Combined Shear Wave Elastography and EU TIRADS in Differentiating Malignant and Benign Thyroid Nodules
Abstract
Simple Summary
Abstract
1. Introduction
2. Materials and Methods
2.1. Inclusion and Exclusion Criteria
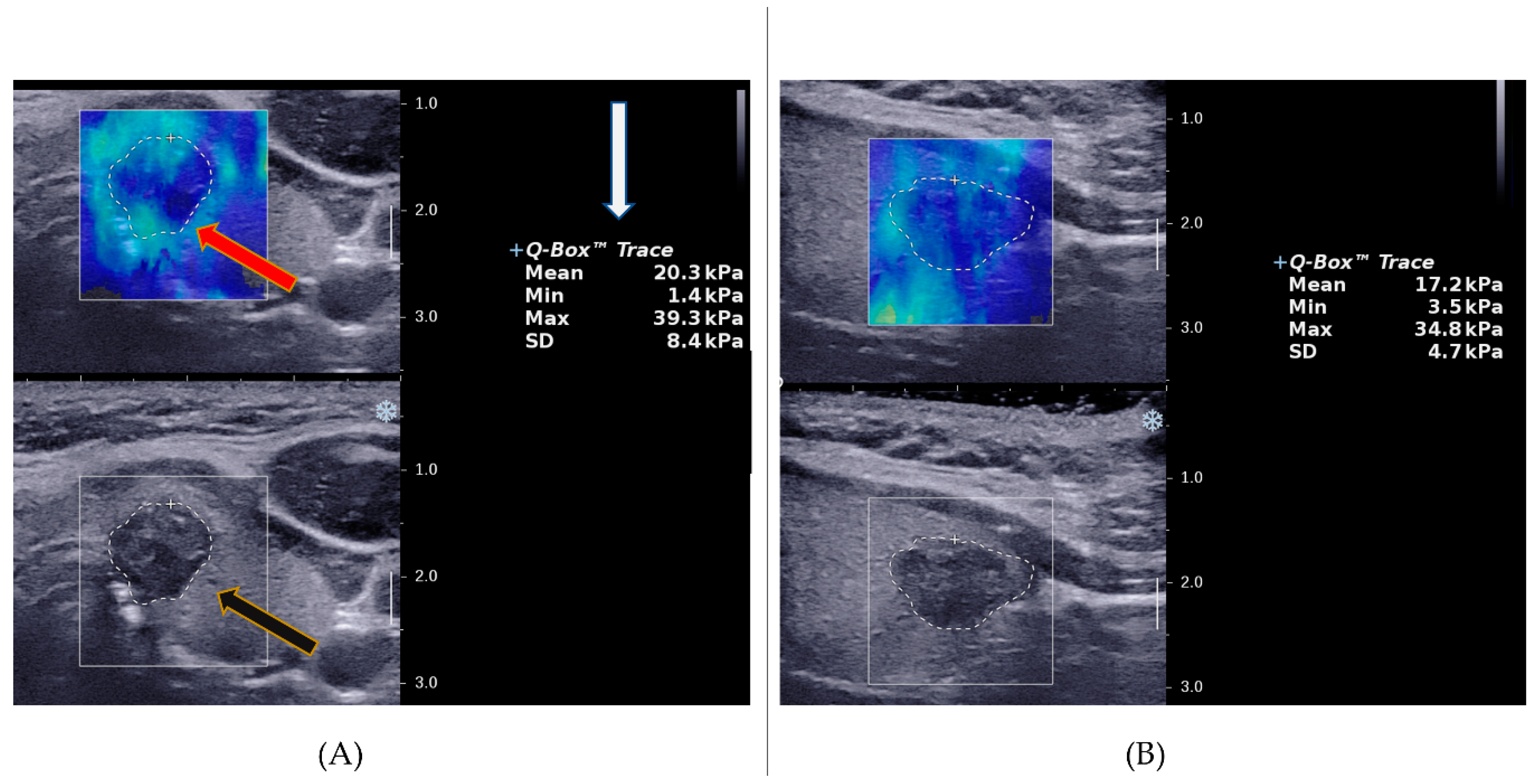
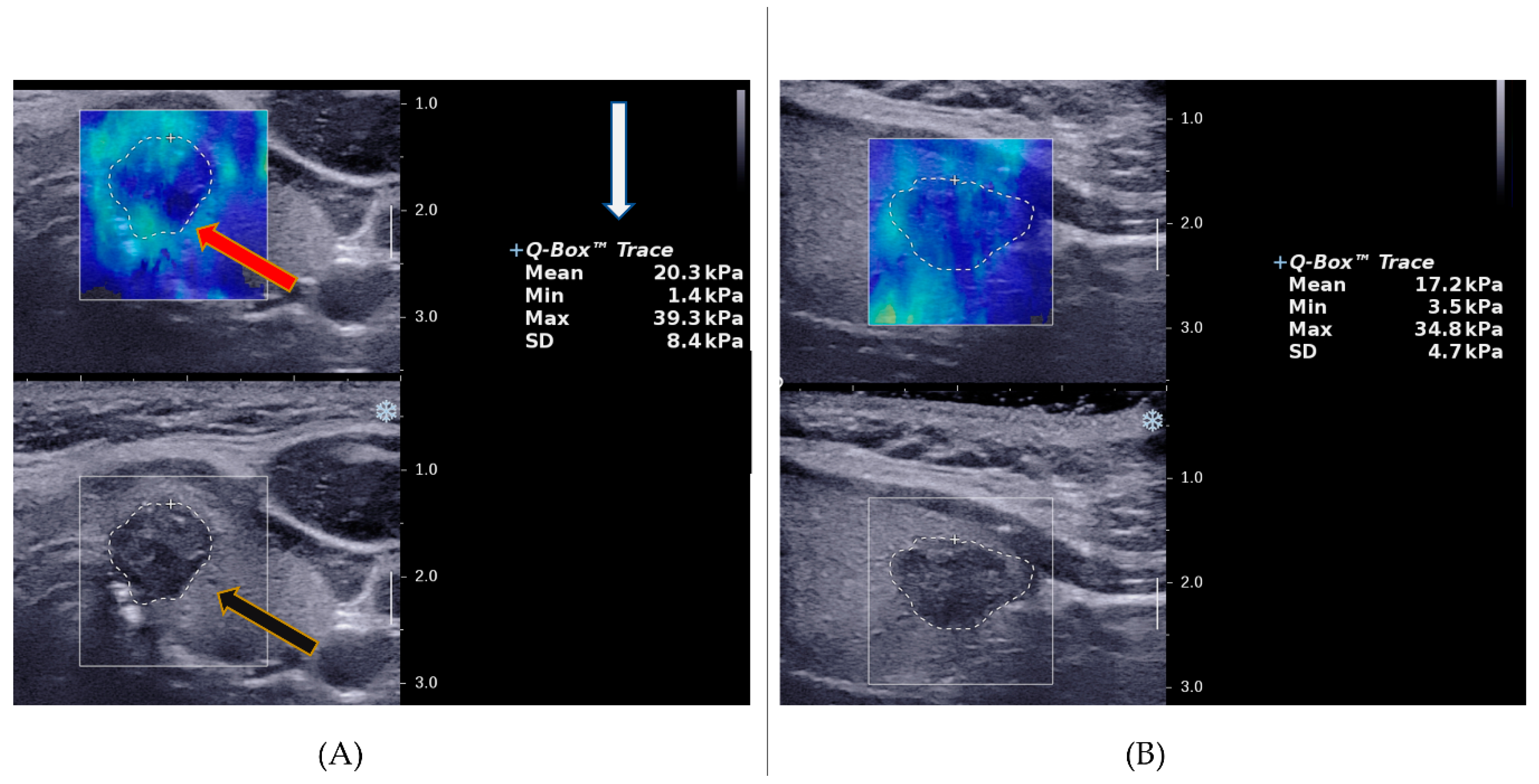
2.2. Ultrasound Imaging Procedures
2.3. Image Analysis Procedures
2.4. Data Analysis and Statistical Analysis
- (i)
- sole EU TIRADS and the average of each of the mean, maximum, minimum SD SWE indices
- (ii)
- combination of EU TIRADS + each of the SWE indices at the determined cut-off values
- (iii)
- sole EU TIRADS and each of the statistically significant SWE indices at the determined cut-off values for the different subgroups of the nodules
- (iv)
- combination of EU TIRADS + SWE indices for the different subgroups of the nodules
3. Results
3.1. Demographics and Nodule Classification Data
3.2. Analysis of the Different SWE Indices in Thyroid Nodule Differentiation
3.2.1. Comparison of SWE Index Medians Based on the Imaging Scan Plane
3.2.2. Comparison of SWE Index Medians between Malignant and Benign Nodules
3.3. Diagnostic Performance Assessment of SWE Indices in Combination with EU TIRADS
3.3.1. Overall Diagnostic Performance Assessment of SWE Indices for Evaluating All Nodules
3.3.2. Diagnostic Performance Assessment of SWE Indices Based on Nodule Size Stratification
3.3.3. Diagnostic Performance Assessment of SWE Indices in Discriminating Nodules with Equivocal Cytology
4. Discussion
4.1. SWE Measurement Assessments Based on the Scan Planes
4.2. Diagnostic Performance of SWE Indices in Combination with EU TIRADS
4.2.1. Analysis of All Nodules without Size Stratification
4.2.2. Analysis Based on Size Stratifications
4.2.3. Analysis of Cytologically Equivocal Nodules
5. Conclusions
Author Contributions
Funding
Institutional Review Board Statement
Informed Consent Statement
Data Availability Statement
Acknowledgments
Conflicts of Interest
References
- Brito, J.P.; Gionfriddo, M.R.; Al Nofal, A.; Boehmer, K.R.; Leppin, A.L.; Reading, C.; Callstrom, M.; Elraiyah, T.A.; Prokop, L.J.; Stan, M.N.; et al. The Accuracy of Thyroid Nodule Ultrasound to Predict Thyroid Cancer: Systematic Review and Meta-Analysis. J. Clin. Endocrinol. Metab. 2014, 99, 1253–1263. [Google Scholar] [CrossRef] [PubMed]
- Grani, G.; Lamartina, L.; Ascoli, V.; Bosco, D.; Nardi, F.; D’Ambrosio, F.; Rubini, A.; Giacomelli, L.; Biffoni, M.; Filetti, S.; et al. Ultrasonography scoring systems can rule out malignancy in cytologically indeterminate thyroid nodules. Endocrine 2017, 57, 256–261. [Google Scholar] [CrossRef] [PubMed]
- Yoon, J.H.; Moon, H.J.; Kim, E.K.; Kwak, J.Y. Inadequate cytology in thyroid nodules: Should we repeat aspiration or follow-up? Ann. Surg. Oncol. 2011, 18, 1282–1289. [Google Scholar] [CrossRef] [PubMed]
