Pneumatosis Intestinalis Induced by Anticancer Treatment: A Systematic Review
Abstract
Simple Summary
Abstract
1. Introduction
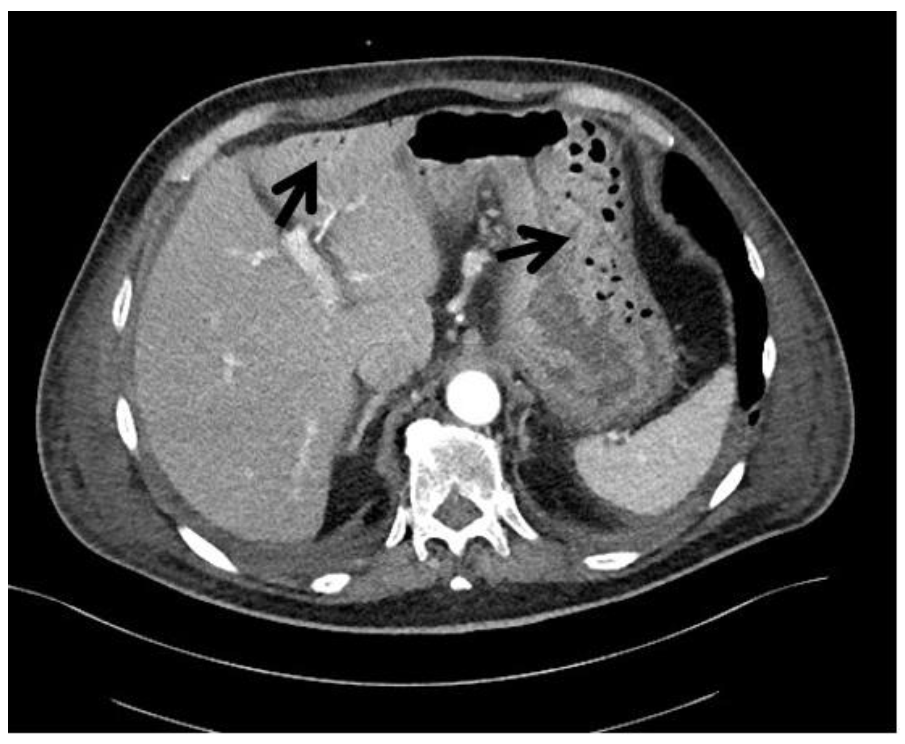
1.1. Pneumatosis Intestinalis
1.2. Management of PI
1.3. Pneumatosis Intestinalis and Oncological Therapies
1.4. Aim of the Study
2. Materials and Methods
2.1. Search Strategy
2.2. Eligibility Criteria
2.3. Outcomes
2.4. Study Selection and Data Extraction
3. Results
4. Discussion
5. Conclusions
Supplementary Materials
Author Contributions
Funding
Informed Consent Statement
Conflicts of Interest
References
- Sachse, R.E.; Burke, G.W.; Jonas, M.; Milgrom, M.; Miller, J. Benign pneumatosis intestinalis with subcutaneous emphysema in a liver transplant recipient. Am. J. Gastroenterol. 1990, 85, 876–879. [Google Scholar] [PubMed]
- Heng, Y.; Schuffler, M.D.; Haggitt, R.C.; Rohrmann, C.A. Pneumatosis intestinalis: A review. Am. J. Gastroenterol. 1995, 90, 1747–1758. [Google Scholar] [PubMed]
- Ho, L.M.; Paulson, E.K.; Thompson, W.M. Pneumatosis intestinalis in the adult: Benign to life-threatening causes. AJR Am. J. Roentgenol. 2007, 188, 1604–1613. [Google Scholar] [CrossRef]
- Pieterse, A.S.; Leong, A.S.; Rowland, R. The mucosal changes and pathogenesis of pneumatosis cystoides intestinalis. Hum. Pathol. 1985, 16, 683–688. [Google Scholar] [CrossRef]
- Yale, C.E.; Balish, E.; Wu, J.P. The bacterial etiology of pneumatosis cystoides intestinalis. Arch. Surg. 1974, 109, 89–94. [Google Scholar] [CrossRef] [PubMed]
- Sartor, R.; Murphy, M.; Rydzak, E. Miscellaneous inflammatory and structural disorders of the colon. In Textbook of Gastroenterology, 3rd ed.; Lippincott Williams & Wilkins: Philadelphia, PA, USA, 1999; Volume 1877. [Google Scholar]
- Shinagare, A.B.; Howard, S.A.; Krajewski, K.M.; Zukotynski, K.A.; Jagannathan, J.P.; Ramaiya, N.H. Pneumatosis intestinalis and bowel perforation associated with molecular targeted therapy: An emerging problem and the role of radiologists in its management. AJR Am. J. Roentgenol. 2012, 199, 1259–1265. [Google Scholar] [CrossRef]
- Knechtle, S.J.; Davidoff, A.M.; Rice, R.P. Pneumatosis intestinalis. Surgical management and clinical outcome. Ann. Surg. 1990, 212, 160–165. [Google Scholar] [CrossRef]
- Asmis, T.R.; Chung, K.Y.; Teitcher, J.B.; Kelsen, D.P.; Shah, M.A. Pneumatosis intestinalis: A variant of bevacizumab related perforation possibly associated with chemotherapy related GI toxicity. Investig. New Drugs 2008, 26, 95–96. [Google Scholar] [CrossRef]
- Coriat, R.; Ropert, S.; Mir, O.; Billemont, B.; Chaussade, S.; Massault, P.-P.; Blanchet, B.; Vignaux, O.; Goldwasser, F. Pneumatosis intestinalis associated with treatment of cancer patients with the vascular growth factor receptor tyrosine kinase inhibitors sorafenib and sunitinib. Investig. New Drugs 2011, 29, 1090–1093. [Google Scholar] [CrossRef]
- Dashwood, A.M.; Mason, R.; Jennings, C.; Dhillon, P. Hepatic portal venous gas with associated bowel ischaemia and intra-abdominal sepsis after recent chemotherapy. BMJ Case Rep. 2016, 2016, bcr2015213564. [Google Scholar] [CrossRef]
- De la Serna, S.; Luna, A.; de la Rosa, H. Intestinal pneumatosis and pneumoperitoneum in an oncological scenario: A change of attitude. Rev. Esp. Enferm. Dig. 2018, 110, 68–69. [Google Scholar] [CrossRef] [PubMed]
