Immunohistochemical Markers of the Epithelial-to-Mesenchymal Transition (EMT) Are Related to Extensive Lymph Nodal Spread, Peritoneal Dissemination, and Poor Prognosis in the Microsatellite-Stable Diffuse Histotype of Gastric Cancer
Abstract
Simple Summary
Abstract
1. Introduction
2. Materials and Methods
2.1. Patients
2.2. Surgical Approach, Histopathology, and Staging
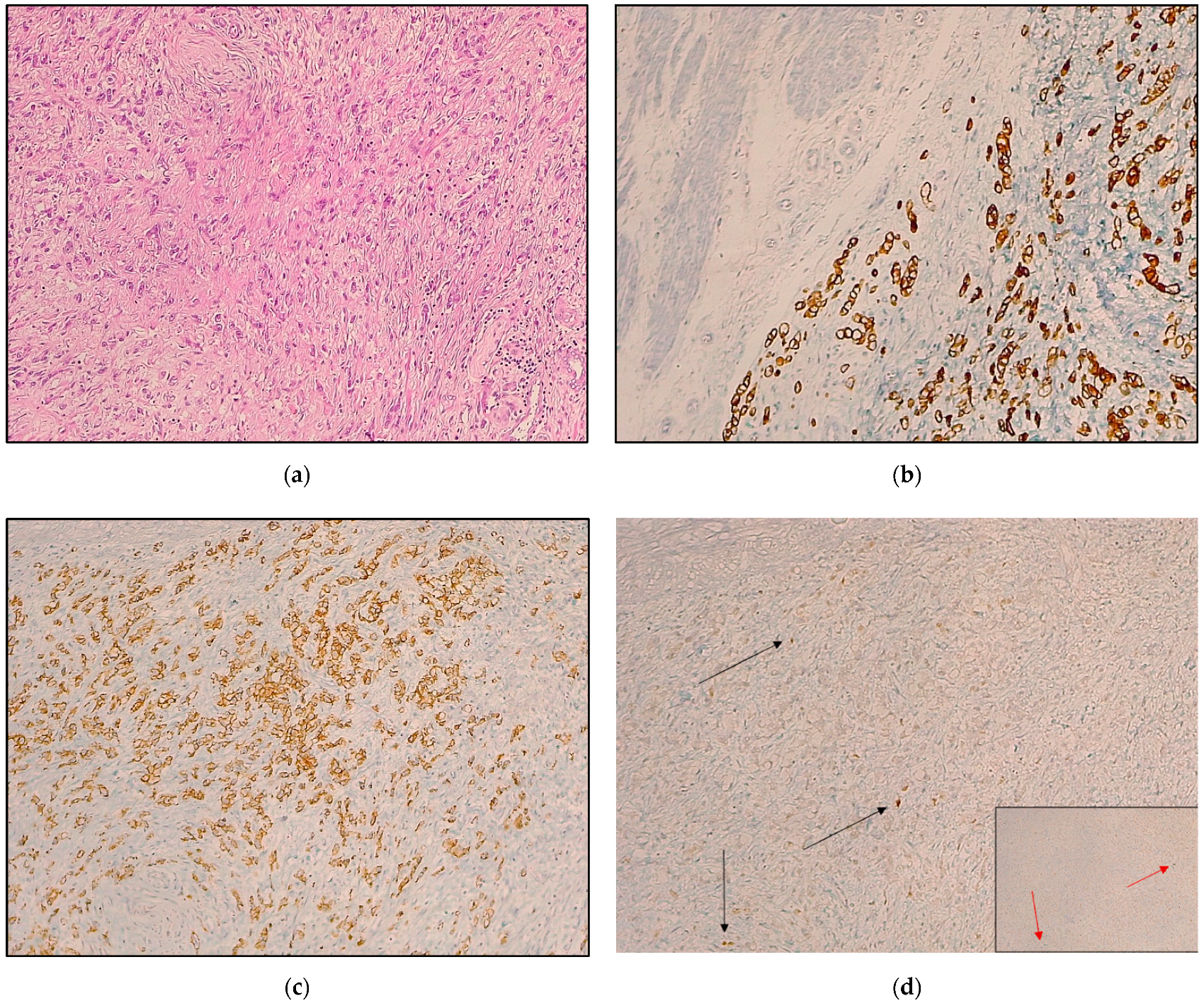
2.3. Microsatellite Analysis and Immunohistochemistry (IHC)
2.4. Additional Treatments and Follow-Up
2.5. Statistical Analysis
3. Results
3.1. Patients and Treatment
3.2. Correlations between EMT Status and Clinical-Pathological Variables
3.3. Survival Analysis
4. Discussion
5. Conclusions
Author Contributions
Funding
Institutional Review Board Statement
Informed Consent Statement
Data Availability Statement
Conflicts of Interest
Abbreviations
References
- Marrelli, D.; Pedrazzani, C.; Morgagni, P.; De Manzoni, G.; Pacelli, F.; Coniglio, A.; Marchet, A.; Saragoni, L.; Giacopuzzi, S.; Roviello, F. Changing clinical and pathological features of gastric cancer over time. Br. J. Surg. 2011, 98, 1273–1283. [Google Scholar] [CrossRef]
- Koemans, W.J.; Lurvink, R.J.; Grootscholten, C.; Verhoeven, R.H.A.; de Hingh, I.H.; van Sandick, J.W. Synchronous peritoneal metastases of gastric cancer origin: Incidence, treatment and survival of a nationwide Dutch cohort. Gastric Cancer 2021, 24, 800–809. [Google Scholar] [CrossRef] [PubMed]
- Roviello, F.; Marrelli, D.; De Manzoni, G.; Morgagni, P.; Di Leo, A.; Saragoni, L.; De Stefano, A. Prospective study of peritoneal recurrence after curative surgery for gastric cancer. Br. J. Surg. 2003, 90, 1113–1119. [Google Scholar] [CrossRef] [PubMed]
- Marrelli, D.; Polom, K.; Neri, A.; Roviello, F. Clinical impact of molecular classifications in gastric cancer. Updat. Surg. 2018, 70, 225–232. [Google Scholar] [CrossRef] [PubMed]
- Marrelli, D.; Morgagni, P.; De Manzoni, G.; Marchet, A.; Baiocchi, G.L.; Giacopuzzi, S.; Coniglio, A.; Mocellin, S.; Saragoni, L.; Roviello, F. External Validation of a Score Predictive of Recurrence after Radical Surgery for Non-Cardia Gastric Cancer: Results of a Follow-Up Study. J. Am. Coll. Surg. 2015, 221, 280–290. [Google Scholar] [CrossRef]
- Mönig, S.P.; Baldus, S.E.; Collet, P.H.; Zirbes, T.K.; Bollschweiler, E.; Thiele, J.; Dienes, H.P.; Hölscher, A.H. Histological grading in gastric cancer by Goseki classification: Correlation with histopathological subtypes and prognosis. Anticancer Res. 2001, 21, 617–620. [Google Scholar] [PubMed]
