Next Article in Journal
Preferential Expansion of HPV16 E1-Specific T Cells from Healthy Donors’ PBMCs after Ex Vivo Immunization with an E1E2E6E7 Fusion Antigen
Previous Article in Journal
Graph Neural Networks in Cancer and Oncology Research: Emerging and Future Trends
 
 
Font Type:
Arial Georgia Verdana
Font Size:
Aa Aa Aa
Line Spacing:
Column Width:
Background:
Article

Splenic Hilar Involvement and Sinistral Portal Hypertension in Unresectable Pancreatic Tail Cancer

Department of Hepato-Biliary-Pancreatic Medicine, Cancer Institute Hospital of Japanese Foundation for Cancer Research, 3-8-31 Ariake, Koto-ku, Tokyo 135-8550, Japan
*
Author to whom correspondence should be addressed.
Cancers 2023, 15(24), 5862; https://doi.org/10.3390/cancers15245862
Submission received: 12 November 2023 / Revised: 10 December 2023 / Accepted: 14 December 2023 / Published: 15 December 2023
(This article belongs to the Section Clinical Research of Cancer)

Abstract

Simple Summary

Pancreatic cancer can be categorized into pancreatic head, body, and tail cancer, all of which carry a grim prognosis. Pancreatic tail cancer frequently invades the splenic hilum and splenic vein. It is currently unclear whether splenic hilar involvement is associated with a poor prognosis. Splenic vein occlusion can also lead to sinistral portal hypertension, which can in turn give rise to gastric varices. The clinical impact of sinistral portal hypertension and hemorrhagic events has yet to be elucidated. In this study, we explore the effect of splenic hilar involvement and sinistral portal hypertension on outcomes in patients with pancreatic tail cancer. The results of this study may contribute to better prediction of outcomes and assist physicians in the education and care of their patients.

Abstract

Background: Pancreatic tail cancer (PTC) frequently displays splenic hilar involvement (SHI), but its impact on clinical outcomes remains unclear. We investigated the clinical impact of SHI in patients with unresectable PTC. Methods: We retrospectively reviewed all patients with unresectable PTC who received first-line therapy at our institution from 2016 to 2020. Results: Of the 111 included patients, 48 had SHI at diagnosis. SHI was significantly associated with younger age, liver metastasis, peritoneal dissemination, larger tumor size, modified Glasgow prognostic score of 1 or more, splenic artery involvement, gastric varices, and splenomegaly. Shorter median overall survival (OS; 9.3 vs. 11.6 months, p = 0.003) and progression-free survival (PFS; 4.3 vs. 6.3 months, p = 0.013) were observed in SHI patients. Poor performance status of 1 or 2, tumor size > 50 mm, hepatic metastasis, mGPS of 1 or 2, and SHI (hazard ratio: 1.65, 95% confidence interval: 1.08–2.52, p = 0.020) were independent predictors of shorter OS. Splenic artery pseudoaneurysm rupture and variceal rupture were rare and only observed in cases with SHI. Conclusions: Splenic hilar involvement is associated with worse outcomes in pancreatic tail cancer.

1. Introduction

Differences in characteristics of pancreatic ductal adenocarcinoma (PDAC) based on its origin (dorsal or ventral pancreas) and location (pancreatic head, body, or tail) have been investigated in various studies [1,2,3,4,5,6]. A majority of PDACs occur in the pancreatic head, which is more prone to fatty tissue infiltration and has fewer islets of Langerhans than the body or tail [3]. PDACs of the pancreatic head are also more likely to be detected early based on symptoms such as obstructive jaundice, with reports suggesting longer overall survival (OS) compared to PDACs of the body or tail [3,4] but shorter survival when matching cancer stage [5,6,7,8]. Recently, differences in genomic composition based on PDAC location have been found, with more enriched genomic alterations but lower rates of druggable targets in PDACs of the body or tail [9,10]. While PDACs of the pancreatic body and tail are often grouped together in comparison with pancreatic head cancers, behavioral differences between PDACs arising in the pancreatic body and those arising in the pancreatic tail have also been reported [11].
The pancreatic head and body are anatomically close to key arteries such as the celiac axis, superior mesenteric artery, and their respective branches, as well as the splenoportal confluence (SPC). On the other hand, PDAC of the pancreatic tail (pancreatic tail cancer: PTC) initially only invades the splenic vein and/or artery, making them less likely to be borderline resectable [12] or unresectable due to locally-advanced disease. However, splenic vein occlusion can give rise to sinistral portal hypertension (SPH) and complications such as gastric varices (GV) [13]. SPH has been reported after pancreaticoduodenectomy involving splenic vein or SPC resection [14,15,16,17,18], but reports on SPH in unresectable PDAC are scarce [13].
A unique feature of PTC is its ability to invade the splenic hilum. There are sparse reports on splenic hilar involvement (SHI) in PTC from surgeons, evaluating the techniques and potential benefits and harms of spleen-preserving distal pancreatectomy [19,20,21]. However, the clinical implications of SHI in unresectable PTC has not been studied. Therefore, we investigated the radiological findings and outcomes of patients with unresectable PTC, focusing on the presence of SHI and SPH.

2. Materials and Methods

2.1. Patients

We reviewed records of all patients with unresectable PDAC of the pancreatic tail who underwent chemotherapy at our institution between 1 January 2016 and 31 December 2020, from our prospectively maintained database. Only patients with pathologically-proven PTC that was unresectable at the time of cancer diagnosis and with at least one contrast-enhanced computed tomography (CT) examination at our institution were included. Exclusion criteria included co-existing advanced-stage cancers, history of gastrectomy or splenectomy, extension of PDAC to the pancreatic head or body, and malignant SPC obstruction. Cases of isolated portal vein thrombosis were included if determined not to be tumor thrombi based on the lack of contrast enhancement on contrast-enhanced CT.

2.2. Baseline Characteristics

Age, Eastern Cooperative Oncology Group performance status (PS), disease status, sites of metastases, and laboratory data including tumor markers were evaluated at the time of diagnosis. Modified Glasgow prognostic score (mGPS) was calculated based on serum albumin and C-reactive protein (CRP) at diagnosis, with a score of 0 if CRP is ≤1 mg/dL, a score of 1 if albumin is ≥3.5 g/dL and CRP is ˃1 mg/dL, and a score of 2 if albumin is ˂3.5 g/dL and CRP ˃ 1 mg/dL [22]. Neutrophil-to-lymphocyte ratio (NLR) was calculated as the ratio of neutrophils to lymphocytes in the white blood cell differential [23].
Contrast-enhanced CT was performed within one month of diagnosis in all patients, and such findings were assumed to reflect the baseline condition at diagnosis (i.e., deemed to be taken on the day of diagnosis). Axial images were captured in 1.25 mm slices and were reconstructed for coronal images. In general, CT images were evaluated by board-certified radiologists specializing in oncology, and measurements were obtained by one of the authors (TO) using both axial images and coronal reconstruction.
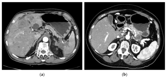
Tumor size was measured along the splenic vein to reflect the degree of splenic vein invasion, which generally, but not always, was also the maximum diameter of the tumor. Vessel invasion was considered present if there was any degree of stenosis in the target vessel, while occlusion was considered present if no contrast passed through the invaded portion of the target vessel. SHI was considered present if the tumor invaded the splenic hilum causing stricture or occlusion where vessels branched out immediately before entering the spleen (Figure 1). Direct contact with, or invasion into, the spleen was therefore not required to meet the definition of SHI. Dilation of the short, posterior, or left gastric veins was defined as a maximum diameter of 5 mm or more at any point along the relevant vein. Splenic index was calculated as largest measurement in the axial plane x largest perpendicular dimension to such measurement x maximum craniocaudal length on coronal reconstruction, and splenomegaly was defined as having a splenic index > 480 [24,25]. The presence of varices was determined based on collateral veins reaching the esophageal or gastric mucosa on contrast-enhanced CT, irrespective of whether varices could be identified on esophagogastroduodenoscopy (EGD). Varices were classified according to Sarin et al.’s classification [26] and were used as a surrogate marker for SPH in this study.
EGD was only performed when upper gastrointestinal bleeding (UGIB) was suspected due to hematemesis, coffee ground emesis, melena, or a sudden drop in hemoglobin; no routine screening EGDs were performed. The cause of UGIB was determined based on EGD reports and images. All procedures were performed by board-certified endoscopists or trainees under their direct supervision. Endoscopic hemostasis was attempted at the discretion of the endoscopist.

