Multiparametric Magnetic Resonance Imaging of Penile Cancer: A Pictorial Review
Abstract
Simple Summary
Abstract
1. Introduction
2. MRI in the Assessment of Penile Cancer
2.1. Basic Principles
2.2. Clinical Protocols and Technical Considerations
3. Classification and Staging of Penile Cancer
3.1. Classification
3.2. Staging of Penile Cancer
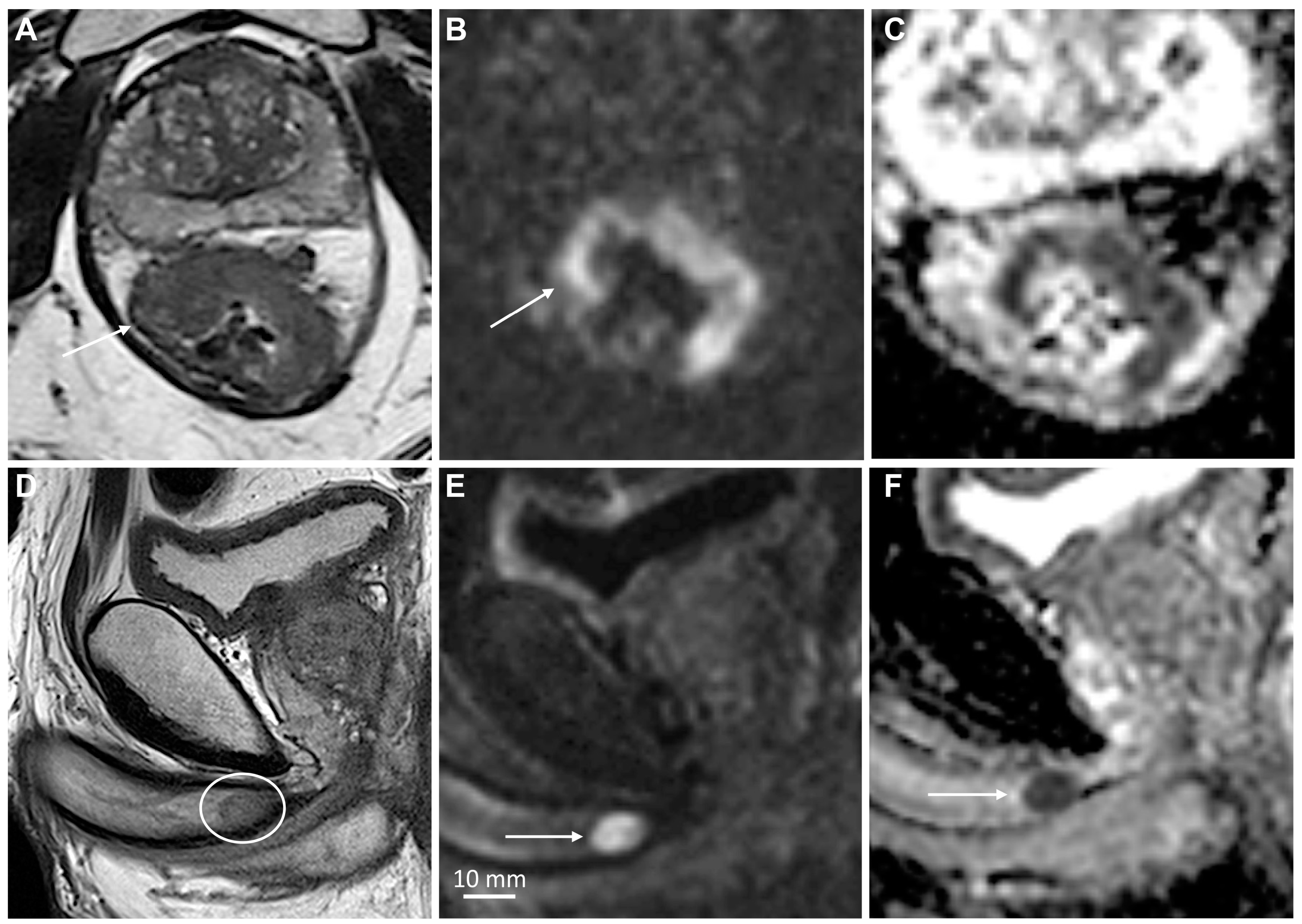
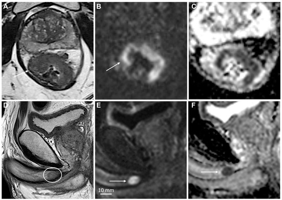
3.3. Role of MRI in Staging of Penile Cancer
4. MRI for the Postoperative Assessment of Penile Cancer and Treatment Response
5. Other Malignant and Benign Penile Lesions
5.1. Premalignant and Malignant Penile Lesions
5.2. Benign Penile Lesions
6. Conclusions and Future Directions
Supplementary Materials
Author Contributions
Funding
Conflicts of Interest
References
- Menon, S.; Moch, H.; Berney, D.; Cree, I.; Srigley, J.; Tsuzuki, T.; Compérat, E.; Hartmann, A.; Netto, G.; Rubin, M.; et al. WHO 2022 classification of penile and scrotal cancers: Updates and evolution. Histopathology 2023, 82, 508–520. [Google Scholar] [CrossRef] [PubMed]
- Douglawi, A.; Masterson, T.A. Updates on the epidemiology and risk factors for penile cancer. Transl. Androl. Urol. 2017, 6, 785–790. [Google Scholar] [CrossRef] [PubMed]
- Hanchanale, V.; Yeo, L.; Subedi, N.; Smith, J.; Wah, T.; Harnden, P.; Bhattarai, S.; Chilka, S.; Eardley, I. The accuracy of magnetic resonance imaging (MRI) in predicting the invasion of the tunica albuginea and the urethra during the primary staging of penile cancer. BJU Int. 2016, 117, 439–443. [Google Scholar] [CrossRef]
- Switlyk, M.D.; Hopland, A.; Sivanesan, S.; Brennhovd, B.; Ottosson, F.; Berner, K.; Axcrona, U.; Hole, K.H. Multi-parametric MRI without artificial erection for preoperative assessment of primary penile carcinoma: A pilot study on the correlation between imaging and histopathological findings. Eur. J. Radiol. Open 2023, 10, 100478. [Google Scholar] [CrossRef] [PubMed]
- Montes Cardona, C.E.; Garcia-Perdomo, H.A. Incidence of penile cancer worldwide: Systematic review and meta-analysis. Rev. Panam. Salud Publica 2017, 41, e117. [Google Scholar] [CrossRef]
- Brouwer, O.R.; Albersen, M.; Parnham, A.; Protzel, C.; Pettaway, C.A.; Ayres, B.; Antunes-Lopes, T.; Barreto, L.; Campi, R.; Crook, J.; et al. European Association of Urology-American Society of Clinical Oncology Collaborative Guideline on Penile Cancer: 2023 Update. Eur. Urol. 2023, 83, 548–560. [Google Scholar] [CrossRef]
- Tsen, H.F.; Morgenstern, H.; Mack, T.; Peters, R.K. Risk factors for penile cancer: Results of a population-based case-control study in Los Angeles County (United States). Cancer Causes Control 2001, 12, 267–277. [Google Scholar] [CrossRef]
- Kidd, L.C.; Chaing, S.; Chipollini, J.; Giuliano, A.R.; Spiess, P.E.; Sharma, P. Relationship between human papillomavirus and penile cancer-implications for prevention and treatment. Transl. Androl. Urol. 2017, 6, 791–802. [Google Scholar] [CrossRef]
- Chan, R.W.; Lau, J.Y.C.; Lam, W.W.; Lau, A.Z. Encyclopedia of Biomedical Engineering; Elsevier: Amsterdam, The Netherlands, 2019; pp. 574–587. [Google Scholar]
- Yamamoto, S.; Matsuda, I. Measurement of the Resonant Magneto-Optical Kerr Effect Using a Free Electron Laser. Appl. Sci. 2017, 7, 662. [Google Scholar] [CrossRef]
- Kuzmann, E.; Homonnay, Z.; Klencsár, Z.; Szalay, R. 57Fe Mössbauer Spectroscopy as a Tool for Study of Spin States and Magnetic Interactions in Inorganic Chemistry. Molecules 2021, 26, 1062. [Google Scholar] [CrossRef]
