Musashi-1 Is a Novel Immunohistochemical Marker of Neuroendocrine Carcinoma of the Lung
Abstract
Simple Summary
Abstract
1. Introduction
2. Materials and Methods
2.1. Gene Expression Data Analysis from the Cancer Dependency Map
2.2. Patients and Histological Samples
2.3. Immunohistochemical Procedures and Evaluation of Musashi-1 Expression
3. Results
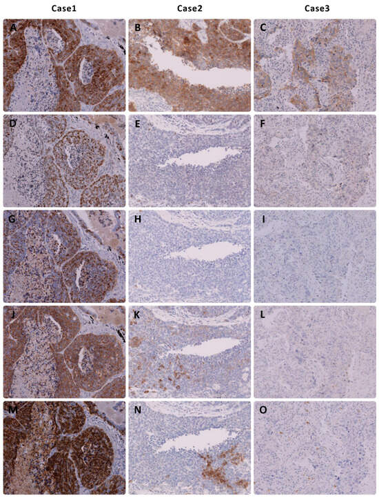
3.1. Immunohistochemical Results of NEC
3.2. Immunohistochemical Results of NSCLC
3.3. Results with a Cutoff of >10% Staining for Each Marker
3.4. Venn Diagram Showing the Number of Duplicate Staining Cases
4. Discussion
5. Conclusions
Author Contributions
Funding
Institutional Review Board Statement
Informed Consent Statement
Data Availability Statement
Acknowledgments
Conflicts of Interest
References
- Foundation for Promotion of Cancer Research (Ed.) Cancer Statistics in Japan—2021; Foundation for Promotion of Cancer Research: Tokyo, Japan, 2021; ISSN 2433-3212. [Google Scholar]
- The Japan Lung Cancer Society. Guidelines for Diagnosis and Treatment of the Lung Cancer 2022; Kanehara & Co., Ltd.: Tokyo, Japan, 2022; ISBN 978-4-307-20456-9. [Google Scholar]
- Rudin, C.M.; Brambilla, E.; Faivre-Finn, C.; Sage, J. Small-cell lung cancer. Nat. Rev. Dis. Primers 2021, 7, 3. [Google Scholar] [CrossRef]
- WHO Classification of Tumours Editorial Board (Ed.) WHO Classification of Tumours. In Thoracic Tumours, 5th ed.; International Agency for Research on Cancer: Lyon, France, 2021; ISBN 978-92-832-4506-3. [Google Scholar]
- Thunnissen, E.; Borczuk, A.C.; Flieder, D.B.; Witte, B.; Beasley, M.B.; Chung, J.-H.; Dacic, S.; Lantuejoul, S.; Russell, P.A.; den Bakker, M.; et al. The use of immunohistochemistry improves the diagnosis of small cell lung cancer and its differential diagnosis. An international reproducibility study in a demanding set of cases. J. Thorac. Oncol. 2017, 12, 334–346. [Google Scholar] [CrossRef]
- Rekhtman, N. Neuroendocrine tumors of the lung: An update. Arch. Pathol. Lab. Med. 2010, 134, 1628–1638. [Google Scholar] [CrossRef]
- Mukhopadhyay, S.; Dermawan, J.K.; Lanigan, C.P.; Farver, C.F. Insulinoma-associated protein 1 (INSM1) is a sensitive and highly specific marker of neuroendocrine differentiation in primary lung neoplasms: An immunohistochemical study of 345 cases, including 292 whole-tissue sections. Mod. Pathol. 2019, 32, 100–109. [Google Scholar] [CrossRef]
- Fujino, K.; Yasufuku, K.; Kudoh, S.; Motooka, Y.; Sato, Y.; Wakimoto, J.; Kubota, I.; Suzuki, M.; Ito, T. INSM1 is the best marker for the diagnosis of neuroendocrine tumors: Comparison with CGA, SYP and CD56. Int. J. Clin. Exp. Pathol. 2017, 10, 5393–5405. [Google Scholar]
