Degenerative Changes in Aging Human Pelvic Lymph Nodes—A Reason to Rethink Staging and Therapy of Regional Malignancies?
Simple Summary
Abstract
1. Introduction
2. Materials and Methods
3. Results
4. Discussion
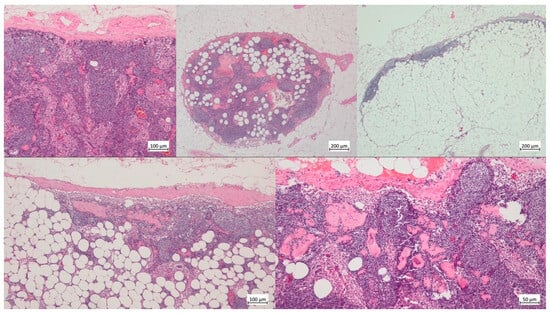
4.1. Size
4.2. Lipomatous Atrophy
4.3. Hyalinization/Fibrosis of Framework and Capsula
4.4. Calcifications
4.5. Stromal Niche
5. Conclusions
Author Contributions
Funding
Institutional Review Board Statement
Informed Consent Statement
Data Availability Statement
Conflicts of Interest
Abbreviations
References
- Heidenreich, A.; Aus, G.; Bolla, M.; Joniau, S.; Matveev, V.B.; Schmid, H.P.; Zattoni, F. EAU guidelines on prostate cancer. Eur. Urol. 2008, 53, 68–80. [Google Scholar] [CrossRef]
- Lowrance, W.T.; Breau, R.H.; Chou, R.; Chapin, B.F.; Crispino, T.; Dreicer, R.; Jarrard, D.F.; Kibel, A.S.; Morgan, T.M.; Cookson, M.S.; et al. Advanced Prostate Cancer: AUA/ASTRO/SUO Guideline, Part I. J. Urol. 2021, 205, 14–21. [Google Scholar] [CrossRef] [PubMed]
- Flaig, T.W.; Spiess, P.E.; Agarwal, N.; Bangs, R.; Boorjian, S.A.; Buyyounouski, M.K.; Chang, S.; Downs, T.M.; Efstathiou, J.A.; Johnson-Chilla, A.; et al. Bladder Cancer, Version 3.2020, NCCN Clinical Practice Guidelines in Oncology. J. Natl. Compr. Cancer Netw. 2020, 18, 329–354. [Google Scholar] [CrossRef] [PubMed]
- Witjes, J.A.; Bruins, H.M.; Cathomas, R.; Comperat, E.M.; Cowan, N.C.; Gakis, G.; Hernández, V.; Espinós, E.L.; Lorch, A.; van Der Heijden, A.G.; et al. European Association of Urology Guidelines on Muscle-invasive and Metastatic Bladder Cancer: Summary of the 2020 Guidelines. Eur. Urol. 2021, 79, 82–104. [Google Scholar] [CrossRef] [PubMed]
- Hu, J.; Yu, Y.; Liu, W.; Zhong, J.; Zhou, X.; Xi, H. The survival benefit of different lymph node yields in radical prostatectomy for pN1M0 prostate cancer patients: Implications from a population-based study. Front. Oncol. 2022, 12, 953069. [Google Scholar] [CrossRef] [PubMed]
- Gakis, G.; Boorjian, S.A.; Briganti, A.; Joniau, S.; Karazanashvili, G.; Karnes, R.J.; Mattei, A.; Shariat, S.F.; Stenzl, A.; Stief, C.G.; et al. The role of radical prostatectomy and lymph node dissection in lymph node-positive prostate cancer: A systematic review of the literature. Eur. Urol. 2014, 66, 191–199. [Google Scholar] [CrossRef]
- Crozier, J.; Papa, N.; Perera, M.; Stewart, M.; Goad, J.; Sengupta, S.; Bolton, D.; Lawrentschuk, N. Lymph node yield in node-negative patients predicts cancer specific survival following radical cystectomy for transitional cell carcinoma. Investig. Clin. Urol. 2017, 58, 416–422. [Google Scholar] [CrossRef]
- Poulsen, A.L.; Horn, T.; Steven, K. Radical cystectomy: Extending the limits of pelvic lymph node dissection improves survival for patients with bladder cancer confined to the bladder wall. J. Urol. 1998, 160 Pt 1, 2015–2520; discussion 20. [Google Scholar] [CrossRef]