- Shim, J.H.; Song, K.Y.; Jeon, H.M.; Park, C.H.; Jacks, L.M.; Gonen, M.; Shah, M.A.; Brennan, M.F.; Coit, D.G.; Strong, V.E. Is Gastric Cancer Different in Korea and the United States? Impact of Tumor Location on Prognosis. Ann. Surg. Oncol. 2014, 21, 2332–2339. [Google Scholar] [CrossRef] [PubMed]
- The Cancer Genome Atlas Research Network; Bass, A.J.; Thorsson, V.; Shmulevich, I.; Reynolds, S.M.; Miller, M.; Bernard, B.; Hinoue, T.; Laird, P.W.; Curtis, C.; et al. Comprehensive molecular characterization of gastric adenocarcinoma. Nature 2014, 513, 202–209. [Google Scholar] [CrossRef]
- Cristescu, R.; Lee, J.; Nebozhyn, M.; Kim, K.-M.; Ting, J.C.; Wong, S.S.; Liu, J.; Yue, Y.G.; Wang, J.; Yu, K.; et al. Molecular analysis of gastric cancer identifies subtypes associated with distinct clinical outcomes. Nat. Med. 2015, 21, 449–456. [Google Scholar] [CrossRef] [PubMed]
- Russi, S.; Marano, L.; Laurino, S.; Calice, G.; Scala, D.; Marino, G.; Sgambato, A.; Mazzone, P.; Carbone, L.; Napolitano, G.; et al. Gene Regulatory Network Characterization of Gastric Cancer’s Histological Subtypes: Distinctive Biological and Clinically Relevant Master Regulators. Cancers 2022, 14, 4961. [Google Scholar] [CrossRef]
- Huang, L.; Wu, R.L.; Xu, A.M. Epithelial-Mesenchymal Transition in Gastric Cancer. Am. J. Transl. Res. 2015, 7, 2141–2158. [Google Scholar] [PubMed]
- Ryu, H.S.; Park, D.J.; Kim, H.H.; Kim, W.H.; Lee, H.S. Combination of epithelial-mesenchymal transition and cancer stem cell–like phenotypes has independent prognostic value in gastric cancer. Hum. Pathol. 2012, 43, 520–528. [Google Scholar] [CrossRef] [PubMed]
- Qin, Y.; Tang, B.; Hu, C.-J.; Xiao, Y.-F.; Xie, R.; Yong, X.; Wu, Y.-Y.; Dong, H.; Yang, S.-M. An hTERT/ZEB1 complex directly regulates E-cadherin to promote epithelial-to-mesenchymal transition (EMT) in colorectal cancer. Oncotarget 2016, 7, 351–361. [Google Scholar] [CrossRef] [PubMed]
- Landeros, N.; Santoro, P.M.; Carrasco-Avino, G.; Corvalan, A.H. Competing Endogenous RNA Networks in the Epithelial to Mesenchymal Transition in Diffuse-Type of Gastric Cancer. Cancers 2020, 12, 2741. [Google Scholar] [CrossRef] [PubMed]
- Furukawa, K.; Hatakeyama, K.; Terashima, M.; Nagashima, T.; Urakami, K.; Ohshima, K.; Notsu, A.; Sugino, T.; Yagi, T.; Fujiya, K.; et al. Molecular classification of gastric cancer predicts survival in patients undergoing radical gastrectomy based on project HOPE. Gastric Cancer 2022, 25, 138–148. [Google Scholar] [CrossRef] [PubMed]
