Ki67 as a Predictor of Response to PARP Inhibitors in Platinum Sensitive BRCA Wild Type Ovarian Cancer: The MITO 37 Retrospective Study
Abstract
:Simple Summary
Abstract
1. Introduction
2. Material and Methods
2.1. Patients
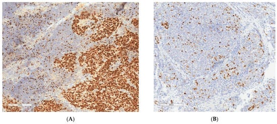
2.2. Ki67 Staining and Scoring
3. Results
Ki67 Assessment and Predictive Value
4. Discussion
5. Conclusions
Supplementary Materials
Author Contributions
Funding
Institutional Review Board Statement
Informed Consent Statement
Data Availability Statement
Acknowledgments
Conflicts of Interest
References
- Poveda, A.M.; Selle, F.; Hilpert, F.; Reuss, A.; Savarese, A.; Vergote, I.; Witteveen, P.; Bamias, A.; Scotto, N.; Mitchell, L.; et al. Bevacizumab Combined with Weekly Paclitaxel, Pegylated Liposomal Doxorubicin, or Topotecan in Platinum-Resistant Recurrent Ovarian Cancer: Analysis by Chemotherapy Cohort of the Randomized Phase III AURELIA Trial. J. Clin. Oncol. 2015, 33, 3836–3838. [Google Scholar] [CrossRef] [PubMed]
- Penson, R.T.; Valencia, R.V.; Cibula, D.; Colombo, N.; Leath, C.A.; Bidziński, M.; Kim, J.W.; Nam, J.H.; Madry, R.; Hernández, C.; et al. Olaparib versus Nonplatinum Chemotherapy in Patients with Platinum-Sensitive Relapsed Ovarian Cancer and a Germline BRCA1/2 Mutation (SOLO3): A Randomized Phase III Trial. J. Clin. Oncol. 2020, 38, 1164–1174. [Google Scholar] [CrossRef] [PubMed]
- Moore, K.; Colombo, N.; Scambia, G.; Kim, B.G.; Oaknin, A.; Friedlander, M.; Lisyanskaya, A.; Floquet, A.; Leary, A.; Sonke, G.S.; et al. Maintenance Olaparib in Patients with Newly Diagnosed Advanced Ovarian Cancer. N. Engl. J. Med. 2018, 379, 2495–2505. [Google Scholar] [CrossRef] [PubMed]
- Halverson, J.L.; Martinez-Donate, A.P.; Palta, M.; Leal, T.; Lubner, S.; Walsh, M.C.; Strickland, J.S.; Smith, P.D.; Trentham-Dietz, A. Health Literacy and Health-Related Quality of Life Among a Population-Based Sample of Cancer Patients. J. Health Commun. 2015, 20, 1320–1329. [Google Scholar] [CrossRef]
- González-Martín, A.; Pothuri, B.; Vergote, I.; DePont Christensen, R.; Graybill, W.; Mirza, M.R.; McCormick, C.; Lorusso, D.; Hoskins, P.; Freyer, G.; et al. Niraparib in Patients with Newly Diagnosed Advanced Ovarian Cancer. N. Engl. J. Med. 2019, 381, 2391–2402. [Google Scholar] [CrossRef]
- DiSilvestro, P.; Banerjee, S.; Colombo, N.; Scambia, G.; Kim, B.G.; Oaknin, A.; Friedlander, M.; Lisyanskaya, A.; Floquet, A.; Leary, A.; et al. Overall Survival with Maintenance Olaparib at a 7-Year Follow-Up in Patients with Newly Diagnosed Advanced Ovarian Cancer and a BRCA Mutation: The SOLO1/GOG 3004 Trial. J. Clin. Oncol. 2022, 41, 609–617. [Google Scholar] [CrossRef]
- National Institutes of Health; National Cancer Institute. Surveillance, Epidemiology, and End Results Program. Cancer Stat Facts: Female Breast Cancer; National Cancer Institute (NIH): Bethesda, MD, USA, 2020. Available online: https://seer.cancer.gov/statfacts/html/ovary.html (accessed on 12 December 2022).
