Lymph Node Molecular Analysis with OSNA Enables the Identification of pT1 CRC Patients at Risk of Recurrence: A Multicentre Study
Abstract
:Simple Summary
Abstract
1. Introduction
2. Materials and Methods
2.1. Patients and Samples
2.2. Ethical Considerations
2.3. Lymph Node Dissection and One-Step Nucleic Acid Amplification (OSNA)
2.4. Lymph Node pN Staging and OSNA Results
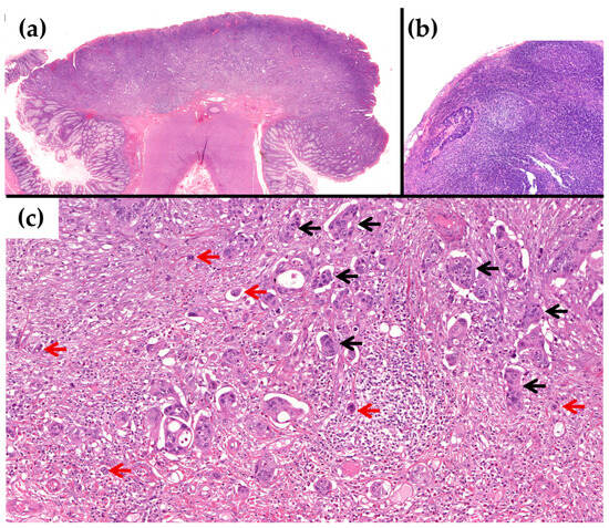
2.5. Histological Evaluation of pT1 CRC
2.6. Statistical Analysis
3. Results
3.1. Comparison of Lymph Node Status Assessed with H&E and OSNA
3.2. Pathological Characteristics Related to Lymph Node Metastases
3.3. Patient Follow-Up
4. Discussion
5. Conclusions
Author Contributions
Funding
Institutional Review Board Statement
Informed Consent Statement
Data Availability Statement
Acknowledgments
Conflicts of Interest
References
- Sung, H.; Ferlay, J.; Siegel, R.L.; Laversanne, M.; Soerjomataram, I.; Jemal, A.; Bray, F. Global Cancer Statistics 2020: GLOBOCAN Estimates of Incidence and Mortality Worldwide for 36 Cancers in 185 Countries. CA Cancer J. Clin. 2021, 71, 209–249. [Google Scholar] [CrossRef]
- Bullman, S.; Pedamallu, C.S.; Sicinska, E.; Clancy, T.E.; Zhang, X.; Cai, D.; Neuberg, D.; Huang, K.; Guevara, F.; Nelson, T.; et al. Analysis of Fusobacterium persistence and antibiotic response in colorectal cancer. Science 2017, 358, 1443–1448. [Google Scholar] [CrossRef] [PubMed]
- Bailey, C.E.; Hu, C.Y.; You, Y.N.; Bednarski, B.K.; Rodriguez-Bigas, M.A.; Skibber, J.M.; Cantor, S.B.; Chang, G.J. Increasing disparities in the age-related incidences of colon and rectal cancers in the United States, 1975–2010. JAMA Surg. 2015, 150, 17–22. [Google Scholar] [CrossRef] [PubMed]
- Kerr, J.; Anderson, C.; Lippman, S.M. Physical Activity, Sedentary Behaviour, Diet and Cancer: An Update and Emerging New Evidence. Lancet Oncol. 2023, 18, E457–E471. [Google Scholar] [CrossRef]
- Cubiella, J.; González, A.; Almazán, R.; Rodríguez-Camacho, E.; Fontenla Rodiles, J.; Domínguez Ferreiro, C.; Tejido Sandoval, C.; Sánchez Gómez, C.; de Vicente Bielza, N.; Lorenzo, I.P.-R.; et al. PT1 Colorectal Cancer Detected in a Colorectal Cancer Mass Screening Program: Treatment and Factors Associated with Residual and Extraluminal Disease. Cancers 2020, 12, 2530. [Google Scholar] [CrossRef] [PubMed]
- Argilés, G.; Tabernero, J.; Labianca, R.; Hochhauser, D.; Salazar, R.; Iveson, T.; Laurent-Puig, P.; Quirke, P.; Yoshino, T.; Taieb, J.; et al. Localised Colon Cancer: ESMO Clinical Practice Guidelines for Diagnosis, Treatment and Follow-Up†. Ann. Oncol. 2020, 31, 1291–1305. [Google Scholar] [CrossRef]
- Dykstra, M.A.; Gimon, T.I.; Ronksley, P.E.; Buie, W.D.; Maclean, A.R. Classic and Novel Histopathologic Risk Factors for Lymph Node Metastasis in T1 Colorectal Cancer: A Systematic Review and Meta-Analysis. Dis. Colon Rectum 2021, 64, 1139–1150. [Google Scholar] [CrossRef]
- Yasue, C.; Chino, A.; Takamatsu, M.; Namikawa, K.; Ide, D.; Saito, S.; Igarashi, M.; Fujisaki, J. Pathological Risk Factors and Predictive Endoscopic Factors for Lymph Node Metastasis of T1 Colorectal Cancer: A Single-Center Study of 846 Lesions. J. Gastroenterol. 2019, 54, 708–717. [Google Scholar] [CrossRef]
