State of the Art MR Imaging for Lung Cancer TNM Stage Evaluation
Abstract
Simple Summary
Abstract
1. Introduction
2. Dedicated Chest MRI
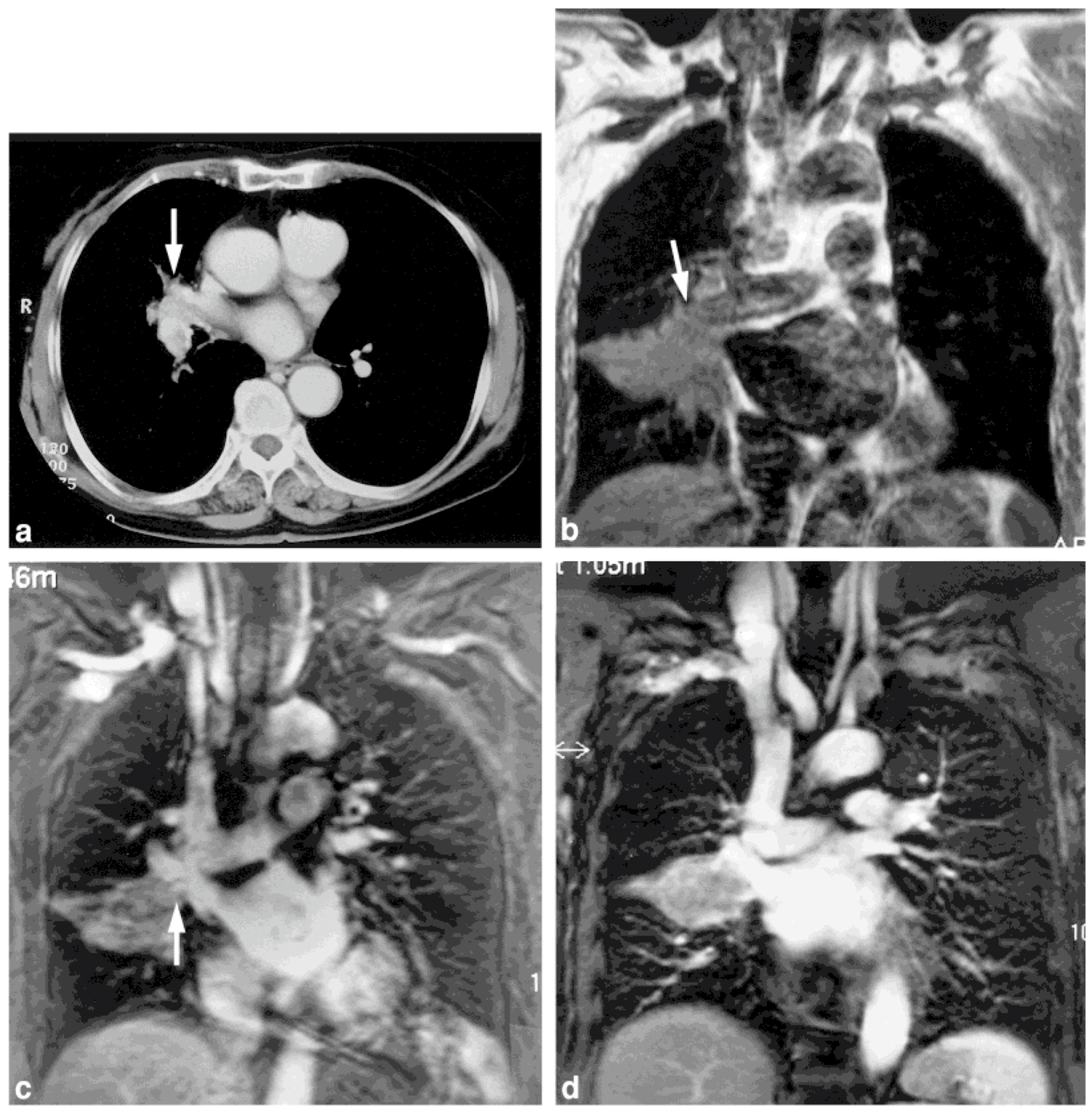
2.1. T-Factor Assessment
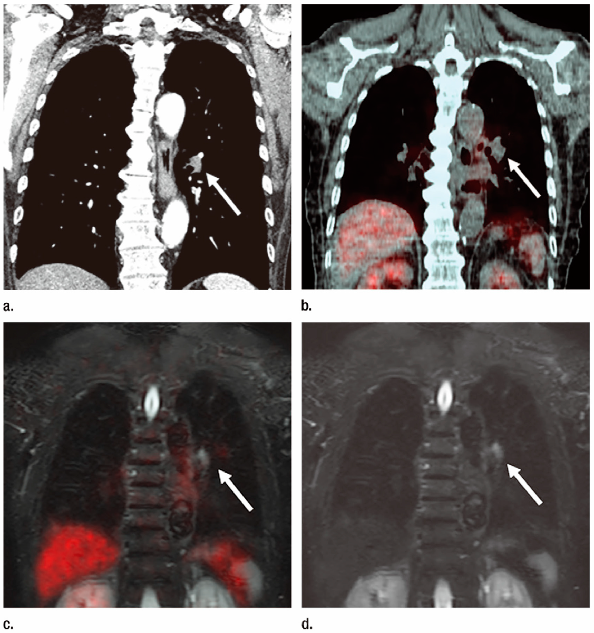
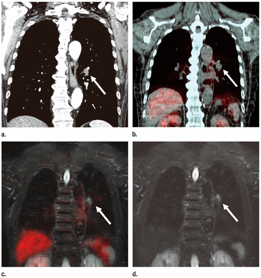
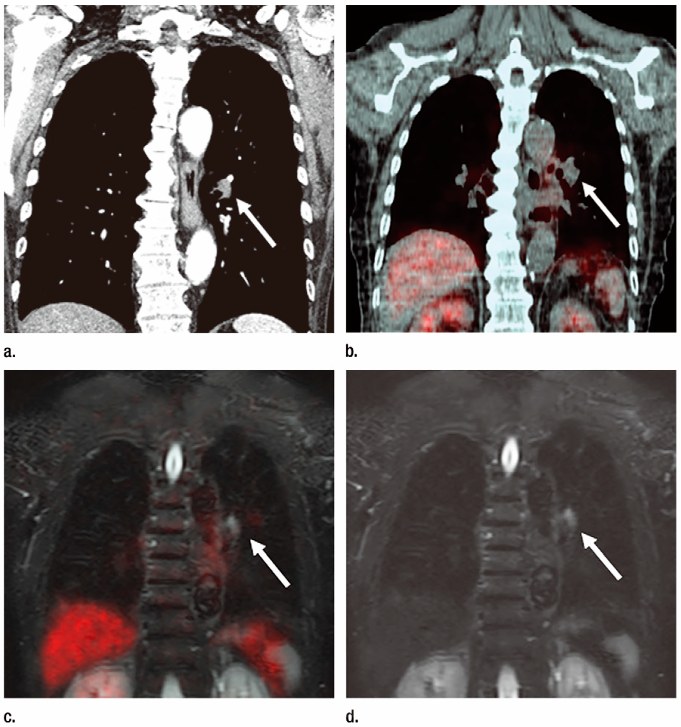
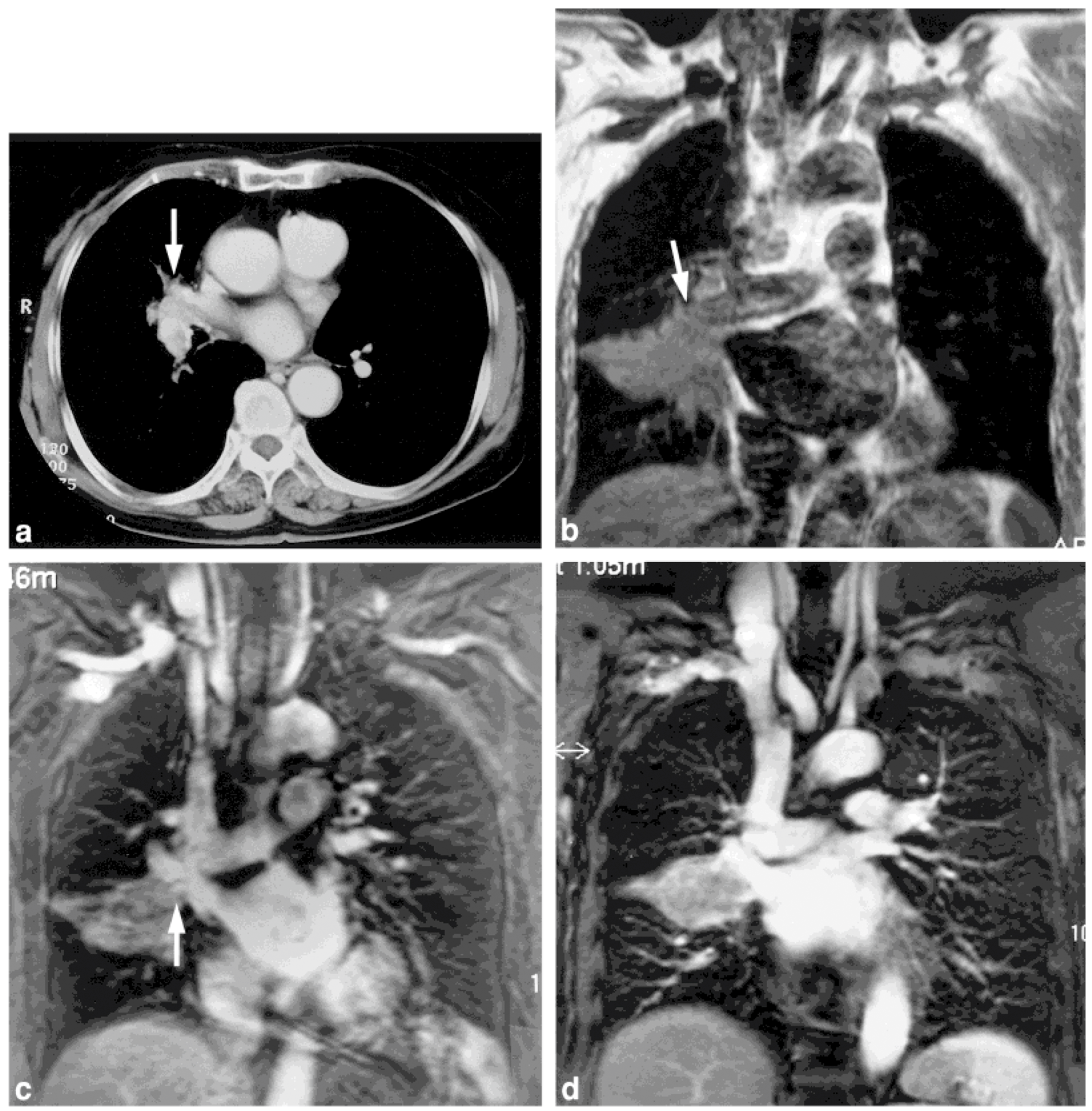
2.2. N-Factor Assessment
3. Whole-Body MRI and PET/MRI
3.1. T-Factor Assessment
3.2. N-Factor Assessment
3.3. M-Factor Assessment
4. Conclusions
Author Contributions
Funding
Conflicts of Interest
References
- Webb, W.R.; Gatsonis, C.; Zerhouni, E.A.; Heelan, R.T.; Glazer, G.M.; Francis, I.R.; McNeil, B.J. CT and MR imaging in staging non-small cell bronchogenic carcinoma: Report of the Radiologic Diagnostic Oncology Group. Radiology 1991, 178, 705–713. [Google Scholar] [CrossRef] [PubMed]
- Ohno, Y.; Sugimura, K.; Hatabu, H. MR imaging of lung cancer. Eur. J. Radiol. 2002, 44, 172–181. [Google Scholar] [CrossRef] [PubMed]
- Kwee, T.C.; Takahara, T.; Ochiai, R.; Koh, D.M.; Ohno, Y.; Nakanishi, K.; Niwa, T.; Chenevert, T.L.; Luijten, P.R.; Alavi, A. Complementary roles of whole-body diffusion-weighted MRI and 18F-FDG PET: The state of the art and potential applications. J. Nucl. Med. 2010, 51, 1549–1558. [Google Scholar] [CrossRef] [PubMed]
- Sieren, J.C.; Ohno, Y.; Koyama, H.; Sugimura, K.; McLennan, G. Recent technological and application developments in computed tomography and magnetic resonance imaging for improved pulmonary nodule detection and lung cancer staging. J. Magn. Reson. Imaging 2010, 32, 1353–1369. [Google Scholar] [CrossRef] [PubMed]
- Koyama, H.; Ohno, Y.; Seki, S.; Nishio, M.; Yoshikawa, T.; Matsumoto, S.; Sugimura, K. Magnetic resonance imaging for lung cancer. J. Thorac. Imaging 2013, 28, 138–150. [Google Scholar] [CrossRef] [PubMed]
- Ohno, Y. New applications of magnetic resonance imaging for thoracic oncology. Semin. Respir. Crit. Care Med. 2014, 35, 27–40. [Google Scholar] [CrossRef] [PubMed]
- Ohno, Y.; Koyama, H.; Yoshikawa, T.; Matsumoto, S.; Sugimura, K. Lung Cancer Assessment Using MR Imaging: An Update. Magn. Reson. Imaging Clin. N. Am. 2015, 23, 231–244. [Google Scholar] [CrossRef]
- Kim, H.S.; Lee, K.S.; Ohno, Y.; van Beek, E.J.; Biederer, J. PET/CT versus MRI for diagnosis, staging, and follow-up of lung cancer. J. Magn. Reson. Imaging 2015, 42, 247–260. [Google Scholar] [CrossRef]
- Ohno, Y.; Koyama, H.; Lee, H.Y.; Yoshikawa, T.; Sugimura, K. Magnetic Resonance Imaging (MRI) and Positron Emission Tomography (PET)/MRI for Lung Cancer Staging. J. Thorac. Imaging 2016, 31, 215–227. [Google Scholar] [CrossRef]
- Ciliberto, M.; Kishida, Y.; Seki, S.; Yoshikawa, T.; Ohno, Y. Update of MR Imaging for Evaluation of Lung Cancer. Radiol. Clin. N. Am. 2018, 56, 437–469. [Google Scholar] [CrossRef]
- Hatabu, H.; Ohno, Y.; Gefter, W.B.; Parraga, G.; Madore, B.; Lee, K.S.; Altes, T.A.; Lynch, D.A.; Mayo, J.R.; Seo, J.B.; et al. Expanding Applications of Pulmonary MRI in the Clinical Evaluation of Lung Disorders: Fleischner Society Position Paper. Radiology 2020, 297, 286–301. [Google Scholar] [CrossRef] [PubMed]
- Schiebler, M.L.; Parraga, G.; Gefter, W.B.; Madore, B.; Lee, K.S.; Ohno, Y.; Kauczor, H.U.; Hatabu, H. Synopsis from Expanding Applications of Pulmonary MRI in the Clinical Evaluation of Lung Disorders: Fleischner Society Position Paper. Chest 2021, 159, 492–495. [Google Scholar] [CrossRef]
- Ohno, Y.; Seo, J.B.; Parraga, G.; Lee, K.S.; Gefter, W.B.; Fain, S.B.; Schiebler, M.L.; Hatabu, H. Pulmonary Functional Imaging: Part 1-State-of-the-Art Technical and Physiologic Underpinnings. Radiology 2021, 299, 508–523. [Google Scholar] [CrossRef] [PubMed]
- Gefter, W.B.; Lee, K.S.; Schiebler, M.L.; Parraga, G.; Seo, J.B.; Ohno, Y.; Hatabu, H. Pulmonary Functional Imaging: Part 2-State-of-the-Art Clinical Applications and Opportunities for Improved Patient Care. Radiology 2021, 299, 524–538. [Google Scholar] [CrossRef]
- Tanaka, Y.; Ohno, Y.; Hanamatsu, S.; Obama, Y.; Ueda, T.; Ikeda, H.; Iwase, A.; Fukuba, T.; Hattori, H.; Murayama, K.; et al. State-of-the-art MR Imaging for Thoracic Diseases. Magn. Reson. Med. Sci. 2022, 21, 212–234. [Google Scholar] [CrossRef]
- Ohno, Y.; Hanamatsu, S.; Obama, Y.; Ueda, T.; Ikeda, H.; Hattori, H.; Murayama, K.; Toyama, H. Overview of MRI for pulmonary functional imaging. Br. J. Radiol. 2022, 95, 20201053. [Google Scholar] [CrossRef]
- Siegel, R.L.; Miller, K.D.; Fuchs, H.E.; Jemal, A. Cancer statistics, 2022. CA Cancer J. Clin. 2022, 72, 7–33. [Google Scholar] [CrossRef]
- Global Burden of Disease 2019 Cancer Collaboration. Cancer Incidence, Mortality, Years of Life Lost, Years Lived With Disability, and Disability-Adjusted Life Years for 29 Cancer Groups From 2010 to 2019: A Systematic Analysis for the Global Burden of Disease Study 2019. JAMA Oncol. 2022, 8, 420–444. [Google Scholar] [CrossRef]
