Contrast-Enhanced Liver Magnetic Resonance Image Synthesis Using Gradient Regularized Multi-Modal Multi-Discrimination Sparse Attention Fusion GAN
Abstract
Simple Summary
Abstract
1. Introduction
2. Methods
2.1. Data and Preprocessing
2.2. Overall Pipeline
2.3. Baseline Conditional GAN Model
2.4. Sparse Attention Fusion
2.5. Gradient Regularization Mechanism
2.6. Multi-Discrimination Mechanism
2.7. Objective and Optimization
3. Model Evaluation
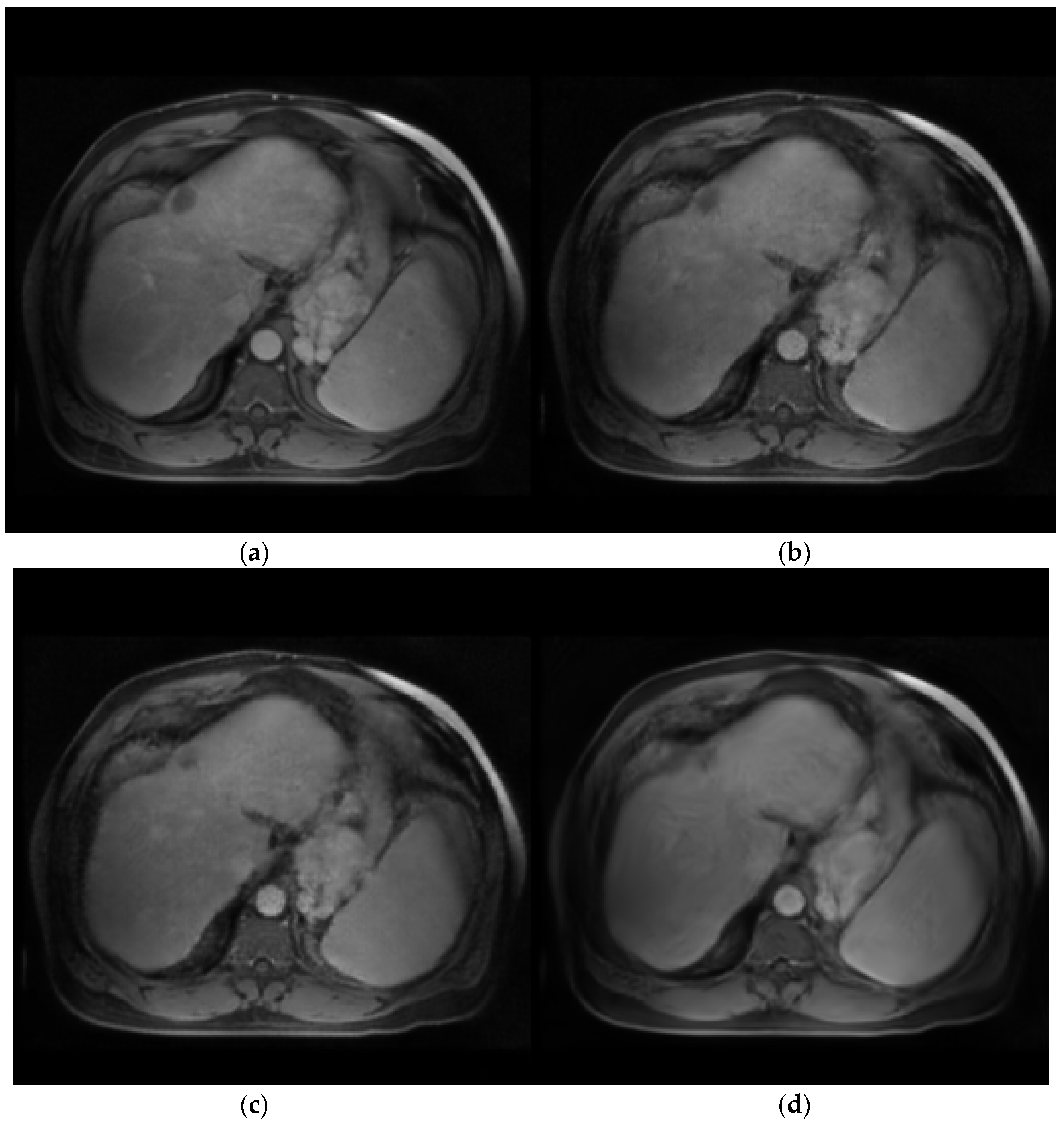
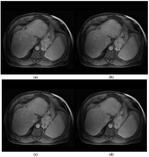
4. Results
5. Discussion
6. Conclusions
Author Contributions
Funding
Institutional Review Board Statement
Informed Consent Statement
Data Availability Statement
Conflicts of Interest
References
- Key Statistics about Liver Cancer. Available online: https://www.cancer.org/cancer/liver-cancer/about/what-is-key-statistics.html (accessed on 1 July 2023).
