Multimodal Lung Cancer Subtyping Using Deep Learning Neural Networks on Whole Slide Tissue Images and MALDI MSI
Abstract
Simple Summary
Abstract
1. Introduction
2. Materials and Methods
2.1. Tissue Samples
MALDI MSI Measurements
2.2. Classification Algorithm
2.2.1. Neural Networks and Preprocessing
2.2.2. Experimental Design
Tumor Segmentation
Tumor Subtyping
Quality Control
3. Results and Discussion
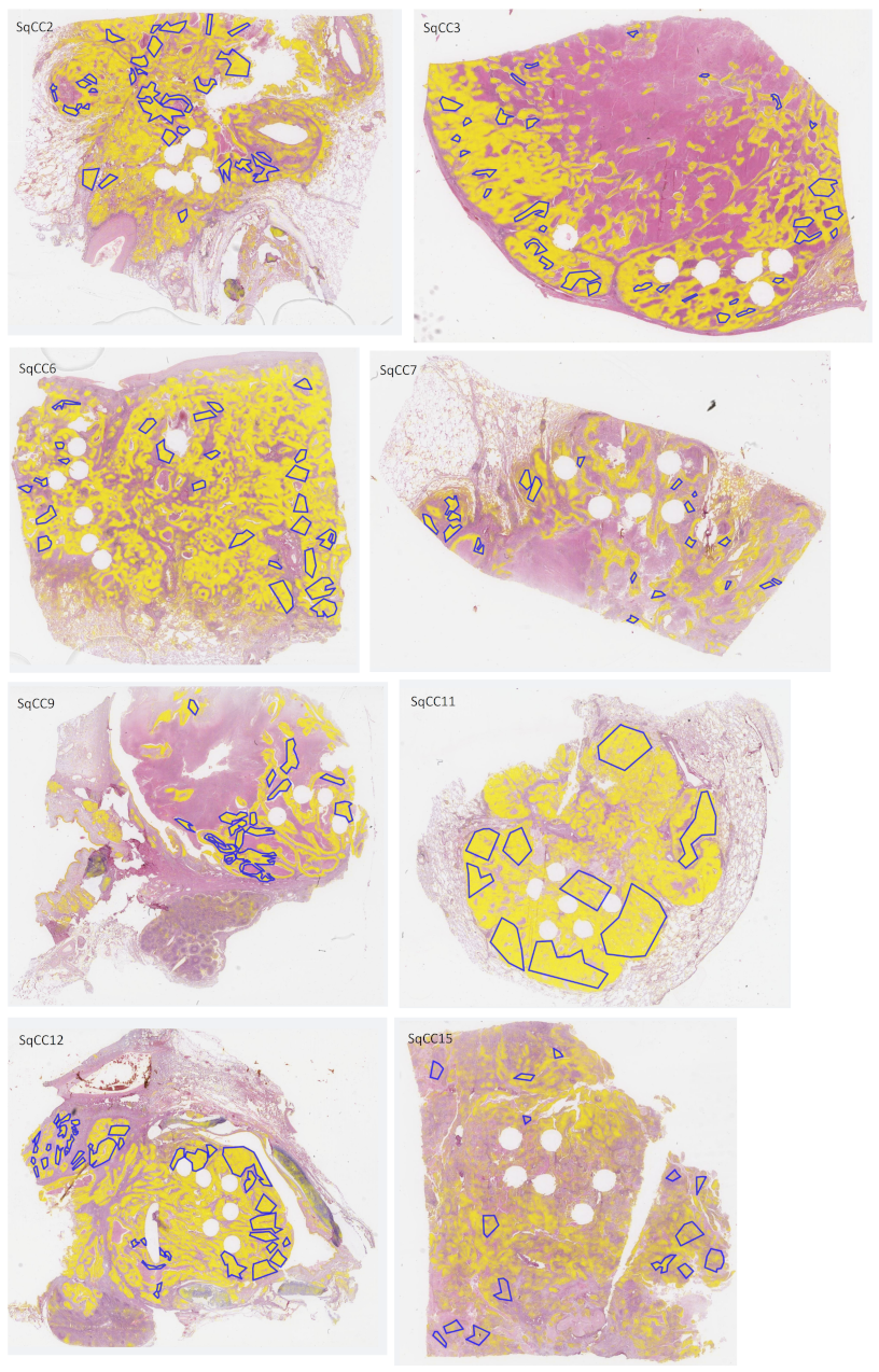
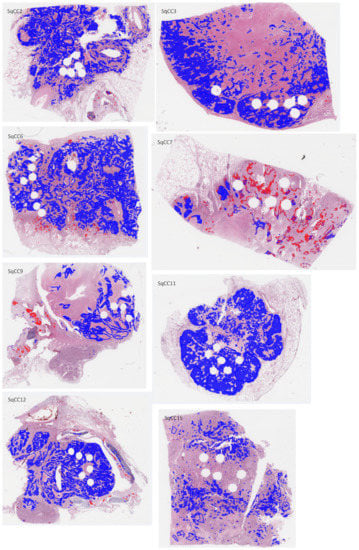
3.1. Tumor Segmentation
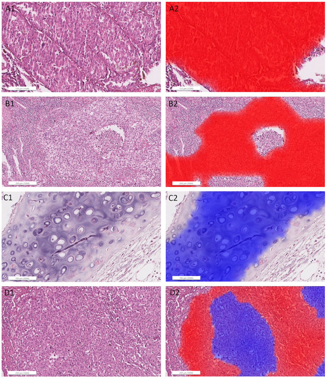
3.2. Tumor Subtyping
3.3. Quality Control
3.4. Using Tumor Segmentations for Training
4. Conclusions
Author Contributions
Funding
Institutional Review Board Statement
Informed Consent Statement
Data Availability Statement
Conflicts of Interest
Abbreviations
| ADC | Adenocarcinoma |
| AI | Artifical intelligence |
| H& E | Hematoxylin and eosin |
| IHC | Immunohistochemical |
| IoU | Intersection over union |
| MALDI MSI | Matrix-assisted laser desorption/ionization mass spectrometry imaging |
| NSCLC | Non-small cell lung cancer |
| SqCC | Squamous cell carcinoma |
| TMA | Tissue microarray |
| WSI | Whole slide image |
Appendix A. Material and Methods
Appendix A.1. Dataset




Appendix A.2. Neural Networks
Appendix B. Results




| Bal. Accuracy | Sensitivity (SqCC) | Sensitivity (ADC) | |
|---|---|---|---|
| MALDI1 | |||
| Training | 0.982 (0.983 ± 0.004) | 0.984 (0.979 ± 0.008) | 0.981 (0.987 ± 0.005) |
| Validation | 0.986 (0.983 ± 0.002) | 0.992 (0.995 ± 0.005) | 0.981 (0.972 ± 0.008) |
| MALDI2 | |||
| Training | 0.986 (0.958 ± 0.038) | 0.981 (0.938 ± 0.045) | 0.991 (0.977 ± 0.035) |
| Validation | 0.978 (0.953 ± 0.015) | 0.969 (0.953 ± 0.029) | 0.986 (0.954 ± 0.032) |
| MALDI3 | |||
| Training | 0.992 (0.981 ± 0.013) | 0.988 (0.973 ± 0.027) | 0.995 (0.989 ± 0.008) |
| Validation | 0.979 (0.967 ± 0.012) | 0.975 (0.967 ± 0.011) | 0.983 (0.967 ± 0.020) |
| Training (Cores) | Validation (Whole Sections) | ||||
|---|---|---|---|---|---|
| True/Pred. | SqCC | ADC | SqCC | ADC | |
| MALDI1 | SqCC | 217 | 6 | 7 | 0 |
| ADC | 4 | 175 | 0 | 7 | |
| MALDI2 | SqCC | 219 | 4 | 7 | 0 |
| ADC | 3 | 176 | 0 | 7 | |
| MALDI3 | SqCC | 214 | 7 | 7 | 0 |
| ADC | 3 | 175 | 0 | 7 | |
| MALDI1 | MALDI2 | MALDI3 | |||||
|---|---|---|---|---|---|---|---|
| True/Pred. | SqCC | ADC | SqCC | ADC | SqCC | ADC | |
| Test Dataset 1 | SqCC | 8 | 0 | 8 | 0 | 8 | 0 |
| ADC | 0 | 8 | 0 | 8 | 0 | 8 | |
| Test Dataset 2 | SqCC | 7 | 1 | 7 | 1 | 7 | 1 |
| ADC | 0 | 8 | 0 | 8 | 0 | 8 | |
