Central Nervous System Metastasis in Neuroblastoma: From Three Decades Clinical Experience to New Considerations in the Immunotherapy Era
Abstract
Simple Summary
Abstract
1. Introduction
2. Materials and Methods
3. Results
4. Discussion
5. Conclusions
Author Contributions
Funding
Institutional Review Board Statement
Informed Consent Statement
Data Availability Statement
Acknowledgments
Conflicts of Interest
References
- Maris, J.M.; Hogarty, M.D.; Bagatell, R.; Cohn, S.L. Neuroblastoma. Lancet Lond. Engl. 2007, 369, 2106–2120. [Google Scholar] [CrossRef] [PubMed]
- Pai Panandiker, A.S.; Beltran, C.; Billups, C.A.; McGregor, L.M.; Furman, W.L.; Davidoff, A.M. Intensity modulated radiation therapy provides excellent local control in high-risk abdominal neuroblastoma. Pediatr. Blood Cancer 2013, 60, 761–765. [Google Scholar] [CrossRef] [PubMed]
- Kholodenko, I.V.; Kalinovsky, D.V.; Doronin, I.I.; Deyev, S.M.; Kholodenko, R.V. Neuroblastoma origin and therapeutic targets for immunotherapy. J. Immunol. Res. 2018, 2018, 7394268. [Google Scholar] [CrossRef] [PubMed]
- Maris, J.M. Recent advances in neuroblastoma. N. Engl. J. Med. 2010, 362, 2202–2211. [Google Scholar] [CrossRef] [PubMed]
- Chirathivat, S.; Post, M.J. CT demonstration of dural metastases in neuroblastoma. J. Comput. Assist. Tomogr. 1980, 4, 316–319. [Google Scholar] [CrossRef]
- Hu, H.; Zhang, W.; Huang, D.; Wang, Y.; Zhang, Y.; Yi, Y.; Liu, A.; Li, J. Clinical characteristics, treatment and prognosis of paediatric patients with metastatic neuroblastoma to the brain. Clin. Neurol. Neurosurg. 2019, 184, 105372. [Google Scholar] [CrossRef]
- Fleck, S.; Marx, S.; Bobak, C.; Richter, V.; Nowak, S.; Rafaee, E.E.; Siebert, N.; Ehlert, K.; Schroeder, H.W.S.; Lode, H.N. Neuroblastoma with intracerebral metastases and the need for neurosurgery: A single-center experience. J. Neurosurg. Pediatr. 2019, 25, 51–56. [Google Scholar] [CrossRef]