- Cosgrove, D.; Barr, R.; Bojunga, J.; Cantisani, V.; Chammas, M.C.; Dighe, M.; Vinayak, S.; Xu, J.M.; Dietrich, C.F. WFUMB Guidelines and Recommendations on the Clinical Use of Ultrasound Elastography: Part 4. Thyroid 2017, 43, 4–26. [Google Scholar] [CrossRef] [PubMed]
- Shiina, T.; Nightingale, K.R.; Palmeri, M.L.; Hall, T.J.; Bamber, J.C.; Barr, R.G.; Castera, L.; Choi, B.I.; Chou, Y.H.; Cosgrove, D.; et al. WFUMB guidelines and recommendations for clinical use of ultrasound elastography: Part 1: Basic principles and terminology. Ultrasound Med. Biol. 2015, 41, 1126–1147. [Google Scholar] [CrossRef]
- Russ, G.; Trimboli, P.; Buffet, C. The New Era of TIRADSs to Stratify the Risk of Malignancy of Thyroid Nodules: Strengths, Weaknesses and Pitfalls. Cancers 2021, 13, 4316. [Google Scholar] [CrossRef]
- Fresilli, D.; David, E.; Pacini, P.; Del Gaudio, G.; Dolcetti, V.; Lucarelli, G.T.; Di Leo, N.; Bellini, M.I.; D’Andrea, V.; Sorrenti, S.; et al. Thyroid Nodule Characterization: How to Assess the Malignancy Risk. Update of the Literature. Diagnostics 2021, 11, 1374. [Google Scholar] [CrossRef]
- Filho, R.H.C.; Pereira, F.L.; Iared, W. Diagnostic Accuracy Evaluation of Two-Dimensional Shear Wave Elastography in the Differentiation Between Benign and Malignant Thyroid Nodules: Systematic Review and Meta-analysis. J. Ultrasound. Med. 2020, 39, 1729–1741. [Google Scholar] [CrossRef]
- Nattabi, H.A.; Sharif, N.M.; Yahya, N.; Ahmad, R.; Mohamad, M.; Zaki, F.M.; Yusoff, A.N. Is Diagnostic Performance of Quantitative 2D-Shear Wave Elastography Optimal for Clinical Classification of Benign and Malignant Thyroid Nodules?. A Systematic Review and Meta-analysis. Acad. Radiol. 2017, 29, S114–S121. [Google Scholar] [CrossRef]
- Chang, N.; Zhang, X.; Wan, W.; Zhang, C.; Zhang, X. The Preciseness in Diagnosing Thyroid Malignant Nodules Using Shear-Wave Elastography. Med. Sci. Monit. Int. Med. J. Exp. Clin. Res. 2018, 24, 671–677. [Google Scholar] [CrossRef]
- Zhao, C.-K.; Xu, H.-X. Ultrasound elastography of the thyroid: Principles and current status. Ultrasonography 2019, 38, 106–124. [Google Scholar] [CrossRef] [PubMed]
- Swan, K.Z.; Nielsen, V.E.; Bonnema, S.J. Evaluation of thyroid nodules by shear wave elastography: A review of current knowledge. J. Endocrinol. Investig. 2021, 44, 2043–2056. [Google Scholar] [CrossRef] [PubMed]
- Grani, G.; Lamartina, L.; Ascoli, V.; Bosco, D.; Biffoni, M.; Giacomelli, L.; Maranghi, M.; Falcone, R.; Ramundo, V.; Cantisani, V.; et al. Reducing the number of unnecessary thyroid biopsies while improving diagnostic accuracy: Toward the “Right” TIRADS. J. Clin. Endocrinol. Metab. 2019, 104, 95–102. [Google Scholar] [CrossRef]