- Sakai, S.; Murayama, S.; Murakami, J.; Hashiguchi, N.; Masuda, K. Bronchogenic carcinoma invasion of the chest wall: Evaluation with dynamic cine MRI during breathing. J. Comput. Assist Tomogr. 1997, 21, 595–600. [Google Scholar] [CrossRef]
- Takahashi, K.; Furuse, M.; Hanaoka, H.; Yamada, T.; Mineta, M.; Ono, H.; Nagasawa, K.; Aburano, T. Pulmonary vein and left atrial invasion by lung cancer: Assessment by breath-hold gadolinium-enhanced three-dimensional MR angiography. J. Comput. Assist Tomogr. 2000, 24, 557–561. [Google Scholar] [CrossRef] [PubMed]
- Ohno, Y.; Adachi, S.; Motoyama, A.; Kusumoto, M.; Hatabu, H.; Sugimura, K.; Kono, M. Multiphase ECG-triggered 3D contrast-enhanced MR angiography: Utility for evaluation of hilar and mediastinal invasion of bronchogenic carcinoma. J. Magn. Reson. Imaging 2001, 13, 215–224. [Google Scholar] [CrossRef] [PubMed]
- Ohno, Y.; Nishio, M.; Koyama, H.; Yoshikawa, T.; Matsumoto, S.; Seki, S.; Sugimura, K. Journal Club: Comparison of assessment of preoperative pulmonary vasculature in patients with non-small cell lung cancer by non-contrast- and 4D contrast-enhanced 3-T MR angiography and contrast-enhanced 64-MDCT. AJR Am. J. Roentgenol. 2014, 202, 493–506. [Google Scholar] [CrossRef] [PubMed]
- Tang, W.; Wu, N.; OuYang, H.; Huang, Y.; Liu, L.; Li, M. The presurgical T staging of non-small cell lung cancer: Efficacy comparison of 64-MDCT and 3.0 T MRI. Cancer Imaging 2015, 15, 14. [Google Scholar] [CrossRef] [PubMed]
- Higashino, T.; Ohno, Y.; Takenaka, D.; Watanabe, H.; Nogami, M.; Ohbayashi, C.; Yoshimura, M.; Satouchi, M.; Nishimura, Y.; Fujii, M.; et al. Thin-section multiplanar reformats from multidetector-row CT data: Utility for assessment of regional tumor extent in non-small cell lung cancer. Eur. J. Radiol. 2005, 56, 48–55. [Google Scholar] [CrossRef]
- Boiselle, P.M.; Patz, E.F., Jr.; Vining, D.J.; Weissleder, R.; Shepard, J.A.; McLoud, T.C. Imaging of mediastinal lymph nodes: CT, MR, and FDG PET. Radiographics 1998, 18, 1061–1069. [Google Scholar] [CrossRef] [PubMed]
- Takenaka, D.; Ohno, Y.; Hatabu, H.; Ohbayashi, C.; Yoshimura, M.; Ohkita, Y.; Sugimura, K. Differentiation of metastatic versus non-metastatic mediastinal lymph nodes in patients with non-small cell lung cancer using respiratory-triggered short inversion time inversion recovery (STIR) turbo spin-echo MR imaging. Eur. J. Radiol. 2002, 44, 216–224. [Google Scholar] [CrossRef]
- Ohno, Y.; Hatabu, H.; Takenaka, D.; Higashino, T.; Watanabe, H.; Ohbayashi, C.; Yoshimura, M.; Satouchi, M.; Nishimura, Y.; Sugimura, K. Metastases in mediastinal and hilar lymph nodes in patients with non-small cell lung cancer: Quantitative and qualitative assessment with STIR turbo spin-echo MR imaging. Radiology 2004, 231, 872–879. [Google Scholar] [CrossRef]
- Ohno, Y.; Koyama, H.; Nogami, M.; Takenaka, D.; Yoshikawa, T.; Yoshimura, M.; Ohbayashi, C.; Sugimura, K. STIR turbo SE MR imaging vs. coregistered FDG-PET/CT: Quantitative and qualitative assessment of N-stage in non-small-cell lung cancer patients. J. Magn. Reson. Imaging 2007, 26, 1071–1080. [Google Scholar] [CrossRef]
- Hasegawa, I.; Boiselle, P.M.; Kuwabara, K.; Sawafuji, M.; Sugiura, H. Mediastinal lymph nodes in patients with non-small cell lung cancer: Preliminary experience with diffusion-weighted MR imaging. J. Thorac. Imaging 2008, 23, 157–161. [Google Scholar] [CrossRef]
- Nomori, H.; Mori, T.; Ikeda, K.; Kawanaka, K.; Shiraishi, S.; Katahira, K.; Yamashita, Y. Diffusion-weighted magnetic resonance imaging can be used in place of positron emission tomography for N staging of non-small cell lung cancer with fewer false-positive results. J. Thorac. Cardiovasc. Surg. 2008, 135, 816–822. [Google Scholar] [CrossRef]
- Morikawa, M.; Demura, Y.; Ishizaki, T.; Ameshima, S.; Miyamori, I.; Sasaki, M.; Tsuchida, T.; Kimura, H.; Fujibayashi, Y.; Okazawa, H. The effectiveness of 18F-FDG PET/CT combined with STIR MRI for diagnosing nodal involvement in the thorax. J. Nucl. Med. 2009, 50, 81–87. [Google Scholar] [CrossRef] [PubMed]
- Nakayama, J.; Miyasaka, K.; Omatsu, T.; Onodera, Y.; Terae, S.; Matsuno, Y.; Cho, Y.; Hida, Y.; Kaga, K.; Shirato, H. Metastases in mediastinal and hilar lymph nodes in patients with non-small cell lung cancer: Quantitative assessment with diffusion-weighted magnetic resonance imaging and apparent diffusion coefficient. J. Comput. Assist Tomogr. 2010, 34, 1–8. [Google Scholar] [CrossRef] [PubMed]
- Usuda, K.; Zhao, X.T.; Sagawa, M.; Matoba, M.; Kuginuki, Y.; Taniguchi, M.; Ueda, Y.; Sakuma, T. Diffusion-weighted imaging is superior to positron emission tomography in the detection and nodal assessment of lung cancers. Ann. Thorac. Surg. 2011, 91, 1689–1695. [Google Scholar] [CrossRef] [PubMed]
