Tumor-Stroma Ratio in Basaloid and Conventional Laryngeal Squamous Cell Carcinoma: Prognostic Significance and Concordance in Paired Biopsies and Surgical Samples
Abstract
Simple Summary
Abstract
1. Introduction
2. Materials and Methods
2.1. Patients
2.2. Histopathological Investigations
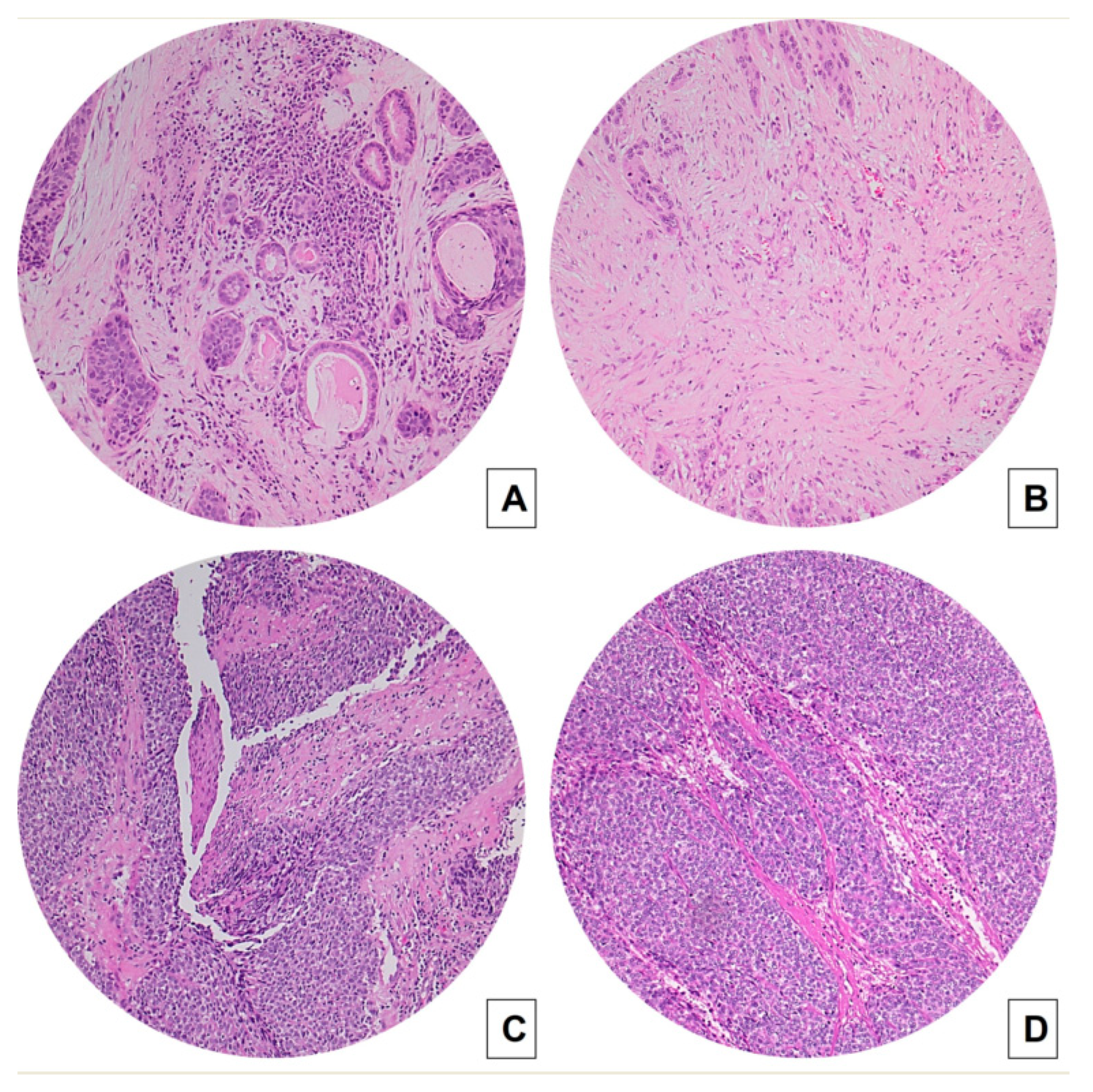
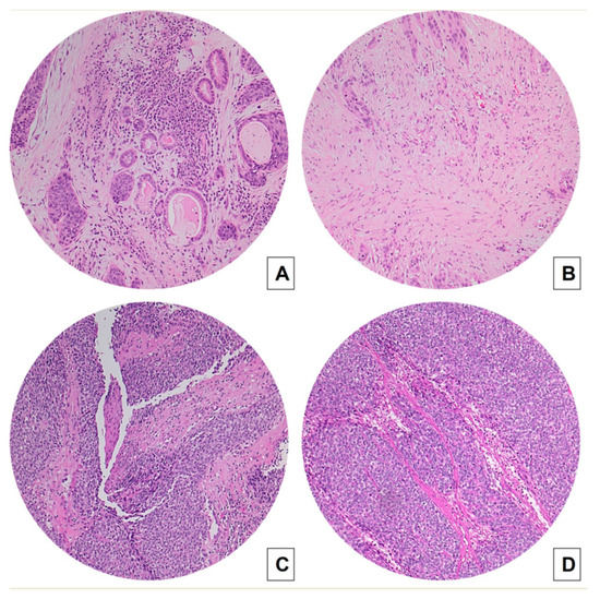
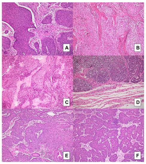
2.2.1. TSR Assessment
2.2.2. Tumor Budding Assessment
2.2.3. Other Histopathological Variables Evaluated
2.3. Statistical Analysis
3. Results
3.1. Patients’ Demographic and Clinical Characteristics
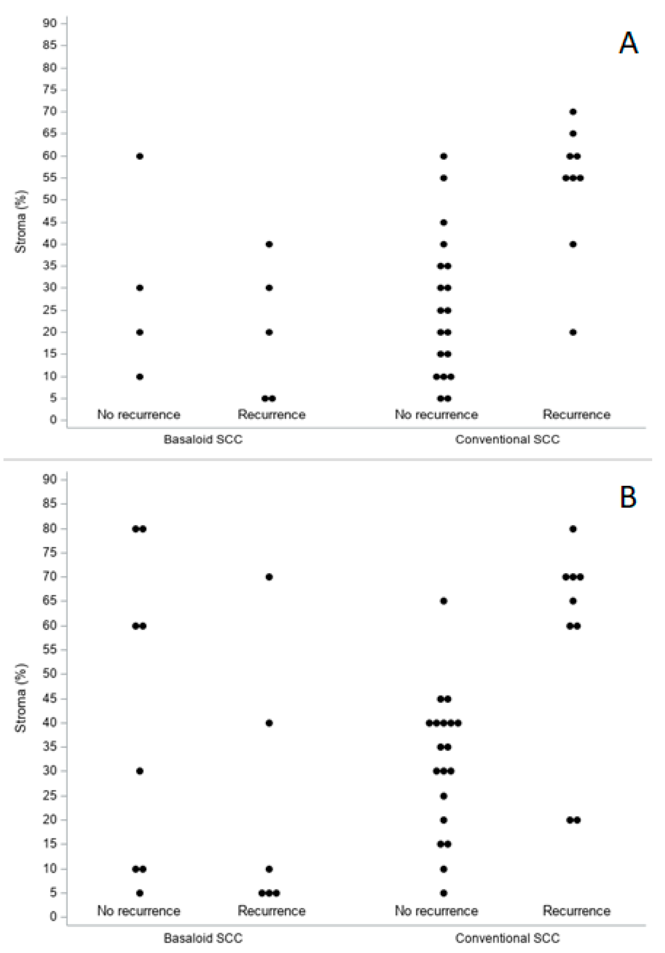
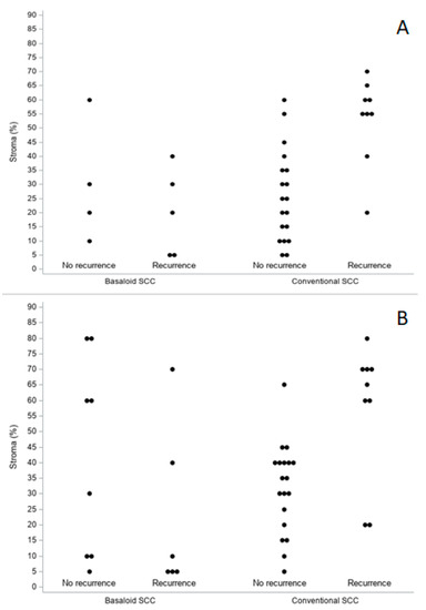
3.2. Concordance between Pathological Variables Measured on Biopsies and on Surgical Specimens in Conventional SCCs and BSCCs
3.3. Clinical and Histopathological Parameters with a Prognostic Value in Patients with Laryngeal Basaloid and Conventional SCCs
4. Discussion
5. Conclusions
Author Contributions
Funding
Institutional Review Board Statement
Informed Consent Statement
Data Availability Statement
Acknowledgments
Conflicts of Interest
References
- Zidar, N.; Gale, N. Update from the 5th Edition of the World Health Organization Classification of Head and Neck Tumors: Hypopharynx, larynx, trachea and parapharyngeal space. Head Neck Pathol. 2022, 16, 31–39. [Google Scholar] [CrossRef]
- Wain, S.L.; Kier, R.; Vollmer, R.T.; Bossen, E.H. Basaloid-squamous carcinoma of the tongue, hypopharynx, and larynx: Report of 10 cases. Hum. Pathol. 1986, 17, 1158–1166. [Google Scholar] [CrossRef] [PubMed]
- World Health Organization. Histological Typing of Tumours of the Upper Respiratory Tract and Ear; Springer-Verlag: Berlin, Germany, 1991. [Google Scholar]
- Fritsch, V.A.; Lentsch, E.J. Basaloid squamous cell carcinoma of the head and neck: Location means everything. J. Surg. Oncol. 2014, 109, 616–622. [Google Scholar] [CrossRef] [PubMed]
- Linton, O.R.; Moore, M.G.; Brigance, J.S.; Gordon, C.A.; Summerlin, D.J.; McDonald, M.W. Prognostic significance of basaloid squamous cell carcinoma in head and neck cancer. JAMA Otolaryngol. Head Neck Surg. 2013, 139, 1306–1311. [Google Scholar] [CrossRef] [PubMed]
- Pietras, K.; Ostman, A. Hallmarks of cancer: Interactions with the tumor stroma. Exp. Cell Res. 2010, 316, 1324–1331. [Google Scholar] [CrossRef] [PubMed]
- Wu, J.; Liang, C.; Chen, M.; Su, W. Association between tumor-stroma ratio and prognosis in solid tumor patients: A systematic review and meta-analysis. Oncotarget 2016, 7, 68954–68965. [Google Scholar] [CrossRef]
