High Expression of Casein Kinase 2 Alpha Is Responsible for Enhanced Phosphorylation of DNA Mismatch Repair Protein MLH1 and Increased Tumor Mutation Rates in Colorectal Cancer
Abstract
:Simple Summary
Abstract
1. Introduction
2. Materials and Methods
2.1. Patients
2.2. Cells
2.3. Antibodies
2.4. Plasmids
2.5. CK2α Promoter Amplification
2.6. Transient Transfection
2.7. Protein Extraction
2.8. Western Blotting
2.9. Immunoprecipitation
2.10. Immunohistochemical Staining
2.11. Image Processing
2.12. DNA Extraction
2.13. Quantitative Reverse Transcription PCR
2.14. Determination of Somatic Mutations
2.15. Statistical Analysis
3. Results
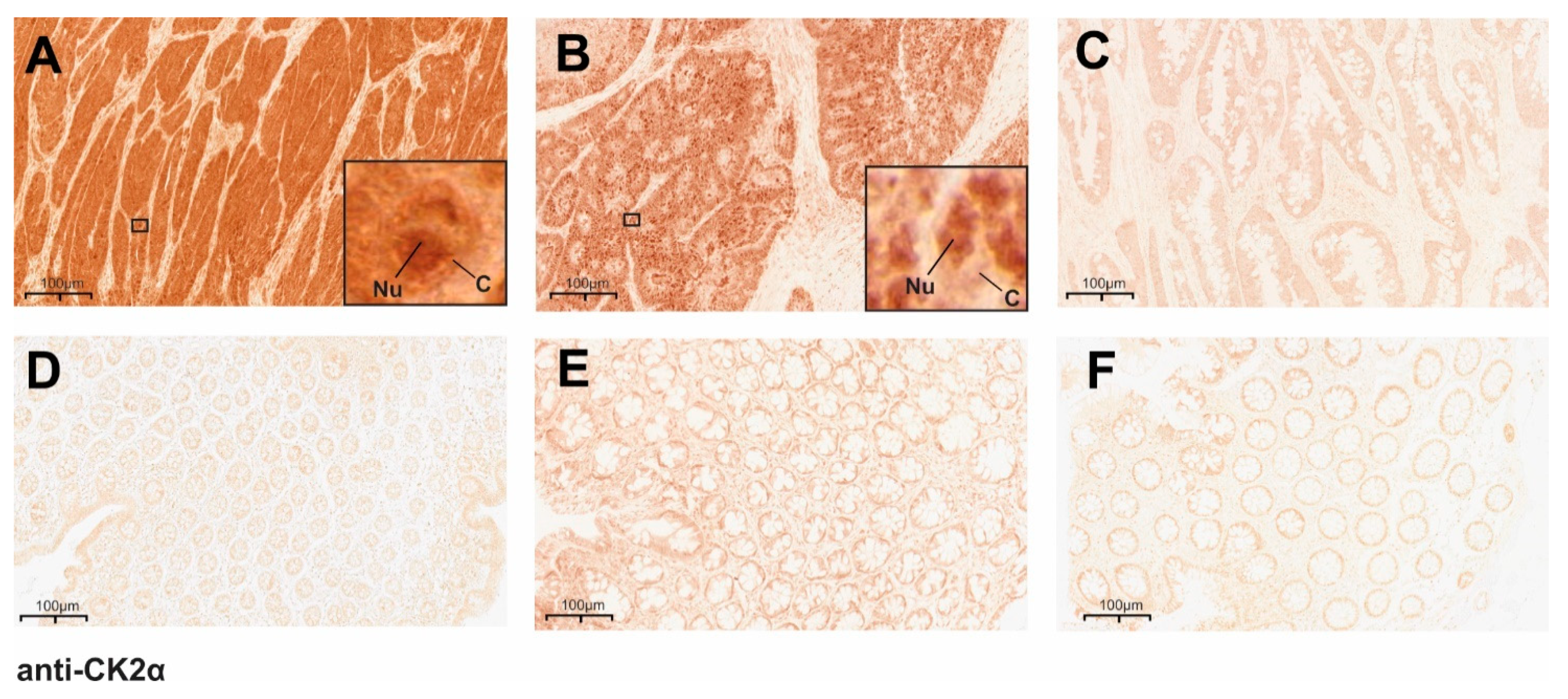
3.1. The Majority of CRCs Showed Elevated CK2α Expression
3.2. CK2α Quantity and Localization Allows Prediction of Overall Survival in Patients with CRC
3.3. CK2α Overexpression in CRC Causes Enhanced Level of p-MLH1S477
3.4. High Nuclear/Cytoplasmic CK2α Expression Correlates with a Significant Increase of Somatic Mutation Rates
3.5. Changes in CK2α Protein Expression Partially Correlate with Varying CK2α mRNA Levels
3.6. Somatic SNPs of the CK2α Promotor Region Detectable in CRC Cases
4. Discussion
5. Conclusions
Supplementary Materials
Author Contributions
Funding
Institutional Review Board Statement
Informed Consent Statement
Data Availability Statement
Acknowledgments
Conflicts of Interest
References
- Litchfield, D.W.; Bosc, D.G.; Canton, D.; Saulnier, R.B.; Vilk, G.; Zhang, C. Functional Specialization of Ck2 Isoforms and Characterization of Isoform-Specific Binding Partners. Mol. Cell Biochem. 2001, 227, 21–29. [Google Scholar] [CrossRef] [PubMed]
- Xu, X.; Toselli, P.A.; Russell, L.D.; Seldin, D.C. Globozoospermia in Mice Lacking the Casein Kinase II Alpha’ Catalytic Subunit. Nat. Genet. 1999, 23, 118–121. [Google Scholar] [CrossRef] [PubMed]
- Ackermann, K.; Pyerin, W. Protein Kinase Ck2alpha May Induce Gene Expression but Unlikely Acts Directly as a DNA-Binding Transcription-Activating Factor. Mol. Cell Biochem. 1999, 191, 129–134. [Google Scholar] [CrossRef] [PubMed]
- Litchfield, D.W. Protein Kinase Ck2: Structure, Regulation and Role in Cellular Decisions of Life and Death. Biochem. J. 2003, 369, 1–15. [Google Scholar] [CrossRef]
- Bibby, A.C.; Litchfield, D.W. The Multiple Personalities of the Regulatory Subunit of Protein Kinase Ck2: Ck2 Dependent and Ck2 Independent Roles Reveal a Secret Identity for Ck2beta. Int. J. Biol. Sci. 2005, 1, 67–79. [Google Scholar] [CrossRef]
- Pinna, L.A. Protein Kinase Ck2: A Challenge to Canons. J. Cell Sci. 2002, 115, 3873–3878. [Google Scholar] [CrossRef] [Green Version]
- Silva-Pavez, E.; Tapia, J.C. Protein Kinase Ck2 in Cancer Energetics. Front. Oncol. 2020, 10, 893. [Google Scholar] [CrossRef]