- Rooper, L.M.; Sharma, R.; Li, Q.K.; Illei, P.B.; Westra, W.H. INSM1 demonstrates superior performance to the individual and combined use of synaptophysin, chromogranin and CD56 for diagnosing neuroendocrine tumors of the thoracic cavity. Am. J. Surg. Pathol. 2017, 41, 1561–1569. [Google Scholar] [CrossRef]
- Švajdler, M.; Mezencev, R.; Šašková, B.; Ondič, O.; Mukenšnábl, P.; Michal, M. Triple marker composed of p16, CD56, and TTF1 shows higher sensitivity than INSM1 for diagnosis of pulmonary small cell carcinoma: Proposal for a rational immunohistochemical algorithm for diagnosis of small cell carcinoma in small biopsy and cytology specimens. Hum. Pathol. 2019, 85, 58–64. [Google Scholar]
- Kaneko, Y.; Sakakibara, S.; Imai, T.; Suzuki, A.; Nakamura, Y.; Sawamoto, K.; Ogawa, Y.; Toyama, Y.; Miyata, T.; Okano, H. Musashi1: An evolutionally conserved marker for CNS progenitor cells including neural stem cells. Dev. Neurosci. 2000, 22, 139–153. [Google Scholar] [CrossRef] [PubMed]
- Sakakibara, S.; Imai, T.; Hamaguchi, K.; Okabe, M.; Aruga, J.; Nakajima, K.; Yasutomi, D.; Nagata, T.; Kurihara, Y.; Uesugi, S.; et al. Mouse-Musashi-1, a neural RNA-binding protein highly enriched in the mammalian CNS stem cell. Dev. Biol. 1996, 176, 230–242. [Google Scholar] [CrossRef] [PubMed]
- Strojnik, T.; Røsland, G.V.; Sakariassen, P.O.; Kavalar, R.; Lah, T. Neural stem cell markers, nestin and musashi proteins, in the progression of human glioma: Correlation of nestin with prognosis of patient survival. Surg. Neurol. 2007, 68, 133–143. [Google Scholar] [CrossRef] [PubMed]
- Chiou, G.-Y.; Yang, T.-W.; Huang, C.-C.; Tang, C.-Y.; Yen, J.-Y.; Tsai, M.-C.; Chen, H.-Y.; Fadhilah, N.; Lin, C.-C.; Jong, Y.-J. Musashi-1 promotes a cancer stem cell lineage and chemoresistance in colorectal cancer cells. Sci. Rep. 2017, 7, 2172. [Google Scholar] [CrossRef]
- Choi, J.E.; Bae, J.S.; Lee, J.H.; Jang, K.Y.; Chung, M.J.; Moon, W.S. Musashi-1 expression and clinicopathological significance in young gastric cancer patients: A matched case-control study. Int. J. Oncol. 2014, 44, 1185–1192. [Google Scholar] [CrossRef][Green Version]
- Wang, X.-Y.; Yu, H.; Linnoila, R.I.; Li, L.; Li, D.; Mo, B.; Okano, H.; Penalva, L.O.; Glazer, R.I. Musashi1 as a potential therapeutic target and diagnostic marker for lung cancer. Oncotarget 2013, 4, 739. [Google Scholar] [CrossRef] [PubMed]
- Jiang, S.-X.; Kameya, T.; Shoji, M.; Dobashi, Y.; Shinada, J.; Yoshimura, H. Large cell neuroendocrine carcinoma of the lung: A histologic and immunohistochemical study of 22 cases. Am. J. Surg. Pathol. 1998, 22, 526–537. [Google Scholar] [CrossRef] [PubMed]
- Yang, L.; Fan, Y.; Lu, H. Pulmonary Large Cell Neuroendocrine Carcinoma. Pathol. Oncol. Res. 2022, 28, 1610730. [Google Scholar] [CrossRef] [PubMed]