2.3. Follow-Up

Contrast-enhanced CT was performed every 2–3 months except in cases that developed kidney injury or allergies to contrast media during the follow-up period, in which case CT without contrast was performed. The maximum diameter of varices was determined by measuring the largest varix (as defined above) at the esophageal or gastric mucosa found in all contrast-enhanced CT scans performed on each patient. The measurement was generally based on the last contrast-enhanced CT performed, unless factors such as massive ascites precluded an accurate measurement.
Given the limited prognosis associated with unresectable PDAC, patients were not scheduled for follow-up endoscopy, except for a second-look endoscopy in one patient.
Chemotherapy regimens were selected at the discretion of the oncologist. Treatment was continued until disease progression, patient refusal, intolerable toxicity, inability to continue treatment for other reasons, or conversion surgery. Response to chemotherapy was evaluated in accordance with the response evaluation criteria in solid tumors (RECIST) guideline (version 1.1) [27]. OS was defined as the time from the starting date of first-line therapy until death from any cause or the last follow-up date. Progression-free survival (PFS) was defined as the time from the starting date of first-line therapy until death from any cause, disease progression confirmed on imaging studies, or the last follow-up date. Follow-up data were confirmed up to 30 April 2023.

2.4. Statistical Analysis

Categorical variables are shown as absolute numbers (percentages), while continuous variables are shown as medians (interquartile range). Denominators of ratios were adjusted for missing data. Statistical analyses were conducted using Pearson’s chi-square test or Fisher’s exact test, as appropriate, for categorical variables and the Mann–Whitney U test for continuous variables. Survival analysis using Kaplan–Meier curves and log-rank analysis was conducted to evaluate OS and PFS. Cox regression analysis was performed to evaluate factors affecting OS. Given the limited sample size, multivariate analysis was performed on five variables that were considered most significant in univariate analysis. Spearman’s correlation coefficient was calculated to evaluate correlation between variables. The p values < 0.05 were considered statistically significant. Statistical analyses were performed using IBM SPSS Statistics ver. 28.0 (IBM Corp., Armonk, NY, USA).

2.5. Ethical Considerations

The institutional review board at our hospital gave approval for this study (2023-GB-033). Patient consent was waived due to its retrospective nature. The study was publicized on the hospital website, giving patients the opportunity to opt out of the study without any impact on their care.

3. Results

3.1. Patient Characteristics

Of the 651 patients who started chemotherapy for unresectable PDAC during the study period, a total of 111 patients (17.1%) met the inclusion criteria, of which 48 had SHI (7.4%) at diagnosis (Table 1). Patients with SHI were significantly younger than those without (median age: 64 vs. 69 years, p = 0.011). The SHI group was also more likely to have liver metastasis (79.2% vs. 57.1%, p = 0.015), peritoneal dissemination (51.2% vs. 33.3%, p = 0.047), higher mGPS (52.1% vs. 71.4% with mGPS of 0, p = 0.036), larger median tumor size (53 vs. 42 mm, p < 0.001), splenic artery occlusion (43.8% vs. 7.9%, p < 0.001), gastric varices on contrast-enhanced CT (60.4% vs. 39.7%, p = 0.030), and splenomegaly (12.5% vs. 0%, p = 0.004) than the non-SHI group, among other factors.

3.2. Follow-Up

Follow-up contrast-enhanced CT was conducted on 87.5% and 85.7% (p = 0.785) of SHI and non-SHI patients, respectively, for a median period of 7.4 and 8.3 months (p = 0.098), respectively (Table 2). GVs ultimately arose in 87.5% of the SHI group and 71.4% of the non-SHI group (p = 0.042). The breakdown of GV types were similar between groups. SHI patients were more likely to have GVs drained via the posterior gastric vein than the non-SHI group (23.8% vs. 4.4%, p = 0.020).
Emergency EGD was performed for suspected upper gastrointestinal bleeding in seven patients, of which sources of bleeding were identified in six (85.7%) and three (42.9%) showed signs of GV (one patient each had F1, F2, and F3 varices, respectively). Variceal rupture was only observed in one case belonging to the SHI group (p = 0.432) (Figure 2). All three cases of splenic artery pseudoaneurysm rupture, of which one was fatal, also belonged to the SHI group (p = 0.078).
There were 54 patients with GVs at cancer diagnosis. The characteristics of patients with and without GVs at diagnosis are presented in Table 3 and Table 4. Patients with GVs at diagnosis were more likely to have SHI, be younger, have peritoneal dissemination, have larger tumors, and have larger spleens, but were less likely to have an unaffected pancreatic tail remaining. Thirty-three of the fifty-seven patients without GVs at diagnosis (57.9%) developed GVs during follow-up, of which 94.3% were drained mainly by the left gastric vein.

3.3. Chemotherapy and Survival

Chemotherapy regimens and responses to treatment are summarized in Table 5. More patients in the non-SHI group received gemcitabine and nab-paclitaxel combination therapy, although the difference was not significant (p = 0.055). While there was no difference in overall response, the SHI group had a lower disease control rate than the non-SHI group (58.3% vs. 77.8%, p = 0.006). Shorter median OS (9.3 vs. 11.6 months, p = 0.003) and PFS (4.3 vs. 6.3 months, p = 0.013) were observed in the SHI group (Figure 3).
Univariate Cox analyses revealed the following significant factors predicting shorter OS: poor performance status (1 or 2), tumor size > 50 mm, hepatic metastasis, high NLR, absence of thrombocytopenia, mGPS of 1 or 2, CA19-9 > 500 U/mL, and SHI (Table 6). Of these, poor performance status (hazard ratio (HR): 1.86, 95% confidence interval (CI): 1.19–2.89, p = 0.006), hepatic metastasis (HR: 1.93, 95% CI: 1.22–3.03, p = 0.005), mGPS of 1 or 2 (HR: 1.96, 95% CI: 1.25–3.08, p = 0.003), and SHI (HR: 1.65, 95% CI: 1.08–2.52, p = 0.020) were independent predictors of OS.
With respect to PFS, significant factors in univariate analysis were old age (70 years or older), poor performance status, tumor size > 50 mm, NLR > 4, absence of thrombocytopenia, mGPS of 1 or 2, and SHI (Table 7). Poor performance status, tumor size > 50 mm, absence of thrombocytopenia, and mGPS of 1 or 2 were independent predictors of shorter PFS. SHI fell slightly short of significance (HR: 1.49, 95% CI: 0.98–2.28, p = 0.065) in the multivariate analysis.
Correlation analysis revealed mild positive correlations between SHI and three factors that were significant in univariate Cox analysis: tumor size > 50 mm (rho: 0.274, p = 0.004), hepatic metastasis (rho: 0.231, p = 0.015), and mGPS of 1 or 2 (rho: 0.199, p = 0.037).
The presence of GVs at diagnosis had no significant impact on response to chemotherapy (Table 8) or on survival outcomes (Figure 4).