- Oh, S.C.; Sohn, B.H.; Cheong, J.-H.; Kim, S.B.; Lee, J.E.; Park, K.C.; Lee, S.H.; Park, J.-L.; Park, Y.-Y.; Lee, H.-S.; et al. Clinical and genomic landscape of gastric cancer with a mesenchymal phenotype. Nat. Commun. 2018, 9, 1777. [Google Scholar] [CrossRef] [PubMed]
- Bencivenga, M.; Simbolo, M.; Ciaparrone, C.; Vicentini, C.; Torroni, L.; Piredda, M.L.; Sacco, M.; Alloggio, M.; Castelli, C.; Tomezzoli, A.; et al. Poorly Cohesive Gastric Cancers Showing the Transcriptomic Hallmarks of Epithelial-Mesenchymal Transition Behave Aggressively. Ann. Surg. 2022, 276, 822–829. [Google Scholar] [CrossRef] [PubMed]
- Marrelli, D.; Polom, K.; Pascale, V.; Vindigni, C.; Piagnerelli, R.; De Franco, L.; Ferrara, F.; Roviello, G.; Garosi, L.; Petrioli, R.; et al. Strong Prognostic Value of Microsatellite Instability in Intestinal Type Non-Cardia Gastric Cancer. Ann. Surg. Oncol. 2016, 23, 943–950. [Google Scholar] [CrossRef] [PubMed]
- Japanese Gastric Cancer Association. Japanese gastric cancer treatment guidelines 2018 (5th edition). Gastric Cancer 2021, 24, 1–21. [Google Scholar] [CrossRef]
- Birkman, E.-M.; Mansuri, N.; Kurki, S.; Ålgars, A.; Lintunen, M.; Ristamäki, R.; Sundström, J.; Carpén, O. Gastric cancer: Immunohistochemical classification of molecular subtypes and their association with clinicopathological characteristics. Virchows Arch. 2018, 472, 369–382. [Google Scholar] [CrossRef]
- Koh, J.; Lee, K.-W.; Nam, S.K.; Seo, A.N.; Kim, J.W.; Park, D.J.; Kim, H.-H.; Kim, W.H.; Lee, H.S. Development and Validation of an Easy-to-Implement, Practical Algorithm for the Identification of Molecular Subtypes of Gastric Cancer: Prognostic and Therapeutic Implications. Oncologist 2019, 24, e1321–e1330. [Google Scholar] [CrossRef] [PubMed]
- Arumugam, T.; Ramachandran, V.; Fournier, K.F.; Wang, H.; Marquis, L.; Abbruzzese, J.L.; Gallick, G.E.; Logsdon, C.D.; McConkey, D.J.; Choi, W. Epithelial to Mesenchymal Transition Contributes to Drug Resistance in Pancreatic Cancer. Cancer Res. 2009, 69, 5820–5828. [Google Scholar] [CrossRef] [PubMed]
- Brungs, D.; Lochhead, A.; Iyer, A.; Illemann, M.; Colligan, P.; Hirst, N.G.; Splitt, A.; Liauw, W.; Vine, K.L.; Pathmanandavel, S.; et al. Expression of cancer stem cell markers is prognostic in metastatic gastroesophageal adenocarcinoma. Pathology 2019, 51, 474–480. [Google Scholar] [CrossRef] [PubMed]
- Sung, C.O.; Park, C.-K.; Kim, S.-H. Classification of epithelial–mesenchymal transition phenotypes in esophageal squamous cell carcinoma is strongly associated with patient prognosis. Mod. Pathol. 2011, 24, 1060–1068. [Google Scholar] [CrossRef] [PubMed]
