Recurrent Differentiated Thyroid Cancer: The Current Treatment Options
Abstract
Simple Summary
Abstract
1. Introduction
2. Types of Recurrences
3. Initial Treatment
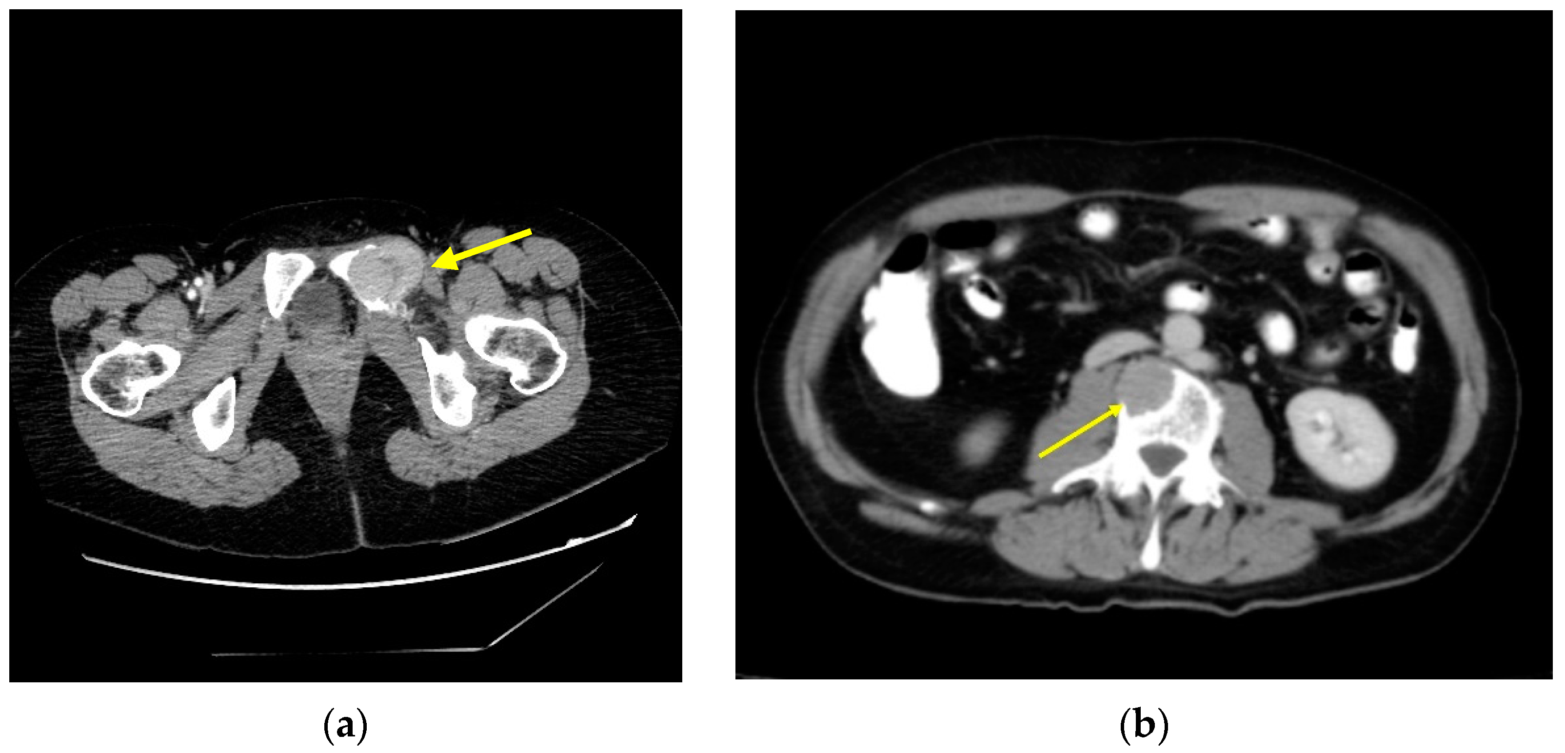
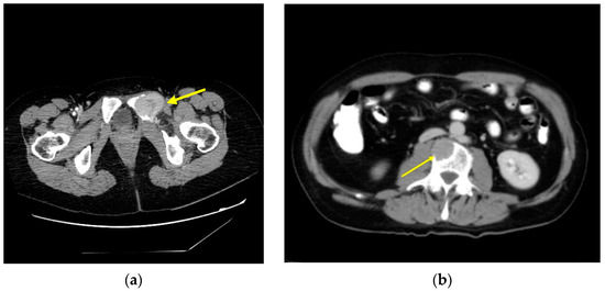
4. Neck Recurrences
5. Distant Recurrence
6. New Perspectives
7. Conclusions
8. Future Directions
Author Contributions
Funding
Conflicts of Interest
References
- Sherman, S.I. Thyroid Carcinoma. Lancet 2003, 361, 501–511. [Google Scholar] [CrossRef]
- Shaha, A.R. Recurrent Differentiated Thyroid Cancer. Endocr. Pract. 2012, 18, 600–603. [Google Scholar] [CrossRef] [PubMed]
- Haugen, B.R.; Alexander, E.K.; Bible, K.C.; Doherty, G.M.; Mandel, S.J.; Nikiforov, Y.E.; Pacini, F.; Randolph, G.W.; Sawka, A.M.; Schlumberger, M.; et al. 2015 American Thyroid Association Management Guidelines for Adult Patients with Thyroid Nodules and Differentiated Thyroid Cancer: The American Thyroid Association Guidelines Task Force on Thyroid Nodules and Differentiated Thyroid Cancer. Thyroid 2016, 26, 1–133. [Google Scholar] [CrossRef]
- Tuttle, R.M.; Haugen, B.; Perrier, N.D. Updated American Joint Committee on Cancer/Tumor-Node-Metastasis Staging System for Differentiated and Anaplastic Thyroid Cancer (Eighth Edition): What Changed and Why? Thyroid 2017, 27, 751–756. [Google Scholar] [CrossRef] [PubMed]
- Brierley, J.D.; Gospodarowicz, M.K.; Wittekind, C. TNM Classification of Malignant Tumours; John Wiley & Sons: Hoboken, NJ, USA, 2017. [Google Scholar]
- La Vecchia, C.; Malvezzi, M.; Bosetti, C.; Garavello, W.; Bertuccio, P.; Levi, F.; Negri, E. Thyroid Cancer Mortality and Incidence: A Global Overview. Int. J. Cancer 2015, 136, 2187–2195. [Google Scholar] [CrossRef] [PubMed]
- Davies, L.; Welch, H.G. Increasing Incidence of Thyroid Cancer in the United States, 1973–2002. JAMA 2006, 295, 2164–2167. [Google Scholar] [CrossRef]
- Schlumberger, M.; Leboulleux, S. Current Practice in Patients with Differentiated Thyroid Cancer. Nat. Rev. Endocrinol. 2021, 17, 176–188. [Google Scholar] [CrossRef]
- Filetti, S.; Durante, C.; Hartl, D.; Leboulleux, S.; Locati, L.D.; Newbold, K.; Papotti, M.G.; Berruti, A.; ESMO Guidelines Committee. Electronic address: Clinicalguidelines@esmo.org Thyroid Cancer: ESMO Clinical Practice Guidelines for Diagnosis, Treatment and Follow-Up. Ann. Oncol. 2019, 30, 1856–1883. [Google Scholar] [CrossRef]
- Xu, J.J.; Yu, E.; McMullen, C.; Pasternak, J.; Brierley, J.; Tsang, R.; Zhang, H.; Eskander, A.; Rotstein, L.; Sawka, A.M.; et al. Patterns of Regional Recurrence in Papillary Thyroid Cancer Patients with Lateral Neck Metastases Undergoing Neck Dissection. J. Otolaryngol. Head Neck Surg. 2017, 46, 43. [Google Scholar] [CrossRef]
- Vaisman, F.; Momesso, D.; Bulzico, D.A.; Pessoa, C.H.C.N.; Dias, F.; Corbo, R.; Vaisman, M.; Tuttle, R.M. Spontaneous Remission in Thyroid Cancer Patients after Biochemical Incomplete Response to Initial Therapy. Clin. Endocrinol. 2012, 77, 132–138. [Google Scholar] [CrossRef]
- Vaisman, F.; Tala, H.; Grewal, R.; Tuttle, R.M. In Differentiated Thyroid Cancer, an Incomplete Structural Response to Therapy Is Associated with Significantly Worse Clinical Outcomes than Only an Incomplete Thyroglobulin Response. Thyroid 2011, 21, 1317–1322. [Google Scholar] [CrossRef]