- Di Pietropaolo, M.; Trinci, M.; Giangregorio, C.; Galluzzo, M.; Miele, V. Pneumatosis cystoides intestinalis: Case report and review of literature. Clin. J. Gastroenterol. 2020, 13, 31–36. [Google Scholar] [CrossRef] [PubMed]
- Faria, L.D.B.B.; Anjos, C.H.D.; Fernandes, G.D.S.; da Silva Carvalho, I.F. Pneumatosis intestinalis after etoposide-based chemotherapy in a patient with metastatic small cell lung cancer: Successful conservative management of a rare condition. Einstein (Sao Paulo) 2016, 14, 420–422. [Google Scholar] [CrossRef][Green Version]
- Flaig, T.W.; Kim, F.J.; La Rosa, F.G.; Breaker, K.; Schoen, J.; Russ, P.D. Colonic pneumatosis and intestinal perforations with sunitinib treatment for renal cell carcinoma. Investig. New Drugs 2009, 27, 83–87. [Google Scholar] [CrossRef] [PubMed]
- Fujimi, A.; Sakamoto, H.; Kanisawa, Y.; Minami, S.; Nagamachi, Y.; Yamauchi, N.; Ibata, S.; Kato, J. Pneumatosis intestinalis during chemotherapy with nilotinib in a patient with chronic myeloid leukemia who tested positive for anti-topoisomerase I antibodies. Clin. J. Gastroenterol. 2016, 9, 358–364. [Google Scholar] [CrossRef]
- Galm, O.; Fabry, U.; Adam, G.; Osieka, R. Pneumatosis intestinalis following cytotoxic or immunosuppressive treatment. Digestion 2001, 64, 128–132. [Google Scholar] [CrossRef]
- Guiu, S.; Ortega-Deballon, P.; Guiu, B. Pneumatosis intestinalis and pneumoperitoneum during treatment by paclitaxel. Surgery 2011, 149, 297–298. [Google Scholar] [CrossRef]
- Hashimoto, S.; Saitoh, H.; Wada, K.; Kobayashi, T.; Furushima, H.; Kawai, H.; Shinbo, T.; Funakoshi, K.; Takahashi, H.; Shibata, A. Pneumatosis cystoides intestinalis after chemotherapy for hematological malignancies: Report of 4 cases. Intern. Med. 1995, 34, 212–215. [Google Scholar] [CrossRef][Green Version]
- Huang, Y.-H.; Siao, F.-Y.; Yen, H.-H. Abdominal Distension in a Patient with Hepatocellular Carcinoma. Gastroenterology 2015, 149, e12–e13. [Google Scholar] [CrossRef]
- Iwasaku, M.; Yoshioka, H.; Korogi, Y.; Kunimasa, K.; Nishiyama, A.; Nagai, H.; Ishida, T. Pneumatosis cystoides intestinalis after gefitinib therapy for pulmonary adenocarcinoma. J. Thorac. Oncol. 2012, 7, 257. [Google Scholar] [CrossRef]
- Jarkowski, A.; Hare, R.; Francescutti, V.; Wilkinson, N.; Khushalani, N. Case report of pneumatosis intestinalis secondary to sunitinib treatment for refractory gastrointestinal stromal tumor. Anticancer Res. 2011, 31, 3429–3432. [Google Scholar] [PubMed]
- Kameda, T.; Nakano, K.; Yamazaki, M.; Koshimizu, T.; Morita, T. Axitinib-induced Pneumatosis Intestinalis and Acute Acalculous Cholecystitis in a Patient With Renal Cell Carcinoma. Urology 2017, 101, e7–e8. [Google Scholar] [CrossRef] [PubMed]
- Kashima, T.; Ohno, Y.; Tachibana, M. Pneumatosis intestinalis and hepatic portal venous gas in a patient receiving sorafenib. Int. J. Urol. 2012, 19, 1041–1042. [Google Scholar] [CrossRef] [PubMed]
- Khan, T.; Mujtaba, M.; Flores, M.S.; Nahum, K.; Carson, M.P. A Case of Pneumatosis Intestinalis With Pneumoperitoneum as a Potential Delayed Adverse Effect of Capecitabine. World J. Oncol. 2019, 10, 151–152. [Google Scholar] [CrossRef]
- Kirmanidis, M.; Boulas, K.A.; Paraskeva, A.; Kariotis, I.; Barettas, N.; Kariotis, S.; Keskinis, C.; Hatzigeorgiadis, A. Extensive colonic pneumatosis in a patient on adjuvant chemotherapy after right colectomy for primary terminal ileum lymphoma: A decision-making process between surgical and non-surgical management. Int. J. Surg. Case Rep. 2018, 52, 84–88. [Google Scholar] [CrossRef]