- Winkler, R.; Ciria, M.; Ahmad, M.; Plank, H.; Marcuello, C. A Review of the Current State of Magnetic Force Microscopy to Unravel the Magnetic Properties of Nanomaterials Applied in Biological Systems and Future Directions for Quantum Technologies. Nanomaterials 2023, 13, 2585. [Google Scholar] [CrossRef] [PubMed]
- Kayes, O.; Minhas, S.; Allen, C.; Hare, C.; Freeman, A.; Ralph, D.; Pizzocaro, G. The Role of Magnetic Resonance Imaging in the Local Staging of Penile Cancer. Eur. Urol. 2007, 51, 1313–1318, discussion 1318–1319. [Google Scholar] [CrossRef] [PubMed]
- Becker, M.; Zaidi, H. Imaging in head and neck squamous cell carcinoma: The potential role of PET/MRI. Br. J. Radiol. 2014, 87, 20130677. [Google Scholar] [CrossRef] [PubMed]
- Dai, Y.L.; King, A.D. State of the art MRI in head and neck cancer. Clin. Radiol. 2018, 73, 45–59. [Google Scholar] [CrossRef] [PubMed]
- Hoeks, C.M.A.; Barentsz, J.O.; Hambrock, T.; Yakar, D.; Somford, D.M.; Heijmink, S.W.T.P.J.; Scheenen, T.W.J.; Vos, P.C.; Huisman, H.; van Oort, I.M.; et al. Prostate cancer: Multiparametric MR imaging for detection, localization, and staging. Radiology 2011, 261, 46–66. [Google Scholar] [CrossRef] [PubMed]
- Turkbey, B.; Rosenkrantz, A.B.; Haider, M.A.; Padhani, A.R.; Villeirs, G.; Macura, K.J.; Tempany, C.M.; Choyke, P.L.; Cornud, F.; Margolis, D.J.; et al. Prostate Imaging Reporting and Data System Version 2.1, 2019 Update of Prostate Imaging Reporting and Data System Version 2. Eur. Urol. 2019, 76, 340–351. [Google Scholar] [CrossRef]
- Mann, R.M.; Cho, N.; Moy, L. Breast MRI: State of the Art. Radiology 2019, 292, 520–536. [Google Scholar] [CrossRef]
- Panebianco, V.; Narumi, Y.; Altun, E.; Bochner, B.H.; Efstathiou, J.A.; Hafeez, S.; Huddart, R.; Kennish, S.; Lerner, S.; Montironi, R.; et al. Multiparametric Magnetic Resonance Imaging for Bladder Cancer: Development of VI-RADS (Vesical Imaging-Reporting and Data System). Eur. Urol. 2018, 74, 294–306. [Google Scholar] [CrossRef]
- Bellin, M.F. MR contrast agents, the old and the new. Eur. J. Radiol. 2006, 60, 314–323. [Google Scholar] [CrossRef]
- Costelloe, C.M.; Amini, B.; Madewell, J.E. Risks and Benefits of Gadolinium-Based Contrast-Enhanced MRI. Semin. Ultrasound CT MR 2020, 41, 170–182. [Google Scholar] [CrossRef]
- Coutinho, A.C., Jr.; Krishnaraj, A.; Pires, C.E.; Bittencourt, L.K.; Guimaraes, A.R. Pelvic applications of diffusion magnetic resonance images. Magn. Reson. Imaging Clin. N. Am. 2011, 19, 133–157. [Google Scholar] [CrossRef] [PubMed]
- Messina, C.; Bignone, R.; Bruno, A.; Bruno, A.; Bruno, F.; Calandri, M.; Caruso, D.; Coppolino, P.; De Robertis, R.; Gentili, F.; et al. Diffusion-Weighted Imaging in Oncology: An Update. Cancers 2020, 12, 1493. [Google Scholar] [CrossRef] [PubMed]
- Qayyum, A. Diffusion-weighted imaging in the abdomen and pelvis: Concepts and applications. Radiographics 2009, 29, 1797–1810. [Google Scholar] [CrossRef] [PubMed]
- Yankeelov, T.E.; Gore, J.C. Dynamic Contrast Enhanced Magnetic Resonance Imaging in Oncology: Theory, Data Acquisition, Analysis, and Examples. Curr. Med. Imaging Rev. 2009, 3, 91–107. [Google Scholar] [CrossRef]
- Tofts, P.S.; Brix, G.; Buckley, D.L.; Evelhoch, J.L.; Henderson, E.; Knopp, M.V.; Larsson, H.B.; Lee, T.-Y.; Mayr, N.A.; Parker, G.J.; et al. Estimating kinetic parameters from dynamic contrast-enhanced T(1)-weighted MRI of a diffusable tracer: Standardized quantities and symbols. J. Magn. Reson. Imaging 1999, 10, 223–232. [Google Scholar] [CrossRef]
