TIM-3 Is a Potential Immune Checkpoint Target in Cats with Mammary Carcinoma
Abstract
Simple Summary
Abstract
1. Introduction
2. Materials and Methods
2.1. Study Population
2.2. Immunohistochemical Staining and Analysis
2.3. Measurement of Serum TIM-3
2.4. DNA Amplification and Sequence Analysis of Feline TIM-3 Gene
2.5. Statistical Analysis
3. Results
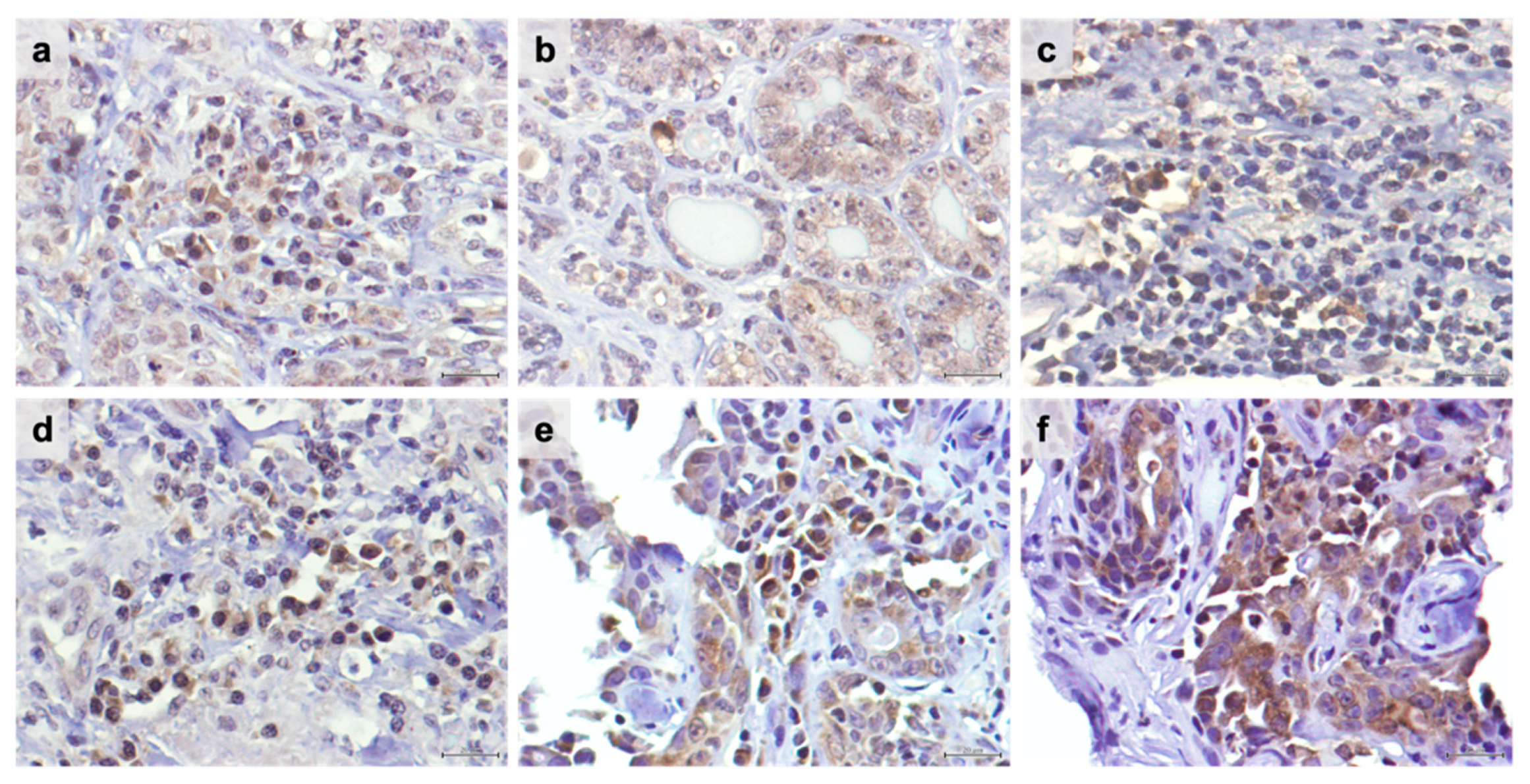
3.1. TIM-3 Is Highly Expressed in TILs and in Cancer Cells in Feline Mammary Carcinoma, with sTILs-TIM-3+ Being More Frequent Than iTILs-TIM-3+
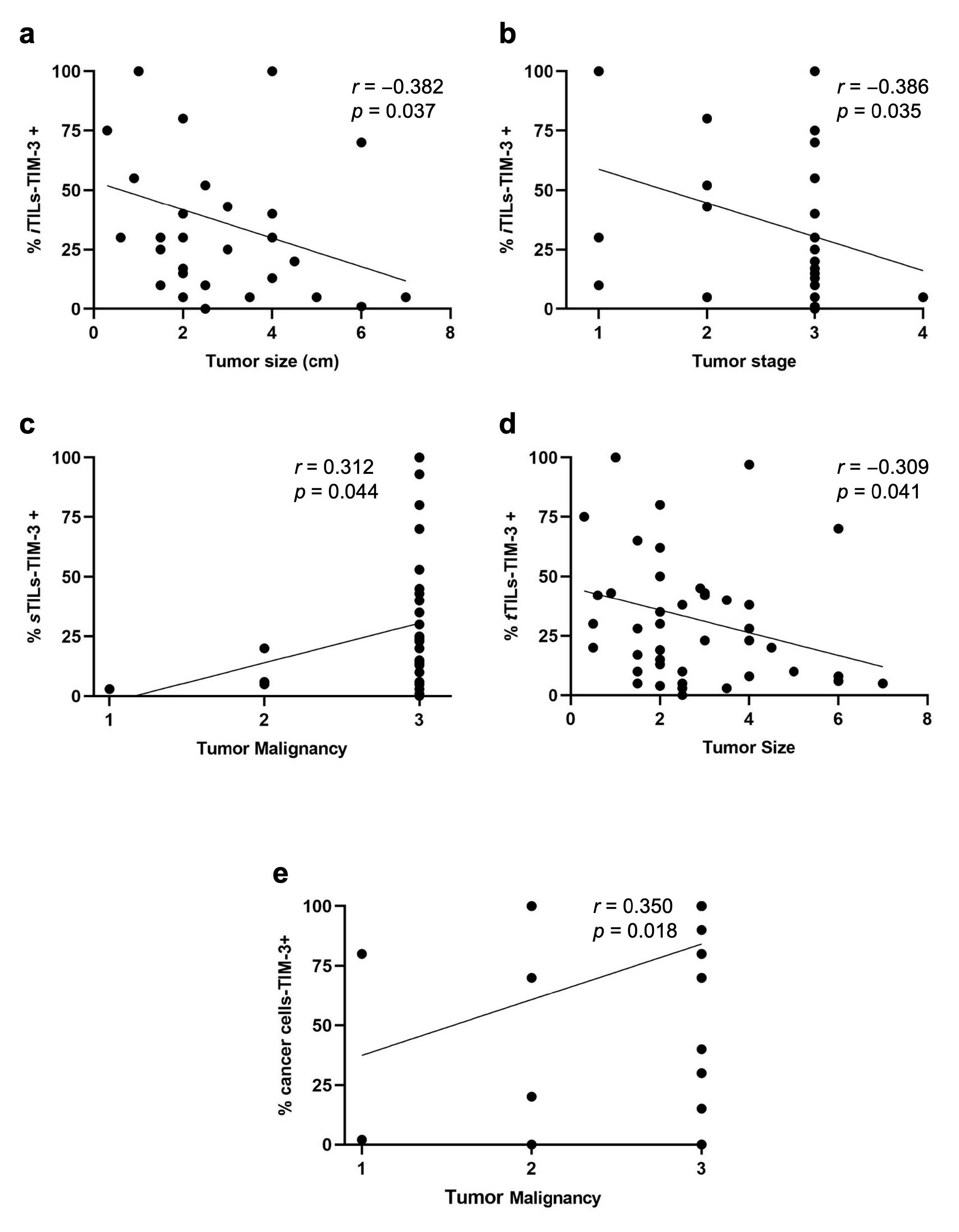
3.2. Higher TIM-3 Expression in iTILs and in tTILs Is Associated with a More Benign Tumor Behavior, whereas sTILs-TIM-3+ Are Associated with Aggressive Clinicopathological Features
3.3. Higher TIM-3 Expression in Cancer Cells Is Associated with Unfavorable Clinicopathological Features
3.4. Higher Percentages of tTILs-TIM-3+ and sTILs-TIM-3+ Showed Prognostic Value in Triple-Negative FMC Subtype
3.5. Cats with Mammary Carcinoma Showed Decreased Serum TIM-3 Levels, with Higher Levels being Associated with a Better Disease-Free Survival
3.6. Higher Serum TIM-3 Levels Are Associated with Higher TIM-3 Expression in TILs
3.7. Serum TIM-3 Levels Are Positively Correlated with Serum LAG-3 Levels
3.8. Cats with Mammary Carcinoma Showed No Mutations in the Exon 3 of the TIM-3 Gene
4. Discussion
5. Conclusions
Author Contributions
Funding
Institutional Review Board Statement
Informed Consent Statement
Data Availability Statement
Acknowledgments
Conflicts of Interest
References
- Cannon, C.M. Cats, cancer and comparative oncology. Vet. Sci. 2015, 2, 111–126. [Google Scholar] [CrossRef]
- Goldschmidt, M.H.; Peña, L.; Zappulli, V. Tumors of the mammary gland. In Tumors in Domestic Animals, 5th ed.; Meuten, D.J., Ed.; Wiley Blackwell: Ames, IA, USA, 2017; pp. 723–765. [Google Scholar]
- Sung, H.; Ferlay, J.; Siegel, R.L.; Laversanne, M.; Soerjomataram, I.; Jemal, A.; Bray, F. Global cancer statistics 2020: Globocan estimates of incidence and mortality worldwide for 36 cancers in 185 countries. CA Cancer J. Clin. 2021, 71, 209–249. [Google Scholar] [CrossRef] [PubMed]
- Adega, F.; Borges, A.; Chaves, R. Cat mammary tumors: Genetic models for the human counterpart. Vet. Sci. 2016, 3, 17. [Google Scholar] [CrossRef]
