Impact of Positive-Margin Resection of External Auditory Canal Squamous Cell Carcinoma
Abstract
:Simple Summary
Abstract
1. Introduction
2. Materials and Methods
2.1. Case Profiles (Table 1)
| n | % | Positive Margin Status (n) | |||
|---|---|---|---|---|---|
| Age | Median(range) | 33–83 (67.5) | 9 | ||
| Sex | Man | 15 | (37.5) | 4 | |
| Female | 25 | (62.5) | 5 | ||
| Side | Right | 20 | (50.0) | 8 | |
| Left | 20 | (50.0) | 1 | ||
| T | 1 | 1 | (2.5) | 0 | |
| 2 | 16 | (40.0) | 1 | ||
| 3 | 11 | (27.5) | 3 | ||
| 4 | Primary | 10 | (25.0) | 3 | |
| Recurrence | 2 | (5.0) | 2 | ||
| N | − | 29 | (72.5) | 7 | |
| + | 11 | (27.5) | 2 | ||
| Histology | w | 26 | (65.0) | 8 | |
| w-m | 10 | (25.0) | 0 | ||
| other | 4 | (10.0) | 1 | ||
| Surgery | LTBR | 34 | (85.0) | 5 | |
| STBR | 6 | (15.0) | 4 | ||
| Preoperative therapy | None | 28 | (70.0) | 7 | |
| IC | 8 | (20.0) | 1 | ||
| CRT | 1 | (2.5) | 0 | ||
| IC→CRT | 3 | (7.5) | 1 | ||
2.2. Treatment Strategy
2.3. Histopathological Examination
2.4. Statistical Analysis
3. Results
3.1. Impact of a Positive-Margin Resection
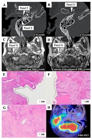
3.2. Illustrative Cases
3.2.1. Case 20
3.2.2. Case 11
3.2.3. Case 32
4. Discussion
5. Conclusions
Author Contributions
Funding
Institutional Review Board Statement
Informed Consent Statement
Data Availability Statement
Conflicts of Interest
References
- Moody, S.A.; Hirsch, B.E.; Myers, E.N. Squamous cell carcinoma of the external auditory canal: An evaluation of a staging system. Am. J. Otol. 2000, 21, 582–588. [Google Scholar]
- Nabuurs, C.H.; Kievit, W.; Labbe, N.; Leemans, C.R.; Smit, C.F.G.M.; Brekel, M.W.M.V.D.; Pauw, R.J.; Laan, B.F.A.M.; Jansen, J.C.; Lacko, M.; et al. Evaluation of the modified Pittsburgh classification for predicting the disease-free survival outcome of squamous cell carcinoma of the external auditory canal. Head Neck 2020, 42, 3609–3622. [Google Scholar] [CrossRef]
- Nabuurs, C.H.; Kievit, W.; Leemans, C.R.; Smit, C.F.G.M.; Brekel, M.W.M.V.D.; Pauw, R.J.; van der Laan, B.F.A.M.; Jansen, J.C.; Lacko, M.; Braunius, W.W.; et al. Evaluation of subclasses for T4-classified squamous cell carcinoma of the external auditory canal. Head Neck 2022, 44, 1787–1798. [Google Scholar] [CrossRef] [PubMed]
- Shinomiya, H.; Uehara, N.; Fujita, T.; Yoshida, K.; Imamura, Y.; Teshima, M.; Kimura, H.; Miyawaki, D.; Kakigi, A.; Kiyota, N.; et al. New proposal to revise the classification for squamous cell carcinoma of the external auditory canal and middle ear. J. Laryngol. Otol. 2021, 135, 297–303. [Google Scholar] [CrossRef] [PubMed]
- Shiga, K.; Nibu, K.I.; Fujimoto, Y.; Asakage, T.; Homma, A.; Mitani, H.; Ogawa, T.; Okami, K.; Murono, S.; Hirano, S.; et al. Multi-institutional Survey of Squamous Cell Carcinoma of the External Auditory Canal in Japan. Laryngoscope 2021, 131, E870–E874. [Google Scholar] [CrossRef] [PubMed]
- Takenaka, Y.; Cho, H.; Nakahara, S.; Yamamoto, Y.; Yasui, T.; Inohara, H. Chemoradiation therapy for squamous cell carcinoma of the external auditory canal: A meta-analysis. Head Neck 2015, 37, 1073–1080. [Google Scholar] [CrossRef]
- Higgins, T.S.; Antonio, S.A. The role of facial palsy in staging squamous cell carcinoma of the temporal bone and external auditory canal: A comparative survival analysis. Otol. Neurotol. 2010, 31, 1473–1479. [Google Scholar] [CrossRef]
