Analysis of the Clinicopathological Characteristics, Prognosis, and Lymphocyte Infiltration of Esophageal Neuroendocrine Neoplasms: A Surgery-Based Cohort and Propensity-Score Matching Study
Abstract
Simple Summary
Abstract
1. Introduction
2. Methods
2.1. Study Cohort
2.2. Preoperative Examination
2.3. Surgery and Perioperative Treatments
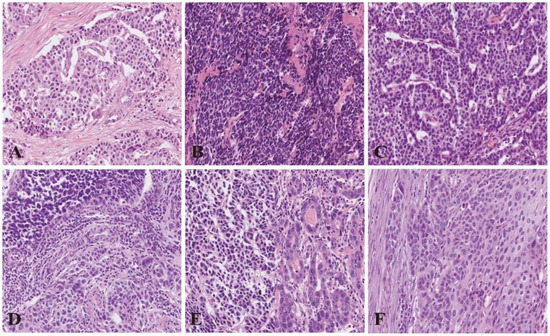
2.4. Diagnosis and Classification
2.5. Outcome Follow-Up
2.6. Assessment of Tumor-Infiltrating Lymphocytes (TILs)
2.7. Statistical Analysis
3. Results
3.1. Overall Cohort Characteristics
3.2. Pathological Outcomes
3.3. Composition of Neuroendocrine Neoplasms
3.4. Survival Analysis
3.5. Lymphocyte Infiltration
4. Discussion
5. Conclusions
Supplementary Materials
Author Contributions
Funding
Institutional Review Board Statement
Informed Consent Statement
Data Availability Statement
Acknowledgments
Conflicts of Interest
References
- Sung, H.; Ferlay, J.; Siegel, R.L.; Laversanne, M.; Soerjomataram, I.; Jemal, A.; Bray, F. Global Cancer Statistics 2020: GLOBOCAN Estimates of Incidence and Mortality Worldwide for 36 Cancers in 185 Countries. CA Cancer J. Clin. 2021, 71, 209–249. [Google Scholar] [CrossRef] [PubMed]
- Yao, J.C.; Hassan, M.; Phan, A.; Dagohoy, C.; Leary, C.; Mares, J.E.; Abdalla, E.K.; Fleming, J.B.; Vauthey, J.N.; Rashid, A.; et al. One hundred years after “carcinoid”: Epidemiology of and prognostic factors for neuroendocrine tumors in 35,825 cases in the United States. J. Clin. Oncol. 2008, 26, 3063–3072. [Google Scholar] [CrossRef] [PubMed]
- Tustumi, F.; Takeda, F.R.; Uema, R.H.; Pereira, G.L.; Sallum, R.A.; Cecconello, I. Primary neuroendocrine neoplasm of the esophagus—Report of 14 cases from a single institute and review of the literature. Arq. Gastroenterol. 2017, 54, 4–10. [Google Scholar] [CrossRef]
- Sohda, M.; Saeki, H.; Kuwano, H.; Miyazaki, T.; Yokobori, T.; Sano, A.; Sakai, M.; Kakeji, Y.; Toh, Y.; Doki, Y.; et al. Diagnostic Immunostaining and Tumor Markers Predict the Prognosis of Esophageal Neuroendocrine Cell Carcinoma Patients. Ann. Surg. Oncol. 2021, 28, 7983–7989. [Google Scholar] [CrossRef] [PubMed]
- Dasari, A.; Shen, C.; Halperin, D.; Zhao, B.; Zhou, S.; Xu, Y.; Shih, T.; Yao, J.C. Trends in the Incidence, Prevalence, and Survival Outcomes in Patients with Neuroendocrine Tumors in the United States. JAMA Oncol. 2017, 3, 1335–1342. [Google Scholar] [CrossRef]
- Shapiro, J.; van Lanschot, J.J.B.; Hulshof, M.; van Hagen, P.; van Berge Henegouwen, M.I.; Wijnhoven, B.P.L.; van Laarhoven, H.W.M.; Nieuwenhuijzen, G.A.P.; Hospers, G.A.P.; Bonenkamp, J.J.; et al. Neoadjuvant chemoradiotherapy plus surgery versus surgery alone for oesophageal or junctional cancer (CROSS): Long-term results of a randomised controlled trial. Lancet Oncol. 2015, 16, 1090–1098. [Google Scholar] [CrossRef]