- Verma, S.; Turkbey, B.; Muradyan, N.; Rajesh, A.; Cornud, F.; Haider, M.A.; Choyke, P.L.; Harisinghani, M. Overview of dynamic contrast-enhanced MRI in prostate cancer diagnosis and management. AJR Am. J. Roentgenol. 2012, 198, 1277–1288. [Google Scholar] [CrossRef]
- Krishna, S.; Schieda, N.; Kulkarni, G.S.; Shanbhogue, K.; Baroni, R.H.; Woo, S. Diagnostic Accuracy of MRI in Local Staging (T Category) of Penile Cancer and the Value of Artificial Erection: A Systematic Review and Meta-Analysis. AJR Am. J. Roentgenol. 2022, 219, 28–36. [Google Scholar] [CrossRef]
- Petralia, G.; Villa, G.; Scardino, E.; Zoffoli, E.; Renne, G.; de Cobelli, O.; Bellomi, M. Local staging of penile cancer using magnetic resonance imaging with pharmacologically induced penile erection. Radiol. Med. 2008, 113, 517–528. [Google Scholar] [CrossRef]
- Ghosh, P.; Chandra, A.; Mukhopadhyay, S.; Chatterjee, A.; Lingegowda, D.; Gehani, A.; Gupta, B.; Gupta, S.; Midha, D.; Sen, S. Accuracy of MRI without intracavernosal prostaglandin E1 injection in staging, preoperative evaluation, and operative planning of penile cancer. Abdom. Radiol. 2021, 46, 4984–4994. [Google Scholar] [CrossRef]
- Lucchesi, F.R.; Reis, R.B.; Faria, E.F.; Machado, R.D.; Rossini, R.R.; Borregales, L.D.; Silva, G.E.B.; Muglia, V.F. Incremental value of MRI for preoperative penile cancer staging. J. Magn. Reson. Imaging 2017, 45, 118–124. [Google Scholar] [CrossRef]
- Bozzini, G.; Provenzano, M.; Otero, J.R.; Margreiter, M.; Cruz, E.G.; Osmolorskij, B.; Verze, P.; Pavan, N.; Sanguedolce, F.; Buffi, N.; et al. Role of Penile Doppler US in the Preoperative Assessment of Penile Squamous Cell Carcinoma Patients: Results from a Large Prospective Multicenter European Study. Urology 2016, 90, 131–135. [Google Scholar] [CrossRef] [PubMed]
- Scardino, E.; Villa, G.; Bonomo, G.; Matei, D.; Verweij, F.; Rocco, B.; Varela, R.; de Cobelli, O. Magnetic resonance imaging combined with artificial erection for local staging of penile cancer. Urology 2004, 63, 1158–1162. [Google Scholar] [CrossRef] [PubMed]
- Krishna, S.; Shanbhogue, K.; Schieda, N.; Morbeck, F.; Hadas, B.; Kulkarni, G.; McInnes, M.D.; Baroni, R.H. Role of MRI in Staging of Penile Cancer. J. Magn. Reson. Imaging 2020, 51, 1612–1629. [Google Scholar] [CrossRef] [PubMed]
- Thoeny, H.C.; De Keyzer, F.; King, A.D. Diffusion-weighted MR imaging in the head and neck. Radiology 2012, 263, 19–32. [Google Scholar] [CrossRef] [PubMed]
- Takamura, M.; Kobayashi, T.; Nikkuni, Y.; Katsura, K.; Yamazaki, M.; Maruyama, S.; Tanuma, J.I.; Hayashi, T. A comparative study between CT, MRI, and intraoral US for the evaluation of the depth of invasion in early stage (T1/T2) tongue squamous cell carcinoma. Oral. Radiol. 2022, 38, 114–125. [Google Scholar] [CrossRef] [PubMed]
- ESUR Guidelines on Contrast Agents. Available online: https://www.esur.org/esur-guidelines-on-contrast-agents/ (accessed on 25 October 2023).
- Park, J.C.; Park, K.J.; Park, M.Y.; Kim, M.H.; Kim, J.K. Fast T2-Weighted Imaging With Deep Learning-Based Reconstruction: Evaluation of Image Quality and Diagnostic Performance in Patients Undergoing Radical Prostatectomy. J. Magn. Reson. Imaging 2022, 55, 1735–1744. [Google Scholar] [CrossRef]
- Gassenmaier, S.; Warm, V.; Nickel, D.; Weiland, E.; Herrmann, J.; Almansour, H.; Wessling, D.; Afat, S. Thin-Slice Prostate MRI Enabled by Deep Learning Image Reconstruction. Cancers 2023, 15, 578. [Google Scholar] [CrossRef]