- van Pelt, G.W.; Kjær-Frifeldt, S.; van Krieken, J.H.J.M.; Al Dieri, R.; Morreau, H.; Tollenaar, R.A.E.M.; Sørensen, F.B.; Mesker, W.E. Scoring the tumor-stroma ratio in colon cancer: Procedure and recommendations. Virchows Arch. 2018, 473, 405–412. [Google Scholar] [CrossRef]
- Almangush, A.; Salo, T.; Hagström, J.; Leivo, I. Tumour budding in head and neck squamous cell carcinoma—A systematic review. Histopathology 2014, 65, 587–594. [Google Scholar] [CrossRef]
- Alessandrini, L.; Franz, L.; Sbaraglia, M.; Saccardo, T.; Cappello, F.; Drigo, A.; Frigo, A.C.; Marioni, G. Tumor-Stroma Ratio and Programmed Cell Death Ligand 1 Expression in Preoperative Biopsy and Matched Laryngeal Carcinoma Surgical Specimen. Int. J. Mol. Sci. 2022, 23, 8053. [Google Scholar] [CrossRef]
- Almangush, A.; Alabi, R.O.; Troiano, G.; Coletta, R.D.; Salo, T.; Pirinen, M.; Mäkitie, A.A.; Leivo, I. Clinical significance of tumor-stroma ratio in head and neck cancer: A systematic review and meta-analysis. BMC Cancer 2021, 21, 480. [Google Scholar] [CrossRef]
- Alessandrini, L.; Ferrari, M.; Taboni, S.; Sbaraglia, M.; Franz, L.; Saccardo, T.; Del Forno, B.M.; Agugiaro, F.; Frigo, A.C.; Dei Tos, A.P.; et al. Tumor-stroma ratio, neoangiogenesis and prognosis in laryngeal carcinoma. A pilot study on preoperative biopsies and matched surgical specimens. Oral. Oncol. 2022, 132, 105982. [Google Scholar] [CrossRef] [PubMed]
- Karpathiou, G.; Vieville, M.; Gavid, M.; Camy, F.; Dumollard, J.M.; Magné, N.; Froudarakis, M.; Prades, J.M.; Peoc’, H.M. Prognostic significance of tumor budding, tumor-stroma ratio, cell nests size, and stroma type in laryngeal and pharyngeal squamous cell carcinomas. Head Neck 2019, 41, 1918–1927. [Google Scholar] [CrossRef] [PubMed]
- Zhang, H.; Sheng, X.; Zhang, S.; Gu, X. The prognostic value of tumor budding in laryngeal squamous cell carcinoma. Transl. Cancer Res. 2020, 9, 119–127. [Google Scholar] [CrossRef] [PubMed]
- Lugli, A.; Kirsch, R.; Ajioka, Y.; Bosman, F.; Cathomas, G.; Dawson, H.; El Zimaity, H.; Fléjou, J.-F.; Hansen, T.P.; Hartmann, A. Recommendations for reporting tumor budding in colorectal cancer based on the International Tumor Budding Consensus Conference (ITBCC) 2016. Mod. Pathol. 2017, 30, 1299–1331. [Google Scholar] [CrossRef]
- Wan, S.K.; Chan, J.K.; Lau, W.H.; Yip, T.T. Basaloid-squamous carcinoma of the nasopharynx. An Epstein-Barr virus-associated neoplasm compared with morphologically identical tumors occurring in other sites. Cancer 1995, 76, 1689–1693. [Google Scholar] [CrossRef] [PubMed]