- Chung, C.; Boterberg, T.; Lucas, J.; Panoff, J.; Valteau-Couanet, D.; Hero, B.; Bagatell, R.; Hill-Kayser, C.E. Neuroblastoma. Pediatr. Blood Cancer 2021, 68 (Suppl. 2), e28473. [Google Scholar] [CrossRef]
- Zimmerman, R.A.; Bilaniuk, L.T. CT of primary and secondary craniocerebral neuroblastoma. AJR Am. J. Roentgenol. 1980, 135, 1239–1242. [Google Scholar] [CrossRef]
- Liu, Y.; Huo, L.; Zhang, J.; Liu, Y. Intracranial metastases tend to be overt and predict poor prognosis in children with neuroblastoma. Front. Pediatr. 2021, 9, 716880. [Google Scholar] [CrossRef]
- Matthay, K.K.; Brisse, H.; Couanet, D.; Couturier, J.; Bénard, J.; Mosseri, V.; Edeline, V.; Lumbroso, J.; Valteau-Couanet, D.; Michon, J. Central nervous system metastases in neuroblastoma: Radiologic, clinical, and biologic features in 23 patients. Cancer 2003, 98, 155–165. [Google Scholar] [CrossRef]
- DuBois, S.G.; Kalika, Y.; Lukens, J.N.; Brodeur, G.M.; Seeger, R.C.; Atkinson, J.B.; Haase, G.M.; Black, C.T.; Perez, C.; Shimada, H.; et al. Metastatic sites in stage IV and IVS neuroblastoma correlate with age, tumor biology, and survival. J. Pediatr. Hematol. Oncol. 1999, 21, 181–189. [Google Scholar] [CrossRef]
- Stefanowicz, J.; Iżycka-Świeszewska, E.; Szurowska, E.; Bień, E.; Szarszewski, A.; Liberek, A.; Stempniewicz, M.; Kloc, W.; Adamkiewicz-Drożyńska, E. Brain metastases in paediatric patients: Characteristics of a patient series and review of the literature. Folia Neuropathol. 2011, 49, 271–281. [Google Scholar]
- Wiens, A.L.; Hattab, E.M. The pathological spectrum of solid CNS metastases in the pediatric population. J. Neurosurg. Pediatr. 2014, 14, 129–135. [Google Scholar] [CrossRef]
- Kramer, K.; Kushner, B.; Heller, G.; Cheung, N.K. Neuroblastoma metastatic to the central nervous system. The memorial sloan-kettering cancer center experience and a literature review. Cancer 2001, 91, 1510–1519. [Google Scholar] [CrossRef]