- Baine, M.K.; Hsieh, M.-S.; Lai, W.V.; Egger, J.V.; Jungbluth, A.A.; Daneshbod, Y.; Beras, A.; Spencer, R.; Lopardo, J.; Bodd, F. SCLC subtypes defined by ASCL1, NEUROD1, POU2F3, and YAP1: A comprehensive immunohistochemical and histopathologic characterization. J. Thorac. Oncol. 2020, 15, 1823–1835. [Google Scholar] [CrossRef] [PubMed]
- Ito, M.; Miyata, Y.; Hirano, S.; Kimura, S.; Irisuna, F.; Ikeda, K.; Kushitani, K.; Tsutani, Y.; Ueda, D.; Tsubokawa, N.; et al. Therapeutic strategies and genetic profile comparisons in small cell carcinoma and large cell neuroendocrine carcinoma of the lung using next-generation sequencing. Oncotarget 2017, 8, 108936. [Google Scholar] [CrossRef] [PubMed]
- Yatabe, Y.; Dacic, S.; Borczuk, A.C.; Warth, A.; Russell, P.A.; Lantuejoul, S.; Beasley, M.B.; Thunnissen, E.; Pelosi, G.; Rekhtman, N.; et al. Best practices recommendations for diagnostic immunohistochemistry in lung cancer. J. Thorac. Oncol. 2019, 14, 377–407. [Google Scholar] [CrossRef]
- Tsai, H.K.; Hornick, J.L.; Vivero, M. INSM1 expression in a subset of thoracic malignancies and small round cell tumors: Rare potential pitfalls for small cell carcinoma. Mod. Pathol. 2020, 33, 1571–1580. [Google Scholar] [CrossRef]
- Okano, H.; Kawahara, H.; Toriya, M.; Nakao, K.; Shibata, S.; Imai, T. Function of RNA-binding protein Musashi-1 in stem cells. Exp. Cell Res. 2005, 306, 349–356. [Google Scholar] [CrossRef]
- Nickerson, P.; Myers, T.; Clarke, D.; Chow, R. Changes in Musashi-1 subcellular localization correlate with cell cycle exit during postnatal retinal development. Exp. Eye Res. 2011, 92, 344–352. [Google Scholar] [CrossRef] [PubMed]
- Payne, C.; Hadfield, J.; Stovin, P.; Barker, V.; Heard, B.; Stark, J. Diagnostic accuracy of cytology and biopsy in primary bronchial carcinoma. J. Clin. Pathol. 1981, 34, 773–778. [Google Scholar] [CrossRef]
- Yeh, Y.C.; Chou, T.Y. Pulmonary neuroendocrine tumors: Study of 90 cases focusing on clinicopathological characteristics, immunophenotype, preoperative biopsy, and frozen section diagnoses. J. Surg. Oncol. 2014, 109, 280–286. [Google Scholar] [CrossRef]
- Derks, J.L.; Dingemans, A.M.C.; van Suylen, R.J.; den Bakker, M.A.; Damhuis, R.A.; van den Broek, E.C.; Speel, E.J.; Thunnissen, E. Is the sum of positive neuroendocrine immunohistochemical stains useful for diagnosis of large cell neuroendocrine carcinoma (LCNEC) on biopsy specimens? Histopathology 2019, 74, 555–566. [Google Scholar] [CrossRef]
- Hage, R.; Seldenrijk, K.; de Bruin, P.; van Swieten, H.; van den Bosch, J. Pulmonary large-cell neuroendocrine carcinoma (LCNEC). Eur. J. Cardio-Thorac. Surg. 2003, 23, 457–460. [Google Scholar] [CrossRef]
- Wang, M.; Abi-Raad, R.; Baldassarri, R.; Adeniran, A.J.; Cai, G. Expression of insulinoma-associated protein 1 in non–small cell lung cancers: A diagnostic pitfall for neuroendocrine tumors. Hum. Pathol. 2021, 115, 104–111. [Google Scholar] [CrossRef]