- Chartampilas, E.; Rafailidis, V.; Georgopoulou, V.; Kalarakis, G.; Hatzidakis, A.; Prassopoulos, P. Current Imaging Diagnosis of Hepatocellular Carcinoma. Cancers 2022, 14, 3997. [Google Scholar] [CrossRef]
- Zhao, D.; Cao, J.; Zhang, L.; Zhang, S.; Wu, S. Targeted Molecular Imaging Probes Based on Magnetic Resonance Imaging for Hepatocellular Carcinoma Diagnosis and Treatment. Biosensors 2022, 12, 342. [Google Scholar] [CrossRef]
- European Association for the Study of the Liver. EASL 2017 Clinical Practice Guidelines on the management of hepatitis B virus infection. J. Hepatol. 2017, 67, 370–398. [Google Scholar]
- Gordan, J.D.; Kennedy, E.B.; Abou-Alfa, G.K.; Beg, M.S.; Brower, S.T.; Gade, T.P.; Goff, L.; Gupta, S.; Guy, J.; Harris, W.P.; et al. Systemic Therapy for Advanced Hepatocellular Carcinoma: ASCO Guideline. J. Clin. Oncol. 2020, 38, 4317–4345. [Google Scholar] [CrossRef] [PubMed]
- Heimbach, J.K.; Kulik, L.M.; Finn, R.S.; Sirlin, C.B.; Abecassis, M.M.; Roberts, L.R.; Zhu, A.X.; Murad, M.H.; Marrero, J.A. AASLD guidelines for the treatment of hepatocellular carcinoma. Hepatology 2018, 67, 358–380. [Google Scholar] [PubMed]
- Zhang, X.-F.; Lai, L.; Zhou, H.; Mo, Y.-J.; Lu, X.-Q.; Liu, M.; Lu, Y.-X.; Hou, E.-C. Stereotactic body radiotherapy plus transcatheter arterial chemoembolization for inoperable hepatocellular carcinoma patients with portal vein tumour thrombus: A meta-analysis. PLoS ONE 2022, 17, e0268779. [Google Scholar] [CrossRef]
- Lewis, S.; Barry, A.; Hawkins, M. Hypofractionation in Hepatocellular Carcinoma—The Effect of Fractionation Size. Clin. Oncol. 2022, 34, e195–e209. [Google Scholar] [CrossRef]
- Velec, M.; Moseley, J.L.; Svensson, S.; Hårdemark, B.; Jaffray, D.A.; Brock, K.K. Validation of biomechanical deformable image registration in the abdomen, thorax, and pelvis in a commercial radiotherapy treatment planning system. Med. Phys. 2017, 44, 3407–3417. [Google Scholar] [CrossRef]
- Sadowski, E.A.; Bennett, L.K.; Chan, M.R.; Wentland, A.; Garrett, A.L.; Garrett, R.W.; Djamali, A. Nephrogenic Systemic Fibrosis: Risk Factors and Incidence Estimation. Radiology 2007, 243, 148–157. [Google Scholar] [CrossRef]
- Wahsner, J.; Gale, E.M.; Rodríguez-Rodríguez, A.; Caravan, P. Chemistry of MRI Contrast Agents: Current Challenges and New Frontiers. Chem. Rev. 2018, 119, 957–1057. [Google Scholar] [CrossRef]
- Kleesiek, J.; Morshuis, J.N.; Isensee, F.; Deike-Hofmann, K.; Paech, D.; Kickingereder, P.; Köthe, U.; Rother, C.; Forsting, M.; Wick, W.; et al. Can virtual contrast enhancement in brain MRI replace gadolinium?: A feasibility study. Investig. Radiol. 2019, 54, 653–660. [Google Scholar]
- Slack, A.; Yeoman, A.; Wendon, J. Renal dysfunction in chronic liver disease. Crit. Care 2010, 14, 214. [Google Scholar] [CrossRef] [PubMed]
- Marckmann, P.; Skov, L.; Rossen, K.; Dupont, A.; Damholt, M.B.; Heaf, J.G.; Thomsen, H.S. Nephrogenic systemic fibrosis: Suspected causative role of gadodiamide used for contrast-enhanced magnetic resonance imaging. J. Am. Soc. Nephrol. 2006, 17, 2359–2362. [Google Scholar] [PubMed]
- Thomsen, H.S.; Morcos, S.K.; Dawson, P. Is there a causal relation between the administration of gadolinium based contrast media and the development of nephrogenic systemic fibrosis (NSF)? Clin. Radiol. 2006, 61, 905–906. [Google Scholar]
