CT Radiomics and Whole Genome Sequencing in Patients with Pancreatic Ductal Adenocarcinoma: Predictive Radiogenomics Modeling
Abstract
Simple Summary
Abstract
1. Introduction
2. Materials and Methods
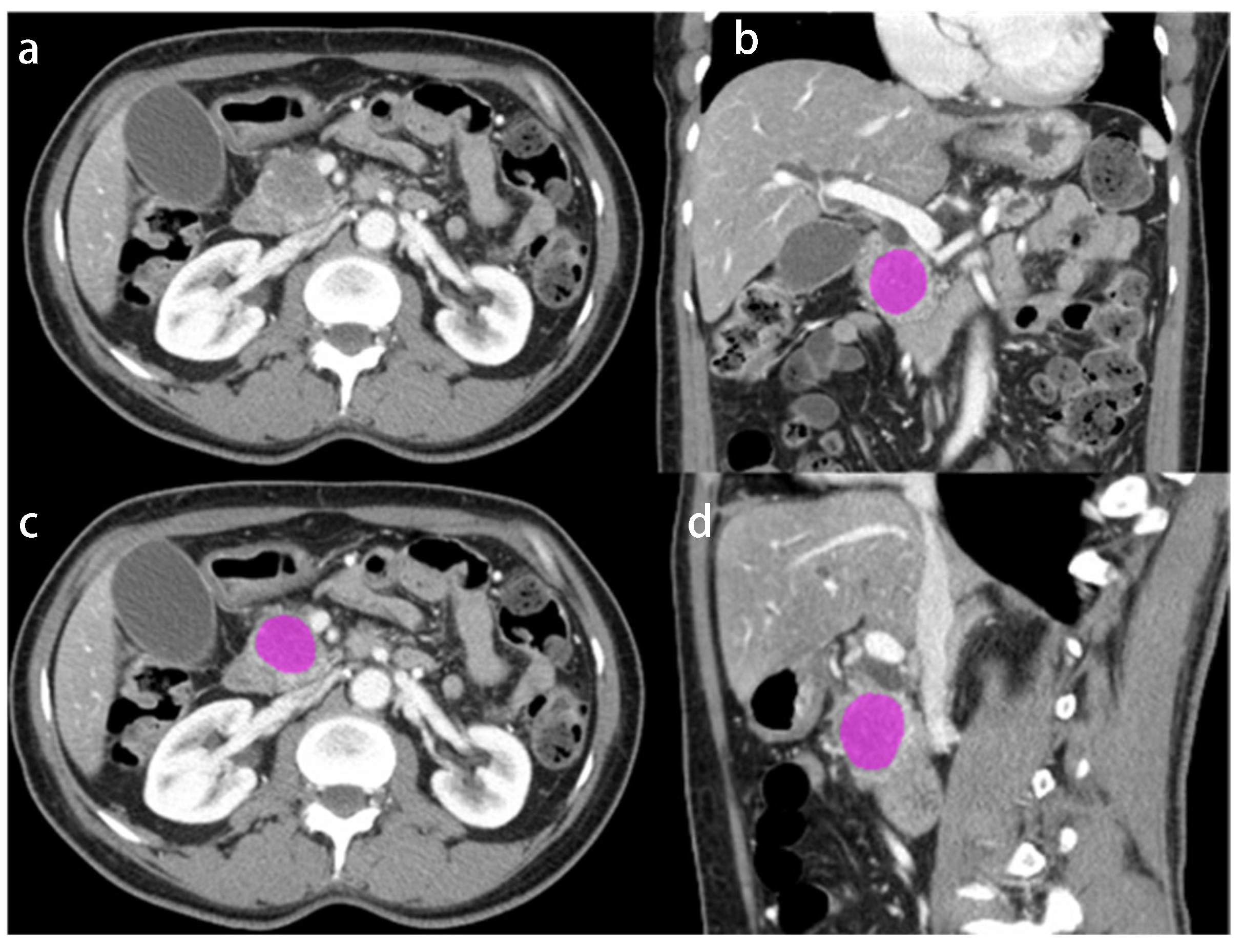
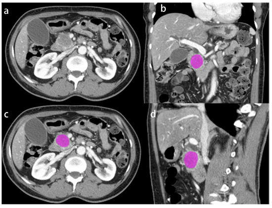
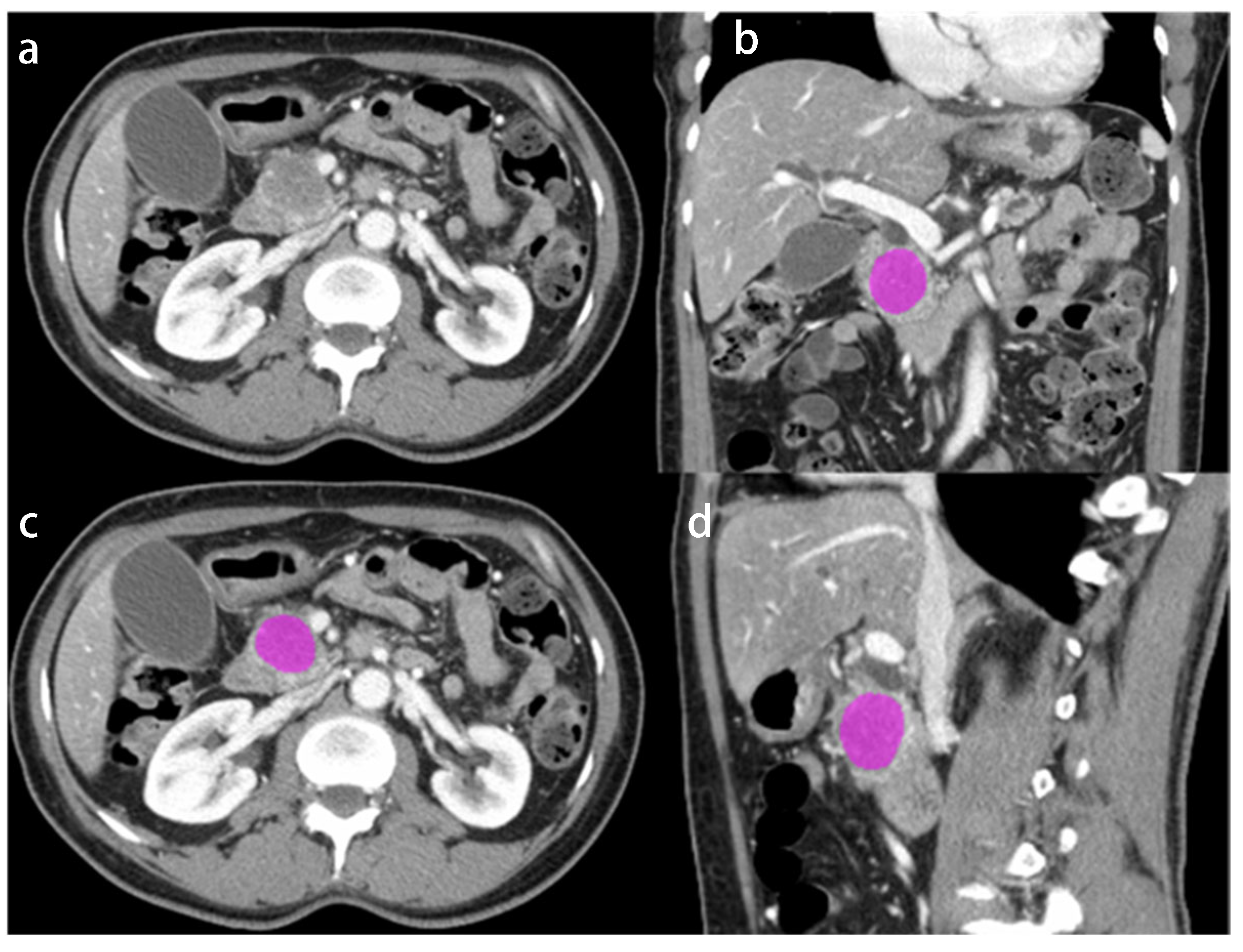
2.1. Image Acquisition
2.2. Image Segmentation, Radiomic Feature Extraction and Genomic Data
2.3. Statistical Analysis and Modelling
2.3.1. Feature Selection
2.3.2. Model Building
3. Results
3.1. Baseline Characteristics of the Study Cohort
3.2. Whole Genome Sequencing
3.3. Method 1
3.4. Method 2
4. Discussion
5. Conclusions
Author Contributions
Funding
Institutional Review Board Statement
Informed Consent Statement
Data Availability Statement
Conflicts of Interest
References
- Elbanna, K.Y.; Jang, H.-J.; Kim, T.K. Imaging diagnosis and staging of pancreatic ductal adenocarcinoma: A comprehensive review. Insights Imaging 2020, 11, 58. [Google Scholar] [CrossRef] [PubMed]
- Siegel, R.L.; Miller, K.D.; Jemal, A. Cancer statistics, 2020. CA Cancer J. Clin. 2020, 70, 7–30. [Google Scholar] [CrossRef] [PubMed]
- Campen, C.J.; Dragovich, T.; Baker, A.F. Management strategies in pancreatic cancer. Am. J. Health Syst. Pharm. 2011, 68, 573–584. [Google Scholar] [CrossRef] [PubMed]
- Waddell, N.; Pajic, M.; Patch, A.-M.; Chang, D.K.; Kassahn, K.S.; Bailey, P.; Johns, A.L.; Miller, D.; Nones, K.; Quek, K. Whole genomes redefine the mutational landscape of pancreatic cancer. Nature 2015, 518, 495–501. [Google Scholar] [CrossRef] [PubMed]
- Biankin, A.V.; Waddell, N.; Kassahn, K.S.; Gingras, M.-C.; Muthuswamy, L.B.; Johns, A.L.; Miller, D.K.; Wilson, P.J.; Patch, A.-M.; Wu, J. Pancreatic cancer genomes reveal aberrations in axon guidance pathway genes. Nature 2012, 491, 399–405. [Google Scholar] [CrossRef]
- Jones, S.; Zhang, X.; Parsons, D.W.; Lin, J.C.-H.; Leary, R.J.; Angenendt, P.; Mankoo, P.; Carter, H.; Kamiyama, H.; Jimeno, A. Core signaling pathways in human pancreatic cancers revealed by global genomic analyses. Science 2008, 321, 1801–1806. [Google Scholar] [CrossRef]
- Bailey, P.; Chang, D.K.; Nones, K.; Johns, A.L.; Patch, A.-M.; Gingras, M.-C.; Miller, D.K.; Christ, A.N.; Bruxner, T.J.; Quinn, M.C. Genomic analyses identify molecular subtypes of pancreatic cancer. Nature 2016, 531, 47–52. [Google Scholar] [CrossRef]
- Raphael, B.J.; Hruban, R.H.; Aguirre, A.J.; Moffitt, R.A.; Yeh, J.J.; Stewart, C.; Robertson, A.G.; Cherniack, A.D.; Gupta, M.; Getz, G. Integrated genomic characterization of pancreatic ductal adenocarcinoma. Cancer Cell 2017, 32, 185–203.e113. [Google Scholar] [CrossRef] [PubMed]