- Hauser, P.; Jakab, Z.; Láng, O.; Kondás, O.; Müller, J.; Schuler, D.; László, B.; Miklós, G. Incidence and survival of central nervous system involvement in childhood malignancies: Hungarian experience. J. Pediatr. Hematol. Oncol. 2005, 27, 125–128. [Google Scholar] [CrossRef]
- Paulino, A.C.; Nguyen, T.X.; Barker, J.L. Brain metastasis in children with sarcoma, neuroblastoma, and Wilms’ tumor. Int. J. Radiat. Oncol. Biol. Phys. 2003, 57, 177–183. [Google Scholar] [CrossRef]
- Shaw, P.J.; Eden, T. Neuroblastoma with Intracranial Involvement: An ENSG Study. Med. Pediatr. Oncol. 1992, 20, 149–155. [Google Scholar] [CrossRef]
- Irwin, M.S.; Naranjo, A.; Zhang, F.F.; Cohn, S.L.; London, W.B.; Gastier-Foster, J.M.; Ramirez, N.C.; Pfau, R.; Reshmi, S.; Wagner, E.; et al. Revised neuroblastoma risk classification system: A report from the children’s oncology group. J. Clin. Oncol. 2021, 39, 3229–3241. [Google Scholar] [CrossRef]
- Sait, S.; Modak, S. Anti-GD2 immunotherapy for neuroblastoma. Expert Rev. Anticancer Ther. 2017, 17, 889–904. [Google Scholar] [CrossRef]
- Bosse, K.R.; Raman, P.; Zhu, Z.; Lane, M.; Martinez, D.; Heitzeneder, S.; Rathi, K.S.; Kendsersky, N.M.; Randall, M.; Donovan, L.; et al. Identification of GPC2 as an oncoprotein and candidate immunotherapeutic target in high-risk neuroblastoma. Cancer Cell 2017, 32, 295–309.e12. [Google Scholar] [CrossRef] [PubMed]
- Zage, P.E.; Kletzel, M.; Murray, K.; Marcus, R.; Castleberry, R.; Zhang, Y.; London, W.B.; Kretschmar, C. Children’s oncology group outcomes of the POG 9340/9341/9342 trials for children with high-risk neuroblastoma: A report from the children’s oncology group. Pediatr. Blood Cancer 2008, 51, 747–753. [Google Scholar] [CrossRef] [PubMed]
- Blatt, J.; Fitz, C.; Mirro, J. Recognition of central nervous system metastases in children with metastatic primary extracranial neuroblastoma. Pediatr. Hematol. Oncol. 1997, 14, 233–241. [Google Scholar] [CrossRef] [PubMed]