- Montalt-Tordera, J.; Quail, M.; Steeden, J.A.; Muthurangu, V. Reducing Contrast Agent Dose in Cardiovascular MR Angiography with Deep Learning. J. Magn. Reson. Imaging 2021, 54, 795–805. [Google Scholar] [CrossRef] [PubMed]
- Lee, G.; Fujita, H. (Eds.) Deep Learning in Medical Image Analysis: Challenges and Applications; Springer: Cham, Switzerland, 2020. [Google Scholar]
- Goodfellow, I.; Pouget-Abadie, J.; Mirza, M.; Xu, B.; Warde-Farley, D.; Ozair, S.; Courville, A.; Bengio, Y. Generative adversarial nets. In Advances in Neural Information Processing Systems; Ghahramani, Z., Welling, M., Cortes, C., Lawrence, N., Weinberger, K.Q., Eds.; Neural Information Processing Systems Foundation, Inc. (NeurIPS): La Jolla, CA, USA, 2014; Volume 27, pp. 1–9. [Google Scholar]
- Mirza, M.; Osindero, S. Conditional generative adversarial nets. arXiv 2014, arXiv:1411.1784. [Google Scholar]
- Isola, P.; Zhu, J.Y.; Zhou, T.; Efros, A.A. Image-to-image translation with conditional adversarial networks. In Proceedings of the IEEE Conference on Computer Vision and Pattern Recognition (CVPR), Honolulu, HI, USA, 21–26 July 2017; pp. 1125–1134. [Google Scholar]
- Zhu, J.-Y.; Park, T.; Isola, P.; Efros, A.A. Unpaired image-to-image translation using cycle-consistent adversarial networks. In Proceedings of the IEEE International Conference on Computer Vision, Venice, Italy, 22–29 October 2017; pp. 2223–2232. [Google Scholar]
- Wolterink, J.M.; Leiner, T.; Viergever, M.A.; Isgum, I. Generative Adversarial Networks for Noise Reduction in Low-Dose CT. IEEE Trans. Med. Imaging 2017, 36, 2536–2545. [Google Scholar] [CrossRef]
- Huang, Z.; Liu, X.; Wang, R.; Chen, J.; Lu, P.; Zhang, Q.; Jiang, C.; Yang, Y.; Liu, X.; Zheng, H.; et al. Considering anatomical prior information for low-dose CT image enhancement using attribute-augmented wasserstein generative adversarial networks. Neurocomputing 2021, 428, 104–115. [Google Scholar]
- Bai, T.; Du, M.; Zhang, L.; Ren, L.; Ruan, L.; Yang, Y.; Qian, G.; Meng, Z.; Zhaov, L.; Deen, M.J. A novel Alzheimer’s disease detection approach using GAN-based brain slice image enhancement. Neurocomputing 2022, 492, 353–369. [Google Scholar] [CrossRef]
- Li, Y.; Iwamoto, Y.; Lin, L.; Xu, R.; Tong, R.; Chen, Y.-W. VolumeNet: A Lightweight Parallel Network for Super-Resolution of MR and CT Volumetric Data. IEEE Trans. Image Process. 2021, 30, 4840–4854. [Google Scholar] [CrossRef]
- You, C.; Cong, W.; Vannier, M.W.; Saha, P.K.; Hoffman, E.A.; Wang, G.; Li, G.; Zhang, Y.; Zhang, X.; Shan, H.; et al. CT Super-Resolution GAN Constrained by the Identical, Residual, and Cycle Learning Ensemble (GAN-CIRCLE). IEEE Trans. Med. Imaging 2019, 39, 188–203. [Google Scholar] [CrossRef] [PubMed]
- Nie, D.; Trullo, R.; Lian, J.; Wang, L.; Petitjean, C.; Ruan, S.; Wang, Q.; Shen, D. Medical Image Synthesis with Deep Convolutional Adversarial Networks. IEEE Trans. Biomed. Eng. 2018, 65, 2720–2730. [Google Scholar] [CrossRef] [PubMed]
- Boni, K.N.D.B.; Klein, J.; Vanquin, L.; Wagner, A.; Lacornerie, T.; Pasquier, D.; Reynaert, N. MR to CT synthesis with multicenter data in the pelvic area using a conditional generative adversarial network. Phys. Med. Biol. 2020, 65, 075002. [Google Scholar] [CrossRef]
