Radical Prostatectomy without Prior Biopsy in Patients with High Suspicion of Prostate Cancer Based on Multiparametric Magnetic Resonance Imaging and Prostate-Specific Membrane Antigen Positron Emission Tomography: A Prospective Cohort Study
Abstract
Simple Summary
Abstract
1. Introduction
2. Materials and Methods
2.1. Study Design and Selection Criteria
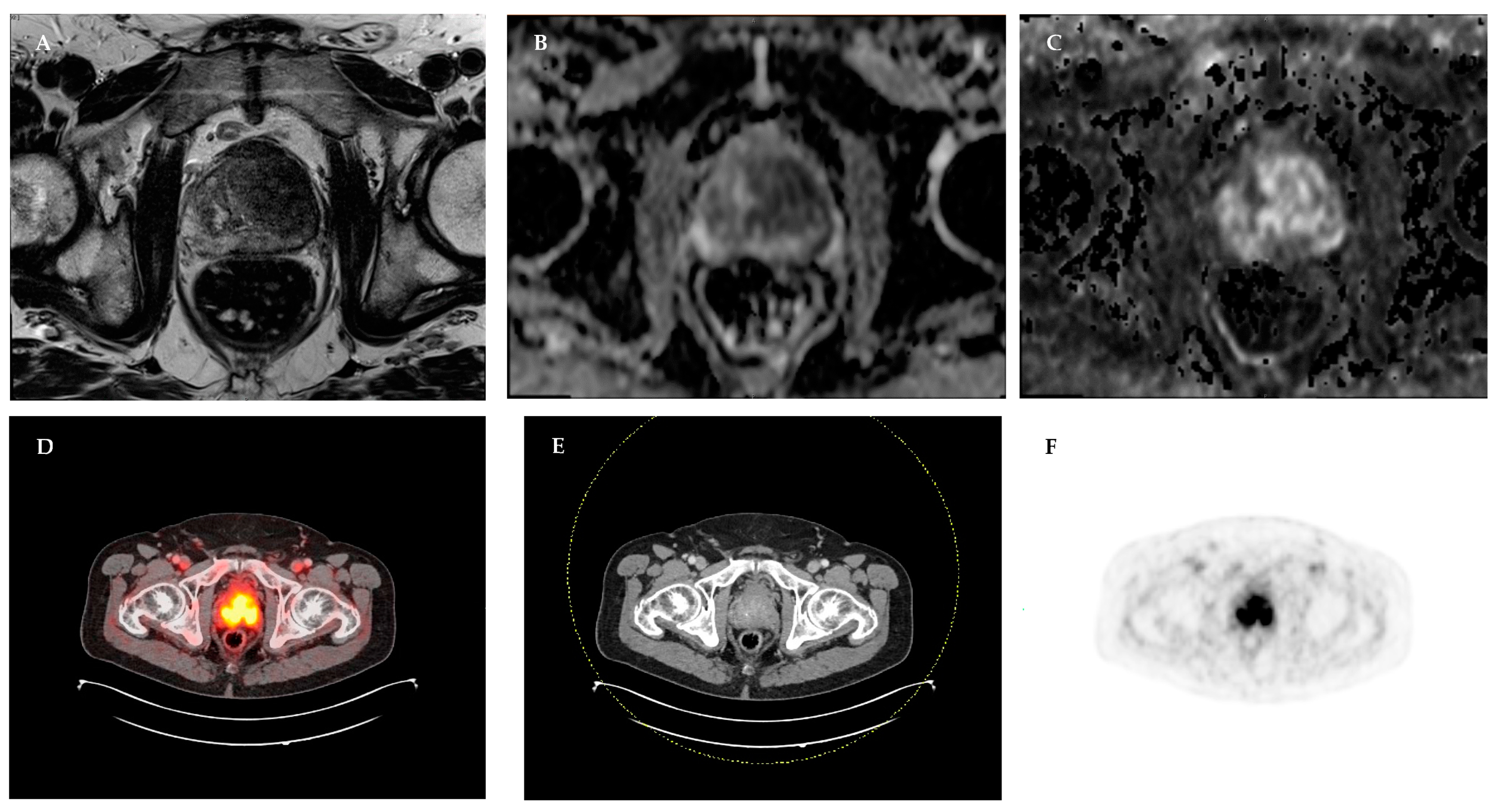
2.2. Study Protocol and Data Collection
2.3. Outcomes and Statistical Analysis
3. Results
3.1. Clinicopathological Characteristics
3.2. Comparison between the Groups
4. Discussion
5. Conclusions
Author Contributions
Funding
Institutional Review Board Statement
Informed Consent Statement
Data Availability Statement
Conflicts of Interest
References
- Hofman, M.S.; Lawrentschuk, N.; Francis, R.J.; Tang, C.; Vela, I.; Thomas, P.; Rutherford, N.; Martin, J.M.; Frydenberg, M.; Shakher, R.; et al. Prostate-specific membrane antigen PET-CT in patients with high-risk prostate cancer before curative-intent surgery or radiotherapy (proPSMA): A prospective, randomised, multicentre study. Lancet 2020, 395, 1208–1216. [Google Scholar] [CrossRef] [PubMed]
- Mazzone, E.; Stabile, A.; Pellegrino, F.; Basile, G.; Cignoli, D.; Cirulli, G.O.; Sorce, G.; Barletta, F.; Scuderi, S.; Bravi, C.A.; et al. Positive Predictive Value of Prostate Imaging Reporting and Data System Version 2 for the Detection of Clinically Significant Prostate Cancer: A Systematic Review and Meta-analysis. Eur. Urol. Oncol. 2021, 4, 697–713. [Google Scholar] [CrossRef] [PubMed]
- Emmett, L.; Buteau, J.; Papa, N.; Moon, D.; Thompson, J.; Roberts, M.J.; Rasiah, K.; Pattison, D.A.; Yaxley, J.; Thomas, P.; et al. The Additive Diagnostic Value of Prostate-specific Membrane Antigen Positron Emission Tomography Computed Tomography to Multiparametric Magnetic Resonance Imaging Triage in the Diagnosis of Prostate Cancer (PRIMARY): A Prospective Multicentre Study. Eur. Urol. 2021, 80, 682–689. [Google Scholar] [CrossRef] [PubMed]
- Beck, V.; Schlenker, B.; Herlemann, A.; Apfelbeck, M.; Buchner, A.; Gratzke, C.; Stief, C.G.; Tritschler, S. The increase of stage, grading, and metastases in patients undergoing radical prostatectomy during the last decade. World J. Urol. 2019, 37, 1103–1109. [Google Scholar] [CrossRef] [PubMed]