- Santos, S.; Bastos, E.; Baptista, C.S.; Sá, D.; Caloustian, C.; Guedes-Pinto, H.; Gärtner, F.; Gut, I.G.; Chaves, R. Sequence variants and haplotype analysis of cat ERBB2 gene: A survey on spontaneous cat mammary neoplastic and non-neoplastic lesions. Int. J. Mol. Sci. 2012, 13, 2783–2800. [Google Scholar] [CrossRef] [PubMed]
- Lee, Y.T. Breast carcinoma: Pattern of metastasis at autopsy. J. Clin. Oncol. 1983, 23, 175–180. [Google Scholar] [CrossRef] [PubMed]
- Giménez, F.; Hecht, S.; Craig, L.E.; Legendre, A.M. Early detection, aggressive therapy. J. Feline Med. Surg. 2010, 12, 214–224. [Google Scholar] [CrossRef] [PubMed]
- Nascimento, C.; Ferreira, F. Tumor microenvironment of human breast cancer, and feline mammary carcinoma as a potential study model. Biochim. Biophys. Acta-Rev. Cancer 2021, 1876, 188587. [Google Scholar] [CrossRef]
- Gameiro, A.; Urbano, A.C.; Ferreira, F. Emerging biomarkers and targeted therapies in feline mammary carcinoma. Vet. Sci. 2021, 8, 164. [Google Scholar] [CrossRef]
- Esfahani, K.; Roudaia, L.; Buhlaiga, N.; Del Rincon, S.V.; Papneja, N.; Miller, W.H. A review of cancer immunotherapy: From the past, to the present, to the future. Curr. Oncol. 2020, 27, 87–97. [Google Scholar] [CrossRef]
- Ribas, A.; Wolchok, J.D. Cancer immunotherapy using checkpoint blockade. Science 2018, 359, 1350–1355. [Google Scholar] [CrossRef]
- Abdou, Y.; Goudarzi, A.; Yu, J.X.; Upadhaya, S.; Vincent, B.; Carey, L.A. Immunotherapy in triple negative breast cancer: Beyond checkpoint inhibitors. NPJ Breast Cancer 2022, 8, 1–10. [Google Scholar] [CrossRef] [PubMed]
- Haslam, A.; Prasad, V. Estimation of the percentage of US patients with cancer who are eligible for and respond to checkpoint inhibitor immunotherapy drugs. JAMA Netw. Open 2019, 2, e192535. [Google Scholar] [CrossRef] [PubMed]
- Marin-Acevedo, J.A.; Kimbrough, E.O.; Lou, Y. Next generation of immune checkpoint inhibitors and beyond. J. Hematol. Oncol. 2021, 14, 1–29. [Google Scholar] [CrossRef] [PubMed]
- Andrews, L.P.; Yano, H.; Vignali, D.A.A. Inhibitory receptors and ligands beyond PD-1, PD-L1 and CTLA-4: Breakthroughs or backups. Nat. Immunol. 2019, 20, 1425–1434. [Google Scholar] [CrossRef]
- Cong, Y.; Liu, J.; Chen, G.; Qiao, G. The emerging role of T-cell immunoglobulin mucin-3 in breast cancer: A promising target for immunotherapy. Front. Oncol. 2021, 11, 723238. [Google Scholar] [CrossRef]