- Kwong, N.; Marqusee, E.; Gordon, M.S.; Larsen, P.R.; Garber, J.R.; Kim, M.I.; Alexander, E.K. Long-Term, Treatment-Free Survival in Select Patients with Distant Metastatic Papillary Thyroid Cancer. Endocr. Connect. 2014, 3, 207–214. [Google Scholar] [CrossRef] [PubMed]
- Vaisman, F.; Shaha, A.; Fish, S.; Michael Tuttle, R. Initial Therapy with Either Thyroid Lobectomy or Total Thyroidectomy without Radioactive Iodine Remnant Ablation Is Associated with Very Low Rates of Structural Disease Recurrence in Properly Selected Patients with Differentiated Thyroid Cancer. Clin. Endocrinol. 2011, 75, 112–119. [Google Scholar] [CrossRef] [PubMed]
- Tuttle, R.M.; Tala, H.; Shah, J.; Leboeuf, R.; Ghossein, R.; Gonen, M.; Brokhin, M.; Omry, G.; Fagin, J.A.; Shaha, A. Estimating Risk of Recurrence in Differentiated Thyroid Cancer after Total Thyroidectomy and Radioactive Iodine Remnant Ablation: Using Response to Therapy Variables to Modify the Initial Risk Estimates Predicted by the New American Thyroid Association Staging System. Thyroid 2010, 20, 1341–1349. [Google Scholar] [CrossRef] [PubMed]
- Chindris, A.M.; Diehl, N.N.; Crook, J.E.; Fatourechi, V.; Smallridge, R.C. Undetectable Sensitive Serum Thyroglobulin (<0.1 Ng/Ml) in 163 Patients with Follicular Cell-Derived Thyroid Cancer: Results of RhTSH Stimulation and Neck Ultrasonography and Long-Term Biochemical and Clinical Follow-Up. J. Clin. Endocrinol. Metab. 2012, 97, 2714–2723. [Google Scholar] [CrossRef] [PubMed]
- Russell, M.D.; Kamani, D.; Randolph, G.W. Modern Surgery for Advanced Thyroid Cancer: A Tailored Approach. Gland Surg. 2020, 9, S105–S119. [Google Scholar] [CrossRef] [PubMed]
- Schlumberger, M.; Catargi, B.; Borget, I.; Deandreis, D.; Zerdoud, S.; Bridji, B.; Bardet, S.; Leenhardt, L.; Bastie, D.; Schvartz, C.; et al. Strategies of Radioiodine Ablation in Patients with Low-Risk Thyroid Cancer. N. Engl. J. Med. 2012, 366, 1663–1673. [Google Scholar] [CrossRef]
- Mallick, U.; Harmer, C.; Yap, B.; Wadsley, J.; Clarke, S.; Moss, L.; Nicol, A.; Clark, P.M.; Farnell, K.; McCready, R.; et al. Ablation with Low-Dose Radioiodine and Thyrotropin Alfa in Thyroid Cancer. N. Engl. J. Med. 2012, 366, 1674–1685. [Google Scholar] [CrossRef]
- Sawka, A.M.; Brierley, J.D.; Tsang, R.W.; Thabane, L.; Rotstein, L.; Gafni, A.; Straus, S.; Goldstein, D.P. An Updated Systematic Review and Commentary Examining the Effectiveness of Radioactive Iodine Remnant Ablation in Well-Differentiated Thyroid Cancer. Endocrinol. Metab. Clin. N. Am. 2008, 37, 457–480. [Google Scholar] [CrossRef]
- Coca-Pelaz, A.; Shah, J.P.; Hernandez-Prera, J.C.; Ghossein, R.A.; Rodrigo, J.P.; Hartl, D.M.; Olsen, K.D.; Shaha, A.R.; Zafereo, M.; Suarez, C.; et al. Papillary Thyroid Cancer-Aggressive Variants and Impact on Management: A Narrative Review. Adv. Ther. 2020, 37, 3112–3128. [Google Scholar] [CrossRef]
- Patel, K.N.; Shaha, A.R. Locally Advanced Thyroid Cancer. Curr. Opin. Otolaryngol. Head Neck Surg. 2005, 13, 112–116. [Google Scholar] [CrossRef]
- Price, D.L.; Wong, R.J.; Randolph, G.W. Invasive Thyroid Cancer: Management of the Trachea and Esophagus. Otolaryngol. Clin. N. Am. 2008, 41, 1155–1168. [Google Scholar] [CrossRef] [PubMed]