- Christmann, M.; Tomicic, M.T.; Kaina, B. Phosphorylation of Mismatch Repair Proteins Msh2 and Msh6 Affecting Mutsalpha Mismatch-Binding Activity. Nucleic. Acids. Res. 2002, 30, 1959–1966. [Google Scholar] [CrossRef] [Green Version]
- Wessbecher, I.M.; Hinrichsen, I.; Funke, S.; Oellerich, T.; Plotz, G.; Zeuzem, S.; Grus, F.H.; Biondi, R.M.; Brieger, A. DNA Mismatch Repair Activity of Mutlalpha Is Regulated by Ck2-Dependent Phosphorylation of MLH1 (S477). Mol. Carcinog. 2018, 57, 1723–1734. [Google Scholar] [CrossRef] [Green Version]
- Boland, C.R.; Goel, A. Microsatellite Instability in Colorectal Cancer. Gastroenterology 2010, 138, 2073–2087.e3. [Google Scholar] [CrossRef]
- Wittekind, C. Tnm: Klassifikation Maligner Tumoren; John Wiley & Sons: Hoboken, NJ, USA, 2016. [Google Scholar]
- Lynch, H.T.; de la Chapelle, A. Hereditary Colorectal Cancer. N. Engl. J. Med. 2003, 348, 919–932. [Google Scholar] [CrossRef] [PubMed]
- Herman, J.G.; Umar, A.; Polyak, K.; Graff, J.R.; Ahuja, N.; Issa, J.P.; Markowitz, S.; Willson, J.K.; Hamilton, S.R.; Kinzler, K.W.; et al. Incidence and Functional Consequences of Hmlh1 Promoter Hypermethylation in Colorectal Carcinoma. Proc. Natl. Acad. Sci. USA 1998, 95, 6870–6875. [Google Scholar] [CrossRef] [Green Version]
- Wimmer, K.; Kratz, C.P.; Vasen, H.F.A.; Caron, O.; Colas, C.; Entz-Werle, N.; Gerdes, A.M.; Goldberg, Y.; Ilencikova, D.; Muleris, M.; et al. Diagnostic Criteria for Constitutional Mismatch Repair Deficiency Syndrome: Suggestions of the European Consortium ‘Care for Cmmrd’ (C4CMMRD). J. Med. Genet. 2014, 51, 355–365. [Google Scholar] [CrossRef] [PubMed] [Green Version]
- Le, D.T.; Uram, J.N.; Wang, H.; Bartlett, B.R.; Kemberling, H.; Eyring, A.D.; Skora, A.D.; Luber, B.S.; Azad, N.S.; Laheru, D.; et al. Pd-1 Blockade in Tumors with Mismatch-Repair Deficiency. N. Engl. J. Med. 2015, 372, 2509–2520. [Google Scholar] [CrossRef] [PubMed] [Green Version]
- Le, D.T.; Durham, J.N.; Smith, K.N.; Wang, H.; Bartlett, B.R.; Aulakh, L.K.; Lu, S.; Kemberling, H.; Wilt, C.; Luber, B.S.; et al. Mismatch Repair Deficiency Predicts Response of Solid Tumors to Pd-1 Blockade. Science 2017, 357, 409–413. [Google Scholar] [CrossRef] [Green Version]
- Schrecker, C.; Behrens, S.; Schonherr, R.; Ackermann, A.; Pauli, D.; Plotz, G.; Zeuzem, S.; Brieger, A. SPTAN1 Expression Predicts Treatment and Survival Outcomes in Colorectal Cancer. Cancers 2021, 13, 3638. [Google Scholar] [CrossRef]
- Loupakis, F.; Depetris, I.; Biason, P.; Intini, R.; Prete, A.A.; Leone, F.; Lombardi, P.; Filippi, R.; Spallanzani, A.; Cascinu, S.; et al. Prediction of Benefit from Checkpoint Inhibitors in Mismatch Repair Deficient Metastatic Colorectal Cancer: Role of Tumor Infiltrating Lymphocytes. Oncologist 2020, 25, 481–487. [Google Scholar] [CrossRef] [Green Version]