- Zhao, L.; Cheng, S.; Fan, L.; Zhang, B.; Xu, S. TIM-3: An update on immunotherapy. Int. Immunopharmacol. 2021, 99, 107933. [Google Scholar] [CrossRef]
- Acharya, N.; Sabatos-Peyton, C.; Anderson, A.C. Tim-3 finds its place in the cancer immunotherapy landscape. J. Immuno. Therap. Cancer 2020, 8, e000911. [Google Scholar] [CrossRef]
- Van de Weyer, P.S.; Muehlfeit, M.; Klose, C.; Bonventre, J.V.; Walz, G.; Kuehn, E.W. A highly conserved tyrosine of Tim-3 is phosphorylated upon stimulation by its ligand galectin-9. Biochem. Biophys. Res. Commun. 2006, 351, 571–576. [Google Scholar] [CrossRef]
- Huang, Y.-H.; Zhu, C.; Kondo, Y.; Anderson, A.C.; Gandhi, A.; Russell, A.; Dougan, S.K.; Petersen, B.-S.; Melum, E.; Pertel, T.; et al. CEACAM1 regulates TIM-3-mediated tolerance and exhaustion. Nature 2015, 517, 386–390. [Google Scholar] [CrossRef]
- Cong, Y.; Cui, Y.; Zhu, S.; Cao, J.; Zou, H.A.; Martin, T.; Qiao, G.; Jiang, W.; Yu, Z. Tim-3 promotes cell aggressiveness and paclitaxel resistance through NF-κB/STAT3 signalling pathway in breast cancer cells. Chin. J. Cancer Res. 2020, 32, 564–579. [Google Scholar] [CrossRef]
- Wolf, Y.; Anderson, A.C.; Kuchroo, V.K. TIM3 comes of age as an inhibitory receptor. Nat. Rev. Immunol. 2020, 20, 173–185. [Google Scholar] [CrossRef]
- Yang, Z.-Z.; Grote, D.M.; Ziesmer, S.C.; Niki, T.; Hirashima, M.; Novak, A.J.; Witzig, T.E.; Ansell, S.M. IL-12 upregulates TIM-3 expression and induces T cell exhaustion in patients with follicular B cell non-Hodgkin lymphoma. J. Clin. Invest. 2012, 122, 1271–1282. [Google Scholar] [CrossRef]
- Granier, C.; Dariane, C.; Combe, P.; Verkarre, V.; Urien, S.; Badoual, C.; Roussel, H.; Mandavit, M.; Ravel, P.; Sibony, M.; et al. Tim-3 Expression on Tumor-Infiltrating PD-1+CD8+ T Cells Correlates with Poor Clinical Outcome in Renal Cell Carcinoma. Cancer Res. 2016, 77, 1075–1082. [Google Scholar] [CrossRef] [PubMed]
- Cao, B.; Zhu, L.; Zhu, S.; Li, D.; Zhang, C.; Xu, C.; Zhang, S. Genetic variations and haplotypes in TIM-3 gene and the risk of gastric cancer. Cancer Immunol. Immunother. 2010, 59, 1851–1857. [Google Scholar] [CrossRef]
- Cao, Y.; Zhou, X.; Huang, X.; Li, Q.; Gao, L.; Jiang, L.; Huang, M.; Zhou, J. Correction: Tim-3 expression in cervical cancer promotes tumor metastasis. PLoS ONE 2016, 11, e0152830. [Google Scholar] [CrossRef] [PubMed]