- Walter, L.B.; Scheffel, R.S.; Zanella, A.B.; Farenzena, M.; Faccin, C.S.; Graudenz, M.S.; Dora, J.M.; Maia, A.L. Active Surveillance of Differentiated Thyroid Cancer Metastatic Cervical Lymph Nodes: A Retrospective Single-Center Cohort Study. Thyroid 2023, 33, 312–320. [Google Scholar] [CrossRef] [PubMed]
- Asimakopoulos, P.; Shaha, A.R.; Nixon, I.J.; Shah, J.P.; Randolph, G.W.; Angelos, P.; Zafereo, M.E.; Kowalski, L.P.; Hartl, D.M.; Olsen, K.D.; et al. Management of the Neck in Well-Differentiated Thyroid Cancer. Curr. Oncol. Rep. 2020, 23, 1. [Google Scholar] [CrossRef]
- Pacini, F.; Schlumberger, M.; Dralle, H.; Elisei, R.; Smit, J.W.A.; Wiersinga, W.; European Thyroid Cancer Taskforce. European Consensus for the Management of Patients with Differentiated Thyroid Carcinoma of the Follicular Epithelium. Eur. J. Endocrinol. 2006, 154, 787–803. [Google Scholar] [CrossRef] [PubMed]
- Wang, L.Y.; Migliacci, J.C.; Tuttle, R.M.; Shaha, A.R.; Shah, J.P.; Patel, S.G.; Ganly, I. Management and Outcome of Clinically Evident Neck Recurrence in Patients with Papillary Thyroid Cancer. Clin. Endocrinol. 2017, 87, 566–571. [Google Scholar] [CrossRef] [PubMed]
- Travagli, J.P.; Cailleux, A.F.; Ricard, M.; Baudin, E.; Caillou, B.; Parmentier, C.; Schlumberger, M. Combination of Radioiodine (131I) and Probe-Guided Surgery for Persistent or Recurrent Thyroid Carcinoma. J. Clin. Endocrinol. Metab. 1998, 83, 2675–2680. [Google Scholar] [CrossRef]
- Lamartina, L.; Borget, I.; Mirghani, H.; Al Ghuzlan, A.; Berdelou, A.; Bidault, F.; Deandreis, D.; Baudin, E.; Travagli, J.-P.; Schlumberger, M.; et al. Surgery for Neck Recurrence of Differentiated Thyroid Cancer: Outcomes and Risk Factors. J. Clin. Endocrinol. Metab. 2017, 102, 1020–1031. [Google Scholar] [CrossRef]
- Hay, I.D.; Lee, R.A.; Davidge-Pitts, C.; Reading, C.C.; Charboneau, J.W. Long-Term Outcome of Ultrasound-Guided Percutaneous Ethanol Ablation of Selected “Recurrent” Neck Nodal Metastases in 25 Patients with TNM Stages III or IVA Papillary Thyroid Carcinoma Previously Treated by Surgery and 131I Therapy. Surgery 2013, 154, 1448–1454; discussion 1454–1455. [Google Scholar] [CrossRef]
- Kim, J.; Yoo, W.S.; Park, Y.J.; Park, D.J.; Yun, T.J.; Choi, S.H.; Sohn, C.-H.; Lee, K.E.; Sung, M.-W.; Youn, Y.-K.; et al. Efficacy and Safety of Radiofrequency Ablation for Treatment of Locally Recurrent Thyroid Cancers Smaller than 2 cm. Radiology 2015, 276, 909–918. [Google Scholar] [CrossRef]
- Fugazzola, L.; Elisei, R.; Fuhrer, D.; Jarzab, B.; Leboulleux, S.; Newbold, K.; Smit, J. 2019 European Thyroid Association Guidelines for the Treatment and Follow-Up of Advanced Radioiodine-Refractory Thyroid Cancer. Eur. Thyroid J. 2019, 8, 227–245. [Google Scholar] [CrossRef] [PubMed]
- Schuff, K.G.; Weber, S.M.; Givi, B.; Samuels, M.H.; Andersen, P.E.; Cohen, J.I. Efficacy of Nodal Dissection for Treatment of Persistent/Recurrent Papillary Thyroid Cancer. Laryngoscope 2008, 118, 768–775. [Google Scholar] [CrossRef] [PubMed]
- Al-Saif, O.; Farrar, W.B.; Bloomston, M.; Porter, K.; Ringel, M.D.; Kloos, R.T. Long-Term Efficacy of Lymph Node Reoperation for Persistent Papillary Thyroid Cancer. J. Clin. Endocrinol. Metab. 2010, 95, 2187–2194. [Google Scholar] [CrossRef] [PubMed]
