Early Subcellular Hepatocellular Alterations in Mice Post Hydrodynamic Transfection: An Explorative Study
Abstract
Simple Summary
Abstract
1. Introduction
1.1. Principle for HT in Mice
1.2. Liver Targeted Hydrodynamic Gene Therapy: Recent Advances & Experimental Applicability
1.3. Gene Knock-Down in Liver
1.4. EM and Hydrodynamic Transfection
2. Materials and Methods
2.1. Animal Studies
2.2. Hydrodynamic Tail Vein Injection and Tissue Processing
2.3. Ultrastructural Analysis
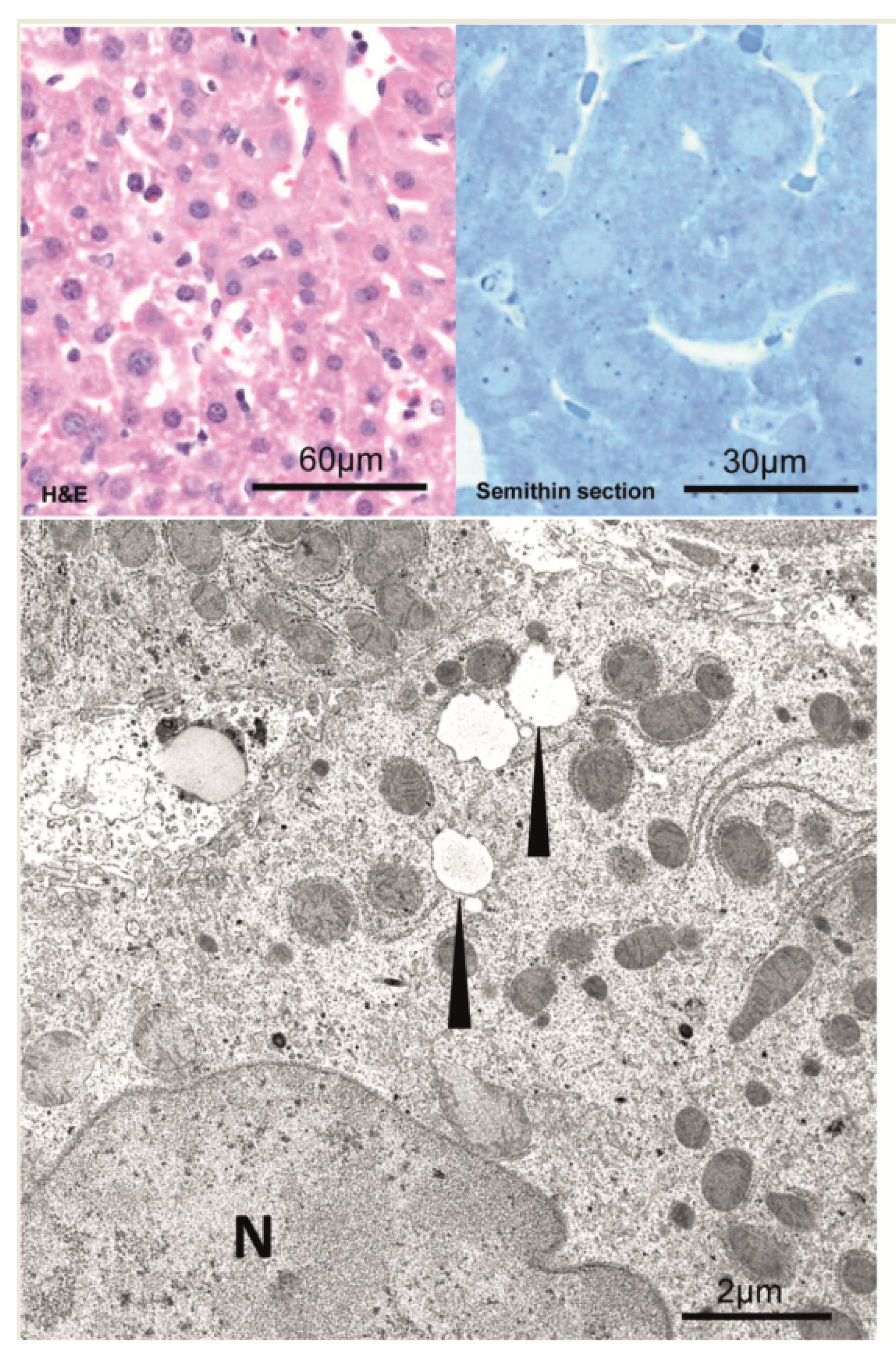
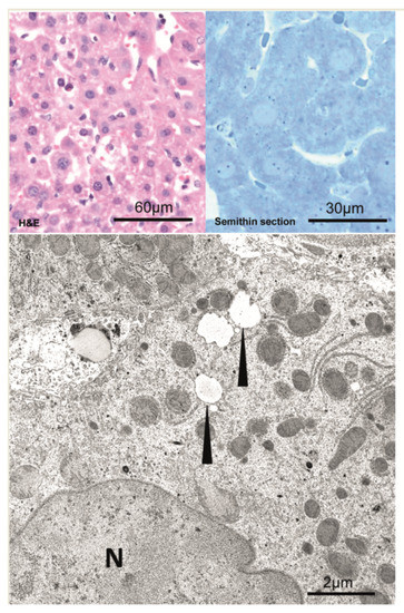
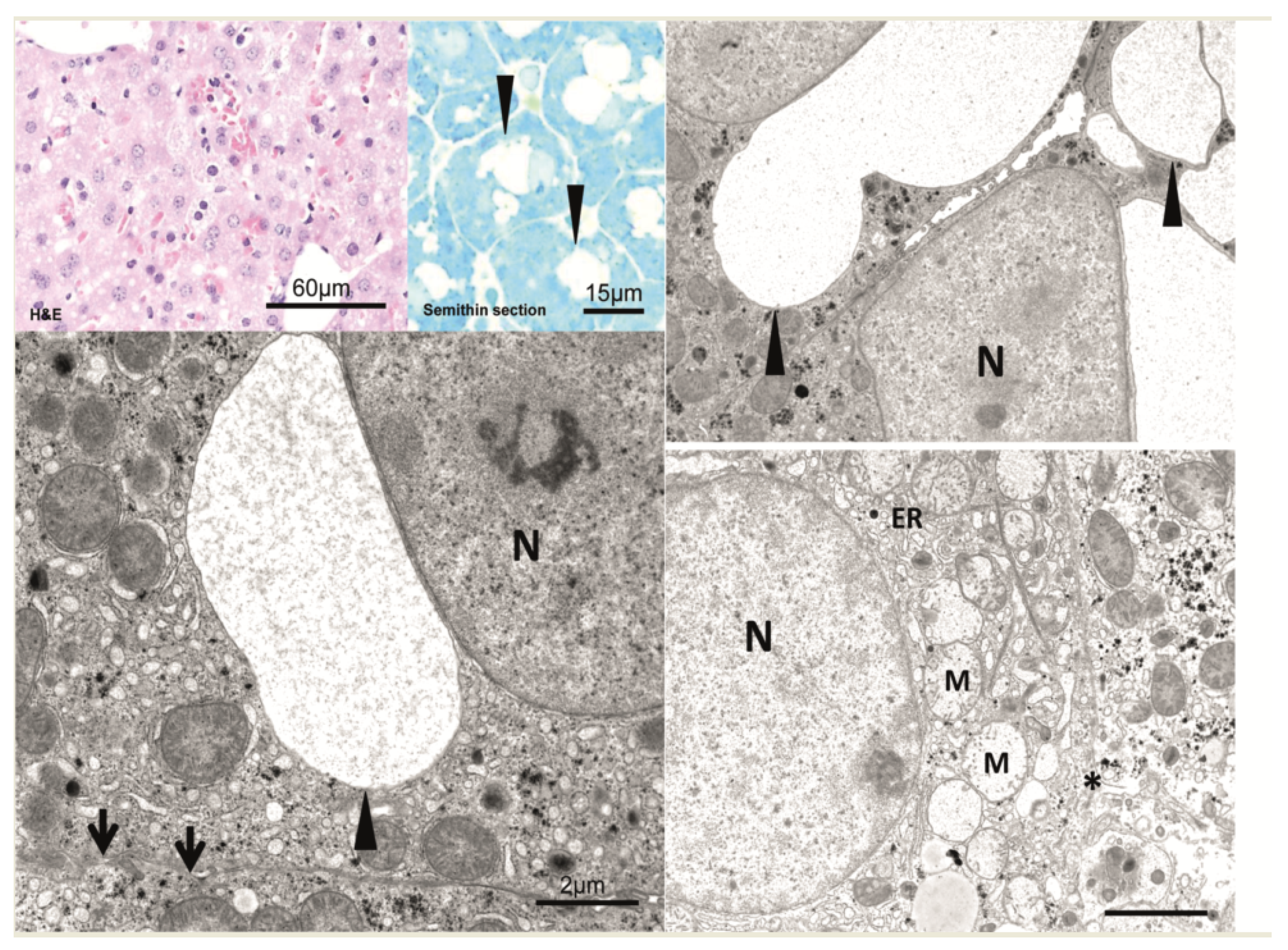
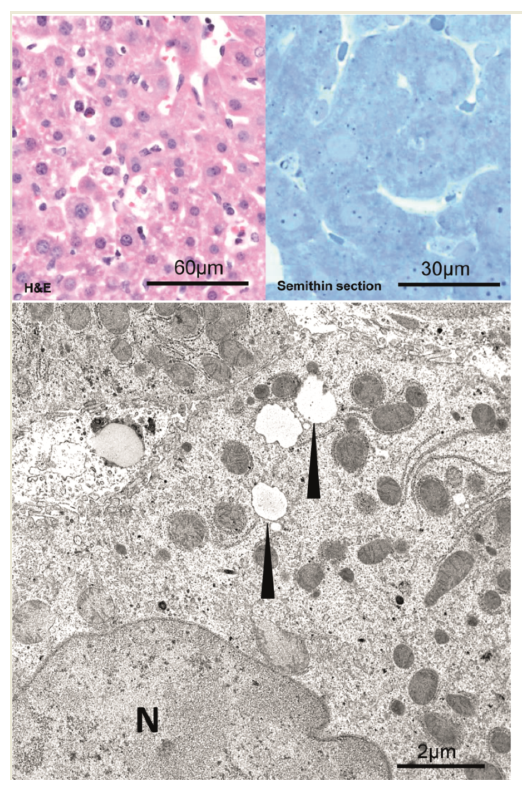
3. Results
4. Discussion
4.1. Hydrodynamic Transfection and Membrane Transport
4.2. Passive or Active Membrane Transport
4.3. Endocytosis
4.4. Advantages and Challenges of HT for Preclinical Application and Gene-Drug Discovery
5. Conclusions
Author Contributions
Funding
Institutional Review Board Statement
Informed Consent Statement
Data Availability Statement
Acknowledgments
Conflicts of Interest
References
- Suda, T.; Liu, D. Hydrodynamic gene delivery: Its principles and applications. Mol. Ther. 2007, 15, 2063–2069. [Google Scholar] [CrossRef] [PubMed]
- Liu, F.; Song, Y.; Liu, D. Hydrodynamics-based transfection in animals by systemic administration of plasmid DNA. Gene Ther. 1999, 6, 1258–1266. [Google Scholar] [CrossRef] [PubMed]
- Herweijer, H.; Wolff, J. Gene therapy progress and prospects: Hydrodynamic gene delivery. Gene Ther. 2007, 14, 99–107. [Google Scholar] [CrossRef] [PubMed]
- Bonamassa, B.; Hai, L.; Liu, D. Hydrodynamic gene delivery and its applications in pharmaceutical research. Pharm. Res. 2011, 28, 694–701. [Google Scholar] [CrossRef] [PubMed]
- Hamar, P.; Song, E.; Kökény, G.; Chen, A.; Ouyang, N.; Lieberman, J. Small interfering RNA targeting Fas protects mice against renal ischemia-reperfusion injury. Proc. Natl. Acad. Sci. USA 2004, 101, 14883–14888. [Google Scholar] [CrossRef] [PubMed]
- Chen, X.; Calvisi, D.F. Hydrodynamic transfection for generation of novel mouse models for liver cancer research. Am. J. Pathol. 2014, 184, 912–923. [Google Scholar] [CrossRef] [PubMed]
- Ju, H.L.; Han, K.H.; Lee, J.D.; Ro, S.W. Transgenic mouse models generated by hydrodynamic transfection for genetic studies of liver cancer and preclinical testing of anti-cancer therapy. Int. J. Cancer 2016, 138, 1601–1608. [Google Scholar] [CrossRef]
- Zhang, G.; Budker, V.; Wolff, J.A. High levels of foreign gene expression in hepatocytes after tail vein injections of naked plasmid DNA. Hum. Gene Ther. 1999, 10, 1735–1737. [Google Scholar] [CrossRef]
- McCaffrey, A.P.; Meuse, L.; Karimi, M.; Contag, C.H.; Kay, M.A. A potent and specific morpholino antisense inhibitor of hepatitis C translation in mice. Hepatology 2003, 38, 503–508. [Google Scholar] [CrossRef]
- McCaffrey, A.P.; Ohashi, K.; Meuse, L.; Shen, S.; Lancaster, A.M.; Lukavsky, P.J.; Sarnow, P.; Kay, M.A. Determinants of hepatitis C translational initiation in vitro, in cultured cells and mice. Mol. Ther. 2002, 5, 676–684. [Google Scholar] [CrossRef]
- Chang, J.; Sigal, L.J.; Lerro, A.; Taylor, J. Replication of the human hepatitis delta virus genome is initiated in mouse hepatocytes following intravenous injection of naked DNA or RNA sequences. J. Virol. 2001, 75, 3469–3473. [Google Scholar] [CrossRef] [PubMed]
- Kobayashi, N.; Matsui, Y.; Kawase, A.; Hirata, K.; Miyagishi, M.; Taira, K.; Nishikawa, M.; Takakura, Y. Vector-based in vivo RNA interference: Dose-and time-dependent suppression of transgene expression. J. Pharmacol. Exp. Ther. 2004, 308, 688–693. [Google Scholar] [CrossRef] [PubMed]