- Obermeyer, Z.; Emanuel, E.J. Predicting the Future—Big Data, Machine Learning, and Clinical Medicine. N. Engl. J. Med. 2016, 375, 1216–1219. [Google Scholar] [CrossRef]
- Baessler, B.; Nestler, T.; Dos Santos, D.P.; Paffenholz, P.; Zeuch, V.; Pfister, D.; Maintz, D.; Heidenreich, A. Radiomics allows for detection of benign and malignant histopathology in patients with metastatic testicular germ cell tumors prior to post-chemotherapy retroperitoneal lymph node dissection. Eur. Radiol. 2020, 30, 2334–2345. [Google Scholar] [CrossRef]
- GGillies, R.; Kinahan, P.; Hricak, H. Radiomics: Images Are More than Pictures, They Are Data. Radiology 2016, 278, 563–577. [Google Scholar] [CrossRef]
- Pinker, K.; Shitano, F.; Sala, E.; Do, R.K.; Young, R.J.; Wibmer, A.G.; Hricak, H.; Sutton, E.J.; Morris, E.A. Background, current role, and potential applications of radiogenomics. J. Magn. Reson. Imaging 2018, 47, 604–620. [Google Scholar] [CrossRef]
- Salinas-Miranda, E.; Healy, G.M.; Grünwald, B.; Jain, R.; Deniffel, D.; O’Kane, G.M.; Grant, R.; Wilson, J.; Knox, J.; Gallinger, S.; et al. Correlation of transcriptional subtypes with a validated CT radiomics score in resectable pancreatic ductal adenocarcinoma. Eur. Radiol. 2022, 32, 6712–6722. [Google Scholar] [CrossRef]
- Nioche, C.; Orlhac, F.; Boughdad, S.; Reuzé, S.; Goya-Outi, J.; Robert, C.; Pellot-Barakat, C.; Soussan, M.; Frouin, F.; Buvat, I. LIFEx: A Freeware for Radiomic Feature Calculation in Multimodality Imaging to Accelerate Advances in the Characterization of Tumor Heterogeneity. Cancer Res. 2018, 78, 4786–4789. [Google Scholar] [CrossRef] [PubMed]
- Lathrop, M.; Gut, I.; Heath, S.; Tost, J.; Gress, T.; Hudson, T. International network of cancer genome projects (The International Cancer Genome Consortium). Nature 2010, 464, 993–998. [Google Scholar]
- Li, H.; Durbin, R. Fast and accurate short read alignment with Burrows–Wheeler transform. Bioinformatics 2009, 25, 1754–1760. [Google Scholar] [CrossRef] [PubMed]
- Saunders, C.T.; Wong, W.S.; Swamy, S.; Becq, J.; Murray, L.J.; Cheetham, R.K. Strelka: Accurate somatic small-variant calling from sequenced tumor–normal sample pairs. Bioinformatics 2012, 28, 1811–1817. [Google Scholar] [CrossRef]
- Cibulskis, K.; Lawrence, M.S.; Carter, S.L.; Sivachenko, A.; Jaffe, D.; Sougnez, C.; Gabriel, S.; Meyerson, M.; Lander, E.S.; Getz, G. Sensitive detection of somatic point mutations in impure and heterogeneous cancer samples. Nat. Biotechnol. 2013, 31, 213–219. [Google Scholar] [CrossRef]