- Pinto, N.R.; Applebaum, M.A.; Volchenboum, S.L.; Matthay, K.K.; London, W.B.; Ambros, P.F.; Nakagawara, A.; Berthold, F.; Schleiermacher, G.; Park, J.R.; et al. Advances in risk classification and treatment strategies for neuroblastoma. J. Clin. Oncol. 2015, 33, 3008–3017. [Google Scholar] [CrossRef] [PubMed]
- Park, J.R.; Kreissman, S.G.; London, W.B.; Naranjo, A.; Cohn, S.L.; Hogarty, M.D.; Tenney, S.C.; Haas-Kogan, D.; Shaw, P.J.; Kraveka, J.M.; et al. Effect of tandem autologous stem cell transplant vs single transplant on event-free survival in patients with high-risk neuroblastoma: A randomized clinical trial. JAMA 2019, 322, 746–755. [Google Scholar] [CrossRef]
- Ladenstein, R.; Pötschger, U.; Valteau-Couanet, D.; Luksch, R.; Castel, V.; Yaniv, I.; Laureys, G.; Brock, P.; Michon, J.M.; Owens, C.; et al. Interleukin 2 with anti-GD2 antibody Ch14.18/CHO (Dinutuximab Beta) in patients with high-risk neuroblastoma (HR-NBL1/SIOPEN): A multicentre, randomised, phase 3 trial. Lancet Oncol. 2018, 19, 1617–1629. [Google Scholar] [CrossRef]
- Garaventa, A.; Poetschger, U.; Valteau-Couanet, D.; Luksch, R.; Castel, V.; Elliott, M.; Ash, S.; Chan, G.C.F.; Laureys, G.; Beck-Popovic, M.; et al. Randomized trial of two induction therapy regimens for high-risk neuroblastoma: HR-NBL1.5 international society of pediatric oncology european neuroblastoma group study. J. Clin. Oncol. 2021, 39, 2552–2563. [Google Scholar] [CrossRef]
- Simon, T.; Berthold, F.; Borkhardt, A.; Kremens, B.; De Carolis, B.; Hero, B. Treatment and outcomes of patients with relapsed, high-risk neuroblastoma: Results of German trials. Pediatr. Blood Cancer 2011, 56, 578–583. [Google Scholar] [CrossRef]
- Deeken, J.F.; Löscher, W. The blood-brain barrier and cancer: Transporters, treatment, and trojan horses. Clin. Cancer Res. Off. J. Am. Assoc. Cancer Res. 2007, 13, 1663–1674. [Google Scholar] [CrossRef]
- Razpotnik, R.; Novak, N.; Čurin Šerbec, V.; Rajcevic, U. Targeting malignant brain tumors with antibodies. Front. Immunol. 2017, 8, 1181. [Google Scholar] [CrossRef]