- Layzer, J.M.; McCaffrey, A.P.; Tanner, A.K.; Huang, Z.; Kay, M.A.; Sullenger, B.A. In vivo activity of nuclease-resistant siRNAs. RNA 2004, 10, 766–771. [Google Scholar] [CrossRef] [PubMed]
- McCaffrey, A.P.; Meuse, L.; Pham, T.-T.T.; Conklin, D.S.; Hannon, G.J.; Kay, M.A. RNA interference in adult mice. Nature 2002, 418, 38–39. [Google Scholar] [CrossRef] [PubMed]
- Giladi, H.; Ketzinel-Gilad, M.; Rivkin, L.; Felig, Y.; Nussbaum, O.; Galun, E. Small interfering RNA inhibits hepatitis B virus replication in mice. Mol. Ther. 2003, 8, 769–776. [Google Scholar] [CrossRef]
- Liu, N.; Zhang, Q.; Chin, G.-L.; Ong, E.-H.; Lou, J.; Kang, C.-W.; Liu, W.; Jordan, E. Experimental investigation of hydrodynamic behavior in a real membrane bio-reactor unit. J. Membr. Sci. 2010, 353, 122–134. [Google Scholar] [CrossRef]
- Magin-Lachmann, C.; Kotzamanis, G.; D’aiuto, L.; Cooke, H.; Huxley, C.; Wagner, E. In vitro and in vivo delivery of intact BAC DNA–comparison of different methods. J. Gene Med. Cross-Discip. J. Res. Sci. Gene Transf. Clin. Appl. 2004, 6, 195–209. [Google Scholar] [CrossRef]
- Kamimura, K.; Yokoo, T.; Abe, H.; Kobayashi, Y.; Ogawa, K.; Shinagawa, Y.; Inoue, R.; Terai, S. Image-guided hydrodynamic gene delivery: Current status and future directions. Pharmaceutics 2015, 7, 213–223. [Google Scholar] [CrossRef]
- Kobayashi, N.; Kuramoto, T.; Yamaoka, K.; Hashida, M.; Takakura, Y. Hepatic uptake and gene expression mechanisms following intravenous administration of plasmid DNA by conventional and hydrodynamics-based procedures. J. Pharmacol. Exp. Ther. 2001, 297, 853–860. [Google Scholar]
- Viegas, T.X.; Bentley, M.D.; Harris, J.M.; Fang, Z.; Yoon, K.; Dizman, B.; Weimer, R.; Mero, A.; Pasut, G.; Veronese, F.M. Polyoxazoline: Chemistry, properties, and applications in drug delivery. Bioconjug. Chem. 2011, 22, 976–986. [Google Scholar] [CrossRef]
- Huang, M.; Sun, R.; Huang, Q.; Tian, Z. Technical improvement and application of hydrodynamic gene delivery in study of liver diseases. Front. Pharmacol. 2017, 8, 591. [Google Scholar] [CrossRef] [PubMed]
- Sawyer, G.; Zhang, X.; Fabre, J. Technical requirements for effective regional hydrodynamic gene delivery to the left lateral lobe of the rat liver. Gene Ther. 2010, 17, 560–564. [Google Scholar] [CrossRef][Green Version]
- Fabre, J.; Grehan, A.; Whitehorne, M.; Sawyer, G.; Dong, X.; Salehi, S.; Eckley, L.; Zhang, X.; Seddon, M.; Shah, A. Hydrodynamic gene delivery to the pig liver via an isolated segment of the inferior vena cava. Gene Ther. 2008, 15, 452–462. [Google Scholar] [CrossRef] [PubMed]
- Hyland, K.A.; Aronovich, E.L.; Olson, E.R.; Bell, J.B.; Rusten, M.U.; Gunther, R.; Hunter, D.W.; Hackett, P.B.; McIvor, R.S. Transgene expression in dogs after liver-directed hydrodynamic delivery of Sleeping Beauty transposons using balloon catheters. Hum. Gene Ther. 2017, 28, 541–550. [Google Scholar] [CrossRef] [PubMed]
- Aronovich, E.L.; Hyland, K.A.; Hall, B.C.; Bell, J.B.; Olson, E.R.; Rusten, M.U.; Hunter, D.W.; Ellinwood, N.M.; McIvor, R.S.; Hackett, P.B. Prolonged expression of secreted enzymes in dogs after liver-directed delivery of Sleeping Beauty transposons: Implications for non-viral gene therapy of systemic disease. Hum. Gene Ther. 2017, 28, 551–564. [Google Scholar] [CrossRef]
- Zhang, G.; Gao, X.; Song, Y.; Vollmer, R.; Stolz, D.; Gasiorowski, J.; Dean, D.; Liu, D. Hydroporation as the mechanism of hydrodynamic delivery. Gene Ther. 2004, 11, 675–682. [Google Scholar] [CrossRef]