- Wu, W.; Miller, K.L. Image formation in diffusion MRI: A review of recent technical developments. J. Magn. Reson. Imaging 2017, 46, 646–662. [Google Scholar] [CrossRef]
- Warndahl, B.A.; Borisch, E.A.; Kawashima, A.; Riederer, S.J.; Froemming, A.T. Conventional vs. reduced field of view diffusion weighted imaging of the prostate: Comparison of image quality, correlation with histology, and inter-reader agreement. Magn. Reson. Imaging 2018, 47, 67–76. [Google Scholar] [CrossRef]
- Hosseiny, M.; Sung, K.H.; Felker, E.; Suvannarerg, V.; Tubtawee, T.; Shafa, A.; Arora, K.R.; Ching, J.; Gulati, A.; Azadikhah, A.; et al. Read-out Segmented Echo Planar Imaging with Two-Dimensional Navigator Correction (RESOLVE): An Alternative Sequence to Improve Image Quality on Diffusion-Weighted Imaging of Prostate. Br. J. Radiol. 2022, 95, 20211165. [Google Scholar] [CrossRef]
- Lawrence, E.M.; Zhang, Y.; Starekova, J.; Wang, Z.; Pirasteh, A.; Wells, S.A.; Hernando, D. Reduced field-of-view and multi-shot DWI acquisition techniques: Prospective evaluation of image quality and distortion reduction in prostate cancer imaging. Magn. Reson. Imaging 2022, 93, 108–114. [Google Scholar] [CrossRef] [PubMed]
- Tamada, T.; Kido, A.; Ueda, Y.; Takeuchi, M.; Kanki, A.; Neelavalli, J.; Yamamoto, A. Comparison of single-shot EPI and multi-shot EPI in prostate DWI at 3.0 T. Sci. Rep. 2022, 12, 16070. [Google Scholar] [CrossRef]
- Grant, K.B.; Agarwal, H.K.; Shih, J.H.; Bernardo, M.; Pang, Y.; Daar, D.; Merino, M.J.; Wood, B.J.; Pinto, P.A.; Choyke, P.L.; et al. Comparison of calculated and acquired high b value diffusion-weighted imaging in prostate cancer. Abdom. Imaging 2015, 40, 578–586. [Google Scholar] [CrossRef] [PubMed]
- Jendoubi, S.; Wagner, M.; Montagne, S.; Ezziane, M.; Mespoulet, J.; Comperat, E.; Estellat, C.; Baptiste, A.; Renard-Penna, R. MRI for prostate cancer: Can computed high b-value DWI replace native acquisitions? Eur. Radiol. 2019, 29, 5197–5204. [Google Scholar] [CrossRef] [PubMed]
- Baltzer, P.; Mann, R.M.; Iima, M.; Sigmund, E.E.; Clauser, P.; Gilbert, F.J.; Martincich, L.; Partridge, S.C.; Patterson, A.; Pinker, K.; et al. Diffusion-weighted imaging of the breast-a consensus and mission statement from the EUSOBI International Breast Diffusion-Weighted Imaging working group. Eur. Radiol. 2020, 30, 1436–1450. [Google Scholar] [CrossRef] [PubMed]
- Switlyk, M.D. Magnetic resonance imaging for assessing treatment response in bone marrow metastases. Acta Radiol. 2021, 62, 483–499. [Google Scholar] [CrossRef]
- Tang, M.; Huang, R.; Chen, J.; Sheng, M.; Zhang, Z.; Xing, J.; Guo, L.; Li, Y. Clinical value of high-resolution dynamic contrast-enhanced (DCE) MRI in diagnosis of cutaneous squamous cell carcinoma. Ski. Res. Technol. 2021, 27, 511–520. [Google Scholar] [CrossRef]
- Chahoud, J.; Zacharias, N.M.; Pham, R.; Qiao, W.; Guo, M.; Lu, X.; Alaniz, A.; Segarra, L.; Martinez-Ferrer, M.; Gleber-Netto, F.O.; et al. Prognostic Significance of p16 and Its Relationship with Human Papillomavirus Status in Patients with Penile Squamous Cell Carcinoma: Results of 5 Years Follow-Up. Cancers 2022, 14, 6024. [Google Scholar] [CrossRef]
- Steinestel, J.; Al Ghazal, A.; Arndt, A.; Schnoeller, T.J.; Schrader, A.J.; Moeller, P.; Steinestel, K. The role of histologic subtype, p16(INK4a) expression, and presence of human papillomavirus DNA in penile squamous cell carcinoma. BMC Cancer 2015, 15, 220. [Google Scholar]