- Park, A.Y.; Son, E.J.; Han, K.; Youk, J.H.; Kim, J.A.; Park, C.S. Shear wave elastography of thyroid nodules for the prediction of malignancy in a large scale study. Eur. J. Radiol. 2015, 84, 407–412. [Google Scholar] [CrossRef] [PubMed]
- Han, R.-J.; Du, J.; Li, F.-H.; Zong, H.-R.; Wang, J.-D.; Shen, Y.-L.; Zhou, Q.-Y. Comparisons and Combined Application of Two-Dimensional and Three-Dimensional Real-time Shear Wave Elastography in Diagnosis of Thyroid Nodules. J. Cancer 2019, 10, 1975–1984. [Google Scholar] [CrossRef]
- Cantisani, V.; David, E.; Grazhdani, H.; Rubini, A.; Radzina, M.; Dietrich, C.F.; Durante, C.; Lamartina, L.; Grani, G.; Valeria, A.; et al. Prospective Evaluation of Semiquantitative Strain Ratio and Quantitative 2D Ultrasound ShearWave Elastography (SWE) in Association with TIRADS Classification for Thyroid Nodule Characterization. Ultraschall Der Med. 2019, 40, 495–503. [Google Scholar] [CrossRef]
- Dobruch-Sobczak, K.; Zalewska, E.B.; Gumińska, A.; Słapa, R.Z.; Mlosek, K.; Wareluk, P.; Jakubowski, W.; Dedecjus, M. Diagnostic Performance of Shear Wave Elastography Parameters Alone and in Combination with Conventional B-Mode Ultrasound Parameters for the Characterization of Thyroid Nodules: A Prospective, Dual-Center Study. Ultrasound Med. Biol. 2016, 42, 2803–2811. [Google Scholar] [CrossRef]
- Sigrist, R.M.S.; Liau, J.; Kaffas, A.E.; Chammas, M.C.; Willmann, J.K.; Willmann, J.K. Ultrasound Elastography: Review of Techniques and Clinical Applications. Theranostics 2017, 7, 1303–1329. [Google Scholar] [CrossRef]
- Russ, G. Risk stratification of thyroid nodules on ultrasonography with the French TI-RADS: Description and reflections What Is Risk Stratification and Why and How Should We Use It for Thyroid Nodules? Ultrasonography 2016, 35, 25–38. [Google Scholar] [CrossRef]
- Tamhane, S.; Gharib, H. Thyroid nodule update on diagnosis and management. Clin. Diabetes Endocrinol. 2016, 2, 17. [Google Scholar] [CrossRef]
- Chambara, N.; Liu, S.Y.W.; Lo, X.; Ying, M. Diagnostic performance evaluation of different TI-RADS using ultrasound computer-aided diagnosis of thyroid nodules: An experience with adjusted settings. PLoS ONE 2021, 16, e0245617. [Google Scholar] [CrossRef]
- Chambara, N.; Liu, S.Y.W.; Lo, X.; Ying, M. Comparative Analysis of Computer-Aided Diagnosis and Computer-Assisted Subjective Assessment in Thyroid Ultrasound. Life 2021, 11, 1148. [Google Scholar] [CrossRef]
- Cibas, E.S.; Ali, S.Z. The 2017 Bethesda System for Reporting Thyroid Cytopathology. J. Am. Soc. Cytopathol. 2017, 6, 217–222. [Google Scholar] [CrossRef] [PubMed]
- Bongiovanni, M.; Bellevicine, C.; Troncone, G.; Sykiotis, G.P. Approach to cytological indeterminate thyroid nodules. Gland Surg. 2019, 8, S98–S104. [Google Scholar] [CrossRef] [PubMed]
- Gangadhar, K.; Hippe, D.S.; Thiel, J.; Dighe, M. Impact of Image Orientation on Measurements of Thyroid Nodule Stiffness Using Shear Wave Elastography. J. Ultrasound Med. 2016, 35, 1661–1667. [Google Scholar] [CrossRef] [PubMed]