- Suda, T.; Gao, X.; Stolz, D.; Liu, D. Structural impact of hydrodynamic injection on mouse liver. Gene Ther. 2007, 14, 129–137. [Google Scholar] [CrossRef]
- Crespo, A.; Peydro, A.; Dasi, F.; Benet, M.; Calvete, J.; Revert, F.; Aliño, S. Hydrodynamic liver gene transfer mechanism involves transient sinusoidal blood stasis and massive hepatocyte endocytic vesicles. Gene Ther. 2005, 12, 927–935. [Google Scholar] [CrossRef]
- Hackett, P.B.; Aronovich, E.L.; Hunter, D.; Urness, M.; Bell, J.B.; Kass, S.J.; Cooper, L.J.N.; McIvor, S. Efficacy and safety of Sleeping Beauty transposon-mediated gene transfer in preclinical animal studies. Curr. Gene Ther. 2011, 11, 341–349. [Google Scholar] [CrossRef]
- Carlson, C.M.; Frandsen, J.L.; Kirchhof, N.; McIvor, R.S.; Largaespada, D.A. Somatic integration of an oncogene-harboring Sleeping Beauty transposon models liver tumor development in the mouse. Proc. Natl. Acad. Sci. USA 2005, 102, 17059–17064. [Google Scholar] [CrossRef]
- Budker, V.G.; Subbotin, V.M.; Budker, T.; Sebestyén, M.G.; Zhang, G.; Wolff, J.A. Mechanism of plasmid delivery by hydrodynamic tail vein injection. II. Morphological studies. J. Gene Med. Cross-Discip. J. Res. Sci. Gene Transf. Clin. Appl. 2006, 8, 874–888. [Google Scholar] [CrossRef] [PubMed]
- Zhou, T.; Kamimura, K.; Zhang, G.; Liu, D. Intracellular gene transfer in rats by tail vein injection of plasmid DNA. AAPS J. 2010, 12, 692–698. [Google Scholar] [CrossRef] [PubMed]
- Zhang, G.; Song, Y.; Liu, D. Long-term expression of human alpha1-antitrypsin gene in mouse liver achieved by intravenous administration of plasmid DNA using a hydrodynamics-based procedure. Gene Ther. 2000, 7, 1344–1349. [Google Scholar] [CrossRef] [PubMed]
- Miao, C.H.; Thompson, A.R.; Loeb, K.; Ye, X. Long-term and therapeutic-level hepatic gene expression of human factor IX after naked plasmid transfer in vivo. Mol. Ther. 2001, 3, 947–957. [Google Scholar] [CrossRef]
- Stoll, S.M.; Sclimenti, C.R.; Baba, E.J.; Meuse, L.; Kay, M.A.; Calos, M.P. Epstein–Barr virus/human vector provides high-level, long-term expression of α1-antitrypsin in mice. Mol. Ther. 2001, 4, 122–129. [Google Scholar] [CrossRef]
- Yew, N.S.; Przybylska, M.; Ziegler, R.J.; Liu, D.; Cheng, S.H. High and sustained transgene expression in vivo from plasmid vectors containing a hybrid ubiquitin promoter. Mol. Ther. 2001, 4, 75–82. [Google Scholar] [CrossRef]
- Aliño, S.F.; Crespo, A.; Dasi, F. Long-term therapeutic levels of human alpha-1 antitrypsin in plasma after hydrodynamic injection of nonviral DNA. Gene Ther. 2003, 10, 1672–1679. [Google Scholar] [CrossRef]
- Chen, Z.-Y.; He, C.-Y.; Ehrhardt, A.; Kay, M.A. Minicircle DNA vectors devoid of bacterial DNA result in persistent and high-level transgene expression in vivo. Mol. Ther. 2003, 8, 495–500. [Google Scholar] [CrossRef]
- Score, P.R.; Belur, L.R.; Frandsen, J.L.; Guerts, J.L.; Yamaguchi, T.; Somia, N.V.; Hackett, P.B.; Largaespada, D.A.; McIvor, R.S. Sleeping Beauty-mediated transposition and long-term expression in vivo: Use of the LoxP/Cre recombinase system to distinguish transposition-specific expression. Mol. Ther. 2006, 13, 617–624. [Google Scholar] [CrossRef]
- Kishida, T.; Asada, H.; Itokawa, Y.; Cui, F.-D.; Shin-Ya, M.; Gojo, S.; Yasutomi, K.; Ueda, Y.; Yamagishi, H.; Imanishi, J. Interleukin (IL)-21 and IL-15 genetic transfer synergistically augments therapeutic antitumor immunity and promotes regression of metastatic lymphoma. Mol. Ther. 2003, 8, 552–558. [Google Scholar] [CrossRef]