- Backes, Y.; Elias, S.G.; Groen, J.N.; Schwartz, M.P.; Wolfhagen, F.H.J.; Geesing, J.M.J.; Ter Borg, F.; van Bergeijk, J.; Spanier, B.W.M.; de Vos Tot Nederveen Cappel, W.H.; et al. Histologic Factors Associated With Need for Surgery in Patients With Pedunculated T1 Colorectal Carcinomas. Gastroenterology 2018, 154, 1647–1659. [Google Scholar] [CrossRef]
- Miyachi, H.; Kudo, S.; Mochizuki, K.; Kouyama, Y.; Ichimasa, K. Tumor Location and Patient Sex Are Novel Risk Factors of Lymph Node Metastasis in T1 Colorectal Cancer. J. Gastroenterol. Hepatol. 2020, 35, 2292. [Google Scholar] [CrossRef]
- Yamamoto, H.; Tomita, N.; Inomata, M.; Furuhata, T.; Miyake, Y.; Noura, S.; Kato, T.; Murata, K.; Hayashi, S.; Igarashi, S.; et al. OSNA-Assisted Molecular Staging in Colorectal Cancer: A Prospective Multicenter Trial in Japan. Ann. Surg. Oncol. 2016, 23, 391–396. [Google Scholar] [CrossRef] [PubMed]
- Güller, U.; Zettl, A.; Worni, M.; Langer, I.; Cabalzar-Wondberg, D.; Viehl, C.T.; Demartines, N.; Zuber, M. Molecular Investigation of Lymph Nodes in Colon Cancer Patients Using One-Step Nucleic Acid Amplification (OSNA): A New Road to Better Staging? Cancer 2012, 118, 6039–6045. [Google Scholar] [CrossRef] [PubMed]
- Tsujimoto, M.; Nakabayashi, K.; Yoshidome, K.; Kaneko, T.; Iwase, T.; Akiyama, F.; Kato, Y.; Tsuda, H.; Ueda, S.; Sato, K.; et al. One-Step Nucleic Acid Amplification for Intraoperative Detection of Lymph Node Metastasis in Breast Cancer Patients. Clin. Cancer Res. 2007, 13, 4807–4816. [Google Scholar] [CrossRef]
- Archilla, I.; Díaz-Mercedes, S.; Aguirre, J.J.; Tarragona, J.; Machado, I.; Rodrigo, M.T.; Lopez-Prades, S.; Gorostiaga, I.; Landolfi, S.; Alén, B.O.; et al. Lymph Node Tumor Burden Correlates With Tumor Budding and Poorly Differentiated Clusters: A New Prognostic Factor in Colorectal Carcinoma? Clin. Transl. Gastroenterol. 2021, 12, e00303. [Google Scholar] [CrossRef] [PubMed]
- Rakislova, N.; Montironi, C.; Aldecoa, I.; Fernandez, E.; Bombi, J.A.; Jimeno, M.; Balaguer, F.; Pellise, M.; Castells, A.; Cuatrecasas, M. Lymph Node Pooling: A Feasible and Efficient Method of Lymph Node Molecular Staging in Colorectal Carcinoma. J. Transl. Med. 2017, 15, 14. [Google Scholar] [CrossRef]
- Barel, F.; Cariou, M.; Saliou, P.; Kermarrec, T.; Auffret, A.; Samaison, L.; Bourhis, A.; Badic, B.; Jézéquel, J.; Cholet, F.; et al. Histopathological Factors Help to Predict Lymph Node Metastases More Efficiently than Extra-Nodal Recurrences in Submucosa Invading PT1 Colorectal Cancer. Sci. Rep. 2019, 9, 8342. [Google Scholar] [CrossRef]
- Oh, J.R.; Park, B.; Lee, S.; Han, K.S.; Youk, E.G.; Lee, D.H.; Kim, D.S.; Lee, D.S.; Hong, C.W.; Kim, B.C.; et al. Nomogram Development and External Validation for Predicting the Risk of Lymph Node Metastasis in T1 Colorectal Cancer. Cancer Res. Treat. 2019, 51, 1275–1284. [Google Scholar] [CrossRef]