- Dighe, M.; Hippe, D.S.; Thiel, J. Artifacts in Shear Wave Elastography Images of Thyroid Nodules. Ultrasound Med. Biol. 2018, 44, 1170–1176. [Google Scholar] [CrossRef]
- Swan, K.Z.; Bonnema, S.J.; Jespersen, M.L.; Nielsen, V.E. Reappraisal of shear wave elastography as a diagnostic tool for identifying thyroid carcinoma. Endocr. Connect. 2019, 8, 1195–1205. [Google Scholar] [CrossRef]
- Russ, G.; Royer, B.; Bigorgne, C.; Rouxel, A.; Bienvenu-Perrard, M.; Leenhardt, L. Prospective evaluation of thyroid imaging reporting and data system on 4550 nodules with and without elastography. Eur. J. Endocrinol. 2013, 168, 649–655. [Google Scholar] [CrossRef]
- Wang, F.; Chang, C.; Gao, Y.; Chen, Y.L.; Chen, M.; Feng, L.Q. Does shear wave elastography provide additional value in the evaluation of thyroid nodules that are suspicious for malignancy? J. Ultrasound Med. 2016, 35, 2397–2404. [Google Scholar] [CrossRef]
- Liu, Z.; Jing, H.; Han, X.; Shao, H.; Sun, Y.-X.; Wang, Q.-C.; Cheng, W. Shear wave elastography combined with the thyroid imaging reporting and data system for malignancy risk stratification in thyroid nodules. Oncotarget 2017, 8, 43406–43416. [Google Scholar] [CrossRef][Green Version]
- Baig, F.; Liu, S.; Lam, H.-C.; Yip, S.-P.; Law, H.; Ying, M. Shear Wave Elastography Combining with Conventional Grey Scale Ultrasound Improves the Diagnostic Accuracy in Differentiating Benign and Malignant Thyroid Nodules. Appl. Sci. 2017, 7, 1103. [Google Scholar] [CrossRef]
- Yeon, E.; Sohn, Y.-M.; Seo, M.; Kim, E.-J.; Eun, Y.-G.; Park, W.; Yun, S. Diagnostic Performance of a Combination of Shear Wave Elastography and B-Mode Ultrasonography in Differentiating Benign From Malignant Thyroid Nodules. Clin. Exp. Otorhinolaryngol. 2020, 13, 186–193. [Google Scholar] [CrossRef] [PubMed]
- Yoo, M.H.; Kim, H.J.; Choi, I.H.; Park, S.; Kim, S.J.; Park, H.K.; Byun, D.W.; Suh, K. Shear wave elasticity by tracing total nodule showed high reproducibility and concordance with fibrosis in thyroid cancer. BMC Cancer 2020, 20, 118. [Google Scholar] [CrossRef] [PubMed]
- Bhatia, K.S.S.; Tong, C.S.L.; Cho, C.C.M.; Yuen, E.H.Y.; Lee, Y.Y.P.; Ahuja, A.T. Shear wave elastography of thyroid nodules in routine clinical practice: Preliminary observations and utility for detecting malignancy. Eur. Radiol. 2012, 22, 2397–2406. [Google Scholar] [CrossRef] [PubMed]
- Kim, H.; Kim, J.A.; Son, E.J.; Youk, J.H. Quantitative assessment of shear-wave ultrasound elastography in thyroid nodules: Diagnostic performance for predicting malignancy. Eur. Radiol. 2013, 23, 2532–2537. [Google Scholar] [CrossRef] [PubMed]
