone Marrow Cell Number (×104) |
|---|---|---|---|---|---|
| Sham | 0.00 ± 0.001 | 5601.7 ± 1452.8 | 0.17 ± 0.02 | 4.0 ± 6.15 | 616.3 ± 380.7 |
| CTL− | 0.05 ± 0.014 aaa | 10,538.3 ± 3309.3 a | 0.44 ± 0.06 aaa | 3381 ± 492.5 aaa | 321.3 ± 71.8 |
| CTL+ | 0.0 ± 0.002 bb | 2603.3 ± 2507.2 bb | 0.19 ± 0.11 bb | 78 ± 25.1 bbb | 132.0 ± 59.5 aaa,b |
| SE100 | 0.04 ± 0.017 | 6283.3 ± 2064.8 c | 0.30 ± 0.05 aa,ccc | 703 ± 505.9 a,b | 607.3 ± 397.9 cc |
| SE200 | 0.04 ± 0.012 | 5775.8 ± 1229 b | 0.24 ± 0.037 aa,ccc | 887.5 ± 451.7 a,b | 205.3 ± 72.1 |
| SE400 | 0.02 ± 0.007 b | 4818.0 ± 2407.2 bb | 0.20 ± 0.071 a,bb | 1000 ± 231 aa,b | 377.0 ± 205.1 c |
| Organ | Histological Features | Scores | Animal Groups | |||||
|---|---|---|---|---|---|---|---|---|
| Sham | Ehrlich+ | |||||||
| CTL− | CTL+ | SE (mg/kg) | ||||||
| 100 | 200 | 400 | ||||||
| Liver | Mild diffuse vacuolar degeneration | 0 | 6 | - | - | - | - | - |
| + | - | - | - | - | - | - | ||
| ++ | - | - | 4 | 3 | 1 | 2 | ||
| +++ | - | 6 | 2 | 3 | 3 | 3 | ||
| Moderate diffuse vacuolar degeneration | 0 | 6 | - | - | - | - | - | |
| + | - | 2 | - | - | - | - | ||
| ++ | - | 3 | 2 | 2 | 2 | 4 | ||
| +++ | - | 1 | 4 | 4 | 2 | 1 | ||
| Kidney | Mild diffuse vascular congestion | 0 | 6 | - | - | - | - | - |
| + | - | - | - | - | - | - | ||
| ++ | - | 2 | 5 | 4 | 2 | 5 | ||
| +++ | - | 4 | 1 | 2 | 2 | - | ||
| Moderate diffuse vascular congestion | 0 | 6 | - | - | - | - | - | |
| + | - | - | - | - | - | - | ||
| ++ | - | 3 | 2 | 3 | - | 1 | ||
| +++ | - | 3 | 4 | 3 | 4 | 4 | ||
| Mild multifocal vascular congestion | 0 | 6 | - | - | - | - | - | |
| + | - | 3 | - | 1 | - | - | ||
| ++ | - | 1 | 2 | - | - | 2 | ||
| +++ | - | 1 | 4 | 5 | 4 | 3 | ||
Disclaimer/Publisher’s Note: The statements, opinions and data contained in all publications are solely those of the individual author(s) and contributor(s) and not of MDPI and/or the editor(s). MDPI and/or the editor(s) disclaim responsibility for any injury to people or property resulting from any ideas, methods, instructions or products referred to in the content. |
© 2023 by the authors. Licensee MDPI, Basel, Switzerland. This article is an open access article distributed under the terms and conditions of the Creative Commons Attribution (CC BY) license (https://creativecommons.org/licenses/by/4.0/).
Share and Cite
Filho, W.E.M.; Almeida-Souza, F.; Vale, A.A.M.; Victor, E.C.; Rocha, M.C.B.; Silva, G.X.; Teles, A.M.; Nascimento, F.R.F.; Moragas-Tellis, C.J.; Chagas, M.d.S.d.S.; et al. Antitumor Effect of Açaí (Euterpe oleracea Mart.) Seed Extract in LNCaP Cells and in the Solid Ehrlich Carcinoma Model. Cancers 2023, 15, 2544. https://doi.org/10.3390/cancers15092544
Filho WEM, Almeida-Souza F, Vale AAM, Victor EC, Rocha MCB, Silva GX, Teles AM, Nascimento FRF, Moragas-Tellis CJ, Chagas MdSdS, et al. Antitumor Effect of Açaí (Euterpe oleracea Mart.) Seed Extract in LNCaP Cells and in the Solid Ehrlich Carcinoma Model. Cancers. 2023; 15(9):2544. https://doi.org/10.3390/cancers15092544
Chicago/Turabian StyleFilho, Walbert Edson Muniz, Fernando Almeida-Souza, André Alvares Marques Vale, Elis Cabral Victor, Mirtes Castelo Branco Rocha, Gabriel Xavier Silva, Amanda Mara Teles, Flavia Raquel Fernandes Nascimento, Carla Junqueira Moragas-Tellis, Maria do Socorro dos Santos Chagas, and et al. 2023. "Antitumor Effect of Açaí (Euterpe oleracea Mart.) Seed Extract in LNCaP Cells and in the Solid Ehrlich Carcinoma Model" Cancers 15, no. 9: 2544. https://doi.org/10.3390/cancers15092544
APA StyleFilho, W. E. M., Almeida-Souza, F., Vale, A. A. M., Victor, E. C., Rocha, M. C. B., Silva, G. X., Teles, A. M., Nascimento, F. R. F., Moragas-Tellis, C. J., Chagas, M. d. S. d. S., Behrens, M. D., Hardoim, D. d. J., Taniwaki, N. N., Lima, J. A., Abreu-Silva, A. L., Gil da Costa, R. M., Calabrese, K. d. S., Azevedo-Santos, A. P. S. d., & Nascimento, M. d. D. S. B. (2023). Antitumor Effect of Açaí (Euterpe oleracea Mart.) Seed Extract in LNCaP Cells and in the Solid Ehrlich Carcinoma Model. Cancers, 15(9), 2544. https://doi.org/10.3390/cancers15092544