- Ohno, Y.; Koyama, H.; Yoshikawa, T.; Nishio, M.; Aoyama, N.; Onishi, Y.; Takenaka, D.; Matsumoto, S.; Maniwa, Y.; Nishio, W.; et al. N stage disease in patients with non-small cell lung cancer: Efficacy of quantitative and qualitative assessment with STIR turbo spin-echo imaging, diffusion-weighted MR imaging, and fluorodeoxyglucose PET/CT. Radiology 2011, 261, 605–615. [Google Scholar] [CrossRef]
- Kim, Y.N.; Yi, C.A.; Lee, K.S.; Kwon, O.J.; Lee, H.Y.; Kim, B.T.; Choi, J.Y.; Kim, S.W.; Chung, M.P.; Han, J.; et al. A proposal for combined MRI and PET/CT interpretation criteria for preoperative nodal staging in non-small-cell lung cancer. Eur. Radiol. 2012, 22, 1537–1546. [Google Scholar] [CrossRef]
- Ohno, Y.; Koyama, H.; Yoshikawa, T.; Takenaka, D.; Kassai, Y.; Yui, M.; Matsumoto, S.; Sugimura, K. Diffusion-weighted MR imaging using FASE sequence for 3T MR system: Preliminary comparison of capability for N-stage assessment by means of diffusion-weighted MR imaging using EPI sequence, STIR FASE imaging and FDG PET/CT for non-small cell lung cancer patients. Eur. J. Radiol. 2015, 84, 2321–2331. [Google Scholar] [CrossRef]
- Ohno, Y.; Yui, M.; Takenaka, D.; Yoshikawa, T.; Koyama, H.; Kassai, Y.; Yamamoto, K.; Oshima, Y.; Hamabuchi, N.; Hanamatsu, S.; et al. Computed DWI MRI Results in Superior Capability for N-Stage Assessment of Non-Small Cell Lung Cancer Than That of Actual DWI, STIR Imaging, and FDG-PET/CT. J. Magn. Reson. Imaging 2023, 57, 259–272. [Google Scholar] [CrossRef]
- Fossel, E.T.; Brodsky, G.; deLayre, J.L.; Wilson, R.E. Nuclear magnetic resonance for the differentiation of benign and malignant breast tissues and axillary lymph nodes. Ann. Surg. 1983, 198, 541–545. [Google Scholar] [CrossRef]
- Wiener, J.I.; Chako, A.C.; Merten, C.W.; Gross, S.; Coffey, E.L.; Stein, H.L. Breast and axillary tissue MR imaging: Correlation of signal intensities and relaxation times with pathologic findings. Radiology 1986, 160, 299–305. [Google Scholar] [CrossRef]
- Bottomley, P.A.; Hardy, C.J.; Argersinger, R.E.; Allen-Moore, G. A review of 1H nuclear magnetic resonance relaxation in pathology: Are T1 and T2 diagnostic? Med. Phys. 1987, 14, 1–37. [Google Scholar] [CrossRef]
- Glazer, G.M.; Orringer, M.B.; Chenevert, T.L.; Borrello, J.A.; Penner, M.W.; Quint, L.E.; Li, K.C.; Aisen, A.M. Mediastinal lymph nodes: Relaxation time/pathologic correlation and implications in staging of lung cancer with MR imaging. Radiology 1988, 168, 429–431. [Google Scholar] [CrossRef] [PubMed]
- Bydder, G.M.; Hajnal, J.V.; Young, I. Use of the inversion recovery pulse sequence. In Magnetic Resonance Imaging, 3rd ed.; Stark, D.D., Bradley, W.G., Eds.; Mosby: St Louis, MO, USA, 1999; pp. 69–86. [Google Scholar]
- Shen, G.; Hu, S.; Deng, H.; Kuang, A. Performance of DWI in the Nodal Characterization and Assessment of Lung Cancer: A Meta-Analysis. AJR Am. J. Roentgenol. 2016, 206, 283–290. [Google Scholar] [CrossRef]
- Peerlings, J.; Troost, E.G.; Nelemans, P.J.; Cobben, D.C.; de Boer, J.C.; Hoffmann, A.L.; Beets-Tan, R.G. The Diagnostic Value of MR Imaging in Determining the Lymph Node Status of Patients with Non-Small Cell Lung Cancer: A Meta-Analysis. Radiology 2016, 281, 86–98. [Google Scholar] [CrossRef] [PubMed]
- Lv, Y.L.; Yuan, D.M.; Wang, K.; Miao, X.H.; Qian, Q.; Wei, S.Z.; Zhu, X.X.; Song, Y. Diagnostic performance of integrated positron emission tomography/computed tomography for mediastinal lymph node staging in non-small cell lung cancer: A bivariate systematic review and meta-analysis. J. Thorac. Oncol. 2011, 6, 1350–1358. [Google Scholar] [CrossRef]
- Zhao, L.; He, Z.Y.; Zhong, X.N.; Cui, M.L. (18)FDG-PET/CT for detection of mediastinal nodal metastasis in non-small cell lung cancer: A meta-analysis. Surg. Oncol. 2012, 21, 230–236. [Google Scholar] [CrossRef] [PubMed]
- Wu, L.M.; Xu, J.R.; Gu, H.Y.; Hua, J.; Chen, J.; Zhang, W.; Haacke, E.M.; Hu, J. Preoperative mediastinal and hilar nodal staging with diffusion-weighted magnetic resonance imaging and fluorodeoxyglucose positron emission tomography/computed tomography in patients with non-small-cell lung cancer: Which is better? J. Surg. Res. 2012, 178, 304–314. [Google Scholar] [CrossRef]
- Wu, Y.; Li, P.; Zhang, H.; Shi, Y.; Wu, H.; Zhang, J.; Qian, Y.; Li, C.; Yang, J. Diagnostic value of fluorine 18 fluorodeoxyglucose positron emission tomography/computed tomography for the detection of metastases in non-small-cell lung cancer patients. Int. J. Cancer 2013, 132, E37–E47. [Google Scholar] [CrossRef] [PubMed]
- Shen, G.; Lan, Y.; Zhang, K.; Ren, P.; Jia, Z. Comparison of 18F-FDG PET/CT and DWI for detection of mediastinal nodal metastasis in non-small cell lung cancer: A meta-analysis. PLoS ONE 2017, 12, e0173104. [Google Scholar] [CrossRef]
- Ohno, Y.; Koyama, H.; Nogami, M.; Takenaka, D.; Yoshikawa, T.; Yoshimura, M.; Kotani, Y.; Nishimura, Y.; Higashino, T.; Sugimura, K. Whole-body MR imaging vs. FDG-PET: Comparison of accuracy of M-stage diagnosis for lung cancer patients. J. Magn. Reson. Imaging 2007, 26, 498–509. [Google Scholar] [CrossRef]