- Wang, F.; Chang, C.; Chen, M.; Gao, Y.; Chen, Y.-L.L.; Zhou, S.-C.C.; Li, J.-W.W.; Zhi, W.-X.X. Does lesion size affect the value of shear wave elastography for differentiating between benign and malignant thyroid nodules? J. Ultrasound Med. 2018, 37, 601–609. [Google Scholar] [CrossRef]
- He, Y.P.; Xu, H.X.; Wang, D.; Li, X.L.; Ren, W.W.; Zhao, C.K.; Bo, X.W.; Liu, B.J.; Yue, W.W. First experience of comparisons between two different shear wave speed imaging systems in differentiating malignant from benign thyroid nodules. Clin. Hemorheol. Microcirc. 2017, 65, 349–361. [Google Scholar] [CrossRef]
- Yang, Q.; Zhou, W.H.; Li, J.Y.; Wu, G.J.; Ding, F.; Tian, X.S. Comparative Analysis of Diagnostic Value for Shear Wave Elastography and Real-Time Elastographic Imaging for Thyroid Nodules. J. Med. Imaging Health Inform. 2019, 9, 334–338. [Google Scholar] [CrossRef]
- Veyrieres, J.B.; Albarel, F.; Lombard, J.V.; Berbis, J.; Sebag, F.; Oliver, C.; Petit, P. A threshold value in Shear Wave elastography to rule out malignant thyroid nodules: A reality? Eur. J. Radiol. 2012, 81, 3965–3972. [Google Scholar] [CrossRef]
- Tan, S.; Sun, P.-F.; Xue, H.; Fu, S.; Zhang, Z.-P.; Mei, F.; Miao, L.-Y.; Wang, X.-H. Evaluation of thyroid micro-carcinoma using shear wave elastography: Initial experience with qualitative and quantitative analysis. Eur. J. Radiol. 2021, 137, 109571. [Google Scholar] [CrossRef]
- Liu, B.; Liang, J.; Zheng, Y.; Xie, X.; Huang, G.; Zhou, L.; Wang, W.; Lu, M. Two-dimensional shear wave elastography as promising diagnostic tool for predicting malignant thyroid nodules: A prospective single-centre experience. Eur. Radiol. 2015, 25, 624–634. [Google Scholar] [CrossRef] [PubMed]
- Li, H.; Kang, C.; Xue, J.; Jing, L.; Miao, J. Influence of lesion size on shear wave elastography in the diagnosis of benign and malignant thyroid nodules. Sci. Rep. 2021, 11, 21616. [Google Scholar] [CrossRef] [PubMed]
- Fukuhara, T.; Matsuda, E.; Endo, Y.; Takenobu, M.; Izawa, S.; Fujiwara, K.; Kitano, H. Correlation between quantitative shear wave elastography and pathologic structures of thyroid lesions. Ultrasound Med. Biol. 2015, 41, 2326–2332. [Google Scholar] [CrossRef] [PubMed]
- Fukuhara, T.; Matsuda, E.; Endo, Y.; Donishi, R.; Izawa, S.; Fujiwara, K.; Kitano, H.; Takeuchi, H. Impact of Fibrotic Tissue on Shear Wave Velocity in Thyroid: An Ex Vivo Study with Fresh Thyroid Specimens. BioMed Res. Int. 2015, 2015, 569367. [Google Scholar] [CrossRef]
- Yi, L.; Qiong, W.; Yan, W.; Youben, F.; Bing, H. Correlation between Ultrasound Elastography and Histologic Characteristics of Papillary Thyroid Carcinoma. Sci. Rep. 2017, 7, 45042. [Google Scholar] [CrossRef]
- Haugen, B.R. 2015 American Thyroid Association Management Guidelines for Adult Patients with Thyroid Nodules and Differentiated Thyroid Cancer: What is new and what has changed? Cancer 2017, 123, 372–381. [Google Scholar] [CrossRef]