- Yang, H.; Liu, H.; Chen, Y.; Zhu, C.; Fang, W.; Yu, Z.; Mao, W.; Xiang, J.; Han, Y.; Chen, Z.; et al. Long-term Efficacy of Neoadjuvant Chemoradiotherapy Plus Surgery for the Treatment of Locally Advanced Esophageal Squamous Cell Carcinoma: The NEOCRTEC5010 Randomized Clinical Trial. JAMA Surg. 2021, 156, 721–729. [Google Scholar] [CrossRef]
- Ma, Z.; Cai, H.; Cui, Y. Progress in the treatment of esophageal neuroendocrine carcinoma. Tumour. Biol. 2017, 39. [Google Scholar] [CrossRef]
- Situ, D.; Lin, Y.; Long, H.; Zhang, L.; Lin, P.; Zheng, Y.; Jiang, L.; Tan, Z.; Meng, Y.; Ma, G. Surgical treatment for limited-stage primary small cell cancer of the esophagus. Ann. Thorac. Surg. 2013, 95, 1057–1062. [Google Scholar] [CrossRef]
- Sohda, M.; Kuwano, H.; Saeki, H.; Miyazaki, T.; Sakai, M.; Kakeji, Y.; Toh, Y.; Doki, Y.; Matsubara, H. Nationwide survey of neuroendocrine carcinoma of the esophagus: A multicenter study conducted among institutions accredited by the Japan Esophageal Society. J. Gastroenterol. 2021, 56, 350–359. [Google Scholar] [CrossRef]
- Yang, Y.; Liu, Z.; Sun, Y.; Guo, X.; Li, B.; Hua, R.; Yang, Y.; Mao, T.; Zhang, H.; Su, Y.; et al. Clinical characteristics and survival of esophageal cancer patients: Annual report of the surgical treatment in Shanghai Chest Hospital, 2016. J. Thorac. Dis. 2022, 14, 4966–4982. [Google Scholar] [CrossRef] [PubMed]
- NCCN. Guidelines for Esophageal and Esophagogastric Junction Cancers. Available online: https://www.nccn.org/professionals/physician_gls/pdf/esophageal.pdf (accessed on 5 December 2022).
- Nagtegaal, I.D.; Odze, R.D.; Klimstra, D.; Paradis, V.; Rugge, M.; Schirmacher, P.; Washington, K.M.; Carneiro, F.; Cree, I.A. The 2019 WHO classification of tumours of the digestive system. Histopathology 2020, 76, 182–188. [Google Scholar] [CrossRef] [PubMed]
- Xu, L.; Li, Y.; Liu, X.; Sun, H.; Zhang, R.; Zhang, J.; Zheng, Y.; Wang, Z.; Liu, S.; Chen, X. Treatment Strategies and Prognostic Factors of Limited-Stage Primary Small Cell Carcinoma of the Esophagus. J. Thorac. Oncol. 2017, 12, 1834–1844. [Google Scholar] [CrossRef]
- Liu, S.; Ge, X.; Gao, Z.; Zhou, Q.; Shi, Y.; Jiang, W.; Yang, M.; Sun, X. Clinicopathological analysis of 67 cases of esophageal neuroendocrine carcinoma and the effect of postoperative adjuvant therapy on prognosis. Medicine 2021, 100, e27302. [Google Scholar] [CrossRef]
- Mitani, M.; Kuwabara, Y.; Shinoda, N.; Sato, A.; Fujii, Y. Long-term survivors after the resection of limited esophageal small cell carcinoma. Dis. Esophagus 2000, 13, 259–261. [Google Scholar] [CrossRef] [PubMed]
- Casas, F.; Ferrer, F.; Farrús, B.; Casals, J.; Biete, A. Primary small cell carcinoma of the esophagus: A review of the literature with emphasis on therapy and prognosis. Cancer 1997, 80, 1366–1372. [Google Scholar] [CrossRef]