- Ye, X.; Loeb, K.; Stafford, D.; Thompson, A.; Miao, C. Complete and sustained phenotypic correction of hemophilia B in mice following hepatic gene transfer of a high-expressing human factor IX plasmid. J. Thromb. Haemost. 2003, 1, 103–111. [Google Scholar] [CrossRef] [PubMed]
- Held, P.K.; Olivares, E.C.; Aguilar, C.P.; Finegold, M.; Calos, M.P.; Grompe, M. In vivo correction of murine hereditary tyrosinemia type I by ϕC31 integrase-mediated gene delivery. Mol. Ther. 2005, 11, 399–408. [Google Scholar] [CrossRef]
- Condiotti, R.; Curran, M.A.; Nolan, G.P.; Giladi, H.; Ketzinel-Gilad, M.; Gross, E.; Galun, E. Prolonged liver-specific transgene expression by a non-primate lentiviral vector. Biochem. Biophys. Res. Commun. 2004, 320, 998–1006. [Google Scholar] [CrossRef] [PubMed]
- Brunetti-Pierri, N.; Palmer, D.J.; Mane, V.; Finegold, M.; Beaudet, A.L.; Ng, P. Increased hepatic transduction with reduced systemic dissemination and proinflammatory cytokines following hydrodynamic injection of helper-dependent adenoviral vectors. Mol. Ther. 2005, 12, 99–106. [Google Scholar] [CrossRef] [PubMed]
- Brunetti-Pierri, N.; Stapleton, G.E.; Palmer, D.J.; Zuo, Y.; Mane, V.P.; Finegold, M.J.; Beaudet, A.L.; Leland, M.M.; Mullins, C.E.; Ng, P. Pseudo-hydrodynamic delivery of helper-dependent adenoviral vectors into non-human primates for liver-directed gene therapy. Mol. Ther. 2007, 15, 732–740. [Google Scholar] [CrossRef] [PubMed]
- Su, L.T.; Gopal, K.; Wang, Z.; Yin, X.; Nelson, A.; Kozyak, B.W.; Burkman, J.M.; Mitchell, M.A.; Low, D.W.; Bridges, C.R. Uniform scale-independent gene transfer to striated muscle after transvenular extravasation of vector. Circulation 2005, 112, 1780–1788. [Google Scholar] [CrossRef][Green Version]
- Yant, S.R.; Meuse, L.; Chiu, W.; Ivics, Z.; Izsvak, Z.; Kay, M.A. Somatic integration and long-term transgene expression in normal and haemophilic mice using a DNA transposon system. Nat. Genet. 2000, 25, 35–41. [Google Scholar] [CrossRef]
- Mikkelsen, J.G.; Yant, S.R.; Meuse, L.; Huang, Z.; Xu, H.; Kay, M.A. Helper-independent Sleeping Beauty transposon–transposase vectors for efficient nonviral gene delivery and persistent gene expression in vivo. Mol. Ther. 2003, 8, 654–665. [Google Scholar] [CrossRef]
- Aronovich, E.L.; McIvor, R.S.; Hackett, P.B. The Sleeping Beauty transposon system: A non-viral vector for gene therapy. Hum. Mol. Genet. 2011, 20, R14–R20. [Google Scholar] [CrossRef]
- Bell, J.B.; Podetz-Pedersen, K.M.; Aronovich, E.L.; Belur, L.R.; McIvor, R.S.; Hackett, P.B. Preferential delivery of the Sleeping Beauty transposon system to livers of mice by hydrodynamic injection. Nat. Protoc. 2007, 2, 3153–3165. [Google Scholar] [CrossRef]
- Bell, J.B.; Aronovich, E.L.; Schreifels, J.M.; Beadnell, T.C.; Hackett, P.B. Duration of expression and activity of Sleeping Beauty transposase in mouse liver following hydrodynamic DNA delivery. Mol. Ther. 2010, 18, 1796–1802. [Google Scholar] [CrossRef] [PubMed]
- Zhao, M.; Sun, Y.-D.; Yin, M.; Zhao, J.-J.; Li, S.-A.; Li, G.; Zhang, F.; Xu, J.; Meng, F.-Y.; Zhang, B. Modulation of Immune Reaction in Hydrodynamic Gene Therapy for Hemophilia A. Hum. Gene Ther. 2022, 33, 404–420. [Google Scholar] [CrossRef] [PubMed]
- Gissel, H.; Clausen, T. Excitation-induced Ca2+ influx and skeletal muscle cell damage. Acta Physiol. Scand. 2001, 171, 327–334. [Google Scholar] [CrossRef]