- Ueno, H.; Mochizuki, H.; Hashiguchi, Y.; Shimazaki, H.; Aida, S.; Hase, K.; Matsukuma, S.; Kanai, T.; Kurihara, H.; Ozawa, K.; et al. Risk Factors for an Adverse Outcome in Early Invasive Colorectal Carcinoma. Gastroenterology 2004, 127, 385–394. [Google Scholar] [CrossRef]
- Ueno, H.; Kajiwara, Y.; Shimazaki, H.; Shinto, E.; Hashiguchi, Y.; Nakanishi, K.; Maekawa, K.; Katsurada, Y.; Nakamura, T.; Mochizuki, H.; et al. New Criteria for Histologic Grading of Colorectal Cancer. Am. J. Surg. Pathol. 2012, 36, 193–201. [Google Scholar] [CrossRef] [PubMed]
- Lugli, A.; Kirsch, R.; Ajioka, Y.; Bosman, F.; Cathomas, G.; Dawson, H.; El Zimaity, H.; Fléjou, J.F.; Hansen, T.P.; Hartmann, A.; et al. Recommendations for Reporting Tumor Budding in Colorectal Cancer Based on the International Tumor Budding Consensus Conference (ITBCC) 2016. Mod. Pathol. 2017, 30, 1299–1311. [Google Scholar] [CrossRef]
- Kikuchi, R.; Takano, M.; Takagi, K.; Fujimoto, N.; Nozaki, R.; Fujiyoshi, T.; Uchida, Y. Management of Early Invasive Colorectal Cancer. Risk of Recurrence and Clinical Guidelines. Dis. Colon Rectum 1995, 38, 1286–1295. [Google Scholar] [CrossRef] [PubMed]
- Haggitt, R.C.; Glotzbach, R.E.; Soffer, E.E.; Wruble, L.D. Prognostic Factors in Colorectal Carcinomas Arising in Adenomas: Implications for Lesions Removed by Endoscopic Polypectomy. Gastroenterology 1985, 89, 328–336. [Google Scholar] [CrossRef] [PubMed]
- Davies, M.; Arumugam, P.J.; Shah, V.I.; Watkins, A.; Morgan, A.R.; Carr, N.D.; Beynon, J. The Clinical Significance of Lymph Node Micrometastasis in Stage I and Stage II Colorectal Cancer. Clin. Transl. Oncol. 2008, 10, 175–179. [Google Scholar] [CrossRef]
- Rahbari, N.N.; Bork, U.; Motschall, E.; Thorlund, K.; Büchler, M.W.; Koch, M.; Weitz, J. Molecular Detection of Tumor Cells in Regional Lymph Nodes Is Associated with Disease Recurrence and Poor Survival in Node-Negative Colorectal Cancer: A Systematic Review and Meta-Analysis. J. Clin. Oncol. 2012, 30, 60–70. [Google Scholar] [CrossRef]
- Yamamoto, H. Micrometastasis in Lymph Nodes of Colorectal Cancer. Ann. Gastroenterol. Surg. 2022, 6, 466–473. [Google Scholar] [CrossRef]
- Sloothaak, D.A.M.; Sahami, S.; Van Der Zaag-Loonen, H.J.; Van Der Zaag, E.S.; Tanis, P.J.; Bemelman, W.A.; Buskens, C.J. The Prognostic Value of Micrometastases and Isolated Tumour Cells in Histologically Negative Lymph Nodes of Patients with Colorectal Cancer: A Systematic Review and Meta-Analysis. Eur. J. Surg. Oncol. 2014, 40, 263–269. [Google Scholar] [CrossRef]
- Yamamoto, H.; Sekimoto, M.; Oya, M.; Yamamoto, N.; Konishi, F.; Sasaki, J.; Yamada, S.; Taniyama, K.; Tominaga, H.; Tsujimoto, M.; et al. OSNA-Based Novel Molecular Testing for Lymph Node Metastases in Colorectal Cancer Patients: Results from a Multicenter Clinical Performance Study in Japan. Ann. Surg. Oncol. 2011, 18, 1891–1898. [Google Scholar] [CrossRef] [PubMed]
- Hiyoshi, Y.; Akiyoshi, T.; Fukunaga, Y. The Advantage of One-Step Nucleic Acid Amplification for the Diagnosis of Lymph Node Metastasis in Colorectal Cancer Patients. Ann. Gastroenterol. Surg. 2021, 5, 60–66. [Google Scholar] [CrossRef]