- Saijo, K.; Ueki, Y.; Tanaka, R.; Yokoyama, Y.; Omata, J.; Takahashi, T.; Ota, H.; Shodo, R.; Yamazaki, K.; Togashi, T.; et al. Treatment Outcome of External Auditory Canal Carcinoma: The Utility of Lateral Temporal Bone Resection. Front. Surg. 2021, 8, 708245. [Google Scholar] [CrossRef]
- Pfreundner, L.; Schwager, K.; Willner, J.; Baier, K.; Bratengeier, K.; Brunner, F.X.; Flentje, M. Carcinoma of the external auditory canal and middle ear. Int. J. Radiat. Oncol. Biol. Phys. 1999, 44, 777–788. [Google Scholar] [CrossRef]
- Nakagawa, T.; Kumamoto, Y.; Natori, Y.; Shiratsuchi, H.; Toh, S.; Kakazu, Y.; Shibata, S.; Nakashima, T.; Komune, S. Squamous cell carcinoma of the external auditory canal and middle ear: An operation combined with preoperative chemoradiotherapy and a free surgical margin. Otol. Neurotol. 2006, 27, 242–248; discussion 249. [Google Scholar] [CrossRef]
- Gillespie, M.B.; Francis, H.W.; Chee, N.; Eisele, D.W. Squamous cell carcinoma of the temporal bone: A radiographic-pathologic correlation. Arch Otolaryngol. Head Neck Surg. 2001, 127, 803–807. [Google Scholar]
- Arriaga, M.; Hirsch, B.E.; Kamerer, D.B.; Myers, E.N. Squamous cell carcinoma of the external auditory meatus (canal). Otolaryngol. Head. Neck Surg. 1989, 101, 330–337. [Google Scholar] [CrossRef]
- Komune, N.; Kuga, D.; Miki, K.; Nakagawa, T. Variations of en Bloc Resection for Advanced External Auditory Canal Squamous Cell Carcinoma: Detailed Anatomical Considerations. Cancers 2021, 13, 4556. [Google Scholar] [CrossRef] [PubMed]
- Slootweg, P.J.; Gnepp, D.R. Guidelines for the dissection of head and neck specimens. In Diagnostic Surgical Pathology of the Head and Neck, 2nd ed.; Gnepp, D.R., Ed.; Saunders: Philadelphia, PA, USA, 2009; pp. 1145–1155. [Google Scholar]
- Li, M.M.; Puram, S.V.; Silverman, D.A.; Old, M.O.; Rocco, J.W.; Kang, S.Y. Margin Analysis in Head and Neck Cancer: State of the Art and Future Directions. Ann. Surg. Oncol. 2019, 26, 4070–4080. [Google Scholar] [CrossRef]
- Mazzoni, A.; Cazzador, D.; Marioni, G.; Zanoletti, E. Treatment of advanced squamous cell carcinoma of the external auditory canal: Critical analysis of persistent failures in diagnosis and surgery with a competing-risk model. Head Neck 2022, 44, 1918–1926. [Google Scholar] [CrossRef]
- Leonetti, J.P.; Smith, P.G.; Kletzker, G.R.; Izquierdo, R. Invasion patterns of advanced temporal bone malignancies. Am. J. Otol. 1996, 17, 438–442. [Google Scholar] [PubMed]
- Correia-Rodrigues, P.; Ramalho, S.; Montalvao, P.; Magalhaes, M. External auditory canal carcinoma: Clinical characteristics and long-term treatment outcomes. Eur Arch Otorhinolaryngol. 2020, 277, 2709–2720. [Google Scholar] [CrossRef] [PubMed]
- Shinomiya, H.; Uehara, N.; Teshima, M.; Kakigi, A.; Otsuki, N.; Nibu, K.I. Clinical management for T1 and T2 external auditory canal cancer. Auris Nasus Larynx 2019, 46, 785–789. [Google Scholar] [CrossRef]
- Ng, S.Y.; Pua, K.C.; Zahirrudin, Z. Temporal bone squamous cell carcinoma—Penang experience. Med. J. Malaysia 2015, 70, 367–368. [Google Scholar]