- Mastracci, L.; Rindi, G.; Grillo, F.; Solcia, E.; Campora, M.; Fassan, M.; Parente, P.; Vanoli, A.; La Rosa, S. Neuroendocrine neoplasms of the esophagus and stomach. Pathologica 2021, 113, 5–11. [Google Scholar] [CrossRef] [PubMed]
- Wu, I.C.; Chu, Y.Y.; Wang, Y.K.; Tsai, C.L.; Lin, J.C.; Kuo, C.H.; Shih, H.Y.; Chung, C.S.; Hu, M.L.; Sun, W.C.; et al. Clinicopathological features and outcome of esophageal neuroendocrine tumor: A retrospective multicenter survey by the digestive endoscopy society of Taiwan. J. Formos Med. Assoc. 2021, 120, 508–514. [Google Scholar] [CrossRef]
- Maru, D.M.; Khurana, H.; Rashid, A.; Correa, A.M.; Anandasabapathy, S.; Krishnan, S.; Komaki, R.; Ajani, J.A.; Swisher, S.G.; Hofstetter, W.L. Retrospective study of clinicopathologic features and prognosis of high-grade neuroendocrine carcinoma of the esophagus. Am. J. Surg. Pathol. 2008, 32, 1404–1411. [Google Scholar] [CrossRef]
- Partelli, S.; Bartsch, D.K.; Capdevila, J.; Chen, J.; Knigge, U.; Niederle, B.; Nieveen van Dijkum, E.J.M.; Pape, U.F.; Pascher, A.; Ramage, J.; et al. ENETS Consensus Guidelines for Standard of Care in Neuroendocrine Tumours: Surgery for Small Intestinal and Pancreatic Neuroendocrine Tumours. Neuroendocrinology 2017, 105, 255–265. [Google Scholar] [CrossRef]
- NCCN. Guidelines for Neuroendocrine and Adrenal Tumors. Available online: https://www.nccn.org/professionals/physician_gls/pdf/neuroendocrine.pdf (accessed on 21 December 2022).
- Li, Z.; Hu, J.; Chen, P.; Zeng, Z. Incidence, treatment, and survival analysis in esophageal neuroendocrine carcinoma population. Transl. Cancer Res. 2020, 9, 4317–4329. [Google Scholar] [CrossRef] [PubMed]
- Yang, L.; Sun, X.; Zou, Y.; Meng, X. Small cell type neuroendocrine carcinoma colliding with squamous cell carcinoma at esophagus. Int. J. Clin. Exp. Pathol. 2014, 7, 1792–1795. [Google Scholar] [PubMed]
- Meng, M.B.; Zaorsky, N.G.; Jiang, C.; Tian, L.J.; Wang, H.H.; Liu, C.L.; Wang, J.; Tao, Z.; Sun, Y.; Wang, J.; et al. Radiotherapy and chemotherapy are associated with improved outcomes over surgery and chemotherapy in the management of limited-stage small cell esophageal carcinoma. Radiother. Oncol. 2013, 106, 317–322. [Google Scholar] [CrossRef] [PubMed]
- Öberg, K.E. Gastrointestinal neuroendocrine tumors. Ann. Oncol. 2010, 21, vii72–vii80. [Google Scholar] [CrossRef] [PubMed]
- Öberg, K. Medical Therapy of Gastrointestinal Neuroendocrine Tumors. Visc. Med. 2017, 33, 352–356. [Google Scholar] [CrossRef] [PubMed]
- Schreiber, R.D.; Old, L.J.; Smyth, M.J. Cancer immunoediting: Integrating immunity’s roles in cancer suppression and promotion. Science 2011, 331, 1565–1570. [Google Scholar] [CrossRef]