- Yi, C.A.; Shin, K.M.; Lee, K.S.; Kim, B.T.; Kim, H.; Kwon, O.J.; Choi, J.Y.; Chung, M.J. Non-small cell lung cancer staging: Efficacy comparison of integrated PET/CT versus 3.0-T whole-body MR imaging. Radiology 2008, 248, 632–642. [Google Scholar] [CrossRef]
- Ohno, Y.; Koyama, H.; Onishi, Y.; Takenaka, D.; Nogami, M.; Yoshikawa, T.; Matsumoto, S.; Kotani, Y.; Sugimura, K. Non-small cell lung cancer: Whole-body MR examination for M-stage assessment–utility for whole-body diffusion-weighted imaging compared with integrated FDG PET/CT. Radiology 2008, 248, 643–654. [Google Scholar] [CrossRef] [PubMed]
- Takenaka, D.; Ohno, Y.; Matsumoto, K.; Aoyama, N.; Onishi, Y.; Koyama, H.; Nogami, M.; Yoshikawa, T.; Matsumoto, S.; Sugimura, K. Detection of bone metastases in non-small cell lung cancer patients: Comparison of whole-body diffusion-weighted imaging (DWI), whole-body MR imaging without and with DWI, whole-body FDG-PET/CT, and bone scintigraphy. J. Magn. Reson. Imaging 2009, 30, 298–308. [Google Scholar] [CrossRef] [PubMed]
- Sommer, G.; Wiese, M.; Winter, L.; Lenz, C.; Klarhöfer, M.; Forrer, F.; Lardinois, D.; Bremerich, J. Preoperative staging of non-small-cell lung cancer: Comparison of whole-body diffusion-weighted magnetic resonance imaging and 18F-fluorodeoxyglucose-positron emission tomography/computed tomography. Eur. Radiol. 2012, 22, 2859–2867. [Google Scholar] [CrossRef] [PubMed]
- Ohno, Y.; Nishio, M.; Koyama, H.; Yoshikawa, T.; Matsumoto, S.; Takenaka, D.; Seki, S.; Tsubakimoto, M.; Sugimura, K. Comparison of the utility of whole-body MRI with and without contrast-enhanced Quick 3D and double RF fat suppression techniques, conventional whole-body MRI, PET/CT and conventional examination for assessment of recurrence in NSCLC patients. Eur. J. Radiol. 2013, 82, 2018–2027. [Google Scholar] [CrossRef] [PubMed]
- Yi, C.A.; Lee, K.S.; Lee, H.Y.; Kim, S.; Kwon, O.J.; Kim, H.; Choi, J.Y.; Kim, B.T.; Hwang, H.S.; Shim, Y.M. Coregistered whole body magnetic resonance imaging-positron emission tomography (MRI-PET) versus PET-computed tomography plus brain MRI in staging resectable lung cancer: Comparisons of clinical effectiveness in a randomized trial. Cancer 2013, 119, 1784–1791. [Google Scholar] [CrossRef] [PubMed]
- Yoon, S.H.; Goo, J.M.; Lee, S.M.; Park, C.M.; Seo, H.J.; Cheon, G.J. Positron emission tomography/magnetic resonance imaging evaluation of lung cancer: Current status and future prospects. J. Thorac. Imaging 2014, 29, 4–16. [Google Scholar] [CrossRef]
- Heusch, P.; Buchbender, C.; Köhler, J.; Nensa, F.; Gauler, T.; Gomez, B.; Reis, H.; Stamatis, G.; Kühl, H.; Hartung, V.; et al. Thoracic staging in lung cancer: Prospective comparison of 18F-FDG PET/MR imaging and 18F-FDG PET/CT. J. Nucl. Med. 2014, 55, 373–378. [Google Scholar] [CrossRef]
- Ohno, Y.; Koyama, H.; Yoshikawa, T.; Takenaka, D.; Seki, S.; Yui, M.; Yamagata, H.; Aoyagi, K.; Matsumoto, S.; Sugimura, K. Three-way Comparison of Whole-Body MR, Coregistered Whole-Body FDG PET/MR, and Integrated Whole-Body FDG PET/CT Imaging: TNM and Stage Assessment Capability for Non-Small Cell Lung Cancer Patients. Radiology 2015, 275, 849–861. [Google Scholar] [CrossRef]
- Huellner, M.W.; de Galiza Barbosa, F.; Husmann, L.; Pietsch, C.M.; Mader, C.E.; Burger, I.A.; Stolzmann, P.; Delso, G.; Frauenfelder, T.; von Schulthess, G.K.; et al. TNM Staging of Non-Small Cell Lung Cancer: Comparison of PET/MR and PET/CT. J. Nucl. Med. 2016, 57, 21–26. [Google Scholar] [CrossRef]
- Lee, S.M.; Goo, J.M.; Park, C.M.; Yoon, S.H.; Paeng, J.C.; Cheon, G.J.; Kim, Y.T.; Park, Y.S. Preoperative staging of non-small cell lung cancer: Prospective comparison of PET/MR and PET/CT. Eur. Radiol. 2016, 26, 3850–3857. [Google Scholar] [CrossRef] [PubMed]
- Schaarschmidt, B.M.; Grueneisen, J.; Metzenmacher, M.; Gomez, B.; Gauler, T.; Roesel, C.; Heusch, P.; Ruhlmann, V.; Umutlu, L.; Antoch, G.; et al. Thoracic staging with 18F-FDG PET/MR in non-small cell lung cancer—Does it change therapeutic decisions in comparison to 18F-FDG PET/CT? Eur. Radiol. 2017, 27, 681–688. [Google Scholar] [CrossRef]
- Ohno, Y.; Yoshikawa, T.; Kishida, Y.; Seki, S.; Koyama, H.; Yui, M.; Kassai, Y.; Aoyagi, K.; Kaminaga, S.; Sugimura, K. Diagnostic performance of different imaging modalities in the assessment of distant metastasis and local recurrence of tumor in patients with non-small cell lung cancer. J. Magn. Reson. Imaging 2017, 46, 1707–1717. [Google Scholar] [CrossRef] [PubMed]
- Ohno, Y.; Yui, M.; Aoyagi, K.; Kishida, Y.; Seki, S.; Koyama, H.; Yoshikawa, T. Whole-Body MRI: Comparison of Its Capability for TNM Staging of Malignant Pleural Mesothelioma With That of Coregistered PET/MRI, Integrated FDG PET/CT, and Conventional Imaging. AJR Am. J. Roentgenol. 2019, 212, 311–319. [Google Scholar] [CrossRef] [PubMed]