- Dar, S.U.; Yurt, M.; Karacan, L.; Erdem, A.; Erdem, E.; Cukur, T. Image Synthesis in Multi-Contrast MRI With Conditional Generative Adversarial Networks. IEEE Trans. Med. Imaging 2019, 38, 2375–2388. [Google Scholar] [CrossRef]
- Kim, S.; Jang, H.; Hong, S.; Hong, Y.S.; Bae, W.C.; Kim, S.; Hwang, D. Fat-saturated image generation from multi-contrast MRIs using generative adversarial networks with Bloch equation-based autoencoder regularization. Med. Image Anal. 2021, 73, 102198. [Google Scholar] [CrossRef] [PubMed]
- Denck, J.; Guehring, J.; Maier, A.; Rothgang, E. MR-contrast-aware image-to-image translations with generative adversarial networks. Int. J. Comput. Assist. Radiol. Surg. 2021, 16, 2069–2078. [Google Scholar] [CrossRef]
- Chartsias, A.; Joyce, T.; Giuffrida, M.V.; Tsaftaris, S.A. Multi-modal MR synthesis via modality-invariant latent representation. IEEE Trans. Med. Imaging 2017, 37, 803–814. [Google Scholar]
- Zhan, B.; Li, D.; Wang, Y.; Ma, Z.; Wu, X.; Zhou, J.; Zhou, L. LR-cGAN: Latent representation based conditional generative adversarial network for multi-modality MRI synthesis. Biomed. Signal Process. Control 2021, 66, 102457. [Google Scholar]
- Zhou, T.; Fu, H.; Chen, G.; Shen, J.; Shao, L. Hi-Net: Hybrid-Fusion Network for Multi-Modal MR Image Synthesis. IEEE Trans. Med. Imaging 2020, 39, 2772–2781. [Google Scholar] [CrossRef]
- Li, W.; Xiao, H.; Li, T.; Ren, G.; Lam, S.; Teng, X.; Liu, C.; Zhang, J.; Lee, F.K.-H.; Au, K.-H.; et al. Virtual Contrast-Enhanced Magnetic Resonance Images Synthesis for Patients with Nasopharyngeal Carcinoma Using Multimodality-Guided Synergistic Neural Network. Int. J. Radiat. Oncol. 2021, 112, 1033–1044. [Google Scholar] [CrossRef]
- Yurt, M.; Dar, S.U.; Erdem, A.; Erdem, E.; Oguz, K.K.; Çukur, T. mustGAN: Multi-stream Generative Adversarial Networks for MR Image Synthesis. Med. Image Anal. 2021, 70, 101944. [Google Scholar] [CrossRef] [PubMed]
- Johnson, J.; Alahi, A.; Fei-Fei, L. Perceptual losses for real-time style transfer and super-resolution. In Proceedings of the European Conference on Computer Vision, Amsterdam, The Netherland, 8–16 October 2016; Springer: Berlin/Heidelberg, Germany, 2016; pp. 694–711. [Google Scholar]
- Jin, X.; Chen, Z.; Li, W. AI-GAN: Asynchronous interactive generative adversarial network for single image rain removal. Pattern Recognit. 2020, 100, 107143. [Google Scholar] [CrossRef]
- Jiao, C.; Chen, C.; Gou, S.; Wang, X.; Yang, B.; Chen, X.; Jiao, L. L1 Sparsity-Regularized Attention Multiple-Instance Network for Hyperspectral Target Detection. IEEE Trans. Cybern. 2021, 53, 124–137. [Google Scholar]
- Gou, S.; Liu, W.; Jiao, C.; Liu, H.; Gu, Y.; Zhang, X.; Lee, J.; Jiao, L. Gradient regularized convolutional neural networks for low-dose CT image enhancement. Phys. Med. Biol. 2019, 64, 165017. [Google Scholar] [CrossRef]
- Sobel, I.; Feldman, G. An isotropic 3 × 3 image gradient operator. In Machine Vision for Three-Dimensional Scenes; Academic Press: San Diego, CA, USA, 1990; pp. 376–379. [Google Scholar]