- Wang, K.; Li, M.; Hakonarson, H. ANNOVAR: Functional annotation of genetic variants from high-throughput sequencing data. Nucleic Acids Res. 2010, 38, e164. [Google Scholar] [CrossRef] [PubMed]
- Notta, F.; Chan-Seng-Yue, M.; Lemire, M.; Li, Y.; Wilson, G.W.; Connor, A.A.; Denroche, R.E.; Liang, S.-B.; Brown, A.M.; Kim, J.C. A renewed model of pancreatic cancer evolution based on genomic rearrangement patterns. Nature 2016, 538, 378–382. [Google Scholar] [CrossRef]
- Cerami, E.; Gao, J.; Dogrusoz, U.; Gross, B.E.; Sumer, S.O.; Aksoy, B.A.; Jacobsen, A.; Byrne, C.J.; Heuer, M.L.; Larsson, E. The cBio cancer genomics portal: An open platform for exploring multidimensional cancer genomics data. Cancer Discov. 2012, 2, 401–404. [Google Scholar] [CrossRef] [PubMed]
- Gao, J.; Aksoy, B.A.; Dogrusoz, U.; Dresdner, G.; Gross, B.; Sumer, S.O.; Sun, Y.; Jacobsen, A.; Sinha, R.; Larsson, E. Integrative analysis of complex cancer genomics and clinical profiles using the cBioPortal. Sci. Signal. 2013, 6, 269. [Google Scholar] [CrossRef] [PubMed]
- Pham, N.-A.; Radulovich, N.; Ibrahimov, E.; Martins-Filho, S.N.; Li, Q.; Pintilie, M.; Weiss, J.; Raghavan, V.; Cabanero, M.; Denroche, R.E. Patient-derived tumor xenograft and organoid models established from resected pancreatic, duodenal and biliary cancers. Sci. Rep. 2021, 11, 10619. [Google Scholar] [CrossRef] [PubMed]
- Peterson, R.A. Finding Optimal Normalizing Transformations via best Normalize. R J. 2021, 13, 310–329. [Google Scholar] [CrossRef]
- Golan, T.; Hammel, P.; Reni, M.; Van Cutsem, E.; Macarulla, T.; Hall, M.J.; Park, J.-O.; Hochhauser, D.; Arnold, D.; Oh, D.-Y. Maintenance olaparib for germline BRCA-mutated metastatic pancreatic cancer. N. Engl. J. Med. 2019, 381, 317–327. [Google Scholar] [CrossRef]
- O’Reilly, E.M.; Lee, J.W.; Lowery, M.A.; Capanu, M.; Stadler, Z.K.; Moore, M.J.; Dhani, N.; Kindler, H.L.; Estrella, H.; Maynard, H. Phase 1 trial evaluating cisplatin, gemcitabine, and veliparib in 2 patient cohorts: Germline BRCA mutation carriers and wild-type BRCA pancreatic ductal adenocarcinoma. Cancer 2018, 124, 1374–1382. [Google Scholar] [CrossRef]
- Qian, Z.R.; Rubinson, D.A.; Nowak, J.A.; Morales-Oyarvide, V.; Dunne, R.F.; Kozak, M.M.; Welch, M.W.; Brais, L.K.; Da Silva, A.; Li, T. Association of alterations in main driver genes with outcomes of patients with resected pancreatic ductal adenocarcinoma. JAMA Oncol. 2018, 4, e173420. [Google Scholar] [CrossRef]
- McIntyre, C.A.; Lawrence, S.A.; Richards, A.L.; Chou, J.F.; Wong, W.; Capanu, M.; Berger, M.F.; Donoghue, M.T.; Yu, K.H.; Varghese, A.M. Alterations in driver genes are predictive of survival in patients with resected pancreatic ductal adenocarcinoma. Cancer 2020, 126, 3939–3949. [Google Scholar] [CrossRef]