- Zhu, Y.; Li, M.; Bo, C.; Liu, X.; Zhang, J.; Li, Z.; Zhao, F.; Kong, L.; Yu, J. Prognostic significance of the lymphocyte-to-monocyte ratio and the tumor-infiltrating lymphocyte to tumor-associated macrophage ratio in patients with stage T3N0M0 esophageal squamous cell carcinoma. Cancer Immunol. Immunother. 2017, 66, 343–354. [Google Scholar] [CrossRef]
- Gao, Y.; Guo, W.; Geng, X.; Zhang, Y.; Zhang, G.; Qiu, B.; Tan, F.; Xue, Q.; Gao, S.; He, J. Prognostic value of tumor-infiltrating lymphocytes in esophageal cancer: An updated meta-analysis of 30 studies with 5122 patients. Ann. Transl. Med. 2020, 8, 822. [Google Scholar] [CrossRef]
- Kim, H.J.; Cantor, H. CD4 T-cell subsets and tumor immunity: The helpful and the not-so-helpful. Cancer Immunol. Res. 2014, 2, 91–98. [Google Scholar] [CrossRef]
- West, N.R.; Kost, S.E.; Martin, S.D.; Milne, K.; Deleeuw, R.J.; Nelson, B.H.; Watson, P.H. Tumour-infiltrating FOXP3(+) lymphocytes are associated with cytotoxic immune responses and good clinical outcome in oestrogen receptor-negative breast cancer. Br. J. Cancer 2013, 108, 155–162. [Google Scholar] [CrossRef]
- Chen, L.J.; Sun, J.; Wu, H.Y.; Zhou, S.M.; Tan, Y.; Tan, M.; Shan, B.E.; Lu, B.F.; Zhang, X.G. B7-H4 expression associates with cancer progression and predicts patient’s survival in human esophageal squamous cell carcinoma. Cancer Immunol. Immunother. 2011, 60, 1047–1055. [Google Scholar] [CrossRef] [PubMed]
- Ahrends, T.; Borst, J. The opposing roles of CD4(+) T cells in anti-tumour immunity. Immunology 2018, 154, 582–592. [Google Scholar] [CrossRef] [PubMed]
- Chen, D.S.; Mellman, I. Oncology meets immunology: The cancer-immunity cycle. Immunity 2013, 39, 1–10. [Google Scholar] [CrossRef]
- Tumeh, P.C.; Harview, C.L.; Yearley, J.H.; Shintaku, I.P.; Taylor, E.J.; Robert, L.; Chmielowski, B.; Spasic, M.; Henry, G.; Ciobanu, V.; et al. PD-1 blockade induces responses by inhibiting adaptive immune resistance. Nature 2014, 515, 568–571. [Google Scholar] [CrossRef] [PubMed]
- Intlekofer, A.M.; Thompson, C.B. At the bench: Preclinical rationale for CTLA-4 and PD-1 blockade as cancer immunotherapy. J. Leukoc. Biol. 2013, 94, 25–39. [Google Scholar] [CrossRef] [PubMed]
- Vandeven, N.; Lewis, C.W.; Makarov, V.; Riaz, N.; Paulson, K.G.; Hippe, D.; Bestick, A.; Doumani, R.; Marx, T.; Takagishi, S.; et al. Merkel Cell Carcinoma Patients Presenting Without a Primary Lesion Have Elevated Markers of Immunity, Higher Tumor Mutation Burden, and Improved Survival. Clin. Cancer Res. 2018, 24, 963–971. [Google Scholar] [CrossRef]
- Uchi, H. Merkel Cell Carcinoma: An Update and Immunotherapy. Front. Oncol. 2018, 8, 48. [Google Scholar] [CrossRef]
- Picard, E.; Verschoor, C.P.; Ma, G.W.; Pawelec, G. Relationships Between Immune Landscapes, Genetic Subtypes and Responses to Immunotherapy in Colorectal Cancer. Front. Immunol. 2020, 11, 369. [Google Scholar] [CrossRef]