- Kouzu, K.; Tsujimoto, H.; Hiraki, S.; Takahata, R.; Yaguchi, Y.; Kumano, I.; Horiguchi, H.; Nomura, S.; Nagata, K.; Harada, M.; et al. A case of pneumatosis intestinalis during neoadjuvant chemotherapy with cisplatin and 5-fluorouracil for esophageal cancer. J. Surg. Case Rep. 2017, 2017, rjx227. [Google Scholar] [CrossRef]
- Kung, D.; Ruan, D.T.; Chan, R.K.; Ericsson, M.L.; Saund, M.S. Pneumatosis intestinalis and portal venous gas without bowel ischemia in a patient treated with irinotecan and cisplatin. Dig. Dis. Sci. 2008, 53, 217–219. [Google Scholar] [CrossRef]
- Lee, J.Y.; Han, H.-S.; Lim, S.-N.; Shim, Y.K.; Choi, Y.H.; Lee, O.-J.; Lee, K.H.; Kim, S.T. Pneumatosis intestinalis and portal venous gas secondary to Gefitinib therapy for lung adenocarcinoma. BMC Cancer 2012, 12, 87. [Google Scholar] [CrossRef]
- Lee, Y.S.; Han, J.J.; Kim, S.-Y.; Maeng, C.H. Pneumatosis cystoides intestinalis associated with sunitinib and a literature review. BMC Cancer 2017, 17, 732. [Google Scholar] [CrossRef]
- Maeda, A.; Nakata, M.; Shimizu, K.; Yukawa, T.; Saisho, S.; Okita, R. Pneumatosis intestinalis after gefitinib therapy for pulmonary adenocarcinoma: A case report. World J. Surg. Oncol. 2016, 14, 175. [Google Scholar] [CrossRef][Green Version]
- Mais, L.; Galoo, E. Pneumatose kystique colique au cours d’une chimiothérapie palliative pour un cancer colorectal [Pneumatosis cystoides intestinalis during palliative chemotherapy for colorectal cancer]. Rev. Med. Brux. 2012, 33, 48–50. [Google Scholar]
- Martín-Lagos Maldonado, A.; Lozano Cejudo, C.; Sáenz Lozano, A. A pneumoperitoneum due to intestinal cystic pneumatosis associated with a tyrosine kinase inhibitor. Rev. Esp. Enferm. Dig. 2018, 110, 531–532. [Google Scholar] [CrossRef]
- Martín-Soberón, M.C.; Ruiz, S.; De Velasco, G.; Yarza, R.; Carretero, A.; Castellano, D.; Sepúlveda-Sánchez, J.M. Pneumatosis intestinalis in a radioactive iodine-refractory metastasic thyroid papillary carcinoma with BRAFV600E mutation treated with dabrafenib-trametinib: A case report. J. Med. Case Rep. 2021, 15, 109. [Google Scholar] [CrossRef] [PubMed]
- Nadav Michaan, S.H.K.; Nadav Michaan, S.H.K. A rare case of pneumatosis intestinalis after gastrocystostomy in an ovarian cancer patient under bevacizumab treatment. Eur. J. Gynaecol. Oncol. 2019, 40, 157–159. [Google Scholar]
- Miller, J.A.; Ford, D.J.; Ahmed, M.S.; Loree, T.R. Two Cases of Pneumatosis Intestinalis during Cetuximab Therapy for Advanced Head and Neck Cancer. Case Rep. Oncol. Med. 2015, 2015, 214236. [Google Scholar] [CrossRef] [PubMed][Green Version]
- Mimatsu, K.; Oida, T.; Kawasaki, A.; Kano, H.; Kuboi, Y.; Aramaki, O.; Amano, S. Pneumatosis cystoides intestinalis after fluorouracil chemotherapy for rectal cancer. World J. Gastroenterol. 2008, 14, 3273–3275. [Google Scholar] [CrossRef] [PubMed]
- Nukii, Y.; Miyamoto, A.; Mochizuki, S.; Moriguchi, S.; Takahashi, Y.; Ogawa, K.; Murase, K.; Hanada, S.; Uruga, H.; Takaya, H.; et al. Pneumatosis intestinalis induced by osimertinib in a patient with lung adenocarcinoma harbouring epidermal growth factor receptor gene mutation with simultaneously detected exon 19 deletion and T790 M point mutation: A case report. BMC Cancer 2019, 19, 186. [Google Scholar] [CrossRef]