4. Discussion

In this study, we evaluated the impact of SHI and SPH on clinical outcomes in unresectable PTC. SHI at diagnosis was significantly associated with younger age and more advanced disease, including liver metastasis, peritoneal dissemination, larger tumor size, a modified Glasgow prognostic score of 1 or more, splenic artery involvement and occlusion, GVs, and splenomegaly. Shorter median OS and PFS were observed in SHI patients. SHI was significantly associated with OS and PFS in univariate analysis, and with OS in multivariate analysis. Almost 90% of GVs resulting from SPH due to PTC were isolated GVs (IGV). Variceal rupture was rare (0.9%) despite evidence of GV on CT at diagnosis in 48.6% and ultimately in 78.6% of patients. Splenic artery pseudoaneurysm rupture and variceal rupture were only observed in cases with SHI.
Other than the fact that it precludes spleen preserving distal pancreatectomy, the clinical implications of SHI have not been studied in depth. As expected, it was associated with more advanced disease, particularly with tumor size. Kaplan–Meier curves showed that the SHI group had significantly shorter OS and PFS relative to the non-SHI group. SHI was an independent predictor of poor OS, but fell slightly short of significance as an independent predictor of PFS in multivariate analyses, most likely due to its mild but significant correlation with tumor size. We hypothesize that SHI is an early sign of extra-pancreatic tumor invasion and occult peritoneal dissemination. Invasion of all branches of the splenic artery and vein at the splenic hilum may also predispose to metastatic spread to the liver and elsewhere, through the short gastric vein and other collateral vessels.
Direct PTC invasion to nearby structures can lead to duodenal obstruction near the ligament of Treitz (observed in one patient), colonic obstruction near the splenic flexure (observed in seven patients), and most commonly, SPH. SPH is a major cause of GVs, which have a lower bleeding risk than their esophageal counterparts but can bleed severely, leading to mortality in 45% of cases [26]. In general, about 75% of GVs are GOV (gastroesophageal varices) type 1, about 20% are GOV type 2, and the remainder are IGV type 1 or 2. We found the reverse trend in PTC, with IGVs accounting for 89.7% of all GVs. SHI did not affect the location of varices. Patients with SHI were more likely to have patent posterior gastric veins and to have varices drained by them, probably because their tumors originated closer to the spleen. Although the sole case of GV rupture had SHI, the risk of rupture in patients without SHI may not necessarily be low, as there was also a case of F3 GV confirmed on EGD in the non-SHI group.
The rate of splenomegaly was relatively low in this study, being observed in 5.4% of patients at diagnosis and ultimately in 16.2% of patients. The initial splenic index was larger in the SHI group, but the difference fell slightly short of significance (p = 0.051). We investigated low platelet count as a surrogate for hypersplenism, hypothesized to reflect greater SPH and therefore a worse prognosis. However, low platelet count was associated with favorable OS (HR: 0.34, 95% CI: 0.12–0.92, p = 0.038) and PFS (HR: 0.29, 95% CI: 0.11–0.81, p = 0.018) in univariate Cox analysis, and was an independent predictor of PFS but not OS. Because thrombocytosis is associated with tumor progression, metastasis, and a poor prognosis in unresectable pancreatic cancer [28,29], we speculate that the benefits afforded by the absence of thrombocytosis more than offset the disadvantages associated with hypersplenism in this population.
Bleeding was reported in 1.6% of PDAC patients in a large French retrospective study, of which 75% were pancreatic head cancers [30]. The authors found that variceal rupture is the second most common cause of UGIB in pancreatic cancer patients, after gastrointestinal tumor invasion, and that median OS after PDAC-associated UGIB was 2.7 months. In our study, sources of UGIB were identified in six cases, accounting for 0.9% of all unresectable PDAC cases and 5.4% of all unresectable PTC cases. Median OS after UGIB was longer than the previous report, at 7.0 (range: 1.5–28.4) months. In our study, GV rupture occurred only in 0.9% of unresectable PTC cases and in 2.1% of SHI cases. While endoscopic variceal treatment is generally not very effective in SPH due to a myriad of dilated vessels involved [31], our sole patient with GV rupture survived 7.2 months after the UGIB event. We speculate that most unresectable PTC patients do not live long enough to experience variceal rupture. Given the costs and patient burden involved, we believe it is premature to recommend routine EGD screening in all unresectable PTC patients, including those with SHI.
Splenic artery pseudoaneurysm rupture is another potentially fatal complication, generally associated more with pancreatitis than PDAC. Splenic artery pseudoaneurysm rupture due to PDAC is rare, with only six case reports to date, when excluding iatrogenic and post-surgical cases [32,33,34,35,36,37]. Three were pancreatic body cancers and three were PTCs, of which two had SHI, while all cases were treated successfully with transcatheter arterial embolization (TAE). We experienced three PTC cases with splenic artery pseudoaneurysm rupture, all associated with SHI. This complication may therefore be more common than once believed. All cases were treated successfully with TAE, with no notable impact on OS. As SHI was associated with a higher rate of splenic artery occlusion in our study, SHI may increase the risk of splenic artery pseudoaneurysm rupture. However, as cases of pseudoaneurysm rupture without SHI have been reported, more research is required to clarify whether SHI is a risk factor for pseudoaneurysm formation and rupture in PTC patients.
The association between chemotherapy and SHI has not been studied. We found that SHI was associated with a lower disease control rate, with progressive disease observed at the first follow-up CT in 37.5% of patients. Again, SHI may be a sign of more aggressive disease, demonstrating a proclivity towards extra-pancreatic tumor invasion and peritoneal dissemination. While the unfavorable impact on PFS did not remain significant in multivariate Cox analysis, it may be necessary to pay particular attention for rapid disease progression in SHI patients.
This study has several limitations. It was a retrospective study at a single institution with a limited sample size. Reports on SHI are scarce and there is no consensus to date on the definition of SHI, making interpretations of our results difficult. Only seven cases underwent EGD, precluding meaningful comparisons with CT findings. Risk factors for UGIB in unresectable PTC could not be evaluated due to the small number of patients presenting with UGIB. Due to the small sample size, not all significant variables from univariate Cox analysis could be included in multivariate analysis.

5. Conclusions

Splenic hilar involvement was significantly associated with younger age, more advanced disease, and shorter survival. As all cases of variceal rupture and splenic artery pseudoaneurysm rupture occurred in patients with splenic hilar involvement, a higher degree of caution for bleeding events may be warranted. Further studies with larger sample sizes may elucidate risk factors for bleeding events in unresectable pancreatic tail cancer.