- Ku, J.H.; Kang, M.; Kim, H.S.; Jeong, C.W.; Kwak, C.; Kim, H.H. Lymph node density as a prognostic variable in node-positive bladder cancer: A meta-analysis. BMC Cancer 2015, 15, 447. [Google Scholar] [CrossRef]
- Svatek, R.; Zehnder, P. Role and extent of lymphadenectomy during radical cystectomy for invasive bladder cancer. Curr. Urol. Rep. 2012, 13, 115–121. [Google Scholar] [CrossRef]
- Briganti, A.; Suardi, N.; Capogrosso, P.; Passoni, N.; Freschi, M.; di Trapani, E.; Gallina, A.; Capitanio, U.; Abdollah, F.; Rigatti, P.; et al. Lymphatic spread of nodal metastases in high-risk prostate cancer: The ascending pathway from the pelvis to the retroperitoneum. Prostate 2012, 72, 186–192. [Google Scholar] [CrossRef] [PubMed]
- Briganti, A.; Blute, M.L.; Eastham, J.H.; Graefen, M.; Heidenreich, A.; Karnes, J.R.; Montorsi, F.; Studer, U.E. Pelvic lymph node dissection in prostate cancer. Eur. Urol. 2009, 55, 1251–1265. [Google Scholar] [CrossRef] [PubMed]
- Swanson, G.P.; Thompson, I.M.; Basler, J. Current status of lymph node-positive prostate cancer: Incidence and predictors of outcome. Cancer 2006, 107, 439–450. [Google Scholar] [CrossRef] [PubMed]
- Weckermann, D.; Dorn, R.; Holl, G.; Wagner, T.; Harzmann, R. Limitations of radioguided surgery in high-risk prostate cancer. Eur. Urol. 2007, 51, 1549–1556; discussion 56–58. [Google Scholar] [CrossRef]
- Godoy, G.; von Bodman, C.; Chade, D.C.; Dillioglugil, O.; Eastham, J.A.; Fine, S.W.; Scardino, P.T.; Laudone, V.P. Pelvic lymph node dissection for prostate cancer: Frequency and distribution of nodal metastases in a contemporary radical prostatectomy series. J. Urol. 2012, 187, 2082–2086. [Google Scholar] [CrossRef]
- Vazina, A.; Dugi, D.; Shariat, S.F.; Evans, J.; Link, R.; Lerner, S.P. Stage specific lymph node metastasis mapping in radical cystectomy specimens. J. Urol. 2004, 171, 1830–1834. [Google Scholar] [CrossRef]
- Jensen, J.B.; Ulhoi, B.P.; Jensen, K.M. Lymph node mapping in patients with bladder cancer undergoing radical cystectomy and lymph node dissection to the level of the inferior mesenteric artery. BJU Int. 2010, 106, 199–205. [Google Scholar] [CrossRef]
- Bianchi, M.; Roghmann, F.; Becker, A.; Sukumar, S.; Briganti, A.; Menon, M.; Karakiewicz, P.I.; Sun, M.; Noldus, J.; Trinh, Q.D. Age-stratified distribution of metastatic sites in bladder cancer: A population-based analysis. Can. Urol. Assoc. J. 2014, 8, E148–E158. [Google Scholar] [CrossRef]
- Stein, J.P.; Skinner, D.G. The role of lymphadenectomy in high-grade invasive bladder cancer. Urol. Clin. N. Am. 2005, 32, 187–197. [Google Scholar] [CrossRef]
- Leissner, J.; Ghoneim, M.A.; Abol-Enein, H.; Thuroff, J.W.; Franzaring, L.; Fisch, M.; Schulze, H.; Managadze, G.; Allhoff, E.P.; Wolf, H.K.; et al. Extended radical lymphadenectomy in patients with urothelial bladder cancer: Results of a prospective multicenter study. J. Urol. 2004, 171, 139–144. [Google Scholar] [CrossRef]