- Cameron, F.; Whiteside, G.; Perry, C. Ipilimumab: First Global Approval. Drugs 2011, 71, 1093–1104. [Google Scholar] [CrossRef]
- Gong, J.; Wang, C.; Lee, P.P.; Chu, P.; Fakih, M. Response to PD-1 Blockade in Microsatellite Stable Metastatic Colorectal Cancer Harboring a Pole Mutation. J. Natl. Compr. Cancer Netw. 2017, 15, 142–147. [Google Scholar] [CrossRef] [Green Version]
- Fabrizio, D.A.; George, T.J., Jr.; Dunne, R.F.; Frampton, G.; Sun, J.; Gowen, K.; Kennedy, M.; Greenbowe, J.; Schrock, A.B.; Hezel, A.F.; et al. Beyond Microsatellite Testing: Assessment of Tumor Mutational Burden Identifies Subsets of Colorectal Cancer Who May Respond to Immune Checkpoint Inhibition. J. Gastrointest Oncol. 2018, 9, 610–617. [Google Scholar]
- Ackermann, A.; Schrecker, C.; Bon, D.; Friedrichs, N.; Bankov, K.; Wild, P.; Plotz, G.; Zeuzem, S.; Herrmann, E.; Hansmann, M.-L.; et al. Downregulation of SPTAN1 is related to MLH1 deficiency and metastasis in colorectal cancer. PLoS ONE 2019, 14, e0213411. [Google Scholar] [CrossRef] [Green Version]
- Trojan, J.; Zeuzem, S.; Randolph, A.; Hemmerle, C.; Brieger, A.; Raedle, J.; Plotz, G.; Jiricny, J.; Marra, G. Functional analysis of hMLH1 variants and HNPCC-related mutations using a human expression system. Gastroenterology 2002, 22, 211–219. [Google Scholar] [CrossRef] [PubMed]
- Turowec, J.P.; Duncan, J.S.; French, A.C.; Gyenis, L.; Denis, N.A.S.; Vilk, G.; Litchfield, D.W. Protein Kinase CK2 is a Constitutively Active Enzyme that Promotes Cell Survival: Strategies to Identify CK2 Substrates and Manipulate its Activity in Mammalian Cells. Methods Enzymol. 2010, 484, 471–493. [Google Scholar] [CrossRef]
- Brieger, A.; Plotz, G.; Raedle, J.; Weber, N.; Baum, W.; Caspary, W.; Zeuzem, S.; Trojan, J. Characterization of the nuclear import of human MutL? Mol. Carcinog. 2005, 43, 51–58. [Google Scholar] [CrossRef]
- Wirkner, U.; Voss, H.; Ansorge, W.; Pyerin, W. Genomic Organization and Promoter Identification of the Human Protein Kinase Ck2 Catalytic Subunit Alpha (CSNK2A1). Genomics 1998, 48, 71–78. [Google Scholar] [CrossRef] [PubMed]
- Brieger, A.; Adam, R.; Passmann, S.; Plotz, G.; Zeuzem, S.; Trojan, J. A CRM1-Dependent Nuclear Export Pathway Is Involved in the Regulation of Mutlalpha Subcellular Localization. Genes Chromosomes Cancer 2011, 50, 59–70. [Google Scholar] [CrossRef] [PubMed]
- Livak, K.J.; Schmittgen, T.D. Analysis of Relative Gene Expression Data Using Real-Time Quantitative Pcr and the 2(-Delta Delta C(T)) Method. Methods 2001, 25, 402–408. [Google Scholar] [CrossRef] [PubMed]