- Ichimasa, K.; Kudo, S.E.; Miyachi, H.; Kouyama, Y.; Misawa, M.; Mori, Y. Risk Stratification of T1 Colorectal Cancer Metastasis to Lymph Nodes: Current Status and Perspective. Gut Liver 2021, 15, 818–826. [Google Scholar] [CrossRef]
- Kuo, E.; Wang, K.; Liu, X. A Focused Review on Advances in Risk Stratification of Malignant Polyps. Gastroenterol. Res. 2020, 13, 163–183. [Google Scholar] [CrossRef]
- Aizawa, D.; Sugino, T.; Oishi, T.; Hotta, K.; Imai, K.; Shiomi, A.; Notsu, A.; Ikegami, M.; Shimoda, T. The Essential Problem of Over-Measuring the Depth of Submucosal Invasion in PT1 Colorectal Cancer. Virchows Arch. 2022, 480, 323–333. [Google Scholar] [CrossRef] [PubMed]
- Zwager, L.W.; Bastiaansen, B.A.J.; Montazeri, N.S.M.; Hompes, R.; Barresi, V.; Ichimasa, K.; Kawachi, H.; Machado, I.; Masaki, T.; Sheng, W.; et al. Deep Submucosal Invasion Is Not an Independent Risk Factor for Lymph Node Metastasis in T1 Colorectal Cancer: A Meta-Analysis. Gastroenterology 2022, 163, 174–189. [Google Scholar] [CrossRef]
- Brockmoeller, S.; Toh, E.W.; Kouvidi, K.; Hepworth, S.; Morris, E.; Quirke, P. Improving the Management of Early Colorectal Cancers (ECRC) by Using Quantitative Markers to Predict Lymph Node Involvement and Thus the Need for Major Resection of PT1 Cancers. J. Clin. Pathol. 2022, 75, 545–550. [Google Scholar] [CrossRef]
- Brown, I.; Zammit, A.P.; Bettington, M.; Cooper, C.; Gill, A.J.; Agoston, A.; Odze, R. Pathological Features Associated with Metastasis in Patients with Early Invasive (PT1) Colorectal Carcinoma in Colorectal Polyps. Histopathology 2023, 83, 591–606. [Google Scholar] [CrossRef] [PubMed]
- Kajiwara, Y.; Oka, S.; Tanaka, S.; Nakamura, T.; Saito, S.; Fukunaga, Y.; Takamatsu, M.; Kawachi, H.; Hotta, K.; Ikematsu, H.; et al. Nomogram as a Novel Predictive Tool for Lymph Node Metastasis in T1 Colorectal Cancer Treated with Endoscopic Resection: A Nationwide, Multicenter Study. Gastrointest. Endosc. 2023, 97, 1119–1128.e5. [Google Scholar] [CrossRef] [PubMed]
- Tateishi, Y.; Nakanishi, Y.; Taniguchi, H.; Shimoda, T.; Umemura, S. Pathological Prognostic Factors Predicting Lymph Node Metastasis in Submucosal Invasive (T1) Colorectal Carcinoma. Mod. Pathol. 2010, 23, 1068–1072. [Google Scholar] [CrossRef] [PubMed]
- Beaton, C.; Twine, C.P.; Williams, G.L.; Radcliffe, A.G. Systematic Review and Meta-Analysis of Histopathological Factors Influencing the Risk of Lymph Node Metastasis in Early Colorectal Cancer. Colorectal Dis. 2013, 15, 788–797. [Google Scholar] [CrossRef]
- Brockmoeller, S.F.; West, N.P. Predicting Systemic Spread in Early Colorectal Cancer: Can We Do Better? World J. Gastroenterol. 2019, 25, 2887–2897. [Google Scholar] [CrossRef]
- Cappellesso, R.; Nicolè, L.; Zanco, F.; Lo Mele, M.; Fassina, A.; Ventura, L.; Rosa-Rizzotto, E.; Guido, E.; De Lazzari, F.; Pilati, P.; et al. Synchronous Nodal Metastatic Risk in Screening Detected and Endoscopically Removed PT1 Colorectal Cancers. Pathol. Res. Pract. 2020, 216, 152966. [Google Scholar] [CrossRef]