- Miyabayashi, K.; Nakagawa, H.; Koike, K. Molecular and phenotypic profiling for precision medicine in pancreatic cancer: Current advances and future perspectives. Front. Oncol. 2021, 11, 2373. [Google Scholar] [CrossRef]
- Fischer, C.G.; Wood, L.D. From somatic mutation to early detection: Insights from molecular characterization of pancreatic cancer precursor lesions. J. Pathol. 2018, 246, 395–404. [Google Scholar] [CrossRef]
- Bernard, V.; Semaan, A.; Huang, J.; San Lucas, F.A.; Mulu, F.C.; Stephens, B.M.; Guerrero, P.A.; Huang, Y.; Zhao, J.; Kamyabi, N. Single-Cell Transcriptomics of Pancreatic Cancer Precursors Demonstrates Epithelial and Microenvironmental Heterogeneity as an Early Event in Neoplastic ProgressionSingle-Cell RNA Sequencing of Pancreatic Cancer. Clin. Cancer Res. 2019, 25, 2194–2205. [Google Scholar] [CrossRef]
- Yoneyama, H.; Takizawa-Hashimoto, A.; Takeuchi, O.; Watanabe, Y.; Atsuda, K.; Asanuma, F.; Yamada, Y.; Suzuki, Y. Acquired resistance to gemcitabine and cross-resistance in human pancreatic cancer clones. Anti Cancer Drugs 2015, 26, 90–100. [Google Scholar] [CrossRef] [PubMed]
- Grasso, C.; Jansen, G.; Giovannetti, E. Drug resistance in pancreatic cancer: Impact of altered energy metabolism. Crit. Rev. Oncol. Hematol. 2017, 114, 139–152. [Google Scholar] [CrossRef] [PubMed]
- Kimmelman, A.C. Metabolic dependencies in RAS-driven cancers. Clin. Cancer Res. 2015, 21, 1828–1834. [Google Scholar] [CrossRef] [PubMed]
- Wang, F.; Xia, X.; Yang, C.; Shen, J.; Mai, J.; Kim, H.-C.; Kirui, D.; Kang, Y.A.; Fleming, J.B.; Koay, E.J. SMAD4 gene mutation renders pancreatic cancer resistance to radiotherapy through promotion of autophagy. Clin. Cancer Res. 2018, 24, 3176–3185. [Google Scholar] [CrossRef]
- Tascilar, M.; Skinner, H.G.; Rosty, C.; Sohn, T.; Wilentz, R.E.; Offerhaus, G.J.A.; Adsay, V.; Abrams, R.A.; Cameron, J.L.; Kern, S.E. The SMAD4 protein and prognosis of pancreatic ductal adenocarcinoma. Clin. Cancer Res. 2001, 7, 4115–4121. [Google Scholar]
- Crane, C.H.; Varadhachary, G.R.; Yordy, J.S.; Staerkel, G.A.; Javle, M.M.; Safran, H.; Haque, W.; Hobbs, B.D.; Krishnan, S.; Fleming, J.B. Phase II trial of cetuximab, gemcitabine, and oxaliplatin followed by chemoradiation with cetuximab for locally advanced (T4) pancreatic adenocarcinoma: Correlation of Smad4 (Dpc4) immunostaining with pattern of disease progression. J. Clin. Oncol. 2011, 29, 3037. [Google Scholar] [CrossRef] [PubMed]