- Siegel, R.L.; Miller, K.D.; Fuchs, H.E.; Jemal, A. Cancer statistics, 2022. CA Cancer J. Clin. 2022, 72, 7–33. [Google Scholar] [CrossRef]
- Colombo, N.; Sessa, C.; du Bois, A.; Ledermann, J.; McCluggage, W.G.; McNeish, I.; Morice, P.; Pignata, S.; Ray-Coquard, I.; Vergote, I.; et al. ESMO-ESGO consensus conference recommendations on ovarian cancer: Pathology and molecular biology, early and advanced stages, borderline tumours and recurrent disease. Ann. Oncol. 2019, 30, 672–705. [Google Scholar] [CrossRef]
- Kim, G.; Ison, G.; McKee, A.E.; Zhang, H.; Tang, S.; Gwise, T.; Sridhara, R.; Lee, E.; Tzou, A.; Philip, R.; et al. FDA Approval Summary: Olaparib Monotherapy in Patients with Deleterious Germline BRCA-Mutated Advanced Ovarian Cancer Treated with Three or More Lines of Chemotherapy. Clin. Cancer Res. 2015, 21, 4257–4261. [Google Scholar] [CrossRef]
- Gogineni, V.; Morand, S.; Staats, H.; Royfman, R.; Devanaboyina, M.; Einloth, K.; Dever, D.; Stanbery, L.; Aaron, P.; Manning, L.; et al. Current Ovarian Cancer Maintenance Strategies and Promising New Developments. J. Cancer 2021, 12, 38–53. [Google Scholar] [CrossRef]
- Drew, Y.; Kristeleit, R.S.; Oaknin, A.; Ray-Coquard, I.; Haris, N.; Swisher, E.M. Real-World Delivery of Rucaparib to Patients with Ovarian Cancer: Recommendations Based on an Integrated Safety Analysis of ARIEL2 and Study 10. Oncology 2019, 25, e109–e119. [Google Scholar] [CrossRef] [PubMed]
- Mirza, M.; Pignata, S.; Ledermann, J. Latest clinical evidence and further development of PARP inhibitors in ovarian cancer. Ann. Oncol. 2018, 29, 1366–1376. [Google Scholar] [CrossRef] [PubMed]
- Coleman, R.L.; Oza, A.M.; Lorusso, D.; Aghajanian, C.; Oaknin, A.; Dean, A.; Colombo, N.; Weberpals, J.I.; Clamp, A.; Scambia, G.; et al. Rucaparib maintenance treatment for recurrent ovarian carcinoma after response to platinum therapy (ARIEL3): A randomised, double-blind, placebo-controlled, phase 3 trial. Lancet 2017, 390, 1949–1961. [Google Scholar] [CrossRef] [PubMed]
- Mirza, M.R.; Monk, B.J.; Herrstedt, J.; Oza, A.M.; Mahner, S.; Redondo, A.; Fabbro, M.; Ledermann, J.A.; Lorusso, D.; Vergote, I.; et al. Niraparib Maintenance Therapy in Platinum-Sensitive, Recurrent Ovarian Cancer. N. Engl. J. Med. 2016, 375, 2154–2164. [Google Scholar] [CrossRef] [PubMed]
- Coleman, R.L.; Oza, A.M.; Lorusso, D.; Aghajanian, C.; Oaknin, A.; Dean, A.; Colombo, N.; Weberpals, J.I.; Clamp, A.R.; Scambia, G.; et al. Overall survival results from ARIEL3: A phase 3 randomized, double-blind study of Rucaparib vs placebo following response to platinum-based chemotherapy for recurrent ovarian carcinoma. Int. J. Gynecol. Cancer 2022. [Google Scholar]
- Matulonis, U.H.J.; Oza, A.; Mahner, S.; Redondo, A.; Berton, D.; Berek, J.; Lund, B.; Marme, F.; Gonzales-Martin, A.; Tinker, A.; et al. Long-term safety and secondary efficacy endpoints in the ENGOT-OV16/NOVA phase III trial of niraparib in recurrent ovarian cancer. Gynecol. Oncol. 2021, 162 (Suppl. S1), S24–S25. [Google Scholar] [CrossRef]
- Penson, R.V.; Colombo, N.; Leath, C.; Bidzinski, M.; Kim, J.-W.; Nam, J.-H.; Madry, R.; Hernández, C.; Mora, P.; Ryu, S.-Y.; et al. Final overall survival results from SOLO3: Phase III trial assessing olaparib monotherapy versus non-platinum chemotherapy in heavily pretreated patients with germline BRCA1- and/or BRCA2-mutated platinum-sensitive relapsed ovarian cancer. Gynecol. Oncol. 2022, 166 (Suppl. S1), S19–S20. [Google Scholar] [CrossRef]
- Book Foundation Medicine. Available online: https://www.foundationmedicine.it/our-services/cdx.html (accessed on 12 December 2022).