- Russ, G.; Bonnema, S.J.; Erdogan, M.F.; Durante, C.; Ngu, R.; Leenhardt, L. European Thyroid Association Guidelines for Ultrasound Malignancy Risk Stratification of Thyroid Nodules in Adults: The EU-TIRADS. Eur. Thyroid J. 2017, 6, 225–237. [Google Scholar] [CrossRef]
- Durante, C.; Grani, G.; Lamartina, L.; Filetti, S.; Mandel, S.J.; Cooper, D.S. The diagnosis and management of thyroid nodules a review. JAMA 2018, 319, 919–924. [Google Scholar] [CrossRef]
- Bardet, S.; Ciappuccini, R.; Pellot-Barakat, C.; Monpeyssen, H.; Michels, J.-J.; Tissier, F.; Blanchard, D.; Menegaux, F.; de Raucourt, D.; Lefort, M.; et al. Shear Wave Elastography in Thyroid Nodules with Indeterminate Cytology: Results of a Prospective Bicentric Study. Thyroid 2017, 27, 1441–1449. [Google Scholar] [CrossRef]
- Samir, A.E.; Dhyani, M.; Anvari, A.; Prescott, J.; Halpern, E.F.; Faquin, W.C.; Stephen, A. Shear-Wave Elastography for the Preoperative Risk Stratification of Follicular-patterned Lesions of the Thyroid: Diagnostic Accuracy and Optimal Measurement Plane. Radiology 2015, 277, 565–573. [Google Scholar] [CrossRef]
- Chen, L.; Shi, Y.-x.; Liu, Y.-c.; Zhan, J.; Diao, X.-h.; Chen, Y.; Zhan, W.-w. The values of shear wave elastography in avoiding repeat fine-needle aspiration for thyroid nodules with nondiagnostic and undetermined cytology. Clin. Endocrinol. 2019, 91, 201–208. [Google Scholar] [CrossRef] [PubMed]
- Azizi, G.; Keller, J.M.; Mayo, M.L.; Piper, K.; Puett, D.; Earp, K.M.; Malchoff, C.D. Shear wave elastography and Afirma™ gene expression classifier in thyroid nodules with indeterminate cytology: A comparison study. Endocrine 2018, 59, 573–584. [Google Scholar] [CrossRef] [PubMed]
- Slowinska-Klencka, D.; Wysocka-Konieczna, K.; Klencki, M.; Popowicz, B. Diagnostic Value of Six Thyroid Imaging Reporting and Data Systems (TIRADS) in Cytologically Equivocal Thyroid Nodules. J. Clin. Med. 2020, 9, 2281. [Google Scholar] [CrossRef] [PubMed]
- Słowińska-Klencka, D.; Wysocka-Konieczna, K.; Klencki, M.; Popowicz, B. Usability of EU-TIRADS in the Diagnostics of Hürthle Cell Thyroid Nodules with Equivocal Cytology. J. Clin. Med. 2020, 9, 3410. [Google Scholar] [CrossRef]
- Qiu, Y.; Xing, Z.; Liu, J.; Peng, Y.; Zhu, J.; Su, A. Diagnostic reliability of elastography in thyroid nodules reported as indeterminate at prior fine-needle aspiration cytology (FNAC): A systematic review and Bayesian meta-analysis. Eur. Radiol. 2020, 30, 6624–6634. [Google Scholar] [CrossRef]
- Marturano, I.; Russo, M.; Malandrino, P.; Buscema, M.; La Rosa, G.L.; Spadaro, A.; Manzella, L.; Sciacca, L.; L’Abbate, L.; Rizzo, L. Combined use of sonographic and elastosonographic parameters can improve the diagnostic accuracy in thyroid nodules at risk of malignancy at cytological examination. Minerva Endocrinol. 2020, 45, 3–11. [Google Scholar] [CrossRef]