| Test Dataset 3 | SqCC | 7 | 1 | 7 | 1 | 7 | 1 |
| ADC | 0 | 8 | 0 | 8 | 0 | 8 | |
| Test Dataset 4 | SqCC | 7 | 1 | 6 | 2 | 7 | 1 |
| ADC | 0 | 8 | 0 | 8 | 1 | 7 | |
References
- Ronneberger, O.; Fischer, P.; Brox, T. U-Net: Convolutional Networks for Biomedical Image Segmentation. In Proceedings of the Medical Image Computing and Computer-Assisted Intervention—MICCAI 2015; Navab, N., Hornegger, J., Wells, W.M., Frangi, A.F., Eds.; Springer International Publishing: Cham, Switzerland, 2015; pp. 234–241. [Google Scholar]
- Litjens, G.; Kooi, T.; Bejnordi, B.E.; Setio, A.A.A.; Ciompi, F.; Ghafoorian, M.; Van der Laak, J.A.; Van Ginneken, B.; Sánchez, C.I. A survey on deep learning in medical image analysis. Med. Image Anal. 2017, 42, 60–88. [Google Scholar] [CrossRef] [PubMed]
- Oktay, O.; Schlemper, J.; Folgoc, L.L.; Lee, M.; Heinrich, M.; Misawa, K.; Mori, K.; McDonagh, S.; Hammerla, N.Y.; Kainz, B.; et al. Attention u-net: Learning where to look for the pancreas. arXiv 2018, arXiv:1804.03999. [Google Scholar]
- Wang, S.; Wang, T.; Yang, L.; Yang, D.M.; Fujimoto, J.; Yi, F.; Luo, X.; Yang, Y.; Yao, B.; Lin, S.; et al. ConvPath: A software tool for lung adenocarcinoma digital pathological image analysis aided by a convolutional neural network. EBioMedicine 2019, 50, 103–110. [Google Scholar] [CrossRef] [PubMed]
- Wang, X.; Chen, H.; Gan, C.; Lin, H.; Dou, Q.; Tsougenis, E.; Huang, Q.; Cai, M.; Heng, P.A. Weakly Supervised Deep Learning for Whole Slide Lung Cancer Image Analysis. IEEE Trans. Cybern. 2020, 50, 3950–3962. [Google Scholar] [CrossRef] [PubMed]
- Kriegsmann, M.; Haag, C.; Weis, C.A.; Steinbuss, G.; Warth, A.; Zgorzelski, C.; Muley, T.; Winter, H.; Eichhorn, M.E.; Eichhorn, F.; et al. Deep Learning for the Classification of Small-Cell and Non-Small-Cell Lung Cancer. Cancers 2020, 12, 1604. [Google Scholar] [CrossRef]
- Rauser, S.; Marquardt, C.; Balluff, B.; Deininger, S.O.; Albers, C.; Belau, E.; Hartmer, R.; Suckau, D.; Specht, K.; Ebert, M.P.; et al. Classification of HER2 receptor status in breast cancer tissues by MALDI imaging mass spectrometry. J. Proteome Res. 2010, 9, 1854–1863. [Google Scholar] [CrossRef]
- Steurer, S.; Borkowski, C.; Odinga, S.; Buchholz, M.; Koop, C.; Huland, H.; Becker, M.; Witt, M.; Trede, D.; Omidi, M.; et al. MALDI mass spectrometric imaging based identification of clinically relevant signals in prostate cancer using large-scale tissue microarrays. Int. J. Cancer 2013, 133, 920–928. [Google Scholar] [CrossRef]