- Ray-Coquard, I.; Pautier, P.; Pignata, S.; Pérol, D.; González-Martín, A.; Berger, R.; Fujiwara, K.; Vergote, I.; Colombo, N.; Mäenpää, J.; et al. Olaparib plus Bevacizumab as First-Line Maintenance in Ovarian Cancer. N. Engl. J. Med. 2019, 381, 2416–2428. [Google Scholar] [CrossRef]
- Arora, S.; Balasubramaniam, S.; Zhang, H.; Berman, T.; Narayan, P.; Suzman, D.; Bloomquist, E.; Tang, S.; Gong, Y.; Sridhara, R.; et al. FDA Approval Summary: Olaparib Monotherapy or in Combination with Bevacizumab for the Maintenance Treatment of Patients with Advanced Ovarian Cancer. Oncologist 2020, 26, e164–e172. [Google Scholar] [CrossRef]
- Bradley, W.; Moore, K.; Colombo, N.; Scambia, G.; Kim, B.G.; Oaknin, A.; Friedlander, M.; Lisyanskaya, A.; Floquet, A.; Leary, A.; et al. Maintenance olaparib for patients with newly diagnosed, advanced ovarian cancer and a BRCA mutation: 5-year follow-up from SOLO1. Gynecol. Oncol. 2021, 162, S25–S26. [Google Scholar] [CrossRef]
- Mirza, M.R.; Coleman, R.L.; González-Martín, A.; Moore, K.N.; Colombo, N.; Ray-Coquard, I.; Pignata, S. The forefront of ovarian cancer therapy: Update on PARP inhibitors. Ann. Oncol. 2020, 31, 1148–1159. [Google Scholar] [CrossRef] [PubMed]
- Banerjee, S.; Moore, K.N.; Colombo, N.; Scambia, G.; Kim, B.G.; Oaknin, A.; Friedlander, M.; Lisyanskaya, A.; Floquet, A.; Leary, A.; et al. Maintenance olaparib for patients with newly diagnosed advanced ovarian cancer and a BRCA mutation (SOLO1/GOG 3004): 5-year follow-up of a randomised, double-blind, placebo-controlled, phase 3 trial. Lancet Oncol 2021, 22, 1721–1731. [Google Scholar] [CrossRef]
- Capoluongo, E.D.; Pellegrino, B.; Arenare, L.; Califano, D.; Scambia, G.; Beltrame, L.; Serra, V.; Scaglione, G.L.; Spina, A.; Cecere, S.C.; et al. Alternative academic approaches for testing homologous recombination deficiency in ovarian cancer in the MITO16A/MaNGO-OV2 trial. ESMO Open 2022, 7, 100585. [Google Scholar] [CrossRef]
- Scholzen, T.; Gerdes, J. The Ki-67 protein: From the known and the unknown. J. Cell Physiol. 2000, 182, 311–322. [Google Scholar] [CrossRef]
- Shirendeb, U.; Hishikawa, Y.; Moriyama, S.; Win, N.; Thu, M.M.; Mar, K.S.; Khatanbaatar, G.; Masuzaki, H.; Koji, T. Human papillomavirus infection and its possible correlation with p63 expression in cervical cancer in Japan, Mongolia, and Myanmar. Acta Histochem. Cytochem. 2009, 42, 181–190. [Google Scholar] [CrossRef]
- Hooghe, B.; Hulpiau, P.; Van Roy, F.; De Bleser, P. ConTra: A promoter alignment analysis tool for identification of transcription factor binding sites across species. Nucleic Acids Res. 2008, 36, W128–W132. [Google Scholar] [CrossRef] [PubMed]