- Yim, J.H.; Kim, W.B.; Kim, E.Y.; Kim, W.G.; Kim, T.Y.; Ryu, J.-S.; Gong, G.; Hong, S.J.; Shong, Y.K. The Outcomes of First Reoperation for Locoregionally Recurrent/Persistent Papillary Thyroid Carcinoma in Patients Who Initially Underwent Total Thyroidectomy and Remnant Ablation. J. Clin. Endocrinol. Metab. 2011, 96, 2049–2056. [Google Scholar] [CrossRef]
- Roh, J.-L.; Kim, J.-M.; Park, C.I. Central Compartment Reoperation for Recurrent/Persistent Differentiated Thyroid Cancer: Patterns of Recurrence, Morbidity, and Prediction of Postoperative Hypocalcemia. Ann. Surg. Oncol. 2011, 18, 1312–1318. [Google Scholar] [CrossRef]
- Clayman, G.L.; Agarwal, G.; Edeiken, B.S.; Waguespack, S.G.; Roberts, D.B.; Sherman, S.I. Long-Term Outcome of Comprehensive Central Compartment Dissection in Patients with Recurrent/Persistent Papillary Thyroid Carcinoma. Thyroid 2011, 21, 1309–1316. [Google Scholar] [CrossRef]
- Shah, M.D.; Harris, L.D.; Nassif, R.G.; Kim, D.; Eski, S.; Freeman, J.L. Efficacy and Safety of Central Compartment Neck Dissection for Recurrent Thyroid Carcinoma. Arch. Otolaryngol. Head Neck Surg. 2012, 138, 33–37. [Google Scholar] [CrossRef]
- Tufano, R.P.; Bishop, J.; Wu, G. Reoperative Central Compartment Dissection for Patients with Recurrent/Persistent Papillary Thyroid Cancer: Efficacy, Safety, and the Association of the BRAF Mutation. Laryngoscope 2012, 122, 1634–1640. [Google Scholar] [CrossRef]
- Lang, B.H.-H.; Lee, G.C.C.; Ng, C.P.C.; Wong, K.P.; Wan, K.Y.; Lo, C.-Y. Evaluating the Morbidity and Efficacy of Reoperative Surgery in the Central Compartment for Persistent/Recurrent Papillary Thyroid Carcinoma. World J. Surg. 2013, 37, 2853–2859. [Google Scholar] [CrossRef]
- Onkendi, E.O.; McKenzie, T.J.; Richards, M.L.; Farley, D.R.; Thompson, G.B.; Kasperbauer, J.L.; Hay, I.D.; Grant, C.S. Reoperative Experience with Papillary Thyroid Cancer. World J. Surg. 2014, 38, 645–652. [Google Scholar] [CrossRef]
- Onuma, A.E.; Beal, E.W.; Nabhan, F.; Hughes, T.; Farrar, W.B.; Phay, J.; Ringel, M.D.; Kloos, R.T.; Shirley, L.A. Long-Term Efficacy of Lymph Node Reoperation for Persistent Papillary Thyroid Cancer: 13-Year Follow-Up. Ann. Surg. Oncol. 2019, 26, 1737–1743. [Google Scholar] [CrossRef] [PubMed]
- Hughes, D.T.; Laird, A.M.; Miller, B.S.; Gauger, P.G.; Doherty, G.M. Reoperative Lymph Node Dissection for Recurrent Papillary Thyroid Cancer and Effect on Serum Thyroglobulin. Ann. Surg. Oncol. 2012, 19, 2951–2957. [Google Scholar] [CrossRef] [PubMed]
- Bravo, P.E.; Goudarzi, B.; Rana, U.; Filho, P.T.; Castillo, R.; Rababy, C.; Ewertz, M.; Ziessman, H.A.; Cooper, D.S.; Ladenson, P.W.; et al. Clinical Significance of Discordant Findings between Pre-Therapy (123)I and Post-Therapy (131)I Whole Body Scan in Patients with Thyroid Cancer. Int. J. Clin. Exp. Med. 2013, 6, 320–333. [Google Scholar]
- Kitamura, Y.; Shimizu, K.; Nagahama, M.; Sugino, K.; Ozaki, O.; Mimura, T.; Ito, K.; Ito, K.; Tanaka, S. Immediate Causes of Death in Thyroid Carcinoma: Clinicopathological Analysis of 161 Fatal Cases. J. Clin. Endocrinol. Metab. 1999, 84, 4043–4049. [Google Scholar] [CrossRef]