- Poetsch, M.; Lorenz, G.; Bankau, A.; Kleist, B. Basaloid in contrast to nonbasaloid head and neck squamous cell carcinomas display aberrations especially in cell cycle control genes. Head Neck 2003, 25, 904–910. [Google Scholar] [CrossRef]
- Kleist, B.; Bankau, A.; Lorenz, G.; Jäger, B.; Poetsch, M. Different risk factors in basaloid and common squamous head and neck cancer. Laryngoscope 2004, 114, 1063–1068. [Google Scholar] [CrossRef]
- Marioni, G.; Gaio, E.; Giacomelli, L.; Marchese-Ragona, R.; Staffieri, C.; Staffieri, A.; Marino, F. Endoglin (CD105) expression in head and neck basaloid squamous cell carcinoma. Acta Otolaryngol. 2005, 125, 307–311. [Google Scholar] [CrossRef]
- Marioni, G.; Ottaviano, G.; Marchese-Ragona, R.; Giacomelli, L.; Bertolin, A.; Zanon, D.; Marino, F.; Staffieri, A. High nuclear expression of the apoptosis inhibitor protein survivin is associated with disease recurrence and poor prognosis in laryngeal basaloid squamous cell carcinoma. Acta Otolaryngol. 2006, 126, 197–203. [Google Scholar] [CrossRef]
- Mendelsohn, A.H.; Lai, C.K.; Shintaku, I.P.; Elashoff, D.A.; Dubinett, S.M.; Abemayor, E.; St John, M.A. Histopathologic findings of HPV and p16 positive HNSCC. Laryngoscope 2010, 120, 1788–1794. [Google Scholar] [CrossRef]
- Marioni, G.; Staffieri, A.; Savastano, M.; Marino, F.; Giacomelli, L.; Lionello, M.; Casotto, F.; de Filippis, C.; Blandamura, S. Angiogenin expression in head and neck basaloid and conventional squamous cell carcinoma: A site- and stage-matched comparison. J. Oral. Pathol. Med. 2011, 40, 55–60. [Google Scholar] [CrossRef] [PubMed]
- Ünlü, M.; Cetınayak, H.O.; Onder, D.; Ecevıt, C.; Akman, F.; Ikız, A.Ö.; Ada, E.; Karaçali, B.; Sarioğlu, S. The prognostic value of tumor-stroma proportion in laryngeal squamous cell carcinoma. Turk Patoloji. Derg. 2013, 29, 27–35. [Google Scholar] [PubMed]
- Lewis, J.S., Jr.; Chernock, R.D.; Bishop, J.A. Squamous and neuroendocrine specific immunohistochemical markers in head and neck squamous cell carcinoma: A tissue microarray study. Head Neck Pathol. 2018, 12, 62–70. [Google Scholar] [CrossRef] [PubMed]
- Marioni, G.; D’Alessandro, E.; Giacomelli, L.; de Filippis, C.; Calgaro, N.; Sari, M.; Staffieri, A.; Blandamura, S. Maspin nuclear localization is related to reduced density of tumour-associated micro-vessels in laryngeal carcinoma. Anticancer Res. 2006, 26, 4927–4932. [Google Scholar] [PubMed]
- Marioni, G.; Ottaviano, G.; Giacomelli, L.; Staffieri, C.; Casarotti-Todeschini, S.; Bonandini, E.; Staffieri, A.; Blandamura, S. CD105-assessed micro-vessel density is associated with malignancy recurrence in laryngeal squamous cell carcinoma. Eur. J. Surg. Oncol. 2006, 32, 1149–1153. [Google Scholar] [CrossRef]