- Derouane, F.; van Marcke, C.; Berlière, M.; Gerday, A.; Fellah, L.; Leconte, I.; Van Bockstal, M.R.; Galant, C.; Corbet, C.; Duhoux, F.P. Predictive Biomarkers of Response to Neoadjuvant Chemotherapy in Breast Cancer: Current and Future Perspectives for Precision Medicine. Cancers 2022, 14, 3876. [Google Scholar] [CrossRef]
- Klauschen, F.; Wienert, S.; Schmitt, W.D.; Loibl, S.; Gerber, B.; Blohmer, J.U.; Huober, J.; Rüdiger, T.; Erbstößer, E.; Mehta, K.; et al. Standardized Ki67 Diagnostics Using Automated Scoring—Clinical Validation in the GeparTrio Breast Cancer Study. Clin. Cancer Res. 2015, 21, 3651–3657. [Google Scholar] [CrossRef]
- Kritpracha, K.; Hanprasertpong, J.; Chandeying, V.; Dechsukhum, C.; Geater, A. Survival analysis in advanced epithelial ovarian carcinoma in relation to proliferative index of MIB-1 immunostaining. J. Obstet. Gynaecol. Res. 2005, 31, 268–276. [Google Scholar] [CrossRef]
- Heeran, M.C.; Høgdall, C.K.; Kjaer, S.K.; Christensen, L.; Jensen, A.; Blaakaer, J.; Christensen, I.J.; Høgdall, E.V. Prognostic value of tissue protein expression levels of MIB-1 (Ki-67) in Danish ovarian cancer patients. From the ‘MALOVA’ ovarian cancer study. APMIS 2013, 121, 1177–1186. [Google Scholar] [CrossRef]
- Layfield, L.J.; Saria, E.A.; Berchuck, A.; Dodge, R.K.; Thompson, J.K.; Conlon, D.H.; Kerns, B.-J.M. Prognostic value of MIB-1 in advanced ovarian carcinoma as determined using automated immunohistochemistry and quantitative image analysis. J. Surg. Oncol. 1997, 66, 230–237. [Google Scholar] [CrossRef]
- Berek, J.S.; Matulonis, U.A.; Peen, U.; Ghatage, P.; Mahner, S.; Redondo, A.; Lesoin, A.; Colombo, N.; Vergote, I.; Rosengarten, O.; et al. Safety and dose modification for patients receiving niraparib. Ann. Oncol. 2018, 29, 1784–1792. [Google Scholar] [CrossRef]
- Dangaj Laniti, D.; Coukos, G. Genetics and anatomy sculpt immune-cell partners of ovarian cancer. Nature 2022, 612, 634–636. [Google Scholar] [CrossRef] [PubMed]
- Vázquez-García, I.; Uhlitz, F.; Ceglia, N.; Lim, J.L.P.; Wu, M.; Mohibullah, N.; Niyazov, J.; Ruiz, A.E.B.; Boehm, K.M.; Bojilova, V.; et al. Ovarian cancer mutational processes drive site-specific immune evasion. Nature 2022, 612, 778–786. [Google Scholar] [CrossRef] [PubMed]




| Characteristic | N | % |
|---|---|---|
| Median Age at Diagnosis (Range) | 63 (range 38–84) | |
| International FIGO stage at diagnosis I II III IV NA | 8/136 15/136 91/136 21/136 1/136 | 5.9% 11% 66.9% 15.4% 0.7% |
| Grading G2 G3 | 3/136 133/136 | 2.2% 97.8% |
| CA-125 level at diagnosis ≤ULN >ULN NA | 15/136 104/136 17/136 | 11% 76.5% 12.5% |
| Type of surgery at diagnosis Upfront IDS No surgery | 90/136 44/136 2/136 | 66.2% 32.4% 1.5% |
| Residual disease at first surgery R = 0 R > 0 NA | 96/136 39/136 1/136 | 70.6% 28.7% 0.7% |