- Jennings, L.J.; Arcila, M.E.; Corless, C.; Kamel-Reid, S.; Lubin, I.M.; Pfeifer, J.; Temple-Smolkin, R.L.; Voelkerding, K.V.; Nikiforova, M.N. Guidelines for Validation of Next-Generation Sequencing-Based Oncology Panels: A Joint Consensus Recommendation of the Association for Molecular Pathology and College of American Pathologists. J. Mol. Diagn. 2017, 19, 341–365. [Google Scholar] [CrossRef] [Green Version]
- Li, H.; Durbin, R. Fast and accurate short read alignment with Burrows–Wheeler transform. Bioinformatics 2009, 25, 1754–1760. [Google Scholar] [CrossRef] [Green Version]
- Wang, K.; Li, M.; Hakonarson, H. ANNOVAR: Functional annotation of genetic variants from high-throughput sequencing data. Nucleic Acids Res. 2010, 38, e164. [Google Scholar] [CrossRef]
- Homma, M.K.; Homma, Y. Regulatory role of CK2 during the progression of cell cycle. Mol. Cell. Biochem. 2005, 274, 47–52. [Google Scholar] [CrossRef] [PubMed]
- Bian, Y.; Ye, M.; Wang, C.; Cheng, K.; Song, C.; Dong, M.; Pan, Y.; Qin, H.; Zou, H. Global Screening of CK2 Kinase Substrates by an Integrated Phosphoproteomics Workflow. Sci. Rep. 2013, 3, 3460. [Google Scholar] [CrossRef] [PubMed] [Green Version]
- Lin, K.Y.; Tai, C.; Hsu, J.C.; Li, C.F.; Fang, C.L.; Lai, H.C.; Hseu, Y.C.; Lin, Y.F.; Uen, Y.H. Overexpression of Nuclear Protein Kinase CK2 Alpha Catalytic Subunit (CK2alpha) as a Poor Prognosticator in Human Colorectal Cancer. PLoS ONE. 2011, 6, e17193. [Google Scholar]
- Zou, J.; Luo, H.; Zeng, Q.; Dong, Z.; Wu, D.; Liu, L. Protein kinase CK2α is overexpressed in colorectal cancer and modulates cell proliferation and invasion via regulating EMT-related genes. J. Transl. Med. 2011, 9, 97. [Google Scholar] [CrossRef] [Green Version]
- Chua, M.M.; Ortega, C.E.; Sheikh, A.; Lee, M.; Abdul-Rassoul, H.; Hartshorn, K.L.; Dominguez, I. CK2 in Cancer: Cellular and Biochemical Mechanisms and Potential Therapeutic Target. Pharmaceuticals 2017, 10, 18. [Google Scholar] [CrossRef]
- Chua, M.M.J.; Lee, M.; Dominguez, I. Cancer-type dependent expression of CK2 transcripts. PLoS ONE 2017, 12, e0188854. [Google Scholar] [CrossRef] [Green Version]
- Ortega, C.E.; Seidner, Y.; Dominguez, I. Mining CK2 in Cancer. PLoS ONE 2014, 9, e115609. [Google Scholar] [CrossRef]
- Gao, D.; Inuzuka, H.; Tseng, A.; Chin, Y.M.R.; Toker, A.; Wei, W. Phosphorylation by Akt1 promotes cytoplasmic localization of Skp2 and impairs APCCdh1-mediated Skp2 destruction. Nat. Cell Biol. 2009, 11, 397–408. [Google Scholar] [CrossRef]
- Rodier, G.; Montagnoli, A.; Di Marcotullio, L.; Coulombe, P.; Draetta, G.F.; Pagano, M.; Meloche, S. p27 cytoplasmic localization is regulated by phosphorylation on Ser10 and is not a prerequisite for its proteolysis. EMBO J. 2001, 20, 6672–6682. [Google Scholar] [CrossRef] [Green Version]
