Development and Evaluation of MR-Based Radiogenomic Models to Differentiate Atypical Lipomatous Tumors from Lipomas
Abstract
Simple Summary
Abstract
1. Introduction
2. Materials and Methods
2.1. Datasets
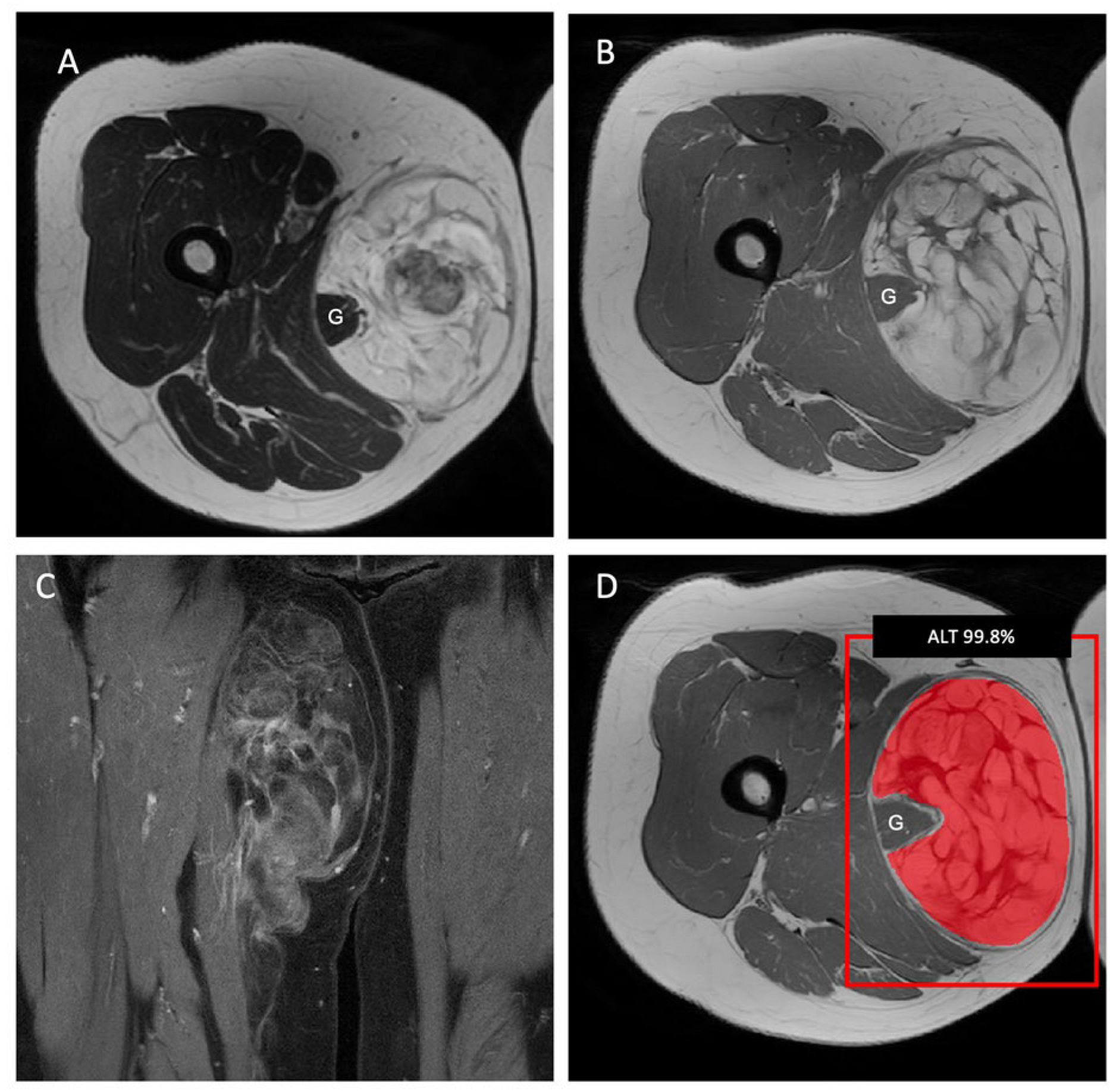
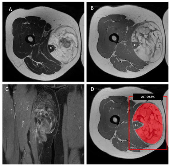
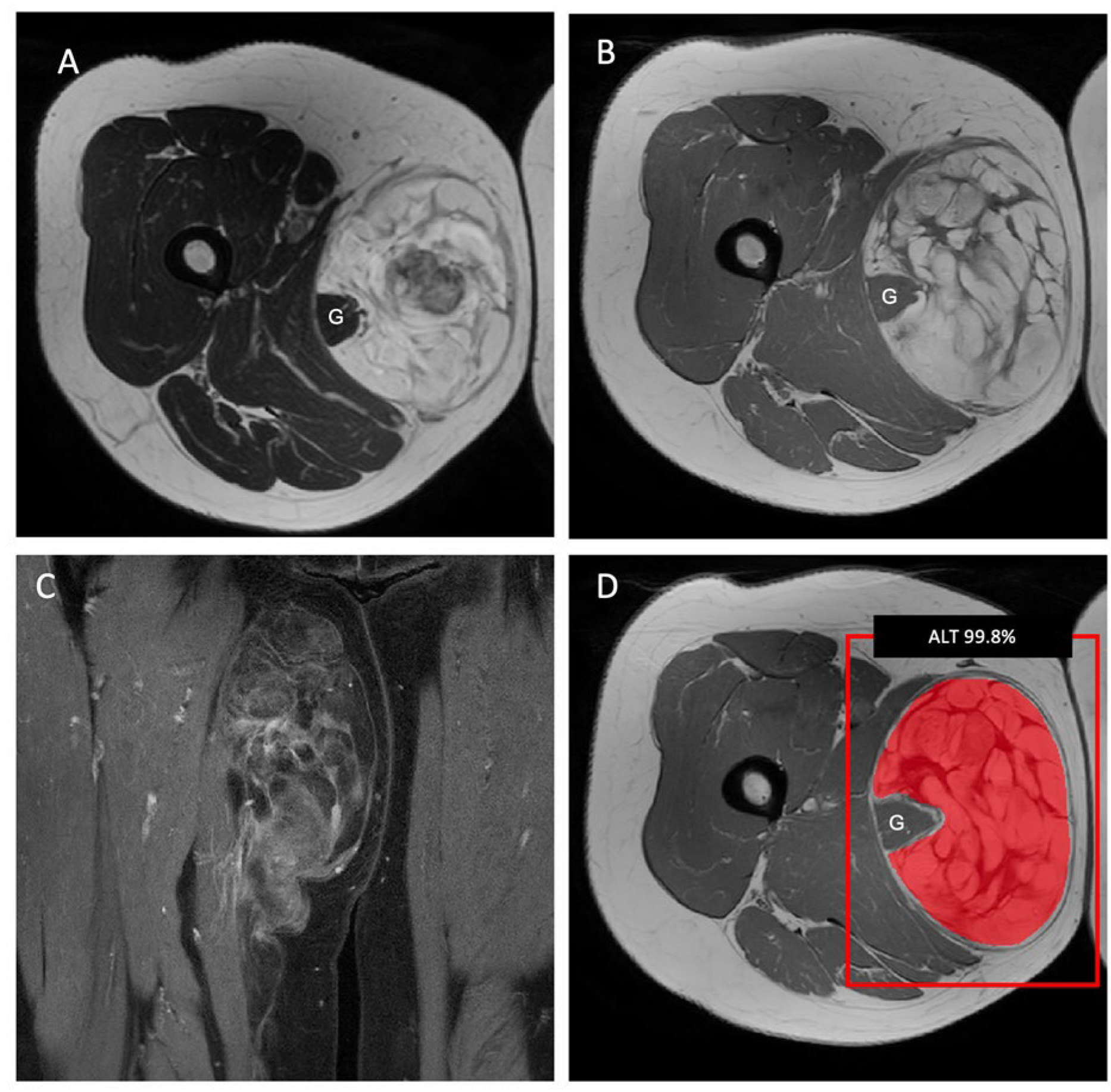
2.2. MR Imaging Protocol and Image Segmentation
2.3. Radiomic Feature Extraction and Machine-Learning Model Development
2.4. Model Optimization, Evaluation, and Statistical Analysis
3. Results
3.1. Study Subjects
3.2. Evaluation of the Developed Machine-Learning Models
3.3. Comparison with Radiologists
4. Discussion
5. Conclusions
Supplementary Materials
Author Contributions
Funding
Institutional Review Board Statement
Informed Consent Statement
Data Availability Statement
Conflicts of Interest
Abbreviations
| atypical lipomatous tumors | ALTs |
| mouse double minute 2 | MDM2 |
| fluorescence in situ hybridization | FISH |
| turbo spin echo | TSE |
| volume of interest | VOI |
| intraclass correlation coefficient | ICC |
| principal component analysis | PCA |
| Neuroimaging Informatics Technology Initiative | NIfTI |
| support vector machine | SVM |
| random forest classifier | RFC |
| least absolute shrinkage and selection operator | LASSO |
| artificial neural network | ANN |
| area under the curve | AUC |
| receiver–operator curve | ROC |
References
- Johnson, C.N.; Ha, A.S.; Chen, E.; Davidson, D. Lipomatous Soft-tissue Tumors. J. Am. Acad. Orthop. Surg. 2018, 26, 779–788. [Google Scholar] [CrossRef]
- Dalal, K.M.; Antonescu, C.R.; Singer, S. Diagnosis and management of lipomatous tumors. J. Surg. Oncol. 2008, 97, 298–313. [Google Scholar] [CrossRef] [PubMed]
- Myhre-Jensen, O.; Kaae, S.; Madsen, E.H.; Sneppen, O. Histopathological grading in soft-tissue tumours. Relation to survival in 261 surgically treated patients. Acta Pathol. Microbiol. Immunol. Scand. A 1983, 91, 145–150. [Google Scholar]
- Rydholm, A.; Berg, N.O. Size, site and clinical incidence of lipoma. Factors in the differential diagnosis of lipoma and sarcoma. Acta Orthop. Scand. 1983, 54, 929–934. [Google Scholar] [CrossRef] [PubMed]