- Lin, J.-C.; Liu, T.-P.; Yang, P.-M. CDKN2A-inactivated pancreatic ductal adenocarcinoma exhibits therapeutic sensitivity to paclitaxel: A bioinformatics study. J. Clin. Med. 2020, 9, 4019. [Google Scholar] [CrossRef] [PubMed]
- Chen, J.; Li, D.; Killary, A.M.; Sen, S.; Amos, C.I.; Evans, D.B.; Abbruzzese, J.L.; Frazier, M.L. Polymorphisms of p16, p27, p73, and MDM2 modulate response and survival of pancreatic cancer patients treated with preoperative chemoradiation. Ann. Surg. Oncol. 2009, 16, 431–439. [Google Scholar] [CrossRef]
- Luo, Y.; Tian, L.; Feng, Y.; Yi, M.; Chen, X.; Huang, Q. The predictive role of p16 deletion, p53 deletion, and polysomy 9 and 17 in pancreatic ductal adenocarcinoma. Pathol. Oncol. Res. 2013, 19, 35–40. [Google Scholar] [CrossRef]
- Oshima, M.; Okano, K.; Muraki, S.; Haba, R.; Maeba, T.; Suzuki, Y.; Yachida, S. Immunohistochemically detected expression of 3 major genes (CDKN2A/p16, TP53, and SMAD4/DPC4) strongly predicts survival in patients with resectable pancreatic cancer. Ann. Surg. 2013, 258, 336–346. [Google Scholar] [CrossRef]
- Marti-Bonmati, L.; Cerdá-Alberich, L.; Pérez-Girbés, A.; Díaz Beveridge, R.; Montalvá Orón, E.; Pérez Rojas, J.; Alberich-Bayarri, A. Pancreatic cancer, radiomics and artificial intelligence. Br. J. Radiol. 2022, 95, 20220072. [Google Scholar] [CrossRef] [PubMed]
- Avesani, G.; Tran, H.E.; Cammarata, G.; Botta, F.; Raimondi, S.; Russo, L.; Persiani, S.; Bonatti, M.; Tagliaferri, T.; Dolciami, M. CT-Based Radiomics and Deep Learning for BRCA Mutation and Progression-Free Survival Prediction in Ovarian Cancer Using a Multicentric Dataset. Cancers 2022, 14, 2739. [Google Scholar] [CrossRef] [PubMed]
- Zhang, G.; Cao, Y.; Zhang, J.; Ren, J.; Zhao, Z.; Zhang, X.; Li, S.; Deng, L.; Zhou, J. Predicting EGFR mutation status in lung adenocarcinoma: Development and validation of a computed tomography-based radiomics signature. Am. J. Cancer Res. 2021, 11, 546–560. [Google Scholar] [PubMed]
- Veeraraghavan, H.; Friedman, C.F.; DeLair, D.F.; Ninčević, J.; Himoto, Y.; Bruni, S.G.; Cappello, G.; Petkovska, I.; Nougaret, S.; Nikolovski, I. Machine learning-based prediction of microsatellite instability and high tumor mutation burden from contrast-enhanced computed tomography in endometrial cancers. Sci. Rep. 2020, 10, 17769. [Google Scholar] [CrossRef] [PubMed]
- Digumarthy, S.R.; Padole, A.M.; Gullo, R.L.; Sequist, L.V.; Kalra, M.K. Can CT radiomic analysis in NSCLC predict histology and EGFR mutation status? Medicine 2019, 98, e13963. [Google Scholar] [CrossRef]
- Chu, L.C.; Park, S.; Kawamoto, S.; Fouladi, D.F.; Shayesteh, S.; Zinreich, E.S.; Graves, J.S.; Horton, K.M.; Hruban, R.H.; Yuille, A.L. Utility of CT radiomics features in differentiation of pancreatic ductal adenocarcinoma from normal pancreatic tissue. Am. J. Roentgenol. 2019, 213, 349–357. [Google Scholar] [CrossRef]