- Petitprez, F.; Meylan, M.; de Reyniès, A.; Sautès-Fridman, C.; Fridman, W.H. The Tumor Microenvironment in the Response to Immune Checkpoint Blockade Therapies. Front. Immunol. 2020, 11, 784. [Google Scholar] [CrossRef]
- Albertelli, M.; Dotto, A.; Nista, F.; Veresani, A.; Patti, L.; Gay, S.; Sciallero, S.; Boschetti, M.; Ferone, D. Present and future of immunotherapy in Neuroendocrine Tumors. Rev. Endocr. Metab. Disord. 2021, 22, 615–636. [Google Scholar] [CrossRef]
- Rizvi, H.; Sanchez-Vega, F.; La, K.; Chatila, W.; Jonsson, P.; Halpenny, D.; Plodkowski, A.; Long, N.; Sauter, J.L.; Rekhtman, N.; et al. Molecular Determinants of Response to Anti-Programmed Cell Death (PD)-1 and Anti-Programmed Death-Ligand 1 (PD-L1) Blockade in Patients With Non-Small-Cell Lung Cancer Profiled With Targeted Next-Generation Sequencing. J. Clin. Oncol. 2018, 36, 633–641. [Google Scholar] [CrossRef] [PubMed]








| Baseline Characteristics | ESCC | E-NENs | p-Value |
|---|---|---|---|
| 3513 (n (%)) | 107 (n (%)) | ||
| Sex | 0.116 | ||
| Male | 2928 (83.3%) | 83 (77.6%) | |
| Female | 585 (16.7%) | 24 (22.4%) | |
| Age (years, median = 64) | 0.001 | ||
| ≥64 | 1813 (51.6%) | 72 (67.3%) | |
| <64 | 1700 (48.4%) | 35 (32.7%) | |
| Smoker | 0.873 | ||
| No | 1483 (42.2%) | 46 (43.0%) | |
| Yes | 2030 (57.8%) | 61 (57.0%) | |
| Drinking | 0.658 | ||
| No | 1652 (47.0%) | 48 (44.9%) | |
| Yes | 1861 (53%) | 59 (55.1%) | |
| BMI (kg/m2, median (IQR)) | 22.8 (20.7–24.8) | 23.2 (21.2–25.9) | 0.126 |
| Lesion size (cm, median = 3.5) | 0.487 | ||
| <3.5 | 1686 (48.0%) | 55 (51.4%) | |
| ≥3.5 | 1827 (52.0%) | 52 (48.6%) | |
| Tumor location | 0.018 | ||
| Upper | 456 (13.0%) | 7 (6.5%) | |
| Middle | 1860 (52.9%) | 51 (47.7%) | |
| Lower | 1197 (34.1%) | 49 (45.8%) | |
| T status * | <0.001 | ||
| T0 + T1 + T2 | 1579 (44.9%) | 68 (63.6%) | |
| T3 + T4 | 1934 (55.1%) | 39 (36.4%) | |
| N status * | <0.001 | ||
| N0 | 1864 (53.1%) | 39 (36.5%) | |
| N1 | 962 (27.4%) | 29 (27.1%) | |
| N2 | 519 (14.8%) | 27 (25.2%) | |
| N3 | 168 (4.7%) | 12 (11.2%) | |
| Tumor stage * | 0.011 | ||
| I | 749 (21.3%) | 22 (20.6%) | |
| II | 1221 (34.8%) | 29 (27.1%) | |
| III | 1340 (38.1%) | 42 (39.2%) | |
| Iva | 203 (5.8%) | 14 (13.1%) | |
| Tumor differentiation | 0.003 | ||
| Well | 432 (12.3%) | 3 (2.8%) | |
| Moderately/poorly | 3081 (87.7%) | 104 (97.2%) | |
| LVI | <0.001 | ||
| Negative | 3012 (85.7%) | 78 (72.9%) | |
| Positive | 501 (14.3%) | 29 (27.1%) | |
| PNI | 0.956 | ||
| Negative | 3146 (89.6%) | 96 (89.7%) | |
| Positive | 367 (10.4%) | 11 (10.3%) | |
| Neoadjuvant therapy | 0.006 | ||
| No | 3023 (86.1%) | 102 (95.3%) | |
| Yes | 490 (13.9%) | 5 (4.7%) | |