- Trimboli, P.; Treglia, G.; Sadeghi, R.; Romanelli, F.; Giovanella, L. Reliability of real-time elastography to diagnose thyroid nodules previously read at FNAC as indeterminate: A meta-analysis. Endocrine 2015, 50, 335–343. [Google Scholar] [CrossRef]
- Zhang, W.-B.; Li, J.-J.; Chen, X.-Y.; He, B.-L.; Shen, R.-H.; Liu, H.; Chen, J.; He, X.-F. SWE combined with ACR TI-RADS categories for malignancy risk stratification of thyroid nodules with indeterminate FNA cytology. Clin. Hemorheol. Microcirc. 2020, 76, 381–390. [Google Scholar] [CrossRef]
- Liu, J.; Chen, Y.; Zheng, Y.; Wen, D.; Wang, Y.; Xue, G. The role of SWE and ATA (2015) guidelines combined mode in differentiation malignant from benign of Bethesda Ⅲ thyroid nodules. J. Clin. Otorhinolaryngol. Head Neck Surg. 2018, 32, 1400–1405. [Google Scholar]



| Characteristic | Overall Mean/Frequency | Mean/ Frequency by Diagnosis | p-Value | |
|---|---|---|---|---|
| B | M | |||
| Gender | ||||
| Male | 21 | 14 (66.7%) | 7 (33.3%) | >0.05 |
| Female | 100 | 67 (67%) | 33 (33%) | |
| Mean Age | ||||
| Overall | 53.8 ± 12 | 53.8 ± 12.1 | 54.0 ± 12 | >0.05 |
| Male | 62.1 ± 8.8 | <0.001 | ||
| Female | 52.1 ± 12 | |||
| Nodule size | ||||
| Total nodules | 126 | 81 (64.3%) | 45 (35.7%) | <0.01 |
| Overall mean (cm) | 1.5 ± 0.8 | 1.6 ± 0.8 | 1.3 ± 0.8 | 0.62 |
| <1 cm | 43 | 23(53.5%) | 20 (46.5%) | 0.10 |
| 1–2 cm | 52 | 34 (65.4%) | 18 (34.6%) | |
| >2 cm | 31 | 24 (29.6%) | 7 (22.6%) | |
| FNAC | ||||
| Not done | 11 | 11 (100%) | 0 (0%) | <0.001 |
| Non-diagnostic | 6 | 5 (83.3%) | 1 (16.7% | |
| Benign | 30 | 28 (93.3%) | 2 (6.7%) | |
| Equivocal | 52 | 37 (71.2%) | 15 (28.9%) | |
| Malignant/SOM | 27 | 0 (0%) | 27 (100%) | |
| EU TIRADS | ||||
| 1 | 0 | 0 (0%) | 0 (0%) | <0.001 |
| 2 | 27 | 24 (88.9%) | 3 (11.1%) | |
| 3 | 0 | 0 (0%) | 0 (0%) | |
| 4 | 22 | 18 (81.8%) | 4 (18.2%) | |
| 5 | 77 | 39 (50.7%) | 38 (49.4%) | |
| Nodule Category | p-Values of SWE Indices in kPa | |||||||
|---|---|---|---|---|---|---|---|---|
| TMean | LMean | TMin | LMin | TMax | LMax | TSD | LSD | |
| All T = 126 (B = 81, M = 45) | 0.005 ** | 0.007 ** | 0.100 | 0.003 ** | 0.061 | 0.253 | 0.012 * | 0.255 |
| Equivocal T = 52 (B = 37, M = 15) | 0.473 | 0.214 | 0.353 | 0.015 * | 0.313 | 0.391 | 0.138 | 0.525 |
| <1 cm T = 43 (B = 23, M = 20) | 0.189 | 0.141 | 0.128 | 0.077 | 0.368 | 0.480 | 0.219 | 0.733 |
| 1–2 cm T = 52 (B = 34, M = 18) | 0.017 * | 0.010 * | 0.865 | 0.195 | 0.034 * | 0.102 | 0.009 ** | 0.108 |
| >2 cm T = 31 (B = 24, M = 7) | 0.104 | 0.661 | 0.216 | 0.835 | 0.061 | 0.417 | 0.029 * | 0.085 |
| Nodule Category | Diagnostic Test | Optimal Cut-Off | SEN (%) | SPEC (%) | PPV (%) | NPV (%) | AUROC |
|---|---|---|---|---|---|---|---|
| All | EU | 5 | 84.4 | 51.9 | 49.4 | 85.7 | 0.69 |