- Marioni, G.; Marino, F.; Blandamura, S.; D’Alessandro, E.; Giacomelli, L.; Guzzardo, V.; Lionello, M.; de Filippis, C.; Staffieri, A. Neoangiogenesis in laryngeal carcinoma: Angiogenin and CD105 expression is related to carcinoma recurrence rate and disease-free survival. Histopathology 2010, 57, 535–543. [Google Scholar] [CrossRef]
- Marioni, G.; Agostini, M.; Bedin, C.; Blandamura, S.; Stellini, E.; Favero, G.; Lionello, M.; Giacomelli, L.; Burti, S.; D’Angelo, E.; et al. Survivin and laryngeal carcinoma prognosis: Nuclear localization and expression of splice variants. Histopathology 2012, 61, 247–256. [Google Scholar] [CrossRef]
- Deniz, K.; Yüce, I.; Cağli, S.; Okten, T.; Güney, E. Expression of PCNA and bcl-2 in basaloid squamous cell carcinoma of the larynx: A controlled study. Ear Nose Throat. J. 2008, 87, 469–473. [Google Scholar] [CrossRef]
- Calli, C.; Calli, A.; Pinar, E.; Oncel, S.; Tatar, B. Prognostic significance of p63, p53 and ki67 expression in laryngeal basaloid squamous cell carcinomas. B-ENT 2011, 7, 37–42. [Google Scholar]
- Salerno, G.; Di Vizio, D.; Staibano, S.; Mottola, G.; Quaremba, G.; Mascolo, M.; Galli, V.; De Rosa, G.; Insabato, L. Prognostic value of p27Kip1 expression in Basaloid Squamous Cell Carcinoma of the larynx. BMC Cancer 2006, 6, 146. [Google Scholar] [CrossRef]
- Courrech Staal, E.F.; Smit, V.T.; van Velthuysen, M.L.; Spitzer-Naaykens, J.M.; Wouters, M.W.; Mesker, W.E.; Tollenaar, R.A.; van Sandick, J.W. Reproducibility and validation of tumour stroma ratio scoring on oesophageal adenocarcinoma biopsies. Eur. J. Cancer 2011, 47, 375–382. [Google Scholar] [CrossRef] [PubMed]
- Le, M.K.; Odate, T.; Kawai, M.; Oishi, N.; Kondo, T. Investigating the role of core needle biopsy in evaluating tumor-stroma ratio (TSR) of invasive breast cancer: A retrospective study. Breast Cancer Res. Treat 2023, 197, 113–121. [Google Scholar] [CrossRef] [PubMed]
- Mäkitie, A.A.; Agaimy, A.; Almangush, A. Insight into classification and risk stratification of head and neck squamous cell carcinoma in era of emerging biomarkers with focus on histopathologic parameters. Cancers 2022, 14, 5514. [Google Scholar] [CrossRef] [PubMed]
- El-Naggar, A.K.; Chan, J.K.C.; Grandis, J.R.; Takata, T.; Slootweg, P.J. WHO Classification of Head and Neck Tumours; IARC: Lyon, France, 2017. [Google Scholar]