| Adjuvant therapy | <0.001 | ||
| No | 1814 (51.6%) | 35 (32.7%) | |
| Yes | 1699 (48.4%) | 72 (67.3%) |
| Characteristics | Before Matching | After Matching | ||||
|---|---|---|---|---|---|---|
| ESCC | E-NECs | p-Value | ESCC | E-NECs | p-Value | |
| 3513 (No. [%)]) | 104 (No. [%]) | 103 (No. [%]) | 103 (No. [%]) | |||
| Sex | 0.142 | 0.866 | ||||
| Male | 2928 (83.3%) | 81 (77.9%) | 81 (78.6%) | 80 (77.9%) | ||
| Female | 585 (16.7%) | 23 (22.1%) | 22 (21.4%) | 23 (22.1%) | ||
| Age (years, median (IQR)) | 63 (58–68) | 66 (61–71) | 0.003 | 65 (61–70) | 66 (61–71) | 0.988 |
| Smoking | 0.830 | 0.888 | ||||
| No | 1483 (42.2%) | 45 (43.3%) | 46 (44.7%) | 45 (43.7%) | ||
| Yes | 2030 (57.8%) | 59 (56.7%) | 57 (55.3%) | 58 (56.3%) | ||
| Drinking | 0.712 | 0.210 | ||||
| No | 1652 (47.0%) | 47 (45.2%) | 56 (54.4%) | 47 (45.6%) | ||
| Yes | 1861 (53%) | 57 (54.8%) | 47 (45.6%) | 56 (54.4%) | ||
| BMI (kg/m2, median (IQR)) | 22.8 (20.7–24.8) | 22.8 (21.2–25.2) | 0.185 | 23.6 (21.4–25.7) | 23.2 (21.2–25.3) | 0.436 |
| Lesion size (cm, median (IQR)) | 3.5 (2.5–4.5) | 3.3 (2.0–5.0) | 0.604 | 3.5 (2.7–4.5) | 3.3 (2.0–5.0) | 0.423 |
| Location | 0.028 | 0.959 | ||||
| Upper | 456 (13.0%) | 7 (6.7%) | 7 (6.8%) | 7 (6.8%) | ||
| Middle | 1860 (52.9%) | 50 (48.1%) | 52 (50.5%) | 50 (48.5%) | ||
| Lower | 1197 (34.1%) | 47 (45.2%) | 44 (42.7%) | 46(44.7%) | ||
| T status * | <0.001 | 0.774 | ||||
| T0 + T1 + T2 | 1579 (44.9%) | 66 (63.5%) | 63 (61.2%) | 65 (63.1%) | ||
| T3 + T4 | 1934 (55.1%) | 38 (36.5%) | 40 (38.8%) | 38 (36.9%) | ||
| N status * | <0.001 | 0.815 | ||||
| N0 | 1864 (53.1%) | 38 (36.6%) | 38 (36.9%) | 38 (36.9%) | ||
| N1 | 962 (27.4%) | 28 (26.9%) | 23 (22.3%) | 28 (27.2%) | ||
| N2 | 519 (14.8%) | 26 (25.0%) | 30 (29.1%) | 25 (24.3%) | ||
| N3 | 168 (4.7%) | 12 (11.5%) | 12 (11.7%) | 12 (11.6%) | ||
| Tumor stage * | 0.008 | 0.365 | ||||
| I | 749 (21.3%) | 21 (20.2%) | 12 (11.7%) | 21 (20.4%) | ||
| II | 1221 (34.8%) | 28 (26.9%) | 34 (33.0%) | 28 (27.2%) | ||
| III | 1340 (38.1%) | 41 (39.4%) | 41 (39.8%) | 40 (38.8%) | ||
| IVa | 203 (5.8%) | 14 (13.5%) | 16 (15.5%) | 14 (13.6%) | ||
| Tumor Differentiation | <0.001 | 1 | ||||
| Well | 432 (12.3%) | 0 (0%) | 0 (0%) | 0 (0%) | ||
| Moderately/poorly | 3081 (87.7%) | 104 (100%) | 103 (100%) | 103 (100%) | ||
| LVI | 0.001 | 0.745 | ||||
| Negative | 3012 (85.7%) | 77 (74.0%) | 79 (76.7%) | 77 (74.0%) | ||
| Positive | 501 (14.3%) | 27 (26.0%) | 24 (23.3%) | 26 (26.0%) | ||
| PNI | 0.784 | 0.298 | ||||
| Negative | 3146 (89.6%) | 94 (90.4%) | 97 (94.2%) | 93 (90.4%) | ||
| Positive | 367 (10.4%) | 10 (9.6%) | 6 (5.8%) | 10 (9.6%) | ||
| Neoadjuvant therapy | 0.008 | 1 | ||||
| No | 3023 (86.1%) | 99 (95.2%) | 98 (5.2%) | 98 (95.2%) | ||
| Yes | 490 (13.9%) | 5 (4.8%) | 5 (4.8%) | 5 (4.8%) | ||