- Piao, Y.-R.; Piao, L.-Z.; Zhu, L.-H.; Jin, Z.-H.; Dong, X.-Z. Prognostic value of T cell immunoglobulin mucin-3 in prostate cancer. Asian Pac. J. Cancer Prev. 2013, 14, 3897–3901. [Google Scholar] [CrossRef] [PubMed]
- Liu, F.; Liu, Y.; Chen, Z. Tim-3 expression and its role in hepatocellular carcinoma. J. Hematol. Oncol. 2018, 11, 126. [Google Scholar] [CrossRef]
- Cheng, S.; Han, F.; Xu, Y.; Qu, T.; Ju, Y. Expression of Tim-3 in breast cancer tissue promotes tumor progression. Int. J. Clin. Exp. Pathol. 2018, 11, 1157–1166. [Google Scholar]
- Zang, K.; Hui, L.; Wang, M.; Huang, Y.; Zhu, X.; Yao, B. TIM-3 as a prognostic marker and a potential immunotherapy target in human malignant tumors: A meta-analysis and bioinformatics validation. Front Oncol. 2021, 11, 579351. [Google Scholar] [CrossRef]
- Gameiro, A.; Nascimento, C.; Correia, J.; Ferreira, F. HER2-targeted immunotherapy and combined protocols showed promising antiproliferative effects in feline mammary carcinoma cell-based models. Cancers 2021, 13, 2007. [Google Scholar] [CrossRef]
- Wang, Z.; Liu, X.; Wang, X.; Chong, T.; Lin, S.; Wang, M.; Ma, X.; Liu, K.; Xu, P.; Feng, Y.; et al. Polymorphisms in TIM-3 and breast cancer susceptibility in Chinese women: A case-control study. Oncotarget 2016, 7, 43703–43712. [Google Scholar] [CrossRef] [PubMed]
- Urbano, A.C.; Nascimento, C.; Soares, M.; Correia, J.; Ferreira, F. Clinical relevance of the serum CTLA-4 in cats with mammary carcinoma. Sci. Rep. 2020, 10, 3822. [Google Scholar] [CrossRef] [PubMed]
- Nascimento, C.; Urbano, A.C.; Gameiro, A.; Ferreira, J.; Correia, J.; Ferreira, F. Serum PD-1/PD-L1 levels, tumor expression and PD-L1 somatic mutations in HER2-positive and triple negative normal-Like feline mammary carcinoma subtypes. Cancers 2020, 12, 1386. [Google Scholar] [CrossRef]
- Nascimento, C.; Gameiro, A.; Ferreira, J.; Correia, J.; Ferreira, F. Diagnostic value of VEGF-A, VEGFR-1 and VEGFR-2 in feline mammary carcinoma. Cancers 2021, 13, 117. [Google Scholar] [CrossRef]
- Cheng, S.; Ju, Y.; Han, F.; Wang, Y.; Xu, Y.; Qu, T.; Lu, Z. 2017. T cell immunoglobulin- and mucin-domain-containing molecule 3 gene polymorphisms and susceptibility to invasive breast cancer. Ann. Clin. Lab. Sci. 2017, 47, 668–675. [Google Scholar]
- Burugu, S.; Gao, D.; Leung, S.; Chia, S.K.; Nielsen, T.O. TIM-3 expression in breast cancer. OncoImmunology 2018, 7, e1502128. [Google Scholar] [CrossRef] [PubMed]