- Dang, H.; Dekkers, N.; le Cessie, S.; van Hooft, J.E.; van Leerdam, M.E.; Oldenburg, P.P.; Flothuis, L.; Schoones, J.W.; Langers, A.M.J.; Hardwick, J.C.H.; et al. Risk and Time Pattern of Recurrences After Local Endoscopic Resection of T1 Colorectal Cancer: A Meta-Analysis. Clin. Gastroenterol. Hepatol. 2022, 20, e298–e314. [Google Scholar] [CrossRef]
- Barresi, V.; Branca, G.; Ieni, A.; Reggiani Bonetti, L.; Baron, L.; Mondello, S.; Tuccari, G. Poorly Differentiated Clusters (PDCs) as a Novel Histological Predictor of Nodal Metastases in PT1 Colorectal Cancer. Virchows Arch. 2014, 464, 655–662. [Google Scholar] [CrossRef]
- Shivji, S.; Cyr, D.P.; Pun, C.; Duan, K.; Sari, A.; Tomin, R.; Ng, D.; Brar, A.; Zerhouni, S.; Kennedy, E.; et al. A Novel Combined Tumor Budding-Poorly Differentiated Clusters Grading System Predicts Recurrence and Survival in Stage I-III Colorectal Cancer. Am. J. Surg. Pathol. 2022, 46, 1340–1351. [Google Scholar] [CrossRef]
- Shivji, S.; Conner, J.R.; Barresi, V.; Kirsch, R. Poorly Differentiated Clusters in Colorectal Cancer: A Current Review and Implications for Future Practice. Histopathology 2020, 77, 351–368. [Google Scholar] [CrossRef]
- Hong, M.; Kim, J.W.; Shin, M.K.; Kim, B.C. Poorly Differentiated Clusters in Colorectal Adenocarcinomas Share Biological Similarities with Micropapillary Patterns as Well as Tumor Buds. J. Korean Med. Sci. 2017, 32, 1595–1602. [Google Scholar] [CrossRef] [PubMed]
- Haddad, T.S.; Lugli, A.; Aherne, S.; Barresi, V.; Terris, B.; Bokhorst, J.M.; Brockmoeller, S.F.; Cuatrecasas, M.; Simmer, F.; El-Zimaity, H.; et al. Improving Tumor Budding Reporting in Colorectal Cancer: A Delphi Consensus Study. Virchows Arch. 2021, 479, 459–469. [Google Scholar] [CrossRef] [PubMed]
- Kouyama, Y.; Kudo, S.; Miyachi, H.; Ichimasa, K.; Matsudaira, S.; Misawa, M.; Mori, Y.; Kudo, T.; Hayashi, T.; Wakamura, K.; et al. Risk Factors of Recurrence in T1 Colorectal Cancers Treated by Endoscopic Resection Alone or Surgical Resection with Lymph Node Dissection. Int. J. Colorectal Dis. 2018, 33, 1029–1038. [Google Scholar] [CrossRef] [PubMed]
- Ronnow, C.F.; Arthursson, V.; Toth, E.; Krarup, P.M.; Syk, I.; Thorlacius, H. Lymphovascular Infiltration, Not Depth of Invasion, Is the Critical Risk Factor of Metastases in Early Colorectal Cancer: Retrospective Population-Based Cohort Study on Prospectively Collected Data, Including Validation. Ann. Surg. 2022, 275, E148–E154. [Google Scholar] [CrossRef] [PubMed]
- Vocino Trucco, G.; Benazzo, G.M.; Ricci, A.A.; Mangherini, L.; Falco, E.; Gambella, A.; Bertero, L.; Cassoni, P. Low PD-L1 Expression in Immune Cells Predicts the Presence of Nodal Metastasis in Early Invasive (PT1) Colorectal Cancer: A Novel Tool to Tailor Surgical Treatment. Histopathology 2023, 83, 126–136. [Google Scholar] [CrossRef]
- Liebig, C.; Ayala, G.; Wilks, J.; Verstovsek, G.; Liu, H.; Agarwal, N.; Berger, D.H.; Albo, D. Perineural Invasion Is an Independent Predictor of Outcome in Colorectal Cancer. J. Clin. Oncol. 2009, 27, 5131–5137. [Google Scholar] [CrossRef]
- Berg, K.B.; Telford, J.J.; Gentile, L.; Schaeffer, D.F. Re-Examining the 1-Mm Margin and Submucosal Depth of Invasion: A Review of 216 Malignant Colorectal Polyps. Virchows Arch. 2020, 476, 863–870. [Google Scholar] [CrossRef]