- Berlanga, P.; Pasqualini, C.; Pötschger, U.; Sangüesa, C.; Castellani, M.R.; Cañete, A.; Luksch, R.; Elliot, M.; Schreier, G.; Kropf, M.; et al. Central nervous system relapse in high-risk stage 4 neuroblastoma: The HR-NBL1/SIOPEN trial experience. Eur. J. Cancer Oxf. Engl. 1990 2021, 144, 1–8. [Google Scholar] [CrossRef]
- Wieczorek, A.; Stefanowicz, J.; Hennig, M.; Adamkiewicz-Drozynska, E.; Stypinska, M.; Dembowska-Baginska, B.; Gamrot, Z.; Woszczyk, M.; Geisler, J.; Szczepanski, T.; et al. Isolated central nervous system relapses in patients with high-risk neuroblastoma -clinical presentation and prognosis: Experience of the Polish paediatric solid tumours study group. BMC Cancer 2022, 22, 701. [Google Scholar] [CrossRef]
- Gourand, F.; Patin, D.; Henry, A.; Ibazizène, M.; Dhilly, M.; Fillesoye, F.; Tirel, O.; Tintas, M.-L.; Papamicaël, C.; Levacher, V.; et al. Chemical delivery system of MIBG to the central nervous system: Synthesis, 11C-radiosynthesis, and in vivo evaluation. ACS Med. Chem. Lett. 2019, 10, 352–357. [Google Scholar] [CrossRef]
- Swift, C.C.; Eklund, M.J.; Kraveka, J.M.; Alazraki, A.L. Updates in diagnosis, management, and treatment of neuroblastoma. Radiogr. Rev. Publ. Radiol. Soc. N. Am. Inc. 2018, 38, 566–580. [Google Scholar] [CrossRef]
- D’Ambrosio, N.; Lyo, J.K.; Young, R.J.; Haque, S.S.; Karimi, S. Imaging of metastatic CNS neuroblastoma. AJR Am. J. Roentgenol. 2010, 194, 1223–1229. [Google Scholar] [CrossRef]
- Nabavizadeh, S.A.; Feygin, T.; Harding, B.N.; Bilaniuk, L.T.; Zimmerman, R.A.; Vossough, A. Imaging findings of patients with metastatic neuroblastoma to the brain. Acad. Radiol. 2014, 21, 329–337. [Google Scholar] [CrossRef]
- Toh, C.H.; Siow, T.Y.; Castillo, M. Peritumoral brain edema in metastases may be related to glymphatic dysfunction. Front. Oncol. 2021, 11, 725354. [Google Scholar] [CrossRef]
- Zhu, J.; Wang, J.; Zhen, Z.-J.; Lu, S.-Y.; Zhang, F.; Sun, F.-F.; Li, P.-F.; Huang, J.-T.; Cai, R.-Q.; Sun, X.-F. Brain metastasis in children with stage 4 neuroblastoma after multidisciplinary treatment. Chin. J. Cancer 2015, 34, 531–537. [Google Scholar] [CrossRef]