- Lee, D.-W.; Ryu, H.S.; Jin, M.-S.; Lee, K.-H.; Suh, K.J.; Youk, J.; Kim, J.Y.; Min, A.; Lee, H.-B.; Moon, H.-G.; et al. Immune recurrence score using 7 immunoregulatory protein expressions can predict recurrence in stage I–III breast cancer patients. Br. J. Cancer 2019, 121, 230–236. [Google Scholar] [CrossRef]
- Zhang, H.; Xiang, R.; Wu, B.; Li, J.; Luo, G. T-cell immunoglobulin mucin-3 expression in invasive ductal breast carcinoma: Clinicopathological correlations and association with tumor infiltration by cytotoxic lymphocytes. Mol. Clin. Oncol. 2017, 7, 557–563. [Google Scholar] [CrossRef]
- Koyama, S.; Akbay, E.A.; Li, Y.Y.; Herter-Sprie, G.S.; Buczkowski, K.A.; Richards, W.G.; Gandhi, L.; Redig, A.J.; Rodig, S.J.; Asahina, H.; et al. Adaptive resistance to therapeutic PD-1 blockade is associated with upregulation of alternative immune checkpoints. Nat. Commun. 2016, 7, 10501. [Google Scholar] [CrossRef]
- Yasinska, I.M.; Sakhnevych, S.S.; Pavlova, L.; Teo Hansen Selnø, A.; Teuscher Abeleira, A.M.; Benlaouer, O.; Gonçalves Silva, I.; Mosimann, M.; Varani, L.; Bardelli, M.; et al. The Tim-3-galectin-9 pathway and its regulatory mechanisms in human breast cancer. Front. Immunol. 2019, 10, 1594. [Google Scholar] [CrossRef]
- Rapoport, B.L.; Steel, H.; Smit, T.; Heyman, L.; Theron, A.; Hlatswayo, N.N.; Kwofie, L.; Jooste, L.; Benn, C.A.; Nayler, S.; et al. 37P Dysregulation of soluble immune checkpoint proteins in newly diagnosed early breast cancer patients. Ann. Oncol. 2020, 31, S1228. [Google Scholar] [CrossRef]
- Byun, K.D.; Hwang, H.J.; Park, K.J.; Kim, M.C.; Cho, S.H.; Ju, M.H.; Lee, J.H.; Jeong, J.S. T-cell immunoglobulin mucin 3 expression on tumor infiltrating lymphocytes as a positive prognosticator in triple-negative breast cancer. J. Breast Cancer 2018, 21, 406–414. [Google Scholar] [CrossRef] [PubMed]
- Yoshikawa, K.; Ishida, M.; Yanai, H.; Tsuta, K.; Sekimoto, M.; Sugie, T. Prognostic significance of the expression levels of T-cell immunoglobulin mucin-3 and its ligand galectin-9 for relapse-free survival in triple-negative breast cancer. Oncol. Lett. 2022, 23, 197. [Google Scholar] [CrossRef] [PubMed]
- Rapoport, B.L.; Steel, H.C.; Hlatshwayo, N.; Theron, A.J.; Meyer, P.W.A.; Nayler, S.; Benn, C.-A.; Smit, T.; Kwofie, L.L.I.; Heyman, L.; et al. Systemic immune dysregulation in early breast cancer is associated with decreased plasma levels of both soluble co-inhibitory and co-stimulatory immune checkpoint molecules. Front. Immunol. 2022, 13, 823842. [Google Scholar] [CrossRef]