- Chen, P.-T.; Chang, D.; Yen, H.; Liu, K.-L.; Huang, S.-Y.; Roth, H.; Wu, M.-S.; Liao, W.-C.; Wang, W. Radiomic features at CT can distinguish pancreatic cancer from noncancerous pancreas. Radiol. Imaging Cancer 2021, 3, e210010. [Google Scholar] [CrossRef] [PubMed]
- Park, S.; Sham, J.G.; Kawamoto, S.; Blair, A.B.; Rozich, N.; Fouladi, D.F.; Shayesteh, S.; Hruban, R.H.; He, J.; Wolfgang, C.L. CT Radiomics–Based Preoperative Survival Prediction in Patients with Pancreatic Ductal Adenocarcinoma. Am. J. Roentgenol. 2021, 217, 1104–1112. [Google Scholar] [CrossRef]
- Gao, Y.; Cheng, S.; Zhu, L.; Wang, Q.; Deng, W.; Sun, Z.; Wang, S.; Xue, H. A systematic review of prognosis predictive role of radiomics in pancreatic cancer: Heterogeneity markers or statistical tricks? Eur. Radiol. 2022, 32, 8443–8452. [Google Scholar] [CrossRef]
- Khalvati, F.; Zhang, Y.; Baig, S.; Lobo-Mueller, E.M.; Karanicolas, P.; Gallinger, S.; Haider, M.A. Prognostic value of CT radiomic features in resectable pancreatic ductal adenocarcinoma. Sci. Rep. 2019, 9, 5449. [Google Scholar] [CrossRef]
- Xie, T.; Wang, X.; Li, M.; Tong, T.; Yu, X.; Zhou, Z. Pancreatic ductal adenocarcinoma: A radiomics nomogram outperforms clinical model and TNM staging for survival estimation after curative resection. Eur. Radiol. 2020, 30, 2513–2524. [Google Scholar] [CrossRef] [PubMed]
- Attiyeh, M.A.; Chakraborty, J.; McIntyre, C.A.; Kappagantula, R.; Chou, Y.; Askan, G.; Seier, K.; Gonen, M.; Basturk, O.; Balachandran, V.P. CT radiomics associations with genotype and stromal content in pancreatic ductal adenocarcinoma. Abdom. Radiol. 2019, 44, 3148–3157. [Google Scholar] [CrossRef] [PubMed]
- Pao, W.; Wang, T.Y.; Riely, G.J.; Miller, V.A.; Pan, Q.; Ladanyi, M.; Zakowski, M.F.; Heelan, R.T.; Kris, M.G.; Varmus, H.E. KRAS mutations and primary resistance of lung adenocarcinomas to gefitinib or erlotinib. PLoS Med. 2005, 2, e17. [Google Scholar] [CrossRef] [PubMed]
- Iwatate, Y.; Hoshino, I.; Yokota, H.; Ishige, F.; Itami, M.; Mori, Y.; Chiba, S.; Arimitsu, H.; Yanagibashi, H.; Nagase, H.; et al. Radiogenomics for predicting p53 status, PD-L1 expression, and prognosis with machine learning in pancreatic cancer. Br. J. Cancer 2020, 123, 1253–1261. [Google Scholar] [CrossRef] [PubMed]
- Papp, L.; Spielvogel, C.; Grubmüller, B.; Grahovac, M.; Krajnc, D.; Ecsedi, B.; Sareshgi, R.; Mohamad, D.; Hamboeck, M.; Rausch, I. Supervised machine learning enables non-invasive lesion characterization in primary prostate cancer with [68Ga] Ga-PSMA-11 PET/MRI. Eur. J. Nucl. Med. Mol. Imaging 2021, 48, 1795–1805. [Google Scholar] [CrossRef] [PubMed]