- Marioni, G.; Franz, L.; Ottaviano, G.; Contro, G.; Tealdo, G.; Carli, A.; Frigo, A.C.; Nicolai, P.; Alessandrini, L. Prognostic significance of CD105- and CD31-assessed microvessel density in paired biopsies and surgical samples of laryngeal carcinoma. Cancers 2020, 12, 2059. [Google Scholar] [CrossRef] [PubMed]





| Group | |||
|---|---|---|---|
| Basaloid SCC (n = 14) | Conventional SCC (n = 28) | p Value | |
| Age, years | |||
| Mean (SD) | 70.9 (8.5) | 64.9 (8.6) | 0.0405 |
| Median (Range) | 71.0 (51.0–84.0) | 65.5 (49.0–80.0) | |
| pT | |||
| T1–2 | 10 (71.4) | 14 (50.0) | 0.1859 |
| T1 | 3 | 4 | |
| T2 | 7 | 10 | |
| T3–4 | 4 (28.6) | 14 (50.0) | |
| T3 | 1 | 8 | |
| T4 | 3 | 6 | |
| Nodal status | |||
| N0 | 6 (42.9) | 20 (71.4) | 0.0723 |
| N+ | 8 (57.1) | 8 (28.6) | |
| Stage | |||
| I–II | 6 (42.9) | 12 (42.9) | 1.0000 |
| III–IV | 8 (57.1) | 16 (57.1) | |
| TSR (biopsy) | |||
| TSR high/stroma poor | 8 (88.9) | 19 (67.9) | 0.3932 |
| TSR low/stroma rich | 1 (11.1) | 9 (32.1) | |
| Stroma type (biopsy) | |||
| Fibroblastic | 5 (55.6) | 4 (14.3) | 0.0231 |
| Fibrotic | 4 (44.4) | 24 (85.7) | |
| Large cell nests (biopsy) | |||
| Absent | 1 (11.1) | 5 (17.9) | 1.0000 |
| Present | 8 (88.9) | 23 (82.1) | |
| Intratumoral bud count (biopsy) | |||
| Mean (SD) | 0.3 (1.0) | 1.5 (2.8) | 0.0875 |
| Median (Range) | 0.0 (0.0–3.0) | 0.0 (0.0–13.0) | |
| Intratumoral budding (biopsy) | |||
| Low-risk | 9 (100.0) | 25 (089.3) | 0.5622 |
| High-risk | 0 (0.0) | 3 (10.7) | |
| TSR (surgical specimen) | |||
| TSR high/stroma poor | 9 (64.3) | 19 (67.9) | 1.0000 |
| TSR low/stroma rich | 5 (35.7) | 9 (32.1%) | |
| Stroma type (surgical specimen) | |||
| Fibroblastic | 3 (21.4) | 3 (10.7) | 0.3825 |
| Fibrotic | 11 (78.6) | 25 (89.3) | |
| Large cell nests (surgical specimen) | |||
| Absent | 0 (0.0) | 8 (28.6) | 0.0368 |
| Present | 14 (100.0) | 20 (71.4) | |
| Peritumoral bud count (surgical specimen) | |||
| Mean (SD) | 1.3 (2.3) | 2.9 (4.0) | 0.1031 |
| Median (Range) | 0.0 (0.0–8.0) | 2.0 (0.0–18.0) | |
| Peritumoral budding (surgical specimen) | |||
| Low-risk | 13 (92.9) | 23 (82.1) | 0.6448 |
| High-risk | 1 (7.1) | 5 (17.9) | |
| TILs % (surgical specimen) | |||
| Mean (SD) | 22.1 (16.5) | 33.4 (20.3) | 0.1131 |
| Median (Range) | 27.5 (0.0–40.0) | 30.0 (10.0–80.0) | |
| Pattern of invasion (surgical specimen) | |||
| Expansive | 7 (50.0) | 20 (71.4) | 0.1719 |
| Infiltrative | 7 (50.0) | 8 (28.6) | |
| Adjuvant radiation therapy | |||
| No | 7 (50.0) | 16 (57.1) | 0.6611 |
| Yes | 7 (50.0) | 12 (42.9) | |
| Outcome | Not Adjusted | Age-Adjusted | ||||
|---|---|---|---|---|---|---|