| TMean (kPa) | 19.3 | 51.1 *** | 77.8 *** | 56.1 | 74.1 | 0.65 | |
| LMean (kPa) | 28.2 | 42.2 *** | 88.9 *** | 67.9 | 73.5 | 0.65 | |
| TSD (kPa) | 10.5 | 51.1 *** | 76.5 *** | 54.8 | 73.8 | 0.64 | |
| LMin (kPa) | 4.7 | 53.3 *** | 76.5 *** | 55.8 | 74.7 | 0.66 | |
| EU + TMean | 48.9 *** | 82.7 *** | 61.1 | 74.4 | 0.66 | ||
| EU + LMean | 40.0 *** | 92.6 *** | 75.0 | 73.5 | 0.66 | ||
| EU + TSD | 51.1 *** | 84.0 *** | 63.9 | 75.6 | 0.68 | ||
| EU + LMin | 51.1 *** | 77.8 *** | 56.1 | 74.1 | 0.64 | ||
| Size 1–2 cm | EU | 5 | 88.9 | 55.9 | 51.6 | 90.5 | 0.72 |
| TMean (kPa) | 25.6 | 50.0 *** | 94.1 *** | 81.8 | 78.0 | 0.70 | |
| TMax (kPa) | 50.2 | 61.1 ** | 73.5 ** | 55.0 | 78.1 | 0.68 | |
| TSD (kPa) | 8.7 | 77.8 | 64.7 | 53.9 | 84.6 | 0.72 | |
| LMean (kPa) | 23.4 | 66.7 * | 79.4 ** | 75.0 | 83.3 | 0.72 | |
| EU + TMean | 44.4 *** | 94.1 *** | 80.0 | 76.2 | 0.69 | ||
| EU + TMax | 55.6 *** | 82.4 *** | 62.5 | 77.8 | 0.69 | ||
| EU + TSD | 72.2 | 76.5 ** | 61.9 | 83.9 | 0.74 | ||
| EU + LMean | 61.1 ** | 85.3 *** | 68.8 | 80.6 | 0.73 | ||
| Size > 2 cm | EU | 5 | 85.7 | 62.5 | 40.0 | 93.8 | 0.73 |
| TSD (kPa) | 10.7 | 71.4 | 83.3 ** | 55.6 | 90.9 | 0.77 | |
| EU + TSD | 71.4 | 95.8 ** | 83.3 | 92.0 | 0.84 | ||
| Equivocal | EU | 5 | 80.0 | 37.8 | 34.3 | 82.4 | 0.58 |
| LMin (kPa) | 6.1 | 60.0 * | 78.4 *** | 52.9 | 82.9 | 0.64 | |
| EU + LMin | 60.0 * | 83.4 *** | 60.0 | 83.8 | 0.72 * |
Publisher’s Note: MDPI stays neutral with regard to jurisdictional claims in published maps and institutional affiliations. |
© 2022 by the authors. Licensee MDPI, Basel, Switzerland. This article is an open access article distributed under the terms and conditions of the Creative Commons Attribution (CC BY) license (https://creativecommons.org/licenses/by/4.0/).
Share and Cite
Chambara, N.; Lo, X.; Chow, T.C.M.; Lai, C.M.S.; Liu, S.Y.W.; Ying, M. Combined Shear Wave Elastography and EU TIRADS in Differentiating Malignant and Benign Thyroid Nodules. Cancers 2022, 14, 5521. https://doi.org/10.3390/cancers14225521
Chambara N, Lo X, Chow TCM, Lai CMS, Liu SYW, Ying M. Combined Shear Wave Elastography and EU TIRADS in Differentiating Malignant and Benign Thyroid Nodules. Cancers. 2022; 14(22):5521. https://doi.org/10.3390/cancers14225521
Chicago/Turabian StyleChambara, Nonhlanhla, Xina Lo, Tom Chi Man Chow, Carol Man Sze Lai, Shirley Yuk Wah Liu, and Michael Ying. 2022. "Combined Shear Wave Elastography and EU TIRADS in Differentiating Malignant and Benign Thyroid Nodules" Cancers 14, no. 22: 5521. https://doi.org/10.3390/cancers14225521
APA StyleChambara, N., Lo, X., Chow, T. C. M., Lai, C. M. S., Liu, S. Y. W., & Ying, M. (2022). Combined Shear Wave Elastography and EU TIRADS in Differentiating Malignant and Benign Thyroid Nodules. Cancers, 14(22), 5521. https://doi.org/10.3390/cancers14225521