| CA-125 before starting PARPi ≤ULN >ULN NA | 93/136 41/136 2/136 | 68.4% 30.1% 1.5% |
| Histologic type Serous Endometrioid Mixed serous and endometrioid | 126/136 8/136 2/136 | 92.6% 5.9% 1.5% |
| BRCA wild-type (germline) Yes NA | 119/136 17/136 | 87.5% 12.5% |
| BRCA wild-type (somatic) Yes NA | 84/136 52/136 | 61.8% 38.2% |
| First PFI ≥12 months 6–12 months NA | 103/136 31/136 2/136 | 75.7% 22.8% 1.5% |
| No. of lines of chemotherapy before PARPi | ||
| 2 lines (first recurrence) | 98/136 | 72.1% |
| >2 lines | 38/136 | 27.9% |
| 3 lines | 26/38 | |
| 4 lines | 6/38 | |
| 5 lines | 5/38 | |
| 7 lines | 1/38 | |
| Bevacizumab Yes No | 92/136 44/136 | 67.6% 32.4% |
| Type of chemotherapy before PARPi Carboplatin-liposomial doxorubicine Carboplatin-gemcitabine Carboplatin monotherapy Carboplatin-paclitaxel Other | 47/136 23/136 1/136 45/136 20/136 | 34.6% 16.9% 0.7% 33.1% 14.7% |
| No. of surgeries before PARPi 1 2 3 5 | 90/136 40/136 5/136 1/136 | 66.1% 29.4% 3.7% 0.7% |
| Residual disease at last surgery R = 0 R > 0 NA | 75/136 22/136 39/136 | 55.1% 16.2% 28.7% |
| Median Ki67 at diagnosis | 45.71 (range 1.0–99.9) | |
| No. of patient ongoing at data-cut off * | 31/136 | 22.8% |
| Vital status atdata-cut off * Alive Dead | 84/136 52/136 | 61.8% 38.2% |
| PARPi Niraparib Rucaparib | 121/136 15/136 | 89.0% 11.0% |
| Median age at PARPi start (range) | 67.3 (range 44.2–86.6) | |
| Niraparib | Rucaparib | |
|---|---|---|
| No. of patients | 121/136 | 15/136 |
| Starting dose (mg/die) | 300 mg (38/121, 31.4%) 200 mg (83/121, 68.6%) | 1200 mg (15/15, 100%) |
| Dose reduction Yes No | 66/136 (48.5%) 70/136 (51.5) | |
| No. of patients ongoing at data cut-off * | 24/32 (77.4%) | 7/32 (22.6%) |
| Cause of discontinuation PD Toxicity Other | 99/136 (72.8%) 5/136 (3.7%) 1/136 (0.7) | |
| Best response to PARPi RC RP SD PD NA | 42/136 (30.9%) 31/136 (22.8%) 29/136 (21.3%) 33/136 (24.3%) 1/136 (0.7%) | |
| Characteristic | Ki67 ≤ 45.7% | Ki67 > 45.7% |
|---|---|---|
| Median age at diagnosis (range) | 65.5 (range 38–81) | 61 (range 42–84) |
| Median age at PARPi start (range) | 68.6 (range 44.6–83.6) | 64.6 (range 44.2–86.6) |
| International FIGO stage at diagnosis I II III IV | 3/68 (4.4%) 5/68 (7.4%) 48/68 (70.6%) 12/68 (17.6%) | p-value 0.413 |
| Grading G2 G3 | 1/68 (1.5%) 67/68 (98.5%) | p-value 0.559 2/68 (2.9%) 66/68 (97.8%) |
| CA-125 level at diagnosis ≤ULN >ULN NA | 5/68 (7.4%) 55/68 (80.9%) 8/68 (11.8%) | p-value 0.355 10/68 (14.7%) 49/68 (72.1) 9/68 (13.2%) |
| Type of surgery at diagnosis Upfront IDS No surgery | 42/68 (61.8%) 24/68 (35.3%) 2/68 (2.9%) | p-value 0.251 48/68 (70.6%) 20/68 (29.4%) 0 (0%) |
| Residual disease at first surgery R = 0 R > 0 NA | 46/68 (67.6%) 22/68 (32.4%) 0 (0%) | p-value 0.405 50/68 (73.5%) 17/68 (25%) 1/68 (0.5%) |