- Xie, J.; Lee, J.-A.; Kress, T.L.; Mowry, K.L.; Black, D.L. Protein kinase A phosphorylation modulates transport of the polypyrimidine tract-binding protein. Proc. Natl. Acad. Sci. USA 2003, 100, 8776–8781. [Google Scholar] [CrossRef] [Green Version]
- Ahadova, A.; Gallon, R.; Gebert, J.; Ballhausen, A.; Endris, V.; Kirchner, M.; Stenzinger, A.; Burn, J.; von Knebel Doeberitz, M.; Bläker, H.; et al. Three molecular pathways model colorectal carcinogenesis in Lynch syndrome. Int. J. Cancer 2018, 143, 139–150. [Google Scholar] [CrossRef] [PubMed] [Green Version]
- Homma, M.K.; Li, D.; Krebs, E.G.; Yuasa, Y.; Homma, Y. Association and regulation of casein kinase 2 activity by adenomatous polyposis coli protein. Proc. Natl. Acad. Sci. USA 2002, 99, 5959–5964. [Google Scholar] [CrossRef] [PubMed] [Green Version]
- Homma, M.K.; Kiko, Y.; Hashimoto, Y.; Nagatsuka, M.; Katagata, N.; Masui, S.; Homma, Y.; Nomizu, T. Intracellular localization of CK2α as a prognostic factor in invasive breast carcinomas. Cancer Sci. 2020, 112, 619–628. [Google Scholar] [CrossRef] [PubMed]
- Schaefer, S.; Doktor, T.K.; Frederiksen, S.B.; Chea, K.; Hlavacova, M.; Bruun, G.H.; Rabjerg, M.; Andresen, B.S.; Dominguez, I.; Guerra, B. Down-regulation of CK2α correlates with decreased expression levels of DNA replication minichromosome maintenance protein complex (MCM) genes. Sci. Rep. 2019, 9, 1–16. [Google Scholar] [CrossRef] [PubMed] [Green Version]
- Tubi, L.Q.; Nunes, S.J.C.; Brancalion, A.; Breatta, E.D.; Manni, S.; Mandato, E.; Zaffino, F.; Macaccaro, P.; Carrino, M.; Gianesin, K.; et al. Protein kinase CK2 regulates AKT, NF-κB and STAT3 activation, stem cell viability and proliferation in acute myeloid leukemia. Leukemia 2016, 31, 292–300. [Google Scholar] [CrossRef]
- Zhang, S.; Wang, Y.; Mao, J.-H.; Hsieh, D.; Kim, I.-J.; Hu, L.-M.; Xu, Z.; Long, H.; Jablons, D.M.; You, L. Inhibition of CK2α Down-Regulates Hedgehog/Gli Signaling Leading to a Reduction of a Stem-Like Side Population in Human Lung Cancer Cells. PLoS ONE 2012, 7, e38996. [Google Scholar] [CrossRef] [Green Version]
- Alexandrov, L.B.; Nik-Zainal, S.; Wedge, D.C.; Aparicio, S.A.; Behjati, S.; Biankin, A.V.; Bignell, G.R.; Bolli, N.; Borg, A.; Borresen-Dale, A.L.; et al. Signatures of Mutational Processes in Human Cancer. Nature 2013, 500, 415–421. [Google Scholar] [CrossRef] [Green Version]
- Burns, M.; Lackey, L.; Carpenter, M.A.; Rathore, A.; Land, A.M.; Leonard, B.; Refsland, E.W.; Kotandeniya, D.; Tretyakova, N.; Nikas, J.; et al. APOBEC3B is an enzymatic source of mutation in breast cancer. Nature 2013, 494, 366–370. [Google Scholar] [CrossRef]