- Hartl, D.M.; Guerlain, J.; Bresuskin, I.; Baudin, E.; Lamartina, L.; Hadoux, J.; Leboulleux, S.; Schlumberger, M. Surgery in the Context of Kinase Inhibitor Therapy for Locally Invasive Thyroid Cancer. Eur. J. Surg. Oncol. 2020, 46, 650–655. [Google Scholar] [CrossRef] [PubMed]
- Yeo, J.; Stewart, K.E.; Maniam, P.; Arman, S.; Srinivasan, D.; Wall, L.; MacNeill, M.; Strachan, M.; Nixon, I.J. Neoadjuvant Tyrosine Kinase Inhibitor Therapy in Locally Advanced Differentiated Thyroid Cancer: A Single Centre Case Series. J. Laryngol. Otol. 2023, 1–23. [Google Scholar] [CrossRef] [PubMed]
- Huang, N.-S.; Wei, W.-J.; Xiang, J.; Chen, J.-Y.; Guan, Q.; Lu, Z.-W.; Ma, B.; Sun, G.-H.; Wang, Y.-L.; Ji, Q.-H.; et al. The Efficacy and Safety of Anlotinib in Neoadjuvant Treatment of Locally Advanced Thyroid Cancer: A Single-Arm Phase II Clinical Trial. Thyroid 2021, 31, 1808–1813. [Google Scholar] [CrossRef]
- Dang, R.P.; McFarland, D.; Le, V.H.; Camille, N.; Miles, B.A.; Teng, M.S.; Genden, E.M.; Misiukiewicz, K.J. Neoadjuvant Therapy in Differentiated Thyroid Cancer. Int. J. Surg. Oncol. 2016, 2016, 3743420. [Google Scholar] [CrossRef] [PubMed]
- James, D.L.; Ryan, É.J.; Davey, M.G.; Quinn, A.J.; Heath, D.P.; Garry, S.J.; Boland, M.R.; Young, O.; Lowery, A.J.; Kerin, M.J. Radioiodine Remnant Ablation for Differentiated Thyroid Cancer: A Systematic Review and Meta-Analysis. JAMA Otolaryngol. Head Neck Surg. 2021, 147, 544–552. [Google Scholar] [CrossRef]
- So, K.; Smith, R.E.; Davis, S.R. Radiotherapy in Well-Differentiated Thyroid Cancer: Is It Underutilized? ANZ J. Surg. 2016, 86, 696–700. [Google Scholar] [CrossRef]
- Shiri, P.; Ramezanpour, S.; Amani, A.M.; Dehaen, W. A Patent Review on Efficient Strategies for the Total Synthesis of Pazopanib, Regorafenib and Lenvatinib as Novel Anti-Angiogenesis Receptor Tyrosine Kinase Inhibitors for Cancer Therapy. Mol. Divers. 2022, 26, 2981–3002. [Google Scholar] [CrossRef]
- Gild, M.L.; Topliss, D.J.; Learoyd, D.; Parnis, F.; Tie, J.; Hughes, B.; Walsh, J.P.; McLeod, D.S.A.; Clifton-Bligh, R.J.; Robinson, B.G. Clinical Guidance for Radioiodine Refractory Differentiated Thyroid Cancer. Clin. Endocrinol. 2018, 88, 529–537. [Google Scholar] [CrossRef]
- Koehler, V.F.; Berg, E.; Adam, P.; Weber, G.-L.; Pfestroff, A.; Luster, M.; Kutsch, J.M.; Lapa, C.; Sandner, B.; Rayes, N.; et al. Real-World Efficacy and Safety of Multi-Tyrosine Kinase Inhibitors in Radioiodine Refractory Thyroid Cancer. Thyroid 2021, 31, 1531–1541. [Google Scholar] [CrossRef]
- Schlumberger, M.; Tahara, M.; Wirth, L.J.; Robinson, B.; Brose, M.S.; Elisei, R.; Habra, M.A.; Newbold, K.; Shah, M.H.; Hoff, A.O.; et al. Lenvatinib versus Placebo in Radioiodine-Refractory Thyroid Cancer. N. Engl. J. Med. 2015, 372, 621–630. [Google Scholar] [CrossRef] [PubMed]
- Brose, M.S.; Nutting, C.M.; Jarzab, B.; Elisei, R.; Siena, S.; Bastholt, L.; de la Fouchardiere, C.; Pacini, F.; Paschke, R.; Shong, Y.K.; et al. Sorafenib in Radioactive Iodine-Refractory, Locally Advanced or Metastatic Differentiated Thyroid Cancer: A Randomised, Double-Blind, Phase 3 Trial. Lancet 2014, 384, 319–328. [Google Scholar] [CrossRef] [PubMed]