- Tawbi, H.A.; Schadendorf, D.; Lipson, E.J.; Ascierto, P.A.; Matamala, L.; Castillo, G.E.; Rutkowski, P.; Gogas, H.J.; Lao, C.D.; De Menezes, J.J.; et al. Relatlimab and Nivolumab versus Nivolumab in Untreated Advanced Melanoma. N. Engl. J. Med. 2022, 386, 24–34. [Google Scholar] [CrossRef]
- Fang, H.; Yuan, C.; Gu, X.; Chen, Q.; Huang, D.; Li, H.; Sun, M. Association between TIM-3 polymorphisms and cancer risk: A meta-analysis. Ann. Transl. Med. 2019, 7, 550. [Google Scholar] [CrossRef] [PubMed]








| Clinicopathological Features | Number of Animals (%) | Clinicopathological Features | Number of Animals (%) |
|---|---|---|---|
| Age | LVI | ||
| <8 years old | 4 (8.3%) | No | 41 (85.4%) |
| 8–12 years old | 24 (50%) | Yes | 7 (14.6%) |
| >12 years old | 31.3 (41.7%) | ||
| Breed | Tumor ulceration | ||
| Undifferentiated | 35 (72.9%) | No | 41 (85.4%) |
| Pure | 13 (27.1%) | Yes | 7 (14.6%) |
| Contraceptive administration: 6 unknown | TNM classification | ||
| No | 20 (41.7%) | I | 11 (22.9%) |
| Yes | 22 (45.8%) | II | 6 (12.5%) |
| Spayed: 1 unknown | III | 27 (56.3%) | |
| No | 23 (47.9%) | IV | 4 (8.3%) |
| Yes | 24 (50.0%) | ||
| Tumor burden | Lymph node status: 3 unknown | ||
| Single tumor | 19 (39.6%) | Negative | 29 (60.4%) |
| Multiple tumors | 29 (60.4%) | Positive | 16 (33.3%) |
| Tumor size | ER status | ||
| <2 cm | 15 (31.3%) | Negative | 36 (75%) |
| ≥2 cm | 33 (68.8%) | Positive | 12 (25%) |
| HP classification | PR status | ||
| Tubular carcinoma | 3 (6.3%) | Negative | 20 (41.7) |
| Tubulopapillary carcinoma | 6 (12.5%) | Positive | 28 (58.3) |
| Papillary-cystic carcinoma | 6 (12.5%) | HER-2 status | |
| Cribriform carcinoma | 19 (39.6%) | Negative | 38 (79.2%) |
| Solid carcinoma | 11 (22.9%) | Positive | 10 (20.8%) |
| Mucinous carcinoma | 3 (6.3%) | ||
| Malignancy Grade | Ki-67 index | ||
| 1 | 2 (4.2%) | Low | 14 (29.2%) |
| 2 | 6 (12.5%) | High | 34 (70.8%) |
| 3 | 40 (83.3%) | ||
| Tumor Necrosis | |||
| No | 11 (22.9%) | ||
| Yes | 37 (77.1%) | ||
| Exon | Forward (5′–3′) | Reverse (5′–3′) |
|---|---|---|
| 3 | ACTAGACTGTGATGACGATGGC | AGGAACATTCACACCTCCACTC |
| Occurrence of TIM-3+ TILs | Tumors with iTILs-TIM-3+ (%) | |||||
|---|---|---|---|---|---|---|