- Miyazaki, M.; Aoki, M.; Okado, Y.; Koga, K.; Hamasaki, M.; Kiyomi, F.; Sakata, T.; Nakagawa, T.; Nabeshima, K. Poorly Differentiated Clusters Predict a Poor Prognosis for External Auditory Canal Carcinoma. Head Neck Pathol. 2019, 13, 198–207. [Google Scholar] [CrossRef]
- Okado, Y.; Aoki, M.; Hamasaki, M.; Koga, K.; Sueta, T.; Shiratsuchi, H.; Oda, Y.; Nakagawa, T.; Nabeshima, K. Tumor budding and laminin5-gamma2 in squamous cell carcinoma of the external auditory canal are associated with shorter survival. Springerplus 2015, 4, 814. [Google Scholar] [CrossRef]
- Hase, K.; Shatney, C.; Johnson, D.; Trollope, M.; Vierra, M. Prognostic value of tumor “budding” in patients with colorectal cancer. Dis. Colon Rectum. 1993, 36, 627–635. [Google Scholar] [CrossRef] [PubMed]
- Miyazaki, M.; Aoki, M.; Okado, Y.; Koga, K.; Hamasaki, M.; Nakagawa, T.; Sakata, T.; Nabeshima, K. Highly expressed tumoral emmprin and stromal CD73 predict a poor prognosis for external auditory canal carcinoma. Cancer Sci. 2020, 111, 3045–3056. [Google Scholar] [CrossRef]
- Caudroy, S.; Polette, M.; Tournier, J.M.; Burlet, H.; Toole, B.; Zucker, S.; Birembaut, P. Expression of the extracellular matrix metalloproteinase inducer (EMMPRIN) and the matrix metalloproteinase-2 in bronchopulmonary and breast lesions. J. Histochem. Cytochem. 1999, 47, 1575–1580. [Google Scholar] [CrossRef] [PubMed]
- Polette, M.; Gilles, C.; Marchand, V.; Lorenzato, M.; Toole, B.; Tournier, J.-M.; Zucker, S.; Birembaut, P. Tumor collagenase stimulatory factor (TCSF) expression and localization in human lung and breast cancers. J. Histochem. Cytochem. 1997, 45, 703–709. [Google Scholar] [CrossRef] [PubMed]
- Meireles Da Costa, N.; Mendes, F.A.; Pontes, B.; Nasciutti, L.E.; Ribeiro Pinto, L.F.; Palumbo Junior, A. Potential Therapeutic Significance of Laminin in Head and Neck Squamous Carcinomas. Cancers 2021, 13, 1890. [Google Scholar] [CrossRef] [PubMed]
- Wu, J.; Ru, N.Y.; Zhang, Y.; Li, Y.; Wei, D.; Ren, Z.; Huang, X.-F.; Chen, Z.-N.; Bai, H. HAb18G/CD147 promotes epithelial-mesenchymal transition through TGF-beta signaling and is transcriptionally regulated by Slug. Oncogene 2011, 30, 4410–4427. [Google Scholar] [CrossRef]
- Song, H.; Liu, D.; Dong, S.; Zeng, L.; Wu, Z.; Zhao, P.; Zhang, L.; Chen, Z.-S.; Zou, C. Epitranscriptomics and epiproteomics in cancer drug resistance: Therapeutic implications. Signal. Transduct. Target Ther. 2020, 5, 193. [Google Scholar] [CrossRef]
- Weadick, B.; Nayak, D.; Persaud, A.K.; Hung, S.W.; Raj, R.; Campbell, M.J.; Chen, W.; Li, J.; Williams, T.M.; Govindarajan, R. EMT-Induced Gemcitabine Resistance in Pancreatic Cancer Involves the Functional Loss of Equilibrative Nucleoside Transporter 1. Mol. Cancer Ther. 2021, 20, 410–422. [Google Scholar] [CrossRef]
- Takaoka, Y.; Konno, M.; Koseki, J.; Colvin, H.; Asai, A.; Tamari, K.; Satoh, T.; Mori, M.; Doki, Y.; Ogawa, J.; et al. Mitochondrial pyruvate carrier 1 expression controls cancer epithelial-mesenchymal transition and radioresistance. Cancer Sci. 2019, 110, 1331–1339. [Google Scholar] [CrossRef]
- Luo, M.; Wu, C.; Guo, E.; Peng, S.; Zhang, L.; Sun, W.; Liu, D.; Hu, G.; Hu, G. FOXO3a knockdown promotes radioresistance in nasopharyngeal carcinoma by inducing epithelial-mesenchymal transition and the Wnt/beta-catenin signaling pathway. Cancer Lett. 2019, 455, 26–35. [Google Scholar] [CrossRef]