- Roberts, S.A.; Lawrence, M.S.; Klimczak, L.J.; Grimm, S.A.; Fargo, D.; Stojanov, P.; Kiezun, A.; Kryukov, G.; Carter, S.L.; Saksena, G.; et al. An APOBEC cytidine deaminase mutagenesis pattern is widespread in human cancers. Nat. Genet. 2013, 45, 970–976. [Google Scholar] [CrossRef]
- Bouhaddou, M.; Memon, D.; Meyer, B.; White, K.M.; Rezelj, V.V.; Correa Marrero, M.; Polacco, B.J.; Melnyk, J.E.; Ulferts, S.; Kaake, R.M.; et al. The Global Phosphorylation Landscape of SARS-CoV-2 Infection. Cell 2020, 182, 685–712e19. [Google Scholar] [CrossRef]






| Localization—CK2α Gene Promoter Region [26] | Forward Primer | Reverse Primer |
|---|---|---|
| -1850 to -1555 | 5′-AGCACTTATTGCTACCTGAA-3′ | 5′-AATCCCAAAGTTTCTGGGAAGC-3′ |
| -1629 to -1334 | 5′-CCAAAAAGATACGTTCGAGAGG-3′ | 5′-AAAGAGGCACCTCTTCCCCA-3′ |
| -1404 to -1105 | 5′-CCCTGAGGCCATCACTATAA-3′ | 5′-TGATAAAAGCTGAAGCGTCTAA-3′ |
| -1179 to -888 | 5′-CACCTCTGTCCCACCAGAGGTG-3′ | 5′-CTTCTCTTACTGTCACCTCA-3′ |
| -962 to -657 | 5′-TAGAGGAAAGGATCCCTGAA-3′ | 5′-CTCATCATGGTCTCCCTATGGT -3′ |
| -734 to -446 | 5′-CAAGTGAAGAGTTTGGGCTATC -3′ | 5′-CCTAGGAAGGGCATGGCGCA-3′ |
| -520 to -202 | 5′-GGAAGGAATTGGGCCTTGGT-3′ | 5′-ACGAACCTCCCATTAGGTGAAC-3′ |
| -282 to -4 | 5′-CAGCTGGGTGAAGTGTGGGAAA-3′ | 5′-AGACAGCTTCCGACTCCGCC-3′ |
| -78 to +221 | 5′-CTAAGGTTACAATAGGACA-3′ | 5′-TATCCTGGGCCCACCCCACCCG-3′ |
| +155 to +364 | 5′-GCTTCCACCACAGGTACCTAGG-3′ | 5′-CCGCCCTGAGGGGTGGCCCC-3′ |
| Overall Survival in the Whole Cohort | ||
| Variables | Hazard Ratio [95% CI] | Significance Level [p-Value] |
| CK2α protein (high nuclear/cytoplasmic vs. low nuclear/cytoplasmic) | 2.033 [1.114–3.71] | 0.0236 |
| CK2α protein (high nuclear vs. low nuclear/cytoplasmic) | 3.178 [1.286–7.854] | 0.0035 |
| CK2α protein (high nuclear/cytoplasmic vs. high nuclear) | 0.6943 [0.3365–1.433] | 0.1147 |
| Overall Survival in the Selected Cohort | ||
| Variables | Hazard Ratio [95% CI] | Significance Level [p-Value] |
| CK2α protein (high nuclear/cytoplasmic vs. low nuclear/cytoplasmic) | 3.564 [0.6278–20.24] | 0.0873 |
| CK2α protein (high nuclear vs. low nuclear/cytoplasmic) | 5.694 [0.7611–42.6] | 0.0438 |
| CK2α protein (high nuclear/cytoplasmic vs. high nuclear) | 0.5019 [0.09712–2.694] | 0.4469 |
| High Nuclear/ Cytoplasmic | High Nuclear | Low Nuclear/ Cytoplasmic | |
|---|---|---|---|
| APC mutated | 10 | 2 | 2 |
| APC wildtype | 5 | 2 |
| Patient Number | CK2α Expression | Genomic SNP Localization * | SNP Position Correlated to Transcription Initiation Site *** |
|---|---|---|---|
| 103 | high nuclear/cytoplasmic | g.4315G>A g.4333G>A g.4453C>T | -686 -668 -548 |
| 43 | high nuclear/cytoplasmic | g.3406T>C g.3551C>T ** g.3557C>T/C g.3563A>G g.3585C>T g.3631C>T | -1595 -1450 -1444 -1438 -1416 -1370 |