- Yu, B.; Zhou, L.; Wang, L.; Shi, Y.; Fripp, J.; Bourgeat, P. Ea-GANs: Edge-Aware Generative Adversarial Networks for Cross-Modality MR Image Synthesis. IEEE Trans. Med. Imaging 2019, 38, 1750–1762. [Google Scholar] [CrossRef]
- Wang, T.C.; Liu, M.Y.; Zhu, J.Y.; Tao, A.; Kautz, J.; Catanzaro, B. High-Resolution Image Synthesis and Semantic Manipulation with Conditional GANs. In Proceedings of the IEEE Conference on Computer Vision and Pattern Recognition, Salt Lake City, UT, USA, 18–23 June 2018; pp. 8798–8807. [Google Scholar]
- Durugkar, I.; Gemp, I.; Mahadevan, S. Generative Multi-Adversarial Networks. arXiv 2017, arXiv:1611.01673. [Google Scholar]
- Lowe, D.G. Object recognition from local scale-invariant features. In Proceedings of the Seventh IEEE International Conference on Computer Vision, Kerkyra, Greece, 20–27 September 1999; Volume 2, pp. 1150–1157. [Google Scholar]
- Lowe, D.G. Distinctive Image Features from Scale-Invariant Keypoints. Int. J. Comput. Vis. 2004, 60, 91–110. [Google Scholar] [CrossRef]
- Turing, A.M. Computing Machinery and Intelligence. In Parsing the Turing Test: Philosophical and Methodological Issues in the Quest for the Thinking Computer; Epstein, R., Roberts, G., Beber, G., Eds.; Springer: Dordrecht, The Netherlands, 2009; pp. 23–65. [Google Scholar]
- Xie, H.; Lei, Y.; Wang, T.; Roper, J.; Axente, M.; Bradley, J.D.; Liu, T.; Yang, X. Magnetic resonance imaging contrast enhancement synthesis using cascade networks with local supervision. Med. Phys. 2022, 49, 3278–3287. [Google Scholar] [CrossRef]
- Zhao, J.; Li, D.; Kassam, Z.; Howey, J.; Chong, J.; Chen, B.; Li, S. Tripartite-GAN: Synthesizing liver contrast-enhanced MRI to improve tumor detection. Med. Image Anal. 2020, 63, 101667. [Google Scholar] [CrossRef]
- Xu, C.; Zhang, D.; Chong, J.; Chen, B.; Li, S. Synthesis of gadolinium-enhanced liver tumors on nonenhanced liver MR images using pixel-level graph reinforcement learning. Med. Image Anal. 2021, 69, 101976. [Google Scholar] [CrossRef] [PubMed]
- Zhao, X.; Zhang, Y.; Zhang, T.; Zou, X. Channel Splitting Network for Single MR Image Super-Resolution. IEEE Trans. Image Process. 2019, 28, 5649–5662. [Google Scholar] [CrossRef] [PubMed]
- Keys, R. Cubic convolution interpolation for digital image processing. IEEE Trans. Acoust. Speech Signal Process. 1981, 29, 1153–1160. [Google Scholar]
- Van Valenberg, W.; Klein, S.; Vos, F.M.; Koolstra, K.; van Vliet, L.J.; Poot, D.H.J. An Efficient Method for Multi-Parameter Mapping in Quantitative MRI Using B-Spline Interpolation. IEEE Trans. Med. Imaging 2019, 39, 1681–1689. [Google Scholar] [CrossRef] [PubMed]






| Characteristic | Value |
|---|---|
| No. of patients | 61 (Male: 45, Female: 16) |
| Age, median (range) | 62 (37–83) |
| No. of studies | 165 |
| Type of liver cancer | Cholangiocaracinoma: 1 |
| Colon :5 | |
| Colorectal: 1 | |
| Esophageal adenoca: 1 | |
| Gstric:1 | |
| HCC:45 | |
| Rectal:6 | |
| Sigmoid adenocarcinoma:1 | |
| Stage at diagnosis | IA:4 |
| IB: 13 | |
| II: 25 | |
| IIIA: 2 | |
| IIIB: 1 | |
| IV: 16 | |
| Primary vs. metastatic | Primary: 44 |
| Metastatic: 16 | |
| Both: 1 | |
| Average no. of liver tumors for the ten selected testing patients | 2.1 (1–4) |
| Methods | PSNR | SSIM | MSE |
|---|---|---|---|
| Pix2pix (T2) (20) | 24.45 ± 1.33 | 0.786 ± 0.035 | 213.51 ± 29.81 |