- Miao, C.H.; Ye, X.; Thompson, A.R. High-level factor VIII gene expression in vivo achieved by nonviral liver-specific gene therapy vectors. Hum. Gene Ther. 2003, 14, 1297–1305. [Google Scholar] [CrossRef] [PubMed]
- Izsvák, Z.; Hackett, P.B.; Cooper, L.J.; Ivics, Z. Translating Sleeping Beauty transposition into cellular therapies: Victories and challenges. Bioessays 2010, 32, 756–767. [Google Scholar] [CrossRef] [PubMed]
- Yokoo, T.; Kamimura, K.; Abe, H.; Kobayashi, Y.; Kanefuji, T.; Ogawa, K.; Goto, R.; Oda, M.; Suda, T.; Terai, S. Liver-targeted hydrodynamic gene therapy: Recent advances in the technique. World J. Gastroenterol. 2016, 22, 8862. [Google Scholar] [CrossRef] [PubMed]
- Kobayashi, Y.; Kamimura, K.; Abe, H.; Yokoo, T.; Ogawa, K.; Shinagawa-Kobayashi, Y.; Goto, R.; Inoue, R.; Ohtsuka, M.; Miura, H. Effects of fibrotic tissue on liver-targeted hydrodynamic gene delivery. Mol. Ther.-Nucleic Acids 2016, 5, e359. [Google Scholar] [CrossRef]
- Abe, H.; Kamimura, K.; Kobayashi, Y.; Ohtsuka, M.; Miura, H.; Ohashi, R.; Yokoo, T.; Kanefuji, T.; Suda, T.; Tsuchida, M. Effective prevention of liver fibrosis by liver-targeted hydrodynamic gene delivery of matrix metalloproteinase-13 in a rat liver fibrosis model. Mol. Ther.-Nucleic Acids 2016, 5, e276. [Google Scholar] [CrossRef]
- Newell, P.; Villanueva, A.; Friedman, S.L.; Koike, K.; Llovet, J.M. Experimental models of hepatocellular carcinoma. J. Hepatol. 2008, 48, 858–879. [Google Scholar] [CrossRef] [PubMed]
- Sun, K.; Yang, W.; Huang, Y.; Wang, Y.; Xiang, L.; Qi, J. Leu452His mutation in lipoprotein lipase gene transfer associated with hypertriglyceridemia in mice in vivo. PLoS ONE 2013, 8, e75462. [Google Scholar] [CrossRef]
- Bloom, K.; Ely, A.; Mussolino, C.; Cathomen, T.; Arbuthnot, P. Inactivation of hepatitis B virus replication in cultured cells and in vivo with engineered transcription activator-like effector nucleases. Mol. Ther. 2013, 21, 1889–1897. [Google Scholar] [CrossRef] [PubMed]
- Kim, S.I.; Shin, D.; Lee, H.; Ahn, B.-Y.; Yoon, Y.; Kim, M. Targeted delivery of siRNA against hepatitis C virus by apolipoprotein AI-bound cationic liposomes. J. Hepatol. 2009, 50, 479–488. [Google Scholar] [CrossRef] [PubMed]
- Yang, K.-L.; Hung, K.-C.; Chang, W.-T.; Li, E.I. Establishment of an early liver fibrosis model by the hydrodynamics-based transfer of TGF-β1 gene. Comp. Hepatol. 2007, 6, 9. [Google Scholar] [CrossRef] [PubMed]
- Tward, A.D.; Jones, K.D.; Yant, S.; Cheung, S.T.; Fan, S.T.; Chen, X.; Kay, M.A.; Wang, R.; Bishop, J.M. Distinct pathways of genomic progression to benign and malignant tumors of the liver. Proc. Natl. Acad. Sci. USA 2007, 104, 14771–14776. [Google Scholar] [CrossRef]
- Wesche-Soldato, D.E.; Lomas-Neira, J.; Perl, M.; Chung, C.-S.; Ayala, A. Hydrodynamic delivery of siRNA in a mouse model of sepsis. Methods Mol. Biol. 2008, 442, 67–73. [Google Scholar]
- Li, J.; Yao, Q.; Liu, D. Hydrodynamic cell delivery for simultaneous establishment of tumor growth in mouse lung, liver and kidney. Cancer Biol. Ther. 2011, 12, 737–741. [Google Scholar] [CrossRef]
- Wooddell, C.I.; Reppen, T.; Wolff, J.A.; Herweijer, H. Sustained liver-specific transgene expression from the albumin promoter in mice following hydrodynamic plasmid DNA delivery. J. Gene Med. Cross-Discip. J. Res. Sci. Gene Transf. Clin. Appl. 2008, 10, 551–563. [Google Scholar] [CrossRef]
- Lu, P.Y.; Xie, F.; Woodle, M.C. In vivo application of RNA interference: From functional genomics to therapeutics. Adv. Genet. 2005, 54, 115–142. [Google Scholar]