- Fletcher, C.D. The evolving classification of soft tissue tumours: An update based on the new WHO classification. Histopathology 2006, 48, 3–12. [Google Scholar] [CrossRef]
- Nagano, S.; Yokouchi, M.; Setoguchi, T.; Ishidou, Y.; Sasaki, H.; Shimada, H.; Komiya, S. Differentiation of lipoma and atypical lipomatous tumor by a scoring system: Implication of increased vascularity on pathogenesis of liposarcoma. BMC Musculoskelet. Disord. 2015, 16, 36. [Google Scholar] [CrossRef]
- Bassett, M.D.; Schuetze, S.M.; Disteche, C.; Norwood, T.H.; Swisshelm, K.; Chen, X.; Bruckner, J.; Conrad, E.U., 3rd; Rubin, B.P. Deep-seated, well differentiated lipomatous tumors of the chest wall and extremities: The role of cytogenetics in classification and prognostication. Cancer 2005, 103, 409–416. [Google Scholar] [CrossRef]
- Weiss, S.W.; Rao, V.K. Well-differentiated liposarcoma (atypical lipoma) of deep soft tissue of the extremities, retroperitoneum, and miscellaneous sites. A follow-up study of 92 cases with analysis of the incidence of “dedifferentiation”. Am. J. Surg. Pathol. 1992, 16, 1051–1058. [Google Scholar] [CrossRef] [PubMed]
- Bidault, F.; Vanel, D.; Terrier, P.; Jalaguier, A.; Bonvalot, S.; Pedeutour, F.; Couturier, J.M.; Dromain, C. Liposarcoma or lipoma: Does genetics change classic imaging criteria? Eur. J. Radiol. 2009, 72, 22–26. [Google Scholar] [CrossRef]
- Evans, H.L.; Soule, E.H.; Winkelmann, R.K. Atypical lipoma, atypical intramuscular lipoma, and well differentiated retroperitoneal liposarcoma: A reappraisal of 30 cases formerly classified as well differentiated liposarcoma. Cancer 1979, 43, 574–584. [Google Scholar] [CrossRef]
- Choi, K.Y.; Jost, E.; Mack, L.; Bouchard-Fortier, A. Surgical management of truncal and extremities atypical lipomatous tumors/well-differentiated liposarcoma: A systematic review of the literature. Am. J. Surg. 2020, 219, 823–827. [Google Scholar] [CrossRef]
- Zhang, H.; Erickson-Johnson, M.; Wang, X.; Oliveira, J.L.; Nascimento, A.G.; Sim, F.H.; Wenger, D.E.; Zamolyi, R.Q.; Pannain, V.L.; Oliveira, A.M. Molecular testing for lipomatous tumors: Critical analysis and test recommendations based on the analysis of 405 extremity-based tumors. Am. J. Surg. Pathol. 2010, 34, 1304–1311. [Google Scholar] [CrossRef] [PubMed]