- Mentrikoski, M.J.; Stelow, E.B.; Culp, S.; Frierson, H.F., Jr.; Cathro, H.P. Histologic and immunohistochemical assessment of penile carcinomas in a North American population. Am. J. Surg. Pathol. 2014, 38, 1340–1348. [Google Scholar] [CrossRef]
- D’Aniello, C.; Cavaliere, C.; A Facchini, B.; D’Errico, D.; Capasso, M.; Iovane, G.; Romis, L.; Mordente, S.; Liguori, C.; Cicala, S.; et al. Penile cancer: Prognostic and predictive factors in clinical decision-making. Eur. Rev. Med. Pharmacol. Sci. 2020, 24, 12093–12108. [Google Scholar] [PubMed]
- Cubilla, A.L. The role of pathologic prognostic factors in squamous cell carcinoma of the penis. World J. Urol. 2009, 27, 169–177. [Google Scholar] [CrossRef] [PubMed]
- Sanchez, D.F.; Fernandez-Nestosa, M.J.; Canete-Portillo, S.; Rodriguez, I.; Cubilla, A.L. What Is New in the Pathologic Staging of Penile Carcinoma in the 8th Edition of AJCC TNM Model: Rationale for Changes with Practical Stage-by-stage Category Diagnostic Considerations. Adv. Anat. Pathol. 2021, 28, 209–227. [Google Scholar] [CrossRef]
- Brierley, J.D.; Gospodarowicz, M.K.; Wittekind, C. (Eds.) TNM Classification of Malignant Tumors, 8th ed.; Wiley: West Sussex, UK, 2016. [Google Scholar]
- Lindner, A.K.; Schachtner, G.; Steiner, E.; Kroiss, A.; Uprimny, C.; Steinkohl, F.; Horninger, W.; Heidegger, I.; Madersbacher, S.; Pichler, R. Organ-sparing surgery of penile cancer: Higher rate of local recurrence yet no impact on overall survival. World J. Urol. 2020, 38, 417–424. [Google Scholar] [CrossRef]
- Kieffer, J.M.; Djajadiningrat, R.S.; van Muilekom, E.A.; Graafland, N.M.; Horenblas, S.; Aaronson, N.K. Quality of life for patients treated for penile cancer. J. Urol. 2014, 192, 1105–1110. [Google Scholar] [CrossRef]
- Philippou, P.; Shabbir, M.; Malone, P.; Nigam, R.; Muneer, A.; Ralph, D.J.; Minhas, S. Conservative surgery for squamous cell carcinoma of the penis: Resection margins and long-term oncological control. J. Urol. 2012, 188, 803–808. [Google Scholar] [CrossRef]
- Romero, F.R.; Romero, K.R.; Mattos, M.A.; Garcia, C.R.; Fernandes Rde, C.; Perez, M.D. Sexual function after partial penectomy for penile cancer. Urology 2005, 66, 1292–1295. [Google Scholar] [CrossRef] [PubMed]
- Veeratterapillay, R.; Teo, L.; Asterling, S.; Greene, D. Oncologic Outcomes of Penile Cancer Treatment at a UK Supraregional Center. Urology 2015, 85, 1097–1103. [Google Scholar] [CrossRef]
- Kearns, J.T.; Winters, B.D.; Holt, S.K.; Mossanen, M.; Lin, D.W.; Wright, J.L. Pathologic Nodal Involvement in Patients With Penile Cancer With Cavernosal Versus Spongiosal Involvement. Clin. Genitourin. Cancer 2019, 17, e156–e161. [Google Scholar] [CrossRef]
- Li, Z.; Ornellas, A.A.; Schwentner, C.; Li, X.; Chaux, A.; Netto, G.; Burnett, A.L.; Tang, Y.; Geng, J.; Yao, K.; et al. A modified clinicopathological tumor staging system for survival prediction of patients with penile cancer. Cancer Commun. 2018, 38, 68. [Google Scholar] [CrossRef]
- Menon, H.; Patel, R.R.; Ludmir, E.B.; Muralidhar, V.; Cushman, T.R.; Amini, A.; Seyedin, S.N.; Nguyen, P.L.; Verma, V. Local management of preinvasive and clinical T1-3 penile cancer: Utilization of diverse treatment modalities. Future Oncol. 2020, 16, 955–960. [Google Scholar] [CrossRef] [PubMed]