- Zanoletti, E.; Marioni, G.; Stritoni, P.; Lionello, M.; Giacomelli, L.; Martini, A.; Mazzoni, A. Temporal bone squamous cell carcinoma: Analyzing prognosis with univariate and multivariate models. Laryngoscope 2014, 124, 1192–1198. [Google Scholar] [CrossRef]
- Zhang, T.; Li, W.; Dai, C.; Chi, F.; Wang, S.; Wang, Z. Evidence-based surgical management of T1 or T2 temporal bone malignancies. Laryngoscope 2013, 123, 244–248. [Google Scholar] [CrossRef]
- George, M.; Borsotti, F.; Gereige, R.; Kolethekkat, A.; Das, A.; Messerer, M.; Mahasampath, G.; Simon, C. A systematic review of the primary squamous cell carcinoma of the external auditory canal: Survival outcome based on T-staging and proposal of a new classification. J. Laryngol. Otol. 2021, 135, 96–103. [Google Scholar] [CrossRef]
- McCracken, M.; Pai, K.; Cabrera, C.I.; Johnson, B.R.; Tamaki, A.; Gidley, P.W.; Manzoor, N.F. Temporal Bone Resection for Squamous Cell Carcinoma of the Lateral Skull Base: Systematic Review and Meta-analysis. Otolaryngol. Head Neck Surg. 2022, 168, 154–164. [Google Scholar] [CrossRef]
- Komune, N.; Kuga, D.; Matsuo, S.; Miyazaki, M.; Noda, T.; Sato, K.; Hongo, T.; Koike, K.; Uchi, R.; Kogo, R.; et al. Clinical Analysis of En Bloc Resection for Advanced Temporal Bone Squamous Cell Carcinoma. J. Neurol. Surg. Part B 2021, 83 (Suppl. S2), e40–e48. [Google Scholar] [CrossRef]
- Komune, N.; Noda, T.; Kogo, R.; Miyazaki, M.; Tsuchihashi, N.A.; Hongo, T.; Koike, K.; Sato, K.; Uchi, R.; Wakasaki, T.; et al. Primary Advanced Squamous Cell Carcinoma of the Temporal Bone: A Single-Center Clinical Study. Laryngoscope 2020, 131, E583–E589. [Google Scholar] [CrossRef] [PubMed]
- Patil, V.M.; Prabhash, K.; Noronha, V.; Joshi, A.; Muddu, V.; Dhumal, S.; Arya, S.; Juvekar, S.; Chaturvedi, P.; Chaukar, D.; et al. Neoadjuvant chemotherapy followed by surgery in very locally advanced technically unresectable oral cavity cancers. Oral Oncol. 2014, 50, 1000–1004. [Google Scholar] [CrossRef] [PubMed]
- Rudresha, A.H.; Chaudhuri, T.; Lakshmaiah, K.C.; Babu, K.G.; Dasappa, L.; Jacob, L.A.; Suresh Babu, M.C.; Lokesh, K.N.; Rajeev, L.K. Induction chemotherapy in locally advanced T4b oral cavity squamous cell cancers: A regional cancer center experience. Indian J. Cancer. 2017, 54, 35–38. [Google Scholar] [PubMed]
- Joshi, A.; Patil, V.M.; Noronha, V.; Juvekar, S.; Deshmukh, A.; Chatturvedi, P.; Chaukar, D.A.; Agarwal, J.P.; Ghosh, S.; Murthy, V.; et al. Is there a role of induction chemotherapy followed by resection in T4b oral cavity cancers? Indian J. Cancer 2013, 50, 349–355. [Google Scholar]
- Joshi, A.; Tandon, N.; Noronha, V.; Dhumal, S.; Patil, V.; Arya, S.; Juvekar, S.; Agarwal, J.; DCruz, A.; Pai, P.; et al. Neoadjuvant chemotherapy in technically unresectable carcinoma of external auditory canal. Indian J. Med. Paediatr. Oncol. 2015, 36, 172–175. [Google Scholar] [CrossRef] [PubMed]




| # | Treatment | Surgical Type | TNM Stage | Pathological Evaluation (v, ly, pn) | Preoperative assessment of tumor extension | Margin | Rec. | ||||||||||||||||||||
|---|---|---|---|---|---|---|---|---|---|---|---|---|---|---|---|---|---|---|---|---|---|---|---|---|---|---|---|