- Ugurlu, O.; Baltaci, S.; Aslan, G.; Can, C.; Cal, C.; Elhan, A.; Mungan, A. Does skip metastasis or other lymph node parameters have additional effects on survival of patients undergoing radical cystectomy for bladder cancer? Korean J. Urol. 2015, 56, 357–364. [Google Scholar] [CrossRef] [PubMed]
- Baltaci, S.; Adsan, O.; Ugurlu, O.; Aslan, G.; Can, C.; Gunaydin, G.; Buyukalpelli, R.; Elhan, A.H.; Beduk, Y. Reliability of frozen section examination of obturator lymph nodes and impact on lymph node dissection borders during radical cystectomy: Results of a prospective multicentre study by the Turkish Society of Urooncology. BJU Int. 2011, 107, 547–553. [Google Scholar] [CrossRef] [PubMed]
- Steven, K.; Poulsen, A.L. Radical cystectomy and extended pelvic lymphadenectomy: Survival of patients with lymph node metastasis above the bifurcation of the common iliac vessels treated with surgery only. J. Urol. 2007, 178 Pt 1, 1218–1823; discussion 23–24. [Google Scholar] [CrossRef]
- Malaguarnera, L.; Cristaldi, E.; Malaguarnera, M. The role of immunity in elderly cancer. Crit. Rev. Oncol. Hematol. 2010, 74, 40–60. [Google Scholar] [CrossRef]
- Sadighi Akha, A.A. Aging and the immune system: An overview. J. Immunol. Methods 2018, 463, 21–26. [Google Scholar] [CrossRef] [PubMed]
- Cakala-Jakimowicz, M.; Kolodziej-Wojnar, P.; Puzianowska-Kuznicka, M. Aging-Related Cellular, Structural and Functional Changes in the Lymph Nodes: A Significant Component of Immunosenescence? An Overview. Cells 2021, 10, 3148. [Google Scholar] [CrossRef]
- Godde, D.; Degener, S.; Walles, C.; Keller, R.; Dreger, N.M.; Graf, K.; von Rundstedt, F.-C.; Kvasnicka, H.M.; Krege, S.; Störkel, S. Influence of lymph node degeneration on metastases in prostate cancer: Or why we must look for a needle in a haystack. BMC Urol. 2023, 23, 6. [Google Scholar] [CrossRef]
- Yu, Y.; Zheng, S. Research progress on immune aging and its mechanisms affecting geriatric diseases. Aging Med. 2019, 2, 216–222. [Google Scholar] [CrossRef]
- Willard-Mack, C.L. Normal structure, function, and histology of lymph nodes. Toxicol. Pathol. 2006, 34, 409–424. [Google Scholar] [CrossRef]
- Pan, W.R.; Suami, H.; Taylor, G.I. Senile changes in human lymph nodes. Lymphat. Res. Biol. 2008, 6, 77–83. [Google Scholar] [CrossRef]
- Su, D.M.; Aw, D.; Palmer, D.B. Immunosenescence: A product of the environment? Curr. Opin. Immunol. 2013, 25, 498–503. [Google Scholar] [CrossRef]
- Masters, A.R.; Haynes, L.; Su, D.M.; Palmer, D.B. Immune senescence: Significance of the stromal microenvironment. Clin. Exp. Immunol. 2017, 187, 6–15. [Google Scholar] [CrossRef] [PubMed]
- Hadamitzky, C.; Spohr, H.; Debertin, A.S.; Guddat, S.; Tsokos, M.; Pabst, R. Age-dependent histoarchitectural changes in human lymph nodes: An underestimated process with clinical relevance? J. Anat. 2010, 216, 556–562. [Google Scholar] [CrossRef] [PubMed]
- Denz, F.A. Age changes in lymph nodes. J. Pathol. Bacteriol. 1947, 59, 575–591. [Google Scholar] [CrossRef]