- Brisson, M.; Kashima, T.; Delaney, D.; Tirabosco, R.; Clarke, A.; Cro, S.; Flanagan, A.M.; O’Donnell, P. MRI characteristics of lipoma and atypical lipomatous tumor/well-differentiated liposarcoma: Retrospective comparison with histology and MDM2 gene amplification. Skelet. Radiol. 2013, 42, 635–647. [Google Scholar] [CrossRef] [PubMed]
- Ohguri, T.; Aoki, T.; Hisaoka, M.; Watanabe, H.; Nakamura, K.; Hashimoto, H.; Nakamura, T.; Nakata, H. Differential diagnosis of benign peripheral lipoma from well-differentiated liposarcoma on MR imaging: Is comparison of margins and internal characteristics useful? AJR Am. J. Roentgenol. 2003, 180, 1689–1694. [Google Scholar] [CrossRef]
- Dei Tos, A.P.; Doglioni, C.; Piccinin, S.; Sciot, R.; Furlanetto, A.; Boiocchi, M.; Dal Cin, P.; Maestro, R.; Fletcher, C.D.; Tallini, G. Coordinated expression and amplification of the MDM2, CDK4, and HMGI-C genes in atypical lipomatous tumours. J. Pathol. 2000, 190, 531–536. [Google Scholar] [CrossRef]
- Kulkarni, A.S.; Wojcik, J.B.; Chougule, A.; Arora, K.; Chittampalli, Y.; Kurzawa, P.; Mullen, J.T.; Chebib, I.; Nielsen, G.P.; Rivera, M.N.; et al. MDM2 RNA In Situ Hybridization for the Diagnosis of Atypical Lipomatous Tumor: A Study Evaluating DNA, RNA, and Protein Expression. Am. J. Surg. Pathol. 2019, 43, 446–454. [Google Scholar] [CrossRef] [PubMed]
- Kashima, T.; Halai, D.; Ye, H.; Hing, S.N.; Delaney, D.; Pollock, R.; O’Donnell, P.; Tirabosco, R.; Flanagan, A.M. Sensitivity of MDM2 amplification and unexpected multiple faint alphoid 12 (alpha 12 satellite sequences) signals in atypical lipomatous tumor. Mod. Pathol. 2012, 25, 1384–1396. [Google Scholar] [CrossRef]
- Kransdorf, M.J.; Bancroft, L.W.; Peterson, J.J.; Murphey, M.D.; Foster, W.C.; Temple, H.T. Imaging of fatty tumors: Distinction of lipoma and well-differentiated liposarcoma. Radiology 2002, 224, 99–104. [Google Scholar] [CrossRef] [PubMed]