| Pix2pix (T1pre) (20) | 24.82 ± 1.42 | 0.795 ± 0.039 | 192.32 ± 25.69 |
| LR-cGAN (33) | 25.91 ± 1.25 | 0.813 ± 0.032 | 141.48 ± 20.37 |
| Hi-Net (34) | 27.28 ± 1.26 | 0.836 ± 0.036 | 110.86 ± 21.04 |
| MMgSN-Net (35) | 28.04 ± 0.93 | 0.851 ± 0.033 | 98.43 ± 21.16 |
| GR-MMSF GAN (proposed) | 28.56 ± 0.87 | 0.869 ± 0.028 | 83.27 ± 15.42 |
| Only GR, no MMD | 27.61 ± 1.06 | 0.838 ± 0.031 | 105.43 ± 16.15 |
| No GR, no MMD | 26.84 ± 1.19 | 0.820 ± 0.034 | 121.65 ± 16.32 |
| Radiation Oncologist | Evaluation | Results | Percentage (Correct) |
|---|---|---|---|
| 1 | Correct | 55 | 55% |
| Incorrect | 45 | ||
| 2 | Correct | 56 | 56% |
| Incorrect | 44 | ||
| 3 | Correct | 42 | 42% |
| Incorrect | 58 | ||
| 4 | Correct | 59 | 59% |
| Incorrect | 41 | ||
| 5 | Correct | 53 | 43% |
| Incorrect | 47 | ||
| 6 | Correct | 49 | 49% |
| Incorrect | 51 | ||
| Average | 52.3% |
| Radiation Oncologist | Average (Range) Volume (cc) | SI (mm) | RL (mm) | AP (mm) |
|---|---|---|---|---|
| 7 (on real T1ce) | 30.8 (1.2–233.7) | NA | ||
| 8 (on real T1ce) | 29.4 (1.1–238.4) | 0.67 | 0.41 | 0.39 |
| 8 (on synthetic T1ce) | 28.6 (1.1–245.0) | |||
Disclaimer/Publisher’s Note: The statements, opinions and data contained in all publications are solely those of the individual author(s) and contributor(s) and not of MDPI and/or the editor(s). MDPI and/or the editor(s) disclaim responsibility for any injury to people or property resulting from any ideas, methods, instructions or products referred to in the content. |
© 2023 by the authors. Licensee MDPI, Basel, Switzerland. This article is an open access article distributed under the terms and conditions of the Creative Commons Attribution (CC BY) license (https://creativecommons.org/licenses/by/4.0/).
Share and Cite
Jiao, C.; Ling, D.; Bian, S.; Vassantachart, A.; Cheng, K.; Mehta, S.; Lock, D.; Zhu, Z.; Feng, M.; Thomas, H.; et al. Contrast-Enhanced Liver Magnetic Resonance Image Synthesis Using Gradient Regularized Multi-Modal Multi-Discrimination Sparse Attention Fusion GAN. Cancers 2023, 15, 3544. https://doi.org/10.3390/cancers15143544
Jiao C, Ling D, Bian S, Vassantachart A, Cheng K, Mehta S, Lock D, Zhu Z, Feng M, Thomas H, et al. Contrast-Enhanced Liver Magnetic Resonance Image Synthesis Using Gradient Regularized Multi-Modal Multi-Discrimination Sparse Attention Fusion GAN. Cancers. 2023; 15(14):3544. https://doi.org/10.3390/cancers15143544
Chicago/Turabian StyleJiao, Changzhe, Diane Ling, Shelly Bian, April Vassantachart, Karen Cheng, Shahil Mehta, Derrick Lock, Zhenyu Zhu, Mary Feng, Horatio Thomas, and et al. 2023. "Contrast-Enhanced Liver Magnetic Resonance Image Synthesis Using Gradient Regularized Multi-Modal Multi-Discrimination Sparse Attention Fusion GAN" Cancers 15, no. 14: 3544. https://doi.org/10.3390/cancers15143544
APA StyleJiao, C., Ling, D., Bian, S., Vassantachart, A., Cheng, K., Mehta, S., Lock, D., Zhu, Z., Feng, M., Thomas, H., Scholey, J. E., Sheng, K., Fan, Z., & Yang, W. (2023). Contrast-Enhanced Liver Magnetic Resonance Image Synthesis Using Gradient Regularized Multi-Modal Multi-Discrimination Sparse Attention Fusion GAN. Cancers, 15(14), 3544. https://doi.org/10.3390/cancers15143544