- Ahmadi, O.; McCall, J.L.; Stringer, M.D. Does senescence affect lymph node number and morphology? A systematic review. ANZ J. Surg. 2013, 83, 612–618. [Google Scholar] [CrossRef] [PubMed]
- Luscieti, P.; Hubschmid, T.; Cottier, H.; Hess, M.W.; Sobin, L.H. Human lymph node morphology as a function of age and site. J. Clin. Pathol. 1980, 33, 454–461. [Google Scholar] [CrossRef]
- Zheng, B.; Han, S.; Takahashi, Y.; Kelsoe, G. Immunosenescence and germinal center reaction. Immunol. Rev. 1997, 160, 63–77. [Google Scholar] [CrossRef]
- Filelfi, S.L.; Onorato, A.; Brix, B.; Goswami, N. Lymphatic Senescence: Current Updates and Perspectives. Biology 2021, 10, 293. [Google Scholar] [CrossRef]
- Ogura, I.; Kaneda, T.; Kato, M.; Mori, S.; Motohashi, J.; Lee, K. MR study of lateral retropharyngeal lymph nodes at different ages. Oral. Surg. Oral. Med. Oral. Pathol. Oral. Radiol. Endod. 2004, 98, 355–358. [Google Scholar] [CrossRef]
- Burns, G.O.; Scrivani, P.V.; Thompson, M.S.; Erb, H.N. Relation between age, body weight, and medial retropharyngeal lymph node size in apparently healthy dogs. Vet. Radiol. Ultrasound 2008, 49, 277–281. [Google Scholar] [CrossRef]
- Pahlavani, M.A.; Richardson, A.; Cheung, H.T. Age-dependent changes of the mesenteric lymph node of Fischer F344 rats: Morphological and histometric analysis. Mech. Ageing Dev. 1987, 39, 137–146. [Google Scholar] [CrossRef] [PubMed]
- Lubis, I.; Ladds, P.W.; Reilly, L.R. Age associated morphological changes in the lymphoid system of tropical cattle. Res. Vet. Sci. 1982, 32, 270–277. [Google Scholar] [CrossRef]
- Sato, A.; Taniguchi, I.; Fujiwara, D.; Ichikawa, H.; Suzuki, M.; Nawata, S.I.; Murakami, G. Gaps and fragmentation of the superficial cortex in the abdominal and pelvic lymph nodes of elderly Japanese. Anat. Sci. Int. 2003, 78, 211–222. [Google Scholar] [CrossRef]
- Sainte-Marie, G.; Peng, F.S. Morphological anomalies associated with immunodeficiencies in the lymph nodes of aging mice. Lab. Investig. 1987, 56, 598–610. [Google Scholar] [PubMed]
- Ahmadi, O.; McCall, J.L.; Stringer, M.D. Mesocolic Lymph Node Number, Size, and Density: An Anatomical Study. Dis. Colon. Rectum 2015, 58, 726–735. [Google Scholar] [CrossRef]
- Gretz, J.E.; Kaldjian, E.P.; Anderson, A.O.; Shaw, S. Sophisticated strategies for information encounter in the lymph node: The reticular network as a conduit of soluble information and a highway for cell traffic. J. Immunol. 1996, 157, 495–499. [Google Scholar] [CrossRef]
- Kaldjian, E.P.; Gretz, J.E.; Anderson, A.O.; Shi, Y.; Shaw, S. Spatial and molecular organization of lymph node T cell cortex: A labyrinthine cavity bounded by an epithelium-like monolayer of fibroblastic reticular cells anchored to basement membrane-like extracellular matrix. Int. Immunol. 2001, 13, 1243–1253. [Google Scholar] [CrossRef]
- Sainte-Marie, G.; Peng, F.S. Diffusion of a lymph-carried antigen in the fiber network of the lymph node of the rat. Cell Tissue Res. 1986, 245, 481–486. [Google Scholar] [CrossRef]