- Nunomiya, K.; Inoue, S.; Sato, K.; Igarashi, A.; Yamauchi, K.; Abe, Y.; Watanabe, M. Pneumatosis Intestinalis in Lung Cancer Induced Twice by Different Drugs: Bevacizumab and Pemetrexed. Intern. Med. 2021, 60, 2109–2113. [Google Scholar] [CrossRef]
- Ohkuma, K.; Saraya, T.; Shimoda, M.; Takizawa, H. A case of pneumatosis cystoides intestinalis. J. Gen. Fam. Med. 2017, 18, 481–482. [Google Scholar] [CrossRef]
- Ozturk, M.; Camlidag, I.; Nural, M.S.; Ozbalci, G.S.; Bekci, T. A rare cause of acute abdomen in the ED: Chemotherapy-Induced pneumatosis intestinalis. Turk. J. Emerg. Med. 2017, 17, 151–153. [Google Scholar] [CrossRef]
- Pengermä, P.; Katunin, J.; Turunen, A.; Rouvelas, I.; Palomäki, A.; Kechagias, A. Is surgical exploration mandatory in pneumatosis intestinalis with portomesenteric gas? Lesson learned in a neutropenic patient under chemotherapy. ANZ J. Surg. 2021, 92, 543–545. [Google Scholar] [CrossRef] [PubMed]
- Alfaro, M.P.; Cantera, J.E.; Pérez, I.V. Portal venous gas secondary to molecular targeted therapy. AJR Am. J. Roentgenol. 2013, 201, W368–W369. [Google Scholar] [PubMed]
- Petrides, C.; Kyriakos, N.; Andreas, I.; Konstantinos, P.; Chrysanthos, G.; Athanasios, P.; Pikoulis, E. Pneumatosis cystoides intestinalis after cetuximab chemotherapy for squamous cell carcinoma of parotid gland. Case Rep. Surg. 2015, 2015, 530680. [Google Scholar] [CrossRef]
- Ramos, J.A.; Festic, E. Images in clinical medicine. Catastrophic gastroduodenal pneumatosis. N. Engl. J. Med. 2014, 371, e19. [Google Scholar] [CrossRef] [PubMed]
- Salcin, E.; Omercikoglu, S.; Eroglu, S.E.; Akoglu, H.; Onur, O.; Denizbasi, A. Does Pneumatosis Intestinalis after Etoposide Chemotherapy always have a Benign Course? J. Emerg. Med. Case Rep. 2016, 7, 24–26. [Google Scholar] [CrossRef]
- Sassi, C.; Pasquali, M.; Facchini, G.; Bazzocchi, A.; Battista, G. Pneumatosis intestinalis in oncologic patients: When should the radiologist not be afraid? BJR Case Rep. 2017, 3, 20160017. [Google Scholar] [CrossRef] [PubMed]
- Sherman, E.; Ramadas, P.; Lemke, S. Cetuximab-Associated Pneumatosis Intestinalis. Am. J. Ther. 2019, 26, e609–e610. [Google Scholar] [CrossRef]
- Shih, I.-L.; Lu, Y.-S.; Wang, H.-P.; Liu, K.-L. Pneumatosis coli after etoposide chemotherapy for breast cancer. J. Clin. Oncol. 2007, 25, 1623–1625. [Google Scholar] [CrossRef]
- Shikuma, H.; Inoue, S.; Hatayama, T.; Mukai, S.; Muto, M.; Miyamoto, S.; Sadahide, K.; Fujii, S.; Sekino, Y.; Goto, K.; et al. Pneumatosis cystoides intestinalis linked to sunitinib treatment for renal cell carcinoma. IJU Case Rep. 2019, 2, 318–320. [Google Scholar] [CrossRef][Green Version]
- Shin, D.-K.; Oh, J.; Yoon, H.; Kim, J.E.; Chong, S.Y.; Oh, D. Asymptomatic pneumatosis intestinalis following chemotherapy for B lymphoblastic leukemia with recurrent genetic abnormalities in an adolescent patient. Korean J. Hematol. 2012, 47, 74–76. [Google Scholar] [CrossRef]
- Thornton, E.; Howard, S.A.; Jagannathan, J.; Krajewski, K.M.; Shinagare, A.B.; O’Regan, K.; Cleary, J.M.; Ramaiya, N.H. Imaging features of bowel toxicities in the setting of molecular targeted therapies in cancer patients. Br. J. Radiol. 2012, 85, 1420–1426. [Google Scholar] [CrossRef] [PubMed]