- Xu, X.; Wang, G.; Duan, Y.; Huo, Z. Prognostic value and non-neuroendocrine role of INSM1 in small cell lung cancer. Pathol. -Res. Pract. 2022, 229, 153693. [Google Scholar] [CrossRef]
- Brominska, B.; Gabryel, P.; Jarmołowska-Jurczyszyn, D.; Janicka-Jedyńska, M.; Trojanowski, M.; Sawicka-Gutaj, N.; Czepczyński, R.; Gut, P.; Bromiński, G.; Dyszkiewicz, W. Clinical significance of nestin and its association with survival in neuroendocrine lung tumours. Pol. J. Pathol. 2017, 68, 291–296. [Google Scholar] [CrossRef]
- Jimbo, N.; Ohbayashi, C.; Takeda, M.; Fujii, T.; Mitsui, S.; Tsukamoto, R.; Tanaka, Y.; Itoh, T.; Maniwa, Y. POU2F3-Expressing Small Cell Lung Carcinoma and Large Cell Neuroendocrine Carcinoma Show Morphologic and Phenotypic Overlap. Am. J. Surg. Pathol. 2023, 10, 1097. [Google Scholar] [CrossRef]
- Wang, Y.; Jin, Y.; Shen, X.; Zheng, Q.; Xue, Q.; Chen, L.; Lin, Y.; Li, Y. POU2F3: A Sensitive and Specific Diagnostic Marker for Neuroendocrine-low/negative Small Cell Lung Cancer. Am. J. Surg. Pathol. 2023, 10, 1097. [Google Scholar] [CrossRef]



| Antibody to | Clone | Source | Dilution | Antigen Retrieval |
|---|---|---|---|---|
| Musashi-1 | EP-1302 | Abcam | 1:250 | CC1 30 min |
| INSM1 | C-8 | Santa Cruz | 1:100 | CC1 60 min |
| Chromogranin-A | LK2H10 | Ventana-Roche | prediluted | CC1 60 min |
| Synaptophysin | MRQ-40 | Ventana-Roche | prediluted | CC1 60 min |
| CD56 | MRQ-42 | Ventana-Roche | prediluted | CC1 30 min |
| SCLC | Total Cases | Number of Positive Cases | Immunohistochemical Score | |||
| 0 | 1+ | 2+ | 3+ | |||
| Musashi-1 | 42 | 41 (98%) | 1 | 1 | 6 | 34 |
| INSM1 | 42 | 40 (95%) | 2 | 4 | 2 | 34 |
| Chromogranin-A | 42 | 35 (83%) | 7 | 7 | 6 | 22 |
| Synaptophysin | 42 | 38 (90%) | 4 | 7 | 0 | 31 |
| CD56 | 42 | 40 (95%) | 2 | 0 | 9 | 31 |
| LCNEC | Total Cases | Number of Positive Cases | Immunohistochemical Score | |||
| 0 | 1+ | 2+ | 3+ | |||
| Musashi-1 | 44 | 40 (91%) | 4 | 6 | 6 | 28 |
| INSM1 | 44 | 30 (68%) | 14 | 10 | 6 | 14 |
| Chromogranin-A | 44 | 23 (52%) | 21 | 8 | 1 | 14 |
| Synaptophysin | 44 | 29 (66%) | 15 | 11 | 1 | 17 |
| CD56 | 44 | 39 (89%) | 5 | 10 | 6 | 23 |
| NSCLC | Total Cases | Number of Positive Cases | Immunohistochemical Score | |||
| 0 | 1+ | 2+ | 3+ | |||
| Musashi-1 | 80 | 14 (18%) | 66 | 10 | 3 | 1 |
| INSM1 | 80 | 10 (13%) | 70 | 10 | 0 | 0 |
| Chromogranin-A | 80 | 3 (4%) | 77 | 3 | 0 | 0 |
| Synaptophysin | 80 | 15 (19%) | 66 | 10 | 4 | 1 |
| CD56 | 80 | 15 (19%) | 65 | 11 | 4 | 0 |
| Any Positivity | >10% Positive Cells | |||||
|---|---|---|---|---|---|---|
| Sensitivity | Specificity | Sensitivity | Specificity | |||
| SCLC n = 42 | LCNEC n = 44 | NSCLC n = 80 | SCLC n = 42 | LCNEC n = 44 | NSCLC n = 80 | |
| Musashi-1 | 41 (98%) | 40 (91%) | 66 (83%) | 40 (95%) | 34 (77%) | 76 (95%) |