- Li, X.; Zhao, J.; Naini, S.M.; Sabiu, G.; Tullius, S.G.; Shin, S.R.; Bromberg, J.S.; Fiorina, P.; Tsokos, G.C.; Kasinath, V.; et al. Kidney-Draining Lymph Node Fibrosis Following Unilateral Ureteral Obstruction. Front. Immunol. 2021, 12, 768412. [Google Scholar] [CrossRef] [PubMed]
- Li, X.; Zhao, J.; Kasinath, V.; Uehara, M.; Jiang, L.; Banouni, N.; McGrath, M.M.; Fiorina, P.; Ichimura, T.; Abdi, R.; et al. Lymph node fibroblastic reticular cells deposit fibrosis-associated collagen following organ transplantation. J. Clin. Investig. 2020, 130, 4182–4194. [Google Scholar] [CrossRef] [PubMed]
- Maarouf, O.H.; Uehara, M.; Kasinath, V.; Solhjou, Z.; Banouni, N.; Bahmani, B.; Jiang, W.; Yilmam, O.A.; Guleria, I.; Abdi, R.; et al. Repetitive ischemic injuries to the kidneys result in lymph node fibrosis and impaired healing. JCI Insight 2018, 3, e120546. [Google Scholar] [CrossRef] [PubMed]
- Erofeeva, L.M.; Mnikhovich, M.V. Structural and Functional Changes in the Mesenteric Lymph Nodes in Humans during Aging. Bull. Exp. Biol. Med. 2020, 168, 694–698. [Google Scholar] [CrossRef] [PubMed]
- Julg, B.; Alter, G. Lymph node fibrosis: A structural barrier to unleashing effective vaccine immunity. J. Clin. Investig. 2018, 128, 2743–2745. [Google Scholar] [CrossRef] [PubMed]
- Demchenko, G.A.; Abdreshov, S.N.; Nurmakhanova, B.A. Contractile Activity of Lymph Nodes in Young, Middle-Aged, and Old Rats. Bull. Exp. Biol. Med. 2019, 167, 194–197. [Google Scholar] [CrossRef]
- Erofeeva, L.M.; Mnikhovich, M.V. Changes in the Structure and Cell Composition of Human Carinal Lymph Nodes during Aging. Bull. Exp. Biol. Med. 2018, 165, 702–706. [Google Scholar] [CrossRef]
- Tsakraklides, V.; Tsakraklides, E.; Good, R.A. An autopsy study of human axillary lymph node histology. Am. J. Pathol. 1975, 78, 7–22. [Google Scholar]
- Taniguchi, I.; Murakami, G.; Sato, A.; Fujiwara, D.; Ichikawa, H.; Yajima, T.; Kohama, G. Lymph node hyalinization in elderly Japanese. Histol. Histopathol. 2003, 18, 1169–1180. [Google Scholar]
- Thannickal, V.J.; Zhou, Y.; Gaggar, A.; Duncan, S.R. Fibrosis: Ultimate and proximate causes. J. Clin. Investig. 2014, 124, 4673–4677. [Google Scholar] [CrossRef]
- Thompson, H.L.; Smithey, M.J.; Surh, C.D.; Nikolich-Zugich, J. Functional and Homeostatic Impact of Age-Related Changes in Lymph Node Stroma. Front. Immunol. 2017, 8, 706. [Google Scholar] [CrossRef]
- Navarro, L.C.; Falcao-Junior, P.C.; de Rezende, A.S.M.; Vieira, R. Occult breast cancer associated with lymph node microcalcifications. Breast J. 2020, 26, 784–785. [Google Scholar] [CrossRef]
- Strijk, S.P. Lymph node calcification in malignant lymphoma. Presentation of nine cases and a review of the literature. Acta Radiol. Diagn. 1985, 26, 427–431. [Google Scholar] [CrossRef] [PubMed]
- Aydin, U. Tuberculous lymph node calcification detected on routine panoramic radiography: A case report. Dentomaxillofac. Radiol. 2003, 32, 252–254. [Google Scholar] [CrossRef]