- Nardo, L.; Abdelhafez, Y.G.; Acquafredda, F.; Schiro, S.; Wong, A.L.; Sarohia, D.; Maroldi, R.; Darrow, M.A.; Guindani, M.; Lee, S.; et al. Qualitative evaluation of MRI features of lipoma and atypical lipomatous tumor: Results from a multicenter study. Skelet. Radiol. 2020, 49, 1005–1014. [Google Scholar] [CrossRef]
- De Schepper, A.M.; De Beuckeleer, L.; Vandevenne, J.; Somville, J. Magnetic resonance imaging of soft tissue tumors. Eur. Radiol. 2000, 10, 213–223. [Google Scholar] [CrossRef] [PubMed]
- Vilanova, J.C.; Woertler, K.; Narvaez, J.A.; Barcelo, J.; Martinez, S.J.; Villalon, M.; Miro, J. Soft-tissue tumors update: MR imaging features according to the WHO classification. Eur. Radiol. 2007, 17, 125–138. [Google Scholar] [CrossRef]
- Totty, W.G.; Murphy, W.A.; Lee, J.K. Soft-tissue tumors: MR imaging. Radiology 1986, 160, 135–141. [Google Scholar] [CrossRef]
- Knebel, C.; Neumann, J.; Schwaiger, B.J.; Karampinos, D.C.; Pfeiffer, D.; Specht, K.; Lenze, U.; von Eisenhart-Rothe, R.; Rummeny, E.J.; Woertler, K.; et al. Differentiating atypical lipomatous tumors from lipomas with magnetic resonance imaging: A comparison with MDM2 gene amplification status. BMC Cancer 2019, 19, 309. [Google Scholar] [CrossRef] [PubMed]
- O’Donnell, P.W.; Griffin, A.M.; Eward, W.C.; Sternheim, A.; White, L.M.; Wunder, J.S.; Ferguson, P.C. Can Experienced Observers Differentiate between Lipoma and Well-Differentiated Liposarcoma Using Only MRI? Sarcoma 2013, 2013, 982784. [Google Scholar] [CrossRef]
- Peeken, J.C.; Asadpour, R.; Specht, K.; Chen, E.Y.; Klymenko, O.; Akinkuoroye, V.; Hippe, D.S.; Spraker, M.B.; Schaub, S.K.; Dapper, H.; et al. MRI-based delta-radiomics predicts pathologic complete response in high-grade soft-tissue sarcoma patients treated with neoadjuvant therapy. Radiother. Oncol. 2021, 164, 73–82. [Google Scholar] [CrossRef]
- Peeken, J.C.; Wiestler, B.; Combs, S.E. Image-Guided Radiooncology: The Potential of Radiomics in Clinical Application. Recent Results Cancer Res. 2020, 216, 773–794. [Google Scholar] [CrossRef]