- Fleeman, N.; Houten, R.; Bagust, A.; Richardson, M.; Beale, S.; Boland, A.; Dundar, Y.; Greenhalgh, J.; Hounsome, J.; Duarte, R.; et al. Lenvatinib and Sorafenib for Differentiated Thyroid Cancer after Radioactive Iodine: A Systematic Review and Economic Evaluation. Health Technol. Assess. 2020, 24, 1–180. [Google Scholar] [CrossRef] [PubMed]
- Schutz, F.A.B.; Je, Y.; Richards, C.J.; Choueiri, T.K. Meta-Analysis of Randomized Controlled Trials for the Incidence and Risk of Treatment-Related Mortality in Patients with Cancer Treated with Vascular Endothelial Growth Factor Tyrosine Kinase Inhibitors. J. Clin. Oncol. 2012, 30, 871–877. [Google Scholar] [CrossRef]
- Zhong, M.; Khan, F.Z.; He, X.; Cui, L.; Lei, K.; Ge, M. Impact of Lung Metastasis versus Metastasis of Bone, Brain, or Liver on Overall Survival and Thyroid Cancer-Specific Survival of Thyroid Cancer Patients: A Population-Based Study. Cancers 2022, 14, 3133. [Google Scholar] [CrossRef]
- Aziz, A.; Khan, S.A.; Suchal, Z.A.; Islam, N. Clinicopathological Characteristics and Treatment Outcome of Patients with Metastatic Differentiated Thyroid Cancer. Indian J. Endocrinol. Metab. 2022, 26, 137–140. [Google Scholar] [CrossRef] [PubMed]
- Benbassat, C.A.; Mechlis-Frish, S.; Hirsch, D. Clinicopathological Characteristics and Long-Term Outcome in Patients with Distant Metastases from Differentiated Thyroid Cancer. World J. Surg. 2006, 30, 1088–1095. [Google Scholar] [CrossRef]
- Schmidbauer, B.; Menhart, K.; Hellwig, D.; Grosse, J. Differentiated Thyroid Cancer-Treatment: State of the Art. Int. J. Mol. Sci. 2017, 18, 1292. [Google Scholar] [CrossRef] [PubMed]
- Mizukami, Y.; Michigishi, T.; Nonomura, A.; Hashimoto, T.; Terahata, S.; Noguchi, M.; Hisada, K.; Matsubara, F. Distant Metastases in Differentiated Thyroid Carcinomas: A Clinical and Pathologic Study. Hum. Pathol. 1990, 21, 283–290. [Google Scholar] [CrossRef] [PubMed]
- Ronga, G.; Filesi, M.; Montesano, T.; Di Nicola, A.D.; Pace, C.; Travascio, L.; Ventroni, G.; Antonaci, A.; Vestri, A.R. Lung Metastases from Differentiated Thyroid Carcinoma. A 40 Years’ Experience. Q. J. Nucl. Med. Mol. Imaging 2004, 48, 12–19. [Google Scholar]
- Cho, S.W.; Choi, H.S.; Yeom, G.J.; Lim, J.A.; Moon, J.H.; Park, D.J.; Chung, J.-K.; Cho, B.Y.; Yi, K.H.; Park, Y.J. Long-Term Prognosis of Differentiated Thyroid Cancer with Lung Metastasis in Korea and Its Prognostic Factors. Thyroid 2014, 24, 277–286. [Google Scholar] [CrossRef] [PubMed]
- Haddad, R.I.; Bischoff, L.; Ball, D.; Bernet, V.; Blomain, E.; Busaidy, N.L.; Campbell, M.; Dickson, P.; Duh, Q.-Y.; Ehya, H.; et al. Thyroid Carcinoma, Version 2.2022, NCCN Clinical Practice Guidelines in Oncology. J. Natl. Compr. Cancer Netw. 2022, 20, 925–951. [Google Scholar] [CrossRef]
- Sugitani, I.; Ito, Y.; Takeuchi, D.; Nakayama, H.; Masaki, C.; Shindo, H.; Teshima, M.; Horiguchi, K.; Yoshida, Y.; Kanai, T.; et al. Indications and Strategy for Active Surveillance of Adult Low-Risk Papillary Thyroid Microcarcinoma: Consensus Statements from the Japan Association of Endocrine Surgery Task Force on Management for Papillary Thyroid Microcarcinoma. Thyroid 2021, 31, 183–192. [Google Scholar] [CrossRef]