| INSM1 | 40 (95%) | 30 (68%) | 70 (87%) | 36 (86%) | 20 (45%) | 80 (100%) |
| Chromogranin-A | 35 (83%) | 23 (52%) | 77 (96%) | 28 (67%) | 15 (34%) | 80 (100%) |
| Synaptophysin | 38 (90%) | 29 (66%) | 65 (81%) | 31 (73%) | 18 (41%) | 75 (94%) |
| CD56 | 40 (95%) | 39 (89%) | 65 (81%) | 40 (95%) | 29 (66%) | 76 (95%) |
| Case | MSI-1 | Syn | CD56 | ChrA | ISNM1 | Type | pStage | Smoke (BI) | Rec |
|---|---|---|---|---|---|---|---|---|---|
| 1 | 3+ | 0 | 2 | 0 | 1 | Ad (pap) | IA2 | +(1600) | - |
| 2 | 2+ | 0 | 0 | 0 | 0 | Sq | IA2 | +(1000) | - |
| 3 | 2+ | 0 | 0 | 0 | 1 | Sq | IB | +(860) | - |
| 4 | 2+ | 1 | 0 | 0 | 0 | Sq | IB | +(600) | - |
| 5 | 1+ | 0 | 0 | 0 | 1 | Sq | IIB | +(3000) | - |
| 6 | 1+ | 0 | 2 | 0 | 0 | Sq | IIIB | +(2700) | + |
| 7 | 1+ | 0 | 1 | 0 | 0 | Sq | IB | +(1920) | - |
| 8 | 1+ | 0 | 1 | 0 | 1 | Sq | IB | +(1800) | - |
| 9 | 1+ | 1 | 0 | 0 | 0 | Sq | IIIA | +(1380) | + |
| 10 | 1+ | 0 | 0 | 0 | 1 | Ad (aci) | IB | +(1320) | - |
| 11 | 1+ | 0 | 1 | 0 | 0 | Sq | IB | +(1200) | + |
| 12 | 1+ | 0 | 0 | 1 | 1 | Ad (pap) | IB | +(1075) | - |
| 13 | 1+ | 0 | 0 | 0 | 0 | Sq | IB | +(660) | - |
| 14 | 1+ | 0 | 0 | 0 | 0 | Sq | IA2 | +(600) | - |
Disclaimer/Publisher’s Note: The statements, opinions and data contained in all publications are solely those of the individual author(s) and contributor(s) and not of MDPI and/or the editor(s). MDPI and/or the editor(s) disclaim responsibility for any injury to people or property resulting from any ideas, methods, instructions or products referred to in the content. |
© 2023 by the authors. Licensee MDPI, Basel, Switzerland. This article is an open access article distributed under the terms and conditions of the Creative Commons Attribution (CC BY) license (https://creativecommons.org/licenses/by/4.0/).
Share and Cite
Izaki, Y.; Amatya, V.J.; Kambara, T.; Kushitani, K.; Miyata, Y.; Okada, M.; Takeshima, Y. Musashi-1 Is a Novel Immunohistochemical Marker of Neuroendocrine Carcinoma of the Lung. Cancers 2023, 15, 5631. https://doi.org/10.3390/cancers15235631
Izaki Y, Amatya VJ, Kambara T, Kushitani K, Miyata Y, Okada M, Takeshima Y. Musashi-1 Is a Novel Immunohistochemical Marker of Neuroendocrine Carcinoma of the Lung. Cancers. 2023; 15(23):5631. https://doi.org/10.3390/cancers15235631
Chicago/Turabian StyleIzaki, Yu, Vishwa Jeet Amatya, Takahiro Kambara, Kei Kushitani, Yoshihiro Miyata, Morihito Okada, and Yukio Takeshima. 2023. "Musashi-1 Is a Novel Immunohistochemical Marker of Neuroendocrine Carcinoma of the Lung" Cancers 15, no. 23: 5631. https://doi.org/10.3390/cancers15235631
APA StyleIzaki, Y., Amatya, V. J., Kambara, T., Kushitani, K., Miyata, Y., Okada, M., & Takeshima, Y. (2023). Musashi-1 Is a Novel Immunohistochemical Marker of Neuroendocrine Carcinoma of the Lung. Cancers, 15(23), 5631. https://doi.org/10.3390/cancers15235631