- Kriegsmann, J.; Kriegsmann, M.; Casadonte, R. MALDI TOF imaging mass spectrometry in clinical pathology: A valuable tool for cancer diagnostics. Int. J. Oncol. 2015, 46, 893–906. [Google Scholar] [CrossRef]
- Balluff, B.; Hanselmann, M.; Heeren, R. Mass Spectrometry Imaging for the Investigation of Intratumor Heterogeneity. In Applications of Mass Spectrometry Imaging to Cancer; Drake, R.R., McDonnell, L.A., Eds.; Advances in Cancer Research; Academic Press: Cambridge, MA, USA, 2017; Volume 134, pp. 201–230. [Google Scholar] [CrossRef]
- Kriegsmann, M.; Longuespée, R.; Wandernoth, P.; Mohanu, C.; Lisenko, K.; Weichert, W.; Warth, A.; Dienemann, H.; De Pauw, E.; Katzenberger, T.; et al. Typing of colon and lung adenocarcinoma by high throughput imaging mass spectrometry. Biochim. Biophys. Acta (BBA)-Proteins Proteom. 2017, 1865, 858–864. [Google Scholar] [CrossRef]
- Yanagisawa, K.; Shyr, Y.; Xu, B.J.; Massion, P.P.; Larsen, P.H.; White, B.C.; Roberts, J.R.; Edgerton, M.; Gonzalez, A.; Nadaf, S.; et al. Proteomic patterns of tumour subsets in non-small-cell lung cancer. Lancet 2003, 362, 433–439. [Google Scholar] [CrossRef]
- Rahman, S.J.; Gonzalez, A.L.; Li, M.; Seeley, E.H.; Zimmerman, L.J.; Zhang, X.J.; Manier, M.L.; Olson, S.J.; Shah, R.N.; Miller, A.N.; et al. Lung Cancer Diagnosis from Proteomic Analysis of Preinvasive Lesions. Cancer Res. 2011, 71, 3009–3017. [Google Scholar] [CrossRef]
- Kriegsmann, M.; Casadonte, R.; Kriegsmann, J.; Dienemann, H.; Schirmacher, P.; Hendrik Kobarg, J.; Schwamborn, K.; Stenzinger, A.; Warth, A.; Weichert, W. Reliable Entity Subtyping in Non-small Cell Lung Cancer by Matrix-assisted Laser Desorption/Ionization Imaging Mass Spectrometry on Formalin-fixed Paraffin-embedded Tissue Specimens. Mol. Cell Proteom. 2016, 15, 3081–3089. [Google Scholar] [CrossRef]
- Meding, S.; Nitsche, U.; Balluff, B.; Elsner, M.; Rauser, S.; Schöne, C.; Nipp, M.; Maak, M.; Feith, M.; Ebert, M.P.; et al. Tumor classification of six common cancer types based on proteomic profiling by MALDI imaging. J. Proteome Res. 2012, 11, 1996–2003. [Google Scholar] [CrossRef]
- Boskamp, T.; Lachmund, D.; Oetjen, J.; Cordero Hernandez, Y.; Trede, D.; Maass, P.; Casadonte, R.; Kriegsmann, J.; Warth, A.; Dienemann, H.; et al. A new classification method for MALDI imaging mass spectrometry data acquired on formalin-fixed paraffin-embedded tissue samples. Biochim. Biophys. Acta (BBA) Proteins Proteom. 2017, 1865, 916–926. [Google Scholar] [CrossRef]