Author Contributions

Conceptualization, T.O.; methodology, T.O.; software, T.O.; validation, T.O., T.T. and N.S.; formal analysis, T.O.; investigation, T.O. and T.T.; resources, T.O.; data curation, T.O., T.T., T.M., T.H., T.I., M.Y., H.N., T.F., A.K., T.S., M.O. and N.S.; writing—original draft preparation, T.O.; writing—review and editing, T.O., T.T., T.M., T.H., T.I., M.Y., H.N., T.F., A.K., T.S., M.O. and N.S.; visualization, T.O.; supervision, N.S. All authors have read and agreed to the published version of the manuscript.

Funding

This research received no external funding.

Institutional Review Board Statement

The study was conducted in accordance with the Declaration of Helsinki, and approved by the Institutional Review Board of Cancer Institute Hospital, Japanese Foundation for Cancer Research (approval number: 2023-GB-033, approved on 10 July 2023).

Informed Consent Statement

Informed consent for chemotherapy and other treatment was obtained from all subjects involved in the study. Patient consent for participation in this study was waived due to its retrospective nature. The study was publicized on the hospital website, giving patients the opportunity to opt out of the study without any impact on their care.

Data Availability Statement

The data used in this study are contained within the tables presented herein. Additional data pertaining to this study are available upon reasonable request from the corresponding author.

Conflicts of Interest

The authors declare no conflict of interest.