- Odone-Filho, V.; Cristofani, L.M.; Maluf, P.T.; Almeida, M.T.A.; Halley, N.; Vince, C.S.C.; de Azambuja, A.M.P.; Brumatti, M.; Lubraico, P.; da Camara Lopes, L.H.A.; et al. Involvement of the central nervous system in neuroblastomas: A potential direct pathway. Med. Hypotheses 2020, 136, 109479. [Google Scholar] [CrossRef]
- Kellie, S.J.; Hayes, F.A.; Bowman, L.; Kovnar, E.H.; Langston, J.; Jenkins, J.J.; Pao, W.J.; Ducos, R.; Green, A.A. Primary extracranial neuroblastoma with central nervous system metastases characterization by clinicopathologic findings and neuroimaging. Cancer 1991, 68, 1999–2006. [Google Scholar] [CrossRef]
- Croog, V.J.; Kramer, K.; Cheung, N.-K.V.; Kushner, B.H.; Modak, S.; Souweidane, M.M.; Wolden, S.L. Whole neuraxis irradiation to address central nervous system relapse in high-risk neuroblastoma. Int. J. Radiat. Oncol. Biol. Phys. 2010, 78, 849–854. [Google Scholar] [CrossRef] [PubMed]
- Luo, L.Y.; Kramer, K.; Cheung, N.-K.V.; Kushner, B.H.; Modak, S.; Basu, E.M.; Roberts, S.S.; Wolden, S.L. Reduced-dose craniospinal irradiation for central nervous system relapsed neuroblastoma. Pediatr. Blood Cancer 2020, 67, e28364. [Google Scholar] [CrossRef] [PubMed]
- Quintarelli, C.; Camera, A.; Ciccone, R.; Alessi, I.; Del Bufalo, F.; Carai, A.; Del Baldo, G.; Mastronuzzi, A.; De Angelis, B. Innovative and promising strategies to enhance effectiveness of immunotherapy for CNS tumors: Where are we? Front. Immunol. 2021, 12, 634031. [Google Scholar] [CrossRef] [PubMed]



| Patient | Sex | Age at dg | Primary Tumor | Metastasis | Skull Involvement at dg | MYCN Status | Urinary Catecholamines at dg/Relapse | Relapse | CNS Relapse | Time to CNS Relapse | Treatment at Relapse | Outcome |
|---|---|---|---|---|---|---|---|---|---|---|---|---|
| 1 | F | 18 | Adrenal gland | Bone/marrow, liver, CNS | yes | Not amplified | Positive | No | no | N/A | N/A | Alive, 121 mo |