| CA-125 before starting PARPi ≤ULN >ULN NA | 45/68 (66.2%) 21/68 (30.9%) 2/68 (2.9%) | p-value 0.346 48/68 (70.6%) 20/68 (29.4%) 0 (0%) |
| Histologic type Serous Endometrioid Mixed serous and endometrioid | 65/68 (95.6%) 3/68 (4.4%) 0 (0%) | p-value 0.269 61/68 (89.7%) 5/68 (7.4%) 2/68 (2.9%) |
| BRCA wild-type (germline) Yes NA | 62/68 (91.2%) 6/68 (8.8%) | p-value 0.195 57/68 (83.8%) 11/68 (16.2%) |
| BRCA wild-type (somatic) Yes NA | 44/68 (64.7%) 24/68 (35.3%) | p-value 0.480 40/68 (58.8%) 28/68 (41.2%) |
| First PFI ≥12 months 6–12 months NA | 50/68 (73.5%) 17/68 (25.0%) 1/68 (1.5%) | p-value 0.828 53/68 (77.9%) 14/68 (20.6%) 1/68 (1.5%) |
| No. of lines of chemotherapy beforePARPi 2 lines (first recurrence) >2 lines 3 lines 4 lines 5 lines 7 lines | 53/68 (77.9%) 15/68 (22%) 11/68 (16.2%) 2/68 (2.9%) 2/68 (2.9%) 0 (0%) | p-value 0.535 45/68 (66.2%) 23/68 (33.9%) 15/68 (22.1%) 4/68 (5.9%) 3/68 (4.4%) 1/68 (1.5%) |
| Bevacizumab No Yes | 19/68 (27.9%) 49/68 (72%) | p-value 0.01 25/68 (36.8%) 43/68 (63.2%) |
| Type of chemotherapy before PARPi Carboplatin-liposomial doxorubicine Carboplatin-gemcitabine Carboplatin monotherapy Carboplatin-paclitaxel Other | 24/68 (35.3%) 13/68 (19.1%) 0 (0%) 23/68 (33.8%) 8/68 (11.8%) | p-value 0.693 23/68 (33.8%) 10/68 (14.7%) 1/68 (1.5%) 22/68 (32.4%) 12/68 (17.6%) |
| Clinical response after platinum-based chemotherapy before PARPi CR PR SD | 18/68 (26.5%) 47/68 (69.1%) 3/68 (4.4%) | p-value 0.186 27/68 (39.7%) 40/68 (58.8%) 1/68 (1.5%) |
| No. of surgeries of before PARPi 0 1 2 3 5 | 1/68 (1.5%) 47/68 (69.1%) 17/68 (25.0%) 8/68 (11.8%) 0 (0%) | p-value 0.496 0 (0%) 42/68 (61.8%) 23/68 (33.8%) 2/68 (2.9%) 1/68 (1.5%) |
| Residual disease at last surgery R = 0 R > 0 NA | 34/68 (50%) 16/68 (23.5%) 18/68 (26.5%) | p-value 0.06 41/68 (60.3%) 6/68 (8.8%) 21/68 (30.9%) |
| Type of chemotherapy after PARPi Platinum-based chemotherapy Liposomial doxorubicin-trabectedin Gemcitabine monotherapy Liposomial doxorubicin monotherapy Paclitaxel monotherapy Cyclophosphamide Etoposide Radiation Best supportive care Follow-up NA | 17/68 (27.9%) 10/68 (16.4%) 3/68 (4.9%) 3/68 (4.9%) 8/68 (13.1%) 0 (0%) 0 (0%) 0 (0%) 2/68 (3.3%) 1/68 (1.6%) 2/68 (3.3%) | p-value 0.272 27/68 (39.7%) 7/68 (10.3%) 1/68 (1.5%) 6/68 (8.8%) 3/68 (4.4%) 2/68 (2.9%) 3/68 (4.4%) 1/68 (1.5%) 3/68 (4.4%) 0 (0%) 3/68 (4.4%) |
| Vital status at data-cut off * Alive Dead | 38/68 (55.9%) 30/68 (44.1%) | p-value 0.158 46/68 (67.6%) 22/68 (32.4%) |
| PARPi Niraparib Rucaparib | 64/68 57/68 | p-value 0.055 4/68 11/68 |
| Ki67 ≤ 45.7% | Ki67 > 45.7% | |
|---|---|---|
| Starting dose (mg/die) 300 mg 200 mg 1200 mg | 17/68 (27.4%) 41/68 (66.1%) 4/68 (6.5%) | p-value 0.200 38/68 (56.7%) 18/68 (26.9%) 11/68 (16.4%) |