References

  1. Kitagawa, H.; Ohta, T.; Makino, I.; Tani, T.; Tajima, H.; Nakagawara, H.; Ohnishi, I.; Takamura, H.; Kayahara, M.; Watanabe, H.; et al. Carcinomas of the ventral and dorsal pancreas exhibit different patterns of lymphatic spread. Front. Biosci. 2008, 13, 2728–2735. [Google Scholar] [CrossRef]
  2. Wang, D.; Zeng, Q.; Niu, X.; Chen, X.; Ye, H. Differences in the clinicopathological features of pancreatic head carcinoma in dorsal and ventral pancreas: A single institution retrospective review. Medicine 2021, 100, e26167. [Google Scholar] [CrossRef]
  3. Ling, Q.; Xu, X.; Zheng, S.-S.; Kalthoff, H. The diversity between pancreatic head and body/tail cancers: Clinical parameters and in vitro models. Hepatobiliary Pancreat. Dis. Int. 2013, 12, 480–487. [Google Scholar] [CrossRef]
  4. Sheng, W.; Dong, M.; Wang, G.; Shi, X.; Gao, W.; Wang, K.; Song, H.; Shi, G.; Tan, X. The diversity between curatively resected pancreatic head and body-tail cancers based on the 8th edition of AJCC staging system: A multicenter cohort study. BMC Cancer 2019, 19, 981. [Google Scholar] [CrossRef]
  5. Takeda, T.; Sasaki, T.; Inoue, Y.; Mie, T.; Furukawa, T.; Kanata, R.; Kasuga, A.; Matsuyama, M.; Ozaka, M.; Takahashi, Y.; et al. Comprehensive comparison of clinicopathological characteristics, treatment, and prognosis of borderline resectable pancreatic cancer according to tumor location. Pancreatology 2020, 20, 1123–1130. [Google Scholar] [CrossRef]
  6. Takeda, T.; Sasaki, T.; Mie, T.; Furukawa, T.; Yamada, Y.; Kasuga, A.; Matsuyama, M.; Ozaka, M.; Sasahira, N. The prognostic impact of tumour location and first-line chemotherapy regimen in locally advanced pancreatic cancer. Jpn. J. Clin. Oncol. 2021, 51, 728–736. [Google Scholar] [CrossRef]
  7. Lau, M.K.; Davila, J.A.; Shaib, Y.H. Incidence and survival of pancreatic head and body and tail cancers: A population-based study in the United States. Pancreas 2010, 39, 458–462. [Google Scholar] [CrossRef]
  8. Zheng, Z.; Wang, M.; Tan, C.; Chen, Y.; Ping, J.; Wang, R.; Liu, X. Disparities in survival by stage after surgery between pancreatic head and body/tail in patients with nonmetastatic pancreatic cancer. PLoS ONE 2019, 14, e0226726. [Google Scholar] [CrossRef]
  9. Yin, L.; Xiao, L.; Gao, Y.; Wang, G.; Gao, H.; Peng, Y.; Zhu, X.; Wei, J.; Miao, Y.; Jiang, K.; et al. Comparative bioinformatical analysis of pancreatic head cancer and pancreatic body/tail cancer. Med. Oncol. 2020, 37, 46. [Google Scholar] [CrossRef]
  10. Zhang, X.; Feng, S.; Wang, Q.; Huang, H.; Chen, R.; Xie, Q.; Zhang, W.; Wang, A.; Zhang, S.; Wang, L.; et al. Comparative genomic analysis of head and body/tail of pancreatic ductal adenocarcinoma at early and late stages. J. Cell Mol. Med. 2021, 25, 1750–1758. [Google Scholar] [CrossRef]
  11. Tanaka, K.; Nakamura, T.; Asano, T.; Nakanishi, Y.; Noji, T.; Tsutchikawa, T.; Okamura, K.; Shichinohe, T.; Hirano, S. Pancreatic body and tail cancer and favorable metastatic lymph node behavior on the left edge of the aorta. Pancreatology 2020, 20, 1451–1457. [Google Scholar] [CrossRef]
  12. Bockhorn, M.; Uzunoglu, F.G.; Adham, M.; Imrie, C.; Milicevic, M.; Sandberg, A.A.; Asbun, H.J.; Bassi, C.; Büchler, M.; Charnley, R.M.; et al. Borderline resectable pancreatic cancer: A consensus statement by the International Study Group of Pancreatic Surgery (ISGPS). Surgery 2014, 155, 977–988. [Google Scholar] [CrossRef] [PubMed]
  13. Liu, G.-P.; Hu, X.-K.; Zhang, Z.-L.; Xu, R.; Sun, C.-J.; Xin, Y.-N.; Xuan, S.-Y. Portal hypertension caused by pancreatic cancer: Multidetector computed tomography diagnosis and multivariate analysis of variceal hemorrhage. J. Cancer Res. Ther. 2020, 16, 1672–1677. [Google Scholar] [PubMed]
  14. Ono, Y.; Matsueda, K.; Koga, R.; Takahashi, Y.; Arita, J.; Takahashi, M.; Inoue, Y.; Unno, T.; Saiura, A. Sinistral portal hypertension after pancreaticoduodenectomy with splenic vein ligation. Br. J. Surg. 2015, 102, 219–228. [Google Scholar] [CrossRef] [PubMed]
  15. Ono, Y.; Inoue, Y.; Kato, T.; Matsueda, K.; Oba, A.; Sato, T.; Ito, H.; Saiura, A.; Takahashi, Y. Sinistral Portal Hypertension after Pancreaticoduodenectomy with Splenic Vein Resection: Pathogenesis and Its Prevention. Cancers 2021, 13, 5334. [Google Scholar] [CrossRef] [PubMed]
  16. Ono, Y.; Takahashi, Y.; Tanaka, M.; Matsueda, K.; Hiratsuka, M.; Inoue, Y.; Ito, H.; Saiura, A. Sinistral Portal Hypertension Prediction During Pancreatoduodenectomy with Splenic Vein Resection. J. Surg. Res. 2021, 259, 509–515. [Google Scholar] [CrossRef] [PubMed]
  17. Yu, X.; Bai, X.; Li, Q.; Gao, S.; Lou, J.; Que, R.; Yadav, D.K.; Zhang, Y.; Li, H.; Liang, T. Role of Collateral Venous Circulation in Prevention of Sinistral Portal Hypertension After Superior Mesenteric-Portal Vein Confluence Resection during Pancreaticoduodenectomy: A Single-Center Experience. J. Gastrointest. Surg. 2020, 24, 2054–2061. [Google Scholar] [CrossRef] [PubMed]
  18. Yalin, K.; Hongyi, Z.; Xiaojun, H.; Chengli, L.; Mei, X.; Di, W.; Gang, Z.; Yuying, Z. Left-sided portal hypertension secondary to pancreatic cancer: Clinical features, surgical treatment and outcome of 48 cases. Hepatogastroenterology 2013, 60, 890–895. [Google Scholar] [PubMed]
  19. Warshaw, A.L. Conservation of the Spleen With Distal Pancreatectomy. Arch. Surg. 1988, 123, 550–553. [Google Scholar] [CrossRef] [PubMed]
  20. Kimura, W.; Inoue, T.; Futakawa, N.; Shinkai, H.; Han, I.; Muto, T. Spleen-preserving distal pancreatectomy with conservation of the splenic artery and vein. Surgery 1996, 120, 885–890. [Google Scholar] [CrossRef]
  21. Warshaw, A.L. Distal pancreatectomy with preservation of the spleen. J. Hepatobiliary Pancreat. Sci. 2010, 17, 808–812. [Google Scholar] [CrossRef]
  22. Imaoka, H.; Mizuno, N.; Hara, K.; Hijioka, S.; Tajika, M.; Tanaka, T.; Ishihara, M.; Yogi, T.; Tsutsumi, H.; Fujiyoshi, T.; et al. Evaluation of modified glasgow prognostic score for pancreatic cancer: A retrospective cohort study. Pancreas 2016, 45, 211–217. [Google Scholar] [CrossRef]
  23. Zhou, Y.; Wei, Q.; Fan, J.; Cheng, S.; Ding, W.; Hua, Z. Prognostic role of the neutrophil-to-lymphocyte ratio in pancreatic cancer: A meta-analysis containing 8252 patients. Clin. Chim. Acta 2018, 479, 181–189. [Google Scholar] [CrossRef]
  24. Prassopoulos, P.; Daskalogiannaki, M.; Raissaki, M.; Hatjidakis, A.; Gourtsoyiannis, N. Determination of normal splenic volume on computed tomography in relation to age, gender and body habitus. Eur. Radiol. 1997, 7, 246–248. [Google Scholar] [CrossRef]
  25. Indiran, V.; Singh, N.V.; Ramachandra Prasad, T.; Maduraimuthu, P. Does Coronal Oblique Length of Spleen on CT Reflect Splenic Index? Abdom. Radiol. 2017, 42, 1444–1448. [Google Scholar] [CrossRef]
  26. Sarin, S.K.; Lahoti, D.; Saxena, S.P.; Murthy, N.S.; Makwana, U.K. Prevalence, classification and natural history of gastric varices: A long-term follow-up study in 568 portal hypertension patients. Hepatology 1992, 16, 1343–1349. [Google Scholar] [CrossRef]
  27. Eisenhauer, E.A.; Therasse, P.; Bogaerts, J.; Schwartz, L.H.; Sargent, D.; Ford, R.; Dancey, J.; Arbuck, S.; Gwyther, S.; Mooney, M.; et al. New response evaluation criteria in solid tumours: Revised RECIST guideline (version 1.1). Eur. J. Cancer 2009, 45, 228–247. [Google Scholar] [CrossRef] [PubMed]
  28. Wang, H.; Gao, J.; Bai, M.; Liu, R.; Li, H.; Deng, T.; Zhou, L.; Han, R.; Ge, S.; Huang, D.; et al. The pretreatment platelet and plasma fibrinogen level correlate with tumor progression and metastasis in patients with pancreatic cancer. Platelets 2014, 25, 382–387. [Google Scholar] [CrossRef] [PubMed]
  29. Chadha, A.S.; Kocak-Uzel, E.; Das, P.; Minsky, B.D.; Delclos, M.E.; Mahmood, U.; Guha, S.; Ahmad, M.; Varadhachary, G.R.; Javle, M.; et al. Paraneoplastic thrombocytosis independently predicts poor prognosis in patients with locally advanced pancreatic cancer. Acta Oncol. 2015, 54, 971–978. [Google Scholar] [CrossRef] [PubMed]
  30. Aguilera Munoz, L.; de Mestier, L.; Lamallem, H.; Jaïs, B.; Maire, F.; Lévy, P.; Rebours, V.; Hammel, P. Gastrointestinal bleeding in patients with pancreatic cancer: Causes and haemostatic treatments. United Eur. Gastroenterol. J. 2020, 8, 1106–1114. [Google Scholar] [CrossRef] [PubMed]