- Crombe, A.; Fadli, D.; Italiano, A.; Saut, O.; Buy, X.; Kind, M. Systematic review of sarcomas radiomics studies: Bridging the gap between concepts and clinical applications? Eur. J. Radiol. 2020, 132, 109283. [Google Scholar] [CrossRef] [PubMed]
- Gitto, S.; Cuocolo, R.; Albano, D.; Morelli, F.; Pescatori, L.C.; Messina, C.; Imbriaco, M.; Sconfienza, L.M. CT and MRI radiomics of bone and soft-tissue sarcomas: A systematic review of reproducibility and validation strategies. Insights Imaging 2021, 12, 68. [Google Scholar] [CrossRef] [PubMed]
- Zwanenburg, A.; Vallieres, M.; Abdalah, M.A.; Aerts, H.; Andrearczyk, V.; Apte, A.; Ashrafinia, S.; Bakas, S.; Beukinga, R.J.; Boellaard, R.; et al. The Image Biomarker Standardization Initiative: Standardized Quantitative Radiomics for High-Throughput Image-based Phenotyping. Radiology 2020, 295, 328–338. [Google Scholar] [CrossRef] [PubMed]
- Peeken, J.C.; Neumann, J.; Asadpour, R.; Leonhardt, Y.; Moreira, J.R.; Hippe, D.S.; Klymenko, O.; Foreman, S.C.; von Schacky, C.E.; Spraker, M.B.; et al. Prognostic Assessment in High-Grade Soft-Tissue Sarcoma Patients: A Comparison of Semantic Image Analysis and Radiomics. Cancers 2021, 13, 1929. [Google Scholar] [CrossRef] [PubMed]
- Tixier, F.; Le Rest, C.C.; Hatt, M.; Albarghach, N.; Pradier, O.; Metges, J.P.; Corcos, L.; Visvikis, D. Intratumor heterogeneity characterized by textural features on baseline 18F-FDG PET images predicts response to concomitant radiochemotherapy in esophageal cancer. J. Nucl. Med. 2011, 52, 369–378. [Google Scholar] [CrossRef] [PubMed]
- Leporq, B.; Bouhamama, A.; Pilleul, F.; Lame, F.; Bihane, C.; Sdika, M.; Blay, J.Y.; Beuf, O. MRI-based radiomics to predict lipomatous soft tissue tumors malignancy: A pilot study. Cancer Imaging 2020, 20, 78. [Google Scholar] [CrossRef] [PubMed]
- Cay, N.; Mendi, B.A.R.; Batur, H.; Erdogan, F. Discrimination of lipoma from atypical lipomatous tumor/well-differentiated liposarcoma using magnetic resonance imaging radiomics combined with machine learning. Jpn. J. Radiol. 2022, 40, 951–960. [Google Scholar] [CrossRef] [PubMed]