- Xue, J.; Qin, Z.; Cai, H.; Zhang, C.; Li, X.; Xu, W.; Wang, J.; Xu, Z.; Yu, B.; Xu, T.; et al. Comparison between transrectal and transperineal prostate biopsy for detection of prostate cancer: A meta-analysis and trial sequential analysis. Oncotarget 2017, 8, 23322–23336. [Google Scholar] [CrossRef] [PubMed]
- Sooriakumaran, P.; Calaway, A.; Sagalovich, D.; Roy, S.; Srivastava, A.; Joneja, J.; Shevchuk, M.; Tewari, A.K. The impact of multiple biopsies on outcomes of nerve-sparing robotic-assisted radical prostatectomy. Int. J. Impot. Res. 2012, 24, 161–164. [Google Scholar] [CrossRef] [PubMed]
- Meissner, V.H.; Rauscher, I.; Schwamborn, K.; Neumann, J.; Miller, G.; Weber, W.; Gschwend, J.E.; Eiber, M.; Heck, M.M. Radical Prostatectomy Without Prior Biopsy Following Multiparametric Magnetic Resonance Imaging and Prostate-specific Membrane Antigen Positron Emission Tomography. Eur. Urol. 2022, 82, 156–160. [Google Scholar] [CrossRef] [PubMed]
- von Elm, E.; Altman, D.G.; Egger, M.; Pocock, S.J.; Gøtzsche, P.C.; Vandenbroucke, J.P. The Strengthening the Reporting of Observational Studies in Epidemiology (STROBE) statement: Guidelines for reporting observational studies. Epidemiology 2007, 18, 800–804. [Google Scholar] [CrossRef] [PubMed]
- Mottet, N.; van den Bergh, R.C.N.; Briers, E.; Van den Broeck, T.; Cumberbatch, M.G.; De Santis, M.; Fanti, S.; Fossati, N.; Gandaglia, G.; Gillessen, S.; et al. EAU-EANM-ESTRO-ESUR-SIOG Guidelines on Prostate Cancer-2020 Update. Part 1: Screening, Diagnosis, and Local Treatment with Curative Intent. Eur Urol. 2021, 79, 243–262. [Google Scholar] [CrossRef] [PubMed]
- Ljungberg, B.; Albiges, L.; Abu-Ghanem, Y.; Bedke, J.; Capitanio, U.; Dabestani, S.; Fernández-Pello, S.; Giles, R.H.; Hofmann, F.; Hora, M.; et al. European Association of Urology Guidelines on Renal Cell Carcinoma: The 2022 Update. Eur. Urol. 2022, 82, 399–410. [Google Scholar] [CrossRef] [PubMed]
- Leitlinienprogramm Onkologie (Deutsche Krebsgesellschaft DK, AWMF): S3-Leitlinie Exokrines Pankreaskarzinom, Langversion 2.0, 2021, AWMF Registernummer: 032-010OL. Available online: https://www.leitlinienprogrammonkologie.de/leitlinien/pankreaskarzinom/ (accessed on 24 November 2022).