- Uruga, H.; Moriguchi, S.; Takahashi, Y.; Ogawa, K.; Murase, K.; Mochizuki, S.; Hanada, S.; Takaya, H.; Miyamoto, A.; Morokawa, N.; et al. Gefitinib successfully administered in a lung cancer patient with leptomeningeal carcinomatosis after erlotinib-induced pneumatosis intestinalis. BMC Cancer 2018, 18, 825. [Google Scholar] [CrossRef] [PubMed]
- Vargas, A.; Pagés, M.; Buxó, E. Pneumatosis intestinalis due to 5-fluorouracil chemotherapy. Gastroenterol. Hepatol. 2016, 39, 672–673. [Google Scholar] [CrossRef] [PubMed]
- Vijayakanthan, N.; Dhamanaskar, K.; Stewart, L.; Connolly, J.; Leber, B.; Walker, I.; Trus, M. A review of pneumatosis intestinalis in the setting of systemic cancer treatments, including tyrosine kinase inhibitors. Can. Assoc. Radiol. J. 2012, 63, 312–317. [Google Scholar] [CrossRef] [PubMed]
- Jamart, J. Pneumatosis cystoides intestinalis. A statistical study of 919 cases. Acta Hepato-Gastroenterol. 1979, 26, 419–422. [Google Scholar]
- Galandiuk, S.; Fazio, V.W. Pneumatosis cystoides intestinalis. A review of the literature. Dis. Colon Rectum. 1986, 29, 358–363. [Google Scholar] [CrossRef]
- Rabushka, L.S.; Kuhlman, J.E. Pneumatosis intestinalis. Appearance on MR examination. Clin. Imaging 1994, 18, 258–261. [Google Scholar] [CrossRef]
- Greenstein, A.J.; Nguyen, S.Q.; Berlin, A.; Corona, J.; Lee, J.; Wong, E.; Factor, S.H.; Divino, C.M. Pneumatosis intestinalis in adults: Management, surgical indications, and risk factors for mortality. J. Gastrointest. Surg. 2007, 11, 1268–1274. [Google Scholar] [CrossRef]
- Ellis, B.W. Symptomatic treatment of primary pneumatosis coli with metronidazole. Br. Med. J. 1980, 280, 763–764. [Google Scholar] [CrossRef]
- Tak, P.P.; Van Duinen, C.M.; Bun, P.; Eulderink, F.; Kreuning, J.; Gooszen, H.G.; Lamers, C.B. Pneumatosis cystoides intestinalis in intestinal pseudoobstruction. Resolution after therapy with metronidazole. Dig. Dis. Sci. 1992, 37, 949–954. [Google Scholar] [CrossRef]
- Chaudhry, N.S.; Bi, W.L.; Gupta, S.; Keraliya, A.; Shimizu, N.; Chiocca, E.A. Pneumatosis Intestinalis after Molecular-Targeted Therapy. World Neurosurg. 2019, 125, 312–315. [Google Scholar] [CrossRef] [PubMed]
- Collins, M.; Michot, J.M.; Danlos, F.X.; Mussini, C.; Soularue, E.; Mateus, C.; Loirat, D.; Buisson, A.; Rosa, I.; Lambotte, O.; et al. Inflammatory gastrointestinal diseases associated with PD-1 blockade antibodies. Ann. Oncol. 2017, 28, 2860–2865. [Google Scholar] [CrossRef] [PubMed]
- Brocchi, S.; Parmeggiani, A.; Gaudiano, C.; Balacchi, C.; Renzulli, M.; Brandi, N.; Dall’Olio, F.G.; Rihawi, K.; Ardizzoni, A.; Golfieri, R. Pneumatosis intestinalis and spontaneous perforation associated with drug toxicity in oncologic patients: A case series. Acta Gastroenterol. Belg. 2021, 84, 497–499. [Google Scholar] [CrossRef] [PubMed]
- Yik, B.; Shah, N. Gas Bubbles: A Persistent Problem with Immunotherapy. Dig. Dis. Sci. 2021, 66, 2542–2544. [Google Scholar] [CrossRef]
- Page, M.J.; McKenzie, J.E.; Bossuyt, P.M.; Boutron, I.; Hoffmann, T.C.; Mulrow, C.D.; Shamseer, L.; Tetzlaff, J.M.; Akl, E.A.; Brennan, S.E.; et al. The PRISMA 2020 statement: An updated guideline for reporting systematic reviews. Int. J. Surg. 2021, 88, 105906. [Google Scholar] [CrossRef]
- Akhtar, K.; Zayac, A.; Lemke, S. Intestinal Pneumatosis: A Manifestation of Rarely Reported Axitinib-Associated Necrotizing Enterocolitis. Am. J. Ther. 2018, 25, e763–e765. [Google Scholar] [CrossRef]
