A Clinicopathology Review and Update of Epstein–Barr Virus-Associated Mesenchymal Tumors
Abstract
Simple Summary
Abstract
1. Introduction
- Latency 0: Antigen-negative infection.
- Latency I: Expression of EBNA1.
- Latency II: Expression of EBNA1, LMP1, LMP2A, and LMP2B.
- Latency I/II: Expression patterns between latency I and II.
- Latency III: Expression of all EBNA proteins, microRNAs, as well as LMP1, LMP2A, and LMP2B.
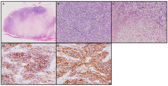
2. EBV-Associated Smooth Muscle Tumors
- Surgical resection: Surgical removal of tumors remains one of the primary treatment options, particularly for patients with unifocal diseases. Notably, there are no reports of disease recurrences in patients who have undergone surgical resections [32,34,42,47,49,51,56]. While challenging for multifocal diseases, surgical resections can still be considered, especially when the tumor is symptomatic or involves intracranial structures. Complete surgical removal in such cases may improve survival rates [58,69].
- Immune reconstitution: Given the multifocal nature of EBV-SMT and its association with immunodeficiency, numerous reports propose prioritizing immune system restoration as a fundamental treatment approach. For patients with HIV, it is recommended to utilize antiretroviral therapy to reinstate immune function [27,35]. In the case of organ transplant recipients, reducing immunosuppressive medications is advised to bolster the immune response [36,39,41,48]. In individuals with congenital immunodeficiency disorders, the option of a bone marrow transplant may be contemplated as a means to enhance immune function [44,55].
- Other treatment modalities: Chemotherapy and radiotherapy are occasionally used; however, they are generally considered ineffective in treating these tumors [36]. Combining EBV-directed antiviral therapy to suppress EBV replication may enhance disease control and potentially lead to better outcomes [48,72,73]. Additionally, a novel treatment approach has been explored for patients with post-transplant smooth muscle tumors (PTSMT). This involves the adoptive cell transfer (ACT) of EBV-specific T cells. One case study reported a stable disease and reduced EBV viremia in a 20-year-old patient who had undergone cardiac transplantation and developed PTSMT [33].
3. Inflammatory Pseudotumor-like Follicular Dendritic Cell Sarcoma
4. EBV-Associated Osteosarcoma
5. Conclusions and Future Directions
- Identifying specific EBV strains in mesenchymal tumors: Recent genomic studies have revealed diverse EBV strains with specific affinities for different lymphoid and epithelial cells [104,105]. Despite this, the identification of EBV strains capable of transforming mesenchymal tissues has proven elusive. Investigating these specific strains in mesenchymal tumors could provide valuable insights into the virus’s genetic diversity.
- Decoding viral entry mechanisms into mesenchymal cells: Various hypotheses have been proposed about how EBV infects host tissues, including the involvement of CD21 receptors. The theory suggesting a CD21-mediated entry as the mechanism for EBV infection is supported by the presence of CD21 in B cells and non-lymphoid cells, including mesenchymal cells [106,107]. However, the exact viral entry mechanism into mesenchymal cells remains unknown due to the challenges in establishing mesenchymal tissue cell lines for in vitro studies. Therefore, efforts should focus on developing techniques to culture mesenchymal cell line tissues, enabling comprehensive research on how EBV binds to these cells.
- Identifying potential biomarkers in tumor signaling pathways: Although the molecular mechanisms in EBV-associated epithelial or lymphoid neoplasms are well comprehended, there remains a gap in the knowledge concerning how EBV induces tumorigenesis in mesenchymal tissues. The importance of comprehending these disease processes is exemplified by the finding of the mTOR signaling pathway’s involvement in EBV-SMT. This discovery has led to the utilization of mTOR inhibitors, such as sirolimus, demonstrating their effectiveness in treating EBV-SMT patients [41,66,70,71]. Ongoing research efforts are thus essential in identifying potential biomarkers within tumor signaling pathways, offering promising targets for therapy in these groups of patients.
Supplementary Materials
Author Contributions
Funding