- Manzia, T.M.; Toti, L.; Lenci, I.; Attia, M.; Tariciotti, L.; Bramhall, S.R.; Buckels, J.A.; Mirza, D.F. Benign disease and unexpected histological findings after pancreaticoduodenectomy: The role of endoscopic ultrasound fine needle aspiration. Ind. Mark. Manag. 2010, 92, 295–301. [Google Scholar] [CrossRef] [PubMed]
- Drost, F.H.; Osses, D.F.; Nieboer, D.; Steyerberg, E.W.; Bangma, C.H.; Roobol, M.J.; Schoots, I.G. Prostate MRI, with or without MRI-targeted biopsy, and systematic biopsy for detecting prostate cancer. Cochrane Database Syst Rev. 2019, 4, CD012663. [Google Scholar] [CrossRef] [PubMed]
- Sumanasuriya, S.; Omlin, A.; Armstrong, A.; Attard, G.; Chi, K.N.; Bevan, C.L.; Shibakawa, A.; Ijzerman, M.J.; De Laere, B.; Lolkema, M.; et al. Consensus Statement on Circulating Biomarkers for Advanced Prostate Cancer. Eur. Urol. Oncol. 2018, 1, 151–159. [Google Scholar] [CrossRef] [PubMed]
- Wade, J.; Rosario, D.J.; Macefield, R.C.; Avery, K.N.; Salter, C.E.; Goodwin, M.L.; Blazeby, J.M.; Lane, J.A.; Metcalfe, C.; Neal, D.E.; et al. Psychological Impact of Prostate Biopsy: Physical Symptoms, Anxiety, and Depression. J. Clin. Oncol. 2013, 31, 4235–4241. [Google Scholar] [CrossRef] [PubMed]

| Characteristics | GROUP 1 n = 27 | GROUP 2 n = 6 | GROUP 3 n = 17 | p-Value * |
|---|---|---|---|---|
| Age [y] | 73 (68.5–76.5) | 73 (67.3–79.5) | 72 (66–76) | p = 0.78 |
| PSA [ng/mL] | 19.3 (13.9–38.9) | 22.25 (16.6–33.1) | 7.06 (5.9–8.5) | p < 0.001 |
| PSAd [ng/mL/cm3] | 0.48 (0.3–0.6) | 0.31 (0.2–0.5) | 0.12 (0.11–0.14) | p < 0.001 |
| P-Volume [cm3] | 40.5 (34–67.3) | 85 (61–120.3) | 37 (32–49) | p = 0.25 |
| Positive preoperative mpMRI | 27 (100%) | 6 (100%) | 15 (88.2%) | p = 0.04 |
| PI-RADS 3 | 0 (0%) | 0 (0%) | 1 (7%) | |
| PI-RADS 4 | 6 (22.2%) | 2 (33.3%) | 6 (40%) | |
| PI-RADS 5 | 21 (77.8%) | 4 (66.7%) | 8 (53.3%) | |
| Positive preoperative PSMA PET-CT or -MRI | 27 (100%) | 0 (0%) | 15 (88%) | p = 0.56 |
| cN1 on pre-operative imaging | 17 (63%) | 4 (66.7%) | 1 (7%) | p < 0.001 |
| cN1 on PSMA-PET imaging | 13 (48.1%) | 0 (0%) | 1 (7%) | |
| cN1 on mpMRI | 9 (33.3%) | 4 (66.7%) | 0 (0%) | |
| cN1 on PSMA-PET and mpMRI | 5 (18.5%) | 0 (0%) | 0 (0%) | |
| Tumor stage | p = 0.005 | |||
| pT2a | 1 (3.7%) | 1 (16.7%) | 3 (17.6%) | |
| pT2c | 9 (33.3%) | 2 (33.3%) | 12 (70.6%) | |
| pT3a | 9 (33.3%) | 0 (0%) | 0 (0%) | |
| pT3b | 8 (29.6%) | 3 (50%) | 2 (11.8%) | |
| ISUP Grade | p = 0.027 | |||
| 1 | 0 (0%) | 0 (0%) | 4 (23.5%) | |
| 2 | 7 (26%) | 3 (50%) | 9 (52.9%) | |
| 3 | 10 (37%) | 1 (16.7%) | 3 (17.6%) | |
| 4 | 5 (18.5%) | 0 (0%) | 0 (0%) | |
| 5 | 5 (18.5%) | 2 (33.3%) | 1 (5.9%) | |
| pN1 | 7/17 (41.2%) | 1/4 (25%) | 0/1 (0%) | p = 0.44 |
| Positive surgical margin | 11 (40.7%) | 3 (50%) | 2 (11.8%) | p = 0.061 |