- Hooley, R.; Lee, C.; Tocino, I.; Horowitz, N.; Carter, D. Calcifications in axillary lymph nodes caused by fat necrosis. AJR Am. J. Roentgenol. 1996, 167, 627–628. [Google Scholar] [CrossRef] [PubMed]
- Anderson, H.C. Calcification processes. Pathol. Annu. 1980, 15 Pt 2, 45–75. [Google Scholar] [PubMed]
- Jadidi, M.; Poulson, W.; Aylward, P.; MacTaggart, J.; Sanderfer, C.; Marmie, B.; Pipinos, M.; Kamenskiy, A. Calcification prevalence in different vascular zones and its association with demographics, risk factors, and morphometry. Am. J. Physiol. Heart Circ. Physiol. 2021, 320, H2313–H2323. [Google Scholar] [CrossRef] [PubMed]
- Tesauro, M.; Mauriello, A.; Rovella, V.; Annicchiarico-Petruzzelli, M.; Cardillo, C.; Melino, G.; Di Daniele, N. Arterial ageing: From endothelial dysfunction to vascular calcification. J. Intern. Med. 2017, 281, 471–482. [Google Scholar] [CrossRef]
- Kreel, L.; Sandin, B. Changes in pancreatic morphology associated with aging. Gut 1973, 14, 962–970. [Google Scholar] [CrossRef]
- Kaminski, A.; Hahne, J.C.; Haddouti, E.M.; Florin, A.; Wellmann, A.; Wernert, N. Tumour-stroma interactions between metastatic prostate cancer cells and fibroblasts. Int. J. Mol. Med. 2006, 18, 941–950. [Google Scholar] [CrossRef]
- Shoulders, M.D.; Raines, R.T. Collagen structure and stability. Annu. Rev. Biochem. 2009, 78, 929–958. [Google Scholar] [CrossRef]
- Murakami, G.; Taniguchi, I. Histologic heterogeneity and intranodal shunt flow in lymph nodes from elderly subjects: A cadaveric study. Ann. Surg. Oncol. 2004, 11 (Suppl. S3), 279S–284S. [Google Scholar] [CrossRef]
- Sainte-Marie, G.; Peng, F.S.; Belisle, C. Overall architecture and pattern of lymph flow in the rat lymph node. Am. J. Anat. 1982, 164, 275–309. [Google Scholar] [CrossRef] [PubMed]
- Roth, B.; Wissmeyer, M.P.; Zehnder, P.; Birkhäuser, F.D.; Thalmann, G.N.; Krause, T.M.; Studer, U.E. A new multimodality technique accurately maps the primary lymphatic landing sites of the bladder. Eur. Urol. 2010, 57, 205–211. [Google Scholar] [CrossRef] [PubMed]
- Mattei, A.; Fuechsel, F.G.; Dhar, N.B.; Warncke, S.H.; Thalmann, G.N.; Krause, T.; Studer, U.E. The template of the primary lymphatic landing sites of the prostate should be revisited: Results of a multimodality mapping study. Eur. Urol. 2008, 53, 118–125. [Google Scholar] [CrossRef] [PubMed]
- Zhao, L.; Wu, F.; Zhou, T.; Lu, K.; Jiang, K.; Zhang, Y.; Luo, D. Risk factors of skip lateral cervical lymph node metastasis in papillary thyroid carcinoma: A systematic review and meta-analysis. Endocrine 2022, 75, 351–359. [Google Scholar] [CrossRef] [PubMed]
- Wang, L.; Zhan, C.; Gu, J.; Xi, J.; Lin, Z.; Xue, L.; Ge, D.; Wang, Q. Role of Skip Mediastinal Lymph Node Metastasis for Patients with Resectable Non-small-cell Lung Cancer: A Propensity Score Matching Analysis. Clin. Lung Cancer 2019, 20, e346–e355. [Google Scholar] [CrossRef]