| Characteristics | n = 47 | 
|---|---|
| Age (mean ± SD; range) | 63.7 ± 10.7 (42–86) | 
| Sex | |
| Females | 21 (45%) | 
| Male | 26 (55%) | 
| Current or former smoker | 21 (45%) | 
| Race | |
| Asian | 6 (13%) | 
| Non-Asian | 41 (87%) | 
| Tumor Grade | |
| G1 | 8 (17%) | 
| G2 | 26 (55%) | 
| G3 | 12 (26%) | 
| G4 | 1 (2%) | 
| TNM | |
| T2 | 5 (11%) | 
| T3-4 | 42 (89%) | 
| N1 | 37 (78%) | 
| M1 | 8 (17%) | 
| Treatment | |
| Surgery | 47 (100%) | 
| Whipple’s procedure | 41 (87%) | 
| Distal Pancreatectomy | 6 (13%) | 
| Adjuvant Chemotherapy | 42 (89%) | 
| Genes | Prevalence of Mutations N (%) | 
|---|---|
| Significantly mutated genes | |
| KRAS | 38 (81) | 
| TP53 | 32 (68) | 
| SMAD4 | 12 (26) | 
| CDKN2A | 9 (19) | 
| ARID1A | 2 (4) | 
| TGFBR2 | 1 (2) | 
| NF1 | 1 (2) | 
| Oncogenes | |
| BRAF | 1 (2) | 
| EGFR | 1 (2) | 
| ERBB2 | 1 (2) | 
| FGFR1 | 1 (2) | 
| GNAS | 1 (2) | 
| MET | 1 (2) | 
| PAK4 | 1 (2) | 
| DNA damage repair genes | |
| BRCA2 | 1 (2) | 
| ATM | 1 (2) | 
| Tumor suppressor genes | |
| RNF43 | 2 (4) | 
| ACVR2A | 2 (4) | 
| SMAD3 | 1 (2) | 
| TSC2 | 1 (2) | 
| Chromatin modification genes | |
| KDM6A | 1 (2) | 
| KMT2C | 3 (6) | 
| PBRM1 | 1 (2) | 
| SMARCA2 | 1 (2) | 
| SMARCA4 | 1 (2) | 
| Feature | KRAS | TP53 | SMAD4 | CDKN2A | 
|---|---|---|---|---|
| HU_Skewness | 918 | 981 | ||
| HU_Q3 | 860 | |||
| GLZLM_LZLGE | 690 | |||
| GLRLM_LRLGE | 664 | |||
| GLRLM_SRHGE | 578 | |||
| GLRLM_LGRE | 514 | |||
| NGLDM_Contrast | 470 | |||
| GLZLM_SZHGE | 782 | |||
| NGLDM_Coarseness | 752 | 423 | 584 | |
| GLCM_Energy | 617 | |||
| GLZLM_ZLNU | 502 | |||
| PARAMS_ZSpatialResampling | 353 | |||
| HU_max | 351 | |||
| GLZLM_SZLGE | 743 | 397 | ||
| HU_peakSphere1mL | 633 | |||
| HUmin | 541 | 465 | ||
| GLZLM_GLNU | 528 | 561 | ||
| HU_Q1 | 491 | 580 | ||
| SHAPE_Volume | 396 | |||
| GLCM_Correlation | 526 | |||
| SHAPE_Sphericity | 461 | 
| KRAS | TP53 | SMAD4 | CDKN2A | |
|---|---|---|---|---|
| Model 1 | ||||
| NPV | 0.00 (0.00, 1.00) | 0.50 (0.00, 1.00) | 0.75 (0.44, 1.00) | 0.80 (0.56, 1.00) | 
| PPV | 0.86 (0.56, 1.00) | 0.75 (0.43, 1.00) | 0.00 (0.00, 0.50) | 0.00 (0.00, 0.50) | 
| Sensitivity | 0.88 (0.57, 1.00) | 0.80 (0.44, 1.00) | 0.00 (0.00, 0.67) | 0.00 (0.00, 0.50) | 
| Specificity | 0.00 (0.00, 1.00) | 0.50 (0.00, 1.00) | 0.86 (0.50, 1.00) | 0.89 (0.56, 1.00) | 
| Youden Index | 0.50 (0.31, 0.94) | 0.62 (0.31, 0.94) | 0.44 (0.28, 0.72) | 0.50 (0.28, 0.69) | 
| Model 2 | ||||