- Vos, M.; Starmans, M.P.A.; Timbergen, M.J.M.; van der Voort, S.R.; Padmos, G.A.; Kessels, W.; Niessen, W.J.; van Leenders, G.; Grunhagen, D.J.; Sleijfer, S.; et al. Radiomics approach to distinguish between well differentiated liposarcomas and lipomas on MRI. Br. J. Surg. 2019, 106, 1800–1809. [Google Scholar] [CrossRef] [PubMed]





| Patient Characteristics | Internal Dataset (n = 257) | External Test Set (n = 50) |
|---|---|---|
| Age (years) * | 62.4 ± 14.5 | 60.6 ± 12.5 |
| Sex (women) | 125 | 22 |
| Tumor Location (Anatomical Region) | ||
| Chest/Back | 19 | 6 |
| Neck | 15 | 2 |
| Leg | 143 | 27 |
| Arm | 75 | 14 |
| Hand | 3 | 1 |
| Foot | 2 | 0 |
| Lipomas | n = 192 | n = 30 |
| Age (years) * | 62.3 ± 14.4 | 57.5 ± 11.1 |
| Sex (women) | 88 | 12 |
| Atypical Lipomatous Tumors (ALT) | n = 65 | n = 20 |
| Age (years) * | 62.5 ± 15 | 65.2 ± 13.5 |
| Sex (women) | 37 | 10 |
| Model Architecture | Score | Demographic Features | Combined Sequences | Combined Sequences + Demographic Features |
|---|---|---|---|---|
| LASSO | AUC * | 0.56 (0.540.58) ± 0.07 | 0.88 (0.85–0.91) ± 0.07 | 0.72 (0.66–0.78) ± 0.15 |
| Accuracy | 0.58 | 0.76 | 0.77 | |
| Sensitivity | 0.05 | 0.70 | 0.40 | |
| Specificity | 0.93 | 0.81 | 1.00 | |
| SVM | AUC * | 0.54 (0.51–0.57) ± 0.12 | 0.84 (0.80–0.88) ± 0.11 | 0.85 (0.82–0.88) ± 0.09 |
| Accuracy | 0.56 | 0.53 | 0.69 | |
| Sensitivity | 0.10 | 0.90 | 0.80 | |
| Specificity | 0.87 | 0.31 | 0.63 | |
| RFC | AUC * | 0.63 (0.61–0.65) ± 0.06 | 0.87 (0.85–0.89) ± 0.05 | 0.87 (0.85–0.89) ± 0.05 |
| Accuracy | 0.50 | 0.69 | 0.69 | |
| Sensitivity | 0.00 | 0.50 | 0.40 | |
| Specificity | 0.83 | 0.81 | 0.88 | |
| ANN | AUC * | 0.68 (0.66–0.70) ± 0.08 | 0.81 (0.77–0.85) ± 0.10 | 0.81 (0.77–0.85) ± 0.10 |
| Accuracy | 0.60 | 0.69 | 0.65 | |
| Sensitivity | 0.00 | 0.70 | 0.60 | |
| Specificity | 1.00 | 0.69 | 0.69 |
| Score | Radiology Resident, 2y | Radiology Resident, 3y | Radiology Resident, 5y | Fellowship-Trained Radiologist |
|---|---|---|---|---|
| Accuracy | 0.60 (30/50) | 0.70 (35/50) | 0.70 (35/50) | 0.90 (45/50) |
| Sensitivity | 0.55 (11/20) | 0.60 (12/20) | 0.80 (16/20) | 0.96 (19/20) |
| Specificity | 0.63 (19/30) | 0.77 (23/30) | 0.63 (19/30) | 0.87 (26/30) |