| Adjuvant therapy | <0.001 | 0.653 | ||||
| No | 1814 (51.6%) | 34 (32.7%) | 31 (30.0%) | 34 (32.7%) | ||
| Yes | 1699 (48.4%) | 70 (67.3%) | 72 (70.0%) | 69 (67.3%) | ||
| Survival Status | Before Matching | After Matching | ||||||||||
|---|---|---|---|---|---|---|---|---|---|---|---|---|
| Univariate Analysis | Multivariate Analysis | Univariate Analysis | Multivariate Analysis | |||||||||
| OS | HR | 95%CI | p-Value | HR | 95%CI | p-Value | HR | 95%CI | p-Value | HR | 95%CI | p-Value |
| E-NECs vs. ESCC | 1.995 | 1.536–2.591 | <0.001 | 1.897 | 1.453–2.477 | <0.001 | 1.877 | 1.253–2.810 | 0.002 | 2.008 | 1.338–3.013 | 0.001 |
| RFS | ||||||||||||
| E-NECs vs. ESCC | 2.257 | 1.768–2.881 | <0.001 | 2.105 | 1.640–2.702 | <0.001 | 1.929 | 1.321–2.817 | 0.001 | 2.109 | 1.435–3.099 | <0.001 |
Disclaimer/Publisher’s Note: The statements, opinions and data contained in all publications are solely those of the individual author(s) and contributor(s) and not of MDPI and/or the editor(s). MDPI and/or the editor(s) disclaim responsibility for any injury to people or property resulting from any ideas, methods, instructions or products referred to in the content. |
© 2023 by the authors. Licensee MDPI, Basel, Switzerland. This article is an open access article distributed under the terms and conditions of the Creative Commons Attribution (CC BY) license (https://creativecommons.org/licenses/by/4.0/).
Share and Cite
Zhang, L.; Yu, B.; Liu, Z.; Wei, J.; Pan, J.; Jiang, C.; Li, Z. Analysis of the Clinicopathological Characteristics, Prognosis, and Lymphocyte Infiltration of Esophageal Neuroendocrine Neoplasms: A Surgery-Based Cohort and Propensity-Score Matching Study. Cancers 2023, 15, 1732. https://doi.org/10.3390/cancers15061732
Zhang L, Yu B, Liu Z, Wei J, Pan J, Jiang C, Li Z. Analysis of the Clinicopathological Characteristics, Prognosis, and Lymphocyte Infiltration of Esophageal Neuroendocrine Neoplasms: A Surgery-Based Cohort and Propensity-Score Matching Study. Cancers. 2023; 15(6):1732. https://doi.org/10.3390/cancers15061732
Chicago/Turabian StyleZhang, Long, Boyao Yu, Zhichao Liu, Jinzhi Wei, Jie Pan, Chao Jiang, and Zhigang Li. 2023. "Analysis of the Clinicopathological Characteristics, Prognosis, and Lymphocyte Infiltration of Esophageal Neuroendocrine Neoplasms: A Surgery-Based Cohort and Propensity-Score Matching Study" Cancers 15, no. 6: 1732. https://doi.org/10.3390/cancers15061732
APA StyleZhang, L., Yu, B., Liu, Z., Wei, J., Pan, J., Jiang, C., & Li, Z. (2023). Analysis of the Clinicopathological Characteristics, Prognosis, and Lymphocyte Infiltration of Esophageal Neuroendocrine Neoplasms: A Surgery-Based Cohort and Propensity-Score Matching Study. Cancers, 15(6), 1732. https://doi.org/10.3390/cancers15061732