- Sali, A.P.; Menon, S.; Murthy, V.; Prakash, G.D.; Bakshi, G.M.; Joshi, A.D.; Desai, S.B. A Modified Histopathologic Staging in Penile Squamous Cell Carcinoma Predicts Nodal Metastasis and Outcome Better Than the Current AJCC Staging. Am. J. Surg. Pathol. 2020, 44, 1112–1117. [Google Scholar] [CrossRef] [PubMed]
- Ornellas, A.A.; Nobrega, B.L.; Wei Kin Chin, E.; Wisnescky, A.; da Silva, P.C.; de Santos Schwindt, A.B. Prognostic factors in invasive squamous cell carcinoma of the penis: Analysis of 196 patients treated at the Brazilian National Cancer Institute. J. Urol. 2008, 180, 1354–1359. [Google Scholar] [CrossRef] [PubMed]
- Velazquez, E.F.; Ayala, G.; Liu, H.; Chaux, A.; Zanotti, M.; Torres, J.; Cho, S.I.; Barreto, J.E.; Soares, F.; Cubilla, A.L. Histologic grade and perineural invasion are more important than tumor thickness as predictor of nodal metastasis in penile squamous cell carcinoma invading 5 to 10 mm. Am. J. Surg. Pathol. 2008, 32, 974–979. [Google Scholar] [CrossRef] [PubMed]
- Ravi, R. Correlation between the extent of nodal involvement and survival following groin dissection for carcinoma of the penis. Br. J. Urol. 1993, 72, 817–819. [Google Scholar] [CrossRef]
- Svatek, R.S.; Munsell, M.; Kincaid, J.M.; Hegarty, P.; Slaton, J.W.; Busby, J.E.; Gaston, K.E.; Spiess, P.E.; Pagliaro, L.C.; Tamboli, P.; et al. Association between lymph node density and disease specific survival in patients with penile cancer. J. Urol. 2009, 182, 2721–2727. [Google Scholar] [CrossRef]
- Bloom, J.B.; Stern, M.; Patel, N.H.; Zhang, M.; Phillips, J.L. Detection of lymph node metastases in penile cancer. Transl. Androl. Urol. 2018, 7, 879–886. [Google Scholar] [CrossRef]
- Lont, A.P.; Besnard, A.P.; Gallee, M.P.; van Tinteren, H.; Horenblas, S. A comparison of physical examination and imaging in determining the extent of primary penile carcinoma. BJU Int. 2003, 91, 493–495. [Google Scholar] [CrossRef]
- de Kerviler, E.; Ollier, P.; Desgrandchamps, F.; Zagdanski, A.M.; Attal, P.; Teillac, P.; Frija, J.; Le Duc, A.; Laval-Jeantet, M. Magnetic resonance imaging in patients with penile carcinoma. Br. J. Radiol. 1995, 68, 704–711. [Google Scholar] [CrossRef]
- Horenblas, S.; Kroger, R.; Gallee, M.P.; Newling, D.W.; van Tinteren, H. Ultrasound in squamous cell carcinoma of the penis; a useful addition to clinical staging? A comparison of ultrasound with histopathology. Urology 1994, 43, 702–707. [Google Scholar] [CrossRef]
- Barua, S.K.; Kaman, P.K.; Baruah, S.J.; Rajeev, T.P.; Bagchi, P.K.; Sarma, D.; Singh, Y. Role of Diffusion-Weighted Magnetic Resonance Imaging (DWMRI) in Assessment of Primary Penile Tumor Characteristics and Its Correlations with Inguinal Lymph Node Metastasis: A Prospective Study. World J. Oncol. 2018, 9, 145–150. [Google Scholar] [CrossRef] [PubMed]
- Horenblas, S. Lymphadenectomy for squamous cell carcinoma of the penis. Part 1, diagnosis of lymph node metastasis. BJU Int. 2001, 88, 467–472. [Google Scholar] [CrossRef] [PubMed]
- Thoeny, H.C.; Froehlich, J.M.; Triantafyllou, M.; Huesler, J.; Bains, L.J.; Vermathen, P.; Fleischmann, A.; Studer, U.E. Metastases in normal-sized pelvic lymph nodes: Detection with diffusion-weighted MR imaging. Radiology 2014, 273, 125–135. [Google Scholar] [CrossRef] [PubMed]
- Graafland, N.M.; Leijte, J.A.; Valdes Olmos, R.A.; Hoefnagel, C.A.; Teertstra, H.J.; Horenblas, S. Scanning with 18F-FDG-PET/CT for detection of pelvic nodal involvement in inguinal node-positive penile carcinoma. Eur. Urol. 2009, 56, 339–345. [Google Scholar] [CrossRef] [PubMed]