- Yan, Y.; Liu, H.; Mao, K.; Zhang, M.; Zhou, Q.; Yu, W.; Shi, B.; Wang, J.; Xiao, Z. Novel Nomograms to Predict Lymph Node Metastasis and Liver Metastasis in Patients with Early Colon Carcinoma. J. Transl. Med. 2019, 17, 193. [Google Scholar] [CrossRef]
- Scott, N.; Cairns, A.; Prasad, P.; Rotimi, O.; West, N.P.; Sanni, L.; Rizig, M.; Sood, R.; Rembacken, B.J. Resection Margin Involvement after Endoscopic Excision of Malignant Colorectal Polyps: Definition of Margin Involvement and Its Impact upon Tumour Recurrence. Histopathology 2023, 83, 80–90. [Google Scholar] [CrossRef]
- Bousis, D.; Verras, G.-I.; Bouchagier, K.; Antzoulas, A.; Panagiotopoulos, I.; Katinioti, A.; Kehagias, D.; Kaplanis, C.; Kotis, K.; Anagnostopoulos, C.-N.; et al. The Role of Deep Learning in Diagnosing Colorectal Cancer. Gastroenterol. Rev. 2023, 18, 266–273. [Google Scholar] [CrossRef] [PubMed]
- Chlorogiannis, D.D.; Verras, G.-I.; Tzelepi, V.; Chlorogiannis, A.; Apostolos, A.; Kotis, K.; Anagnostopoulos, C.-N.; Antzoulas, A.; Vailas, M.; Schizas, D.; et al. Tissue Classification and Diagnosis of Colorectal Cancer Histopathology Images Using Deep Learning Algorithms. Is the Time Ripe for Clinical Practice Implementation? Gastroenterol. Rev. 2023, 18. [Google Scholar] [CrossRef]
- Skrede, O.-J.; De Raedt, S.; Kleppe, A.; Hveem, T.S.; Liestøl, K.; Maddison, J.; Askautrud, H.A.; Pradhan, M.; Nesheim, J.A.; Albregtsen, F.; et al. Deep Learning for Prediction of Colorectal Cancer Outcome: A Discovery and Validation Study. Lancet 2020, 395, 350–360. [Google Scholar] [CrossRef] [PubMed]
- Kudo, S.; Ichimasa, K.; Villard, B.; Mori, Y.; Misawa, M.; Saito, S.; Hotta, K.; Saito, Y.; Matsuda, T.; Yamada, K.; et al. Artificial Intelligence System to Determine Risk of T1 Colorectal Cancer Metastasis to Lymph Node. Gastroenterology 2021, 160, 1075–1084.e2. [Google Scholar] [CrossRef]
- Peg, V.; Sansano, I.; Vieites, B.; Bernet, L.; Cano, R.; Córdoba, A.; Sancho, M.; Martín, M.D.; Vilardell, F.; Cazorla, A.; et al. Role of Total Tumour Load of Sentinel Lymph Node on Survival in Early Breast Cancer Patients. Breast 2017, 33, 8–13. [Google Scholar] [CrossRef]
- Espinosa-Bravo, M.; Sansano, I.; Pérez-Hoyos, S.; Ramos, M.; Sancho, M.; Xercavins, J.; Rubio, I.T.; Peg, V. Prediction of Non-Sentinel Lymph Node Metastasis in Early Breast Cancer by Assessing Total Tumoral Load in the Sentinel Lymph Node by Molecular Assay. Eur. J. Surg. Oncol. 2013, 39, 766–773. [Google Scholar] [CrossRef]
- Vieites, B.; López-García, M.; Martín-Salvago, M.D.; Ramirez-Tortosa, C.L.; Rezola, R.; Sancho, M.; López-Vilaró, L.; Villardell, F.; Burgués, O.; Fernández-Rodriguez, B.; et al. Predictive and Prognostic Value of Total Tumor Load in Sentinel Lymph Nodes in Breast Cancer Patients after Neoadjuvant Treatment Using One-Step Nucleic Acid Amplification: The NEOVATTL Study. Clin. Transl. Oncol. 2021, 23, 1377–1385. [Google Scholar] [CrossRef]