- Polom, K.; Marano, L.; Marrelli, D.; De Luca, R.; Roviello, G.; Savelli, V.; Tan, P.; Roviello, F. Meta-analysis of microsatellite instability in relation to clinicopathological characteristics and overall survival in gastric cancer. Br. J. Surg. 2017, 105, 159–167. [Google Scholar] [CrossRef]
- Okubo, K.; Uenosono, Y.; Arigami, T.; Yanagita, S.; Matsushita, D.; Kijima, T.; Amatatsu, M.; Uchikado, Y.; Kijima, Y.; Maemura, K.; et al. Clinical significance of altering epithelial–mesenchymal transition in metastatic lymph nodes of gastric cancer. Gastric Cancer 2017, 20, 802–810. [Google Scholar] [CrossRef]
- Ramos, M.F.K.P.; Pereira, M.A.; de Mello, E.S.; Cirqueira, C.D.S.; Zilberstein, B.; Alves, V.A.F.; Ribeiro-Junior, U.; Cecconello, I. Gastric cancer molecular classification based on immunohistochemistry and in situ hybridization: Analysis in western patients after curative-intent surgery. World J. Clin. Oncol. 2021, 12, 688–701. [Google Scholar] [CrossRef]
- Pretzsch, E.; Bösch, F.; Todorova, R.; Nieß, H.; Jacob, S.; Guba, M.; Kirchner, T.; Werner, J.; Klauschen, F.; Angele, M.K.; et al. Molecular subtyping of gastric cancer according to ACRG using immunohistochemistry—Correlation with clinical parameters. Pathol. Res. Pract. 2022, 231, 153797. [Google Scholar] [CrossRef]
- Nshizirungu, J.P.; Bennis, S.; Mellouki, I.; Sekal, M.; Benajah, D.-A.; Lahmidani, N.; El Bouhaddouti, H.; Ibn Majdoub, K.; Ibrahimi, S.A.; Celeiro, S.P.; et al. Reproduction of the Cancer Genome Atlas (TCGA) and Asian Cancer Research Group (ACRG) Gastric Cancer Molecular Classifications and Their Association with Clinicopathological Characteristics and Overall Survival in Moroccan Patients. Dis. Markers 2021, 2021, 9980410. [Google Scholar] [CrossRef]
- Huang, S.-C.; Ng, K.-F.; Yeh, T.-S.; Cheng, C.-T.; Lin, J.-S.; Liu, Y.-J.; Chuang, H.-C.; Chen, T.-C. Subtraction of Epstein–Barr virus and microsatellite instability genotypes from the Lauren histotypes: Combined molecular and histologic subtyping with clinicopathological and prognostic significance validated in a cohort of 1248 cases. Int. J. Cancer 2019, 145, 3218–3230. [Google Scholar] [CrossRef]
- Mariette, C.; Carneiro, F.; Grabsch, H.I.; van der Post, R.S.; Allum, W.; de Manzoni, G.; Luca, B.G.; Maria, B.; Jean-Francois, F.; Uberto, F.; et al. Consensus on the pathological definition and classification of poorly cohesive gastric carcinoma. Gastric Cancer 2018, 22, 1–9. [Google Scholar] [CrossRef] [PubMed]