| Clinical | Pathologic | External Auditory Canal | Full Thickness Invasion | Middle Ear | Mastoid Fluid | FN Paralysis | Fallopian Canal | Glenoid Fossa | Mandibular Condyle | Stylomastoid Foramen | Parotid Gland | Pterygoid Muscle | Middle Cranial Fossa | Jugular Process | Jugular Foramen | Eustachian Tube | Ossicles | Skin | Parapharyngeal Space | ||||||||
| T | N | T | N | ||||||||||||||||||||||||
| 11 | Surgery * | cLTBR | 2 | 2 b | m3 | 0 | 1, 0, 1 | + | + | N | |||||||||||||||||
| 20 | Surgery * | a–eLTBR | 3 | 0 | 3 | 0 | 0, 0, 0 | + | + | + | + | + | ★ | + | T | ||||||||||||
| 24 | Surgery * | a–eLTBR | 3 | 0 | 3 | 1 | 0, 0, 1 | + | + | + | + | + | + | + | |||||||||||||
| 26 | Surgery * | cLTBR | 3 | 1 | 3 | 0 | 0, 0, 0 | + | + | + | |||||||||||||||||
| 32 | IC + CRT→Surgery | mSTBR | 4 | 0 | y4 | 0 | 2, 0, 2 | + | + | + | + | + | + | N,M | |||||||||||||
| 33 | IC→Surgery * | a/i-eLTBR | 4 | 0 | y4 | 3 b | 1, 1, 0 | + | + | + | + | + | N,M | ||||||||||||||
| 34 | Surgery * | cSTBR | 4 | 0 | 4 | 3 b | 0, 0, 0 | + | + | + | + | + | + | + | + | + | + | + | + | + | + | + | + | + | + | T | |
| 39 | Surgery | mSTBR | r4 | 0 | r3 | 0 | 0, 0, 2 | P.O. | P.O. | P.O. | + | + | + | + | P.O. | + | + | N | |||||||||
| 40 | Surgery | mSTBR | r4 | 0 | r4 | 0 | 0, 0, 0 | + | + | + | + | ★ | + | + | + | T | |||||||||||
| HR | 95% CI | p Value | ||
|---|---|---|---|---|
| Age | (65≤/65> years) | 0.37 | 0.10–1.34 | 0.118 |
| Sex | (Male/Female) | 0.68 | 0.17–2.63 | 0.575 |
| Side | (Rgt/Left) | 4.61 | 0.98–21.75 | 0.054 |
| Nodal involvement | 0.60 | 0.13-2.83 | 0.52 | |
| Margin status | (Positive/Negative) | 16.45 | 3.90–111.69 | 0.0006 |
| T stage | (T4/T1-3) | 7.38 | 1.89–28.77 | 0.004 |
Disclaimer/Publisher’s Note: The statements, opinions and data contained in all publications are solely those of the individual author(s) and contributor(s) and not of MDPI and/or the editor(s). MDPI and/or the editor(s) disclaim responsibility for any injury to people or property resulting from any ideas, methods, instructions or products referred to in the content. |
© 2023 by the authors. Licensee MDPI, Basel, Switzerland. This article is an open access article distributed under the terms and conditions of the Creative Commons Attribution (CC BY) license (https://creativecommons.org/licenses/by/4.0/).
Share and Cite
Komune, N.; Kuga, R.; Hongo, T.; Kuga, D.; Sato, K.; Nakagawa, T. Impact of Positive-Margin Resection of External Auditory Canal Squamous Cell Carcinoma. Cancers 2023, 15, 4289. https://doi.org/10.3390/cancers15174289
Komune N, Kuga R, Hongo T, Kuga D, Sato K, Nakagawa T. Impact of Positive-Margin Resection of External Auditory Canal Squamous Cell Carcinoma. Cancers. 2023; 15(17):4289. https://doi.org/10.3390/cancers15174289
Chicago/Turabian StyleKomune, Noritaka, Ryosuke Kuga, Takahiro Hongo, Daisuke Kuga, Kuniaki Sato, and Takashi Nakagawa. 2023. "Impact of Positive-Margin Resection of External Auditory Canal Squamous Cell Carcinoma" Cancers 15, no. 17: 4289. https://doi.org/10.3390/cancers15174289
APA StyleKomune, N., Kuga, R., Hongo, T., Kuga, D., Sato, K., & Nakagawa, T. (2023). Impact of Positive-Margin Resection of External Auditory Canal Squamous Cell Carcinoma. Cancers, 15(17), 4289. https://doi.org/10.3390/cancers15174289