- Ohno, Y.; Takeshi, Y.; Takenaka, D.; Koyama, H.; Aoyagi, K.; Yui, M. Comparison of Diagnostic Accuracy for TNM Stage Among Whole-Body MRI and Coregistered PET/MRI Using 1.5-T and 3-T MRI Systems and Integrated PET/CT for Non-Small Cell Lung Cancer. AJR Am. J. Roentgenol. 2020, 215, 1191–1198. [Google Scholar] [CrossRef] [PubMed]
- Ohno, Y.; Kishida, Y.; Seki, S.; Koyama, H.; Yui, M.; Aoyagi, K.; Yoshikawa, T. Comparison of Interobserver Agreement and Diagnostic Accuracy for IASLC/ITMIG Thymic Epithelial Tumor Staging Among Co-registered FDG-PET/MRI, Whole-body MRI, Integrated FDG-PET/CT, and Conventional Imaging Examination with and without Contrast Media Administrations. Acad Radiol. 2022, 29 (Suppl. S3), S122–S131. [Google Scholar] [CrossRef] [PubMed]
- Ohno, Y.; Yoshikawa, T.; Takenaka, D.; Koyama, H.; Aoyagi, K.; Yui, M.; Oshima, Y.; Hamabuchi, N.; Tanaka, Y.; Shigemura, C.; et al. Small Cell Lung Cancer Staging: Prospective Comparison of Conventional Staging Tests, FDG PET/CT, Whole-Body MRI, and Coregistered FDG PET/MRI. AJR Am. J. Roentgenol. 2022, 218, 899–908. [Google Scholar] [CrossRef]
- Silvestri, G.A.; Gonzalez, A.V.; Jantz, M.A.; Margolis, M.L.; Gould, M.K.; Tanoue, L.T.; Harris, L.J.; Detterbeck, F.C. Methods for staging non-small cell lung cancer: Diagnosis and management of lung cancer, 3rd ed: American College of Chest Physicians evidence-based clinical practice guidelines. Chest 2013, 143 (Suppl. S5), e211S–e250S. [Google Scholar] [CrossRef]
- Machado Medeiros, T.; Altmayer, S.; Watte, G.; Zanon, M.; Basso Dias, A.; Henz Concatto, N.; Hoefel Paes, J.; Mattiello, R.; de Souza Santos, F.; Mohammed, T.L.; et al. 18F-FDG PET/CT and whole-body MRI diagnostic performance in M staging for non-small cell lung cancer: A systematic review and meta-analysis. Eur. Radiol. 2020, 30, 3641–3649. [Google Scholar] [CrossRef]
- Ohno, Y.; Koyama, H.; Yoshikawa, T.; Seki, S.; Takenaka, D.; Yui, M.; Lu, A.; Miyazaki, M.; Sugimura, K. Pulmonary high-resolution ultrashort TE MR imaging: Comparison with thin-section standard- and low-dose computed tomography for the assessment of pulmonary parenchyma diseases. J. Magn. Reson. Imaging 2016, 43, 512–532. [Google Scholar] [CrossRef]
- Ohno, Y.; Koyama, H.; Yoshikawa, T.; Kishida, Y.; Seki, S.; Takenaka, D.; Yui, M.; Miyazaki, M.; Sugimura, K. Standard-, Reduced-, and No-Dose Thin-Section Radiologic Examinations: Comparison of Capability for Nodule Detection and Nodule Type Assessment in Patients Suspected of Having Pulmonary Nodules. Radiology 2017, 284, 562–573. [Google Scholar] [CrossRef]
- Wielpütz, M.O.; Lee, H.Y.; Koyama, H.; Yoshikawa, T.; Seki, S.; Kishida, Y.; Sakai, Y.; Kauczor, H.U.; Sugimura, K.; Ohno, Y. Morphologic Characterization of Pulmonary Nodules With Ultrashort TE MRI at 3T. AJR Am. J. Roentgenol. 2018, 210, 1216–1225. [Google Scholar] [CrossRef] [PubMed]
- Ohno, Y.; Kauczor, H.U.; Hatabu, H.; Seo, J.B.; van Beek, E.J.R.; International Workshop for Pulmonary Functional Imaging (IWPFI). MRI for solitary pulmonary nodule and mass assessment: Current state of the art. J. Magn. Reson. Imaging 2018, 47, 1437–1458. [Google Scholar] [CrossRef] [PubMed]
- Wielpütz, M.O.; Triphan, S.M.F.; Ohno, Y.; Jobst, B.J.; Kauczor, H.U. Outracing Lung Signal Decay—Potential of Ultrashort Echo Time MRI. Rofo 2019, 191, 415–423. [Google Scholar] [CrossRef] [PubMed]
- Zeng, F.; Nogami, M.; Ueno, Y.R.; Kanda, T.; Sofue, K.; Kubo, K.; Kurimoto, T.; Murakami, T. Diagnostic performance of zero-TE lung MR imaging in FDG PET/MRI for pulmonary malignancies. Eur. Radiol. 2020, 30, 4995–5003. [Google Scholar] [CrossRef]
- Ohno, Y.; Takenaka, D.; Yoshikawa, T.; Yui, M.; Koyama, H.; Yamamoto, K.; Hamabuchi, N.; Shigemura, C.; Watanabe, A.; Ueda, T.; et al. Efficacy of Ultrashort Echo Time Pulmonary MRI for Lung Nodule Detection and Lung-RADS Classification. Radiology 2022, 302, 697–706. [Google Scholar] [CrossRef]





| Sequence(s) | Comments | |
|---|---|---|
| T-factor | Axial and coronal STIR FASE, FSE, or TSE | Useful for detecting mediastinal and/or thoracic wall invasion due to fat suppression |
| Axial and coronal 3D T1-weighted GRE with and without Gd contrast media administration | Useful for assessing vascular invasion and measuring primary tumor | |
| N-factor | Axial and coronal STIR FASE, FSE or TSE | High-accuracy detection and characterization of hilar and mediastinal lymph node metastasis |
| Axial or coronal DWI using EPI or FASE (b = 0–1000 s/mm2) | ||
| M-factor | Axial and/or coronal 3D GRE using UTE | Detection of contralateral (and ipsilateral) nodules |
| Axial and coronal 3D T1-weighted GRE with and without Gd contrast media administration | Can detect pleural metastasis |
| Author | Year | Field Strength | Imaging Method | Image Analysis | MRI | CT | ||||