- Cordero Hernandez, Y.; Boskamp, T.; Casadonte, R.; Hauberg-Lotte, L.; Oetjen, J.; Lachmund, D.; Peter, A.; Trede, D.; Kriegsmann, K.; Kriegsmann, M.; et al. Targeted Feature Extraction in MALDI Mass Spectrometry Imaging to Discriminate Proteomic Profiles of Breast and Ovarian Cancer. PROTEOMICS Clin. Appl. 2019, 13, 1700168. [Google Scholar] [CrossRef]
- Klein, O.; Kanter, F.; Kulbe, H.; Jank, P.; Denkert, C.; Nebrich, G.; Schmitt, W.D.; Wu, Z.; Kunze, C.A.; Sehouli, J.; et al. MALDI-Imaging for Classification of Epithelial Ovarian Cancer Histotypes from a Tissue Microarray Using Machine Learning Methods. Prot. Clin. Appl. 2019, 13, e1700181. [Google Scholar] [CrossRef]
- Kriegsmann, M.; Zgorzelski, C.; Casadonte, R.; Schwamborn, K.; Muley, T.; Winter, H.; Eichhorn, M.; Eichhorn, F.; Warth, A.; Deininger, S.O.; et al. Mass Spectrometry Imaging for Reliable and Fast Classification of Non-Small Cell Lung Cancer Subtypes. Cancers 2020, 12, 2704. [Google Scholar] [CrossRef]
- Behrmann, J.; Etmann, C.; Boskamp, T.; Casadonte, R.; Kriegsmann, J.; Maaß, P. Deep learning for tumor classification in imaging mass spectrometry. Bioinformatics 2017, 34, 1215–1223. [Google Scholar] [CrossRef]
- Janßen, C.; Boskamp, T.; Hauberg-Lotte, L.; Behrmann, J.; Deininger, S.O.; Kriegsmann, M.; Kriegsmann, K.; Steinbuß, G.; Winter, H.; Muley, T.; et al. Robust subtyping of non-small cell lung cancer whole sections through MALDI mass spectrometry imaging. PROTEOMICS–Clin. Appl. 2022, 16, 2100068. [Google Scholar] [CrossRef]
- Le’Clerc Arrastia, J.; Heilenkötter, N.; Otero Baguer, D.; Hauberg-Lotte, L.; Boskamp, T.; Hetzer, S.; Duschner, N.; Schaller, J.; Maass, P. Deeply Supervised UNet for Semantic Segmentation to Assist Dermatopathological Assessment of Basal Cell Carcinoma. J. Imaging 2021, 7, 71. [Google Scholar] [CrossRef]
- Van der Walt, S.; Schönberger, J.L.; Nunez-Iglesias, J.; Boulogne, F.; Warner, J.D.; Yager, N.; Gouillart, E.; Yu, T.; the scikit-image contributors. scikit-image: Image processing in Python. PeerJ 2014, 2, e453. [Google Scholar] [CrossRef] [PubMed]
- Deininger, S.O.; Bollwein, C.; Casadonte, R.; Wandernoth, P.; Gonçalves, J.P.L.; Kriegsmann, K.; Kriegsmann, M.; Boskamp, T.; Kriegsmann, J.; Weichert, W.; et al. Multicenter Evaluation of Tissue Classification by Matrix-Assisted Laser Desorption/Ionization Mass Spectrometry Imaging. Anal. Chem. 2022, 94, 8194–8201. [Google Scholar] [CrossRef] [PubMed]
- Boskamp, T.; Casadonte, R.; Hauberg-Lotte, L.; Deininger, S.; Kriegsmann, J.; Maass, P. Cross-Normalization of MALDI Mass Spectrometry Imaging Data Improves Site-to-Site Reproducibility. Anal. Chem. 2021, 93, 10584–10592. [Google Scholar] [CrossRef] [PubMed]