- Alonso-Burgos, A.; Nogueral, J.J.; Cosín, O.; Viudez, A.; Pueyo, J.; Elorz, M.; Aquerreta, J.D. Intestinal pneumatosis and portomesenteric gas: A case review. Rev. Med. Univ. Navarra 2007, 51, 3–6. [Google Scholar]
- Asahi, Y.; Suzuki, T.; Sawada, A.; Kina, M.; Takada, J.; Gotoda, H.; Masuko, H. Pneumatosis Cystoides Intestinalis Secondary to Sunitinib Treatment for Gastrointestinal Stromal Tumor. Case Rep. Gastroenterol. 2018, 12, 432–438. [Google Scholar] [CrossRef]
- Candelaria, M.; Bourlon-Cuellar, R.; Zubieta, J.L.G.-L.; Noel-Ettiene, L.M.; Sánchez-Sánchez, J.M. Gastrointestinal pneumatosis after docetaxel chemotherapy. J. Clin. Gastroenterol. 2002, 34, 444–445. [Google Scholar] [CrossRef]
- Adachi, K.; Okamoto, S. An unusual bowel complication during molecularly-targeted therapy. Dig. Liver. Dis. 2015, 47, e20. [Google Scholar] [CrossRef]
- Chang, C.-J.; Shen, C.-I.; Wu, C.-L.; Chiu, C.-H. Pneumatosis intestinalis induced by targeted therapy. Postgrad Med. J. 2020, 98, 10. [Google Scholar] [CrossRef] [PubMed]
- Clemente, G.; Chiarla, C.; Giovannini, I.; De Rose, A.M.; Astone, A.; Barone, C.; Nuzzo, G. Gas in portal circulation and pneumatosis cystoides intestinalis during chemotherapy for advanced rectal cancer. Curr. Med. Res. Opin. 2010, 26, 707–711. [Google Scholar] [CrossRef] [PubMed]
- Coba, G.; Shahin, A.V.; Saba, M.; Greene, J. Management of Pneumatosis Intestinalis in Neutropenic Acute Leukemia Patients. Infect. Dis. Clin. Pract. 2019, 27, 133–137. [Google Scholar] [CrossRef]
- Viswanathan, C.; Bhosale, P.; Ganeshan, D.M.; Truong, M.T.; Silverman, P.; Balachandran, A. Imaging of complications of oncological therapy in the gastrointestinal system. Cancer Imaging. 2012, 12, 163–172. [Google Scholar] [CrossRef][Green Version]
- Viswanathan, C.; Truong, M.; Sagebiel, T.; Garg, N.; Bhosale, P. Imaging of chemotherapy-related iatrogenic abdominal and pelvic conditions. Radiol. Clin. N. Am. 2014, 52, 1029–1040. [Google Scholar] [CrossRef]
- Yamatoji, M.; Shiiba, M.; Yamamoto, J.; Takahara, T.; Takeuchi, S.; Sawai, Y.; Kouzu, Y.; Miyamoto, I.; Endo-Sakamoto, Y.; Kanazawa, H.; et al. A rare case of pneumatosis intestinalis during adjuvant chemoradiotherapy for oral cancer. J. Oral Maxillofac. Surg. Med. Pathol. 2021, 33, 438–442. [Google Scholar] [CrossRef]
- Yoon, S.; Hong, Y.S.; Park, S.H.; Lee, J.L.; Kim, T.W. Pneumatosis intestinalis after cetuximab-containing chemotherapy for colorectal cancer. Jpn. J. Clin. Oncol. 2011, 41, 1225–1228. [Google Scholar] [CrossRef][Green Version]
- Imai, K.; Takaoka, A. Comparing antibody and small-molecule therapies for cancer. Nat. Rev. Cancer 2006, 6, 714–727. [Google Scholar] [CrossRef]
- Haslam, A.; Prasad, V. Estimation of the Percentage of US Patients With Cancer Who Are Eligible for and Respond to Checkpoint Inhibitor Immunotherapy Drugs. JAMA Netw. Open 2019, 2, e192535. [Google Scholar] [CrossRef]
- Seliger, B. Basis of PD1/PD-L1 Therapies. J. Clin. Med. 2019, 8, 2168. [Google Scholar] [CrossRef]
- Keytruda-Epar-Oublic-Assessment-Report_en.pdf. Available online: https://www.ema.europa.eu/en/documents/assessment-report/keytruda-epar-public-assessment-report_en.pdf (accessed on 2 January 2022).
- Tecentriq-Epar-Public-Assessment-Report_en.pdf. Available online: https://www.ema.europa.eu/en/documents/assessment-report/tecentriq-epar-public-assessment-report_en.pdf (accessed on 2 January 2022).