Disclaimer/Publisher’s Note: The statements, opinions and data contained in all publications are solely those of the individual author(s) and contributor(s) and not of MDPI and/or the editor(s). MDPI and/or the editor(s) disclaim responsibility for any injury to people or property resulting from any ideas, methods, instructions or products referred to in the content. |
© 2023 by the authors. Licensee MDPI, Basel, Switzerland. This article is an open access article distributed under the terms and conditions of the Creative Commons Attribution (CC BY) license (https://creativecommons.org/licenses/by/4.0/).
Share and Cite
Foreman, S.C.; Llorián-Salvador, O.; David, D.E.; Rösner, V.K.N.; Rischewski, J.F.; Feuerriegel, G.C.; Kramp, D.W.; Luiken, I.; Lohse, A.-K.; Kiefer, J.; et al. Development and Evaluation of MR-Based Radiogenomic Models to Differentiate Atypical Lipomatous Tumors from Lipomas. Cancers 2023, 15, 2150. https://doi.org/10.3390/cancers15072150
Foreman SC, Llorián-Salvador O, David DE, Rösner VKN, Rischewski JF, Feuerriegel GC, Kramp DW, Luiken I, Lohse A-K, Kiefer J, et al. Development and Evaluation of MR-Based Radiogenomic Models to Differentiate Atypical Lipomatous Tumors from Lipomas. Cancers. 2023; 15(7):2150. https://doi.org/10.3390/cancers15072150
Chicago/Turabian StyleForeman, Sarah C., Oscar Llorián-Salvador, Diana E. David, Verena K. N. Rösner, Jon F. Rischewski, Georg C. Feuerriegel, Daniel W. Kramp, Ina Luiken, Ann-Kathrin Lohse, Jurij Kiefer, and et al. 2023. "Development and Evaluation of MR-Based Radiogenomic Models to Differentiate Atypical Lipomatous Tumors from Lipomas" Cancers 15, no. 7: 2150. https://doi.org/10.3390/cancers15072150
APA StyleForeman, S. C., Llorián-Salvador, O., David, D. E., Rösner, V. K. N., Rischewski, J. F., Feuerriegel, G. C., Kramp, D. W., Luiken, I., Lohse, A.-K., Kiefer, J., Mogler, C., Knebel, C., Jung, M., Andrade-Navarro, M. A., Rost, B., Combs, S. E., Makowski, M. R., Woertler, K., Peeken, J. C., & Gersing, A. S. (2023). Development and Evaluation of MR-Based Radiogenomic Models to Differentiate Atypical Lipomatous Tumors from Lipomas. Cancers, 15(7), 2150. https://doi.org/10.3390/cancers15072150