- Song, E.; Lee, S.-K.; Wang, J.; Ince, N.; Ouyang, N.; Min, J.; Chen, J.; Shankar, P.; Lieberman, J. RNA interference targeting Fas protects mice from fulminant hepatitis. Nat. Med. 2003, 9, 347–351. [Google Scholar] [CrossRef]
- Matsui, Y.; Kobayashi, N.; Nishikawa, M.; Takakura, Y. Sequence-specific suppression of mdr1a/1b expression in mice via RNA interference. Pharm. Res. 2005, 22, 2091–2098. [Google Scholar] [CrossRef]
- Chen, Q.; Wei, H.; Sun, R.; Zhang, J.; Tian, Z. Therapeutic RNA silencing of Cys-X3-Cys chemokine ligand 1 gene prevents mice from adenovirus vector-induced acute liver injury. Hepatology 2008, 47, 648–658. [Google Scholar] [CrossRef] [PubMed]
- Chu, Q.; Joseph, M.; Przybylska, M.; Yew, N.S.; Scheule, R.K. Transient siRNA-mediated attenuation of liver expression from an α-galactosidase a plasmid reduces subsequent humoral immune responses to the transgene product in mice. Mol. Ther. 2005, 12, 264–273. [Google Scholar] [CrossRef] [PubMed]
- Wooddell, C.I.; Van Hout, C.V.; Reppen, T.; Lewis, D.L.; Herweijer, H. Long-term RNA interference from optimized siRNA expression constructs in adult mice. Biochem. Biophys. Res. Commun. 2005, 334, 117–127. [Google Scholar] [CrossRef] [PubMed]
- Koster, A.J.; Klumperman, J. Electron microscopy in cell biology: Integrating structure and function. Nat. Rev. Mol. Cell Biol. 2003, 4, SS6–SS9. [Google Scholar]
- Kłosowski, M.M.; McGilvery, C.M.; Li, Y.; Abellan, P.; Ramasse, Q.; Cabral, J.T.; Livingston, A.G.; Porter, A.E. Micro-to nano-scale characterisation of polyamide structures of the SW30HR RO membrane using advanced electron microscopy and stain tracers. J. Membr. Sci. 2016, 520, 465–476. [Google Scholar] [CrossRef]
- Misra, A. Challenges in Delivery of Therapeutic Genomics and Proteomics; Elsevier: London, UK, 2011. [Google Scholar]
- Ebert, E.C. Hypoxic liver injury. Mayo Clin. Proc. 2006, 81, 1232–1236. [Google Scholar] [CrossRef]
- Kurosaki, S.; Nakagawa, H.; Hayata, Y.; Kawamura, S.; Matsushita, Y.; Yamada, T.; Uchino, K.; Hayakawa, Y.; Suzuki, N.; Hata, M. Cell fate analysis of zone 3 hepatocytes in liver injury and tumorigenesis. JHEP Rep. 2021, 3, 100315. [Google Scholar] [CrossRef]
- Meacham, J.M.; Durvasula, K.; Degertekin, F.L.; Fedorov, A.G. Enhanced intracellular delivery via coordinated acoustically driven shear mechanoporation and electrophoretic insertion. Sci. Rep. 2018, 8, 3727. [Google Scholar] [CrossRef]
- Mikhailov, A.S.; Kapral, R. Hydrodynamic collective effects of active protein machines in solution and lipid bilayers. Proc. Natl. Acad. Sci. USA 2015, 112, E3639–E3644. [Google Scholar] [CrossRef]
- Wisse, E.; De Zanger, R.; Charels, K.; Van Der Smissen, P.; McCuskey, R. The liver sieve: Considerations concerning the structure and function of endothelial fenestrae, the sinusoidal wall and the space of Disse. Hepatology 1985, 5, 683–692. [Google Scholar] [CrossRef]
- Keren, K. Cell motility: The integrating role of the plasma membrane. Eur. Biophys. J. 2011, 40, 1013–1027. [Google Scholar] [CrossRef] [PubMed]
- Soula, H.A.; Coulon, A.; Beslon, G. Membrane microdomains emergence through non-homogeneous diffusion. BMC Biophys. 2012, 5, 6. [Google Scholar] [CrossRef] [PubMed]
- Li, J.H. Magnetic Manipulation of Membrane Molecule Motion. Ph.D. Thesis, Freie Universitaet Berlin, Berlin, Germany, 2021. [Google Scholar]
- Yang, N.J.; Hinner, M.J. Getting across the cell membrane: An overview for small molecules, peptides, and proteins. In Site-Specific Protein Labeling: Springer: Methods and Protocols; Gautier, A., Hinner, M.J., Eds.; Springer: New York, NY, USA, 2015; Volume 1266, pp. 29–53. [Google Scholar]