- Weixler, B.; Teixeira da Cunha, S.; Warschkow, R.; Demartines, N.; Güller, U.; Zettl, A.; Vahrmeijer, A.; van de Velde, C.J.H.; Viehl, C.T.; Zuber, M. Molecular Lymph Node Staging with One-Step Nucleic Acid Amplification and Its Prognostic Value for Patients with Colon Cancer: The First Follow-up Study. World J. Surg. 2021, 45, 1526–1536. [Google Scholar] [CrossRef]
- Tani, K.; Itabashi, M.; Okuya, K.; Okita, K.; Takemasa, I.; Tomita, N.; Ogawa, S.; Nagashima, Y.; Yamamoto, M. Feasibility of Pooled One-Step Nucleic Acid Amplification for Molecular Staging of Pathologically Node-Negative Colon Cancer: A Prospective Multicenter Study. Ann. Surg. Oncol. 2021, 28, 8804–8812. [Google Scholar] [CrossRef] [PubMed]
- Aldecoa, I.; Atares, B.; Tarragona, J.; Bernet, L.; Sardon, J.D.; Pereda, T.; Villar, C.; Mendez, M.C.; Gonzalez-Obeso, E.; Elorriaga, K.; et al. Molecularly Determined Total Tumour Load in Lymph Nodes of Stage I–II Colon Cancer Patients Correlates with High-Risk Factors. A Multicentre Prospective Study. Virchows Arch. 2016, 469, 385–394. [Google Scholar] [CrossRef] [PubMed]
- Diaz-Mercedes, S.; Archilla, I.; Lahoz, S.; Rodrigo-Calvo, M.T.; Lopez-Prades, S.; Tarragona, J.; Landolfi, S.; Concha, A.; Machado, I.; Maurel, J.; et al. Cytology Smears: An Enhanced Alternative Method for Colorectal Cancer PN Stage—A Multicentre Study. Cancers 2022, 14, 6072. [Google Scholar] [CrossRef] [PubMed]
- Rodrigo-Calvo, M.T.; Saez de Gordoa, K.; Lopez-Prades, S.; Archilla, I.; Diaz, A.; Berrios, M.; Camps, J.; Musulen, E.; Cuatrecasas, M. Tumour Cell Seeding to Lymph Nodes from In Situ Colorectal Cancer. Cancers 2023, 15, 842. [Google Scholar] [CrossRef]
- Crafa, F.; Vanella, S.; Catalano, O.A.; Pomykala, K.L.; Baiamonte, M. Role of One-Step Nucleic Acid Amplification in Colorectal Cancer Lymph Node Metastases Detection. World J. Gastroenterol. 2022, 28, 4019–4043. [Google Scholar] [CrossRef] [PubMed]


| Category | N (Total) | N (%) |
|---|---|---|
| Gender | ||
| Male | 49 | 55.06 |
| Female | 40 | 44.94 |
| Location | ||
| Right colon | 33 | 37.08 |
| Left colon | 44 | 49.44 |
| Rectum | 12 | 13.48 |
| Polyp type | ||
| Pedunculated | 18 | 20.22 |
| Non-pedunculated | 71 | 79.78 |
| Follow-up | ||
| Alive without disease | 82 | 92.13 |
| Dead from other causes | 3 | 3.37 |
| Lost to follow-up | 4 | 4.49 |
| Total (%) | H&E Negative (%) | H&E Positive (%) | p-Value | OSNA 250-5999 Copies/μL (%) | OSNA ≥ 6000 Copies/μL (%) | p-Value | |
|---|---|---|---|---|---|---|---|
| Histological grade | 0.093 | 0.470 | |||||
| Low grade | 72 (80.9) | 66 (91.7) | 6 (8.3) | 16 (88.9) | 2 (11.1) | ||
| High grade | 17 (19.1) | 13 (76.5) | 4 (23.5) | 3 (75.0) | 1 (25.0) | ||
| Tumour budding | 0.015 | 0.038 | |||||
| Bd1 | 73 (82.0) | 68 (93.2) | 5 (6.8) | 18 (94.7) | 1 (5.3) | ||
| Bd2 | 10 (11.2) | 7 (70) | 3 (30) | 1 (33.3) | 2 (66.7) | ||
| Bd3 | 6 (6.7) | 4 (66.7) | 2 (33.3) | 0 (0) | 0(0) | ||
| Poorly differentiated clusters | 0.028 | 0.073 | |||||
| G1 | 77 (86.5) | 71 (92.2) | 6 (7.8) | 17 (94.4) | 1 (5.6) | ||
| G2 | 8 (9.0) | 5 (62.5) | 3 (37.5) | 2 (50.0) | 2 (50.0) | ||
| G3 | 4 (4.5) | 3 (75) | 1 (25) | 0 (0) | 0 (0) | ||
| Disruption of muscularis mucosa | 1 | 0.470 | |||||