| Tumor infiltration [%] | 30 (20–40) | 35 (20–57.5) | 15 (13.8–20) | p = 0.001 |
| Operative time [min] | 77 (71–89) | 76.5 (72.3–79.3) | 66 (63–72) | p < 0.001 |
| Blood loss [mL] | 300 (200–425) | 450 (362.5–500) | 200 (200–300) | p = 0.15 |
| Postoperative hemoglobin Difference [g/dL] | 2.4 (2–3.3) | 2.1 (1.3–2.7) | 1.6 (1.3–2.7) | p = 0.03 |
| Catheterization [d] | 9 (7–12.5) | 9.5 (7.5–10) | 7 (7–8) | p = 0.17 |
| Hospital stay [d] | 10 (9–13.5) | 11.5 (10.3–12) | 9 (8–10) | p = 0.09 |
Disclaimer/Publisher’s Note: The statements, opinions and data contained in all publications are solely those of the individual author(s) and contributor(s) and not of MDPI and/or the editor(s). MDPI and/or the editor(s) disclaim responsibility for any injury to people or property resulting from any ideas, methods, instructions or products referred to in the content. |
© 2023 by the authors. Licensee MDPI, Basel, Switzerland. This article is an open access article distributed under the terms and conditions of the Creative Commons Attribution (CC BY) license (https://creativecommons.org/licenses/by/4.0/).
Share and Cite
Chaloupka, M.; Apfelbeck, M.; Pyrgidis, N.; Marcon, J.; Weinhold, P.; Stief, C.G. Radical Prostatectomy without Prior Biopsy in Patients with High Suspicion of Prostate Cancer Based on Multiparametric Magnetic Resonance Imaging and Prostate-Specific Membrane Antigen Positron Emission Tomography: A Prospective Cohort Study. Cancers 2023, 15, 1266. https://doi.org/10.3390/cancers15041266
Chaloupka M, Apfelbeck M, Pyrgidis N, Marcon J, Weinhold P, Stief CG. Radical Prostatectomy without Prior Biopsy in Patients with High Suspicion of Prostate Cancer Based on Multiparametric Magnetic Resonance Imaging and Prostate-Specific Membrane Antigen Positron Emission Tomography: A Prospective Cohort Study. Cancers. 2023; 15(4):1266. https://doi.org/10.3390/cancers15041266
Chicago/Turabian StyleChaloupka, Michael, Maria Apfelbeck, Nikolaos Pyrgidis, Julian Marcon, Philipp Weinhold, and Christian G. Stief. 2023. "Radical Prostatectomy without Prior Biopsy in Patients with High Suspicion of Prostate Cancer Based on Multiparametric Magnetic Resonance Imaging and Prostate-Specific Membrane Antigen Positron Emission Tomography: A Prospective Cohort Study" Cancers 15, no. 4: 1266. https://doi.org/10.3390/cancers15041266
APA StyleChaloupka, M., Apfelbeck, M., Pyrgidis, N., Marcon, J., Weinhold, P., & Stief, C. G. (2023). Radical Prostatectomy without Prior Biopsy in Patients with High Suspicion of Prostate Cancer Based on Multiparametric Magnetic Resonance Imaging and Prostate-Specific Membrane Antigen Positron Emission Tomography: A Prospective Cohort Study. Cancers, 15(4), 1266. https://doi.org/10.3390/cancers15041266