  31. Zheng, K.; Guo, X.; Feng, J.; Bai, Z.; Shao, X.; Yi, F.; Zhang, Y.; Zhang, R.; Liu, H.; Romeiro, F.G.; et al. Gastrointestinal Bleeding due to Pancreatic Disease-Related Portal Hypertension. Gastroenterol. Res. Pract. 2020, 2020, 3825186. [Google Scholar] [CrossRef]
  32. Furukawa, H.; Fukushima, N.; Shimada, K. Splenic artery aneurysm secondary to pancreatic carcinoma. Am. J. Gastroenterol. 2000, 95, 3659–3660. [Google Scholar] [CrossRef]
  33. Toukouki, A.; Verbeeck, N.; Weber, J.; Lens, V. Intragastric Rupture of a Splenic Artery Aneurysm Associated with a Pancreatic Cancer. J. Belg. Soc. Radiol. 2016, 100, 26. [Google Scholar]
  34. Hoshimoto, S.; Aiura, K.; Shito, M.; Kakefuda, T.; Sugiura, H. Successful resolution of a hemorrhagic pancreatic pseudocyst ruptured into the stomach complicating obstructive pancreatitis due to pancreatic cancer: A case report. World J. Surg. Oncol. 2016, 14, 46. [Google Scholar] [CrossRef][Green Version]
  35. Furukawa, K.; Shiba, H.; Shirai, Y.; Nagata, Y.; Saruta, M.; Yanaga, K. Splenic artery pseudoaneurysm following chemotherapy in a patient with pancreatic cancer: A case report. Clin. J. Gastroenterol. 2020, 13, 969–972. [Google Scholar] [CrossRef]
  36. Hamada, J.; Matsui, Y.; Yano, T.; Inagaki, D. Rupture Splenic Artery Aneurysm Caused by Pancreatic Cancer. Am. J. Gastroenterol. 2023, 118, 593. [Google Scholar] [CrossRef]
  37. Aoki, R.; Kobayashi, Y.; Nawata, S.; Kamide, H.; Sekikawa, Z.; Utsunomiya, D. Gastrointestinal Bleeding Due to the Rupture of Splenic Artery Caused by Pancreatic Carcinoma: A Case Requiring Repeated Transcatheter Arterial Embolization in a Short Period of Time. Interv. Radiol. 2023, 8, 88–91. [Google Scholar] [CrossRef]
Figure 1. (a) A case with splenic hilar involvement. (b) A case with no splenic hilar involvement.
Figure 1. (a) A case with splenic hilar involvement. (b) A case with no splenic hilar involvement.
Cancers 15 05862 g001
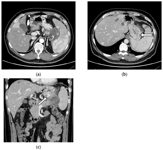
Figure 2. A case of gastric variceal rupture. A 39-year-old man with known liver, lung, and bone metastases of pancreatic tail cancer presented with hematemesis. The most recent computed tomography revealed (a) splenic hilar involvement and multiple dilated vessels reaching the surface of the gastric mucosa (arrows) on (b) axial and (c) coronal images. The patient was successfully treated with endoscopic injection sclerotherapy followed by partial splenic embolectomy at a tertiary referral center.
Figure 2. A case of gastric variceal rupture. A 39-year-old man with known liver, lung, and bone metastases of pancreatic tail cancer presented with hematemesis. The most recent computed tomography revealed (a) splenic hilar involvement and multiple dilated vessels reaching the surface of the gastric mucosa (arrows) on (b) axial and (c) coronal images. The patient was successfully treated with endoscopic injection sclerotherapy followed by partial splenic embolectomy at a tertiary referral center.
Cancers 15 05862 g002
Figure 3. Kaplan–Meier curves comparing (a) overall survival (OS) and (b) progression-free survival (PFS) in patients with and without splenic hilar involvement (SHI). SHI: red curve; no SHI: blue curve. CI: confidence interval.
Figure 3. Kaplan–Meier curves comparing (a) overall survival (OS) and (b) progression-free survival (PFS) in patients with and without splenic hilar involvement (SHI). SHI: red curve; no SHI: blue curve. CI: confidence interval.
Cancers 15 05862 g003
Figure 4. Kaplan–Meier curves comparing (a) overall survival (OS) and (b) progression-free survival (PFS) in patients with and without gastric varices at diagnosis. Gastric varices: red curve; no gastric varices: blue curve. CI: confidence interval.
Figure 4. Kaplan–Meier curves comparing (a) overall survival (OS) and (b) progression-free survival (PFS) in patients with and without gastric varices at diagnosis. Gastric varices: red curve; no gastric varices: blue curve. CI: confidence interval.
Cancers 15 05862 g004
Table 1. Baseline characteristics.
Table 1. Baseline characteristics.
Splenic Hilar Involvement
TotalYesNo
(n = 111) (n = 48) (n = 63)p Value
Age at diagnosis, years, median (IQR)66(58–72)64(56–70)69(62–74)0.011
Male, %6457.7%2960.4%3555.6%0.608
Body mass index, median (IQR)21.8(19.4–24.1)22.4(19.6–24.4)21.3(19.2–23.9)0.271
Performance status, %
 07567.6%2858.3%4774.6%0.070
 1/235/132.4%19/141.7%16/027.0%
Disease status, %
 Locally advanced54.5%24.2%34.8%>0.999
 Metastatic10695.5%4695.8%6095.2%
Location of metastases, %
 Liver7466.7%3879.2%3657.1%0.015
 Lung1816.2%612.5%1219.0%0.354
 Lymph node2926.1%1122.9%1828.6%0.502
 Peritoneal dissemination4641.4%2552.1%2133.3%0.047
Laboratory markers at diagnosis
 Platelets, 103/µL, median (IQR)226(170–270)221(186–270)230(167–267)0.812
 NLR, median (IQR)3.4(2.3–5.6)3.6(2.4–5.7)3.3(2.3–5.5)0.668
 mGPS, % 0.036
  07063.1%2552.1%4571.4%
  1/224/1736.9%12/1141.7%12/627.0%
 CEA, ng/mL, median (IQR)9.4(3.4–48.6)9.2(2.8–50.2)10.6(3.6–40.8)0.766
 CA19-9, U/mL, median (IQR)2193(102–25,884)2241(74–17,897)2193(227–29,355)0.833
Contrast-enhanced computed tomography findings at diagnosis
 Tumor size, mm (IQR)46(36–56)53(43–64)42(32–51)<0.001
 Splenic vein invasion, %10594.6%4695.8%5993.7%0.697
 Splenic vein occlusion, %8677.5%4185.4%4571.4%0.080
 Splenic artery invasion, %9282.9%4593.8%4774.6%0.008
 Splenic artery occlusion, %2623.4%2143.8%57.9%<0.001
 Normal pancreatic tail remaining, %.2724.3%12.1%2641.3%<0.001
 Dilated collateral veins, %7769.4%3675.0%4165.1%0.261
 Esophageal varices, %21.8%24.2%00.0%0.185
 Gastric varices, %5448.6%2960.4%2539.7%0.030
 Splenic index (IQR)236(176–340)253(182–378)232(159–306)0.051
  Splenomegaly, %65.4%612.5%00.0%0.004
 Gastrorenal shunt, %65.4%24.2%46.3%0.614
CA19-9: carbohydrate antigen 19-9, CEA: carcinoembryonic antigen, IQR: interquartile range, mGPS: modified Glasgow prognostic score, NLR: neutrophil-to-lymphocyte ratio.
Table 2. Imaging and endoscopic findings.
Table 2. Imaging and endoscopic findings.
Splenic Hilar Involvement
TotalYesNo
(n = 111)(n = 48)(n = 63)p Value
CT findings during follow-up
 Follow-up contrast-enhanced CT conducted, %9686.5%4287.5%5485.7%0.785
   Median follow-up period, months (IQR)7.9(4.6–14.1)7.4(3.1–10.4)8.3(4.7–16.7)0.098
 Esophageal varices, %1210.8%714.6%57.9%0.264
   Time to variceal formation, months (IQR) *4.6(2.6–7.4)4.5(3.5–7.4)4.4(2.3–6.9)0.639
   Maximum diameter, mm (IQR)3.0(2.6–4.0)3.2(2.9–3.6)2.6(2.6–3.6)>0.999
 Gastric varices, %8778.4%4287.5%4571.4%0.042
   Time to variceal formation, months (IQR) *1.9(1.8–3.5)1.8(1.6–3.4)2.1(1.8–3.3)0.117
   Maximum diameter, mm (IQR)4.0(3.4–5.1)4.1(3.4–5.4)4.0(3.4–4.9)0.842
 Sarin classification, % 0.120
   IGV type 15462.1%2661.9%2862.2%
   IGV type 244.6%12.4%36.7%
   IGV type 1 + isolated esophageal varices33.4%00.0%36.7%
   IGV type 1 + IGV type 21719.5%819.0%920.0%
   GOV type 111.1%12.4%00.0%
   GOV type 233.4%24.8%12.2%
   GOV type 1 + GOV type 255.7%49.5%12.2%
 Dilated collateral veins, %8173.0%3675.0%4571.4%0.608
 Main drainage route, %
   Left gastric vein7567.6%3276.2%4395.6%0.020
   Posterior gastric vein1210.8%1023.8%24.4%
 Maximum splenic index, (IQR)283(212–422)319(220–476)270(180–393)0.113
   % total growth, (IQR)20(3–41)22(3–35)19(4–51)0.909
   % growth per month, (IQR)2.2(0.5–5.5)2.7(0.7–6.9)1.8(0.2–3.6)0.209
   Splenomegaly, %1816.2%918.8%914.3%0.508
Endoscopic findings, %
 Emergency esophagogastroduodenoscopy performed76.3%36.3%46.3%>0.999
 Upper gastrointestinal bleeding identified65.4%36.3%34.8%>0.999
   Variceal rupture10.9%12.1%00.0%0.432
   Tumor invasion43.6%24.2%23.2%>0.999
   Gastric antral vascular ectasia10.9%00.0%11.6%>0.999
Portal vein thrombosis, %21.8%24.2%00.0%0.185
Biliary obstruction requiring drainage, %119.9%36.3%812.7%0.344
Duodenal obstruction requiring stenting, %10.9%00.0%11.6%>0.999
Colonic obstruction requiring stenting, %76.3%48.3%34.8%0.463
Splenic artery pseudoaneurysm rupture, %32.7%36.3%00.0%0.078
CT: computed tomography, GOV: gastroesophageal varices, IGV: isolated gastric varices, IQR: interquartile range. * Excludes patients who already had varices at the time of their cancer diagnosis. Denominators adjusted for missing data.
Table 3. Baseline characteristics, stratified by presence of gastric varices at diagnosis.
Table 3. Baseline characteristics, stratified by presence of gastric varices at diagnosis.
Gastric Varices at Diagnosis
YesNo
(n = 54)(n = 57)p Value