| 2 | F | 60 | Adrenal gland | Bone/marrow, CNS | yes | Not amplified | Positive | yes, 21 mo | no | N/A | N/A | Died, 45 mo |
| 3 | M | 31 | Adrenal gland | Bone/marrow, CNS | yes | Not amplified | Positive | yes, 37 mo | no | N/A | N/A | Died, 77 mo |
| 4 | F | 19 | Adrenal gland | Bone/marrow, Lymphonode | yes | Amplified | Positive/negative | yes, 27 mo | yes, first relapse | 27 mo | Surgery, chemotherapy, CSI | Alive, 114 mo |
| 5 | M | 86 | Adrenal gland | Bone/marrow | yes | MYCN gain | Positive/negative | yes, 25 mo | yes, first relapse | 25 mo | Surgery, chemotherapy, CSI | Died, 47 mo |
| 6 | M | 18 | Adrenal gland | No (bone/marrow at first relapse) | No, yes at first relapse | MYCN gain | Positive/negative | yes, 12 mo | yes, second relapse | 24 mo | Surgery, chemotherapy, CSI | Alive, 30 mo |
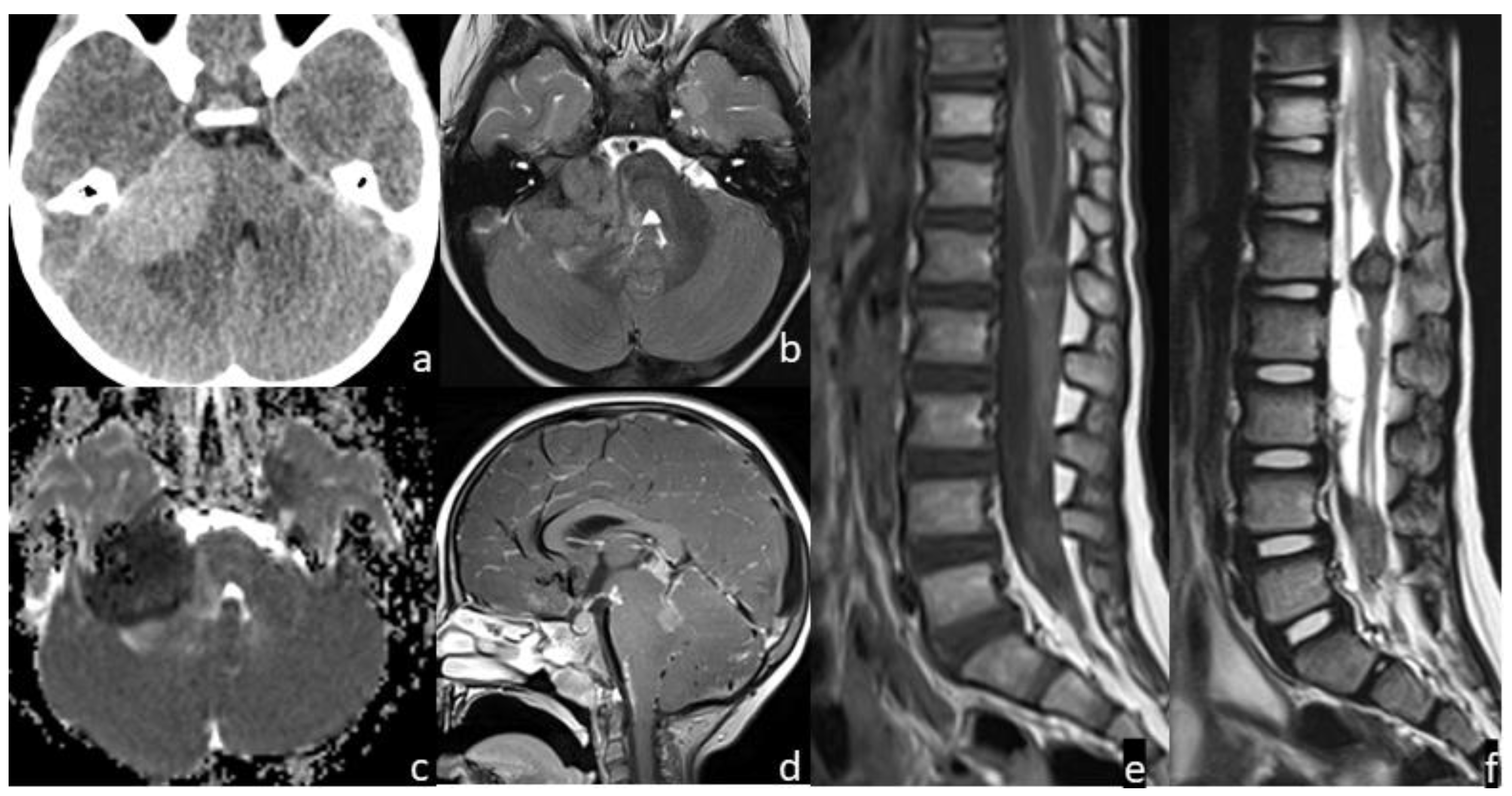
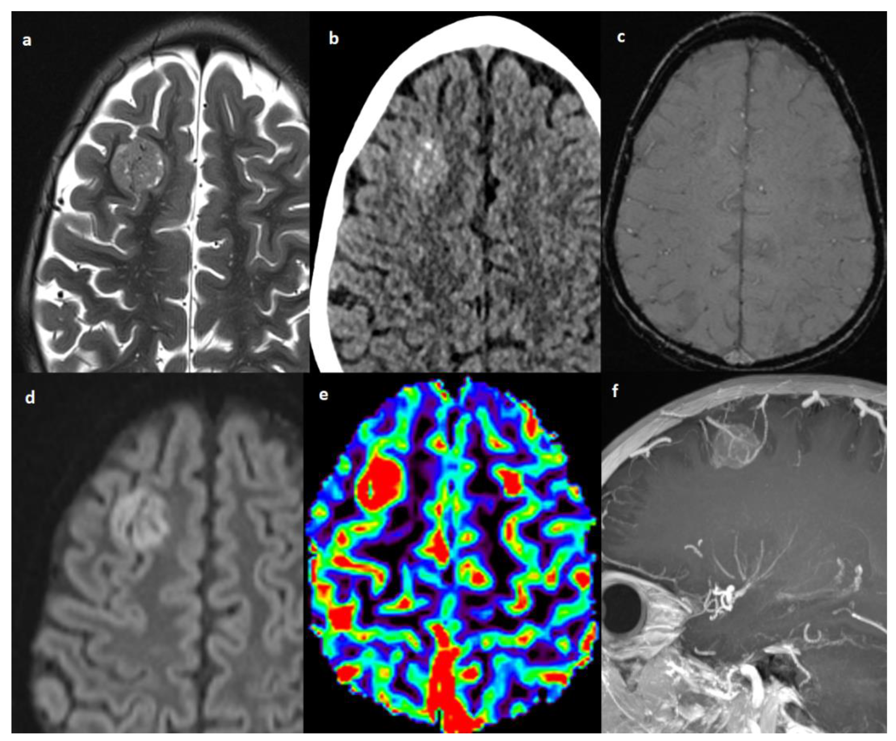
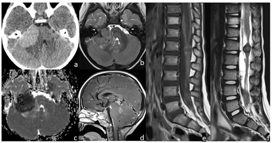
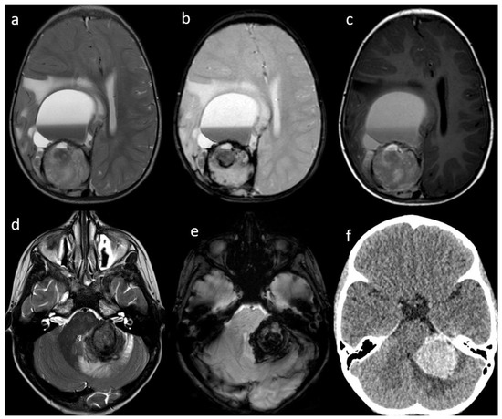
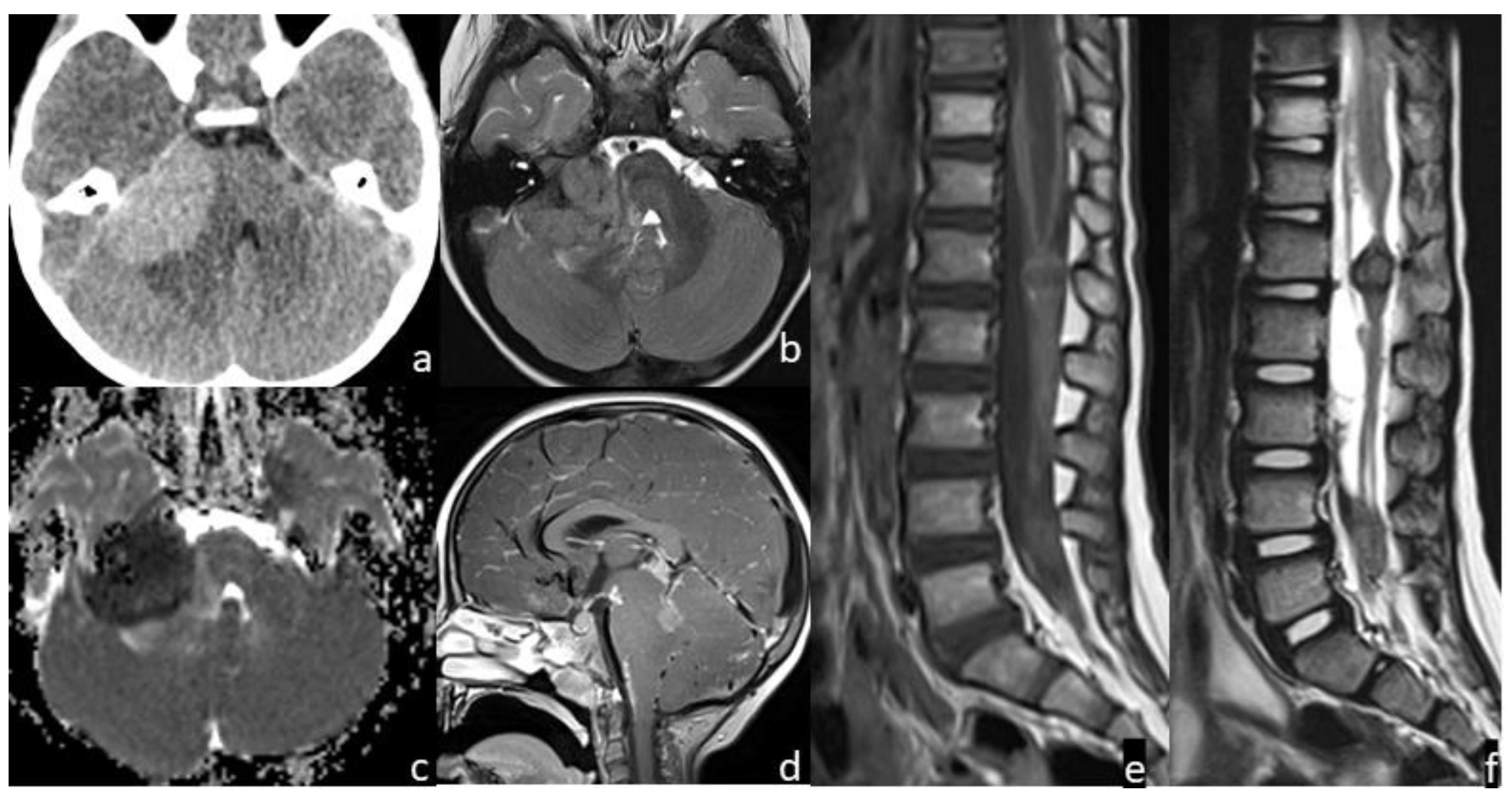
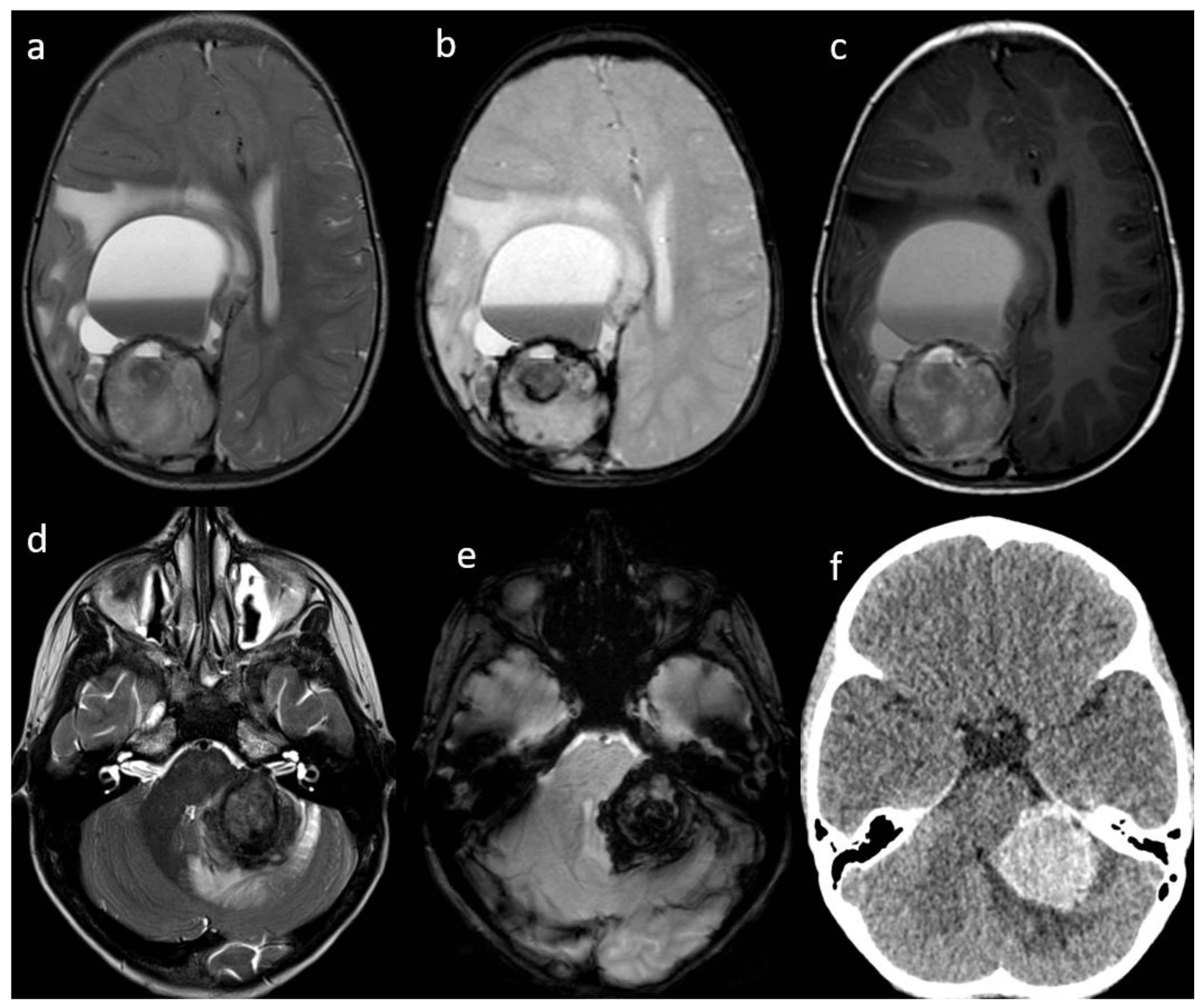
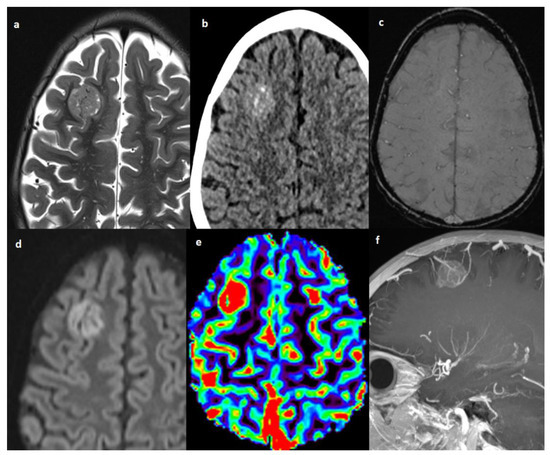
| Patient | Type of CNS Involvement | Location | Number of Lesions | Size (mm) | Imaging Modality | Enhancement | Density | Cyst, Necrosis | Edema | Hemorrhage | Diffusion | Perfusion | 123I MIBG Scan |
|---|---|---|---|---|---|---|---|---|---|---|---|---|---|
| 1 | brain parenchyma | right cerebral hemisphere | 1 | 90 × 60 × 50 | CT MRI | yes | Yes | yes | yes | yes | N/A | N/A | performed after surgery |
| 4 | diffuse leptomeningeal | supratentorial and infratentorial brain regions; pineal and sellar regions; spine and cauda | >1 | N/A | CT MRI | yes | High | no | yes | yes | restricted | N/A | positive |
| 5 | brain parenchyma | left cerebellar hemisphere/middle cerebellar peduncle | 1 | 30 × 30 × 36 | CT MRI | yes | High | no | yes | yes | N/A | N/A | negative |
| 6 | brain parenchyma | right frontal lobe | 1 | 20 × 20 × 19 | CT MRI | yes | High | no | yes | no | restricted | increased | positive |