- Tsujimoto, T.; Shioyama, E.; Moriya, K.; Kawaratani, H.; Shirai, Y.; Toyohara, M.; Mitoro, A.; Yamao, J.; Fujii, H.; Fukui, H. Pneumatosis cystoides intestinalis following alpha-glucosidase inhibitor treatment: A case report and review of the literature. World J. Gastroenterol. 2008, 14, 6087–6092. [Google Scholar] [CrossRef] [PubMed]
- Pear, B.L. Pneumatosis intestinalis: A review. Radiology 1998, 207, 13–19. [Google Scholar] [CrossRef] [PubMed]
- Gao, Y.; Uffenheimer, M.; Ashamallah, M.; Grimaldi, G.; Swaminath, A.; Sultan, K. Presentation and outcomes among inflammatory bowel disease patients with concurrent pneumatosis intestinalis: A case series and systematic review. Intestig. Res. 2020, 18, 289–296. [Google Scholar] [CrossRef] [PubMed]





| Patients Characteristics | Oncological (72 Cases) | Hematological (16 Cases) | Total (88 Cases) |
|---|---|---|---|
| Age (mean ± SD)—yr | 65.3 ± 10.5 | 49.6 ± 17.5 | 62.4 ± 13.5 |
| Females—no (%) | 33 (45.8) | 6 (37.5) | 39 (44.3) |
| Primary tumor site/classification—no (%) | |||
| Endocrine system | |||
| pNET | 2 (2.8) | - | |
| Papillary thyroid carcinoma | 2 (2.8) | - | |
| Gastrointestinal system | |||
| Cholangiocarcinoma | 1 (1.4) | - | |
| Colorectal cancer | 7 (9.7) | - | |
| Esophagus adenocarcinoma | 5 (6.9) | - | |
| GIST | 3 (4.2) | - | |
| Hepatocellular carcinoma | 2 (2.8) | - | |
| PDAC | 2 (2.8) | - | |
| Head and neck | |||
| HNSCC | 5 (6.9) | - | |
| Blood and lymphatic system | |||
| ALL | - | 4 (25.0) | |
| AML | - | 4 (25.0) | |
| CML | - | 2 (12.5) | |
| Hodgkin lymphoma | - | 1 (6.3) | |
| Non-Hodgkin lymphoma | - | 5 (31.3) | |
| Nervous system | |||
| Cerebellar subependymoma | 1 (1.4) | - | |
| GBM | 1 (1.4) | - | |
| Urinary system | |||
| Bladder carcinoma | 1 (1.4) | - | |
| Renal cell carcinoma | 10 (13.8) | - | |
| Reproductive system | |||
| Uterine cancer | 2 (2.8) | - | |
| Ovarian cancer | 1 (1.4) | - | |
| Testis neoplasm | 1 (1.4) | - | |
| Breast | |||
| Breast cancer | 4 (5.6) | - | |
| Respiratory system | |||
| Lung adenocarcinoma | 20 (27.8) | - | |
| Pleural mesothelioma | 1 (1.4) | - | |
| Skin | |||
| SCC | 1 (1.4) | - | |
| Settings—no (%) | |||
| Metastatic setting—no (%) | 50 (69.4) | - | |
| Adjuvant setting—no (%) | 8 (11.1) | - | |
| Neoadjuvant setting—no (%) | 2 (2.8) | - | |
| Unknown setting—no (%) | 12 (16.7) | - | |
| Pharmacological therapy—no (%) | |||
| Cytotoxic agents | 20 (27.8) | 12 (75.0) | 32 (36.4) |
| Targeted therapy (mAb + KIs) | 38 (52.8) | 3 (18.8) | 41 (46.6) |
| Immunotherapy | 1(1.4) | - | 1 (1.1) |
| Immunotherapy + targeted therapy | 1 (1.4) | - | 1 (1.1) |
| Targeted Therapy + cytotoxic | 2 (2.8) | 1 (6.3) | 3 (3.4) |
| Radiotherapy + cytotoxic | 5 (6.9) | - | 5 (5.7) |
| Radiotherapy + targeted therapy | 5 (6.9) | - | 5 (5.7) |
| Reported comorbidity—no (%) | 15 (20.8) | 3 (18.8) | 18 (20.5) |
| Pharmacological Therapy—No (%) | Oncological—No (%) | Hematological—No (%) | |
|---|---|---|---|
| Cytotoxic agents | 25 (34.7) | 12 (75.0) | |
| mAb | |||
| EGFR | cetuximab | 7 (9.7) | - |
| VEGF | bevacizumab | 7 (9.7) | - |
| mAb + cytotoxic agents | |||
| EGFR + cytotoxic agents | cetuximab-oxaliplatin/5-FU/irinotecan | 2 (2.8) | - |
| CD20 + cytotoxic agents | rituximab-vincristine-doxorubicine-cyclophosphamide | - | 1 (6.3) |
| mAb + multikinase inhibitor | |||