|---|---|---|---|---|---|---|---|---|---|---|
| SE (%) | SP (%) | AC (%) | SE (%) | SP (%) | AC (%) | |||||
| Webb [1] | 1991 | 0.35 and 1.5 | Non-ECG-gated T1WI | Differentiation between T0–T2 and T3–T4 | 80 | 56 | 73 | 84 | 63 | 78 |
| Sakai [19] | 1997 | 1.5 | Free-breathing cine gradient-echo (GRE) | Chest-wall invasion | 10 | 70 | 76 | 80 | 65 | 68 |
| Ohno [21] | 2001 | 1.5 | ECG-gated T1WI | Tumor invasion of pulmonary vessels | 67–70 | 75–80 | 73–75 | 67–70 | 60–64 | 68–71 |
| Non-ECG-gated CE-MR angiography | 78–80 | 73–83 | 75–82 | |||||||
| ECG-gated MR angiography | 89–90 | 83–87 | 86–88 | |||||||
| Ohno [22] | 2014 | 3 | Non-CE-MR angiography | Vascular anomaly in pulmonary artery or vein | 50.0–77.1 | 97.4–98.5 | 87.7–93.2 | 62.5–91.4 | 88.9–100 | 90.4–95.9 |
| CE-MR angiography | 62.5–77.1 | 97.4–100 | 87.7–95.9 | |||||||
| Tang [23] | 2015 | 3 | T1WI, T2WI with and without fat suppression, and 2D dynamic T1-weighted GRE | T-stage | N/A | N/A | 82.2 | N/A | N/A | 84.4 |
| Author | Year | Field Strength (T) | Imaging Method | Reference Standard | Analysis | MRI | FDG-PET/CT | CT | ||||||
|---|---|---|---|---|---|---|---|---|---|---|---|---|---|---|
| SE (%) | SP (%) | AC (%) | SE (%) | SP (%) | AC (%) | SE (%) | SP (%) | AC (%) | ||||||
| Takenaka [26] | 2002 | 1.5 | STIR (T1-weighted) | Histology | Per node basis | 100 | 96 | 96 | N/A | N/A | N/A | 52 | 91 | 83 |
| T1WI | 52 | 91 | 83 | |||||||||||
| STIR (T1-weighted) | Per patient basis | 100 | 75 | 88 | 46 | 75 | 60 | |||||||
| T1WI | 46 | 75 | 60 | |||||||||||
| Ohno [27] | 2004 | 1.5 | STIR (T1-weighted) | Histology | Per patient basis (Quantitative) | 93 | 87 | 89 | N/A | N/A | N/A | 53 | 83 | 72 |
| Per patient basis (Qualitative) | 88 | 86 | 86 | |||||||||||
| Ohno [28] | 2007 | 1.5 | STIR (T1-weighted) | Histology and/or follow-up | Per node basis (Quantitative) | 89 | 99 | 98.2 | 82.3 | 96.2 | 65.9 | N/A | N/A | N/A |
| Per node basis (Qualitative) | 86.3 | 97.2 | 96.3 | 80.8 | 95.8 | 94.6 | ||||||||
| Per patient basis (Quantitative) | 90.1 | 93.1 | 92.2 | 76.7 | 87.5 | 83.5 | N/A | N/A | N/A | |||||
| Per patient basis (Qualitative) | 83.7 | 90.3 | 87.8 | 74.4 | 87.5 | 82.6 | ||||||||
| Hasegawa [29] | 2008 | 1.5 | DWI | Histology | N2 vs. N0 or N1 | 80 | 97 | 95 | N/A | N/A | N/A | N/A | N/A | N/A |
| Nomori [30] | 2008 | 1.5 | DWI | Histology and/or follow-up | Per node basis (Quantitative) | 67 | 99 | 98 | 72 | 97 | 96 | N/A | N/A | N/A |
| Morikawa [31] | 2009 | 1.5 | STIR (T2-weighted) | Histology | Per node basis (Quantitative) | 96.3 | 67.3 | 84.7 | 90.2 | 65.5 | 80.3 | N/A | N/A | N/A |
| Per node basis (Qualitative) | 93.9 | 70.9 | 84.7 | 86.6 (PET with qualitative STIR) | 94.5 (PET with qualitative STIR) | 89.8 (PET with qualitative STIR) | N/A | N/A | N/A | |||||
| Per patient basis (Quantitative) | N/A | N/A | N/A | 90.2 | 65.6 | 81.7 | N/A | N/A | N/A | |||||
| Per patient basis (Qualitative) | N/A | N/A | N/A | 86.9 (PET with qualitative STIR) | 96.9 (PET with qualitative STIR) | 90.3 (PET with qualitative STIR) | N/A | N/A | N/A | |||||
| Nakayama [32] | 2010 | 1.5 | STIR (T2-weighted) | Histology | Per patient basis (Quantitative) | 61.5 | 98.1 | 91 | N/A | N/A | N/A | N/A | N/A | N/A |
| DWI | Per patient basis (Qualitative) | 69.2 | 100 | 94 | ||||||||||
| Usuda [33] | 2011 | 1.5 | DWI | Histology | Per node basis (Quantitative) | 75 | 99 | 95 | 48 | 97 | 90 | N/A | N/A | N/A |
| Per patient basis (Quantitative) | N/A | N/A | 71 | N/A | N/A | 65 | N/A | N/A | N/A | |||||
| Ohno [34] | 2011 | 1.5 | STIR (T1-weighted) | Histology | Per node basis (Quantitative) | 81.5 (LMR) or 83.7 (LSR) | 85.9 (LMR) or 86.7 (LSR) | 83.7 (LMR) or 85.1 (LSR) | 75.6 | 88.8 | 82.2 | N/A | N/A | N/A |
| DWI | Per node basis (Quantitative) | 74.8 | 87.4 | 81.1 | ||||||||||
| STIR (T1-weighted) | Per node basis (Qualitative) | 80 | 84.4 | 82.2 | 71.9 * | 88.9 | 80.4 | N/A | N/A | N/A | ||||
| DWI | Per node basis (Qualitative) | 72.6 * | 87.4 | 80 | ||||||||||
| STIR (T1-weighted) | Per patient basis (Quantitative) | 82.8 (LSR and LMR) | 89.2 (LSR and LMR) | 86.8 (LSR and LMR) | 74.2 | 92.4 | 85.6 | N/A | N/A | N/A | ||||
| DWI | Per patient basis (Quantitative) | 74.2 | 90.4 | 84.4 | ||||||||||
| STIR (T1-weighted) | Per patient basis (Qualitative) | 77.4 | 88.5 | 84.4 | 69.9 | 91.7 | 83.6 | N/A | N/A | N/A | ||||
| DWI | Per patient basis (Qualitative) | 71 | 89.8 | 82.8 | ||||||||||
| Kim [35] | 2012 | 1.5 | Combined DWI, T2WI or PET/CT (Inclusive criteria) | Histology | Per node basis (Semi-quantitative) | 69 | 93 | 89 | 46 | 96 | 87 | N/A | N/A | N/A |
| Combined DWI, T2WI and PET/CT (Exclusive criteria) | Per node basis (Semi-quantitative) | 44 | 99 | 89 | ||||||||||
| Combined DWI, T2WI or PET/CT (Inclusive criteria) | Per patient basis (Semi-quantitative) | N/A | N/A | 71 | N/A | N/A | 63 | N/A | N/A | N/A | ||||