Acknowledgments
Conflicts of Interest
References
- zur Hausen, H.; de Villiers, E.-M. Cancer “Causation” by Infections—Individual Contributions and Synergistic Networks. Semin. Oncol. 2014, 41, 860–875. [Google Scholar] [CrossRef]
- Varn, F.S.; Schaafsma, E.; Wang, Y.; Cheng, C. Genomic Characterization of Six Virus-Associated Cancers Identifies Changes in the Tumor Immune Microenvironment and Altered Genetic Programs. Cancer Res. 2018, 78, 6413–6423. [Google Scholar] [CrossRef] [PubMed]
- Kitsou, K.; Iliopoulou, M.; Spoulou, V.; Lagiou, P.; Magiorkinis, G. Viral Causality of Human Cancer and Potential Roles of Human Endogenous Retroviruses in the Multi-Omics Era: An Evolutionary Epidemiology Review. Front. Oncol. 2021, 11, 687631. [Google Scholar] [CrossRef] [PubMed]
- Deyrup, A.T. Epstein-Barr Virus–Associated Epithelial and Mesenchymal Neoplasms. Hum. Pathol. 2008, 39, 473–483. [Google Scholar] [CrossRef] [PubMed]
- Burkitt, D. A Children’s Cancer Dependent on Climatic Factors. Nature 1962, 194, 232–234. [Google Scholar] [CrossRef] [PubMed]
- Levine, A.J. Viruses New York; Scientific American Library: New York, NY, USA, 1991. [Google Scholar]
- Epstein, M.A.; Henle, G.; Achong, B.G.; Barr, Y.M. Morphological and biological studies on a virus in cultured lymphoblasts from burkitt’s lymphoma. J. Exp. Med. 1965, 121, 761–770. [Google Scholar] [CrossRef] [PubMed]
- Epstein, M.A.; Achong, B.G.; Barr, Y.M. Virus particles in cultured lymphoblasts from burkitt’s lymphoma. Lancet 1964, 1, 702–703. [Google Scholar] [CrossRef] [PubMed]
- Henle, G.; Henle, W. Immunofluorescence in Cells Derived from Burkitt’s Lymphoma. J. Bacteriol. 1966, 91, 1248–1256. [Google Scholar] [CrossRef]
- Cohen, J.I. Primary Immunodeficiencies Associated with EBV Disease. Curr. Top. Microbiol. Immunol. 2015, 390, 241–265. [Google Scholar]
- Shannon-Lowe, C.; Rickinson, A. The Global Landscape of EBV-Associated Tumors. Front. Oncol. 2019, 9, 713. [Google Scholar] [CrossRef]
- Chakravorty, S.; Afzali, B.; Kazemian, M. EBV-Associated Diseases: Current Therapeutics and Emerging Technologies. Front. Immunol. 2022, 13, 1059133. [Google Scholar] [CrossRef]
- Baumforth, K.R.; Young, L.S.; Flavell, K.J.; Constandinou, C.; Murray, P.G. The Epstein-Barr Virus and Its Association with Human Cancers. Mol. Pathol. 1999, 52, 307–322. [Google Scholar] [CrossRef] [PubMed]
- Israele, V.; Shirley, P.; Sixbey, J.W. Excretion of the Epstein-Barr Virus from the Genital Tract of Men. J. Infect. Dis. 1991, 163, 1341–1343. [Google Scholar] [CrossRef] [PubMed]
- Sixbey, J.W.; Lemon, S.M.; Pagano, J.S. A Second Site for Epstein-Barr Virus Shedding: The Uterine Cervix. Lancet 1986, 2, 1122–1124. [Google Scholar] [CrossRef] [PubMed]
- Junker, A.K.; Thomas, E.E.; Radcliffe, A.; Forsyth, R.B.; Davidson, A.G.; Rymo, L. Epstein-Barr Virus Shedding in Breast Milk. Am. J. Med. Sci. 1991, 302, 220–223. [Google Scholar] [CrossRef]
- Yao, Q.Y.; Ogan, P.; Rowe, M.; Wood, M.; Rickinson, A.B. Epstein-Barr Virus-Infected B Cells Persist in the Circulation of Acyclovir-Treated Virus Carriers. Int. J. Cancer 1989, 43, 67–71. [Google Scholar] [CrossRef]
- Thorley-Lawson, D.A.; Gross, A. Persistence of the Epstein–Barr Virus and the Origins of Associated Lymphomas. N. Engl. J. Med. 2004, 350, 1328–1337. [Google Scholar] [CrossRef]
- Lajoie, V.; Lemieux, B.; Sawan, B.; Lichtensztejn, D.; Lichtensztejn, Z.; Wellinger, R.; Mai, S.; Knecht, H. LMP1 Mediates Multinuclearity through Downregulation of Shelterin Proteins and Formation of Telomeric Aggregates. Blood 2015, 125, 2101–2110. [Google Scholar] [CrossRef]
- Lombardi, L.; Newcomb, E.W.; Dalla-Favera, R. Pathogenesis of Burkitt Lymphoma: Expression of an Activated c-Myc Oncogene Causes the Tumorigenic Conversion of EBV-Infected Human B Lymphoblasts. Cell 1987, 49, 161–170. [Google Scholar] [CrossRef]
- Liebowitz, D. Epstein-Barr Virus—An Old Dog with New Tricks. N. Engl. J. Med. 1995, 332, 55–57. [Google Scholar] [CrossRef]
- McClain, K.L.; Leach, C.T.; Jenson, H.B.; Joshi, V.V.; Pollock, B.H.; Parmley, R.T.; DiCarlo, F.J.; Chadwick, E.G.; Murphy, S.B. Association of Epstein-Barr Virus with Leiomyosarcomas in Young People with AIDS. N. Engl. J. Med. 1995, 332, 12–18. [Google Scholar] [CrossRef] [PubMed]
- Al-Tarawneh, H.; Alp, A.; Gedikoglu, G.; Kosemehmetoglu, K. Epstein-Barr Virus-Positive Leiomyosarcoma in Immunocompetent Patients. Turk Patoloji Derg. 2023. [Google Scholar] [CrossRef] [PubMed]