| Dose reduction Yes No | 33/68 (48,5%) 35/68 (51.5%) | p-value 0.200 33/68 (48.5%) 35/68 (51.5%) |
| Cause of discontinuation PD Toxicity Other Ongoing | 45/68 (66.2%) 2/68 (2.9%) 0 (0%) 21/68 (30.9%) | p-value 0.115 54/68 (79.4%) 3/68 (4.4%) 1/68 (1.5%) 10/68 (14.7%) |
| Best responce to PARPi CR PR SD PD NA | 13/68 (19.1%) 13/68 (26.5%) 18/68 (26.5%) 19/68 (27.9%) 1/68 (1.5) | p-value 0.295 25/68 (36.8%) 18/68 (26.5%) 17/68 (25%) 11/68 (16.2%) 0 (0%) |
Disclaimer/Publisher’s Note: The statements, opinions and data contained in all publications are solely those of the individual author(s) and contributor(s) and not of MDPI and/or the editor(s). MDPI and/or the editor(s) disclaim responsibility for any injury to people or property resulting from any ideas, methods, instructions or products referred to in the content. |
© 2023 by the authors. Licensee MDPI, Basel, Switzerland. This article is an open access article distributed under the terms and conditions of the Creative Commons Attribution (CC BY) license (https://creativecommons.org/licenses/by/4.0/).
Share and Cite
Tuninetti, V.; Ghisoni, E.; Pignata, S.; Picardo, E.; Raspagliesi, F.; Andreetta, C.; Maldi, E.; Artioli, G.; Mammoliti, S.; Zanchi, L.; et al. Ki67 as a Predictor of Response to PARP Inhibitors in Platinum Sensitive BRCA Wild Type Ovarian Cancer: The MITO 37 Retrospective Study. Cancers 2023, 15, 1032. https://doi.org/10.3390/cancers15041032
Tuninetti V, Ghisoni E, Pignata S, Picardo E, Raspagliesi F, Andreetta C, Maldi E, Artioli G, Mammoliti S, Zanchi L, et al. Ki67 as a Predictor of Response to PARP Inhibitors in Platinum Sensitive BRCA Wild Type Ovarian Cancer: The MITO 37 Retrospective Study. Cancers. 2023; 15(4):1032. https://doi.org/10.3390/cancers15041032
Chicago/Turabian StyleTuninetti, Valentina, Eleonora Ghisoni, Sandro Pignata, Elisa Picardo, Francesco Raspagliesi, Claudia Andreetta, Elena Maldi, Grazia Artioli, Serafina Mammoliti, Lucia Zanchi, and et al. 2023. "Ki67 as a Predictor of Response to PARP Inhibitors in Platinum Sensitive BRCA Wild Type Ovarian Cancer: The MITO 37 Retrospective Study" Cancers 15, no. 4: 1032. https://doi.org/10.3390/cancers15041032
APA StyleTuninetti, V., Ghisoni, E., Pignata, S., Picardo, E., Raspagliesi, F., Andreetta, C., Maldi, E., Artioli, G., Mammoliti, S., Zanchi, L., Sikokis, A., Biglia, N., Parisi, A., Mandato, V. D., Carella, C., Cormio, G., Marinaccio, M., Puppo, A., Paolini, B., ... Valabrega, G. (2023). Ki67 as a Predictor of Response to PARP Inhibitors in Platinum Sensitive BRCA Wild Type Ovarian Cancer: The MITO 37 Retrospective Study. Cancers, 15(4), 1032. https://doi.org/10.3390/cancers15041032