| LA | LB | HER-2+ | TN-NL | TN-BL | Total | |
| Present | 83.3% (n = 5) | 70.6% (n = 12) | 66.7% (n = 6) | 60.0% (n = 3) | 37.5% (n = 3) | 64.4% (n = 29) |
| Absent | 16.7% (n = 1) | 29.4% (n = 5) | 33.3% (n = 3) | 40.0% (n = 2) | 62.5% (n = 5) | 35.6% (n = 16) |
| Total | 100% (n = 6) | 100% (n = 17) | 100% (n = 9) | 100% (n = 5) | 100% (n = 8) | 100% (n = 45) |
| Occurrence of TIM-3+ TILs | Tumors with sTILs-TIM-3+ (%) | |||||
|---|---|---|---|---|---|---|
| LA | LB | HER-2+ | TN-NL | TN-BL | Total | |
| Present | 100% (n = 6) | 94.1% (n = 16) | 77.8% (n = 7) | 100% (n = 5) | 100% (n = 8) | 93.3% (n = 42) |
| Absent | 0% (n = 0) | 5.9% (n = 1) | 22.2% (n = 2) | 0% (n = 0) | 0% (n = 0) | 6.7% (n = 3) |
| Total | 100% (n = 6) | 100% (n = 17) | 100% (n = 9) | 100% (n = 5) | 100% (n = 8) | 100% (n = 45) |
Disclaimer/Publisher’s Note: The statements, opinions and data contained in all publications are solely those of the individual author(s) and contributor(s) and not of MDPI and/or the editor(s). MDPI and/or the editor(s) disclaim responsibility for any injury to people or property resulting from any ideas, methods, instructions or products referred to in the content. |
© 2023 by the authors. Licensee MDPI, Basel, Switzerland. This article is an open access article distributed under the terms and conditions of the Creative Commons Attribution (CC BY) license (https://creativecommons.org/licenses/by/4.0/).
Share and Cite
Valente, S.; Nascimento, C.; Gameiro, A.; Ferreira, J.; Correia, J.; Ferreira, F. TIM-3 Is a Potential Immune Checkpoint Target in Cats with Mammary Carcinoma. Cancers 2023, 15, 384. https://doi.org/10.3390/cancers15020384
Valente S, Nascimento C, Gameiro A, Ferreira J, Correia J, Ferreira F. TIM-3 Is a Potential Immune Checkpoint Target in Cats with Mammary Carcinoma. Cancers. 2023; 15(2):384. https://doi.org/10.3390/cancers15020384
Chicago/Turabian StyleValente, Sofia, Catarina Nascimento, Andreia Gameiro, João Ferreira, Jorge Correia, and Fernando Ferreira. 2023. "TIM-3 Is a Potential Immune Checkpoint Target in Cats with Mammary Carcinoma" Cancers 15, no. 2: 384. https://doi.org/10.3390/cancers15020384
APA StyleValente, S., Nascimento, C., Gameiro, A., Ferreira, J., Correia, J., & Ferreira, F. (2023). TIM-3 Is a Potential Immune Checkpoint Target in Cats with Mammary Carcinoma. Cancers, 15(2), 384. https://doi.org/10.3390/cancers15020384