- Anbardar, M.H.; Soleimani, N.; Safavi, D.; Eshraghian, A.; Ayoub, A. Multifocal EBV-Associated Smooth Muscle Tumors in a Patient with Cytomegalovirus Infection after Liver Transplantation: A Case Report from Shiraz, Iran. Diagn. Pathol. 2022, 17, 3. [Google Scholar] [CrossRef]
- Barrett, K.; Tavakoli, S.; McGinity, M.; Gilbert, A. Intracranial Epstein-Barr Virus-Associated Smooth Muscle Tumor with Superimposed Cryptococcal Infection: A Case Report. Medicine 2022, 101, e28806. [Google Scholar] [CrossRef]
- Chiu, Y.-T.; Lee, J.-C.; Cheng, A.; Hsieh, S.-M. Epstein-Barr Virus-Associated Smooth Muscle Tumor as the Initial Presentation of HIV Infection: A Case Report. J. Formos. Med. Assoc. 2018, 117, 82–84. [Google Scholar] [CrossRef] [PubMed]
- Chong, Y.B.; Lu, P.-L.; Ma, Y.-C.; Yin, H.-L.; Chang, C.-H. Epstein-Barr Virus-Associated Smooth Muscle Tumor and Its Correlation With CD4 Levels in a Patient With HIV Infection. Front. Cell. Infect. Microbiol. 2022, 12, 725342. [Google Scholar] [CrossRef] [PubMed]
- Debiec-Rychter, M.; Croes, R.; De Vos, R.; Marynen, P.; Roskams, T.; Hagemeijer, A.; Lombaerts, R.; Sciot, R. Complex Genomic Rearrangement of ALK Loci Associated with Integrated Human Epstein-Barr Virus in a Post-Transplant Myogenic Liver Tumor. Am. J. Pathol. 2003, 163, 913–922. [Google Scholar] [CrossRef]
- Ehresman, J.S.; Ahmed, A.K.; Palsgrove, D.N.; Pennington, Z.; Goodwin, C.R.; Sciubba, D.M. Epstein-Barr Virus-Associated Smooth Muscle Tumor Involving the Spine of an HIV-Infected Patient: Case Report and Review of the Literature. J. Clin. Neurosci. 2018, 52, 145–150. [Google Scholar] [CrossRef]
- Fournier, B.; Hoshino, A.; Bruneau, J.; Bachelet, C.; Fusaro, M.; Klifa, R.; Lévy, R.; Lenoir, C.; Soudais, C.; Picard, C.; et al. Inherited TNFSF9 Deficiency Causes Broad Epstein-Barr Virus Infection with EBV+ Smooth Muscle Tumors. J. Exp. Med. 2022, 219, e20211682. [Google Scholar] [CrossRef]
- Galeano-Piedrahita, E.; Rico, A.M.M.; Suárez, A.C.R.; Walter, A.L. Cutaneous Smooth Muscle Tumors Associated with Epstein-Barr Virus in an Adult Patient with HIV. An. Bras. Dermatol. 2021, 96, 184–187. [Google Scholar] [CrossRef]
- Hamed, M.O.; Roberts, K.J.; Merchant, W.; Lodge, J.P.A. Contemporary Management and Classification of Hepatic Leiomyosarcoma. HPB 2015, 17, 362–367. [Google Scholar] [CrossRef][Green Version]
- Hansen, B.-T.; Bacher, P.; Eiz-Vesper, B.; Heckl, S.M.; Klapper, W.; Koch, K.; Maecker-Kolhoff, B.; Baldus, C.D.; Fransecky, L. Adoptive Cell Transfer of Allogeneic Epstein-Barr Virus-Specific T Lymphocytes for Treatment of Refractory EBV-Associated Posttransplant Smooth Muscle Tumors: A Case Report. Front. Immunol. 2021, 12, 727814. [Google Scholar] [CrossRef] [PubMed]
- Huang, J.; Loh, K.S.; Petersson, F. Epstein-Barr Virus-Associated Smooth Muscle Tumor of the Larynx: Report of a Rare Case Mimicking Leiomyosarcoma. Head Neck Pathol. 2010, 4, 300–304. [Google Scholar] [CrossRef][Green Version]
- Issarachaikul, R.; Shuangshoti, S.; Suankratay, C. Epstein-Barr Virus-Associated Smooth Muscle Tumors in AIDS Patients: A Largest Case (Series). Intern. Med. 2014, 53, 2391–2396. [Google Scholar] [CrossRef] [PubMed]
- Jonigk, D.; Laenger, F.; Maegel, L.; Izykowski, N.; Rische, J.; Tiede, C.; Klein, C.; Maecker-Kolhoff, B.; Kreipe, H.; Hussein, K. Molecular and Clinicopathological Analysis of Epstein-Barr Virus-Associated Posttransplant Smooth Muscle Tumors. Am. J. Transplant. 2012, 12, 1908–1917. [Google Scholar] [CrossRef] [PubMed]
- Johnson, B.M.; Iskandar, J.-P.; Farha, N.; Yerian, L.; Modaresi Esfeh, J.; Lindenmeyer, C. Hepatic Epstein-Barr Virus-Associated Smooth Muscle Tumor in a Heart and Liver Transplant Recipient. ACG Case Rep. J. 2022, 9, e00782. [Google Scholar] [CrossRef]
- Kang, Z.; Xu, J.; Li, Z. Juvenile Idiopathic Arthritis With Epstein-Barr Virus-Associated Smooth Muscle Tumor in a 6-Year-Old Girl: A Rare Case Report. Front. Pediatr. 2021, 9, 680113. [Google Scholar] [CrossRef]
- Khan, A.A.; Estfan, B.N.; Yalamanchali, A.; Niang, D.; Savage, E.C.; Fulmer, C.G.; Gosnell, H.L.; Modaresi Esfeh, J. Epstein-Barr Virus-Associated Smooth Muscle Tumors in Immunocompromised Patients: Six Case Reports. World J. Clin. Oncol. 2022, 13, 540–552. [Google Scholar] [CrossRef]