| Combined DWI, T2WI and PET/CT (Exclusive criteria) | Per patient basis (Semi-quantitative) | |||||||||||||
| Ohno [36] | 2015 | 3 | STIR (T1-weighted) | Histology | Per node basis (Qualitative) | 82.1 | 98.7 | 90.4 | 57.7 | 97.4 | 77.6 | N/A | N/A | N/A |
| DWI obtained by FASE sequence | Per node basis (Qualitative) | 82.1 | 98.7 | 90.4 | ||||||||||
| DWI obtained by EPI sequence | Per node basis (Qualitative) | 60.3 | 98.7 | 79.5 | ||||||||||
| STIR (T1-weighted) | Operative vs. Inoperative (Qualitative) | 100 | 88 | 89.5 | 50 | 89.2 | 84.2 | N/A | N/A | N/A | ||||
| DWI obtained by FASE sequence | Operative vs. Inoperative (Qualitative) | 100 | 88 | 89.5 | ||||||||||
| DWI obtained by EPI sequence | Operative vs. Inoperative (Qualitative) | 75 | 89.2 | 87.4 | ||||||||||
| Ohno [37] | 2022 | 3 | STIR (T1-weighted) | Histology | Per node basis (Quantitative) | 86.8 | 66.7 | 76.8 | 78.9 | 71.1 | 75 | N/A | N/A | N/A |
| Actual DWI | Per node basis (Quantitative) | 83.3 | 66.7 | 75 | ||||||||||
| ADC map from actual DWI | Per node basis (Quantitative) | 81 | 71.9 | 76.8 | ||||||||||
| Computed DWI at the most appropriate b value | Per node basis (Quantitative) | 86.8 | 71.9 | 79.4 | ||||||||||
| STIR (T1-weighted) | Per node basis (Qualitative) | 86.8 | 60.5 | 73.7 | 85.1 | 57 | 71 | N/A | N/A | N/A | ||||
| Actual DWI | Per node basis (Qualitative) | 82.5 | 60.5 | 71.5 | ||||||||||
| ADC map from actual DWI | Per node basis (Qualitative) | 82.5 | 60.5 | 71.5 | ||||||||||
| Computed DWI at the most appropriate b value | Per node basis (Qualitative) | 87.7 | 60.5 | 74.1 | ||||||||||
| STIR (T1-weighted) | Per patient basis (Quantitative) | N/A | N/A | 90.6 | N/A | N/A | 85.3 | N/A | N/A | N/A | ||||
| Actual DWI | Per patient basis (Quantitative) | 86.9 | ||||||||||||
| ADC map from actual DWI | Per patient basis (Quantitative) | 86.9 | ||||||||||||
| Computed DWI at the most appropriate b value | Per patient basis (Quantitative) | 90.2 | ||||||||||||
| STIR (T1-weighted) | Per patient basis (Qualitative) | N/A | N/A | 86.9 | N/A | N/A | 82.9 | N/A | N/A | N/A | ||||
| Actual DWI | Per patient basis (Qualitative) | 84.5 | ||||||||||||
| ADC map from actual DWI | Per patient basis (Qualitative) | 84.5 | ||||||||||||
| Computed DWI at the most appropriate b value | Per patient basis (Qualitative) | 86.5 | ||||||||||||
| Whole-Body MR Imaging or MR Section of Whole-Body PET/MRI | ||
|---|---|---|
| Sequences | Comments | |
| T-factor | Coronal or axial STIR imaging | Can detect mediastinal and/or thoracic wall invasion due to fat suppression |
| Coronal or axial T2WI | ||
| Coronal 3D T1-weighted GRE with or without Gd contrast media administration | Useful for assessing vascular invasion | |
| N-factor | Coronal or axial STIR imaging | High accuracy for detection and characterization of hilar and mediastinal lymph node metastasis |
| Coronal or axial DWI using EPI or FASE (b = 0–1000 s/mm2) | ||
| M-factor | Coronal, sagittal, or axial STIR imaging | Detection of distant metastases (e.g., cerebral, adrenal, skeletal, abdominal, or lymph nodes) |
| Coronal, sagittal, or axial T1-weighted GRE in-phase/out-phase | ||
| Coronal or axial 3D GRE using UTE | ||
| Coronal DWI or axial using EPI or FASE (b = 0–1000 s/mm2) | ||
| Coronal, sagital, or axial 3D T1-weighted GRE with or without Gd contrast media administration | ||
| Author | Year | Field Strength (T) | Image Evaluation | Whole-Body MRI | FDG-PET/MRI | FDG-PET/CT | |||||||
|---|---|---|---|---|---|---|---|---|---|---|---|---|---|
| SE (%) | SP (%) | AC (%) | PET/MR Method | SE (%) | SP (%) | AC (%) | SE (%) | SP (%) | AC (%) | ||||
| Yi [51] | 2008 | 3 | Visual assessment | N/A | N/A | 86 | N/A | N/A | N/A | N/A | N/A | N/A | 82 |
| Sommer [54] | 2012 | 1.5 | Visual assessment | N/A | N/A | 63 | N/A | N/A | N/A | N/A | N/A | N/A | 56 |
| Ohno [59] | 2015 | 3 | Visual assessment with signal intensity | 100 | 55.6 | 94.3 | Co-registered | 100 | 55.6 | 94.3 | 100 | 33.3 | 91.4 |
| Visual assessment without signal intensity | 100 | 33 | 91.4 | ||||||||||
| Huellner [60] | 2016 | 3 | Visual assessment | N/A | N/A | N/A | Integrated | N/A | N/A | 69 | N/A | N/A | 81 |
| Lee [61] | 2016 | 3 | Visual assessment | N/A | N/A | N/A | Integrated | N/A | N/A | 80 | N/A | N/A | 80 |
| Schaarschmidt [62] | 2017 | 3 | Visual assessment | N/A | N/A | N/A | Integrated | N/A | N/A | 65 | N/A | N/A | 65 |
| Ohno [65] | 2020 | 3 | Visual assessment with signal intensity | N/A | N/A | 92.3 | Co-registered | N/A | N/A | 92.3 | N/A | N/A | 94.2 |
| 1.5 | Visual assessment with signal intensity | 92.3 | 89.4 | ||||||||||
| Author | Year | Field Strength (T) | Image Evaluation | Whole-Body MRI | FDG-PET/MRI | FDG-PET/CT | |||||||
|---|---|---|---|---|---|---|---|---|---|---|---|---|---|