- Marano, L.; Ambrosio, M.R.; Resca, L.; Carbone, L.; Carpineto Samorani, O.; Petrioli, R.; Savelli, V.; Costantini, M.; Malaspina, L.; Polom, K.; et al. The Percentage of Signet Ring Cells Is Inversely Related to Aggressive Behavior and Poor Prognosis in Mixed-Type Gastric Cancer. Front. Oncol. 2022, 12, 897218. [Google Scholar] [CrossRef]
- Wang, M.; Zhang, R.; Zhang, S.; Xu, R.; Yang, Q. MicroRNA-574-3p regulates epithelial mesenchymal transition and cisplatin resistance via targeting ZEB1 in human gastric carcinoma cells. Gene 2019, 700, 110–119. [Google Scholar] [CrossRef] [PubMed]
- Marano, L.; Marrelli, D.; Sammartino, P.; Biacchi, D.; Graziosi, L.; Marino, E.; Coccolini, F.; Fugazzola, P.; Valle, M.; Federici, O.; et al. Cytoreductive Surgery and Hyperthermic Intraperitoneal Chemotherapy for Gastric Cancer with Synchronous Peritoneal Metastases: Multicenter Study of “Italian Peritoneal Surface Malignancies Oncoteam—S.I.C.O”. Ann. Surg. Oncol. 2021, 28, 9060–9070. [Google Scholar] [CrossRef]
- Lee, S.Y.; Byeon, S.; Ko, J.; Hyung, S.; Lee, I.K.; Jeon, N.L.; Hong, J.Y.; Kim, S.T.; Park, S.H.; Lee, J. Reducing tumor invasiveness by ramucirumab and TGF-β receptor kinase inhibitor in a diffuse-type gastric cancer patient-derived cell model. Cancer Med. 2021, 10, 7253–7262. [Google Scholar] [CrossRef] [PubMed]
- Du, B.; Shim, J.S. Targeting Epithelial–Mesenchymal Transition (EMT) to Overcome Drug Resistance in Cancer. Molecules 2016, 21, 965. [Google Scholar] [CrossRef]





| Characteristics | EMT-NEG N = 39 | EMT-POS N = 45 | p-Value |
|---|---|---|---|
| Age: median (IQR) | 65 (54–72) | 61 (52–70) | 0.365 * |
| Gender | 0.222 ** | ||
| Male | 20 (51.3%) | 29 (64.4%) | |
| Female | 19 (48.7%) | 16 (35.6%) | |
| Tumor location | 0.827 ** | ||
| Upper third | 5 (12.8%) | 8 (17.8%) | |
| Middle third | 9 (23.1%) | 11 (24.4%) | |
| Lower third | 21 (53.8%) | 20 (44.4%) | |
| Linitis plastica | 4 (10.3%) | 6 (13.3%) | |
| WHO histotype | 0.739 ** | ||
| Signet-ring cell | 29 (74.4%) | 32 (71.1%) | |
| Other poorly cohesive | 10 (25.6%) | 13 (28.9%) | |
| Depth of tumor invasion | 0.249 ** | ||
| pT1 | 3 (7.7%) | 1 (2.2%) | |
| pT2 | 4 (10.3%) | 1 (2.2%) | |
| pT3 | 5 (12.8%) | 8 (17.8%) | |
| pT4 | 27 (69.2%) | 35 (77.8%) | |
| Lymph node involvement | 0.010 ** | ||
| pN0 | 8 (20.5%) | 3 (6.7%) | |
| pN1 | 9 (23.1%) | 3 (6.7%) | |
| pN2 | 9 (23.1%) | 7 (15.6%) | |
| pN3a | 4 (10.3%) | 11 (24.4%) | |
| pN3b | 9 (23.1%) | 21 (46.7%) | |
| Presence of metastasis | 0.442 ** | ||
| M0 | 29 (74.4%) | 30 (66.7%) | |
| M1 | 10 (25.6%) | 15 (33.3%) | |