- Lee, E.S.; Locker, J.; Nalesnik, M.; Reyes, J.; Jaffe, R.; Alashari, M.; Nour, B.; Tzakis, A.; Dickman, P.S. The Association of Epstein-Barr Virus with Smooth-Muscle Tumors Occurring after Organ Transplantation. N. Engl. J. Med. 1995, 332, 19–25. [Google Scholar] [CrossRef]
- Liu, Y.; Chintalapati, S.; Dietz, R.; Raza, A.S.; Wang, J.; Raza, A.S. EBV-Associated Hepatic Smooth Muscle Tumor of Uncertain Biologic Behavior after Heart Transplantation in a Pediatric Patient: Case Report. J. Gastrointest. Oncol. 2017, 8, E21–E25. [Google Scholar] [CrossRef]
- Moore Dalal, K.; Antonescu, C.R.; Dematteo, R.P.; Maki, R.G. EBV-Associated Smooth Muscle Neoplasms: Solid Tumors Arising in the Presence of Immunosuppression and Autoimmune Diseases. Sarcoma 2008, 2008, 859407. [Google Scholar] [CrossRef]
- Munjal, S.; Warade, A.; Samantray, S.; Madiwale, C.; Desai, K. Dorsolumbar Spine Epstein Barr Virus Associated Leiomyosarcoma in a Human Immunodeficiency Virus Patient. Neurol. India 2017, 65, 664–666. [Google Scholar] [CrossRef] [PubMed]
- Parta, M.; Cuellar-Rodriguez, J.; Freeman, A.F.; Gea-Banacloche, J.; Holland, S.M.; Hickstein, D.D. Resolution of Multifocal Epstein-Barr Virus-Related Smooth Muscle Tumor in a Patient with GATA2 Deficiency Following Hematopoietic Stem Cell Transplantation. J. Clin. Immunol. 2017, 37, 61–66. [Google Scholar] [CrossRef] [PubMed]
- Pitjadi, T.M.; Grayson, W. Epstein-Barr Virus-Associated Smooth Muscle Tumour: A Case Series with a Significant Proportion of Tumours Showing Proclivity for Cutaneous Soft Tissues. Dermatopathology 2019, 6, 133–146. [Google Scholar] [CrossRef] [PubMed]
- Shi, Q.; Tang, W.-F.; He, X.-L.; Tian, X. Epstein-Barr virus-associated smooth muscle tumor in a girl. Zhongguo Dang Dai Er Ke Za Zhi 2021, 23, 739–742. [Google Scholar] [PubMed]
- Soares, C.D.; Carlos, R.; Molina, J.P.D.; de Lima Morais, T.M.; de Almeida, O.P. Laryngeal Epstein-Barr Virus-Associated Smooth Muscle Tumor in an Undernourished Child. Head Neck Pathol. 2019, 13, 722–726. [Google Scholar] [CrossRef] [PubMed]
- Sprangers, B.; Smets, S.; Sagaert, X.; Wozniak, A.; Wollants, E.; Van Ranst, M.; Debiec-Rychter, M.; Sciot, R.; Vanrenterghem, Y.; Kuypers, D.R. Posttransplant Epstein-Barr Virus-Associated Myogenic Tumors: Case Report and Review of the Literature. Am. J. Transplant. 2008, 8, 253–258. [Google Scholar] [CrossRef]
- Suwan, Y.; Rojanaporn, D.; Teekhasaenee, C.; Keelawat, S. Epstein-Barr Virus-Associated Iris Smooth Muscle Tumor with Epithelioid Morphology in AIDS Patients: A Case Report. Int. Med. Case Rep. J. 2016, 9, 83–86. [Google Scholar] [CrossRef]
- Tabor, J.K.; Lei, H.; Morales-Valero, S.F.; O’Brien, J.; Gopal, P.P.; Erson-Omay, E.Z.; Fulbright, R.K.; Moliterno, J. Epstein-Barr Virus-Associated Primary Intracranial Leiomyosarcoma in an Immunocompetent Patient: Illustrative Case. J. Neurosurg. Case Lessons 2023, 5, CASE22532. [Google Scholar] [CrossRef]
- Whaley, R.D.; Thompson, L.D.R. Epstein-Barr Virus-Associated Smooth Muscle Tumors of Larynx: A Clinicopathologic Study and Comprehensive Literature Review of 12 Cases. Head Neck Pathol. 2021, 15, 1162–1171. [Google Scholar] [CrossRef]
- Wilaisakditipakorn, T.; Vilaisaktipakorn, P.; Bunupuradah, T.; Puthanakit, T. A Slow Progressor HIV-Infected Boy Developing Quadriplegia with Evidence of Epstein-Barr Virus Associated Smooth Muscle Tumour of the Cervical Spinal Cord. BMJ Case Rep. 2015, 2015, bcr2015210133. [Google Scholar] [CrossRef] [PubMed]
- Wood, D.; Matsika, A.; Srinivasan, B.; Watson, R. Epstein Barr Virus-Associated Smooth Muscle Tumour (EBV-SMT) of the Urinary Bladder. Urol. Case Rep. 2018, 16, 89–91. [Google Scholar] [CrossRef] [PubMed]
- Yokoyama, D.; Horiguchi, K.; Higuchi, Y.; Hashiba, J. Transnasal Endoscopic Resection of Epstein-Barr Virus-Associated Cavernous Sinus Tumour. BMJ Case Rep. 2020, 13, e236381. [Google Scholar] [CrossRef]
- Yonkof, J.R.; Gupta, A.; Rueda, C.M.; Mangray, S.; Prince, B.T.; Rangarajan, H.G.; Alshahrani, M.; Varga, E.; Cripe, T.P.; Abraham, R.S. A Novel Pathogenic Variant in CARMIL2 (RLTPR) Causing CARMIL2 Deficiency and EBV-Associated Smooth Muscle Tumors. Front. Immunol. 2020, 11, 884. [Google Scholar] [CrossRef] [PubMed]
- Yu, L.; Aldave, A.J.; Glasgow, B.J. Epstein-Barr Virus-Associated Smooth Muscle Tumor of the Iris in a Patient with Transplant: A Case Report and Review of the Literature. Arch. Pathol. Lab. Med. 2009, 133, 1238–1241. [Google Scholar] [CrossRef]