| NED (n = 25) | REC (n = 17) | p-Value | HR (95% CI) | p-Value | HR (95% CI) | |
| Group | ||||||
| Conventional SCC | 19 (76.0) | 9 (52.9) | 1 | |||
| BSCC | 6 (24.0) | 8 (47.1) | 0.1229 | 2.120 (0.816; 5.509) | 0.7992 | 1.141 (0.412; 3.159) |
| Outcome | ||||
|---|---|---|---|---|
| NED (n = 6) | REC (n = 8) | p-Value | HR (95% CI) | |
| Age, years | ||||
| Mean (SD) | 67.0 (9.5) | 73.8 (6.9) | 0.0235 | 1.164 (1.021; 1.327) |
| Median (Range) | 67.5 (51.0–79.0) | 74.5 (64.0–84.0) | ||
| pT | ||||
| pT1–2 | 4 (66.7) | 6 (75.0) | 0.9746 | 1 |
| pT3–4 | 2 (33.3) | 2 (25.0) | 0.974 (0.194; 4.879) | |
| Nodal status | ||||
| N0 | 1 (16.7) | 5 (62.5) | 0.3248 | 1 |
| N+ | 5 (83.3) | 3 (37.5) | 0.486 (0.116; 2.042) | |
| Stage | ||||
| I–II | 1 (16.7) | 5 (62.5) | 0.3248 | 1 |
| III–IV | 5 (83.3) | 3 (37.5) | 0.486 (0.11; 2.042) | |
| TSR (biopsy) | ||||
| TSR high/stroma poor | 5 (100.0) | 3 (75.0) | 0.1688 | 1 |
| TSR low/stroma rich | 0 (000.0) | 1 (25.0) | 23.958 (0.260; 2209.900) | |
| Stroma type (biopsy) | ||||
| Fibroblastic | 2 (40.0) | 3 (75.0) | 0.7371 | 1 |
| Fibrotic | 3 (60.0) | 1 (25.0) | 0.676 (0.069; 6.657) | |
| Large cell nests (biopsy) | ||||
| Absent | 1 (20.0) | 0 (0.0) | 0.9366 | 1 |
| Present | 4 (80.0) | 4 (100.0) | 1.150 (0.037; 35.736) | |
| Intratumoral bud count (biopsy) | ||||
| Mean (SD) | 0.0 (0.0) | 0.8 (1.5) | 0.1722 | 1.906 (0.755; 4.814) |
| Median (Range) | 0.0 (0.0–0.0) | 0.0 (0.0–3.0) | ||
| Intratumoral budding (biopsy) | ||||
| Low-risk | 5 (100.0) | 4 (100.0) | - | |
| TSR (surgical specimen) | ||||
| TSR high/stroma poor | 5 (83.3) | 4 (50.0) | 0.1977 | 1 |
| TSR low/stroma rich | 1 (16.7) | 4 (50.0) | 2.523 (0.617; 10.312) | |
| Stroma type (surgical specimen) | ||||
| Fibroblastic | 2 (33.3) | 1 (12.5) | 0.3178 | 1 |
| Fibrotic | 4 (66.7) | 7 (87.5) | 2.923 (0.356; 23.982) | |
| Large cell nests (surgical specimen) | ||||
| Present | 6 (100.0) | 8 (100.0) | - | |
| Peritumoral bud count (surgical specimen) | ||||
| Mean (SD) | 2.2 (3.1) | 0.6 (1.4) | 0.3146 | 0.782 (0.484; 1.263) |
| Median (Range) | 1.0 (0.0–8.0) | 0.0 (0.0–4.0) | ||
| Peritumoral budding (surgical specimen) | ||||
| Low-risk | 5 (83.3) | 8 (100.0) | 0.5878 | 1 |
| High-risk | 1 (16.7) | 0 (000.0) | 0.429 (0.020; 9.155) | |
| TILs % (surgical specimen) | ||||
| Mean (SD) | 30.0 (9.5) | 16.3 (18.7) | 0.4772 | 0.983 (0.937; 1.031) |
| Median (Range) | 30.0 (15.0–40.0) | 7.5 (0.0–40.0) | ||
| Pattern of invasion (surgical specimen) | ||||
| Expansive | 2 (33.3) | 5 (62.5) | 0.1518 | 1 |
| Infiltrative | 4 (66.7) | 3 (37.5) | 0.341 (0.078; 1.486) | |