- Kato, S.; Demura, S.; Shinmura, K.; Yokogawa, N.; Shimizu, T.; Tsuchiya, H. Current Management of Bone Metastases from Differentiated Thyroid Cancer. Cancers 2021, 13, 4429. [Google Scholar] [CrossRef]
- Nervo, A.; Ragni, A.; Retta, F.; Gallo, M.; Piovesan, A.; Liberini, V.; Gatti, M.; Ricardi, U.; Deandreis, D.; Arvat, E. Bone Metastases from Differentiated Thyroid Carcinoma: Current Knowledge and Open Issues. J. Endocrinol. Investig. 2021, 44, 403–419. [Google Scholar] [CrossRef]
- Bonichon, F.; Buy, X.; Godbert, Y.; Pointillart, V.; Henriques de Figueiredo, B.; Gangi, A.; Palussière, J. Local Treatment of Metastases from Differentiated Thyroid Cancer. Ann. Endocrinol. 2015, 76, 1S40–1S46. [Google Scholar] [CrossRef]
- Cabanillas, M.E.; Waguespack, S.G.; Bronstein, Y.; Williams, M.D.; Feng, L.; Hernandez, M.; Lopez, A.; Sherman, S.I.; Busaidy, N.L. Treatment with Tyrosine Kinase Inhibitors for Patients with Differentiated Thyroid Cancer: The M. D. Anderson Experience. J. Clin. Endocrinol. Metab. 2010, 95, 2588–2595. [Google Scholar] [CrossRef]
- Lüftner, D.; Henschke, P.; Possinger, K. Clinical Value of Bisphosphonates in Cancer Therapy. Anticancer Res. 2007, 27, 1759–1768. [Google Scholar] [PubMed]
- Zheng, G.Z.; Chang, B.; Lin, F.X.; Xie, D.; Hu, Q.X.; Yu, G.Y.; Du, S.X.; Li, X.D. Meta-Analysis Comparing Denosumab and Zoledronic Acid for Treatment of Bone Metastases in Patients with Advanced Solid Tumours. Eur. J. Cancer Care 2017, 26, e12541. [Google Scholar] [CrossRef]
- Bunevicius, A.; Fribance, S.; Pikis, S.; Lee, J.Y.K.; Buch, L.Y.; Moran, M.; Yang, A.I.; Bernstein, K.; Mathieu, D.; Perron, R.; et al. Stereotactic Radiosurgery for Differentiated Thyroid Cancer Brain Metastases: An International, Multicenter Study. Thyroid 2021, 31, 1244–1252. [Google Scholar] [CrossRef]
- McWilliams, R.R.; Giannini, C.; Hay, I.D.; Atkinson, J.L.; Stafford, S.L.; Buckner, J.C. Management of Brain Metastases from Thyroid Carcinoma: A Study of 16 Pathologically Confirmed Cases over 25 Years. Cancer 2003, 98, 356–362. [Google Scholar] [CrossRef]
- Brose, M.S.; Robinson, B.G.; Sherman, S.I.; Jarzab, B.; Lin, C.-C.; Vaisman, F.; Hoff, A.O.; Hitre, E.; Bowles, D.W.; Sen, S.; et al. Cabozantinib for Previously Treated Radioiodine-Refractory Differentiated Thyroid Cancer: Updated Results from the Phase 3 COSMIC-311 Trial. Cancer 2022, 128, 4203–4212. [Google Scholar] [CrossRef] [PubMed]
- Busaidy, N.L.; Konda, B.; Wei, L.; Wirth, L.J.; Devine, C.; Daniels, G.A.; DeSouza, J.A.; Poi, M.; Seligson, N.D.; Cabanillas, M.E.; et al. Dabrafenib Versus Dabrafenib + Trametinib in BRAF-Mutated Radioactive Iodine Refractory Differentiated Thyroid Cancer: Results of a Randomized, Phase 2, Open-Label Multicenter Trial. Thyroid 2022, 32, 1184–1192. [Google Scholar] [CrossRef] [PubMed]
- Taylor, M.H.; Leboulleux, S.; Panaseykin, Y.; Konda, B.; de La Fouchardiere, C.; Hughes, B.G.M.; Gianoukakis, A.G.; Park, Y.J.; Romanov, I.; Krzyzanowska, M.K.; et al. Health-Related Quality-of-Life Analyses from a Multicenter, Randomized, Double-Blind Phase 2 Study of Patients with Differentiated Thyroid Cancer Treated with Lenvatinib 18 or 24 Mg/Day. Cancer Med. 2023, 12, 4332–4342. [Google Scholar] [CrossRef]