- Yuan, H.; Zeng, B.; He, L.; Tan, X.; Jiang, L. 18F-FDG PET/CT Imaging of Multiple Intrahepatic Epstein-Barr Virus-Associated Smooth Muscle Tumors in a Pediatric Patient after Heart Transplantation. Hell. J. Nucl. Med. 2022, 25, 320–322. [Google Scholar]
- Zhou, Q.; Wu, F.; Guo, Y.; Zhu, B. Epstein-Barr Virus Associated Hepatic Smooth Muscle Tumor in a Patient with Acquired Immunodeficiency Syndrome: A Case Report. Medicine 2020, 99, e19930. [Google Scholar] [CrossRef]
- Deyrup, A.T.; Lee, V.K.; Hill, C.E.; Cheuk, W.; Toh, H.C.; Kesavan, S.; Chan, E.W.; Weiss, S.W. Epstein-Barr Virus-Associated Smooth Muscle Tumors Are Distinctive Mesenchymal Tumors Reflecting Multiple Infection Events: A Clinicopathologic and Molecular Analysis of 29 Tumors from 19 Patients. Am. J. Surg. Pathol. 2006, 30, 75. [Google Scholar] [CrossRef]
- Tetzlaff, M.T.; Nosek, C.; Kovarik, C.L. Epstein-Barr Virus-Associated Leiomyosarcoma with Cutaneous Involvement in an African Child with Human Immunodeficiency Virus: A Case Report and Review of the Literature. J. Cutan. Pathol. 2011, 38, 731–739. [Google Scholar] [CrossRef]
- Adam, E.; Wang, L.; Herrington, C.; Bliss, D.; Church, J.A. Synchronous HIV/AIDS-Related Epstein-Barr Virus-Associated Smooth Muscle Tumors in a 20-Year-Old Female. Pediatr. Infect. Dis. J. 2014, 33, 1055–1056. [Google Scholar] [CrossRef]
- Purgina, B.; Rao, U.N.M.; Miettinen, M.; Pantanowitz, L. AIDS-Related EBV-Associated Smooth Muscle Tumors: A Review of 64 Published Cases. Patholog. Res. Int. 2011, 2011, 561548. [Google Scholar] [CrossRef] [PubMed]
- Wah, N.W.; Mok, Y.; Omar, N.; Chang, K.T.E.; Tay, T.K.Y.; Hue, S.S.-S.; Lee, V.K.M. Clinicopathologic and Molecular Characteristics of Epstein-Barr Virus-Associated Smooth Muscle Tumor Compared with Those of Leiomyoma and Leiomyosarcoma. Mod. Pathol. 2023, 36, 100127. [Google Scholar] [CrossRef] [PubMed]
- Jenson, H.B.; Montalvo, E.A.; McClain, K.L.; Ench, Y.; Heard, P.; Christy, B.A.; Dewalt-Hagan, P.J.; Moyer, M.P. Characterization of Natural Epstein-Barr Virus Infection and Replication in Smooth Muscle Cells from a Leiomyosarcoma. J. Med. Virol. 1999, 57, 36–46. [Google Scholar] [CrossRef]
- Moody, C.A.; Scott, R.S.; Amirghahari, N.; Nathan, C.-A.; Young, L.S.; Dawson, C.W.; Sixbey, J.W. Modulation of the Cell Growth Regulator mTOR by Epstein-Barr Virus-Encoded LMP2A. J. Virol. 2005, 79, 5499–5506. [Google Scholar] [CrossRef] [PubMed]
- Ong, K.W.; Teo, M.; Lee, V.; Ong, D.; Lee, A.; Tan, C.S.; Vathsala, A.; Toh, H.C. Expression of EBV Latent Antigens, Mammalian Target of Rapamycin, and Tumor Suppression Genes in EBV-Positive Smooth Muscle Tumors: Clinical and Therapeutic Implications. Clin. Cancer Res. 2009, 15, 5350–5358. [Google Scholar] [CrossRef] [PubMed]
- Shen, Q.; Feng, W.; Long, M.S.; Duan, X.; Jaijakul, S.; Arias, C.A.; Brown, R.E.; Zhao, B. Multicentric Hepatic EBV-Associated Smooth Muscle Tumors in an AIDS Patient: A Case Report, Investigation of mTOR Activation and Review of the Literature. Int. J. Clin. Exp. Pathol. 2011, 4, 421–429. [Google Scholar]
- Choi, J.H.; Ro, J.Y. The 2020 WHO Classification of Tumors of Soft Tissue: Selected Changes and New Entities. Adv. Anat. Pathol. 2021, 28, 44–58. [Google Scholar] [CrossRef]
- Lau, K.-W.; Hsu, Y.-W.; Lin, Y.-T.; Chen, K.-T. Role of Surgery in Treating Epstein-Barr Virus-Associated Smooth Muscle Tumor (EBV-SMT) with Central Nervous System Invasion: A Systemic Review from 1997 to 2019. Cancer Med. 2021, 10, 1473–1484. [Google Scholar] [CrossRef]
- Tan, C.S.; Loh, H.-L.; Foo, M.W.Y.; Choong, L.H.L.; Wong, K.S.; Kee, T.Y.S. Epstein-Barr Virus-Associated Smooth Muscle Tumors after Kidney Transplantation: Treatment and Outcomes in a Single Center. Clin. Transplant. 2013, 27, E462–E468. [Google Scholar] [CrossRef]
- Toh, H.C.; Teo, M.; Ong, K.W.; Lee, V.; Chan, E.; Lee, A.S.G.; Vathsala, A. Use of Sirolimus for Epstein-Barr Virus-Positive Smooth-Muscle Tumour. Lancet Oncol. 2006, 7, 955–957. [Google Scholar] [CrossRef]
- Rogatsch, H.; Bonatti, H.; Menet, A.; Larcher, C.; Feichtinger, H.; Dirnhofer, S. Epstein-Barr Virus-Associated Multicentric Leiomyosarcoma in an Adult Patient after Heart Transplantation: Case Report and Review of the Literature. Am. J. Surg. Pathol. 2000, 24, 614–621. [Google Scholar] [CrossRef] [PubMed]