| Adjuvant radiation therapy | ||||
| No | 4 (66.7) | 3 (37.5) | 0.5086 | 1 |
| Yes | 2 (33.3) | 5 (62.5) | 1.625 (0.385; 6.863) | |
| Outcome | Univariate | Multivariate | ||||
|---|---|---|---|---|---|---|
| NED (n = 19) | REC (n = 9) | p-Value | HR (95% CI) | p-Value | HR (95% CI) | |
| Age, years | ||||||
| Mean (SD) | 62.3 (8.3) | 70.6 (6.5) | 0.0096 | 1.154 (1.036; 1.286) | 0.0961 | 1.099 (0.983; 1.229) |
| Median (Range) | 63.0 (49.0–78.0) | 69.0 (61.0–80.0) | ||||
| pT | ||||||
| pT1–2 | 11 (57.9) | 3 (33.3) | 0.2391 | 1 | ||
| pT3–4 | 8 (42.1) | 6 (66.7) | 2.301 (0.575; 9.219) | |||
| Nodal status | ||||||
| N0 | 15 (78.9) | 5 (55.6) | 0.1509 | 1 | ||
| N+ | 4 (21.1) | 4 (44.4) | 2.633 (0.703; 9.866) | |||
| Stage | ||||||
| I–II | 9 (47.4) | 3 (33.3) | 0.5001 | 1 | ||
| III–IV | 10 (52.6) | 6 (66.7) | 1.611 (0.403; 6.448) | |||
| TSR (biopsy) | ||||||
| TSR high/stroma poor | 17 (89.5) | 2 (22.2) | 0.0036 | 1 | ||
| TSR low/stroma rich | 2 (10.5) | 7 (77.8) | 10.463 (2.156; 50.785) | |||
| Stroma type (biopsy) | ||||||
| Fibroblastic | 2 (10.5) | 2 (22.2) | 0.4622 | 1 | ||
| Fibrotic | 17 (89.5) | 7 (77.8) | 0.554 (0.115; 2.674) | |||
| Large cell nests (biopsy) | ||||||
| Absent | 3 (15.8) | 2 (22.2) | 0.8397 | 1 | ||
| Present | 16 (84.2) | 7 (77.8) | 0.850 (0.175; 4.116) | |||
| Intratumoral bud count (biopsy) | ||||||
| Mean (SD) | 1.6 (3.2) | 1.3 (1.7) | 0.7421 | 0.956 (0.733; 1.248) | ||
| Median (Range) | 0.0 (0.0–13.0) | 1.0 (0.0–5.0) | ||||
| Intratumoral budding (biopsy) | ||||||
| Low-risk | 17 (89.5) | 8 (88.9) | 0.9330 | 1 | ||
| High-risk | 2 (10.5) | 1 (11.1) | 0.915 (0.114; 7.324) | |||
| TSR (surgical specimen) | ||||||
| TSR high/stroma poor | 17 (89.5) | 2 (22.2) | 0.0041 | 1 | 0.0384 | 1 |
| TSR low/stroma rich | 2 (10.5) | 7 (77.8) | 10.131 (2.082; 49.308) | 5.890 (1.099; 31.555) | ||
| Stroma type (surgical specimen) | ||||||
| Fibroblastic | 2 (10.5) | 1 (11.1) | 0.9330 | 1 | ||
| Fibrotic | 17 (89.5) | 8 (88.9) | 1.093 (0.137; 8.754) | |||
| Large cell nests (surgical specimen) | ||||||
| Absent | 5 (26.3) | 3 (33.3) | 0.8247 | 1 | ||
| Present | 14 (73.7) | 6 (66.7) | 0.855 (0.213; 3.431) | |||
| Peritumoral bud count (surgical specimen) | ||||||
| Mean (SD) | 1.8 (2.5) | 5.1 (5.7) | 0.0546 | 1.124 (0.998; 1.266) | ||
| Median (Range) | 1.0 (0.0–10.0) | 3.0 (0.0–18.0) | ||||
| Peritumoral budding (surgical specimen) | ||||||
| Low-risk | 17 (89.5) | 6 (66.7) | 0.2673 | 1 | ||
| High-risk | 2 (10.5) | 3 (33.3) | 2.193 (0.548; 8.783) | |||
| TILs % (surgical specimen) | ||||||