- Kamel, M.H.; Bissada, N.; Warford, R.; Farias, J.; Davis, R. Organ Sparing Surgery for Penile Cancer: A Systematic Review. J. Urol. 2017, 198, 770–779. [Google Scholar] [CrossRef] [PubMed]
- Chakiryan, N.H.; Dahmen, A.; Bandini, M.; Pederzoli, F.; Marandino, L.; Albersen, M.; Roussel, E.; Zhu, Y.; Ye, D.-W.; Ornellas, A.A.; et al. Patterns of Recurrence following Inguinal Lymph Node Dissection for Penile Cancer: Optimizing Surveillance Strategies. J. Urol. 2021, 206, 960–969. [Google Scholar] [CrossRef]
- Chipollini, J.; De la Rosa, A.H.; Azizi, M.; Shayegan, B.; Zorn, K.C.; Spiess, P.E. Patient presentation, differential diagnosis, and management of penile lesions. Can. Urol. Assoc. J. 2019, 13, S2–S8. [Google Scholar]
- Arya, M.; Kalsi, J.; Kelly, J.; Muneer, A. Malignant and premalignant lesions of the penis. BMJ 2013, 346, f1149. [Google Scholar] [CrossRef]
- Chaux, A.; Pfannl, R.; Lloveras, B.; Alejo, M.; Clavero, O.; Lezcano, C.; Muñoz, N.; de Sanjosé, S.; Bosch, X.; Hernández-Pérez, M.; et al. Distinctive association of p16INK4a overexpression with penile intraepithelial neoplasia depicting warty and/or basaloid features: A study of 141 cases evaluating a new nomenclature. Am. J. Surg. Pathol. 2010, 34, 385–392. [Google Scholar] [CrossRef]
- Loo, G.H.; Lim, L.Y.; Zainuddin, Z.M.; Fam, X.I. Staged resection in the management of HIV-related anogenital giant condyloma acuminatum. A case report. Ann. Med. Surg. 2019, 48, 73–76. [Google Scholar] [CrossRef]
- Hanumaiah, B.; Mohan Lingaiah, N.B.; Kumaraswamy, S.K.; Vijaya, B. Pseudoepitheliomatous keratotic and micaceous balanitis: A rare condition successfully treated with topical 5-Fluorouracil. Indian. J. Dermatol. 2013, 58, 492. [Google Scholar] [CrossRef]
- Nova-Camacho, L.M.; Collins, K.; Trpkov, K.; Acosta, A.M.; Sangoi, A.R.; Akgul, M.; Chou, A.; Polonia, A.; Rodrigues, A.; Yilmaz, A.; et al. Metastatic solid tumours to the penis: A clinicopathologic evaluation of 109 cases from an international collaboration. Histopathology 2023, 83, 31–39. [Google Scholar] [CrossRef]
- Moez, R.; Boulma, R.; Hassen, K. Primary urothelial carcinoma of the male anterior urethra; A case report. Ann. Med. Surg. 2022, 76, 103561. [Google Scholar] [CrossRef]
- Wolski, Z.; Tyloch, J.; Warsinski, P. Primary cancer of the anterior urethra in a male patient. Cent. Eur. J. Urol. 2011, 64, 266–269. [Google Scholar] [CrossRef] [PubMed]
- Li, Y.; Yuan, H.; Wang, A.; Zhang, Z.; Wu, J.; Wei, Q. Malignant melanoma of the penis and urethra: One case report. World J. Surg. Oncol. 2014, 12, 340. [Google Scholar] [CrossRef] [PubMed]
- Tallerman, A. Malignant melanoma of the penis. Urol. Int. 1972, 27, 66–80. [Google Scholar] [CrossRef] [PubMed]
- Billing, K.; Malhotra, R.; Selva, D.; Saloniklis, S.; Taylor, J.; Krishnan, S. Magnetic resonance imaging findings in malignant melanoma of the lacrimal sac. Br. J. Ophthalmol. 2003, 87, 1187–1188. [Google Scholar] [CrossRef][Green Version]
- von Krogh, G.; Horenblas, S. Diagnosis and clinical presentation of premalignant lesions of the penis. Scand. J. Urol. Nephrol. Suppl. 2000, 34, 201–214. [Google Scholar]
- Rodriguez, O.; Kovarik, C.L. Spectrum and progression of disease from condyloma to aggressive anogenital squamous cell carcinoma in 3 HIV-positive patients. JAAD Case Rep. 2016, 2, 47–50. [Google Scholar] [CrossRef]
- Garcia, C.; Winter, M.; Chalasani, V.; Dean, T. Penile Abscess: A Case Report and Review of Literature. Urol. Case Rep. 2014, 2, 17–19. [Google Scholar] [CrossRef]