| 125 | high nuclear/cytoplasmic | g.3396G>A/G g.3418G>A g.3561C>T/C g.3625C>T g.4742 C>T g.4842C>T g.4892C>T g.4939A>G | -1609 -1583 -1440 -1376 -259 -159 -109 -62 |
| 133 | high nuclear/cytoplasmic | g.4792A>G | -209 |
| 139 | high nuclear/cytoplasmic | g.3405G>A g.3425 G>A g.3533G>A g.3945G>A g.4018G>A g.4078G>A g.4343A>G g.4371G>A | -1596 -1576 -1468 -1056 -983 -923 -658 -630 |
| 98 | high nuclear | g.4498G>A | -503 |
| 44 | high nuclear | g.3430C>T g.3551C>T ** g.3591C>T g.3661C>T g.3944G>T | -1571 -1450 -1410 -1340 -1057 |
| 52 | low nuclear/cytoplasmic | g.3424G>A g.3510G>A g.4814C>T | -1577 -1491 -187 |
| 135 | low nuclear/cytoplasmic | g.4805C>T | -196 |
| 10 | low nuclear/cytoplasmic | g.4449G>A g.4463G>A g.5154C>T ** | -552 -538 +154 |
| 23 | low nuclear/cytoplasmic | g.5154C>T ** | +154 |
| 82 | low nuclear/cytoplasmic | g.4819G>A | -182 |
| 59 | low nuclear/cytoplasmic | g.3524G>A | -1477 |
Publisher’s Note: MDPI stays neutral with regard to jurisdictional claims in published maps and institutional affiliations. |
© 2022 by the authors. Licensee MDPI, Basel, Switzerland. This article is an open access article distributed under the terms and conditions of the Creative Commons Attribution (CC BY) license (https://creativecommons.org/licenses/by/4.0/).
Share and Cite
Ulreich, K.; Firnau, M.-B.; Tagscherer, N.; Beyer, S.; Ackermann, A.; Plotz, G.; Brieger, A. High Expression of Casein Kinase 2 Alpha Is Responsible for Enhanced Phosphorylation of DNA Mismatch Repair Protein MLH1 and Increased Tumor Mutation Rates in Colorectal Cancer. Cancers 2022, 14, 1553. https://doi.org/10.3390/cancers14061553
Ulreich K, Firnau M-B, Tagscherer N, Beyer S, Ackermann A, Plotz G, Brieger A. High Expression of Casein Kinase 2 Alpha Is Responsible for Enhanced Phosphorylation of DNA Mismatch Repair Protein MLH1 and Increased Tumor Mutation Rates in Colorectal Cancer. Cancers. 2022; 14(6):1553. https://doi.org/10.3390/cancers14061553
Chicago/Turabian StyleUlreich, Katharina, May-Britt Firnau, Nina Tagscherer, Sandra Beyer, Anne Ackermann, Guido Plotz, and Angela Brieger. 2022. "High Expression of Casein Kinase 2 Alpha Is Responsible for Enhanced Phosphorylation of DNA Mismatch Repair Protein MLH1 and Increased Tumor Mutation Rates in Colorectal Cancer" Cancers 14, no. 6: 1553. https://doi.org/10.3390/cancers14061553
APA StyleUlreich, K., Firnau, M.-B., Tagscherer, N., Beyer, S., Ackermann, A., Plotz, G., & Brieger, A. (2022). High Expression of Casein Kinase 2 Alpha Is Responsible for Enhanced Phosphorylation of DNA Mismatch Repair Protein MLH1 and Increased Tumor Mutation Rates in Colorectal Cancer. Cancers, 14(6), 1553. https://doi.org/10.3390/cancers14061553