| TNM Stage | 0.032 ** | ||
| I–II | 13 (33.3%) | 5 (11.1%) | |
| IIIA–IIIB | 13 (33.3%) | 14 (31.1%) | |
| IIIC | 3 (7.7%) | 11 (24.4%) | |
| IV | 10 (25.6%) | 15 (33.3%) | |
| Lymphatic invasion | 0.660 ** | ||
| Absent | 13 (33.3%) | 13 (28.9%) | |
| Present | 26 (66.7%) | 32 (71.1%) | |
| Vascular invasion | 0.037 ** | ||
| Absent | 18 (46.2%) | 11 (24.4%) | |
| Present | 21 (53.8%) | 34 (75.6%) | |
| Perineural invasion | 0.437 ** | ||
| Absent | 18 (46.2%) | 17 (37.8%) | |
| Present | 21 (53.8%) | 28 (62.2%) | |
| Peritoneal cytology | 0.433 ** | ||
| Negative | 12 (30.8%) | 15 (33.3%) | |
| Positive | 5 (12.8%) | 10 (22.2%) | |
| N.A. | 22 (56.4%) | 20 (44.4%) | |
| R status | 0.353 ** | ||
| R0 | 28 (71.8%) | 28 (62.2%) | |
| R1–R2 | 11 (28.2%) | 17 (37.8%) | |
| Removed lymph nodes (median, IQR) | 44 (31–62) | 38 (31–53) | 0.422 * |
| Lymph node stations involved | |||
| (JGCA classification) | |||
| Stations #1 to 7 | 29 (74.4%) | 42 (93.3%) | 0.036 ** |
| Stations #8 to 12 | 16 (41.0%) | 21 (46.7%) | 0.765 ** |
| Stations #13 to 16 | 6 (15.4%) | 7 (15.6%) | 1.000 ** |
| Adjuvant chemotherapy | 0.091 ** | ||
| No | 11 (28.2%) | 6 (13.3%) | |
| Yes | 28 (71.8%) | 39 (86.7%) |
| Characteristics | No. of Cases | EMT-NEG 5-Year Survival (±SE) | EMT-POS 5-Year Survival (±SE) | p-Value * |
|---|---|---|---|---|
| Gender | ||||
| Male | 49 | 53% ± 13 | 17% ± 7 | 0.025 |
| Female | 35 | 48% ± 13 | 14% ± 9 | 0.025 |
| Age | ||||
| <70 | 59 | 63% ± 10 | 15% ± 6 | 0.001 |
| >70 | 25 | 24% ± 14 | 20% ± 12 | 0.367 |
| Tumor location | ||||
| Upper third | 13 | 0 | 0 | 0.928 |
| Middle third | 20 | 78% ± 14 | 11% ± 10 | 0.004 |
| Lower third | 41 | 52% ± 13 | 25% ± 10 | 0.028 |
| Linitis plastica | 10 ** | N.A. | N.A. | N.A. |
| WHO histotype | ||||
| Signet-ring cell | 61 | 51% ± 10 | 17% ± 7 | 0.036 |
| Other poorly cohesive | 23 | 44% ± 23 | 15% ± 10 | 0.012 |
| Depth of tumor invasion | ||||
| pT1–T3 | 22 | 89% ± 10 | 40% ± 16 | 0.006 |
| pT4 | 62 | 33% ± 11 | 9% ± 5 | 0.072 |
| Lymph node involvement | ||||
| pN0 | 11 | 50% ± 30 | 33% ± 27 | 0.514 |
| pN1–N2 | 28 | 73% ± 11 | 30% ± 14 | 0.854 |
| pN3a | 15 | 33% ± 27 | 18% ± 12 | 0.470 |
| pN3b | 30 | 22% ± 14 | 0 | 0.967 |
| TNM Stage | ||||
| I–II | 18 | 79% ± 13 | 40% ± 22 | 0.087 |
| IIIA–IIIB | 27 | 56% ± 15 | 29% ± 12 | 0.138 |
| IIIC–IV | 39 | 25% ± 13 | 5% ± 4 | 0.844 |
| R status | ||||
| R0 | 56 | 65% ± 10 | 25% ± 8 | 0.001 |
| R1–R2 | 28 | 11% ± 10 | 0 | 0.603 |
| Adjuvant chemotherapy | ||||
| No | 17 | 40% ± 17 | 17% ± 15 | 0.137 |
| Yes | 67 | 56% ± 10 | 16% ± 6 | 0.006 |