- Kim, D.H.; Choi, M.G.; Noh, J.H.; Sohn, T.S.; Bae, J.M.; Kim, S. Clinical significance of skip lymph node metastasis in gastric cancer patients. Eur. J. Surg. Oncol. 2015, 41, 339–345. [Google Scholar] [CrossRef]
- Tarin, T.V.; Power, N.E.; Ehdaie, B.; Sfakianos, J.P.; Silberstein, J.L.; Savage, C.J.; Sjoberg, D.; Dalbagni, G.; Bochner, B.H. Lymph node-positive bladder cancer treated with radical cystectomy and lymphadenectomy: Effect of the level of node positivity. Eur. Urol. 2012, 61, 1025–1030. [Google Scholar] [CrossRef]


| Age | Number of Patients | Examined LNs | ||
|---|---|---|---|---|
| ≤60 y | 72 | 18.50% | 927 | 17.90% |
| 61–70 y | 201 | 51.50% | 2668 | 51.60% |
| ≥71 y | 117 | 30.00% | 1578 | 30.50% |
| Total | 390 | 100% | 5173 | 100% |
| Structural Change | Over All | ≤60 Years | 61–70 Years | ≥71 Years | p | |
|---|---|---|---|---|---|---|
| LN size | <10 mm | 2701 (52.2%) | 458 (49.4%) | 1358 (50.9%) | 885 (56.1%) | |
| ≥10 mm | 2472 (47.8%) | 469 (50.6%) | 1310 (49.1%) | 693 (43.9%) | 0.001 * | |
| Framework fibrosis | none | 3614 (69.9%) | 726 (78.3%) | 1836 (68.8%) | 1052(66.7%) | |
| milde | 1224 (23.7%) | 154 (16.6%) | 674 (25.3%) | 396 (25.1%) | ||
| moderate | 308 (6.0%) | 43 (4.6%) | 141(5.3%) | 124 (7.9%) | ||
| high | 27 (0.5%) | 4 (0.4%) | 17 (0.6%) | 6 (0.4%) | <0.001 * | |
| Capsular fibrosis | with | 1814 (35.1%) | 273 (29.4%) | 929 (34.8%) | 612 (38.8%) | |
| without | 3359 (64.9%) | 645 (70.6%) | 1739 (65.2%) | 966 (61.2%) | <0.001 * | |
| Calcification | with | 2376 (45.9%) | 357 (38.5%) | 1230 (46.1%) | 789 (50.0%) | |
| without | 2797 (54.1%) | 570 (61.5%) | 1438 (53.9%) | 789 (50.0%) | <0.001 * | |
| Lipomatous atrophy | ≤30% | 3464 (67.0%) | 589 (63.5%) | 1852 (69.4%) | 1023 (64.8%) | |
| 31–60% | 678 (13.1%) | 111 (12.0%) | 323 (12.1%) | 244 (15.5%) | ||
| ≥61% | 1031 (19.9%) | 227 (24.5%) | 493 (18.5%) | 311 (19.7%) | <0.001 * | |
| Study | Patients | Age | LN (n) | Localization | Tumor/Non-Tumor | Reported Age-Related Morphological Changes |
|---|---|---|---|---|---|---|
| Hadamitzky | 41 | 17–98 | 41 | nm | non-tumor | Loss of lymphocytes/high endothelial venules, degree of fibrosis and lipomatosis |
| Pan | 7 | 81–98 | 161 | head and neck | nm | transparent LN |
| Erofeeva | 10 | 75–90 | nm | carinal/lower tracheo-bronchial | non-tumor | Thick edematous capsule, fibrous trabeculae located between the capsule and the node parenchyma, enlarged blood vessels, and a suppression of lymphocytopoietic function |
| Erofeeva | nm | 77 +/− 6.78 | 13 | mesenteric | non-tumor | Thickening of the capsule and trabeculae, proliferation of connective tissue around blood vessels and in the lymphoid parenchyma, lipomatosis of both cortical and medulla, decrease in the cell density in all structural components |
| Murakami | 42 | 68–95 | 419 | cervical, axillary, thoraxix, abdominal, pelvic, inguinal | non-tumor | Gaps in the cortex, fatty tissue infiltration, hyalinization |