| SE (%) | SP (%) | AC (%) | PET/MR Method | SE (%) | SP (%) | AC (%) | SE (%) | SP (%) | AC (%) | ||||
| Yi [51] | 2008 | 3 | Visual assessment | N/A | N/A | 68 | N/A | N/A | N/A | N/A | N/A | N/A | 70 |
| Sommer [54] | 2012 | 1.5 | Visual assessment | N/A | N/A | 66 | N/A | N/A | N/A | N/A | N/A | N/A | 71 |
| Ohno [59] | 2015 | 3 | Visual assessment with signal intensity | 100 | 92.9 | 98.6 | Co-registered | 100 | 92.9 | 98.6 | 93.8 | 85.7 | 92.1 |
| Visual assment without signal intensity | 93.8 | 85.7 | 92.1 | ||||||||||
| Huellner [60] | 2016 | 3 | Visual assessment | N/A | N/A | N/A | Integrated | N/A | N/A | 79 | N/A | N/A | 88 |
| Lee [61] | 2016 | 3 | Visual assessment | N/A | N/A | N/A | Integrated | N/A | N/A | 57.1 | N/A | N/A | 52.4 |
| Schaarschmidt [62] | 2017 | 3 | Visual assessment | N/A | N/A | N/A | Integrated | N/A | N/A | 77 | N/A | N/A | 77 |
| Ohno [65] | 2020 | 3 | Visual assessment with signal intensity | N/A | N/A | 86.5 | Co-registered | N/A | N/A | 84.6 | N/A | N/A | 79.8 |
| 1.5 | Visual assessment with signal intensity | 84.6 | 82.7 | ||||||||||
| Author | Year | Field Strength (T) | Evaluated Sites | Image Evaluation | Whole-Body MRI | FDG-PET/MRI | FDG-PET/CT | ||||||||
|---|---|---|---|---|---|---|---|---|---|---|---|---|---|---|---|
| Protocol | SE (%) | SP (%) | AC (%) | PET/MR Method | SE (%) | SP (%) | AC (%) | SE (%) | SP (%) | AC (%) | |||||
| Ohno [50] | 2007 | 1.5 | M-factor | Visual assessment | MRI including brain MRI | 80 | 80 | 80 | N/A | N/A | N/A | N/A | 70 | 74.3 | 73.3 |
| MRI excluding brain MRI | 80 | 80 | 80 | 80 | 74.3 | 75.6 | |||||||||
| Yi [51] | 2008 | 3 | M-factor | Visual assessment | N/A | 52 | 94 | 86 | N/A | N/A | N/A | N/A | 48 | 96 | 86 |
| Ohno [52] | 2008 | 1.5 | M-factor | Visual assessment | DWI | 57.5 | 87.7 | 81.8 | N/A | N/A | N/A | N/A | 62.5 | 94.5 | 88.2 |
| M-factor | MRI without DWI | 60 | 92 | 85.7 | |||||||||||
| M-factor | MRI with DWI | 70 | 92 | 87.7 | |||||||||||
| Takenaka [53] | 2009 | 1.5 | bone metastasis | Visual assessment | DWI | 95.5 | 93.7 | 93.9 | N/A | N/A | N/A | N/A | 97 | 95.4 | 95.5 |
| MRI without DWI | 73.1 | 96.4 | 94.8 | ||||||||||||
| MRI with DWI | 95.5 | 96.1 | 96.1 | ||||||||||||
| Bone scan | 95.5 | 95.4 | 95.5 | ||||||||||||
| Ohno [59] | 2015 | 3 | M-factor | Visual assessment with signal intensity assessment | MRI including DWI and brain MRI | 100 | 87.5 | 98.6 | Co-registered | 100 | 87.5 | 98.6 | 92.7 | 75 | 90.7 |
| Visual assessment without signal intensity assessment | 92.7 | 81.3 | 91.4 | ||||||||||||
| Huellner [60] | 2016 | 3 | M-factor | Visual assessment | N/A | N/A | N/A | N/A | Integrated | N/A | N/A | 81 | N/A | N/A | 83 |
| Lee [61] | 2016 | 3 | M-factor | Visual assessment | N/A | N/A | N/A | N/A | Integrated | N/A | N/A | 83.3 | N/A | N/A | 83.3 |
| Schaarschmidt [62] | 2017 | 3 | M-factor | Visual assessment | N/A | N/A | N/A | N/A | Integrated | N/A | N/A | 98.7 | N/A | N/A | 98.7 |
| Ohno [65] | 2020 | 3 | M-factor | Visual assessment with signal intensity | MRI including DWI and brain MRI | N/A | N/A | 97.1 | Co-registered | N/A | N/A | 97.1 | N/A | N/A | 96.2 |
| 1.5 | Visual assessment with signal intensity | 94.2 | 94.2 | ||||||||||||
Disclaimer/Publisher’s Note: The statements, opinions and data contained in all publications are solely those of the individual author(s) and contributor(s) and not of MDPI and/or the editor(s). MDPI and/or the editor(s) disclaim responsibility for any injury to people or property resulting from any ideas, methods, instructions or products referred to in the content. |
© 2023 by the authors. Licensee MDPI, Basel, Switzerland. This article is an open access article distributed under the terms and conditions of the Creative Commons Attribution (CC BY) license (https://creativecommons.org/licenses/by/4.0/).
Share and Cite
Ohno, Y.; Ozawa, Y.; Koyama, H.; Yoshikawa, T.; Takenaka, D.; Nagata, H.; Ueda, T.; Ikeda, H.; Toyama, H. State of the Art MR Imaging for Lung Cancer TNM Stage Evaluation. Cancers 2023, 15, 950. https://doi.org/10.3390/cancers15030950
Ohno Y, Ozawa Y, Koyama H, Yoshikawa T, Takenaka D, Nagata H, Ueda T, Ikeda H, Toyama H. State of the Art MR Imaging for Lung Cancer TNM Stage Evaluation. Cancers. 2023; 15(3):950. https://doi.org/10.3390/cancers15030950
Chicago/Turabian StyleOhno, Yoshiharu, Yoshiyuki Ozawa, Hisanobu Koyama, Takeshi Yoshikawa, Daisuke Takenaka, Hiroyuki Nagata, Takahiro Ueda, Hirotaka Ikeda, and Hiroshi Toyama. 2023. "State of the Art MR Imaging for Lung Cancer TNM Stage Evaluation" Cancers 15, no. 3: 950. https://doi.org/10.3390/cancers15030950
APA StyleOhno, Y., Ozawa, Y., Koyama, H., Yoshikawa, T., Takenaka, D., Nagata, H., Ueda, T., Ikeda, H., & Toyama, H. (2023). State of the Art MR Imaging for Lung Cancer TNM Stage Evaluation. Cancers, 15(3), 950. https://doi.org/10.3390/cancers15030950