- Hediger, M.A.; Clémençon, B.; Burrier, R.E.; Bruford, E.A. The ABCs of membrane transporters in health and disease (SLC series): Introduction. Mol. Asp. Med. 2013, 34, 95–107. [Google Scholar] [CrossRef] [PubMed]
- De Duve, C. The origin of eukaryotes: A reappraisal. Nat. Rev. Genet. 2007, 8, 395–403. [Google Scholar] [CrossRef]
- Ammendolia, D.A.; Bement, W.M.; Brumell, J.H. Plasma membrane integrity: Implications for health and disease. BMC Biol. 2021, 19, 71. [Google Scholar] [CrossRef]
- Zeghimi, A.; Escoffre, J.-M.; Bouakaz, A. Role of endocytosis in sonoporation-mediated membrane permeabilization and uptake of small molecules: A electron microscopy study. Phys. Biol. 2015, 12, 066007. [Google Scholar] [CrossRef]
- Derieppe, M.; Rojek, K.; Escoffre, J.-M.; de Senneville, B.D.; Moonen, C.; Bos, C. Recruitment of endocytosis in sonopermeabilization-mediated drug delivery: A real-time study. Phys. Biol. 2015, 12, 046010. [Google Scholar] [CrossRef]
- Higgins, M.K.; McMahon, H.T. Snap-shots of clathrin-mediated endocytosis. Trends Biochem. Sci. 2002, 27, 257–263. [Google Scholar] [CrossRef]
- Chanaday, N.L.; Cousin, M.A.; Milosevic, I.; Watanabe, S.; Morgan, J.R. The synaptic vesicle cycle revisited: New insights into the modes and mechanisms. J. Neurosci. 2019, 39, 8209–8216. [Google Scholar] [CrossRef]
- Salomon, I.; Janssen, H.; Neefjes, J. Mechanical forces used for cell fractionation can create hybrid membrane vesicles. Int. J. Biol. Sci. 2010, 6, 649. [Google Scholar] [CrossRef]
- Gray, E. The granule cells, mossy synapses and Purkinje spine synapses of the cerebellum: Light and electron microscope observations. J. Anat. 1961, 95, 345. [Google Scholar]
- Brightman, M.; Palay, S. The fine structure of ependyma in the brain of the rat. J. Cell Biol. 1963, 19, 415–439. [Google Scholar] [CrossRef] [PubMed]
- Roth, T.F.; Porter, K.R. Yolk protein uptake in the oocyte of the mosquito Aedes aegypti L. J. Cell Biol. 1964, 20, 313–332. [Google Scholar] [CrossRef] [PubMed]
- Ferreira, A.P.; Boucrot, E. Mechanisms of carrier formation during clathrin-independent endocytosis. Trends Cell Biol. 2018, 28, 188–200. [Google Scholar] [CrossRef] [PubMed]
- Siddiqui, H.; Yevstigneyev, N.; Madani, G.; McCormick, S. Approaches to Visualising Endocytosis of LDL-Related Lipoproteins. Biomolecules 2022, 12, 158. [Google Scholar] [CrossRef]
- Williams, T.M.; Lisanti, M.P. The caveolin proteins. Genome Biol. 2004, 5, 214. [Google Scholar] [CrossRef] [PubMed]
- Kumari, S.; Mg, S.; Mayor, S. Endocytosis unplugged: Multiple ways to enter the cell. Cell Res. 2010, 20, 256–275. [Google Scholar] [CrossRef] [PubMed]
- Marsh, M.; McMahon, H. The structural era of endocytosis. Science 1999, 285, 215–220. [Google Scholar] [CrossRef]
- Schmid, S.L.; Sorkin, A.; Zerial, M. Endocytosis: Past, present, and future. Cold Spring Harb. Perspect. Biol. 2014, 6, a022509. [Google Scholar] [CrossRef]
- Zhao, Y.-Z.; Du, L.-N.; Lu, C.-T.; Jin, Y.-G.; Ge, S.-P. Potential and problems in ultrasound-responsive drug delivery systems. Int. J. Nanomed. 2013, 8, 1621. [Google Scholar]
- Kovacsics, D.; Raper, J. Transient expression of proteins by hydrodynamic gene delivery in mice. J. Vis. Exp. JoVE 2014, 15, 51481. [Google Scholar] [CrossRef] [PubMed]
- Khorsandi, S.; Bachellier, P.; Weber, J.; Greget, M.; Jaeck, D.; Zacharoulis, D.; Rountas, C.; Helmy, S.; Helmy, A.; Al-Waracky, M. Minimally invasive and selective hydrodynamic gene therapy of liver segments in the pig and human. Cancer Gene Ther. 2008, 15, 225–230. [Google Scholar] [CrossRef] [PubMed]