| Tsakraklides | 487 | <16–>60 | 2250 | axillary | tumor/non-tumor | Hyaline deposits increase with age |
| Denz | 150 | nm | 300 | deep cervical, inguinal, bronchial, mesenteric, axillary | tumor/non-tumor | Differences in LN function and anatomical position, retrogression of lymphoid tissue commences at puberty, lipomatous atrophy depends on nutritional state, collagenous and fibrous change |
| Luscieti | nm | 0–90 | 243 | cervical, axillar, cubital, inguinal, popliteal, mesenteric | non-tumor | Differences in anatomical position in size, lympatic tissue, and lipomatous atrophy |
| Taniguchi | 27 + 12 | 72–95 | 519 | cervical, axillar, mediastinal, abdominal, pelvic | non-tumor | Differences in hyalinization (mediastinal vs. pelvic type) |
| Sato | 27 | 72–95 | 205 | abdominal, pelvic | non-tumor | Region-specific histological heterogeneity with gap formation and thickend trabeculae |
Disclaimer/Publisher’s Note: The statements, opinions and data contained in all publications are solely those of the individual author(s) and contributor(s) and not of MDPI and/or the editor(s). MDPI and/or the editor(s) disclaim responsibility for any injury to people or property resulting from any ideas, methods, instructions or products referred to in the content. |
© 2023 by the authors. Licensee MDPI, Basel, Switzerland. This article is an open access article distributed under the terms and conditions of the Creative Commons Attribution (CC BY) license (https://creativecommons.org/licenses/by/4.0/).
Share and Cite
Gödde, D.; Degener, S.; Walles, C.; Keller, R.; Graf, K.; Tosch, M.; Krege, S.; Musch, M.; Kvasnicka, H.M.; Ackermann, M.; et al. Degenerative Changes in Aging Human Pelvic Lymph Nodes—A Reason to Rethink Staging and Therapy of Regional Malignancies? Cancers 2023, 15, 4754. https://doi.org/10.3390/cancers15194754
Gödde D, Degener S, Walles C, Keller R, Graf K, Tosch M, Krege S, Musch M, Kvasnicka HM, Ackermann M, et al. Degenerative Changes in Aging Human Pelvic Lymph Nodes—A Reason to Rethink Staging and Therapy of Regional Malignancies? Cancers. 2023; 15(19):4754. https://doi.org/10.3390/cancers15194754
Chicago/Turabian StyleGödde, Daniel, Stephan Degener, Christine Walles, Rosalie Keller, Katharina Graf, Marco Tosch, Susanne Krege, Michael Musch, Hans Michael Kvasnicka, Maximilian Ackermann, and et al. 2023. "Degenerative Changes in Aging Human Pelvic Lymph Nodes—A Reason to Rethink Staging and Therapy of Regional Malignancies?" Cancers 15, no. 19: 4754. https://doi.org/10.3390/cancers15194754
APA StyleGödde, D., Degener, S., Walles, C., Keller, R., Graf, K., Tosch, M., Krege, S., Musch, M., Kvasnicka, H. M., Ackermann, M., Störkel, S., & von Rundstedt, F.-C. (2023). Degenerative Changes in Aging Human Pelvic Lymph Nodes—A Reason to Rethink Staging and Therapy of Regional Malignancies? Cancers, 15(19), 4754. https://doi.org/10.3390/cancers15194754