- Kiyota, N.; Tahara, M.; Robinson, B.; Schlumberger, M.; Sherman, S.I.; Leboulleux, S.; Lee, E.K.; Suzuki, T.; Ren, M.; Fushimi, K.; et al. Impact of Baseline Tumor Burden on Overall Survival in Patients with Radioiodine-Refractory Differentiated Thyroid Cancer Treated with Lenvatinib in the SELECT Global Phase 3 Trial. Cancer 2022, 128, 2281–2287. [Google Scholar] [CrossRef]
- Brose, M.S.; Smit, J.W.A.; Lin, C.-C.; Tori, M.; Bowles, D.W.; Worden, F.; Shen, D.H.-Y.; Huang, S.-M.; Tsai, H.-J.; Alevizaki, M.; et al. Multikinase Inhibitors for the Treatment of Asymptomatic Radioactive Iodine-Refractory Differentiated Thyroid Cancer: Global Noninterventional Study (RIFTOS MKI). Thyroid 2022, 32, 1059–1068. [Google Scholar] [CrossRef]
- Dierks, C.; Seufert, J.; Aumann, K.; Ruf, J.; Klein, C.; Kiefer, S.; Rassner, M.; Boerries, M.; Zielke, A.; la Rosee, P.; et al. Combination of Lenvatinib and Pembrolizumab Is an Effective Treatment Option for Anaplastic and Poorly Differentiated Thyroid Carcinoma. Thyroid 2021, 31, 1076–1085. [Google Scholar] [CrossRef]
- Baek, H.-S.; Ha, J.; Ha, S.; Bae, J.S.; Jung, C.K.; Lim, D.-J. Initial Experiences of Selective RET Inhibitor Selpercatinib in Adults with Metastatic Differentiated Thyroid Carcinoma and Medullary Thyroid Carcinoma: Real-World Case Series in Korea. Curr. Oncol. 2023, 30, 3020–3031. [Google Scholar] [CrossRef] [PubMed]



Disclaimer/Publisher’s Note: The statements, opinions and data contained in all publications are solely those of the individual author(s) and contributor(s) and not of MDPI and/or the editor(s). MDPI and/or the editor(s) disclaim responsibility for any injury to people or property resulting from any ideas, methods, instructions or products referred to in the content. |
© 2023 by the authors. Licensee MDPI, Basel, Switzerland. This article is an open access article distributed under the terms and conditions of the Creative Commons Attribution (CC BY) license (https://creativecommons.org/licenses/by/4.0/).
Share and Cite
Coca-Pelaz, A.; Rodrigo, J.P.; Shah, J.P.; Nixon, I.J.; Hartl, D.M.; Robbins, K.T.; Kowalski, L.P.; Mäkitie, A.A.; Hamoir, M.; López, F.; et al. Recurrent Differentiated Thyroid Cancer: The Current Treatment Options. Cancers 2023, 15, 2692. https://doi.org/10.3390/cancers15102692
Coca-Pelaz A, Rodrigo JP, Shah JP, Nixon IJ, Hartl DM, Robbins KT, Kowalski LP, Mäkitie AA, Hamoir M, López F, et al. Recurrent Differentiated Thyroid Cancer: The Current Treatment Options. Cancers. 2023; 15(10):2692. https://doi.org/10.3390/cancers15102692
Chicago/Turabian StyleCoca-Pelaz, Andrés, Juan Pablo Rodrigo, Jatin P. Shah, Iain J. Nixon, Dana M. Hartl, K. Thomas Robbins, Luiz P. Kowalski, Antti A. Mäkitie, Marc Hamoir, Fernando López, and et al. 2023. "Recurrent Differentiated Thyroid Cancer: The Current Treatment Options" Cancers 15, no. 10: 2692. https://doi.org/10.3390/cancers15102692
APA StyleCoca-Pelaz, A., Rodrigo, J. P., Shah, J. P., Nixon, I. J., Hartl, D. M., Robbins, K. T., Kowalski, L. P., Mäkitie, A. A., Hamoir, M., López, F., Saba, N. F., Nuyts, S., Rinaldo, A., & Ferlito, A. (2023). Recurrent Differentiated Thyroid Cancer: The Current Treatment Options. Cancers, 15(10), 2692. https://doi.org/10.3390/cancers15102692