- Bonatti, H.; Hoefer, D.; Rogatsch, H.; Margreiter, R.; Larcher, C.; Antretter, H. Successful Management of Recurrent Epstein-Barr Virus-Associated Multilocular Leiomyosarcoma after Cardiac Transplantation. Transplant. Proc. 2005, 37, 1839–1844. [Google Scholar] [CrossRef] [PubMed]
- Hoebers, F.J.P.; Ordonez, B.P.; Irish, J.; Simpson, R.E.; Yu, E.; O’Sullivan, B. Progressive Tumefactive Fibroinflammatory Lesion of the Infratemporal Fossa Treated by Radiation Therapy. Rare Tumors 2012, 4, e12. [Google Scholar] [CrossRef] [PubMed]
- Van Baeten, C.; Van Dorpe, J. Splenic Epstein-Barr Virus-Associated Inflammatory Pseudotumor. Arch. Pathol. Lab. Med. 2017, 141, 722–727. [Google Scholar] [CrossRef] [PubMed]
- East, E.G.; Carter, C.S.; Sciallis, A.P. Cellular Spindled Histiocytic Pseudotumor: A Benign Mimic of Spindle Cell Neoplasia of the Breast. Arch. Pathol. Lab. Med. 2019, 143, 1497–1503. [Google Scholar] [CrossRef] [PubMed]
- Sachdev, R.; Mohapatra, I.; Goel, S.; Ahlawat, K.; Sharma, N. Core Biopsy Diagnosis of ALK Positive Inflammatory Myofibroblastic Tumor of Lung: An Interesting Case. Turk Patoloji Derg. 2020, 36, 173–177. [Google Scholar] [CrossRef]
- Siemion, K.; Reszec-Gielazyn, J.; Kisluk, J.; Roszkowiak, L.; Zak, J.; Korzynska, A. What Do We Know about Inflammatory Myofibroblastic Tumors?—A Systematic Review. Adv. Med. Sci. 2022, 67, 129–138. [Google Scholar] [CrossRef]
- Arber, D.A.; Kamel, O.W.; van de Rijn, M.; Davis, R.E.; Medeiros, L.J.; Jaffe, E.S.; Weiss, L.M. Frequent Presence of the Epstein-Barr Virus in Inflammatory Pseudotumor. Hum. Pathol. 1995, 26, 1093–1098. [Google Scholar] [CrossRef]
- Morales-Vargas, B.; Deeb, K.; Peker, D. Clinicopathologic and Molecular Analysis of Inflammatory Pseudotumor-Like Follicular/Fibroblastic Dendritic Cell Sarcoma: A Case Report and Review of Literature. Turk Patoloji Derg. 2021, 37, 266–272. [Google Scholar] [CrossRef]
- Pagliuca, F.; Ronchi, A.; Auricchio, A.; Lieto, E.; Franco, R. Inflammatory Pseudotumor-like Follicular/Fibroblastic Dendritic Cell Sarcoma: Focus on Immunohistochemical Profile and Association with Epstein-Barr Virus. Infect. Agent. Cancer 2022, 17, 63. [Google Scholar] [CrossRef]
- Gong, S.; Auer, I.; Duggal, R.; Pittaluga, S.; Raffeld, M.; Jaffe, E.S. Epstein-Barr Virus-Associated Inflammatory Pseudotumor Presenting as a Colonic Mass. Hum. Pathol. 2015, 46, 1956–1961. [Google Scholar] [CrossRef]
- Monda, L.; Warnke, R.; Rosai, J. A Primary Lymph Node Malignancy with Features Suggestive of Dendritic Reticulum Cell Differentiation. A Report of 4 Cases. Am. J. Pathol. 1986, 122, 562–572. [Google Scholar] [PubMed]
- Chan, Y.F.; White, J.; Brash, H. Metachronous Pulmonary and Cerebral Inflammatory Pseudotumor in a Child. Pediatr. Pathol. 1994, 14, 805–815. [Google Scholar] [CrossRef] [PubMed]
- Wu, H.; Liu, P.; Xie, X.-R.; Chi, J.-S.; Li, H.; Xu, C.-X. Inflammatory Pseudotumor-like Follicular Dendritic Cell Sarcoma: Literature Review of 67 Cases. World J. Metaanal. 2021, 9, 1–11. [Google Scholar] [CrossRef]
- Pascariu, A.D.; Neagu, A.I.; Neagu, A.V.; Băjenaru, A.; Bețianu, C.I. Hepatic Inflammatory Pseudotumor-like Follicular Dendritic Cell Tumor: A Case Report. J. Med. Case Rep. 2021, 15, 410. [Google Scholar] [CrossRef] [PubMed]
- Wang, H.; Su, Z.; Hu, Z.; Wen, J.; Liu, B. Follicular Dendritic Cell Sarcoma: A Report of Six Cases and a Review of the Chinese Literature. Diagn. Pathol. 2010, 5, 67. [Google Scholar] [CrossRef]
- Ge, R.; Liu, C.; Yin, X.; Chen, J.; Zhou, X.; Huang, C.; Yu, W.; Shen, X. Clinicopathologic Characteristics of Inflammatory Pseudotumor-like Follicular Dendritic Cell Sarcoma. Int. J. Clin. Exp. Pathol. 2014, 7, 2421–2429. [Google Scholar]
- Pan, S.-T.; Cheng, C.-Y.; Lee, N.-S.; Liang, P.-I.; Chuang, S.-S. Follicular Dendritic Cell Sarcoma of the Inflammatory Pseudotumor-like Variant Presenting as a Colonic Polyp. Korean J. Pathol. 2014, 48, 140–145. [Google Scholar] [CrossRef]
- Gui, H.; Chaudhari, J.; Mannan, R. Follicular Dendritic Cell Sarcoma of Gastrointestinal Tract with Two Emerging Distinct Subtypes: A Case Report and Systemic Review. Diagn. Pathol. 2022, 17, 64. [Google Scholar] [CrossRef]
- Wu, C.-Y.; Wang, R.-C.; Chen, B.-J.; Chen, W.-Y.; Jhuang, J.-Y.; Chang, M.-C.; Wu, Y.-H.; Nakada, N.; Karube, K.; Chuang, S.-S. Granuloma with an Underlying Lymphoma: A Diagnostic Challenge and a Wider Histologic Spectrum Including Adult T-Cell Leukemia/Lymphoma. Appl. Immunohistochem. Mol. Morphol. 2020, 28, 316–324. [Google Scholar] [CrossRef]