- Boskamp, T.; Lachmund, D.; Casadonte, R.; Hauberg-Lotte, L.; Kobarg, J.H.; Kriegsmann, J.; Maass, P. Using the chemical noise background in MALDI mass spectrometry imaging for mass alignment and calibration. Anal. Chem. 2019, 92, 1301–1308. [Google Scholar] [CrossRef]
- Lin, T.Y.; Goyal, P.; Girshick, R.; He, K.; Dollár, P. Focal loss for dense object detection. In Proceedings of the 2017 IEEE International Conference on Computer Vision, Venice, Italy, 22–29 October 2017; pp. 2980–2988. [Google Scholar]
- Paszke, A.; Gross, S.; Massa, F.; Lerer, A.; Bradbury, J.; Chanan, G.; Killeen, T.; Lin, Z.; Gimelshein, N.; Antiga, L.; et al. Pytorch: An imperative style, high-performance deep learning library. Adv. Neural Inf. Process. Syst. 2019, 32. [Google Scholar]
- Kingma, D.; Ba, J.A. A Method for Stochastic Optimization. In Proceedings of the 3rd International Conference on Learning Representations, ICLR 2015, San Diego, CA, USA, 7–9 May 2015. [Google Scholar]




| Network | Training Based on | Validation Based on |
|---|---|---|
| Segmentation of tumor areas | ||
| Seg1, Seg2, Seg3 | 4 TMAs, original annotations | 2 TMAs, original annotations |
| Tumor subtyping (ADC/SqCC) | ||
| MALDI1 [21] | 6 TMAs, original annotations | 14 whole sections, original annotations |
| MALDI2 | 6 TMAs, original annotations | 14 whole sections, segmentation Seg1 |
| MALDI3 | 6 TMAs, segmentation Seg1, Seg2, and Seg3 | 14 whole sections, segmentation Seg1 |
| Number of Spectra | ||||
|---|---|---|---|---|
| Dataset Contains Spectra from Within | Total | SqCC | ADC | |
| Test Dataset 1 | Original annotations | 105.553 | 53.136 | 52.417 |
| Test Dataset 2 | Segmented areas (by network Seg1) | 459.776 | 260.577 | 199.199 |
| Test Dataset 3 | Segmented areas without original annotations | 366.746 | 214.221 | 152.525 |
| Test Dataset 4 | Non-tumor areas (complement of Test Dataset 2) | 1409.629 | 760.265 | 649.364 |
| Network | Training | Validation |
|---|---|---|
| Seg1 | 0.818 (0.834 ± 0.038) | 0.743 (0.732 ± 0.011) |
| Seg2 | 0.816 (0.869 ± 0.032) | 0.663 (0.651 ± 0.010) |
| Seg3 | 0.824 (0.849 ± 0.030) | 0.735 (0.723 ± 0.013) |
| MALDI1 (Trained and Validated on Original Annotations) | MALDI2 (Trained on Original, Validated on Segmented Areas) | MALDI3 (Trained and Validated on Segmented Areas) | |
|---|---|---|---|
| Test Dataset 1 | 0.990 | 0.973 | 0.941 |
| Test Dataset 2 | 0.971 | 0.947 | 0.947 |