| NPV | 0.33 (0.00, 1.00) | 0.50 (0.00, 1.00) | 0.75 (0.50, 1.00) | 0.80 (0.56, 1.00) | 
| PPV | 0.88 (0.62, 1.00) | 0.78 (0.43, 1.00) | 0.00 (0.00, 1.00) | 0.00 (0.00, 1.00) | 
| Sensitivity | 0.88 (0.62, 1.00) | 0.83 (0.50, 1.00) | 0.00 (0.00, 0.50) | 0.00 (0.00, 0.50) | 
| Specificity | 0.25 (0.00, 1.00) | 0.50 (0.00, 1.00) | 0.89 (0.57, 1.00) | 0.89 (0.56, 1.00) | 
| Youden Index | 0.56 (0.33, 0.97) | 0.67 (0.33, 0.94) | 0.50 (0.31, 0.69) | 0.50 (0.31, 0.75) | 
| Feature | KRAS Mutations N (%) | TP53 | SMAD4 | CDKN2A | 
|---|---|---|---|---|
| HUSkewness | x | x | ||
| HU_Q3 | x | |||
| GLZLM_LZLGE | x | |||
| GLRLM_LRLGE | x | |||
| NGLDM_Contrast | x | |||
| GLZLM_SZHGE | x | |||
| NGLDM_Coarseness | x | x | x | |
| GLCM_Energy | x | |||
| GLZLM_ZLNU | x | |||
| GLZLM_SZLGE | x | x | ||
| HUpeakSphere1mL | x | x | ||
| GLZLM_GLNU | x | x | ||
| HU_Q1 | x | |||
| GLCM_Correlation | x | |||
| SHAPE_Sphericity | x | 
| Publisher’s Note: MDPI stays neutral with regard to jurisdictional claims in published maps and institutional affiliations. | 
© 2022 by the authors. Licensee MDPI, Basel, Switzerland. This article is an open access article distributed under the terms and conditions of the Creative Commons Attribution (CC BY) license (https://creativecommons.org/licenses/by/4.0/).
Share and Cite
Hinzpeter, R.; Kulanthaivelu, R.; Kohan, A.; Avery, L.; Pham, N.-A.; Ortega, C.; Metser, U.; Haider, M.; Veit-Haibach, P. CT Radiomics and Whole Genome Sequencing in Patients with Pancreatic Ductal Adenocarcinoma: Predictive Radiogenomics Modeling. Cancers 2022, 14, 6224. https://doi.org/10.3390/cancers14246224
Hinzpeter R, Kulanthaivelu R, Kohan A, Avery L, Pham N-A, Ortega C, Metser U, Haider M, Veit-Haibach P. CT Radiomics and Whole Genome Sequencing in Patients with Pancreatic Ductal Adenocarcinoma: Predictive Radiogenomics Modeling. Cancers. 2022; 14(24):6224. https://doi.org/10.3390/cancers14246224
Chicago/Turabian StyleHinzpeter, Ricarda, Roshini Kulanthaivelu, Andres Kohan, Lisa Avery, Nhu-An Pham, Claudia Ortega, Ur Metser, Masoom Haider, and Patrick Veit-Haibach. 2022. "CT Radiomics and Whole Genome Sequencing in Patients with Pancreatic Ductal Adenocarcinoma: Predictive Radiogenomics Modeling" Cancers 14, no. 24: 6224. https://doi.org/10.3390/cancers14246224
APA StyleHinzpeter, R., Kulanthaivelu, R., Kohan, A., Avery, L., Pham, N.-A., Ortega, C., Metser, U., Haider, M., & Veit-Haibach, P. (2022). CT Radiomics and Whole Genome Sequencing in Patients with Pancreatic Ductal Adenocarcinoma: Predictive Radiogenomics Modeling. Cancers, 14(24), 6224. https://doi.org/10.3390/cancers14246224
 
        

 
       