Publisher’s Note: MDPI stays neutral with regard to jurisdictional claims in published maps and institutional affiliations. |
© 2022 by the authors. Licensee MDPI, Basel, Switzerland. This article is an open access article distributed under the terms and conditions of the Creative Commons Attribution (CC BY) license (https://creativecommons.org/licenses/by/4.0/).
Share and Cite
Mastronuzzi, A.; Colafati, G.S.; Carai, A.; D’Egidio, M.; Fabozzi, F.; Del Bufalo, F.; Villani, M.F.; Del Baldo, G.; Vennarini, S.; Canino, C.; et al. Central Nervous System Metastasis in Neuroblastoma: From Three Decades Clinical Experience to New Considerations in the Immunotherapy Era. Cancers 2022, 14, 6249. https://doi.org/10.3390/cancers14246249
Mastronuzzi A, Colafati GS, Carai A, D’Egidio M, Fabozzi F, Del Bufalo F, Villani MF, Del Baldo G, Vennarini S, Canino C, et al. Central Nervous System Metastasis in Neuroblastoma: From Three Decades Clinical Experience to New Considerations in the Immunotherapy Era. Cancers. 2022; 14(24):6249. https://doi.org/10.3390/cancers14246249
Chicago/Turabian StyleMastronuzzi, Angela, Giovanna Stefania Colafati, Andrea Carai, Maria D’Egidio, Francesco Fabozzi, Francesca Del Bufalo, Maria Felicia Villani, Giada Del Baldo, Sabina Vennarini, Costanza Canino, and et al. 2022. "Central Nervous System Metastasis in Neuroblastoma: From Three Decades Clinical Experience to New Considerations in the Immunotherapy Era" Cancers 14, no. 24: 6249. https://doi.org/10.3390/cancers14246249
APA StyleMastronuzzi, A., Colafati, G. S., Carai, A., D’Egidio, M., Fabozzi, F., Del Bufalo, F., Villani, M. F., Del Baldo, G., Vennarini, S., Canino, C., Di Giannatale, A., Tomà, P., Garganese, M. C., & De Ioris, M. A. (2022). Central Nervous System Metastasis in Neuroblastoma: From Three Decades Clinical Experience to New Considerations in the Immunotherapy Era. Cancers, 14(24), 6249. https://doi.org/10.3390/cancers14246249