- Sendra, L.; Herrero, M.J.; Aliño, S.F. Translational advances of hydrofection by hydrodynamic injection. Genes 2018, 9, 136. [Google Scholar] [CrossRef] [PubMed]
- Kamimura, K.; Zhang, G.; Liu, D. Image-guided, intravascular hydrodynamic gene delivery to skeletal muscle in pigs. Mol. Ther. 2010, 18, 93–100. [Google Scholar] [CrossRef] [PubMed]
- Kamimura, K.; Suda, T.; Zhang, G.; Aoyagi, Y.; Liu, D. Parameters affecting image-guided, hydrodynamic gene delivery to swine liver. Mol. Ther.-Nucleic Acids 2013, 2, e128. [Google Scholar] [CrossRef] [PubMed]
- Suda, T.; Suda, K.; Liu, D. Computer-assisted hydrodynamic gene delivery. Mol. Ther. 2008, 16, 1098–1104. [Google Scholar] [CrossRef]






| Animal Numbers | Time after Hydrodynamic Injection to Liver Tissue Preparation and Immediate Fixation in Osmium Tetroxide | |||||||
|---|---|---|---|---|---|---|---|---|
| m: min d: day | ||||||||
| Empty plasmid | ||||||||
| One time point/animal | ||||||||
| 1 | 1 m | |||||||
| 2 | 1 m | |||||||
| 3 | 5 m | |||||||
| 4 | 10 m | |||||||
| 5 | 10 m | |||||||
| 6 | 60 m | |||||||
| 7 | 1 d | |||||||
| 8 | 1 d | |||||||
| 9 | 2 d | |||||||
| 10 | 2 d | |||||||
| 11 | 2 d | |||||||
| Multiple time points/animal | ||||||||
| 12 | 0 m | 2 m | 10 m | |||||
| 13 | 0 m | 1 m | 10 m | 20 m | ||||
| 14 | 5 m | 10 m | 20 m | |||||
| 15 | 5 m | 10 m | 20 m | |||||
| 16 | 5 m | 10 m | ||||||
| 17 | 5 m | 10 m | 20 m | |||||
| Control (0.9% NaCl) | ||||||||
| Multiple time points/animal | ||||||||
| 18 | 5 m | 10 m | 20 m | |||||
| 19 | 5 m | 10 m | ||||||
| 20 | 5 m | 10 m | ||||||
Disclaimer/Publisher’s Note: The statements, opinions and data contained in all publications are solely those of the individual author(s) and contributor(s) and not of MDPI and/or the editor(s). MDPI and/or the editor(s) disclaim responsibility for any injury to people or property resulting from any ideas, methods, instructions or products referred to in the content. |
© 2023 by the authors. Licensee MDPI, Basel, Switzerland. This article is an open access article distributed under the terms and conditions of the Creative Commons Attribution (CC BY) license (https://creativecommons.org/licenses/by/4.0/).
Share and Cite
Yasser, M.; Ribback, S.; Evert, K.; Utpatel, K.; Annweiler, K.; Evert, M.; Dombrowski, F.; Calvisi, D.F. Early Subcellular Hepatocellular Alterations in Mice Post Hydrodynamic Transfection: An Explorative Study. Cancers 2023, 15, 328. https://doi.org/10.3390/cancers15020328
Yasser M, Ribback S, Evert K, Utpatel K, Annweiler K, Evert M, Dombrowski F, Calvisi DF. Early Subcellular Hepatocellular Alterations in Mice Post Hydrodynamic Transfection: An Explorative Study. Cancers. 2023; 15(2):328. https://doi.org/10.3390/cancers15020328
Chicago/Turabian StyleYasser, Mohd, Silvia Ribback, Katja Evert, Kirsten Utpatel, Katharina Annweiler, Matthias Evert, Frank Dombrowski, and Diego F. Calvisi. 2023. "Early Subcellular Hepatocellular Alterations in Mice Post Hydrodynamic Transfection: An Explorative Study" Cancers 15, no. 2: 328. https://doi.org/10.3390/cancers15020328
APA StyleYasser, M., Ribback, S., Evert, K., Utpatel, K., Annweiler, K., Evert, M., Dombrowski, F., & Calvisi, D. F. (2023). Early Subcellular Hepatocellular Alterations in Mice Post Hydrodynamic Transfection: An Explorative Study. Cancers, 15(2), 328. https://doi.org/10.3390/cancers15020328