- He, H.; Xue, Q.; Tan, F.; Yang, L.; Wang, X.; Gao, Y.; Mao, Y.; Mu, J.; Wang, D.; Zhao, J.; et al. A Rare Case of Primary Pulmonary Inflammatory Pseudotumor-like Follicular Dendritic Cell Sarcoma Successfully Treated by Lobectomy. Ann. Transl. Med. 2021, 9, 77. [Google Scholar] [CrossRef] [PubMed]
- Grogg, K.L.; Lae, M.E.; Kurtin, P.J. Clusterin Expression Distinguishes Follicular Dendritic Cell Tumors from Other Dendritic Cell Neoplasms: Report of a Novel Follicular Dendritic Cell Marker and Clinicopathologic Data on 12 Additional Follicular Dendritic Cell Tumors and 6 Additional Interdigitating Dendritic Cell Tumors. Am. J. Surg. Pathol. 2004, 28, 988–998. [Google Scholar] [PubMed]
- Cossu, A.; Lissia, A.; Dedola, M.F.; Deiana, A.; Faedda, R.; Palmieri, G.; Tanda, F. Classic Follicular Dendritic Reticulum Cell Tumor of the Lymph Node Developing in a Patient with a Previous Inflammatory Pseudotumor–like Proliferation. Hum. Pathol. 2005, 36, 207–211. [Google Scholar] [CrossRef] [PubMed]
- Yu, H.; Gibson, J.A.; Pinkus, G.S.; Hornick, J.L. Podoplanin (D2-40) Is a Novel Marker for Follicular Dendritic Cell Tumors. Am. J. Clin. Pathol. 2007, 128, 776–782. [Google Scholar] [CrossRef]
- Vermi, W.; Lonardi, S.; Bosisio, D.; Uguccioni, M.; Danelon, G.; Pileri, S.; Fletcher, C.; Sozzani, S.; Zorzi, F.; Arrigoni, G.; et al. Identification of CXCL13 as a New Marker for Follicular Dendritic Cell Sarcoma. J. Pathol. 2008, 216, 356–364. [Google Scholar] [CrossRef]
- Grogg, K.L.; Macon, W.R.; Kurtin, P.J.; Nascimento, A.G. A Survey of Clusterin and Fascin Expression in Sarcomas and Spindle Cell Neoplasms: Strong Clusterin Immunostaining Is Highly Specific for Follicular Dendritic Cell Tumor. Mod. Pathol. 2005, 18, 260–266. [Google Scholar] [CrossRef]
- Facchetti, F.; Lonardi, S.; Gentili, F.; Bercich, L.; Falchetti, M.; Tardanico, R.; Baronchelli, C.; Lucini, L.; Santin, A.; Murer, B. Claudin 4 Identifies a Wide Spectrum of Epithelial Neoplasms and Represents a Very Useful Marker for Carcinoma versus Mesothelioma Diagnosis in Pleural and Peritoneal Biopsies and Effusions. Virchows Arch. 2007, 451, 669–680. [Google Scholar] [CrossRef]
- Walters, M.; Pittelkow, M.R.; Hasserjian, R.P.; Harris, N.L.; Macon, W.R.; Kurtin, P.J.; Rech, K.L.G. Follicular Dendritic Cell Sarcoma with Indolent T-Lymphoblastic Proliferation Is Associated With Paraneoplastic Autoimmune Multiorgan Syndrome. Am. J. Surg. Pathol. 2018, 42, 1647–1652. [Google Scholar] [CrossRef]
- Cheuk, W.; Chan, J.K.C.; Shek, T.W.H.; Chang, J.H.; Tsou, M.-H.; Yuen, N.W.F.; Ng, W.-F.; Chan, A.C.L.; Prat, J. Inflammatory Pseudotumor-Like Follicular Dendritic Cell Tumor: A Distinctive Low-Grade Malignant Intra-Abdominal Neoplasm with Consistent Epstein–Barr Virus Association. Am. J. Surg. Pathol. 2001, 25, 721. [Google Scholar] [CrossRef]
- Lu, S.S.; Wang, Z.; Zhao, S.; Liu, W.P. Hepatic inflammatory pseudotumor-like follicular dendritic cell sarcoma with paravertebral metastasis and recurrence: Report of a case. Zhonghua Bing Li Xue Za Zhi 2021, 50, 958–960. [Google Scholar]
- Chan, J.K.; Fletcher, C.D.; Nayler, S.J.; Cooper, K. Follicular Dendritic Cell Sarcoma. Clinicopathologic Analysis of 17 Cases Suggesting a Malignant Potential Higher than Currently Recognized. Cancer 1997, 79, 294–313. [Google Scholar] [CrossRef]
- Mardanpour, K.; Rahbar, M.; Mardanpour, S.; Khazaei, S.; Rezaei, M. Co-Expression of Epstein–Barr Virus–encoded RNA1 and Viral Latent Membrane Protein 1 in Osteosarcoma: A Novel Insight of Predictive Markers. Tumour Biol. 2020, 42, 1010428320974247. [Google Scholar] [CrossRef]
- Yu, F.; Syn, N.L.; Lu, Y.; Chong, Q.Y.; Lai, J.; Tan, W.J.; Goh, B.C.; MacAry, P.A.; Wang, L.; Loh, K.S. Characterization and Establishment of a Novel EBV Strain Simultaneously Associated With Nasopharyngeal Carcinoma and B-Cell Lymphoma. Front. Oncol. 2021, 11, 626659. [Google Scholar] [CrossRef]
- Xu, M.; Yao, Y.; Chen, H.; Zhang, S.; Cao, S.-M.; Zhang, Z.; Luo, B.; Liu, Z.; Li, Z.; Xiang, T.; et al. Genome Sequencing Analysis Identifies Epstein-Barr Virus Subtypes Associated with High Risk of Nasopharyngeal Carcinoma. Nat. Genet. 2019, 51, 1131–1136. [Google Scholar] [CrossRef] [PubMed]
- Birkenbach, M.; Tong, X.; Bradbury, L.E.; Tedder, T.F.; Kieff, E. Characterization of an Epstein-Barr Virus Receptor on Human Epithelial Cells. J. Exp. Med. 1992, 176, 1405–1414. [Google Scholar] [CrossRef] [PubMed]