Age at diagnosis, years, median (IQR)65(55–71)69(62–74)0.016
Male, %3463.0%3052.6%0.271
Body mass index, median (IQR)22.4(19.6–24.8)21.6(19.3–23.3)0.379
Performance status, %
  03368.8%4266.7%0.257
  1/220/141.7%15/027.0%
Disease status, %
  Locally advanced35.6%23.5%0.603
  Metastatic5194.4%5596.5%
Location of metastases, %
  Liver3768.5%3764.9%0.687
  Lung1222.2%610.5%0.095
  Lymph node1018.5%1933.3%0.076
  Peritoneal dissemination2851.9%1831.6%0.030
  Other713.0%58.8%0.336
Laboratory markers at diagnosis
  Platelets, 103/µL, median (IQR)216(164–257)24.1(173–277)0.145
  NLR, median (IQR)3.3(2.3–6.1)3.7(2.4–5.4)0.976
  mGPS, %
   03361.1%3764.9%0.656
   1/22138.9%2035.1%
  CEA, ng/mL, median (IQR)12.5(3.5–49.2)8.8(3.3–38.9)0.973
  CA19-9, U/mL, median (IQR)1455(58–28,988)3077(353–25,269)0.394
Contrast-enhanced computed tomography findings at diagnosis
  Tumor size, mm (IQR)49(41–59)42(31–51)0.012
  Splenic vein invasion, %5398.1%5291.2%0.107
  Splenic vein occlusion, %4990.7%3764.9%0.001
  Splenic artery invasion, %5092.6%4273.7%0.008
  Splenic artery occlusion, %1222.2%1424.6%0.771
  Splenic hilar invasion, %2953.7%1933.3%0.030
  Normal pancreatic tail remaining, %814.8%1933.3%0.023
  Dilated collateral veins, %5194.4%2645.6%<0.001
  Esophageal varices, %23.7%00.0%0.143
  Splenic index (IQR)270(184–369)208(160–295)0.015
   Splenomegaly, %59.3%11.8%0.081
  Gastrorenal shunt, %23.7%47.0%0.440
CA19-9: carbohydrate antigen 19-9, CEA: carcinoembryonic antigen, IQR: interquartile range, mGPS: modified Glasgow prognostic score, NLR: neutrophil-to-lymphocyte ratio.
Table 4. Imaging and endoscopic findings, stratified by presence of gastric varices at diagnosis.
Table 4. Imaging and endoscopic findings, stratified by presence of gastric varices at diagnosis.
Gastric Varices at Diagnosis
YesNo
(n = 54)(n = 57)p Value
CT findings during follow-up
 Follow-up contrast-enhanced CT conducted, %4685.2%5087.7%0.696
  Median follow-up period, months (IQR)6.7(4.1–10.5)8.9(4.7–16.1)0.117
 Esophageal varices, %59.3%712.3%0.608
  Time to variceal formation, months (IQR) *4.5(2.3–4.6)4.6(3.4–7.8)0.149
  Maximum diameter, mm (IQR)3.8(3.3–4.6)2.6(2.5–3.3)0.381
 Gastric varices, %54100.0%3357.9%<0.001
  Time to variceal formation, months (IQR) *--1.9(1.8–3.5)-
  Maximum diameter, mm (IQR)4.1(3.4–5.3)3.8(3.4–4.2)0.126
 Sarin classification, % 0.725
  IGV type 13157.4%2369.7%
  IGV type 235.6%13.0%
  IGV type 1 + isolated esophageal varices00.0%39.1%
  IGV type 1 + IGV type 21527.8%26.1%
  GOV type 111.9%00.0%
  GOV type 200.0%39.1%
  GOV type 1 + GOV type 247.4%13.0%
 Dilated collateral veins, %4685.2%3561.4%<0.001
  Main drainage from left gastric vein, %3678.3%3394.3%<0.001
  Main drainage from posterior gastric vein, %1021.7%25.7%<0.001
 Maximum splenic index, (IQR)332(250–476)257(190–379)0.011
  % total growth, (IQR)19(4–47)20(4–39)0.953
  % growth per month, (IQR)2.2(0.6–5.6)2.1(0.3–5.3)0.741
  Splenomegaly, %1120.4%712.3%0.185
Endoscopic findings, %
 Emergency esophagogastroduodenoscopy performed35.6%47.0%0.751
 Upper gastrointestinal bleeding identified23.7%47.0%0.440
  Variceal rupture11.9%00.0%0.486
  Tumor invasion11.9%35.3%0.335
  Gastric antral vascular ectasia00.0%11.8%>0.999
Portal vein thrombosis, %23.7%00.0%0.143
Biliary obstruction requiring drainage, %23.7%915.8%0.033
Duodenal obstruction requiring stenting, %11.9%00.0%0.486
Colonic obstruction requiring stenting, %47.4%35.3%0.642
Splenic artery aneurysm rupture, %11.9%23.5%0.591
CT: computed tomography, GOV: gastroesophageal varices, IGV: isolated gastric varices, IQR: interquartile range. * Excludes patients who already had varices at the time of their cancer diagnosis. Denominators adjusted for missing data.
Table 5. Chemotherapy regimens and responses to treatment.
Table 5. Chemotherapy regimens and responses to treatment.
Splenic Hilar Involvement
YesNo
(n = 48) (n = 63)p Value
Chemotherapy regimen, %
 Gemcitabine + nab-paclitaxel3470.8%5485.7%0.055
 Modified FOLFIRINOX1020.8%69.5%
 Gemcitabine monotherapy24.2%23.2%
 S-1 monotherapy24.2%00.0%
Radiotherapy, %00.0%11.6%
Best response, %
 Complete response00.0%00.0%-
 Partial response1020.8%1523.8%0.446
 Stable disease1837.5%3454.0%0.063
 Progressive disease1837.5%914.3%0.005
 Not evaluable24.2%57.9%
Overall response rate, % (a)1020.8%1523.8%0.625
Disease control rate, % (a)2858.3%4977.8%0.006
(a) Denominators adjusted to exclude patients whose best responses were not evaluable.
Table 6. Factors affecting overall survival.
Table 6. Factors affecting overall survival.
UnivariateMultivariate
Hazard Ratio95% CIp-ValueHazard Ratio95% CIp-Value
Old age (70 years or older)0.780.51–1.160.211
Male sex1.040.73–1.540.839
Poor performance status (1 or 2)2.211.46–3.34<0.0011.861.19–2.890.006
Tumor size (>50 mm)1.701.14–2.550.010
Metastatic (vs. locally advanced)1.290.56–2.950.554
Gemcitabine + nab-paclitaxel (vs. other regimens)1.310.82–2.100.264
Hepatic metastasis2.291.48–3.53<0.0011.931.22–3.030.005
Lung metastasis0.620.36–1.060.083
Lymph node metastasis1.170.75–1.810.495
Peritoneal dissemination1.100.75–1.630.629
NLR > 42.061.39–3.05<0.0011.470.94–2.300.089
Platelets < 130,000/µL0.340.12–0.920.038
mGPS (1 or 2)2.681.78–4.05<0.0011.961.25–3.080.003
CEA (>5 ng/mL)1.490.97–2.200.070
CA19-9 (>500 U/mL)1.591.05–2.410.027
Obesity (BMI > 25)1.570.96–2.560.070
Splenic vein occlusion1.250.79–1.990.349
Splenic hilar involvement1.791.20–2.650.0041.651.08–2.520.020
Dilated collateral veins0.930.61–1.410.738
Splenic artery occlusion1.000.63–1.590.991
Gastric varices at diagnosis1.020.69–1.510.908
Splenomegaly1.250.55–2.860.600
BMI: body mass index, CA19-9: carbohydrate antigen 19-9, CEA: carcinoembryonic antigen, CI: confidence interval, mGPS: modified Glasgow prognostic score, NLR: neutrophil-to-lymphocyte ratio.
Table 7. Factors affecting progression-free survival.
Table 7. Factors affecting progression-free survival.
UnivariateMultivariate
Hazard Ratio95% CIp-ValueHazard Ratio95% CIp-Value
Old age (70 years or older)0.630.41–0.960.031
Male sex0.850.57–1.290.447
Poor performance status (1 or 2)2.071.34–3.19<0.0011.861.19–2.910.006
Tumor size (>50 mm)1.731.13–2.640.0111.801.15–2.800.009
Metastatic (vs. locally advanced)0.770.28–2.110.615
Gemcitabine + nab-paclitaxel (vs. other regimens)1.070.66–1.750.783
Hepatic metastasis1.490.96–2.300.075
Lung metastasis0.560.31–1.020.057
Lymph node metastasis1.160.73–1.840.527
Peritoneal dissemination0.900.59–1.370.605
NLR > 41.621.06–2.470.025
Platelets < 130,000/µL0.290.11–0.810.0180.350.12–0.9980.0499
mGPS (1 or 2)2.391.56–3.67<0.0012.131.38–3.290.001
CEA (>5 ng/mL)1.310.85–2.020.224
CA19-9 (>500 U/mL)1.500.97–2.330.069
Obesity (BMI > 25)0.980.57–1.680.933
Splenic vein occlusion1.600.97–2.630.066
Splenic hilar involvement1.671.11–2.510.0151.490.98–2.280.065
Dilated collateral veins1.290.81–2.030.276
Splenic artery occlusion1.200.75–1.940.446
Gastric varices at diagnosis0.940.62–1.420.775
Splenomegaly1.270.55–2.920.580
BMI: body mass index, CA19-9: carbohydrate antigen 19-9, CEA: carcinoembryonic antigen, CI: confidence interval, mGPS: modified Glasgow prognostic score, NLR: neutrophil-to-lymphocyte ratio.
Table 8. Response to chemotherapy, stratified by the presence or absence of gastric varices.
Table 8. Response to chemotherapy, stratified by the presence or absence of gastric varices.
Gastric Varices at Diagnosis
YesNo
(n = 54)(n = 57)p Value
Chemotherapy regimen, n (%)
 Gemcitabine + nab-paclitaxel4481.5%4477.2%0.374
 Modified FOLFIRINOX713.0%915.8%
 Gemcitabine monotherapy23.7%23.5%
 S-1 monotherapy11.9%11.8%
Radiotherapy, n (%)00.0%11.8%>0.999
Best response, n (%)
 Complete response00.0%00.0%-
 Partial response1120.4%1424.6%0.382
 Stable disease2444.4%2849.1%0.381
 Progressive disease1527.8%1221.1%0.273
 Not evaluable47.4%35.3%
Overall response rate, n (%) (a)1122.0%1425.9%0.640
Disease control rate, n (%) (a)3570.0%4277.8%0.366
(a) Denominators adjusted to exclude patients whose best responses were not evaluable.
Disclaimer/Publisher’s Note: The statements, opinions and data contained in all publications are solely those of the individual author(s) and contributor(s) and not of MDPI and/or the editor(s). MDPI and/or the editor(s) disclaim responsibility for any injury to people or property resulting from any ideas, methods, instructions or products referred to in the content.