| Partial | 30 (33.7) | 27 (90.0) | 3 (30.0) | 3 (75.0) | 1 (25.0) | ||
| Complete | 59 (66.3) | 52 (88.1) | 7 (11.9) | 16 (88.9) | 2 (11.1) | ||
| Lymphovascular invasion | 0.003 | 0.073 | |||||
| Absent | 77 (86.5) | 72 (93.5) | 5 (6.5) | 17 (94.4) | 1 (1.3) | ||
| Present | 12 (13.5) | 7 (58.3) | 5 (41.7) | 2 (16.7) | 2 (16.7) | ||
| Perineural invasion | 0.112 | 0.1364 | |||||
| Absent | 88 (98.9) | 79 (89.8) | 9 (10.2) | 19 (21.6) | 2 (2.3) | ||
| Present | 1 (1.1) | 0 (0) | 1 (100) | 0 (0) | 1 (100) | ||
| Resection margin status | 0.804 | 1 | |||||
| Free | 74 (83.1) | 66 (89.2) | 8 (10.8) | 17 (23.0) | 3 (4.1) | ||
| Affected | 9 (10.1) | 8 (88.9) | 1 (11.1) | 1 (11.1) | 0 (0) | ||
| Non assessable | 6 (6.7) | 5 (83.3) | 1 (16.7) | 1 (16.7) | 0 (0) | ||
| Tumour size (mm) | Median | 10 | 12.5 | 0.412 | 12 | 10 | 0.502 |
| Depth of submucosal infiltration (mm) | Median | 2.5 | 3 | 0.521 | 2.5 | 3 | 0.438 |
Disclaimer/Publisher’s Note: The statements, opinions and data contained in all publications are solely those of the individual author(s) and contributor(s) and not of MDPI and/or the editor(s). MDPI and/or the editor(s) disclaim responsibility for any injury to people or property resulting from any ideas, methods, instructions or products referred to in the content. |
© 2023 by the authors. Licensee MDPI, Basel, Switzerland. This article is an open access article distributed under the terms and conditions of the Creative Commons Attribution (CC BY) license (https://creativecommons.org/licenses/by/4.0/).
Share and Cite
Saez de Gordoa, K.; Rodrigo-Calvo, M.T.; Archilla, I.; Lopez-Prades, S.; Diaz, A.; Tarragona, J.; Machado, I.; Ruiz Martín, J.; Zaffalon, D.; Daca-Alvarez, M.; et al. Lymph Node Molecular Analysis with OSNA Enables the Identification of pT1 CRC Patients at Risk of Recurrence: A Multicentre Study. Cancers 2023, 15, 5481. https://doi.org/10.3390/cancers15225481
Saez de Gordoa K, Rodrigo-Calvo MT, Archilla I, Lopez-Prades S, Diaz A, Tarragona J, Machado I, Ruiz Martín J, Zaffalon D, Daca-Alvarez M, et al. Lymph Node Molecular Analysis with OSNA Enables the Identification of pT1 CRC Patients at Risk of Recurrence: A Multicentre Study. Cancers. 2023; 15(22):5481. https://doi.org/10.3390/cancers15225481
Chicago/Turabian StyleSaez de Gordoa, Karmele, Maria Teresa Rodrigo-Calvo, Ivan Archilla, Sandra Lopez-Prades, Alba Diaz, Jordi Tarragona, Isidro Machado, Juan Ruiz Martín, Diana Zaffalon, Maria Daca-Alvarez, and et al. 2023. "Lymph Node Molecular Analysis with OSNA Enables the Identification of pT1 CRC Patients at Risk of Recurrence: A Multicentre Study" Cancers 15, no. 22: 5481. https://doi.org/10.3390/cancers15225481
APA StyleSaez de Gordoa, K., Rodrigo-Calvo, M. T., Archilla, I., Lopez-Prades, S., Diaz, A., Tarragona, J., Machado, I., Ruiz Martín, J., Zaffalon, D., Daca-Alvarez, M., Pellisé, M., Camps, J., & Cuatrecasas, M. (2023). Lymph Node Molecular Analysis with OSNA Enables the Identification of pT1 CRC Patients at Risk of Recurrence: A Multicentre Study. Cancers, 15(22), 5481. https://doi.org/10.3390/cancers15225481