| Recurrence | EMT-NEG N = 39 | EMT-POS N = 45 | p-Value * |
|---|---|---|---|
| <0.001 | |||
| No recurrence | 23 (59.0%) | 6 (13.3%) | |
| Local | 4 (10.3%) | 9 (20.0%) | |
| Liver | 2 (5.1%) | 3 (6.7%) | |
| Peritoneum | 5 (12.8%) | 15 (33.3%) | |
| Multiple sites | 1 (2.6%) | 4 (8.9%) | |
| Unknown site | 4 (10.3%) | 8 (17.8%) |
Publisher’s Note: MDPI stays neutral with regard to jurisdictional claims in published maps and institutional affiliations. |
© 2022 by the authors. Licensee MDPI, Basel, Switzerland. This article is an open access article distributed under the terms and conditions of the Creative Commons Attribution (CC BY) license (https://creativecommons.org/licenses/by/4.0/).
Share and Cite
Marrelli, D.; Marano, L.; Ambrosio, M.R.; Carbone, L.; Spagnoli, L.; Petrioli, R.; Ongaro, A.; Piccioni, S.; Fusario, D.; Roviello, F. Immunohistochemical Markers of the Epithelial-to-Mesenchymal Transition (EMT) Are Related to Extensive Lymph Nodal Spread, Peritoneal Dissemination, and Poor Prognosis in the Microsatellite-Stable Diffuse Histotype of Gastric Cancer. Cancers 2022, 14, 6023. https://doi.org/10.3390/cancers14246023
Marrelli D, Marano L, Ambrosio MR, Carbone L, Spagnoli L, Petrioli R, Ongaro A, Piccioni S, Fusario D, Roviello F. Immunohistochemical Markers of the Epithelial-to-Mesenchymal Transition (EMT) Are Related to Extensive Lymph Nodal Spread, Peritoneal Dissemination, and Poor Prognosis in the Microsatellite-Stable Diffuse Histotype of Gastric Cancer. Cancers. 2022; 14(24):6023. https://doi.org/10.3390/cancers14246023
Chicago/Turabian StyleMarrelli, Daniele, Luigi Marano, Maria Raffaella Ambrosio, Ludovico Carbone, Luigi Spagnoli, Roberto Petrioli, Alessandra Ongaro, Stefania Piccioni, Daniele Fusario, and Franco Roviello. 2022. "Immunohistochemical Markers of the Epithelial-to-Mesenchymal Transition (EMT) Are Related to Extensive Lymph Nodal Spread, Peritoneal Dissemination, and Poor Prognosis in the Microsatellite-Stable Diffuse Histotype of Gastric Cancer" Cancers 14, no. 24: 6023. https://doi.org/10.3390/cancers14246023
APA StyleMarrelli, D., Marano, L., Ambrosio, M. R., Carbone, L., Spagnoli, L., Petrioli, R., Ongaro, A., Piccioni, S., Fusario, D., & Roviello, F. (2022). Immunohistochemical Markers of the Epithelial-to-Mesenchymal Transition (EMT) Are Related to Extensive Lymph Nodal Spread, Peritoneal Dissemination, and Poor Prognosis in the Microsatellite-Stable Diffuse Histotype of Gastric Cancer. Cancers, 14(24), 6023. https://doi.org/10.3390/cancers14246023