- Katona, T.M.; Lopez-Beltran, A.; MacLennan, G.T.; Cheng, L.; Montironi, R.; Cheng, L. Soft tissue tumors of the penis: A review. Anal. Quant. Cytol. Histol. 2006, 28, 193–206. [Google Scholar] [PubMed]
- Yong, F.; Juan, L.; Jinhuan, W.; Haohua, Y.; Wei, C.; Jiacong, M.; Junhang, L.; Wenwei, W. Urethral cavernous hemangioma: A highly misdiagnosed disease (a case report of two patients and literature review). BMC Urol. 2019, 19, 13. [Google Scholar] [CrossRef] [PubMed]













|
| HPV-associated squamous cell carcinoma | Basaloid Warty Clear cell Lymphoepithelioma-like Mixed |
| HPV-independent squamous cell carcinoma | Usual type (includes pseudohyperplastic and pseudoglandular) Verrucous carcinoma (includes carcinoma cuniculatum) Papillary Sarcomatoid Mixed |
| Squamous cell carcinoma; NOS | |
| Adenosquamous carcinoma (includes mucoepidermoid carcinoma) | |
| pT-Primary Tumor | TX | Primary tumor cannot be assessed |
| T0 | No evidence of primary tumor | |
| Tis | PeIN | |
| Ta | Noninvasive localized squamous cell carcinoma | |
| T1 | Invasion of subepithelial connective tissue:
| |
| T2 | Invasion of corpus spongiosum with or without invasion of urethra | |
| T3 | Invasion of corpus cavernosum with or without invasion of urethra | |
| T4 | Invasion of adjacent structures | |
| pN-Regional Lymph Nodes | pNX | Regional lymph nodes cannot be assessed |
| pN0 | No regional lymph node metastases | |
| pN1 | Metastasis in ≤ 2 unilateral inguinal lymph nodes | |
| pN2 | Metastasis in ≥ 3 unilateral inguinal lymph nodes or bilateral inguinal lymph nodes | |
| pN3 | Metastasis in pelvic lymph node(s) or ENE | |
| pM-Distant Metastasis | pM0 | No distant metastasis |
| pM1 | Distant metastasis microscopically confirmed |
Disclaimer/Publisher’s Note: The statements, opinions and data contained in all publications are solely those of the individual author(s) and contributor(s) and not of MDPI and/or the editor(s). MDPI and/or the editor(s) disclaim responsibility for any injury to people or property resulting from any ideas, methods, instructions or products referred to in the content. |
© 2023 by the authors. Licensee MDPI, Basel, Switzerland. This article is an open access article distributed under the terms and conditions of the Creative Commons Attribution (CC BY) license (https://creativecommons.org/licenses/by/4.0/).
Share and Cite
Switlyk, M.D.; Hopland, A.; Reitan, E.; Sivanesan, S.; Brennhovd, B.; Axcrona, U.; Hole, K.H. Multiparametric Magnetic Resonance Imaging of Penile Cancer: A Pictorial Review. Cancers 2023, 15, 5324. https://doi.org/10.3390/cancers15225324
Switlyk MD, Hopland A, Reitan E, Sivanesan S, Brennhovd B, Axcrona U, Hole KH. Multiparametric Magnetic Resonance Imaging of Penile Cancer: A Pictorial Review. Cancers. 2023; 15(22):5324. https://doi.org/10.3390/cancers15225324
Chicago/Turabian StyleSwitlyk, Marta D., Andreas Hopland, Edmund Reitan, Shivanthe Sivanesan, Bjørn Brennhovd, Ulrika Axcrona, and Knut H. Hole. 2023. "Multiparametric Magnetic Resonance Imaging of Penile Cancer: A Pictorial Review" Cancers 15, no. 22: 5324. https://doi.org/10.3390/cancers15225324
APA StyleSwitlyk, M. D., Hopland, A., Reitan, E., Sivanesan, S., Brennhovd, B., Axcrona, U., & Hole, K. H. (2023). Multiparametric Magnetic Resonance Imaging of Penile Cancer: A Pictorial Review. Cancers, 15(22), 5324. https://doi.org/10.3390/cancers15225324