| VEGF + Raf, BRAF, VEGFR, PDGFR, c-KIT | bevacizumab–sorafenib | 1 (1.4) | - |
| Multikinase inhibitor | |||
| Bcr-Abl, c-KIT, PDGFR | imatinib mesylate | - | 2 (12.5) |
| Raf, BRAF, VEGFR, PDGFR, c-KIT | sorafenib | 4 (5.6) | - |
| VEGFR, PDGFR, c-KIT, FLT3, RET | sunitinib | 10 (13.9) | - |
| VEGFR, PDGFR, c-KIT | axitinib | 2 (2.8) | - |
| pazopanib | 2 (2.8) | - | |
| Serine–threonine kinase inhibitor | |||
| BRAF-MEK | dabrafenib–trametinib | 1 (1.4) | - |
| Tyrosine kinase inhibitor | |||
| EGFR-ALK | erlotinib–crizotinib | 1 (1.4) | - |
| ALK | alectinib | 1(1.4) | - |
| EGFR | erlotinib | 2 (2.8) | - |
| gefitinib | 4 (5.6) | - | |
| osimertinib | 1 (1.4) | - | |
| Bcr-Abl | nilotinib | - | 1 (6.3) |
| Immunotherapy | |||
| PDL1 | atezolizumab | 1 (1.4) | |
| Immunotherapy + multikinase inhibitor | |||
| PD1 + VEGFR, FGFR, PDGFR, c-KIT, RET | pembrolizumab-lenvatinib | 1 (1.4) | |
| PI details—No (%) | Oncological (72 Cases) | Hematological (16 Cases) | Total (88 Cases) |
|---|---|---|---|
| Symptomatic | 51 (70.8) | 14 (87.5) | 65 (73.9) |
| Asymptomatic | 21 (29.2) | 2 (12.5) | 23 (26.1) |
| Perforation | 10 (13.9) | 1 (6.3) | 11 (12.5) |
| Complications | 6 (8.3) | 6 (50.0) | 12 (13.6) |
| Death | 9 (12.5) | 2 (12.5) | 11 (12.5) |
| PI site—no (%) | |||
| Small intestine | 20 (27.8) | 3 (18.8) | 23 (26.1) |
| Large intestine | 31 (43.1) | 8 (50.0) | 39 (44.3) |
| Entire intestine | 17 (23.6) | 2 (12.5) | 19 (21.6) |
| Unknown | 4 (5.6) | 3 (18.8) | 7 (8.0) |
| GI surgery—no (%) | 5 (6.9) | 1 (6.3) | 6 (6.8) |
| Therapy restarted—no (%) | 13 (18.1) | 5 (31.3) | 18 (20.5) |
| Symptoms re-onset—no (%) | 5 (6.9) | 1 (6.3) | 6 (6.8) |
Publisher’s Note: MDPI stays neutral with regard to jurisdictional claims in published maps and institutional affiliations. |
© 2022 by the authors. Licensee MDPI, Basel, Switzerland. This article is an open access article distributed under the terms and conditions of the Creative Commons Attribution (CC BY) license (https://creativecommons.org/licenses/by/4.0/).
Share and Cite
Gazzaniga, G.; Villa, F.; Tosi, F.; Pizzutilo, E.G.; Colla, S.; D’Onghia, S.; Di Sanza, G.; Fornasier, G.; Gringeri, M.; Lucatelli, M.V.; et al. Pneumatosis Intestinalis Induced by Anticancer Treatment: A Systematic Review. Cancers 2022, 14, 1666. https://doi.org/10.3390/cancers14071666
Gazzaniga G, Villa F, Tosi F, Pizzutilo EG, Colla S, D’Onghia S, Di Sanza G, Fornasier G, Gringeri M, Lucatelli MV, et al. Pneumatosis Intestinalis Induced by Anticancer Treatment: A Systematic Review. Cancers. 2022; 14(7):1666. https://doi.org/10.3390/cancers14071666
Chicago/Turabian StyleGazzaniga, Gianluca, Federica Villa, Federica Tosi, Elio Gregory Pizzutilo, Stefano Colla, Stefano D’Onghia, Giusy Di Sanza, Giulia Fornasier, Michele Gringeri, Maria Victoria Lucatelli, and et al. 2022. "Pneumatosis Intestinalis Induced by Anticancer Treatment: A Systematic Review" Cancers 14, no. 7: 1666. https://doi.org/10.3390/cancers14071666
APA StyleGazzaniga, G., Villa, F., Tosi, F., Pizzutilo, E. G., Colla, S., D’Onghia, S., Di Sanza, G., Fornasier, G., Gringeri, M., Lucatelli, M. V., Mosini, G., Pani, A., Siena, S., Scaglione, F., & Sartore-Bianchi, A. (2022). Pneumatosis Intestinalis Induced by Anticancer Treatment: A Systematic Review. Cancers, 14(7), 1666. https://doi.org/10.3390/cancers14071666