| Mean (SD) | 37.6 (21.0) | 24.4 (16.1) | 0.0957 | 0.966 (0.928; 1.006) | ||
| Median (Range) | 40.0 (10.0–80.0) | 20.0 (10.0–60.0) | ||||
| Pattern of invasion (surgical specimen) | ||||||
| Expansive | 15 (78.9) | 5 (55.6) | 0.3191 | 1 | ||
| Infiltrative | 4 (21.1) | 4 (44.4) | 1.952 (0.524; 7.276) | |||
| Adjuvant radiation therapy | ||||||
| No | 12 (63.2) | 4 (44.4) | 0.2978 | 1 | ||
| Yes | 7 (36.8) | 5 (55.6) | 2.013 (0.539; 7.515) | |||
Disclaimer/Publisher’s Note: The statements, opinions and data contained in all publications are solely those of the individual author(s) and contributor(s) and not of MDPI and/or the editor(s). MDPI and/or the editor(s) disclaim responsibility for any injury to people or property resulting from any ideas, methods, instructions or products referred to in the content. |
© 2023 by the authors. Licensee MDPI, Basel, Switzerland. This article is an open access article distributed under the terms and conditions of the Creative Commons Attribution (CC BY) license (https://creativecommons.org/licenses/by/4.0/).
Share and Cite
Marioni, G.; Taboni, S.; Sbaraglia, M.; Franz, L.; Saccardo, T.; Colombo, A.; Zimello, C.; Frigo, A.C.; Ferrari, M.; Alessandrini, L. Tumor-Stroma Ratio in Basaloid and Conventional Laryngeal Squamous Cell Carcinoma: Prognostic Significance and Concordance in Paired Biopsies and Surgical Samples. Cancers 2023, 15, 1645. https://doi.org/10.3390/cancers15061645
Marioni G, Taboni S, Sbaraglia M, Franz L, Saccardo T, Colombo A, Zimello C, Frigo AC, Ferrari M, Alessandrini L. Tumor-Stroma Ratio in Basaloid and Conventional Laryngeal Squamous Cell Carcinoma: Prognostic Significance and Concordance in Paired Biopsies and Surgical Samples. Cancers. 2023; 15(6):1645. https://doi.org/10.3390/cancers15061645
Chicago/Turabian StyleMarioni, Gino, Stefano Taboni, Marta Sbaraglia, Leonardo Franz, Tommaso Saccardo, Anna Colombo, Camilla Zimello, Anna Chiara Frigo, Marco Ferrari, and Lara Alessandrini. 2023. "Tumor-Stroma Ratio in Basaloid and Conventional Laryngeal Squamous Cell Carcinoma: Prognostic Significance and Concordance in Paired Biopsies and Surgical Samples" Cancers 15, no. 6: 1645. https://doi.org/10.3390/cancers15061645
APA StyleMarioni, G., Taboni, S., Sbaraglia, M., Franz, L., Saccardo, T., Colombo, A., Zimello, C., Frigo, A. C., Ferrari, M., & Alessandrini, L. (2023). Tumor-Stroma Ratio in Basaloid and Conventional Laryngeal Squamous Cell Carcinoma: Prognostic Significance and Concordance in Paired Biopsies and Surgical Samples. Cancers, 15(6), 1645. https://doi.org/10.3390/cancers15061645