- Timens, W.; Boes, A.; Vos, H.; Poppema, S. Tissue Distribution of the C3d/EBV-Receptor: CD21 Monoclonal Antibodies Reactive with a Variety of Epithelial Cells, Medullary Thymocytes, and Peripheral T-Cells. Histochemistry 1991, 95, 605–611. [Google Scholar] [CrossRef] [PubMed]




| Tumors | Cytokeratins | SMA | Desmin | H-Caldesmon | S100 | HMB45 | CD21 | CD23 | CD34 | CD35 | CD68 | CD117 | DOG1 | ALK1 | EBER-Ish | HHV-8 | Ziehl-Neelsen |
|---|---|---|---|---|---|---|---|---|---|---|---|---|---|---|---|---|---|
| EBV-SMT | − | + | + | + | − | − | +/− | − | − | − | − | − | − | − | + | − | − |
| Differentials of EBV-SMT with Spindled Morphology | |||||||||||||||||
| Non-EBV SMT | − | + | + | + | − | − | − | − | − | − | − | − | − | − | − | − | − |
| Spindle Cell GIST | − | + | − | − | − | − | − | − | + | − | − | + | + | − | − | − | − |
| Peripheral Nerve Sheath Tumors | − | − | − | − | + | − | − | − | − | − | − | − | − | − | − | − | − |
| Kaposi Sarcoma | − | − | − | − | − | − | − | − | + | + | − | − | − | − | − | + | − |
| Mycobacterial Spindle Cell Pseudotumor | − | − | − | − | + | − | − | − | − | − | + | − | − | − | − | − | + |
| Differentials of EBV-SMT with Epithelioid Morphology | |||||||||||||||||
| Carcinoma | + | − | − | − | − | − | − | − | − | − | − | − | − | − | − | − | − |
| Melanoma | − | − | − | − | + | + | − | − | − | − | − | − | − | − | − | − | − |
| Epithelioid GIST | − | + | − | − | − | − | − | − | + | − | − | + | + | − | − | − | − |
| Epithelioid Sarcoma | + | − | − | − | − | − | − | − | + | − | − | − | − | − | − | − | − |
| Differentials of EBV-SMT with Increased Vascularity/HPC-like Morphology | |||||||||||||||||
| Myopericytoma | − | + | − | + | − | − | − | − | − | − | − | − | − | − | − | − | − |
| Angioleiomyoma | − | + | + | + | − | − | − | − | − | − | − | − | − | − | − | − | − |
| Differentials of EBV-SMT with IPT-like Morphology | |||||||||||||||||
| IMT | − | + | − | − | − | − | − | − | − | − | − | − | − | + | − | − | − |
| IPT-FDCS | − | + | − | − | − | − | + | + | − | + | − | − | − | − | + | − | − |
| Tumors | Cytokeratins | SMA | Desmin | H-Caldesmon | S100 | HMB45 | CD21 | CD23 | CD34 | CD35 | CD68 | CD163 | CD1a | ALK1 | EBER-Ish | HHV-8 |
|---|---|---|---|---|---|---|---|---|---|---|---|---|---|---|---|---|
| IPT-FDCS | − | + | − | − | − | − | + | + | − | + | + | − | − | − | + | − |
| EBV-SMT | − | + | + | + | − | − | +/− | − | − | − | − | − | − | − | + | − |
| IMT | − | + | − | − | − | − | − | − | − | − | − | − | − | + | − | − |
| IDCS | − | − | − | − | + | − | − | − | − | − | + | + | − | − | − | − |
| Kaposi Sarcoma | − | − | − | − | − | − | − | − | + | − | − | − | − | − | − | + |
| LCH | − | − | − | − | + | − | − | − | − | − | + | + | + | − | − | − |
| Carcinoma | + | − | − | − | − | − | − | − | − | − | − | − | − | − | − | − |
| Melanoma | − | − | − | − | + | + | − | − | − | − | − | − | − | − | − | − |
Disclaimer/Publisher’s Note: The statements, opinions and data contained in all publications are solely those of the individual author(s) and contributor(s) and not of MDPI and/or the editor(s). MDPI and/or the editor(s) disclaim responsibility for any injury to people or property resulting from any ideas, methods, instructions or products referred to in the content. |
© 2023 by the authors. Licensee MDPI, Basel, Switzerland. This article is an open access article distributed under the terms and conditions of the Creative Commons Attribution (CC BY) license (https://creativecommons.org/licenses/by/4.0/).
Share and Cite
Lee, O.Z.J.; Omar, N.; Tay, J.K.; Lee, V.K.M. A Clinicopathology Review and Update of Epstein–Barr Virus-Associated Mesenchymal Tumors. Cancers 2023, 15, 5563. https://doi.org/10.3390/cancers15235563
Lee OZJ, Omar N, Tay JK, Lee VKM. A Clinicopathology Review and Update of Epstein–Barr Virus-Associated Mesenchymal Tumors. Cancers. 2023; 15(23):5563. https://doi.org/10.3390/cancers15235563
Chicago/Turabian StyleLee, Oswald Zhao Jian, Noorjehan Omar, Joshua K. Tay, and Victor Kwan Min Lee. 2023. "A Clinicopathology Review and Update of Epstein–Barr Virus-Associated Mesenchymal Tumors" Cancers 15, no. 23: 5563. https://doi.org/10.3390/cancers15235563
APA StyleLee, O. Z. J., Omar, N., Tay, J. K., & Lee, V. K. M. (2023). A Clinicopathology Review and Update of Epstein–Barr Virus-Associated Mesenchymal Tumors. Cancers, 15(23), 5563. https://doi.org/10.3390/cancers15235563