| Test Dataset 3 | 0.967 | 0.941 | 0.949 |
| Test Dataset 4 | 0.767 | 0.769 | 0.735 |
| MALDI1 | MALDI2 | MALDI3 | ||||||||
|---|---|---|---|---|---|---|---|---|---|---|
| True/Pred. | SqCC | ADC | p < 0.9 | SqCC | ADC | p < 0.9 | SqCC | ADC | p < 0.9 | |
| Test Dataset 1 | SqCC | 7 | 0 | 1 | 7 | 0 | 1 | 7 | 0 | 1 |
| ADC | 0 | 8 | 0 | 0 | 7 | 1 | 0 | 7 | 1 | |
| Test Dataset 2 | SqCC | 7 | 0 | 1 | 7 | 0 | 1 | 7 | 0 | 1 |
| ADC | 0 | 8 | 0 | 0 | 7 | 1 | 0 | 7 | 1 | |
| Test Dataset 3 | SqCC | 6 | 0 | 2 | 6 | 0 | 2 | 6 | 0 | 2 |
| ADC | 0 | 8 | 0 | 0 | 7 | 1 | 0 | 7 | 1 | |
| Test Dataset 4 | SqCC | 2 | 0 | 6 | 1 | 0 | 7 | 2 | 0 | 6 |
| ADC | 0 | 2 | 6 | 0 | 7 | 1 | 0 | 2 | 6 | |
Publisher’s Note: MDPI stays neutral with regard to jurisdictional claims in published maps and institutional affiliations. |
© 2022 by the authors. Licensee MDPI, Basel, Switzerland. This article is an open access article distributed under the terms and conditions of the Creative Commons Attribution (CC BY) license (https://creativecommons.org/licenses/by/4.0/).
Share and Cite
Janßen, C.; Boskamp, T.; Le’Clerc Arrastia, J.; Otero Baguer, D.; Hauberg-Lotte, L.; Kriegsmann, M.; Kriegsmann, K.; Steinbuß, G.; Casadonte, R.; Kriegsmann, J.; et al. Multimodal Lung Cancer Subtyping Using Deep Learning Neural Networks on Whole Slide Tissue Images and MALDI MSI. Cancers 2022, 14, 6181. https://doi.org/10.3390/cancers14246181
Janßen C, Boskamp T, Le’Clerc Arrastia J, Otero Baguer D, Hauberg-Lotte L, Kriegsmann M, Kriegsmann K, Steinbuß G, Casadonte R, Kriegsmann J, et al. Multimodal Lung Cancer Subtyping Using Deep Learning Neural Networks on Whole Slide Tissue Images and MALDI MSI. Cancers. 2022; 14(24):6181. https://doi.org/10.3390/cancers14246181
Chicago/Turabian StyleJanßen, Charlotte, Tobias Boskamp, Jean Le’Clerc Arrastia, Daniel Otero Baguer, Lena Hauberg-Lotte, Mark Kriegsmann, Katharina Kriegsmann, Georg Steinbuß, Rita Casadonte, Jörg Kriegsmann, and et al. 2022. "Multimodal Lung Cancer Subtyping Using Deep Learning Neural Networks on Whole Slide Tissue Images and MALDI MSI" Cancers 14, no. 24: 6181. https://doi.org/10.3390/cancers14246181
APA StyleJanßen, C., Boskamp, T., Le’Clerc Arrastia, J., Otero Baguer, D., Hauberg-Lotte, L., Kriegsmann, M., Kriegsmann, K., Steinbuß, G., Casadonte, R., Kriegsmann, J., & Maaß, P. (2022). Multimodal Lung Cancer Subtyping Using Deep Learning Neural Networks on Whole Slide Tissue Images and MALDI MSI. Cancers, 14(24), 6181. https://doi.org/10.3390/cancers14246181