Share and Cite

MDPI and ACS Style

Okamoto, T.; Takeda, T.; Mie, T.; Hirai, T.; Ishitsuka, T.; Yamada, M.; Nakagawa, H.; Furukawa, T.; Kasuga, A.; Sasaki, T.; et al. Splenic Hilar Involvement and Sinistral Portal Hypertension in Unresectable Pancreatic Tail Cancer. Cancers 2023, 15, 5862. https://doi.org/10.3390/cancers15245862

AMA Style

Okamoto T, Takeda T, Mie T, Hirai T, Ishitsuka T, Yamada M, Nakagawa H, Furukawa T, Kasuga A, Sasaki T, et al. Splenic Hilar Involvement and Sinistral Portal Hypertension in Unresectable Pancreatic Tail Cancer. Cancers. 2023; 15(24):5862. https://doi.org/10.3390/cancers15245862

Chicago/Turabian Style

Okamoto, Takeshi, Tsuyoshi Takeda, Takafumi Mie, Tatsuki Hirai, Takahiro Ishitsuka, Manabu Yamada, Hiroki Nakagawa, Takaaki Furukawa, Akiyoshi Kasuga, Takashi Sasaki, and et al. 2023. "Splenic Hilar Involvement and Sinistral Portal Hypertension in Unresectable Pancreatic Tail Cancer" Cancers 15, no. 24: 5862. https://doi.org/10.3390/cancers15245862

APA Style

Okamoto, T., Takeda, T., Mie, T., Hirai, T., Ishitsuka, T., Yamada, M., Nakagawa, H., Furukawa, T., Kasuga, A., Sasaki, T., Ozaka, M., & Sasahira, N. (2023). Splenic Hilar Involvement and Sinistral Portal Hypertension in Unresectable Pancreatic Tail Cancer. Cancers, 15(24), 5862. https://doi.org/10.3390/cancers15245862

Note that from the first issue of 2016, this journal uses article numbers instead of page numbers. See further details here.

Article Metrics

Back to TopTop